JavaScript is disabled in your browser. Please enable JavaScript to view this website.
AB8933

Anti-pan-AKT (phospho T308) 抗体

Anti-pan-AKT (phospho T308) antibody

Be the first to review this product! Submit a review

|

(102 Publications)

Rabbit Polyclonal AKT1 phospho T308 antibody. Suitable for Dot, WB, IHC-P, ELISA and reacts with Recombinant full length protein, Human, Recombinant full length protein - Human samples. Cited in 102 publications.

別名を表示する

PKB, RAC, AKT1, RAC-alpha serine/threonine-protein kinase, Protein kinase B, Protein kinase B alpha, Proto-oncogene c-Akt, RAC-PK-alpha, PKB alpha

8 Images
Immunohistochemistry (Formalin/PFA-fixed paraffin-embedded sections) - Anti-pan-AKT (phospho T308) antibody (AB8933)
  • IHC-P

Supplier Data

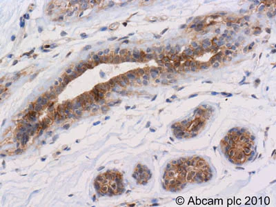
Immunohistochemistry (Formalin/PFA-fixed paraffin-embedded sections) - Anti-pan-AKT (phospho T308) antibody (AB8933)

ab8933 (1/200 dilution, 30mins at RT) staining AKT (phospho T308) in human lung tissue in immunohistochemical analysis. Secondary used was an anti-Rabbit polyclonal HRP conjugate (Ready to use, 8mins at RT) DAB staining. HIER using citrate buffer for 20mins. Counterstain is hemotoxylin.

Western blot - Anti-pan-AKT (phospho T308) antibody (AB8933)
  • WB

Supplier Data

Western blot - Anti-pan-AKT (phospho T308) antibody (AB8933)

All lanes:

Western blot - Anti-pan-AKT (phospho T308) antibody (ab8933) at 1/1000 dilution

Lane 1:

Human spleen whole tissue lysate

Lane 2:

Human small intestine whole tissue lysate

Lane 3:

Human placenta whole tissue lysate

Lane 4:

Human skeletal muscle whole tissue lysate

Lane 5:

Human brain cerebellum whole tissue lysate

Lane 6:

Human lung whole tissue lysate

Lane 7:

Human tonsil whole tissue lysate

Lane 8:

Human thymus whole tissue lysate

Secondary

All lanes:

Goat anti-Rabbit Ig HRP at 1/40000 dilution

Predicted band size: 56 kDa

false

Exposure time: 8s

Immunohistochemistry (Formalin/PFA-fixed paraffin-embedded sections) - Anti-pan-AKT (phospho T308) antibody (AB8933)
  • IHC-P

Supplier Data

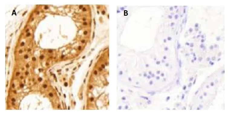
Immunohistochemistry (Formalin/PFA-fixed paraffin-embedded sections) - Anti-pan-AKT (phospho T308) antibody (AB8933)

Panel A : ab8933 (1/200 dilution, 30mins at RT) staining AKT (phospho T308) in human testis tissue in immunohistochemical analysis. Secondary used was an anti-Rabbit polyclonal HRP conjugate (Ready to use) DAB staining. Heat induced antigen retrieval was performed using Leica Bond Epitope Retrieval Buffer 1 (Citrate solution, pH6.0) for 20 minutes (ER1(20)). Counterstain is hemotoxylin.

Panel B : Secondary antibody only.

Immunohistochemistry (Formalin/PFA-fixed paraffin-embedded sections) - Anti-pan-AKT (phospho T308) antibody (AB8933)
  • IHC-P

Supplier Data

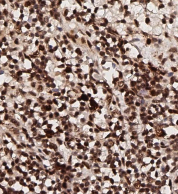
Immunohistochemistry (Formalin/PFA-fixed paraffin-embedded sections) - Anti-pan-AKT (phospho T308) antibody (AB8933)

ab8933 (1/200 dilution, 30mins at RT) staining AKT (phospho T308) in human lymph node in breast tissue in immunohistochemical analysis. Secondary used was an anti-Rabbit polyclonal HRP conjugate (Ready to use, 8mins at RT) DAB staining. HIER using citrate buffer for 20mins. Counterstain is hemotoxylin.

Immunohistochemistry (Formalin/PFA-fixed paraffin-embedded sections) - Anti-pan-AKT (phospho T308) antibody (AB8933)
  • IHC-P

Unknown

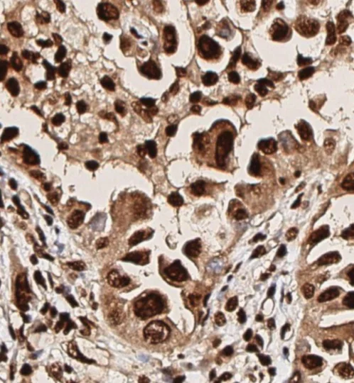
Immunohistochemistry (Formalin/PFA-fixed paraffin-embedded sections) - Anti-pan-AKT (phospho T308) antibody (AB8933)

ab8933 (4μg/ml) staining AKT (phospho T308) in human breast using an automated system (DAKO Autostainer Plus). Using this protocol there is strong staining of membrane and cytoplasmic compartment within the breast ductal regions.
Sections were rehydrated and antigen retrieved with the Dako 3 in 1 AR buffer EDTA pH 9.0 in a DAKO PT link. Slides were peroxidase blocked in 3% H2O2 in methanol for 10 mins. They were then blocked with Dako Protein block for 10 minutes (containing casein 0.25% in PBS) then incubated with primary antibody for 20 min and detected with Dako envision flex amplification kit for 30 minutes. Colorimetric detection was completed with Diaminobenzidine for 5 minutes. Slides were counterstained with Haematoxylin and coverslipped under DePeX. Please note that, for manual staining, optimization of primary antibody concentration and incubation time is recommended. Signal amplification may be required.

Western blot - Anti-pan-AKT (phospho T308) antibody (AB8933)
  • WB

Supplier Data

Western blot - Anti-pan-AKT (phospho T308) antibody (AB8933)

Blot A : ab8933 used at 1/2270.

Blot B : Anti-Akt used 1/1000.

All lanes:

Western blot - Anti-pan-AKT (phospho T308) antibody (ab8933) at 1/2270 dilution

Lane 1:

MW Protein ladder

Lane 2:

Recombinant AKT1 protein, 50ng

Lane 3:

Recombinant AKT1 protein, 50ng (phosphatase treated)

Lane 4:

Recombinant AKT1 T308A/S473A mutant protein, 50ng

Lane 5:

Recombinant AKT2 protein, 50ng

Lane 6:

Recombinant AKT2 protein, 50ng (phosphatase treated)

Lane 7:

Recombinant AKT3 protein, 50ng

Lane 8:

Recombinant AKT3 protein, 50ng (phosphatase treated)

Predicted band size: 56 kDa

false

Western blot - Anti-pan-AKT (phospho T308) antibody (AB8933)
  • WB

Supplier Data

Western blot - Anti-pan-AKT (phospho T308) antibody (AB8933)

Recombinant protein expected to run ~80-100 kDa.

All lanes:

Western blot - Anti-pan-AKT (phospho T308) antibody (ab8933) at 1/1000 dilution

Lane 1:

GST-tagged AKT1 recombinant protein, 50ng

Lane 2:

GST-tagged AKT1 active recombinant protein, 50ng

Secondary

All lanes:

DyLight™ 649 rabbit secondary antibody, (30mins at RT) at 1/20000 dilution

Predicted band size: 56 kDa

false

Dot Blot - Anti-pan-AKT (phospho T308) antibody (AB8933)
  • Dot

Supplier Data

Dot Blot - Anti-pan-AKT (phospho T308) antibody (AB8933)

Dot Blot - Anti-pan-AKT (phospho T308) antibody (ab8933, 5 μg/ml).

Secondary antibody is an anti-rabbit IgG HRP used at a 1/70,000 dilution.

Exposure time 60 secs.

Columns 1 – 5, Left to Right 100, 33.33, 11.11, 3.70, 1.23 ng
Row A : AKT1-BSA peptide
Row B : AKT1 pT308 – BSA peptide
Row C : AKT1 S473 – BSA peptide
Row D : AKT1 pS473 – BSA peptide
Row E : CDC27 T244 -BSA peptide
Row F : CDC27 pT244 – BSA peptide
Row G : BSA control

Key facts

宿主種

Rabbit

クローン性

Polyclonal

アイソタイプ

IgG

キャリアフリー

No

交差種

Human

アプリケーション

WB, Dot, ELISA, IHC-P

applications

免疫原

The exact immunogen used to generate this antibody is proprietary information.

特異性

This antibody was made against a peptide directed against the phosphorylated form of AKT1 at T308, but due to a high degree of homology it is predicted to cross react with AKT2 and AKT3 if they are phosphorylated at the corresponding residue. Weak cross reactivity with AKT2.

Reactivity data

{ "title": "Reactivity Data", "filters": { "stats": ["", "Species", "Dilution Info", "Notes"], "tabs": { "all-applications": {"fullname" : "All Applications", "shortname": "All Applications"}, "Dot" : {"fullname" : "Dot Blot", "shortname":"Dot"}, "WB" : {"fullname" : "Western blot", "shortname":"WB"}, "IHCP" : {"fullname" : "Immunohistochemistry (Formalin/PFA-fixed paraffin-embedded sections)", "shortname":"IHC-P"}, "ELISA" : {"fullname" : "ELISA", "shortname":"ELISA"} }, "product-promise": { "all": "all", "testedAndGuaranteed": "tested", "guaranteed": "expected", "predicted": "predicted", "notRecommended": "not-recommended" } }, "values": { "Human": { "Dot-species-checked": "guaranteed", "Dot-species-dilution-info": "", "Dot-species-notes": "", "WB-species-checked": "testedAndGuaranteed", "WB-species-dilution-info": "1/1000", "WB-species-notes": "<p></p>", "IHCP-species-checked": "testedAndGuaranteed", "IHCP-species-dilution-info": "4 µg/mL", "IHCP-species-notes": "<p></p>", "ELISA-species-checked": "guaranteed", "ELISA-species-dilution-info": "1/15000", "ELISA-species-notes": "<p></p>" }, "Mouse": { "Dot-species-checked": "predicted", "Dot-species-dilution-info": "", "Dot-species-notes": "", "WB-species-checked": "predicted", "WB-species-dilution-info": "", "WB-species-notes": "", "IHCP-species-checked": "predicted", "IHCP-species-dilution-info": "", "IHCP-species-notes": "", "ELISA-species-checked": "predicted", "ELISA-species-dilution-info": "", "ELISA-species-notes": "" }, "Rat": { "Dot-species-checked": "predicted", "Dot-species-dilution-info": "", "Dot-species-notes": "", "WB-species-checked": "predicted", "WB-species-dilution-info": "", "WB-species-notes": "", "IHCP-species-checked": "predicted", "IHCP-species-dilution-info": "", "IHCP-species-notes": "", "ELISA-species-checked": "predicted", "ELISA-species-dilution-info": "", "ELISA-species-notes": "" }, "Recombinant full length protein": { "Dot-species-checked": "testedAndGuaranteed", "Dot-species-dilution-info": "", "Dot-species-notes": "<p></p>", "WB-species-checked": "notRecommended", "WB-species-dilution-info": "", "WB-species-notes": "", "IHCP-species-checked": "notRecommended", "IHCP-species-dilution-info": "", "IHCP-species-notes": "", "ELISA-species-checked": "notRecommended", "ELISA-species-dilution-info": "", "ELISA-species-notes": "" }, "Recombinant full length protein - Human": { "Dot-species-checked": "notRecommended", "Dot-species-dilution-info": "", "Dot-species-notes": "", "WB-species-checked": "testedAndGuaranteed", "WB-species-dilution-info": "1/1000", "WB-species-notes": "<p></p>", "IHCP-species-checked": "notRecommended", "IHCP-species-dilution-info": "", "IHCP-species-notes": "", "ELISA-species-checked": "notRecommended", "ELISA-species-dilution-info": "", "ELISA-species-notes": "" } } }

出荷温度及び保存条件

製品の状態
Liquid
精製方法
Affinity purification Immunogen
精製に関する特記事項
AKT phospho T308 Antibody was prepared from monospecific antiserum by immunoaffinity chromatography using phospho peptide coupled to agarose beads followed by solid phase adsorption(s) against non-phospho peptide and non-specific peptide to remove any unwanted reactivities.
バッファー組成
pH: 7.2 Preservative: 0.01% Sodium azide Constituents: 0.88% Sodium chloride, 0.424% Potassium phosphate solution
出荷温度
Blue Ice
短期保存温度
+4°C
長期保存温度
-20°C
分注に関する情報
Upon delivery aliquot
保管に関する情報
Avoid freeze / thaw cycle

補足情報

This supplementary information is collated from multiple sources and compiled automatically.

The target known as pan-AKT or AKT pan is a serine/threonine kinase involved in several cellular processes. It is also known by the names AKT1 AKT2 and AKT3 reflecting the different isoforms of the AKT protein. This enzyme is approximately 56 kDa in molecular weight although this may slightly vary depending on the isoform. AKT is widely expressed in many tissues including muscles fat and the brain. Scientists often detect the protein via AKT western blot reconfirming its detailed molecular weight and AKT protein size in different tissue samples.
Biological function summary

The AKT protein plays a significant role in cellular signaling regulating cell growth survival and metabolism. The AKT protein does not function alone; it interacts with various partners and is part of the larger signaling complexes. AKT activation requires binding to phosphatidylinositol (345)-trisphosphate a process which is dependent on phosphoinositide 3-kinase (PI3K). This activation leads to downstream effects that are vital for proper cellular functions such as nutrient uptake and glucose metabolism.

Pathways

AKT is an important player in the PI3K/AKT/mTOR pathway one of the most important signaling pathways controlling cell growth proliferation and survival. Within this pathway AKT interacts with many proteins including mTOR and PTEN helping to mediate its diverse biological effects. Additionally the AKT signaling pathway has links to the insulin signaling pathway where it influences the activity of several key metabolic regulators.

AKT activity has connections to cancer and diabetes. Abnormal AKT activation is a feature of many cancers as it can lead to uncontrolled cell growth and survival. In cancer AKT often works alongside other proteins like p53 which are important in tumor suppression and cell cycle regulation. In diabetes altered AKT signaling affects insulin sensitivity as seen with proteins such as IRS1 that interact with the insulin pathway. Understanding AKT's role in these diseases continues to be a focus for developing targeted therapies.

製品プロトコール

For this product, it's our understanding that no specific protocols are required. You can visit:

ターゲットの情報

AKT1 is one of 3 closely related serine/threonine-protein kinases (AKT1, AKT2 and AKT3) called the AKT kinase, and which regulate many processes including metabolism, proliferation, cell survival, growth and angiogenesis (PubMed : 11882383, PubMed : 15526160, PubMed : 15861136, PubMed : 21432781, PubMed : 21620960, PubMed : 31204173). This is mediated through serine and/or threonine phosphorylation of a range of downstream substrates (PubMed : 11882383, PubMed : 15526160, PubMed : 21432781, PubMed : 21620960, PubMed : 29343641, PubMed : 31204173). Over 100 substrate candidates have been reported so far, but for most of them, no isoform specificity has been reported (PubMed : 11882383, PubMed : 15526160, PubMed : 21432781, PubMed : 21620960). AKT is responsible of the regulation of glucose uptake by mediating insulin-induced translocation of the SLC2A4/GLUT4 glucose transporter to the cell surface (By similarity). Phosphorylation of PTPN1 at 'Ser-50' negatively modulates its phosphatase activity preventing dephosphorylation of the insulin receptor and the attenuation of insulin signaling (By similarity). Phosphorylation of TBC1D4 triggers the binding of this effector to inhibitory 14-3-3 proteins, which is required for insulin-stimulated glucose transport (PubMed : 11994271). AKT also regulates the storage of glucose in the form of glycogen by phosphorylating GSK3A at 'Ser-21' and GSK3B at 'Ser-9', resulting in inhibition of its kinase activity (By similarity). Phosphorylation of GSK3 isoforms by AKT is also thought to be one mechanism by which cell proliferation is driven (By similarity). AKT also regulates cell survival via the phosphorylation of MAP3K5 (apoptosis signal-related kinase) (PubMed : 11154276). Phosphorylation of 'Ser-83' decreases MAP3K5 kinase activity stimulated by oxidative stress and thereby prevents apoptosis (PubMed : 11154276). AKT mediates insulin-stimulated protein synthesis by phosphorylating TSC2 at 'Ser-939' and 'Thr-1462', thereby activating the mTORC1 signaling pathway, and leading to both phosphorylation of 4E-BP1 and in activation of RPS6KB1 (PubMed : 12150915, PubMed : 12172553). Also regulates the mTORC1 signaling pathway by catalyzing phosphorylation of CASTOR1 and DEPDC5 (PubMed : 31548394, PubMed : 33594058). AKT plays a role as key modulator of the AKT-mTOR signaling pathway controlling the tempo of the process of newborn neurons integration during adult neurogenesis, including correct neuron positioning, dendritic development and synapse formation (By similarity). Part of a positive feedback loop of mTORC2 signaling by mediating phosphorylation of MAPKAP1/SIN1, promoting mTORC2 activation (By similarity). AKT is involved in the phosphorylation of members of the FOXO factors (Forkhead family of transcription factors), leading to binding of 14-3-3 proteins and cytoplasmic localization (PubMed : 10358075). In particular, FOXO1 is phosphorylated at 'Thr-24', 'Ser-256' and 'Ser-319' (PubMed : 10358075). FOXO3 and FOXO4 are phosphorylated on equivalent sites (PubMed : 10358075). AKT has an important role in the regulation of NF-kappa-B-dependent gene transcription and positively regulates the activity of CREB1 (cyclic AMP (cAMP)-response element binding protein) (PubMed : 9829964). The phosphorylation of CREB1 induces the binding of accessory proteins that are necessary for the transcription of pro-survival genes such as BCL2 and MCL1 (PubMed : 9829964). AKT phosphorylates 'Ser-454' on ATP citrate lyase (ACLY), thereby potentially regulating ACLY activity and fatty acid synthesis (By similarity). Activates the 3B isoform of cyclic nucleotide phosphodiesterase (PDE3B) via phosphorylation of 'Ser-273', resulting in reduced cyclic AMP levels and inhibition of lipolysis (By similarity). Phosphorylates PIKFYVE on 'Ser-318', which results in increased PI(3)P-5 activity (By similarity). The Rho GTPase-activating protein DLC1 is another substrate and its phosphorylation is implicated in the regulation cell proliferation and cell growth (By similarity). Signals downstream of phosphatidylinositol 3-kinase (PI(3)K) to mediate the effects of various growth factors such as platelet-derived growth factor (PDGF), epidermal growth factor (EGF), insulin and insulin-like growth factor 1 (IGF1) (PubMed : 12176338, PubMed : 12964941). AKT mediates the antiapoptotic effects of IGF1 (By similarity). Essential for the SPATA13-mediated regulation of cell migration and adhesion assembly and disassembly (PubMed : 19934221). May be involved in the regulation of the placental development (By similarity). Phosphorylates STK4/MST1 at 'Thr-120' and 'Thr-387' leading to inhibition of its : kinase activity, nuclear translocation, autophosphorylation and ability to phosphorylate FOXO3 (PubMed : 17726016). Phosphorylates STK3/MST2 at 'Thr-117' and 'Thr-384' leading to inhibition of its : cleavage, kinase activity, autophosphorylation at Thr-180, binding to RASSF1 and nuclear translocation (PubMed : 20086174). Phosphorylates SRPK2 and enhances its kinase activity towards SRSF2 and ACIN1 and promotes its nuclear translocation (PubMed : 19592491). Phosphorylates RAF1 at 'Ser-259' and negatively regulates its activity (PubMed : 10576742). Phosphorylation of BAD stimulates its pro-apoptotic activity (PubMed : 10926925). Phosphorylates KAT6A at 'Thr-369' and this phosphorylation inhibits the interaction of KAT6A with PML and negatively regulates its acetylation activity towards p53/TP53 (PubMed : 23431171). Phosphorylates palladin (PALLD), modulating cytoskeletal organization and cell motility (PubMed : 20471940). Phosphorylates prohibitin (PHB), playing an important role in cell metabolism and proliferation (PubMed : 18507042). Phosphorylates CDKN1A, for which phosphorylation at 'Thr-145' induces its release from CDK2 and cytoplasmic relocalization (PubMed : 16982699). These recent findings indicate that the AKT1 isoform has a more specific role in cell motility and proliferation (PubMed : 16139227). Phosphorylates CLK2 thereby controlling cell survival to ionizing radiation (PubMed : 20682768). Phosphorylates PCK1 at 'Ser-90', reducing the binding affinity of PCK1 to oxaloacetate and changing PCK1 into an atypical protein kinase activity using GTP as donor (PubMed : 32322062). Also acts as an activator of TMEM175 potassium channel activity in response to growth factors : forms the lysoK(GF) complex together with TMEM175 and acts by promoting TMEM175 channel activation, independently of its protein kinase activity (PubMed : 32228865). Acts as a regulator of mitochondrial calcium uptake by mediating phosphorylation of MICU1 in the mitochondrial intermembrane space, impairing MICU1 maturation (PubMed : 30504268). Acts as an inhibitor of tRNA methylation by mediating phosphorylation of the N-terminus of METTL1, thereby inhibiting METTL1 methyltransferase activity (PubMed : 15861136). In response to LPAR1 receptor pathway activation, phosphorylates Rabin8/RAB3IP which alters its activity and phosphorylates WDR44 which induces WDR44 binding to Rab11, thereby switching Rab11 vesicular function from preciliary trafficking to endocytic recycling (PubMed : 31204173).
See full target information AKT1 phospho T308

文献 (102)

Recent publications for all applications. Explore the full list and refine your search

Iranian journal of biotechnology 23:e4071 PubMed40860046

2025

SP1-Induced LncRNA ZFAS1 Contributes to Cell Proliferation and Migration in Gastric Cancer through AKT/mTOR Signaling.

Applications

Unspecified application

Species

Unspecified reactive species

Ying Li,Yu Wang,Jun Gao,Weiran Xu,Yingkai Wang,Fan Zhang

Journal of diabetes research 2025:4656485 PubMed40225010

2025

Revealing the Mechanisms of Shikonin Against Diabetic Wounds: A Combined Network Pharmacology and In Vitro Investigation.

Applications

Unspecified application

Species

Unspecified reactive species

Meng Tian,Junchao Wu,Qian Du,Jiale Han,Meng Yang,Xiang Li,Mingzhu Li,Xiaofeng Ding,Yeqiang Song

The Journal of international medical research 53:3000605231220807 PubMed39921429

2025

Curcumin inhibits growth and triggers apoptosis in human castration-resistant prostate cancer cells via IGF-1/PI3K/Akt pathway.

Applications

Unspecified application

Species

Unspecified reactive species

Chao Chen,Qiwu Wang,Jiwen Liu

The Journal of biological chemistry 301:108155 PubMed39761856

2025

Unveiling ADAMTS12: A key driver of bladder cancer progression via COL3A1-Mediated activation of the FAK/PI3K/AKT signaling pathway.

Applications

Unspecified application

Species

Unspecified reactive species

Jian-Hua Xiao,Li-Zhe Xu,Jin-Zhuo Ning,Fan Cheng

Translational cancer research 13:6323-6335 PubMed39697746

2024

Postexercise downregulation of in regulating non-small cell lung cancer progression via the PTEN/AKT signaling pathway.

Applications

Unspecified application

Species

Unspecified reactive species

Jiangang Xu,Liyin Zhang,Menghui Feng,Weijun Hong,Xinming Ye

Journal of biochemical and molecular toxicology 38:e70024 PubMed39434434

2024

Sinensetin inhibits the movement ability and tumor immune microenvironment of non-small cell lung cancer through the inactivation of AKT/β-catenin axis.

Applications

Unspecified application

Species

Unspecified reactive species

Zhenliang Shi,Yimeng Shen,Xin Liu,Sipei Zhang

Cancer biomarkers : section A of Disease markers 41:165-178 PubMed39331093

2024

KIF18A promotes cervical squamous cell carcinoma progression by activating the PI3K/AKT pathway through upregulation of CENPE.

Applications

Unspecified application

Species

Unspecified reactive species

Fengyi Sun,Tiantian Zhao

MedComm 5:e711 PubMed39286779

2024

A novel small molecule ZYZ384 targeting SMYD3 for hepatocellular carcinoma via reducing H3K4 trimethylation of the Rac1 promoter.

Applications

Unspecified application

Species

Unspecified reactive species

Qian Ding,Jianghong Cai,Li Jin,Wei Hu,Wu Song,Peter Rose,Zhiyuan Tang,Yangyang Zhan,Leilei Bao,Wei Lei,Yi Zhun Zhu

The journal of obstetrics and gynaecology research 50:1945-1951 PubMed39225708

2024

Effect of irisin on ovarian phosphatidylinositol-3-kinase/protein kinase B signaling pathway and mitogen-activated protein kinase/extracellular signal-regulated kinase pathways of rats with polycystic ovary syndrome.

Applications

Unspecified application

Species

Unspecified reactive species

Cheng-Gang Li,Li Zhou,Ying-Jun Zhang,Yong Li,Li-Yan Zhao

Discover oncology 15:191 PubMed38802621

2024

Interferon-induced transmembrane protein 2 is a prognostic marker in colorectal cancer and promotes its progression by activating the PI3K/AKT pathway.

Applications

Unspecified application

Species

Unspecified reactive species

Yonggang Liu,Jiyun Liang,Xi Li,Junyong Huang,Jiangyuan Huang,Jiale Wang
View all publications

Abcam product promise

当社は、高品質な試薬を通じてお客様の研究を力強くサポートすることをお約束いたします。ご使用いただく各段階で、常にお客様をサポートできる体制を整えております。万が一、製品が期待通りに機能しない場合は、「Abcam Product Promise」による当社保証制度に基づき、安心してご利用いただけます。
保証に関する詳細については利用規約をご確認ください。

Please note: All products are 'FOR RESEARCH USE ONLY. NOT FOR USE IN DIAGNOSTIC OR THERAPEUTIC PROCEDURES'.

For licensing inquiries, please contact partnerships@abcam.com