JavaScript is disabled in your browser. Please enable JavaScript to view this website.
AB189903

Anti-Pan Trk 抗体 [EPR18413]

Anti-Pan Trk antibody [EPR18413]

Be the first to review this product! Submit a review

|

(0 Publication)

Rabbit Recombinant Monoclonal TrkC antibody. Suitable for IP, WB and reacts with Mouse, Rat, Human samples.

別名を表示する

TRKC, NTRK3, NT-3 growth factor receptor, GP145-TrkC, Neurotrophic tyrosine kinase receptor type 3, TrkC tyrosine kinase, Trk-C

4 Images
Western blot - Anti-Pan Trk antibody [EPR18413] (AB189903)
  • WB

Supplier Data

Western blot - Anti-Pan Trk antibody [EPR18413] (AB189903)

Blocking/Dilution buffer : 5% NFDM/TBST.

TrkB is abundantly expressed in the central and peripheral nervous system. The 30KDa band is an intracellular fragment TrkB-ICD, and the 140KDa observed MW which is higher than the predicted one is due to the glycosylation modification.

All lanes:

Western blot - Anti-Pan Trk antibody [EPR18413] (ab189903) at 1/1000 dilution

Lane 1:

Human brain tissue lysate at 20 µg

Lane 2:

SH-SY5Y (human neuroblastoma cell line from bone marrow) whole cell lysate at 20 µg

Secondary

Lane 1:

Goat Anti-Rabbit IgG Peroxidase Conjugate, specific to the non-reduced form of IgG at 1/10000 dilution

Lane 2:

Western blot - Goat Anti-Rabbit IgG H&L (HRP) (<a href='/products/secondary-antibodies/goat-rabbit-igg-h-l-hrp-ab97051'>ab97051</a>) at 1/100000 dilution

Predicted band size: 94 kDa

Observed band size: 140 kDa,30 kDa

true

Exposure time: 3min

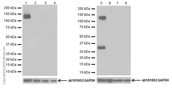
Western blot - Anti-Pan Trk antibody [EPR18413] (AB189903)
  • WB

Supplier Data

Western blot - Anti-Pan Trk antibody [EPR18413] (AB189903)

Blocking/Dilution buffer : 5% NFDM/TBST.

TrkB is abundantly expressed in the central and peripheral nervous system. The 30KDa band is an intracellular fragment TrkB-ICD, and the 140KDa observed MW which is higher than the predicted one is due to the glycosylation modification.

All lanes:

Western blot - Anti-Pan Trk antibody [EPR18413] (ab189903) at 1/1000 dilution

Lane 1:

Mouse brain tissue lysate at 10 µg

Lane 2:

Mouse heart tissue lysate at 10 µg

Lane 3:

Mouse kidney tissue lysate at 10 µg

Lane 4:

Mouse spleen tissue lysate at 10 µg

Lane 5:

Rat brain tissue lysate at 10 µg

Lane 6:

Rat heart tissue lysate at 10 µg

Lane 7:

Rat kidney tissue lysate at 10 µg

Lane 8:

Rat spleen tissue lysate at 10 µg

Secondary

All lanes:

Western blot - Goat Anti-Rabbit IgG H&L (HRP) (<a href='/products/secondary-antibodies/goat-rabbit-igg-h-l-hrp-ab97051'>ab97051</a>) at 1/100000 dilution

Predicted band size: 54 kDa,94 kDa

Observed band size: 140 kDa,30 kDa,72 kDa

true

Exposure time: 3min

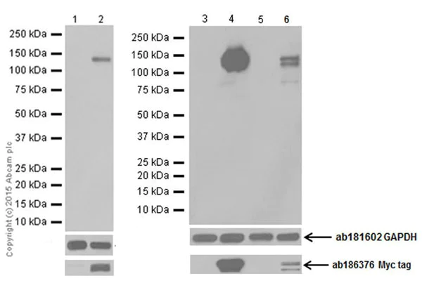
Western blot - Anti-Pan Trk antibody [EPR18413] (AB189903)
  • WB

Supplier Data

Western blot - Anti-Pan Trk antibody [EPR18413] (AB189903)

Exposure times : Lane 1-2 : 1 minute; Lane 3-6 : 30 seconds.

Blocking/Dilution buffer : 5% NFDM/TBST.

All lanes:

Western blot - Anti-Pan Trk antibody [EPR18413] (ab189903) at 1/5000 dilution

Lanes 1, 3 and 5:

HEK-293 (human epithelial cell line from embryonic kidney) whole cell lysate transfected with empty vector (vector control) at 20 µg

Lane 2:

HEK-293 (human epithelial cell line from embryonic kidney) whole cell lysate transfected with TrkA with His/Myc-tag at 20 µg

Lane 4:

HEK-293 (human epithelial cell line from embryonic kidney) whole cell lysate transfected with TrkB with His/Myc-tag at 20 µg

Lane 6:

HEK-293 (human epithelial cell line from embryonic kidney) whole cell lysate transfected with TrkC with His/Myc-tag at 20 µg

Secondary

All lanes:

Western blot - Goat Anti-Rabbit IgG H&L (HRP) (<a href='/products/secondary-antibodies/goat-rabbit-igg-h-l-hrp-ab97051'>ab97051</a>) at 1/100000 dilution

Predicted band size: 94 kDa

false

Immunoprecipitation - Anti-Pan Trk antibody [EPR18413] (AB189903)
  • IP

Supplier Data

Immunoprecipitation - Anti-Pan Trk antibody [EPR18413] (AB189903)

TrkC (phospho Y820) was immunoprecipitated from 1 mg of mouse brain whole cell lysate with ab189903 at 1/50 dilution. Western blot was performed from the immunoprecipitate using ab189903 at 1/1000 dilution. VeriBlot for IP secondary antibody (HRP) (ab131366), was used as secondary antibody at 1/1000 dilution.

Lane 1 : Mouse brain whole cell lysate 10 μg (Input).

Lane 2 : ab189903 IP in mouse brain whole cell lysate.

Lane 3 : Rabbit monoclonal IgG (ab172730) instead of ab189903 in mouse brain whole cell lysate.

Exposure time : 5 seconds.

Blocking and dilution buffer and concentration : 5% NFDM/TBST.

All lanes:

Immunoprecipitation - Anti-Pan Trk antibody [EPR18413] (ab189903)

Observed band size: 140 kDa,30 kDa

false

Key facts

宿主種

Rabbit

クローン性

Monoclonal

クローン番号

EPR18413

アイソタイプ

IgG

キャリアフリー

No

交差種

Mouse, Rat, Human

アプリケーション

WB, IP

applications

免疫原

The exact immunogen used to generate this antibody is proprietary information.

Reactivity data

{ "title": "Reactivity Data", "filters": { "stats": ["", "Species", "Dilution Info", "Notes"], "tabs": { "all-applications": {"fullname" : "All Applications", "shortname": "All Applications"}, "IP" : {"fullname" : "Immunoprecipitation", "shortname":"IP"}, "WB" : {"fullname" : "Western blot", "shortname":"WB"} }, "product-promise": { "all": "all", "testedAndGuaranteed": "tested", "guaranteed": "expected", "predicted": "predicted", "notRecommended": "not-recommended" } }, "values": { "Human": { "IP-species-checked": "guaranteed", "IP-species-dilution-info": "", "IP-species-notes": "", "WB-species-checked": "testedAndGuaranteed", "WB-species-dilution-info": "1/1000", "WB-species-notes": "<p></p>" }, "Mouse": { "IP-species-checked": "testedAndGuaranteed", "IP-species-dilution-info": "1/40", "IP-species-notes": "<p></p>", "WB-species-checked": "testedAndGuaranteed", "WB-species-dilution-info": "1/1000", "WB-species-notes": "<p></p>" }, "Rat": { "IP-species-checked": "guaranteed", "IP-species-dilution-info": "", "IP-species-notes": "", "WB-species-checked": "testedAndGuaranteed", "WB-species-dilution-info": "1/1000", "WB-species-notes": "<p></p>" } } }

製品の詳細

Patented technology
Our RabMAb® technology is a patented hybridoma-based technology for making rabbit monoclonal antibodies. For details on our patents, please refer to RabMAb® patents.

What are the advantages of a recombinant monoclonal antibody?
This product is a recombinant monoclonal antibody, which offers several advantages including:

  • - High batch-to-batch consistency and reproducibility
  • - Improved sensitivity and specificity
  • - Long-term security of supply
  • - Animal-free batch production

For more information, read more on recombinant antibodies.

出荷温度及び保存条件

製品の状態
Liquid
精製方法
Affinity purification Protein A
バッファー組成
pH: 7.2 - 7.4 Preservative: 0.01% Sodium azide Constituents: PBS, 40% Glycerol (glycerin, glycerine), 0.05% BSA
出荷温度
Blue Ice
短期保存期間
1-2 weeks
短期保存温度
+4°C
長期保存温度
-20°C
分注に関する情報
Upon delivery aliquot
保管に関する情報
Avoid freeze / thaw cycle

補足情報

This supplementary information is collated from multiple sources and compiled automatically.

Pan Trk also known as Pan-tropomyosin receptor kinases are receptors that belong to the neurotrophin receptor family including TrkA TrkB and TrkC. They typically express in neural tissues and play a role in neuronal development and function. The mass of Pan Trk can vary as it encompasses several related proteins rather than a single unit. The variant forms are present in both the central and peripheral nervous systems. Researchers often use tags like Pan Trk IHc 555 Pan and Alexa Pan to identify different forms and monitor their expression patterns.
Biological function summary

Pan Trk receptors play a vital role in the survival development and function of neurons by mediating the action of neurotrophins. They participate as part of a receptor complex activated by ligand binding which triggers autophosphorylation. These receptors modulate various processes like neuronal survival and differentiation. Pan Trk signals generally initiate upon binding neurotrophins leading to multiple intracellular events.

Pathways

Pan Trk receptors are central players in signaling pathways such as the MAPK/ERK and PI3K/AKT pathways. These pathways significantly impact cell survival and proliferation. Pan Trk often interacts with proteins like SHC and GRB2 to transmit signals downstream efficiently. These interactions are important for linking the surface receptor activation to the intracellular responses that govern cell growth and survival.

Dysregulation or mutations in Pan Trk pathways contribute to neurodegenerative diseases and cancers. For example in neuroblastoma altered Pan Trk expression can modify cell survival signals resulting in tumor growth. These receptors also relate to Alzheimer's disease where Pan Trk dysfunction can affect neuronal resilience and memory pathways. In these disorders Pan Trk associates with various proteins including Tau which can disrupt normal neuronal processes.

製品プロトコール

For this product, it's our understanding that no specific protocols are required. You can visit:

ターゲットの情報

Receptor tyrosine kinase involved in nervous system and probably heart development. Upon binding of its ligand NTF3/neurotrophin-3, NTRK3 autophosphorylates and activates different signaling pathways, including the phosphatidylinositol 3-kinase/AKT and the MAPK pathways, that control cell survival and differentiation.
See full target information NTRK3

Abcam product promise

当社は、高品質な試薬を通じてお客様の研究を力強くサポートすることをお約束いたします。ご使用いただく各段階で、常にお客様をサポートできる体制を整えております。万が一、製品が期待通りに機能しない場合は、「Abcam Product Promise」による当社保証制度に基づき、安心してご利用いただけます。
保証に関する詳細については利用規約をご確認ください。

関連製品

Select an associated product type
Alternative Product
Primary Antibodies

AB209465

HRP Anti-Pan Trk antibody [EPR17341]

primary-antibodies

hrp-pan-trk-antibody-epr17341-ab209465

0

(0 reviews)

Alternative Product
Primary Antibodies

AB181560

Anti-Pan Trk antibody [EPR17341]

primary-antibodies

pan-trk-antibody-epr17341-ab181560

5

(1 reviews)

Alternative Product
Primary Antibodies

AB218577

Anti-Pan Trk antibody [EPR17341] - BSA and Azide free

primary-antibodies

pan-trk-antibody-epr17341-bsa-and-azide-free-ab218577

0

(0 reviews)

Please note: All products are 'FOR RESEARCH USE ONLY. NOT FOR USE IN DIAGNOSTIC OR THERAPEUTIC PROCEDURES'.

For licensing inquiries, please contact partnerships@abcam.com