JavaScript is disabled in your browser. Please enable JavaScript to view this website.
AB109233

Anti-PAX6 抗体 [EPR3352(2)]

Anti-PAX6 antibody [EPR3352(2)]

  • BOND RX™ Validated
  • 20ul selling size
  • Recombinant
  • Advanced Validation
  • RabMAb
  • 詳細を見る

5

(1 Review)

|

(2 Publications)

Rabbit Recombinant Monoclonal PAX6 antibody. Suitable for IHC-P, mIHC, IP, WB and reacts with Mouse, Rat, Human samples. Cited in 2 publications.

別名を表示する

AN2, PAX6, Paired box protein Pax-6, Aniridia type II protein, Oculorhombin

12 Images
Multiplex immunohistochemistry - Anti-PAX6 antibody [EPR3352(2)] (AB109233)
  • mIHC

Lab

Multiplex immunohistochemistry - Anti-PAX6 antibody [EPR3352(2)] (AB109233)

Multiplex immunohistochemistry analysis of formalin/PFA-fixed paraffin-embedded Human retina tissue labeling PAX6, Glutamine Synthetase and CRX with ab109233 at 1/10000 dilution, ab240193 at 1/20000 dilution and ab248897 at 1/1000 dilution followed by a ready to use Opal Polymer HRP Ms + Rb secondary antibody. Nuclear counter stain used was DAPI. Heat mediated antigen retrieval with Tris-EDTA buffer (pH 9.0, epitope retrieval solution2) for 20 mins Panel A : merged staining of anti-CRX (gray; Opal™690), anti-Glutamine Synthetase (green; Opal™520) and anti-PAX6 (red; Opal™570) on human retina. Panel B : anti-PAX6 stained on retinal progenitor cells. Panel C : anti-Glutamine Synthetase stained on Müller glia. Panel D : anti-CRX stained on subset cells of outer nuclear layer and inner nuclear layer. The section was incubated in three rounds of staining : in the order of ab248897, ab240193, and ab109233 for 30 mins at room temperature. Each round was followed by a separate fluorescent tyramide signal amplification system. The immunostaining was performed on a Leica Biosystems BOND® RX instrument with an Opal™ 4-color kit. Image acquisition was performed with Leica SP8 confocal microscope.

Multiplex immunohistochemistry - Anti-PAX6 antibody [EPR3352(2)] (AB109233)
  • mIHC

Lab

Multiplex immunohistochemistry - Anti-PAX6 antibody [EPR3352(2)] (AB109233)

Multiplex immunohistochemistry analysis of formalin/PFA-fixed paraffin-embedded mouse retina tissue staining RPE65 with ab231782 at a 1/8000 dilution, ab109233 anti-PAX6 used at 1/1000 dilution and ab221664 anti-RHO used at a 1/30000 dilution.

Panel A : merged staining of anti-RPE65 (green; Opal™520), anti-PAX6 (magenta; Opal™690) and anti-RHO (gray; Opal™570) on mouse retina.

Panel B : anti-RPE65 staining pigmented layer in mouse retina.

Panel C : ant-PAX6 staining inner nuclear layer and ganglion cell layer in mouse retina.

Panel D : ant-RHO staining rod-shaped photoreceptor cells in mouse retina.

Nuclear DNA was labeled with DAPI (shown in blue).

The section was incubated in three rounds of staining : in the order of ab231782, ab109233 and ab221664 for 30 mins at room temperature. Each round was followed by a separate fluorescent tyramide signal amplification system.

The immunostaining was performed on a Leica Biosystems BOND® RX instrument with an Opal™ 4-color kit. Image acquisition was performed with Leica SP8 confocal microscope.

Heat mediated antigen retrieval was performed with Tris-EDTA buffer (pH 9.0, Epitope Retrieval Solution2) for 20 mins.

Western blot - Anti-PAX6 antibody [EPR3352(2)] (AB109233)
  • WB

Lab

Western blot - Anti-PAX6 antibody [EPR3352(2)] (AB109233)

Western blot : Anti-PAX6 antibody [EPR3352(2)] (ab109233) staining at 1/5000 dilution, shown in green; Mouse anti-GAPDH antibody [6C5] (ab8245) loading control staining at 1/20000 dilution, shown in magenta. In Western blot, ab109233 was shown to bind specifically to PAX6. A band was observed at 50 kDa in wild-type A549 cell lysates with no signal observed at this size in PAX6 knockout cell line. To generate this image, wild-type and PAX6 knockout A549 cell lysates were analysed. First, samples were run on an SDS-PAGE gel then transferred onto a nitrocellulose membrane. Membranes were blocked in 5 % milk in TBS-0.1 % Tween® 20 (TBS-T) before incubation with primary antibodies overnight at 4 °C. Blots were washed four times in TBS-T, incubated with secondary antibodies for 1 h at room temperature, washed again four times then imaged. Secondary antibodies used were Goat anti-Rabbit IgG H&L 800CW and Goat anti-Mouse IgG H&L 680RD at 1/20000 dilution.

All lanes:

Western blot - Anti-PAX6 antibody [EPR3352(2)] (ab109233) at 1/5000 dilution

Lane 1:

Wild-type A549 cell lysate at 20 µg

Lane 2:

PAX6 knockout A549 cell lysate at 20 µg

Lane 3:

HEK-293 cell lysate at 20 µg

Lane 4:

MCF7 cell lysate at 20 µg

Secondary

All lanes:

Goat anti-Rabbit IgG H&L 800CW and Goat anti-Mouse IgG H&L 680RD at 1/20000 dilution

Observed band size: 50 kDa

false

Western blot - Anti-PAX6 antibody [EPR3352(2)] (AB109233)
  • WB

Unknown

Western blot - Anti-PAX6 antibody [EPR3352(2)] (AB109233)

All lanes:

Western blot - Anti-PAX6 antibody [EPR3352(2)] (ab109233) at 1/1000 dilution

Lane 1:

HeLa cell lysate at 10 µg

Lane 2:

K562 cell lysate at 10 µg

Lane 3:

HepG2 cell lysate at 10 µg

Secondary

All lanes:

HRP labelled goat anti-rabbit at 1/2000 dilution

Predicted band size: 47 kDa

Observed band size: 47 kDa

false

Immunohistochemistry (Formalin/PFA-fixed paraffin-embedded sections) - Anti-PAX6 antibody [EPR3352(2)] (AB109233)
  • IHC-P

Unknown

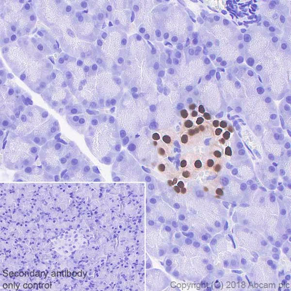
Immunohistochemistry (Formalin/PFA-fixed paraffin-embedded sections) - Anti-PAX6 antibody [EPR3352(2)] (AB109233)

Immunohistochemistry (Formalin/PFA-fixed paraffin-embedded sections) analysis of Rat pancreas tissue sections labeling PAX6 with Purified ab109233 at 1 : 2000 dilution (0.52 µg/ml). Heat mediated antigen retrieval was performed using ab93684 (Tris/EDTA buffer, pH 9.0). ImmunoHistoProbe one step HRP Polymer (ready to use)was used. Negative control : PBS instead of the primary antibody. Hematoxylin was used as a counterstain.

Immunohistochemistry (Formalin/PFA-fixed paraffin-embedded sections) - Anti-PAX6 antibody [EPR3352(2)] (AB109233)
  • IHC-P

Lab

Immunohistochemistry (Formalin/PFA-fixed paraffin-embedded sections) - Anti-PAX6 antibody [EPR3352(2)] (AB109233)

IHC image of Pax6 staining in normal rat retina formalin fixed paraffin embedded tissue section, performed on a Leica Bond™ system using the standard protocol F. The section was pre-treated using heat mediated antigen retrieval with sodium citrate buffer (pH6, epitope retrieval solution 1) for 20 mins. The section was then incubated with ab109233, 1μg/ml, for 15 mins at room temperature and detected using an HRP conjugated compact polymer system. DAB was used as the chromogen. The section was then counterstained with haematoxylin and mounted with DPX.

For other IHC staining systems (automated and non-automated) customers should optimize variable parameters such as antigen retrieval conditions, primary antibody concentration and antibody incubation times.

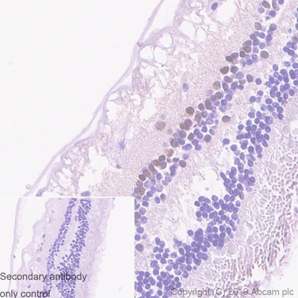
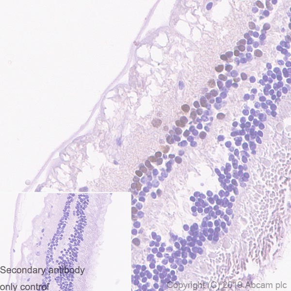
Immunohistochemistry (Formalin/PFA-fixed paraffin-embedded sections) - Anti-PAX6 antibody [EPR3352(2)] (AB109233)
  • IHC-P

Lab

Immunohistochemistry (Formalin/PFA-fixed paraffin-embedded sections) - Anti-PAX6 antibody [EPR3352(2)] (AB109233)

IHC image of Pax6 staining in normal mouse retina formalin fixed paraffin embedded tissue section, performed on a Leica Bond™ system using the standard protocol F. The section was pre-treated using heat mediated antigen retrieval with sodium citrate buffer (pH6, epitope retrieval solution 1) for 20 mins. The section was then incubated with ab109233, 1μg/ml, for 15 mins at room temperature and detected using an HRP conjugated compact polymer system. DAB was used as the chromogen. The section was then counterstained with haematoxylin and mounted with DPX.

For other IHC staining systems (automated and non-automated) customers should optimize variable parameters such as antigen retrieval conditions, primary antibody concentration and antibody incubation times.

Immunohistochemistry (Formalin/PFA-fixed paraffin-embedded sections) - Anti-PAX6 antibody [EPR3352(2)] (AB109233)
  • IHC-P

Unknown

Immunohistochemistry (Formalin/PFA-fixed paraffin-embedded sections) - Anti-PAX6 antibody [EPR3352(2)] (AB109233)

Immunohistochemistry (Formalin/PFA-fixed paraffin-embedded sections) analysis of Mouse retina tissue sections labeling PAX6 with Purified ab109233 at 1 : 2000 dilution (0.52 µg/ml). Heat mediated antigen retrieval was performed using ab93684 (Tris/EDTA buffer, pH 9.0). ImmunoHistoProbe one step HRP Polymer (ready to use) was used. Negative control : PBS instead of the primary antibody. Hematoxylin was used as a counterstain.

Immunohistochemistry (Formalin/PFA-fixed paraffin-embedded sections) - Anti-PAX6 antibody [EPR3352(2)] (AB109233)
  • IHC-P

Unknown

Immunohistochemistry (Formalin/PFA-fixed paraffin-embedded sections) - Anti-PAX6 antibody [EPR3352(2)] (AB109233)

Immunohistochemistry (Formalin/PFA-fixed paraffin-embedded sections) analysis of Human retina tissue sections labeling PAX6 with Purified ab109233 at 1 : 2000 dilution (0.52 µg/ml). Heat mediated antigen retrieval was performed using ab93684 (Tris/EDTA buffer, pH 9.0). ImmunoHistoProbe one step HRP Polymer (ready to use)was used. Negative control : PBS instead of the primary antibody. Hematoxylin was used as a counterstain.

Immunohistochemistry (Formalin/PFA-fixed paraffin-embedded sections) - Anti-PAX6 antibody [EPR3352(2)] (AB109233)
  • IHC-P

Unknown

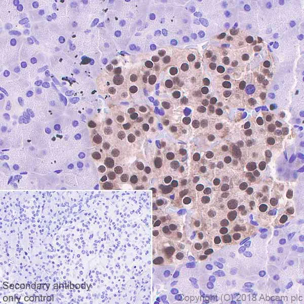
Immunohistochemistry (Formalin/PFA-fixed paraffin-embedded sections) - Anti-PAX6 antibody [EPR3352(2)] (AB109233)

Immunohistochemistry (Formalin/PFA-fixed paraffin-embedded sections) analysis of Human pancreas tissue sections labeling PAX6 with Purified ab109233 at 1 : 2000 dilution (0.52 µg/ml). Heat mediated antigen retrieval was performed using ab93684 (Tris/EDTA buffer, pH 9.0). ImmunoHistoProbe one step HRP Polymer (ready to use). Negative control : PBS instead of the primary antibody. Hematoxylin was used as a counterstain.

Immunoprecipitation - Anti-PAX6 antibody [EPR3352(2)] (AB109233)
  • IP

Unknown

Immunoprecipitation - Anti-PAX6 antibody [EPR3352(2)] (AB109233)

ab109233 (purified) at 1/50 dilution (20μg/ml) immunoprecipitating PAX6 in HeLa whole cell lysate.

Lane 1 (input) : HeLa (human cervix adenocarcinoma epithelial cell) whole cell lysate 10μg
Lane 2 (+) : ab109233 & HeLa whole cell lysate
Lane 3 (-) : Rabbit monoclonal IgG (ab172730) instead of ab109233 in HeLa whole cell lysate

For western blotting, ab109233 at 1/500 and veriBlot for IP secondary antibody (HRP) (ab131366) was used at 1/1000 dilution.

Blocking and diluting buffer : 5% NFDM /TBST.

All lanes:

Immunoprecipitation - Anti-PAX6 antibody [EPR3352(2)] (ab109233)

Predicted band size: 47 kDa

false

Western blot - Anti-PAX6 antibody [EPR3352(2)] (AB109233)
  • WB

Unknown

Western blot - Anti-PAX6 antibody [EPR3352(2)] (AB109233)

All lanes:

Western blot - Anti-PAX6 antibody [EPR3352(2)] (ab109233) at 1/1000 dilution

Lane 1:

HeLa (Human cervix adenocarcinoma epithelial cell) whole cell lysates at 15 µg

Lane 2:

Mouse retina lyates at 15 µg

Lane 3:

Rat retina lyates at 15 µg

Secondary

All lanes:

Western blot - Goat Anti-Rabbit IgG H&L (HRP) (<a href='/products/secondary-antibodies/goat-rabbit-igg-h-l-hrp-ab97051'>ab97051</a>) at 1/20000 dilution

Predicted band size: 47 kDa

false

関連する標識済み抗体及び組成の異なる製品 (1)

  • Carrier free

    Anti-PAX6 antibody [EPR3352(2)] - BSA and Azide free

Key facts

宿主種

Rabbit

クローン性

Monoclonal

クローン番号

EPR3352(2)

アイソタイプ

IgG

キャリアフリー

No

交差種

Mouse, Rat, Human

アプリケーション

IP, mIHC, WB, IHC-P

applications

免疫原

The exact immunogen used to generate this antibody is proprietary information.

Reactivity data

{ "title": "Reactivity Data", "filters": { "stats": ["", "Species", "Dilution Info", "Notes"], "tabs": { "all-applications": {"fullname" : "All Applications", "shortname": "All Applications"}, "IHCP" : {"fullname" : "Immunohistochemistry (Formalin/PFA-fixed paraffin-embedded sections)", "shortname":"IHC-P"}, "mIHC" : {"fullname" : "Multiplex immunohistochemistry", "shortname":"mIHC"}, "ICCIF" : {"fullname" : "Immunocytochemistry/ Immunofluorescence", "shortname":"ICC/IF"}, "IP" : {"fullname" : "Immunoprecipitation", "shortname":"IP"}, "FlowCyt" : {"fullname" : "Flow Cytometry", "shortname":"Flow Cyt"}, "WB" : {"fullname" : "Western blot", "shortname":"WB"} }, "product-promise": { "all": "all", "testedAndGuaranteed": "tested", "guaranteed": "expected", "predicted": "predicted", "notRecommended": "not-recommended" } }, "values": { "Human": { "IHCP-species-checked": "testedAndGuaranteed", "IHCP-species-dilution-info": "1/2000", "IHCP-species-notes": "<p>This product is not suitable using fluorescent secondary antibody in IHC-P test.</p> Perform heat-mediated antigen retrieval with citrate buffer pH 6 before commencing with IHC staining protocol.", "mIHC-species-checked": "testedAndGuaranteed", "mIHC-species-dilution-info": "", "mIHC-species-notes": "<p></p>", "ICCIF-species-checked": "notRecommended", "ICCIF-species-dilution-info": "", "ICCIF-species-notes": "<p></p>", "IP-species-checked": "testedAndGuaranteed", "IP-species-dilution-info": "1/50", "IP-species-notes": "<p></p>", "FlowCyt-species-checked": "notRecommended", "FlowCyt-species-dilution-info": "", "FlowCyt-species-notes": "<p></p>", "WB-species-checked": "testedAndGuaranteed", "WB-species-dilution-info": "1/1000 - 1/10000", "WB-species-notes": "<p></p>" }, "Mouse": { "IHCP-species-checked": "testedAndGuaranteed", "IHCP-species-dilution-info": "1/2000", "IHCP-species-notes": "<p>This product is not suitable using fluorescent secondary antibody in IHC-P test.</p> Perform heat-mediated antigen retrieval with citrate buffer pH 6 before commencing with IHC staining protocol.", "mIHC-species-checked": "testedAndGuaranteed", "mIHC-species-dilution-info": "1/10000", "mIHC-species-notes": "<p></p> Perform heat-mediated antigen retrieval with Tris/EDTA buffer pH 9.0 before commencing with IHC staining protocol.", "ICCIF-species-checked": "notRecommended", "ICCIF-species-dilution-info": "", "ICCIF-species-notes": "<p></p>", "IP-species-checked": "guaranteed", "IP-species-dilution-info": "", "IP-species-notes": "", "FlowCyt-species-checked": "notRecommended", "FlowCyt-species-dilution-info": "", "FlowCyt-species-notes": "<p></p>", "WB-species-checked": "guaranteed", "WB-species-dilution-info": "", "WB-species-notes": "" }, "Rat": { "IHCP-species-checked": "testedAndGuaranteed", "IHCP-species-dilution-info": "1/2000", "IHCP-species-notes": "<p>This product is not suitable using fluorescent secondary antibody in IHC-P test.</p> Perform heat-mediated antigen retrieval with citrate buffer pH 6 before commencing with IHC staining protocol.", "mIHC-species-checked": "guaranteed", "mIHC-species-dilution-info": "", "mIHC-species-notes": "", "ICCIF-species-checked": "notRecommended", "ICCIF-species-dilution-info": "", "ICCIF-species-notes": "<p></p>", "IP-species-checked": "guaranteed", "IP-species-dilution-info": "", "IP-species-notes": "", "FlowCyt-species-checked": "notRecommended", "FlowCyt-species-dilution-info": "", "FlowCyt-species-notes": "<p></p>", "WB-species-checked": "guaranteed", "WB-species-dilution-info": "", "WB-species-notes": "" } } }

製品の詳細

Patented technology
Our RabMAb® technology is a patented hybridoma-based technology for making rabbit monoclonal antibodies. For details on our patents, please refer to RabMAb® patents.

What are the advantages of a recombinant monoclonal antibody?
This product is a recombinant monoclonal antibody, which offers several advantages including:

  • - High batch-to-batch consistency and reproducibility
  • - Improved sensitivity and specificity
  • - Long-term security of supply
  • - Animal-free batch production

For more information, read more on recombinant antibodies.

出荷温度及び保存条件

製品の状態
Liquid
精製方法
Affinity purification Protein A
バッファー組成
pH: 7.2 - 7.4 Preservative: 0.01% Sodium azide Constituents: PBS, 40% Glycerol (glycerin, glycerine), 0.05% BSA
出荷温度
Blue Ice
短期保存温度
+4°C
長期保存温度
-20°C
保管に関する情報
Stable for 12 months at -20°C

補足情報

This supplementary information is collated from multiple sources and compiled automatically.

The PAX6 protein also known as paired box 6 is a transcription factor involved in the development of eyes and neural tissues. It consists of a paired domain and a homeodomain collectively giving a molecular weight of approximately 48 kDa. This protein is highly expressed in developing ocular and central nervous tissues where it controls the expression of genes necessary for proper development. PAX6 is a widely studied marker in developmental biology due to its critical role in cellular differentiation and patterning processes.
Biological function summary

PAX6 acts as an important regulator in eye and neural development functioning alone and as part of larger complexes with other transcription factors. This role ensures the correct formation of ocular structures including the lens retina and cornea and neural elements by activating downstream targets important for cell fate decisions. The PAX6 protein intricately influences the genetic circuits that guide stem cell differentiation highlighting its importance in embryogenesis and organogenesis.

Pathways

PAX6 is pivotal in the Wnt signaling pathway and retinoic acid signaling. Its interaction within the Wnt pathway orchestrates vital developmental processes including those of eye morphogenesis and brain patterning. The protein collaborates with other transcriptional regulators such as SOX2 and EYA1 within these pathways facilitating the complex network of signals necessary for organ development and cellular identity specification.

PAX6 mutations have strong associations with aniridia and congenital eye malformations. Mutations in PAX6 disrupt the transcriptional regulation required for eye development often resulting in severe vision defects and structural anomalies. The intracacy of its involvement extends to disorders like Wilms' tumor wherein its altered expression or function in conjunction with proteins such as WT1 may contribute to oncogenesis. Scientists frequently use PAX6 staining to investigate these conditions and better understand their molecular underpinnings.

製品プロトコール

For this product, it's our understanding that no specific protocols are required. You can visit:

ターゲットの情報

PAX6 is a transcription factor with important roles in the development of the eye, nose, central nervous system, and pancreas. It competes with PAX4 for binding to a common element in the promoters of glucagon, insulin, and somatostatin. This supplementary information is collated from multiple sources and compiled automatically.
See full target information PAX6

文献 (2)

Recent publications for all applications. Explore the full list and refine your search

International journal of molecular sciences 21: PubMed32046281

2020

Arginase Inhibition Supports Survival and Differentiation of Neuronal Precursors in Adult Alzheimer's Disease Mice.

Applications

Unspecified application

Species

Unspecified reactive species

Baruh Polis,Kolluru D Srikanth,Vyacheslav Gurevich,Naamah Bloch,Hava Gil-Henn,Abraham O Samson

International journal of oncology 54:1884-1896 PubMed30896829

2019

MicroRNA-664 targets paired box protein 6 to inhibit the oncogenicity of pancreatic ductal adenocarcinoma.

Applications

Unspecified application

Species

Unspecified reactive species

Qi Wang,Jiaqi Wang,Songtao Niu,Songsong Wang,Yibin Liu,Xiaoya Wang
View all publications

Abcam product promise

当社は、高品質な試薬を通じてお客様の研究を力強くサポートすることをお約束いたします。ご使用いただく各段階で、常にお客様をサポートできる体制を整えております。万が一、製品が期待通りに機能しない場合は、「Abcam Product Promise」による当社保証制度に基づき、安心してご利用いただけます。
保証に関する詳細については利用規約をご確認ください。

関連製品

Select an associated product type
Alternative Product
Primary Antibodies

AB209836

Anti-PAX6 antibody

primary-antibodies

pax6-antibody-ab209836

0

(0 reviews)

Alternative Product
Primary Antibodies

AB212694

Anti-PAX6 antibody [PAX6/498] - BSA and Azide free

primary-antibodies

pax6-antibody-pax6-498-bsa-and-azide-free-ab212694

0

(0 reviews)

Alternative Product
Primary Antibodies

AB197768

Anti-PAX6 antibody [PAX6496]

primary-antibodies

pax6-antibody-pax6496-ab197768

0

(0 reviews)

Alternative Product
Primary Antibodies

AB238527

Anti-PAX6 antibody

primary-antibodies

pax6-antibody-ab238527

0

(0 reviews)

Alternative Product
Primary Antibodies

AB5790

Anti-PAX6 antibody

primary-antibodies

pax6-antibody-ab5790

4

(22 reviews)

Alternative Product
Primary Antibodies

AB265608

Anti-PAX6 antibody

primary-antibodies

pax6-antibody-ab265608

0

(0 reviews)

Alternative Product
Primary Antibodies

AB78545

Anti-PAX6 antibody [AD2.38]

primary-antibodies

pax6-antibody-ad238-ab78545

4

(10 reviews)

Alternative Product
Primary Antibodies

AB245110

Anti-PAX6 antibody [AD2.35]

primary-antibodies

pax6-antibody-ad235-ab245110

0

(0 reviews)

Alternative Product
Primary Antibodies

AB195045

Anti-PAX6 antibody [EPR15858]

primary-antibodies

pax6-antibody-epr15858-ab195045

5

(9 reviews)

Alternative Product
Primary Antibodies

AB255758

Anti-PAX6 antibody [AD2.35] - BSA and Azide free

primary-antibodies

pax6-antibody-ad235-bsa-and-azide-free-ab255758

0

(0 reviews)

Alternative Product
Primary Antibodies

AB233027

Anti-PAX6 antibody [EPR15858] - BSA and Azide free

primary-antibodies

pax6-antibody-epr15858-bsa-and-azide-free-ab233027

0

(0 reviews)

Please note: All products are 'FOR RESEARCH USE ONLY. NOT FOR USE IN DIAGNOSTIC OR THERAPEUTIC PROCEDURES'.

For licensing inquiries, please contact partnerships@abcam.com