JavaScript is disabled in your browser. Please enable JavaScript to view this website.
AB109443

Anti-PAX5 抗体 [EPR3730(2)]

Anti-PAX5 antibody [EPR3730(2)]

5

(4 Reviews)

|

(27 Publications)

Anti-PAX5 antibody [EPR3730(2)] (ab109443) is a rabbit monoclonal antibody detecting PAX5 in Western Blot, Flow Cytometry (Intra), Flow Cytometry, IP, IHC-P, ICC/IF, ChIP. Suitable for Human, Mouse, Rat.

- Biophysical QC for unrivalled batch-batch consistency
- Over 20 publications

別名を表示する

Paired box protein Pax-5, B-cell-specific transcription factor, BSAP, PAX5

19 Images
Immunohistochemistry (Formalin/PFA-fixed paraffin-embedded sections) - Anti-PAX5 antibody [EPR3730(2)] (AB109443)
  • IHC-P

Lab

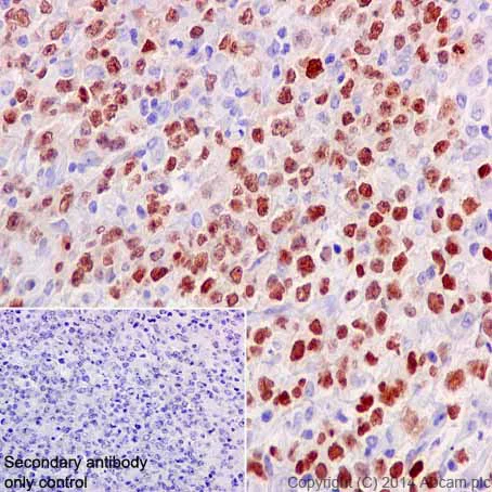
Immunohistochemistry (Formalin/PFA-fixed paraffin-embedded sections) - Anti-PAX5 antibody [EPR3730(2)] (AB109443)

Immunohistochemistry (Formalin/PFA-fixed paraffin-embedded sections) analysis of rat spleen tissue labelling PAX5 with purified ab109443 at 1/1000. Heat mediated antigen retrieval was performed using Tris/EDTA buffer pH 9. ab97051, a HRP-conjugated goat anti-rabbit IgG (H+L) was used as the secondary antibody (1/500). Negative control using PBS instead of primary antibody. Counterstained with hematoxylin.

Western blot - Anti-PAX5 antibody [EPR3730(2)] (AB109443)
  • WB

Lab

Western blot - Anti-PAX5 antibody [EPR3730(2)] (AB109443)

Blocking and dilution buffer : 5% NFDM/TBST.

All lanes:

Western blot - Anti-PAX5 antibody [EPR3730(2)] (ab109443) at 1/5000 dilution

All lanes:

Human tonsil tissue lysate at 20 µg

Secondary

All lanes:

Peroxidase-conjugated goat anti-rabbit IgG, (H+L) at 1/5000 dilution

Predicted band size: 29 kDa,42 kDa

Observed band size: 28 kDa,45 kDa

false

Western blot - Anti-PAX5 antibody [EPR3730(2)] (AB109443)
  • WB

Lab

Western blot - Anti-PAX5 antibody [EPR3730(2)] (AB109443)

Blocking and dilution buffer : 5% NFDM/TBST.

All lanes:

Western blot - Anti-PAX5 antibody [EPR3730(2)] (ab109443) at 1/5000 dilution

All lanes:

Mouse spleen tissue lysate at 20 µg

Secondary

All lanes:

Peroxidase-conjugated goat anti-rabbit IgG, (H+L) at 1/1000 dilution

Predicted band size: 42 kDa

Observed band size: 45 kDa

false

Flow Cytometry (Intracellular) - Anti-PAX5 antibody [EPR3730(2)] (AB109443)
  • Flow Cyt (Intra)

Unknown

Flow Cytometry (Intracellular) - Anti-PAX5 antibody [EPR3730(2)] (AB109443)

Overlay histogram showing Ramos cells stained with unpurified ab109443 (red line). The cells were fixed with 80% methanol (5 min) and then permeabilized with 0.1% PBS-Tween for 20 min. The cells were then incubated in 1x PBS / 10% normal goat serum / 0.3M glycine to block non-specific protein-protein interactions followed by the antibody (unpurified ab109443, 1/100 dilution) for 30 min at 22°C. The secondary antibody used was DyLight® 488 goat anti-rabbit IgG (H+L) (ab96899) at 1/500 dilution for 30 min at 22°C. Isotype control antibody (black line) was rabbit IgG (monoclonal) (1μg/1x106 cells) used under the same conditions. Acquisition of >5,000 events was performed.

Flow Cytometry (Intracellular) - Anti-PAX5 antibody [EPR3730(2)] (AB109443)
  • Flow Cyt (Intra)

Lab

Flow Cytometry (Intracellular) - Anti-PAX5 antibody [EPR3730(2)] (AB109443)

Intracellular Flow Cytometry analysis of Ramos cells labelling PAX5 with purified ab109443 at 1/30 (red). Cells were fixed with 80% methanol. A FITC-conjugated goat anti-rabbit IgG (1/150) was used as the secondary antibody. Black - Isotype control, rabbit monoclonal IgG. Blue - Unlabelled control, cells without incubation with primary and secondary antibodies.

Immunohistochemistry (Formalin/PFA-fixed paraffin-embedded sections) - Anti-PAX5 antibody [EPR3730(2)] (AB109443)
  • IHC-P

Unknown

Immunohistochemistry (Formalin/PFA-fixed paraffin-embedded sections) - Anti-PAX5 antibody [EPR3730(2)] (AB109443)

Immunohistochemistry (Formalin/PFA-fixed paraffin-embedded sections) analysis of human tonsil tissue labelling PAX5 with unpurified ab109443.

Perform heat mediated antigen retrieval before commencing with IHC staining protocol.

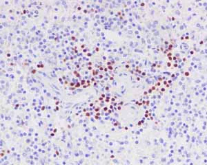
Immunohistochemistry (Formalin/PFA-fixed paraffin-embedded sections) - Anti-PAX5 antibody [EPR3730(2)] (AB109443)
  • IHC-P

Lab

Immunohistochemistry (Formalin/PFA-fixed paraffin-embedded sections) - Anti-PAX5 antibody [EPR3730(2)] (AB109443)

Immunohistochemistry (Formalin/PFA-fixed paraffin-embedded sections) analysis of human tonsil tissue labelling PAX5 with purified ab109443 at 1/1000. Heat mediated antigen retrieval was performed using Tris/EDTA buffer pH 9. ab97051, a HRP-conjugated goat anti-rabbit IgG (H+L) was used as the secondary antibody (1/500). Negative control using PBS instead of primary antibody. Counterstained with hematoxylin.

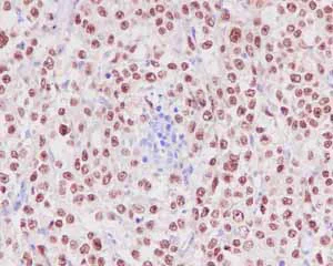
Immunohistochemistry (Formalin/PFA-fixed paraffin-embedded sections) - Anti-PAX5 antibody [EPR3730(2)] (AB109443)
  • IHC-P

Unknown

Immunohistochemistry (Formalin/PFA-fixed paraffin-embedded sections) - Anti-PAX5 antibody [EPR3730(2)] (AB109443)

Immunohistochemistry (Formalin/PFA-fixed paraffin-embedded sections) analysis of human normal spleen tissue labelling PAX5 with unpurified ab109443.

Perform heat mediated antigen retrieval before commencing with IHC staining protocol.

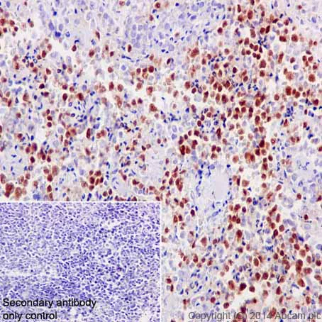
Immunohistochemistry (Formalin/PFA-fixed paraffin-embedded sections) - Anti-PAX5 antibody [EPR3730(2)] (AB109443)
  • IHC-P

Unknown

Immunohistochemistry (Formalin/PFA-fixed paraffin-embedded sections) - Anti-PAX5 antibody [EPR3730(2)] (AB109443)

Immunohistochemistry (Formalin/PFA-fixed paraffin-embedded sections) analysis of human diffuse B-cell lymphoma tissue labelling PAX5 with unpurified ab109443.

Perform heat mediated antigen retrieval before commencing with IHC staining protocol.

Immunocytochemistry/ Immunofluorescence - Anti-PAX5 antibody [EPR3730(2)] (AB109443)
  • ICC/IF

Lab

Immunocytochemistry/ Immunofluorescence - Anti-PAX5 antibody [EPR3730(2)] (AB109443)

Immunocytochemistry/Immunofluorescence analysis of Ramos cells labelling PAX5 with purified ab109443 at 1/250. Cells were fixed with 4% paraformaldehyde and permeabilized with 0.1% Triton X-100. ab150077, an Alexa Fluor® 488-conjugated goat anti-rabbit IgG (1/500) was used as the secondary antibody. DAPI (blue) was used as the nuclear counterstain. ab7291, a mouse anti-tubulin (1/1000) and ab150120, an Alexa Fluor® 594-conjugated goat anti-mouse IgG (1/500) were also used.

Control 1 : primary antibody (1/250) and secondary antibody, ab150120, an Alexa Fluor® 594-conjugated goat anti-mouse IgG (1/500).

Control 2 : ab7291 (1/1000) and secondary antibody, ab150077, an Alexa Fluor® 488-conjugated goat anti-rabbit IgG (1/500).

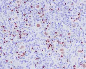
Immunohistochemistry (Formalin/PFA-fixed paraffin-embedded sections) - Anti-PAX5 antibody [EPR3730(2)] (AB109443)
  • IHC-P

Lab

Immunohistochemistry (Formalin/PFA-fixed paraffin-embedded sections) - Anti-PAX5 antibody [EPR3730(2)] (AB109443)

Immunohistochemistry (Formalin/PFA-fixed paraffin-embedded sections) analysis of human B-cell lymphoma tissue labelling PAX5 with purified ab109443 at 1/1000. Heat mediated antigen retrieval was performed using Tris/EDTA buffer pH 9. ab97051, a HRP-conjugated goat anti-rabbit IgG (H+L) was used as the secondary antibody (1/500). Negative control using PBS instead of primary antibody. Counterstained with hematoxylin.

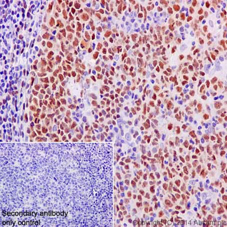
Immunohistochemistry (Formalin/PFA-fixed paraffin-embedded sections) - Anti-PAX5 antibody [EPR3730(2)] (AB109443)
  • IHC-P

Unknown

Immunohistochemistry (Formalin/PFA-fixed paraffin-embedded sections) - Anti-PAX5 antibody [EPR3730(2)] (AB109443)

Immunohistochemistry (Formalin/PFA-fixed paraffin-embedded sections) analysis of human Hodgkin's lymphoma tissue labelling PAX5 with unpurified ab109443.

Perform heat mediated antigen retrieval before commencing with IHC staining protocol.

Immunohistochemistry (Formalin/PFA-fixed paraffin-embedded sections) - Anti-PAX5 antibody [EPR3730(2)] (AB109443)
  • IHC-P

Unknown

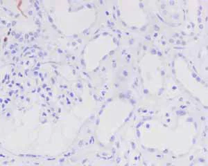
Immunohistochemistry (Formalin/PFA-fixed paraffin-embedded sections) - Anti-PAX5 antibody [EPR3730(2)] (AB109443)

ab109443 showing negative staining in Normal human kidney tissue.

Perform heat mediated antigen retrieval before commencing with IHC staining protocol.

Immunoprecipitation - Anti-PAX5 antibody [EPR3730(2)] (AB109443)
  • IP

Lab

Immunoprecipitation - Anti-PAX5 antibody [EPR3730(2)] (AB109443)

ab109443 (purified) at 1/20 dilution immunoprecipitating PAX5 in Ramos (Human Burkitt's lymphoma B lymphocyte) whole cell lysate 10 μg.

Lane 1 (input) : Ramos (Human Burkitt's lymphoma B lymphocyte) whole cell lysate 10 μg
Lane 2 (+) : ab109443 & Ramos whole cell lysate
Lane 3 (-) : Rabbit monoclonal IgG (ab172730) instead of ab109443 in Ramos whole cell lysate

For western blotting, ab109443 at 1/500 dilution (0.268 μg/mL) and veriBlot for IP secondary antibody (HRP) (ab131366) at 1/1000 dilution was used.

Blocking and diluting buffer : 5% NFDM /TBST.

All lanes:

Immunoprecipitation - Anti-PAX5 antibody [EPR3730(2)] (ab109443)

Predicted band size: 42 kDa

false

ChIP - Anti-PAX5 antibody [EPR3730(2)] (AB109443)
  • ChIP

Lab

ChIP - Anti-PAX5 antibody [EPR3730(2)] (AB109443)

Chromatin was prepared from Ramos cells according to the Abcam Dual-X-ChIP protocol*. Cells were fixed with 1.5 mM EGS for 30mins and then formaldehyde for 10min.
The ChIP was performed with 25 μg of chromatin, 5 μg of abzz (red), or 5 μg of rabbit normal IgG ab172730 (gray) and 25 μl of Protein A/G Dynabeads. The immunoprecipitated DNA was quantified by real time PCR (Sybr green approach).
Primers and probes are from paper PMID : 19806612
*http : //www.abcam.com/resources?keywords=X%20ChIP%20protocol

Immunoprecipitation - Anti-PAX5 antibody [EPR3730(2)] (AB109443)
  • IP

Lab

Immunoprecipitation - Anti-PAX5 antibody [EPR3730(2)] (AB109443)

ab109443 (purified) at 1/20 dilution immunoprecipitating PAX5 in mouse spleen lysate 10 μg.
Lane 1 (input) : mouse spleen lysate 10 μg
Lane 2 (+) : ab109443 & mouse spleen lysate
Lane 3 (-) : Rabbit monoclonal IgG (ab172730) instead of ab109443 in mouse spleen lysate
For western blotting, ab109443 at 1/500 dilution (0.268 μg/mL) and veriBlot for IP secondary antibody (HRP) (ab131366) at 1/1000 dilution was used.

Blocking and diluting buffer : 5% NFDM /TBST.

All lanes:

Immunoprecipitation - Anti-PAX5 antibody [EPR3730(2)] (ab109443)

Predicted band size: 42 kDa

false

Western blot - Anti-PAX5 antibody [EPR3730(2)] (AB109443)
  • WB

Unknown

Western blot - Anti-PAX5 antibody [EPR3730(2)] (AB109443)

All lanes:

Western blot - Anti-PAX5 antibody [EPR3730(2)] (ab109443) at 1/10000 dilution

Lane 1:

Ramos cell lysate at 10 µg

Lane 2:

Human tonsil tissue lysate at 10 µg

Lane 3:

Daudi cell lysates at 10 µg

Secondary

All lanes:

Standard HRP labelled goat anti-rabbit IgG at 1/2000 dilution

Predicted band size: 42 kDa

false

Western blot - Anti-PAX5 antibody [EPR3730(2)] (AB109443)
  • WB

Lab

Western blot - Anti-PAX5 antibody [EPR3730(2)] (AB109443)

Blocking and dilution buffer : 5% NFDM/TBST.

All lanes:

Western blot - Anti-PAX5 antibody [EPR3730(2)] (ab109443) at 1/20000 dilution

All lanes:

Ramos cell lysate at 20 µg

Secondary

All lanes:

Peroxidase-conjugated goat anti-rabbit IgG, (H+L) at 1/1000 dilution

Predicted band size: 42 kDa

Observed band size: 45 kDa

false

OI-RD Scanning - Anti-PAX5 antibody [EPR3730(2)] (AB109443)
  • OI-RD Scanning

Unknown

OI-RD Scanning - Anti-PAX5 antibody [EPR3730(2)] (AB109443)

We have systematically measured KD (the equilibrium dissociation constant between the antibody and its antigen), of more than 840 recombinant antibodies to assess not only their individual KD values but also to see the average affinity of antibody. Based on the comparison with published literature values for mouse monoclonal antibodies, Recombinant antibodies appear to be on average 1-2 order of magnitude higher affinity.

関連する標識済み抗体及び組成の異なる製品 (10)

  • Biotin

    Biotin Anti-PAX5 antibody [EPR3730(2)]

  • 665 Alexa Fluor® 647

    Alexa Fluor® 647 Anti-PAX5 antibody [EPR3730(2)]

  • Carrier free

    Anti-PAX5 antibody [EPR3730(2)] - BSA and Azide free

  • HRP

    HRP Anti-PAX5 antibody [EPR3730(2)]

  • 578 PE

    PE Anti-PAX5 antibody [EPR3730(2)]

  • 519 Alexa Fluor® 488

    Alexa Fluor® 488 Anti-PAX5 antibody [EPR3730(2)]

  • 565 Alexa Fluor® 555

    Alexa Fluor® 555 Anti-PAX5 antibody [EPR3730(2)]

  • 617 Alexa Fluor® 594

    Alexa Fluor® 594 Anti-PAX5 antibody [EPR3730(2)]

  • 660 APC

    APC Anti-PAX5 antibody [EPR3730(2)]

  • 775 Alexa Fluor® 750

    Alexa Fluor® 750 Anti-PAX5 antibody [EPR3730(2)]

Key facts

宿主種

Rabbit

クローン性

Monoclonal

クローン番号

EPR3730(2)

アイソタイプ

IgG

キャリアフリー

No

交差種

Mouse, Rat, Human

アプリケーション

WB, ICC/IF, Flow Cyt (Intra), ChIP, IP, IHC-P

applications

免疫原

The exact immunogen used to generate this antibody is proprietary information.

Reactivity data

{ "title": "Reactivity Data", "filters": { "stats": ["", "Species", "Dilution Info", "Notes"], "tabs": { "all-applications": {"fullname" : "All Applications", "shortname": "All Applications"}, "IHCP" : {"fullname" : "Immunohistochemistry (Formalin/PFA-fixed paraffin-embedded sections)", "shortname":"IHC-P"}, "IP" : {"fullname" : "Immunoprecipitation", "shortname":"IP"}, "ChIP" : {"fullname" : "ChIP", "shortname":"ChIP"}, "WB" : {"fullname" : "Western blot", "shortname":"WB"}, "ICCIF" : {"fullname" : "Immunocytochemistry/ Immunofluorescence", "shortname":"ICC/IF"}, "FlowCytIntra" : {"fullname" : "Flow Cytometry (Intracellular)", "shortname":"Flow Cyt (Intra)"} }, "product-promise": { "all": "all", "testedAndGuaranteed": "tested", "guaranteed": "expected", "predicted": "predicted", "notRecommended": "not-recommended" } }, "values": { "Human": { "IHCP-species-checked": "testedAndGuaranteed", "IHCP-species-dilution-info": "1/5000", "IHCP-species-notes": "<p><strong>For unpurified use at 1/250 - 1/500.</strong></p> Perform heat-mediated antigen retrieval before commencing with IHC staining protocol.", "IP-species-checked": "testedAndGuaranteed", "IP-species-dilution-info": "1/20", "IP-species-notes": "<p></p>", "ChIP-species-checked": "testedAndGuaranteed", "ChIP-species-dilution-info": "", "ChIP-species-notes": "<p></p>", "WB-species-checked": "testedAndGuaranteed", "WB-species-dilution-info": "1/5000", "WB-species-notes": "<p><strong>For unpurified use at 1/10000 - 1/50000.</strong></p>", "ICCIF-species-checked": "testedAndGuaranteed", "ICCIF-species-dilution-info": "1/250", "ICCIF-species-notes": "<p><strong>For unpurified use at 1/1000.</strong></p>", "FlowCytIntra-species-checked": "testedAndGuaranteed", "FlowCytIntra-species-dilution-info": "1/30", "FlowCytIntra-species-notes": "<p>For unpurified use at 1/10 - 1/100.<a href='/products/primary-antibodies/rabbit-igg-monoclonal-epr25a-isotype-control-ab172730'>ab172730</a> - Rabbit monoclonal IgG, is suitable for use as an isotype control with this antibody.</p>" }, "Mouse": { "IHCP-species-checked": "guaranteed", "IHCP-species-dilution-info": "", "IHCP-species-notes": "", "IP-species-checked": "testedAndGuaranteed", "IP-species-dilution-info": "1/20", "IP-species-notes": "<p></p>", "ChIP-species-checked": "guaranteed", "ChIP-species-dilution-info": "", "ChIP-species-notes": "", "WB-species-checked": "testedAndGuaranteed", "WB-species-dilution-info": "1/5000", "WB-species-notes": "<p><strong>For unpurified use at 1/10000 - 1/50000.</strong></p>", "ICCIF-species-checked": "guaranteed", "ICCIF-species-dilution-info": "", "ICCIF-species-notes": "", "FlowCytIntra-species-checked": "guaranteed", "FlowCytIntra-species-dilution-info": "", "FlowCytIntra-species-notes": "" }, "Rat": { "IHCP-species-checked": "testedAndGuaranteed", "IHCP-species-dilution-info": "1/5000", "IHCP-species-notes": "<p><strong>For unpurified use at 1/250 - 1/500.</strong></p> Perform heat-mediated antigen retrieval before commencing with IHC staining protocol.", "IP-species-checked": "guaranteed", "IP-species-dilution-info": "", "IP-species-notes": "", "ChIP-species-checked": "guaranteed", "ChIP-species-dilution-info": "", "ChIP-species-notes": "", "WB-species-checked": "guaranteed", "WB-species-dilution-info": "", "WB-species-notes": "", "ICCIF-species-checked": "guaranteed", "ICCIF-species-dilution-info": "", "ICCIF-species-notes": "", "FlowCytIntra-species-checked": "guaranteed", "FlowCytIntra-species-dilution-info": "", "FlowCytIntra-species-notes": "" } } }

製品の詳細

What is this antibody validated in?
Anti-PAX5 antibody [EPR3730(2)] (ab109443) is a rabbit recombinant monoclonal antibody and is validated for use in Western Blot (WB), Flow Cytometry (Intra), Flow Cytometry (Flow Cyt), Immunoprecipitation (IP), Immunohistochemistry (IHC-P), Immunocytochemistry/immunofluorescence (ICC/IF), ChIP in Human, Mouse, Rat samples.

What is the molecular weight of PAX5?
Anti-PAX5 [EPR3730(2)] (ab109443) specifically detects a band for PAX5 (UniProt: Q02548) at a molecular weight of 42kDa.

Trusted by the scientific community
Anti-PAX5 [EPR3730(2)] (ab109443) was first used in a scientific publication in 2011 and has been cited over 20 times in peer-reviewed journals.

Trial sizes available!
Test your antibody or perform pre-screening before committing to a larger quantity. Sold in 10µl. Discover our selection of trial-size antibodies.

Other related products
We have a range of other formats of antibody clone [EPR3730(2)] also available for your convenience: ab109443, Carrier free - ab193556, HRP - ab202837, Biotin - ab202956, Alexa Fluor® 647 - ab246753, PE - ab246754, Alexa Fluor® 488 - ab320332, Alexa Fluor® 555 - ab320333, Alexa Fluor® 594 - ab320334, APC - ab320335, Alexa Fluor® 750 - ab320952

Patented technology
Our RabMAb® technology is a patented hybridoma-based technology for making rabbit monoclonal antibodies. For details on our patents, please refer to RabMAb® patents.

What are the advantages of a recombinant monoclonal antibody?
This product is a recombinant monoclonal antibody, which offers several advantages including:

  • - High batch-to-batch consistency and reproducibility
  • - Improved sensitivity and specificity
  • - Long-term security of supply
  • - Animal-free batch production

For more information, read more on recombinant antibodies.

出荷温度及び保存条件

製品の状態
Liquid
精製方法
Affinity purification Protein A
バッファー組成
pH: 7.2 - 7.4 Preservative: 0.01% Sodium azide Constituents: 59% PBS, 40% Glycerol (glycerin, glycerine), 0.05% BSA
出荷温度
Blue Ice
短期保存期間
1-2 weeks
短期保存温度
+4°C
長期保存温度
-20°C
分注に関する情報
Upon delivery aliquot
保管に関する情報
Stable for 12 months at -20°C

補足情報

This supplementary information is collated from multiple sources and compiled automatically.

PAX5 also called B-cell-specific activator protein (BSAP) plays an important role in regulating gene expression during B-cell development. PAX5 is a transcription factor with an approximate mass of 50-55 kDa. It expresses mainly in B cells and in certain regions of the brain and testis. This protein binds DNA and controls the transcription of genes necessary for B-cell commitment and identity. Through processes like alternative splicing PAX5 generates multiple isoforms that contribute to various functional roles in its expressed locations.
Biological function summary

PAX5 regulates the differentiation and maintenance of B-lymphocytes. It controls various genes critical for B-cell lineage commitment while repressing those involved in other lineages like T-cells and myeloid cells. PAX5 is part of a larger transcriptional complex interacting with other transcription factors to perform its function. During B-cell maturation PAX5 activates a specific gene set that helps shape the B-cell receptor repertoire a process important for effective immune responses.

Pathways

PAX5 integrates into key pathways such as the B-cell receptor signaling and JAK-STAT pathways. These pathways regulate processes like cell proliferation differentiation and apoptosis. In the B-cell receptor signaling PAX5 works alongside proteins like CD19 and BTK facilitating the transmission of activation signals necessary for B-cell survival. Connections in the JAK-STAT pathway involve interactions that promote gene expression changes necessary for B-cell functional activity further modulating the immune system's readiness.

PAX5 is significantly associated with B-cell acute lymphoblastic leukemia (B-ALL) and non-Hodgkin lymphoma. In B-ALL mutations or deletions in PAX5 often lead to impaired B-cell development and uncontrolled cell proliferation. PAX5 mutations influence proteins like EBF1 and IL7R which are pivotal in B-cell progenitor activity and leukemogenesis. abnormalities in PAX5 expression or function can disrupt normal immune function leading to B-cell associated cancers and impairing immune surveillance highlighting its importance in maintaining immune system health.

製品プロトコール

For this product, it's our understanding that no specific protocols are required. You can visit:

ターゲットの情報

Transcription factor that plays an essential role in commitment of lymphoid progenitors to the B-lymphocyte lineage (PubMed : 10811620, PubMed : 27181361). Fulfills a dual role by repressing B-lineage inappropriate genes and simultaneously activating B-lineage-specific genes (PubMed : 10811620, PubMed : 27181361). In turn, regulates cell adhesion and migration, induces V(H)-to-D(H)J(H) recombination, facilitates pre-B-cell receptor signaling and promotes development to the mature B-cell stage (PubMed : 32612238). Repression of the cohesin-release factor WAPL causes global changes of the chromosomal architecture in pro-B cells to facilitate the generation of a diverse antibody repertoire (PubMed : 32612238).. (Microbial infection) Plays an essential role in the maintenance of Epstein-Barr virus genome copy number within the host cell by promoting EBNA1/oriP-dependent binding and transcription (PubMed : 31941781). Participates also in the inhibition of lytic EBV reactivation by modulating viral BZLF1 activity (PubMed : 23678172).
See full target information PAX5

文献 (27)

Recent publications for all applications. Explore the full list and refine your search

Aging 15:10105-10116 PubMed37751586

2023

SNHG25 promotes colorectal cancer metastasis by regulating MMP2.

Applications

Unspecified application

Species

Unspecified reactive species

Tao Gong,Yu Li,Liang Feng,Qingyu Xu,Guoliang Dai,Min Li,Yi Wang,Shenlin Liu

Frontiers in immunology 14:1166497 PubMed37234171

2023

Tertiary lymphoid structures predict the prognosis and immunotherapy response of cholangiocarcinoma.

Applications

Unspecified application

Species

Unspecified reactive species

Taiyu Shang,Tianyi Jiang,Tao Lu,Hui Wang,Xiaowen Cui,Yufei Pan,Mengyou Xu,Mengmiao Pei,Zhiwen Ding,Xiaofan Feng,Yunkai Lin,Xin Li,Yexiong Tan,Feiling Feng,Hui Dong,Hongyang Wang,Liwei Dong

Cell death discovery 9:116 PubMed37019893

2023

Counteracting gemcitabine+nab-paclitaxel induced dysbiosis in KRAS wild type and KRAS mutated pancreatic cancer in vivo model.

Applications

Unspecified application

Species

Unspecified reactive species

Concetta Panebianco,Federica Pisati,Annacandida Villani,Annapaola Andolfo,Marynka Ulaszewska,Edoardo Bellini,Carmelapia Ferro,Renato Lombardi,Fabrizio Orsenigo,Tiziana Pia Latiano,Beatrice Belmonte,Claudio Tripodo,Francesco Perri,Valerio Pazienza

Clinical cancer research : an official journal of the American Association for Cancer Research 29:2110-2122 PubMed37014656

2023

Collagen-Anchored Interleukin-2 and Interleukin-12 Safely Reprogram the Tumor Microenvironment in Canine Soft-Tissue Sarcomas.

Applications

Unspecified application

Species

Unspecified reactive species

Jordan A Stinson,Allison Sheen,Noor Momin,Jordan Hampel,Rebecca Bernstein,Rebecca Kamerer,Bahaa Fadl-Alla,Jonathan Samuelson,Elizabeth Fink,Timothy M Fan,K Dane Wittrup

Nature communications 13:3121 PubMed35660734

2022

Ex vivo-expanded human CD19TIM-1 regulatory B cells suppress immune responses in vivo and are dependent upon the TIM-1/STAT3 axis.

Applications

Unspecified application

Species

Unspecified reactive species

S Shankar,J Stolp,S C Juvet,J Beckett,P S Macklin,F Issa,J Hester,K J Wood

Scientific reports 12:8742 PubMed35610327

2022

The normal and fibrotic mouse lung classified by spatial proteomic analysis.

Applications

Unspecified application

Species

Unspecified reactive species

Roberta Ciccimarra,Maddalena M Bolognesi,Matteo Zoboli,Giorgio Cattoretti,Franco F Stellari,Francesca Ravanetti

Chinese medical journal 135:606-618 PubMed35191417

2022

Paired box 5 increases the chemosensitivity of esophageal squamous cell cancer cells by promoting p53 signaling activity.

Applications

Unspecified application

Species

Unspecified reactive species

Weiwei Zhang,Wenji Yan,Niansong Qian,Quanli Han,Weitao Zhang,Guanghai Dai

iScience 25:103943 PubMed35265815

2022

A murine model of cerebral cavernous malformations with acute hemorrhage.

Applications

Unspecified application

Species

Unspecified reactive species

Claudio Maderna,Federica Pisati,Claudio Tripodo,Elisabetta Dejana,Matteo Malinverno

Scientific reports 11:14466 PubMed34262061

2021

CKD-506: A novel HDAC6-selective inhibitor that exerts therapeutic effects in a rodent model of multiple sclerosis.

Applications

Unspecified application

Species

Unspecified reactive species

Daekwon Bae,Ji-Young Lee,Nina Ha,Jinsol Park,Jiyeon Baek,Donghyeon Suh,Hee Seon Lim,Soo Min Ko,Taehee Kim,Da Som Jeong,Woo-Chan Son

Scientific reports 11:11896 PubMed34099776

2021

Prognostic significance of p53, Sox11, and Pax5 co-expression in mantle cell lymphoma.

Applications

Unspecified application

Species

Unspecified reactive species

Caixia Jing,Yuhuan Zheng,Yu Feng,Xia Cao,Caigang Xu
View all publications

Abcam product promise

当社は、高品質な試薬を通じてお客様の研究を力強くサポートすることをお約束いたします。ご使用いただく各段階で、常にお客様をサポートできる体制を整えております。万が一、製品が期待通りに機能しない場合は、「Abcam Product Promise」による当社保証制度に基づき、安心してご利用いただけます。
保証に関する詳細については利用規約をご確認ください。

関連製品

Select an associated product type
Alternative Product
Primary Antibodies

AB236272

Anti-PAX5 antibody [rPAX5/2060] - BSA and Azide free

primary-antibodies

pax5-antibody-rpax5-2060-bsa-and-azide-free-ab236272

0

(0 reviews)

Alternative Product
Primary Antibodies

AB268218

Anti-PAX5 antibody [PAX5/3735] - BSA and Azide free

primary-antibodies

pax5-antibody-pax5-3735-bsa-and-azide-free-ab268218

0

(0 reviews)

Alternative Product
Primary Antibodies

AB268097

Anti-PAX5 antibody [PAX5/3735]

primary-antibodies

pax5-antibody-pax5-3735-ab268097

0

(0 reviews)

Alternative Product
Primary Antibodies

AB224660

Anti-PAX5 antibody [PAX5/2060]

primary-antibodies

pax5-antibody-pax5-2060-ab224660

0

(0 reviews)

Alternative Product
Primary Antibodies

AB238030

Anti-PAX5 antibody [PCRP-PAX5-1B1]

primary-antibodies

pax5-antibody-pcrp-pax5-1b1-ab238030

0

(0 reviews)

Alternative Product
Primary Antibodies

AB238031

Anti-PAX5 antibody [PAX5/2595]

primary-antibodies

pax5-antibody-pax5-2595-ab238031

0

(0 reviews)

Alternative Product
Primary Antibodies

AB211293

Anti-PAX5 antibody [1H9]

primary-antibodies

pax5-antibody-1h9-ab211293

0

(0 reviews)

Alternative Product
Primary Antibodies

AB15164

Anti-PAX5 antibody

primary-antibodies

pax5-antibody-ab15164

5

(2 reviews)

Alternative Product
Primary Antibodies

AB252243

Anti-PAX5 antibody [1H9] - BSA and Azide free

primary-antibodies

pax5-antibody-1h9-bsa-and-azide-free-ab252243

0

(0 reviews)

Alternative Product
Primary Antibodies

AB237773

Anti-PAX5 antibody [SP34] - BSA and Azide free

primary-antibodies

pax5-antibody-sp34-bsa-and-azide-free-ab237773

0

(0 reviews)

Alternative Product
Primary Antibodies

AB234402

Anti-PAX5 antibody [rPAX5/2060]

primary-antibodies

pax5-antibody-rpax5-2060-ab234402

0

(0 reviews)

Alternative Product
Primary Antibodies

AB183575

Anti-PAX5 antibody

primary-antibodies

pax5-antibody-ab183575

0

(0 reviews)

Alternative Product
Primary Antibodies

AB227635

Anti-PAX5 antibody [SP34] - ChIP Grade

primary-antibodies

pax5-antibody-sp34-chip-grade-ab227635

0

(0 reviews)

Alternative Product
Primary Antibodies

AB52588

Anti-PAX5 antibody [mAbcam52588]

primary-antibodies

pax5-antibody-mabcam52588-ab52588

0

(0 reviews)

Please note: All products are 'FOR RESEARCH USE ONLY. NOT FOR USE IN DIAGNOSTIC OR THERAPEUTIC PROCEDURES'.

For licensing inquiries, please contact partnerships@abcam.com