JavaScript is disabled in your browser. Please enable JavaScript to view this website.
AB13611

Anti-PAX8 抗体

Anti-PAX8 antibody

4

(2 Reviews)

|

(10 Publications)

Goat Polyclonal PAX8 antibody. Suitable for WB, IHC-P and reacts with Human samples. Cited in 10 publications. Immunogen corresponding to Synthetic Peptide within Human PAX8 aa 1-50.

別名を表示する

Paired box protein Pax-8, PAX8

4 Images
Immunohistochemistry (Formalin/PFA-fixed paraffin-embedded sections) - Anti-PAX8 antibody (AB13611)
  • IHC-P

Unknown

Immunohistochemistry (Formalin/PFA-fixed paraffin-embedded sections) - Anti-PAX8 antibody (AB13611)

ab13611 at 3μg/ml staining PAX8 in human thyroid gland sections by Immunohistochemistry (Formalin/ PFA-fixed paraffin-embedded tissue sections). The tissue underwent antigen retrieval by microwave in Tris/EDTA buffer pH 9.0. The HRP-staining procedure was used for detection.

Immunohistochemistry (Formalin/PFA-fixed paraffin-embedded sections) - Anti-PAX8 antibody (AB13611)
  • IHC-P

Supplier Data

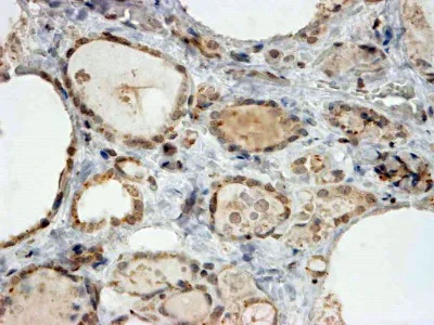
Immunohistochemistry (Formalin/PFA-fixed paraffin-embedded sections) - Anti-PAX8 antibody (AB13611)

ab13611 (2μg/ml) staining of paraffin embedded Human Human Thyroid Gland following steamed antigen retrieval with citrate buffer pH 6 and HRP-staining shows nuclear stains in the epithelial cells around the follicles.

Western blot - Anti-PAX8 antibody (AB13611)
  • WB

Unknown

Western blot - Anti-PAX8 antibody (AB13611)

Nuclear extract of PC Cl3 thyroid cells (15 μg) cultured during 7 days without stimulation from serum and thyrotropin (starved cells) and then stimulated with thyrotropin (TSH) 0.5 mUI/ml during 24 h (TSH stimulated cells).

PAX8 is seen to be correctly regulated in panel A. Panel B shows an extended view of the same gel with other visible background bands.

The indicated PAX8 band is at 60 kD. (In some gels PAX8 runs at 55-58kD).

This image was kindly supplied as part of the review submitted by Dr Pilar Santisteban.

Nuclear extract of PC Cl3 thyroid cells (15 μg) cultured during 7 days without stimulation from serum and thyrotropin (starved cells) and then stimulated with thyrotropin (TSH) 0.5 mUI/ml during 24 h (TSH stimulated cells). PAX8 is seen to be correctly regulated in panel A. Panel B shows an extended view of the same gel with other visible background bands. The indicated PAX8 band is at

All lanes:

Western blot - Anti-PAX8 antibody (ab13611)

Predicted band size: 48 kDa

false

Western blot - Anti-PAX8 antibody (AB13611)
  • WB

Supplier Data

Western blot - Anti-PAX8 antibody (AB13611)

Detected by chemiluminescence.

All lanes:

Western blot - Anti-PAX8 antibody (ab13611) at 1 µg/mL

Lane 1:

Human Kidney tissue lysate (35µg protein in RIPA buffer)

Lane 2:

HeLa cell lysate (35µg protein in RIPA buffer)

Predicted band size: 48 kDa

false

Key facts

宿主種

Goat

クローン性

Polyclonal

アイソタイプ

IgG

キャリアフリー

No

交差種

Human

アプリケーション

WB, IHC-P

applications

免疫原

Synthetic Peptide within Human PAX8 aa 1-50. The exact immunogen used to generate this antibody is proprietary information.

Q06710

特異性

This antibody is expected to recognise all five human isoforms (as represented by NP_003457; NP_039245; NP_039246; NP_039247; NP_054698). This antibody detects a strong band at approx 40kDa in Human Liver lysates. The identity of this band is unclear given the existence of 5 isoforms of PAX8 between 450 aa and 287 aa (54-34 kD). It has shown to be specific for PAX8 in experiments with nuclear extracts of PC Cl3 thyroid cells cultured for 7 days without stimulation from serum and thyrotropin (starved cells) and then stimulated with thyrotropin (TSH) for 24 h (TSH stimulated cells). A band representing PAX8 is seen in the stimulated cells at 60kD (although other non-specific background bands are also seen). We have no confirmation of which isoform this represents.

Reactivity data

{ "title": "Reactivity Data", "filters": { "stats": ["", "Species", "Dilution Info", "Notes"], "tabs": { "all-applications": {"fullname" : "All Applications", "shortname": "All Applications"}, "WB" : {"fullname" : "Western blot", "shortname":"WB"}, "IHCP" : {"fullname" : "Immunohistochemistry (Formalin/PFA-fixed paraffin-embedded sections)", "shortname":"IHC-P"} }, "product-promise": { "all": "all", "testedAndGuaranteed": "tested", "guaranteed": "expected", "predicted": "predicted", "notRecommended": "not-recommended" } }, "values": { "Human": { "WB-species-checked": "testedAndGuaranteed", "WB-species-dilution-info": "1.5-4.5 µg/mL", "WB-species-notes": "<p>A 1 hour primary incubation is recommended for this product.</p>", "IHCP-species-checked": "testedAndGuaranteed", "IHCP-species-dilution-info": "2-4 µg/mL", "IHCP-species-notes": "<p></p>" }, "Mouse": { "WB-species-checked": "predicted", "WB-species-dilution-info": "", "WB-species-notes": "", "IHCP-species-checked": "predicted", "IHCP-species-dilution-info": "", "IHCP-species-notes": "" }, "Rat": { "WB-species-checked": "predicted", "WB-species-dilution-info": "", "WB-species-notes": "", "IHCP-species-checked": "predicted", "IHCP-species-dilution-info": "", "IHCP-species-notes": "" }, "Dog": { "WB-species-checked": "predicted", "WB-species-dilution-info": "", "WB-species-notes": "", "IHCP-species-checked": "predicted", "IHCP-species-dilution-info": "", "IHCP-species-notes": "" } } }

出荷温度及び保存条件

製品の状態
Liquid
精製方法
Affinity purification Immunogen
精製に関する特記事項
Purified from goat serum by ammonium sulphate precipitation followed by antigen affinity chromatography using the immunizing peptide.
バッファー組成
pH: 7.3 Preservative: 0.02% Sodium azide Constituents: Tris buffered saline, 0.5% BSA
出荷温度
Blue Ice
短期保存温度
+4°C
長期保存温度
-20°C
分注に関する情報
Upon delivery aliquot
保管に関する情報
Avoid freeze / thaw cycle

補足情報

This supplementary information is collated from multiple sources and compiled automatically.

PAX8 also known as 3a8 is a transcription factor with a molecular mass of approximately 48 kDa. It belongs to the paired box (PAX) family of proteins which are characterized by a specific DNA-binding domain. PAX8 plays an important role in organ development and cellular differentiation. This protein is mainly expressed in the thyroid kidneys and Müllerian-derived tissues. Researchers often detect PAX8 using immunohistochemistry (PAX8 IHC) techniques due to its tissue-specific expression patterns.
Biological function summary

The PAX8 protein regulates the expression of genes related to organogenesis and cell fate determination. It forms part of transcriptional regulatory complexes partnering with other proteins to modulate gene activity. PAX8 supports embryonic development especially in the thyroid and urogenital tract. Its presence ensures the proper function and formation of these organs highlighting its significance in developmental biology.

Pathways

PAX8 interacts with several key biological processes. It notably participates in the thyroid hormone synthesis pathway where it regulates the expression of thyroglobulin and thyroperoxidase. PAX8 also affects the renal system through its interaction with WT1 a protein involved in kidney development. These pathways illustrate PAX8's role in maintaining endocrine and renal functions by influencing important protein interactions.

PAX8 mutations and dysregulation connect to conditions like congenital hypothyroidism and renal agenesis. In congenital hypothyroidism defects in PAX8 lead to impaired thyroid development affecting hormone production. Moreover its interaction with BCL2 an important apoptosis regulator relates to certain cancers such as ovarian carcinoma. The misregulation of PAX8 increases the risk and progression of these disorders by disrupting normal physiological processes.

製品プロトコール

For this product, it's our understanding that no specific protocols are required. You can visit:

ターゲットの情報

Transcription factor for the thyroid-specific expression of the genes exclusively expressed in the thyroid cell type, maintaining the functional differentiation of such cells.
See full target information PAX8

文献 (10)

Recent publications for all applications. Explore the full list and refine your search

Nature immunology 26:1977-1988 PubMed41028563

2025

Spatiotemporal interaction of immune and renal cells controls glomerular crescent formation in autoimmune kidney disease.

Applications

Unspecified application

Species

Unspecified reactive species

Zeba Sultana,Robin Khatri,Behnam Yousefi,Nikhat Shaikh,Saskia L Jauch-Speer,Darius P Schaub,Jonas Engesser,Malte Hellmig,Vincent Piegsa,Arthur Hube,Varshi Sivayoganathan,Alina Borchers,Anett Peters,Anna Kaffke,Stephanie Zielinski,Hans-Joachim Paust,Thiago Goldbeck-Strieder,Ulrich O Wenzel,Victor G Puelles,Elion Hoxha,Thorsten Wiech,Catherine Meyer-Schwesinger,Tobias B Huber,Ulf Panzer,Stefan Bonn,Christian F Krebs

Communications biology 5:106 PubMed35115660

2022

Carvedilol targets β-arrestins to rewire innate immunity and improve oncolytic adenoviral therapy.

Applications

Unspecified application

Species

Unspecified reactive species

Joseph I Hoare,Bleona Osmani,Emily A O'Sullivan,Ashley Browne,Nicola Campbell,Stephen Metcalf,Francesco Nicolini,Jayeta Saxena,Sarah A Martin,Michelle Lockley

Cell reports 33:108473 PubMed33296650

2020

Epigenomic Reprogramming toward Mesenchymal-Epithelial Transition in Ovarian-Cancer-Associated Mesenchymal Stem Cells Drives Metastasis.

Applications

Unspecified application

Species

Unspecified reactive species

Huihui Fan,Huda I Atiya,Yeh Wang,Thomas R Pisanic,Tza-Huei Wang,Ie-Ming Shih,Kelly K Foy,Leonard Frisbie,Ronald J Buckanovich,Alison A Chomiak,Rochelle L Tiedemann,Scott B Rothbart,Chelsea Chandler,Hui Shen,Lan G Coffman

PLoS genetics 14:e1007181 PubMed29377931

2018

Transcriptional regulatory control of mammalian nephron progenitors revealed by multi-factor cistromic analysis and genetic studies.

Applications

Unspecified application

Species

Unspecified reactive species

Lori L O'Brien,Qiuyu Guo,Emad Bahrami-Samani,Joo-Seop Park,Sean M Hasso,Young-Jin Lee,Alan Fang,Albert D Kim,Jinjin Guo,Trudy M Hong,Kevin A Peterson,Scott Lozanoff,Ramya Raviram,Bing Ren,Ben Fogelgren,Andrew D Smith,Anton Valouev,Andrew P McMahon

Frontiers in endocrinology 8:103 PubMed28588551

2017

Functional Thyroid Follicular Cells Differentiation from Human-Induced Pluripotent Stem Cells in Suspension Culture.

Applications

Unspecified application

Species

Unspecified reactive species

Ayumi Arauchi,Katsuhisa Matsuura,Tatsuya Shimizu,Teruo Okano

Biomedicine & pharmacotherapy = Biomedecine & pharmacotherapie 85:399-411 PubMed27899250

2016

Estrogen and thyroid cancer is a stem affair: A preliminary study.

Applications

Flow Cyt, ICC/IF

Species

Unspecified reactive species, Unspecified reactive species

Mariangela Zane,Carmelo Parello,Gianmaria Pennelli,Danyelle M Townsend,Stefano Merigliano,Marco Boscaro,Antonio Toniato,Giovannella Baggio,Maria Rosa Pelizzo,Domenico Rubello,Isabella Merante Boschin

Cell reports 14:861-871 PubMed26776520

2016

Sox9-Positive Progenitor Cells Play a Key Role in Renal Tubule Epithelial Regeneration in Mice.

Applications

Unspecified application

Species

Unspecified reactive species

Hyun Mi Kang,Shizheng Huang,Kimberly Reidy,Seung Hyeok Han,Frank Chinga,Katalin Susztak

Journal of the American Society of Nephrology : JASN 23:629-40 PubMed22282596

2012

Subtotal ablation of parietal epithelial cells induces crescent formation.

Applications

IHC-P

Species

Mouse

Eva-Maria Sicking,Astrid Fuss,Sandra Uhlig,Peggy Jirak,Henry Dijkman,Jack Wetzels,Daniel R Engel,Torsten Urzynicok,Stefan Heidenreich,Wilhelm Kriz,Christian Kurts,Tammo Ostendorf,Jürgen Floege,Bart Smeets,Marcus J Moeller

Endocrinology 149:3626-34 PubMed18372324

2008

Elocalcitol inhibits inflammatory responses in human thyroid cells and T cells.

Applications

Unspecified application

Species

Unspecified reactive species

E Borgogni,E Sarchielli,M Sottili,V Santarlasci,L Cosmi,S Gelmini,A Lombardi,G Cantini,G Perigli,M Luconi,G B Vannelli,F Annunziato,L Adorini,M Serio,C Crescioli

The Journal of endocrinology 195:145-55 PubMed17911406

2007

Methimazole inhibits CXC chemokine ligand 10 secretion in human thyrocytes.

Applications

Unspecified application

Species

Unspecified reactive species

C Crescioli,L Cosmi,E Borgogni,V Santarlasci,S Gelmini,M Sottili,E Sarchielli,B Mazzinghi,M Francalanci,A Pezzatini,G Perigli,G B Vannelli,F Annunziato,M Serio
View all publications

Abcam product promise

当社は、高品質な試薬を通じてお客様の研究を力強くサポートすることをお約束いたします。ご使用いただく各段階で、常にお客様をサポートできる体制を整えております。万が一、製品が期待通りに機能しない場合は、「Abcam Product Promise」による当社保証制度に基づき、安心してご利用いただけます。
保証に関する詳細については利用規約をご確認ください。

Please note: All products are 'FOR RESEARCH USE ONLY. NOT FOR USE IN DIAGNOSTIC OR THERAPEUTIC PROCEDURES'.

For licensing inquiries, please contact partnerships@abcam.com