JavaScript is disabled in your browser. Please enable JavaScript to view this website.
AB167612

Anti-p40 - DeltaNp63 抗体

Anti-p40 - DeltaNp63 antibody

5

(1 Review)

|

(5 Publications)

Rabbit Polyclonal P63 antibody. Suitable for IHC-P and reacts with Human samples. Cited in 5 publications. Immunogen corresponding to Synthetic Peptide within Human TP63 aa 1-50.

別名を表示する

KET, P63, P73H, P73L, TP73L, TP63, Tumor protein 63, p63, Chronic ulcerative stomatitis protein, Keratinocyte transcription factor KET, Transformation-related protein 63, Tumor protein p73-like, p40, p51, CUSP, p73L

1 Images
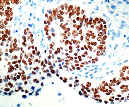
Immunohistochemistry (Formalin/PFA-fixed paraffin-embedded sections) - Anti-p40 - DeltaNp63 antibody (AB167612)
  • IHC-P

Unknown

Immunohistochemistry (Formalin/PFA-fixed paraffin-embedded sections) - Anti-p40 - DeltaNp63 antibody (AB167612)

Immunohistochemical analysis of formalin-fixed, paraffin-embedded human lung squamous cell carcinoma tissue labeling p40 - DeltaNp63 with ab167612 at 1/100 dilution.

Key facts

宿主種

Rabbit

クローン性

Polyclonal

アイソタイプ

IgG

キャリアフリー

No

交差種

Human

アプリケーション

IHC-P

applications

免疫原

Synthetic Peptide within Human TP63 aa 1-50. The exact immunogen used to generate this antibody is proprietary information.

Q9H3D4

特異性

ab167612 detects a short form of Tumor protein 63 (UniProt ID Q9H3D4) - p40 - DeltaNp63.

Reactivity data

{ "title": "Reactivity Data", "filters": { "stats": ["", "Species", "Dilution Info", "Notes"], "tabs": { "all-applications": {"fullname" : "All Applications", "shortname": "All Applications"}, "IHCP" : {"fullname" : "Immunohistochemistry (Formalin/PFA-fixed paraffin-embedded sections)", "shortname":"IHC-P"} }, "product-promise": { "all": "all", "testedAndGuaranteed": "tested", "guaranteed": "expected", "predicted": "predicted", "notRecommended": "not-recommended" } }, "values": { "Human": { "IHCP-species-checked": "testedAndGuaranteed", "IHCP-species-dilution-info": "1/100 - 1/200", "IHCP-species-notes": "<p></p> Perform heat-mediated antigen retrieval before commencing with IHC staining protocol." } } }

出荷温度及び保存条件

製品の状態
Liquid
バッファー組成
Preservative: 0.09% Sodium azide
出荷温度
Blue Ice
短期保存期間
1-2 weeks
短期保存温度
+4°C
長期保存温度
-20°C
分注に関する情報
Upon delivery aliquot

補足情報

This supplementary information is collated from multiple sources and compiled automatically.

The biological target p40 also known as ΔNp63 is an essential protein isoform of the p63 gene. This target weighs approximately 40 kDa and is expressed predominantly in epithelial tissues such as the basal layer of the skin and select organs. Due to its significant role in development and differentiation researchers often study p40 in the context of specific cancers using techniques like p40 immunostaining p40 IHC and p40 marker assays including the anti-p40 stain.
Biological function summary

The p40 protein acts as a transcription factor regulating epithelial stem cell maintenance and differentiation. It is an integral component of the tetrameric complex of the p63 protein family where it influences the transcription of genes involved in cell cycle control and apoptotic pathways. The ΔNp63 variant lacking the N-terminal transactivation domain plays an important role in blocking premature senescence contributing to cell proliferative capacity.

Pathways

P40 is involved in the Notch signaling and the PI3K/AKT signaling pathways. In Notch signaling p40 interacts alongside related proteins like bcl-2 or B28 impacting the regulation of cell fate and differentiation. The PI3K/AKT pathway involves p40 in processes essential for cell survival and proliferation often overlapping with proteins such as AKT and mTOR.

P40 significantly links to various forms of cancer especially squamous cell carcinoma and lung adenocarcinoma. Aberrant expression of ΔNp63 and its disruption in pathways contribute to the pathogenesis of these cancers. In squamous cell carcinoma p40 expression serves as an important biomarker distinguishing it from other tumor types connecting with proteins like Bcl-2 which are important in managing apoptotic resistance in cancerous cells.

製品プロトコール

For this product, it's our understanding that no specific protocols are required. You can visit:

ターゲットの情報

Acts as a sequence specific DNA binding transcriptional activator or repressor. The isoforms contain a varying set of transactivation and auto-regulating transactivation inhibiting domains thus showing an isoform specific activity. Isoform 2 activates RIPK4 transcription. May be required in conjunction with TP73/p73 for initiation of p53/TP53 dependent apoptosis in response to genotoxic insults and the presence of activated oncogenes. Involved in Notch signaling by probably inducing JAG1 and JAG2. Plays a role in the regulation of epithelial morphogenesis. The ratio of DeltaN-type and TA*-type isoforms may govern the maintenance of epithelial stem cell compartments and regulate the initiation of epithelial stratification from the undifferentiated embryonal ectoderm. Required for limb formation from the apical ectodermal ridge. Activates transcription of the p21 promoter.
See full target information TP63

文献 (5)

Recent publications for all applications. Explore the full list and refine your search

Stem cells (Dayton, Ohio) 39:1310-1321 PubMed34152044

2021

SARS-CoV-2 infects an upper airway model derived from induced pluripotent stem cells.

Applications

Unspecified application

Species

Unspecified reactive species

Ivo Djidrovski,Maria Georgiou,Grant L Hughes,Edward I Patterson,Aitor Casas-Sanchez,Shaun H Pennington,Giancarlo A Biagini,Marina Moya-Molina,Jelle van den Bor,Martine J Smit,Git Chung,Majlinda Lako,Lyle Armstrong

Nanomedicine : nanotechnology, biology, and medicine 32:102332 PubMed33181273

2020

Novel nanopolymer RNA therapeutics normalize human diabetic corneal wound healing and epithelial stem cells.

Applications

Unspecified application

Species

Unspecified reactive species

Andrei A Kramerov,Ruchi Shah,Hui Ding,Eggehard Holler,Sue Turjman,Yaron S Rabinowitz,Sean Ghiam,Ezra Maguen,Clive N Svendsen,Mehrnoosh Saghizadeh,Julia Y Ljubimova,Alexander V Ljubimov

Head and neck pathology 14:966-973 PubMed32350806

2020

Metastatic HPV-Associated Oropharyngeal Versus Primary Pulmonary Squamous Cell Carcinoma: is p16 Immunostain Useful?

Applications

Unspecified application

Species

Unspecified reactive species

Jefree J Schulte,Jamie Steinmetz,Larissa V Furtado,Aliya N Husain,Mark W Lingen,Nicole A Cipriani

American journal of cancer research 8:462-475 PubMed29637001

2018

Highly expressed histone deacetylase 5 promotes the growth of hepatocellular carcinoma cells by inhibiting the TAp63-maspin pathway.

Applications

WB

Species

Human

Hongqian Gu,Zejun Fang,Xiang Cai,Rui Song,Min Lin,Jiangwei Ye,Xiaokun Ding,Qinjian Ke,Haihong Chen,Chaoju Gong,Ming Ye

Scientific reports 5:13347 PubMed26289340

2015

Ductal activation of oncogenic KRAS alone induces sarcomatoid phenotype.

Applications

Unspecified application

Species

Unspecified reactive species

Yong Fu,Zobeida Cruz-Monserrate,H Helen Lin,Yiyin Chung,Baoan Ji,Szu-Min Lin,Steven Vonderfecht,Craig D Logsdon,Chien-Feng Li,David K Ann
View all publications

Abcam product promise

当社は、高品質な試薬を通じてお客様の研究を力強くサポートすることをお約束いたします。ご使用いただく各段階で、常にお客様をサポートできる体制を整えております。万が一、製品が期待通りに機能しない場合は、「Abcam Product Promise」による当社保証制度に基づき、安心してご利用いただけます。
保証に関する詳細については利用規約をご確認ください。

Please note: All products are 'FOR RESEARCH USE ONLY. NOT FOR USE IN DIAGNOSTIC OR THERAPEUTIC PROCEDURES'.

For licensing inquiries, please contact partnerships@abcam.com