JavaScript is disabled in your browser. Please enable JavaScript to view this website.
AB16665

Anti-p53 抗体 [SP5]

Anti-p53 antibody [SP5]

  • KO Validated
  • RabMAb
  • Recombinant
  • Lab Essentials
  • 20ul selling size
  • 詳細を見る

4

(1 Review)

|

(6 Publications)

Anti-p53 antibody [SP5] (ab16665) is a rabbit monoclonal antibody detecting p53 in Flow Cytometry (Intra), Flow Cytometry, IHC-P, ICC/IF. Suitable for Human.

- KO validated for confirmed specificity
- Biophysical QC for unrivalled batch-batch consistency
- Trusted since 2005

別名を表示する

P53, TP53, Cellular tumor antigen p53, Antigen NY-CO-13, Phosphoprotein p53, Tumor suppressor p53

5 Images
Flow Cytometry (Intracellular) - Anti-p53 antibody [SP5] (AB16665)
  • Flow Cyt (Intra)

Unknown

Flow Cytometry (Intracellular) - Anti-p53 antibody [SP5] (AB16665)

This image was generated from the hybridoma version of the product

Flow cytometry analysis of MCF7 (human breast adenocarcinoma epithelial cell) labeling p53 with purified ab16665 at 1/200 dilution (0.81 μg/ml) (red). Cells were fixed with 4% paraformaldehyde and permeabilised with 90% methanol. Goat anti rabbit IgG (Alexa Fluor® 488, ab150077) at 1/2000 dilution was used as a secondary antibody. Isotype control - Rabbit monoclonal IgG (ab172730)(black). Unlableled control - Unlabelled cells (blue).

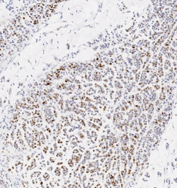
Immunohistochemistry (Formalin/PFA-fixed paraffin-embedded sections) - Anti-p53 antibody [SP5] (AB16665)
  • IHC-P

Lab

Immunohistochemistry (Formalin/PFA-fixed paraffin-embedded sections) - Anti-p53 antibody [SP5] (AB16665)

Formalin-fixed, paraffin-embedded human colon carcinoma tissue stained for p53 using ab16665 at 1/100 dilution in immunohistochemical analysis.

Flow Cytometry (Intracellular) - Anti-p53 antibody [SP5] (AB16665)
  • Flow Cyt (Intra)

Unknown

Flow Cytometry (Intracellular) - Anti-p53 antibody [SP5] (AB16665)

Flow cytometry overlay histogram showing wild-type HAP1 (green line) and TP53 knockout HAP1 cells stained with ab16665 (red line). The cells were fixed with 4% formaldehyde (10 min) and then permeabilized with 0.1%PBS-Triton X-100 for 15 min. The cells were then incubated in 1x PBS containing 10% normal goat serum to block non-specific protein-protein interaction followed by the antibody (ab16665) (1x106 in 100 μl at 0.008 μg/ml) for 30 min at 22°C.

The secondary antibody Goat anti-rabbit IgG H&L (Alexa Fluor® 488, pre-adsorbed) (ab150081) was used at 1/2000 for 30 min at 22°C.

Isotype control antibody was Rabbit IgG (monoclonal) (ab172730) used at the same concentration and conditions as the primary antibody (wild-type HAP1 - black line TP53 knockout HAP1 - grey line). Unlabelled sample was also used as a control (this line is not shown for the purpose of simplicity).

Acquisition of >5000 events were collected using a 50 mW Blue laser (488nm) and 525/40 bandpass filter.

This antibody gave a positive signal in TP53 HAP1 knockout cells fixed with 80% methanol (5 min) / permeabilized with 0.1%PBS-Triton X-100 for 15 min used under the same conditions.

Immunocytochemistry/ Immunofluorescence - Anti-p53 antibody [SP5] (AB16665)
  • ICC/IF

Lab

Immunocytochemistry/ Immunofluorescence - Anti-p53 antibody [SP5] (AB16665)

ab16665 staining p53 in wild-type Hap1 cells (top panel) and p53 knockout Hap1 cells (bottom panel). The cells were fixed with 100% methanol (5min), permeabilized with 0.1% Triton X-100 for 5 minutes and then blocked with 1% BSA/10% normal goat serum/0.3M glycine in 0.1% PBS-Tween for 1h. The cells were then incubated with ab16665 at 1/25 dilution and ab7291 (Mouse monoclonal to alpha Tubulin) at 1/1000 dilution overnight at +4°C, followed by a further incubation at room temperature for 1h with a goat secondary antibody to rabbit IgG (Alexa Fluor® 488) (ab150081) at 2 μg/ml (shown in green) and a goat secondary antibody to mouse IgG (Alexa Fluor® 594) (ab150120) at 2 μg/ml (shown in pseudo color red). Nuclear DNA was labelled in blue with DAPI.

Image was taken with a high-content analysis system (Perkin Elmer, Operetta CLS™).

This image was generated from the hybridoma version of the product

Immunocytochemistry/ Immunofluorescence - Anti-p53 antibody [SP5] (AB16665)
  • ICC/IF

Unknown

Immunocytochemistry/ Immunofluorescence - Anti-p53 antibody [SP5] (AB16665)

Immunocytochemistry/ Immunofluorescence analysis of MCF7 (human breast adenocarcinoma epithelial cell) cells labeling p53 with purified ab16665 at 1/25 (6.5 μg/ml). Cells were fixed in 4% paraformaldehyde and permeabilized with 0.1% Triton X-100. Cells were counterstained with ab195889 Anti-alpha Tubulin antibody [DM1A] - Microtubule Marker (Alexa Fluor® 594) 1/200 (2.5 μg/ml). Goat anti rabbit IgG (Alexa Fluor® 488, ab150077) was used as the secondary antibody at 1/1000 (2 μg/ml) dilution. DAPI was used as nuclear counterstain. PBS instead of the primary antibody was used as the secondary antibody only control.

This image was generated from the hybridoma version of the product

関連する標識済み抗体及び組成の異なる製品 (2)

Key facts

宿主種

Rabbit

クローン性

Monoclonal

クローン番号

SP5

アイソタイプ

IgG

キャリアフリー

No

交差種

Human

アプリケーション

IHC-P, ICC/IF, Flow Cyt (Intra)

applications

免疫原

The exact immunogen used to generate this antibody is proprietary information.

エピトープ

Not determined

Reactivity data

{ "title": "Reactivity Data", "filters": { "stats": ["", "Species", "Dilution Info", "Notes"], "tabs": { "all-applications": {"fullname" : "All Applications", "shortname": "All Applications"}, "IHCP" : {"fullname" : "Immunohistochemistry (Formalin/PFA-fixed paraffin-embedded sections)", "shortname":"IHC-P"}, "FlowCytIntra" : {"fullname" : "Flow Cytometry (Intracellular)", "shortname":"Flow Cyt (Intra)"}, "ICCIF" : {"fullname" : "Immunocytochemistry/ Immunofluorescence", "shortname":"ICC/IF"} }, "product-promise": { "all": "all", "testedAndGuaranteed": "tested", "guaranteed": "expected", "predicted": "predicted", "notRecommended": "not-recommended" } }, "values": { "Human": { "IHCP-species-checked": "testedAndGuaranteed", "IHCP-species-dilution-info": "1/100", "IHCP-species-notes": "<p></p> Perform heat-mediated antigen retrieval with citrate buffer pH 6 before commencing with IHC staining protocol.", "FlowCytIntra-species-checked": "testedAndGuaranteed", "FlowCytIntra-species-dilution-info": "1/200", "FlowCytIntra-species-notes": "<p></p>", "ICCIF-species-checked": "testedAndGuaranteed", "ICCIF-species-dilution-info": "1/25 - 1/100", "ICCIF-species-notes": "<p></p>" } } }

下記製品にもご興味をお持ちいただけるかもしれません:

AB171571

Human p53 ELISA Kit

0

0 Reviews

製品ページを見る
こちらの製品も推奨する理由

この製品は、同様の実験や関連する研究で広く使用されていることから推奨させていただいております。

お客様の実験に適するかご確認いただくため、必ず製品データシートをご確認いただくことをお勧めいたします。ご不明点等ございましたら、テクニカルサポートチームまでお問い合わせください。

製品の詳細

出荷温度及び保存条件

製品の状態
Liquid
精製方法
Affinity purification Protein A
バッファー組成
pH: 7.2 - 7.4 Preservative: 0.1% Sodium azide Constituents: 98% PBS, 1% BSA
出荷温度
Blue Ice
短期保存期間
1-2 weeks
短期保存温度
+4°C
長期保存温度
-20°C
分注に関する情報
Upon delivery aliquot
保管に関する情報
Avoid freeze / thaw cycle

補足情報

This supplementary information is collated from multiple sources and compiled automatically.

The protein p53 also known as TP53 or tumor protein p53 has a molecular weight of approximately 53 kDa. It acts as a transcription factor and plays a major role in cell cycle regulation apoptosis and maintaining genomic stability. This protein mainly expresses in the nucleus of cells and acts as a critical regulator of cellular responses to stress signals including DNA damage. Scientists commonly use p53 antibodies in various assays like western blot and p53 immunofluorescence to detect and study its expression and functional status in cells.
Biological function summary

P53 functions to control cell division and apoptosis serving as a guardian of the genome by preventing mutation accumulation. It does not form part of a larger complex under normal conditions but interacts with various other molecules to execute its functions. p53 can activate or suppress the transcription of numerous genes involved in cell cycle arrest DNA repair and programmed cell death allowing it to halt the progression of damaged cells and trigger repair mechanisms or eliminate those that cannot be repaired.

Pathways

P53 acts within several key biological pathways such as the p53 signaling pathway and the intrinsic apoptotic pathway. Its activity involves interaction with proteins like MDM2 which regulates p53 through ubiquitin-mediated degradation and ATM kinase which phosphorylates p53 in response to DNA damage. These interactions ensure appropriate cellular responses during stress and are vital for maintaining homeostasis.

P53 mutation or inactivation is often associated with the development of cancer given its role in controlling cell division and preventing tumor formation. Specifically its dysfunction has been linked to cancers such as breast cancer and lung cancer. Additionally p53 can interact with other mutant proteins like Ras compounding mutations that contribute to tumor progression and aggressive cancer phenotypes. Understanding these interactions and the status of p53 can be important in developing targeted cancer therapies.

製品プロトコール

For this product, it's our understanding that no specific protocols are required. You can visit:

ターゲットの情報

Multifunctional transcription factor that induces cell cycle arrest, DNA repair or apoptosis upon binding to its target DNA sequence (PubMed : 11025664, PubMed : 12524540, PubMed : 12810724, PubMed : 15186775, PubMed : 15340061, PubMed : 17317671, PubMed : 17349958, PubMed : 19556538, PubMed : 20673990, PubMed : 20959462, PubMed : 22726440, PubMed : 24051492, PubMed : 24652652, PubMed : 35618207, PubMed : 36634798, PubMed : 38653238, PubMed : 9840937). Acts as a tumor suppressor in many tumor types; induces growth arrest or apoptosis depending on the physiological circumstances and cell type (PubMed : 11025664, PubMed : 12524540, PubMed : 12810724, PubMed : 15186775, PubMed : 15340061, PubMed : 17189187, PubMed : 17317671, PubMed : 17349958, PubMed : 19556538, PubMed : 20673990, PubMed : 20959462, PubMed : 22726440, PubMed : 24051492, PubMed : 24652652, PubMed : 38653238, PubMed : 9840937). Negatively regulates cell division by controlling expression of a set of genes required for this process (PubMed : 11025664, PubMed : 12524540, PubMed : 12810724, PubMed : 15186775, PubMed : 15340061, PubMed : 17317671, PubMed : 17349958, PubMed : 19556538, PubMed : 20673990, PubMed : 20959462, PubMed : 22726440, PubMed : 24051492, PubMed : 24652652, PubMed : 9840937). One of the activated genes is an inhibitor of cyclin-dependent kinases. Apoptosis induction seems to be mediated either by stimulation of BAX and FAS antigen expression, or by repression of Bcl-2 expression (PubMed : 12524540, PubMed : 17189187). Its pro-apoptotic activity is activated via its interaction with PPP1R13B/ASPP1 or TP53BP2/ASPP2 (PubMed : 12524540). However, this activity is inhibited when the interaction with PPP1R13B/ASPP1 or TP53BP2/ASPP2 is displaced by PPP1R13L/iASPP (PubMed : 12524540). In cooperation with mitochondrial PPIF is involved in activating oxidative stress-induced necrosis; the function is largely independent of transcription. Induces the transcription of long intergenic non-coding RNA p21 (lincRNA-p21) and lincRNA-Mkln1. LincRNA-p21 participates in TP53-dependent transcriptional repression leading to apoptosis and seems to have an effect on cell-cycle regulation. Implicated in Notch signaling cross-over. Prevents CDK7 kinase activity when associated to CAK complex in response to DNA damage, thus stopping cell cycle progression. Isoform 2 enhances the transactivation activity of isoform 1 from some but not all TP53-inducible promoters. Isoform 4 suppresses transactivation activity and impairs growth suppression mediated by isoform 1. Isoform 7 inhibits isoform 1-mediated apoptosis. Regulates the circadian clock by repressing CLOCK-BMAL1-mediated transcriptional activation of PER2 (PubMed : 24051492).
See full target information TP53

文献 (6)

Recent publications for all applications. Explore the full list and refine your search

Journal of experimental & clinical cancer research : CR 42:260 PubMed37803448

2023

Comparative analysis of response to treatments and molecular features of tumor-derived organoids versus cell lines and PDX derived from the same ovarian clear cell carcinoma.

Applications

Unspecified application

Species

Unspecified reactive species

Lucie Thorel,Pierre-Marie Morice,Hippolyte Paysant,Romane Florent,Guillaume Babin,Cécilia Thomine,Marion Perréard,Edwige Abeilard,Florence Giffard,Emilie Brotin,Christophe Denoyelle,Céline Villenet,Shéhérazade Sebda,Mélanie Briand,Florence Joly,Enora Dolivet,Didier Goux,Cécile Blanc-Fournier,Corinne Jeanne,Marie Villedieu,Matthieu Meryet-Figuiere,Martin Figeac,Laurent Poulain,Louis-Bastien Weiswald

Frontiers in oncology 12:1028070 PubMed36703790

2023

MIF promotes cell invasion by the LRP1-uPAR interaction in pancreatic cancer cells.

Applications

Unspecified application

Species

Unspecified reactive species

Huizhi Sun,Runfen Cheng,Danfang Zhang,Yuhong Guo,Fan Li,Yanlei Li,Yue Li,Xiaoyu Bai,Jing Mo,Chongbiao Huang

BMC cancer 22:602 PubMed35655161

2022

MUC3A promotes the progression of colorectal cancer through the PI3K/Akt/mTOR pathway.

Applications

Unspecified application

Species

Unspecified reactive species

Wei Su,Baijie Feng,Lina Hu,Xianzhi Guo,Minghua Yu

The Journal of clinical investigation 132: PubMed35426375

2022

Long-term male-specific chronic pain via telomere- and p53‑mediated spinal cord cellular senescence.

Applications

Unspecified application

Species

Unspecified reactive species

Arjun Muralidharan,Susana G Sotocinal,Noosha Yousefpour,Nur Akkurt,Lucas V Lima,Shannon Tansley,Marc Parisien,Chengyang Wang,Jean-Sebastien Austin,Boram Ham,Gabrielle Mgs Dutra,Philippe Rousseau,Sioui Maldonado-Bouchard,Teleri Clark,Sarah F Rosen,Mariam R Majeed,Olivia Silva,Rachel Nejade,Xinyu Li,Stephania Donayre Pimentel,Christopher S Nielsen,G Gregory Neely,Chantal Autexier,Luda Diatchenko,Alfredo Ribeiro-da-Silva,Jeffrey S Mogil

PeerJ 5:e3457 PubMed28626618

2017

Cytoplasmic expression of C-MYC protein is associated with risk stratification of mantle cell lymphoma.

Applications

IHC-P

Species

Human

Yi Gong,Xi Zhang,Rui Chen,Yan Wei,Zhongmin Zou,Xinghua Chen

Acta pharmacologica Sinica 38:524-538 PubMed28260799

2017

Bisindolylmaleimide alkaloid BMA-155Cl induces autophagy and apoptosis in human hepatocarcinoma HepG-2 cells through the NF-κB p65 pathway.

Applications

Unspecified application

Species

Unspecified reactive species

Xiao Sun,Lin Li,Hong-Guang Ma,Pu Sun,Qi-Lin Wang,Ting-Ting Zhang,Yue-Mao Shen,Wei-Ming Zhu,Xia Li
View all publications

Abcam product promise

当社は、高品質な試薬を通じてお客様の研究を力強くサポートすることをお約束いたします。ご使用いただく各段階で、常にお客様をサポートできる体制を整えております。万が一、製品が期待通りに機能しない場合は、「Abcam Product Promise」による当社保証制度に基づき、安心してご利用いただけます。
保証に関する詳細については利用規約をご確認ください。

関連製品

Select an associated product type
Alternative Product
Primary Antibodies

AB183544

Anti-p53 (acetyl K370) antibody [EPR17496]

primary-antibodies

p53-acetyl-k370-antibody-epr17496-ab183544

4

(1 reviews)

Alternative Product
Primary Antibodies

AB32389

Anti-p53 antibody [E26]

primary-antibodies

p53-antibody-e26-ab32389

0

(0 reviews)

Alternative Product
Primary Antibodies

AB75754

Anti-p53 (acetyl K382) antibody [EPR358(2)]

primary-antibodies

p53-acetyl-k382-antibody-epr3582-ab75754

5

(4 reviews)

Alternative Product
Primary Antibodies

AB33889

Anti-p53 (phospho S392) antibody [EP155Y]

primary-antibodies

p53-phospho-s392-antibody-ep155y-ab33889

3

(1 reviews)

Alternative Product
Primary Antibodies

AB76242

Anti-p53 (phospho S46) antibody [EP42Y]

primary-antibodies

p53-phospho-s46-antibody-ep42y-ab76242

0

(0 reviews)

Alternative Product
Primary Antibodies

AB179477

Anti-p53 antibody [EPR17343]

primary-antibodies

p53-antibody-epr17343-ab179477

3

(2 reviews)

Alternative Product
Primary Antibodies

AB223868

Anti-p53 (phospho S15) antibody [EPR64(N)] - ChIP Grade

primary-antibodies

p53-phospho-s15-antibody-epr64n-chip-grade-ab223868

4

(1 reviews)

Alternative Version
Primary Antibodies

AB27598

Anti-p53 antibody [SP5], prediluted

primary-antibodies

p53-antibody-sp5-prediluted-ab27598

0

(0 reviews)

Please note: All products are 'FOR RESEARCH USE ONLY. NOT FOR USE IN DIAGNOSTIC OR THERAPEUTIC PROCEDURES'.

For licensing inquiries, please contact partnerships@abcam.com