JavaScript is disabled in your browser. Please enable JavaScript to view this website.
AB218132

Anti-PARP1 抗体

Anti-PARP1 antibody

Be the first to review this product! Submit a review

|

(1 Publication)

Rabbit Polyclonal PARP1 antibody. Suitable for IHC-P, WB and reacts with Mouse, Rat, Human samples. Cited in 1 publication. Immunogen corresponding to Synthetic Peptide within Human PARP1 aa 200-250 conjugated to Keyhole Limpet Haemocyanin.

別名を表示する

ADPRT, PPOL, PARP1, Poly [ADP-ribose] polymerase 1, PARP-1, ADP-ribosyltransferase diphtheria toxin-like 1, DNA ADP-ribosyltransferase PARP1, NAD(+) ADP-ribosyltransferase 1, Poly[ADP-ribose] synthase 1, Protein poly-ADP-ribosyltransferase PARP1, ARTD1, ADPRT 1

5 Images
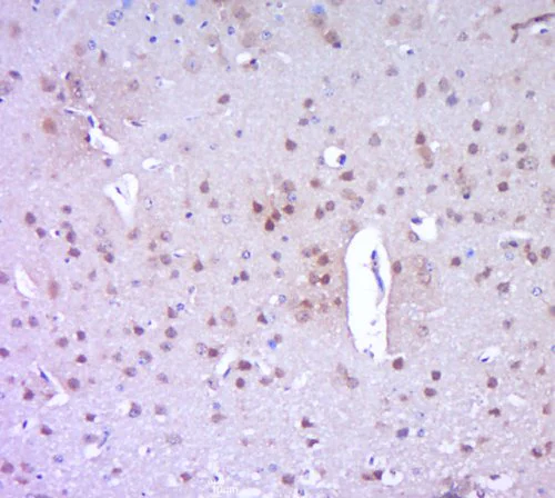
Immunohistochemistry (Formalin/PFA-fixed paraffin-embedded sections) - Anti-PARP1 antibody (AB218132)
  • IHC-P

Supplier Data

Immunohistochemistry (Formalin/PFA-fixed paraffin-embedded sections) - Anti-PARP1 antibody (AB218132)

Immunohistochemical analysis of formalin-fixed paraffin-embedded mouse brain tissue, labeling PARP1 using ab218132 at a 1/400 dilution, followed by conjugation to the secondary antibody and DAB staining.

Immunohistochemistry (Formalin/PFA-fixed paraffin-embedded sections) - Anti-PARP1 antibody (AB218132)
  • IHC-P

Supplier Data

Immunohistochemistry (Formalin/PFA-fixed paraffin-embedded sections) - Anti-PARP1 antibody (AB218132)

Immunohistochemical analysis of formalin-fixed paraffin-embedded rat brain tissue, labeling PARP1 using ab218132 at a 1/200 dilution, followed by conjugation to the secondary antibody goat anti-rabbit IgG, FITC-conjugated at a 1/200 dilution and DAPI.

Western blot - Anti-PARP1 antibody (AB218132)
  • WB

Supplier Data

Western blot - Anti-PARP1 antibody (AB218132)

All lanes:

Western blot - Anti-PARP1 antibody (ab218132) at 1/300 dilution

All lanes:

HeLa lysates

Secondary

All lanes:

goat anti-rabbit IgG antibody (H+L) HRP-conjugated at 1/5000 dilution

Predicted band size: 113 kDa

true

Western blot - Anti-PARP1 antibody (AB218132)
  • WB

Supplier Data

Western blot - Anti-PARP1 antibody (AB218132)

All lanes:

Western blot - Anti-PARP1 antibody (ab218132) at 1/200 dilution

Lane 1:

Human colon carcinoma lysates

Lane 2:

rat brain lysates

Secondary

All lanes:

goat anti-rabbit IgG antibody (H+L) HRP-conjugated at 1/3000 dilution

Predicted band size: 113 kDa

Observed band size: 112 kDa

true

Western blot - Anti-PARP1 antibody (AB218132)
  • WB

Supplier Data

Western blot - Anti-PARP1 antibody (AB218132)

All lanes:

Western blot - Anti-PARP1 antibody (ab218132) at 1/300 dilution

All lanes:

Human Raji lysates

Secondary

All lanes:

goat anti-rabbit IgG antibody (H+L) HRP-conjugated at 1/5000 dilution

Predicted band size: 113 kDa

true

Key facts

宿主種

Rabbit

クローン性

Polyclonal

アイソタイプ

IgG

キャリアフリー

No

交差種

Mouse, Rat, Human

アプリケーション

WB, IHC-P

applications

免疫原

Synthetic Peptide within Human PARP1 aa 200-250 conjugated to Keyhole Limpet Haemocyanin. The exact immunogen used to generate this antibody is proprietary information.

P09874

Reactivity data

{ "title": "Reactivity Data", "filters": { "stats": ["", "Species", "Dilution Info", "Notes"], "tabs": { "all-applications": {"fullname" : "All Applications", "shortname": "All Applications"}, "IHCP" : {"fullname" : "Immunohistochemistry (Formalin/PFA-fixed paraffin-embedded sections)", "shortname":"IHC-P"}, "WB" : {"fullname" : "Western blot", "shortname":"WB"} }, "product-promise": { "all": "all", "testedAndGuaranteed": "tested", "guaranteed": "expected", "predicted": "predicted", "notRecommended": "not-recommended" } }, "values": { "Human": { "IHCP-species-checked": "guaranteed", "IHCP-species-dilution-info": "", "IHCP-species-notes": "", "WB-species-checked": "testedAndGuaranteed", "WB-species-dilution-info": "1/100 - 1/1000", "WB-species-notes": "<p></p>" }, "Mouse": { "IHCP-species-checked": "testedAndGuaranteed", "IHCP-species-dilution-info": "1/100 - 1/500", "IHCP-species-notes": "<p>When using a fluorescent probe the recommended dilution is 1/50 – 1/200.</p> Perform heat-mediated antigen retrieval with citrate buffer pH 6 before commencing with IHC staining protocol.", "WB-species-checked": "guaranteed", "WB-species-dilution-info": "", "WB-species-notes": "" }, "Rat": { "IHCP-species-checked": "testedAndGuaranteed", "IHCP-species-dilution-info": "1/100 - 1/500", "IHCP-species-notes": "<p>When using a fluorescent probe the recommended dilution is 1/50 – 1/200.</p> Perform heat-mediated antigen retrieval with citrate buffer pH 6 before commencing with IHC staining protocol.", "WB-species-checked": "guaranteed", "WB-species-dilution-info": "", "WB-species-notes": "" } } }

出荷温度及び保存条件

製品の状態
Liquid
精製方法
Affinity purification Protein A
バッファー組成
pH: 7.4 Preservative: 0.02% Proclin 300 Constituents: 50% Glycerol (glycerin, glycerine), 48.98% TBS, 1X, 1% BSA
出荷温度
Blue Ice
短期保存期間
1-2 weeks
短期保存温度
+4°C
長期保存温度
-20°C
分注に関する情報
Upon delivery aliquot
保管に関する情報
Avoid freeze / thaw cycle

補足情報

This supplementary information is collated from multiple sources and compiled automatically.

PARP1 also known as poly(ADP-ribose) polymerase 1 is an enzyme that plays an important role in DNA repair processes. It detects DNA single-strand breaks and uses NAD+ as a substrate to add ADP-ribose polymers to itself and other proteins. This post-translational modification signals DNA repair machinery to the site of damage. PARP1 has a molecular weight of approximately 116 kDa. It is widely expressed in the nucleus of eukaryotic cells. PARP1 is often studied by western blotting techniques to analyze its expression and activation levels.
Biological function summary

Poly(ADP-ribose) polymerase 1 functions to maintain genomic stability by acting within the base excision repair complex. This complex is important for the detection and repair of DNA damage preventing the accumulation of mutations. By acting at sites of DNA stress PARP1 facilitates the binding of DNA repair proteins stabilizing the DNA structure during the repair process. This role is significant for cells that undergo frequent DNA replication or are exposed to high levels of genotoxic stress.

Pathways

The PARP1 protein is integral to the DNA damage response and repair pathway. It interacts with other proteins such as XRCC1 to coordinate repair activities at damaged DNA sites. Another important pathway involving PARP1 is the apoptosis pathway where excessive activation of PARP1 can lead to cell death due to depletion of cellular NAD+ and ATP. This indicates its dual role in both promoting cell survival through DNA repair and contributing to cell death when damage is irreparable.

Poly(ADP-ribose) polymerase 1 is strongly linked to cancer and neurodegenerative diseases. Its activity is heightened in many cancer types where cancer cells exploit PARP1 for survival by repairing DNA damage that would otherwise be lethal. Inhibitors of PARP1 are being developed as cancer therapies to target these survival mechanisms. Moreover overactivation of PARP1 in neurodegenerative disorders like Alzheimer's disease can lead to excessive energy consumption promoting neuronal cell damage. In these contexts PARP1 connects with proteins like BRCA1 in cancer or AIF in neurodegeneration illustrating its role in disease mechanisms.

製品プロトコール

For this product, it's our understanding that no specific protocols are required. You can visit:

ターゲットの情報

Poly-ADP-ribosyltransferase that mediates poly-ADP-ribosylation of proteins and plays a key role in DNA repair (PubMed : 17177976, PubMed : 18055453, PubMed : 18172500, PubMed : 19344625, PubMed : 19661379, PubMed : 20388712, PubMed : 21680843, PubMed : 22582261, PubMed : 23230272, PubMed : 25043379, PubMed : 26344098, PubMed : 26626479, PubMed : 26626480, PubMed : 30104678, PubMed : 31796734, PubMed : 32028527, PubMed : 32241924, PubMed : 32358582, PubMed : 33186521, PubMed : 34465625, PubMed : 34737271). Mediates glutamate, aspartate, serine, histidine or tyrosine ADP-ribosylation of proteins : the ADP-D-ribosyl group of NAD(+) is transferred to the acceptor carboxyl group of target residues and further ADP-ribosyl groups are transferred to the 2'-position of the terminal adenosine moiety, building up a polymer with an average chain length of 20-30 units (PubMed : 19764761, PubMed : 25043379, PubMed : 28190768, PubMed : 29954836, PubMed : 35393539, PubMed : 7852410, PubMed : 9315851). Serine ADP-ribosylation of proteins constitutes the primary form of ADP-ribosylation of proteins in response to DNA damage (PubMed : 33186521, PubMed : 34874266). Specificity for the different amino acids is conferred by interacting factors, such as HPF1 and NMNAT1 (PubMed : 28190768, PubMed : 29954836, PubMed : 32028527, PubMed : 33186521, PubMed : 33589610, PubMed : 34625544, PubMed : 34874266). Following interaction with HPF1, catalyzes serine ADP-ribosylation of target proteins; HPF1 confers serine specificity by completing the PARP1 active site (PubMed : 28190768, PubMed : 29954836, PubMed : 32028527, PubMed : 33186521, PubMed : 33589610, PubMed : 34625544, PubMed : 34874266). Also catalyzes tyrosine ADP-ribosylation of target proteins following interaction with HPF1 (PubMed : 29954836, PubMed : 30257210). Following interaction with NMNAT1, catalyzes glutamate and aspartate ADP-ribosylation of target proteins; NMNAT1 confers glutamate and aspartate specificity (By similarity). PARP1 initiates the repair of DNA breaks : recognizes and binds DNA breaks within chromatin and recruits HPF1, licensing serine ADP-ribosylation of target proteins, such as histones (H2BS6ADPr and H3S10ADPr), thereby promoting decompaction of chromatin and the recruitment of repair factors leading to the reparation of DNA strand breaks (PubMed : 17177976, PubMed : 18172500, PubMed : 19344625, PubMed : 19661379, PubMed : 23230272, PubMed : 27067600, PubMed : 34465625, PubMed : 34874266). HPF1 initiates serine ADP-ribosylation but restricts the polymerase activity of PARP1 in order to limit the length of poly-ADP-ribose chains (PubMed : 33683197, PubMed : 34732825, PubMed : 34795260). In addition to base excision repair (BER) pathway, also involved in double-strand breaks (DSBs) repair : together with TIMELESS, accumulates at DNA damage sites and promotes homologous recombination repair by mediating poly-ADP-ribosylation (PubMed : 26344098, PubMed : 30356214). Mediates the poly-ADP-ribosylation of a number of proteins, including itself, APLF, CHFR, RPA1 and NFAT5 (PubMed : 17396150, PubMed : 19764761, PubMed : 24906880, PubMed : 34049076). In addition to proteins, also able to ADP-ribosylate DNA : catalyzes ADP-ribosylation of DNA strand break termini containing terminal phosphates and a 2'-OH group in single- and double-stranded DNA, respectively (PubMed : 27471034). Required for PARP9 and DTX3L recruitment to DNA damage sites (PubMed : 23230272). PARP1-dependent PARP9-DTX3L-mediated ubiquitination promotes the rapid and specific recruitment of 53BP1/TP53BP1, UIMC1/RAP80, and BRCA1 to DNA damage sites (PubMed : 23230272). PARP1-mediated DNA repair in neurons plays a role in sleep : senses DNA damage in neurons and promotes sleep, facilitating efficient DNA repair (By similarity). In addition to DNA repair, also involved in other processes, such as transcription regulation, programmed cell death, membrane repair, adipogenesis and innate immunity (PubMed : 15607977, PubMed : 17177976, PubMed : 19344625, PubMed : 27256882, PubMed : 32315358, PubMed : 32844745, PubMed : 35124853, PubMed : 35393539, PubMed : 35460603). Acts as a repressor of transcription : binds to nucleosomes and modulates chromatin structure in a manner similar to histone H1, thereby altering RNA polymerase II (PubMed : 15607977, PubMed : 22464733). Acts both as a positive and negative regulator of transcription elongation, depending on the context (PubMed : 27256882, PubMed : 35393539). Acts as a positive regulator of transcription elongation by mediating poly-ADP-ribosylation of NELFE, preventing RNA-binding activity of NELFE and relieving transcription pausing (PubMed : 27256882). Acts as a negative regulator of transcription elongation in response to DNA damage by catalyzing poly-ADP-ribosylation of CCNT1, disrupting the phase separation activity of CCNT1 and subsequent activation of CDK9 (PubMed : 35393539). Involved in replication fork progression following interaction with CARM1 : mediates poly-ADP-ribosylation at replication forks, slowing fork progression (PubMed : 33412112). Poly-ADP-ribose chains generated by PARP1 also play a role in poly-ADP-ribose-dependent cell death, a process named parthanatos (By similarity). Also acts as a negative regulator of the cGAS-STING pathway (PubMed : 32315358, PubMed : 32844745, PubMed : 35460603). Acts by mediating poly-ADP-ribosylation of CGAS : PARP1 translocates into the cytosol following phosphorylation by PRKDC and catalyzes poly-ADP-ribosylation and inactivation of CGAS (PubMed : 35460603). Acts as a negative regulator of adipogenesis : catalyzes poly-ADP-ribosylation of histone H2B on 'Glu-35' (H2BE35ADPr) following interaction with NMNAT1, inhibiting phosphorylation of H2B at 'Ser-36' (H2BS36ph), thereby blocking expression of pro-adipogenetic genes (By similarity). Involved in the synthesis of ATP in the nucleus, together with NMNAT1, PARG and NUDT5 (PubMed : 27257257). Nuclear ATP generation is required for extensive chromatin remodeling events that are energy-consuming (PubMed : 27257257).. Poly [ADP-ribose] polymerase 1, processed C-terminus. Promotes AIFM1-mediated apoptosis (PubMed : 33168626). This form, which translocates into the cytoplasm following cleavage by caspase-3 (CASP3) and caspase-7 (CASP7) in response to apoptosis, is auto-poly-ADP-ribosylated and serves as a poly-ADP-ribose carrier to induce AIFM1-mediated apoptosis (PubMed : 33168626).. Poly [ADP-ribose] polymerase 1, processed N-terminus. This cleavage form irreversibly binds to DNA breaks and interferes with DNA repair, promoting DNA damage-induced apoptosis.
See full target information PARP1

文献 (1)

Recent publications for all applications. Explore the full list and refine your search

International journal of molecular medicine 42:755-768 PubMed29717768

2018

Breviscapine ameliorates CCl4‑induced liver injury in mice through inhibiting inflammatory apoptotic response and ROS generation.

Applications

Unspecified application

Species

Unspecified reactive species

Yu Liu,Pei-Hao Wen,Xin-Xue Zhang,Yang Dai,Qiang He
View all publications

Abcam product promise

当社は、高品質な試薬を通じてお客様の研究を力強くサポートすることをお約束いたします。ご使用いただく各段階で、常にお客様をサポートできる体制を整えております。万が一、製品が期待通りに機能しない場合は、「Abcam Product Promise」による当社保証制度に基づき、安心してご利用いただけます。
保証に関する詳細については利用規約をご確認ください。

Please note: All products are 'FOR RESEARCH USE ONLY. NOT FOR USE IN DIAGNOSTIC OR THERAPEUTIC PROCEDURES'.

For licensing inquiries, please contact partnerships@abcam.com