JavaScript is disabled in your browser. Please enable JavaScript to view this website.
AB183573

Anti-PAX8 抗体 [1F8-3A8]

Anti-PAX8 antibody [1F8-3A8]

4

(1 Review)

|

(0 Publication)

Mouse Monoclonal PAX8 antibody. Suitable for WB, IHC-P, ICC/IF and reacts with Human, African green monkey, Mouse samples. Immunogen corresponding to Recombinant Fragment Protein within Human PAX8.

別名を表示する

Paired box protein Pax-8, PAX8

4 Images
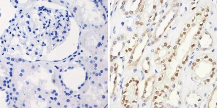
Immunohistochemistry (Formalin/PFA-fixed paraffin-embedded sections) - Anti-PAX8 antibody [1F8-3A8] (AB183573)
  • IHC-P

Unknown

Immunohistochemistry (Formalin/PFA-fixed paraffin-embedded sections) - Anti-PAX8 antibody [1F8-3A8] (AB183573)

Immunohistochemistry analysis of PAX8 showing staining in the nucleus of paraffin-embedded human kidney tissue (right) compared to a negative control without primary antibody (left). To expose target proteins, antigen retrieval was performed using 10mM sodium citrate (pH 6.0), microwaved for 8-15 min. Following antigen retrieval, tissues were blocked in 3% H2O2-methanol for 15 min at room temperature, washed with ddH2O and PBS, and then probed with ab183573 diluted in 3% BSA-PBS at a dilution of 1 : 100 overnight at 4°C in a humidified chamber. Tissues were washed extensively in PBST and detection was performed using an HRP-conjugated secondary antibody followed by colorimetric detection using a DAB kit. Tissues were counterstained with hematoxylin and dehydrated with ethanol and xylene to prep for mounting.

Immunocytochemistry/ Immunofluorescence - Anti-PAX8 antibody [1F8-3A8] (AB183573)
  • ICC/IF

Supplier Data

Immunocytochemistry/ Immunofluorescence - Anti-PAX8 antibody [1F8-3A8] (AB183573)

Immunofluorescent analysis of PAX8 (green) in 293T (left panel) and COS7 cells (right panel) using ab183573 at a 1/50 dilution. Formalin fixed cells were permeabilized with 0.1% Triton X-100 in TBS for 10 minutes at room temperature. Cells were blocked with 1% blocker BSA for 15 minutes at room temperature. A DyLight 488-conjugated goat anti-mouse IgG secondary antibody was used at a dilution of 1/400 for 30 minutes at room temperature. F-Actin (red) was stained with DyLight-554 Phalloidin and nuclei (blue) were stained with Hoechst 33342 dye.

Western blot - Anti-PAX8 antibody [1F8-3A8] (AB183573)
  • WB

Supplier Data

Western blot - Anti-PAX8 antibody [1F8-3A8] (AB183573)

4-20% Tris-HCl polyacrylamide gel. Blocked with 5% BSA/TBST for at least 1 hour.

All lanes:

Western blot - Anti-PAX8 antibody [1F8-3A8] (ab183573) at 1/1000 dilution

Lane 1:

untransfected HEK293T cell lysate at 25 µg

Lane 2:

HEK293T cell lysate over expressing PAX8 at 25 µg

Secondary

All lanes:

HRP-conjugated goat anti-mouse IgG at 1/500 dilution

Predicted band size: 48 kDa

false

Western blot - Anti-PAX8 antibody [1F8-3A8] (AB183573)
  • WB

Supplier Data

Western blot - Anti-PAX8 antibody [1F8-3A8] (AB183573)

4-20% Tris-HCl polyacrylamide gel. Blocked with 5% BSA/TBST for at least 1 hour.

All lanes:

Western blot - Anti-PAX8 antibody [1F8-3A8] (ab183573) at 1/1000 dilution

Lane 1:

SKOV-3 cell lysate at 60 µg

Lane 2:

COS7 cell lysate at 60 µg

Lane 3:

Negative control HeLa whole cell lysates at 60 µg

Secondary

All lanes:

HRP-conjugated goat anti-mouse IgG at 1/500 dilution

Predicted band size: 48 kDa

false

Key facts

宿主種

Mouse

クローン性

Monoclonal

クローン番号

1F8-3A8

アイソタイプ

IgG1

キャリアフリー

No

交差種

Mouse, Human, Primates, African green monkey

アプリケーション

ICC/IF, WB, IHC-P

applications

免疫原

Recombinant Fragment Protein within Human PAX8. The exact immunogen used to generate this antibody is proprietary information.

Q06710

Reactivity data

{ "title": "Reactivity Data", "filters": { "stats": ["", "Species", "Dilution Info", "Notes"], "tabs": { "all-applications": {"fullname" : "All Applications", "shortname": "All Applications"}, "WB" : {"fullname" : "Western blot", "shortname":"WB"}, "IHCP" : {"fullname" : "Immunohistochemistry (Formalin/PFA-fixed paraffin-embedded sections)", "shortname":"IHC-P"}, "ICCIF" : {"fullname" : "Immunocytochemistry/ Immunofluorescence", "shortname":"ICC/IF"} }, "product-promise": { "all": "all", "testedAndGuaranteed": "tested", "guaranteed": "expected", "predicted": "predicted", "notRecommended": "not-recommended" } }, "values": { "Human": { "WB-species-checked": "testedAndGuaranteed", "WB-species-dilution-info": "1/500 - 1/2000", "WB-species-notes": "<p></p>", "IHCP-species-checked": "guaranteed", "IHCP-species-dilution-info": "", "IHCP-species-notes": "", "ICCIF-species-checked": "testedAndGuaranteed", "ICCIF-species-dilution-info": "1/50 - 1/200", "ICCIF-species-notes": "<p></p>" }, "Mouse": { "WB-species-checked": "guaranteed", "WB-species-dilution-info": "", "WB-species-notes": "", "IHCP-species-checked": "testedAndGuaranteed", "IHCP-species-dilution-info": "1/20 - 1/100", "IHCP-species-notes": "<p></p>", "ICCIF-species-checked": "guaranteed", "ICCIF-species-dilution-info": "", "ICCIF-species-notes": "" }, "African green monkey": { "WB-species-checked": "testedAndGuaranteed", "WB-species-dilution-info": "1/500 - 1/2000", "WB-species-notes": "<p></p>", "IHCP-species-checked": "guaranteed", "IHCP-species-dilution-info": "", "IHCP-species-notes": "", "ICCIF-species-checked": "testedAndGuaranteed", "ICCIF-species-dilution-info": "1/50 - 1/200", "ICCIF-species-notes": "<p></p>" }, "Primates": { "WB-species-checked": "predicted", "WB-species-dilution-info": "", "WB-species-notes": "", "IHCP-species-checked": "predicted", "IHCP-species-dilution-info": "", "IHCP-species-notes": "", "ICCIF-species-checked": "predicted", "ICCIF-species-dilution-info": "", "ICCIF-species-notes": "" } } }

下記製品もご検討ください

AB191870

Anti-PAX8 antibody [EPR18715]

0
0 Reviews
製品ページを見る
こちらの製品も推奨する理由

私たちは、より高品質な製品をお届けするために、製品構成を常に改善しています。今回ご紹介する代替製品は、性能の向上、使いやすさや利便性の向上、またはより早くお届けできる点などを踏まえて選定しています。

出荷温度及び保存条件

製品の状態
Liquid
精製方法
Affinity purification Protein A
バッファー組成
Preservative: 0.05% Sodium azide Constituents: 69% PBS, 30% Glycerol (glycerin, glycerine), 0.1% BSA
出荷温度
Blue Ice
短期保存期間
1-2 weeks
短期保存温度
+4°C
長期保存温度
-20°C
分注に関する情報
Upon delivery aliquot
保管に関する情報
Avoid freeze / thaw cycle

補足情報

This supplementary information is collated from multiple sources and compiled automatically.

PAX8 also known as 3a8 is a transcription factor with a molecular mass of approximately 48 kDa. It belongs to the paired box (PAX) family of proteins which are characterized by a specific DNA-binding domain. PAX8 plays an important role in organ development and cellular differentiation. This protein is mainly expressed in the thyroid kidneys and Müllerian-derived tissues. Researchers often detect PAX8 using immunohistochemistry (PAX8 IHC) techniques due to its tissue-specific expression patterns.
Biological function summary

The PAX8 protein regulates the expression of genes related to organogenesis and cell fate determination. It forms part of transcriptional regulatory complexes partnering with other proteins to modulate gene activity. PAX8 supports embryonic development especially in the thyroid and urogenital tract. Its presence ensures the proper function and formation of these organs highlighting its significance in developmental biology.

Pathways

PAX8 interacts with several key biological processes. It notably participates in the thyroid hormone synthesis pathway where it regulates the expression of thyroglobulin and thyroperoxidase. PAX8 also affects the renal system through its interaction with WT1 a protein involved in kidney development. These pathways illustrate PAX8's role in maintaining endocrine and renal functions by influencing important protein interactions.

PAX8 mutations and dysregulation connect to conditions like congenital hypothyroidism and renal agenesis. In congenital hypothyroidism defects in PAX8 lead to impaired thyroid development affecting hormone production. Moreover its interaction with BCL2 an important apoptosis regulator relates to certain cancers such as ovarian carcinoma. The misregulation of PAX8 increases the risk and progression of these disorders by disrupting normal physiological processes.

製品プロトコール

For this product, it's our understanding that no specific protocols are required. You can visit:

ターゲットの情報

Transcription factor for the thyroid-specific expression of the genes exclusively expressed in the thyroid cell type, maintaining the functional differentiation of such cells.
See full target information PAX8

Abcam product promise

当社は、高品質な試薬を通じてお客様の研究を力強くサポートすることをお約束いたします。ご使用いただく各段階で、常にお客様をサポートできる体制を整えております。万が一、製品が期待通りに機能しない場合は、「Abcam Product Promise」による当社保証制度に基づき、安心してご利用いただけます。
保証に関する詳細については利用規約をご確認ください。

関連製品

Select an associated product type
Alternative Product
Primary Antibodies

AB215953

Alexa Fluor® 647 Anti-PAX8 antibody [EPR18715]

primary-antibodies

alexa-fluor-647-pax8-antibody-epr18715-ab215953

0

(0 reviews)

Alternative Product
Primary Antibodies

AB217733

Alexa Fluor® 555 Anti-PAX8 antibody [EPR18715]

primary-antibodies

alexa-fluor-555-pax8-antibody-epr18715-ab217733

0

(2 reviews)

Alternative Product
Primary Antibodies

AB189249

Anti-PAX8 antibody [EPR13511] - C-terminal

primary-antibodies

pax8-antibody-epr13511-c-terminal-ab189249

4

(1 reviews)

Alternative Product
Primary Antibodies

AB246332

Anti-PAX8 antibody [EPR18715] - BSA and Azide free

primary-antibodies

pax8-antibody-epr18715-bsa-and-azide-free-ab246332

0

(0 reviews)

Alternative Product
Primary Antibodies

AB214955

Alexa Fluor® 488 Anti-PAX8 antibody [EPR18715]

primary-antibodies

alexa-fluor-488-pax8-antibody-epr18715-ab214955

0

(0 reviews)

Alternative Product
Primary Antibodies

AB181054

Anti-PAX8 antibody [EPR13510]

primary-antibodies

pax8-antibody-epr13510-ab181054

0

(0 reviews)

Please note: All products are 'FOR RESEARCH USE ONLY. NOT FOR USE IN DIAGNOSTIC OR THERAPEUTIC PROCEDURES'.

For licensing inquiries, please contact partnerships@abcam.com