JavaScript is disabled in your browser. Please enable JavaScript to view this website.
AB32034

Anti-p27 KIP 1 抗体 [Y236]

Anti-p27 KIP 1 antibody [Y236]

4

(18 Reviews)

|

(235 Publications)

Anti-p27 KIP 1 antibody [Y236] (ab32034) is a rabbit monoclonal antibody detecting p27 KIP 1 in Western Blot, Flow Cytometry (Intra), IP, IHC-P, ICC/IF. Suitable for Human, Mouse, Rat.

- KO validated for confirmed specificity
- Biophysical QC for unrivalled batch-batch consistency
- Over 200 publications
- Trusted since 2006

別名を表示する

KIP1, p27, CDKN1B, Cyclin-dependent kinase inhibitor 1B, Cyclin-dependent kinase inhibitor p27, p27Kip1

22 Images
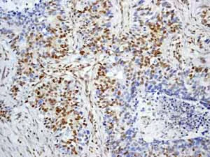
Immunohistochemistry (Formalin/PFA-fixed paraffin-embedded sections) - Anti-p27 KIP 1 antibody [Y236] (AB32034)
  • IHC-P

Unknown

Immunohistochemistry (Formalin/PFA-fixed paraffin-embedded sections) - Anti-p27 KIP 1 antibody [Y236] (AB32034)

Immunohistochemical analysis of paraffin-embedded human breast carcinoma. Heat mediated antigen retrieval was performed using ab93684 (Tris/EDTA buffer, pH 9.0).

Immunocytochemistry/ Immunofluorescence - Anti-p27 KIP 1 antibody [Y236] (AB32034)
  • ICC/IF

Unknown

Immunocytochemistry/ Immunofluorescence - Anti-p27 KIP 1 antibody [Y236] (AB32034)

Unpurified ab32034 staining p27 KIP1 in MCF7 cells treated with NS 398 (ab120295), by ICC/IF. Increase in p27 KIP1 expression correlates with increased concentration of NS 398, as described in literature.
The cells were incubated at 37°C for 6h in media containing different concentrations of ab120295 (NS 398) in DMSO, fixed with 4% formaldehyde for 10 minutes at room temperature and blocked with PBS containing 10% goat serum, 0.3 M glycine, 1% BSA and 0.1% tween for 2h at room temperature. Staining of the treated cells with ab32034 (1/100 dilution) was performed overnight at 4°C in PBS containing 1% BSA and 0.1% tween. A DyLight 488 goat anti-rabbit polyclonal antibody (ab96899) at 1/250 dilution was used as the secondary antibody.

Flow Cytometry (Intracellular) - Anti-p27 KIP 1 antibody [Y236] (AB32034)
  • Flow Cyt (Intra)

Unknown

Flow Cytometry (Intracellular) - Anti-p27 KIP 1 antibody [Y236] (AB32034)

Overlay histogram showing HAP1 wildtype (green line) and HAP1-CDKN1B knockout cells (red line) stained with ab32034. The cells were fixed with 80% methanol (5 min) and then permeabilized with 0.1% PBS-Triton X-100 for 15 min. The cells were then incubated in 1x PBS / 10% normal goat serum to block non-specific protein-protein interactions followed by the antibody (ab32034, 1μg/ml) for 30 min at 22°C. The secondary antibody used was Alexa Fluor® 488 goat anti-rabbit IgG (H&L) presorbed (ab150081) at 1/2000 dilution for 30 min at 22°C. A rabbit IgG isotype control antibody (ab172730) was used at the same concentration and conditions as the primary antibody (HAP1 wildtype - black line, HAP1-CDKN1B knockout - grey line). Unlabelled sample was also used as a control (this line is not shown for the purpose of simplicity). Acquisition of >5,000 events were collected using a 50 mW Blue laser (488nm) and 530/30 bandpass filter. This antibody can also be used in HAP1 cells fixed with 4%PFA (10 min), permeabilized with 0.1% PBS-Triton X-100 for 15 min under the same conditions.

Immunocytochemistry/ Immunofluorescence - Anti-p27 KIP 1 antibody [Y236] (AB32034)
  • ICC/IF

Unknown

Immunocytochemistry/ Immunofluorescence - Anti-p27 KIP 1 antibody [Y236] (AB32034)

Immunocytochemistry/Immunofluorescence analysis of HeLa (human cervix adenocarcinoma) cells labelling p27 KIP 1 (green) with purified ab32034 at 1/500. Cells were fixed with 4% Paraformaldehyde and permeabilized with 0.1% Triton X-100. ab150077, Alexa Fluor® 488-conjugated goat anti-rabbit IgG (1/1000) was used as the secondary antibody. Nuclei were counterstained with DAPI (blue).

Secondary Only Control : PBS was used instead of the primary antibody as the negative control.

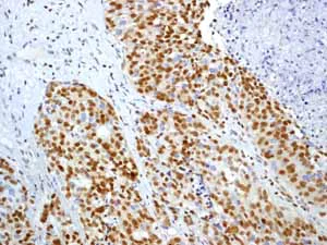
Immunohistochemistry (Formalin/PFA-fixed paraffin-embedded sections) - Anti-p27 KIP 1 antibody [Y236] (AB32034)
  • IHC-P

Unknown

Immunohistochemistry (Formalin/PFA-fixed paraffin-embedded sections) - Anti-p27 KIP 1 antibody [Y236] (AB32034)

Immunohistochemistry (Formalin/PFA-fixed paraffin-embedded sections) analysis of Human cervical carcinoma tissue sections labeling p27 KIP 1 with Purified ab32034 at 1 : 50 dilution (10.4 μg/ml). Heat mediated antigen retrieval was performed using ab93684 (Tris/EDTA buffer, pH 9.0). Tissue was counterstained with Hematoxylin. ImmunoHistoProbe one step HRP Polymer (ready to use) secondary antibody was used at 1 : 0 dilution. PBS instead of the primary antibody was used as the negative control.

Flow Cytometry (Intracellular) - Anti-p27 KIP 1 antibody [Y236] (AB32034)
  • Flow Cyt (Intra)

Unknown

Flow Cytometry (Intracellular) - Anti-p27 KIP 1 antibody [Y236] (AB32034)

Unpurified ab32034 staining p27 KIP 1in the human cell line MCF-7 (human breast carcinoma) by intracellular flow cytometry. Cells were fixed with 4% paraformaldehyde, permeabilized with 90% methanol and the sample was incubated with the primary antibody at a dilution of 1/20. A goat anti rabbit IgG (Alexa Fluor® 488) at a dilution of 1/2000 was used as the secondary antibody.

Isoytype control : Rabbit monoclonal IgG (Black)

Unlabelled control : Cell without incubation with primary antibody and secondary antibody (Blue)

Flow Cytometry (Intracellular) - Anti-p27 KIP 1 antibody [Y236] (AB32034)
  • Flow Cyt (Intra)

Unknown

Flow Cytometry (Intracellular) - Anti-p27 KIP 1 antibody [Y236] (AB32034)

Intracellular Flow Cytometry analysis of MCF7 (Human breast adenocarcinoma epithelial cell) cells labeling p27 KIP 1 with purified ab32034 at 1/50 dilution (10μg/ml) (red). Cells were fixed with 4% Paraformaldehyde and permeabilised with 90% methanol. A Goat anti rabbit IgG (Alexa Fluor® 488) secondary antibody was used at 1/2000 dilution. Isotype control - Rabbit monoclonal IgG (Black). Unlabeled control - Cell without incubation with primary antibody and secondary antibody (Blue).

Immunoprecipitation - Anti-p27 KIP 1 antibody [Y236] (AB32034)
  • IP

Unknown

Immunoprecipitation - Anti-p27 KIP 1 antibody [Y236] (AB32034)

ab32034 (purified) at 1/20 dilution (2μg) immunoprecipitating p27 KIP 1 in MCF7 (Human breast adenocarcinoma epithelial cell) whole cell lysate.

Lane 1 (input) : MCF7 (Human breast adenocarcinoma epithelial cell) whole cell lysate 10μg
Lane 2 (+) : ab32034 & MCF7 (Human breast adenocarcinoma epithelial cell) whole cell lysate
Lane 3 (-) : Rabbit monoclonal IgG (ab172730) instead of ab32034 in MCF7 (Human breast adenocarcinoma epithelial cell) whole cell lysate

For western blotting, VeriBlot for IP Detection Reagent (HRP) (ab131366) was used for detection at 1/1000 dilution.
Blocking and diluting buffer : 5% NFDM/TBST.

All lanes:

Immunoprecipitation - Anti-p27 KIP 1 antibody [Y236] (ab32034)

Predicted band size: 22 kDa

false

Immunocytochemistry/ Immunofluorescence - Anti-p27 KIP 1 antibody [Y236] (AB32034)
  • ICC/IF

Unknown

Immunocytochemistry/ Immunofluorescence - Anti-p27 KIP 1 antibody [Y236] (AB32034)

Immunocytochemistry/ Immunofluorescence analysis of RAW264.7 (Mouse Abelson murine leukemia virus-induced tumor macrophage) treated with 100ng/ml LPS for 7 h and 1µg/ml BFA for the last 3h cells labeling p27 KIP 1 with purified ab32034 at 1/100 dilution (5.22 µg/ml). Cells were fixed in 4% paraformaldehyde and permeabilized with 0.1% Triton X-100. Cells were counterstained with ab195889 Anti-alpha Tubulin antibody [DM1A] - Microtubule Marker (Alexa Fluor® 594) 1/200 (2.5 µg/ml). Goat anti rabbit IgG (Alexa Fluor® 488, ab150077) was used as the secondary antibody at 1/1000 dilution (2 µg/ml) dilution. DAPI was used as nuclear counterstain. PBS instead of the primary antibody was used as the secondary antibody only control.

Flow Cytometry (Intracellular) - Anti-p27 KIP 1 antibody [Y236] (AB32034)
  • Flow Cyt (Intra)

Unknown

Flow Cytometry (Intracellular) - Anti-p27 KIP 1 antibody [Y236] (AB32034)

Flow cytometry analysis of NIH/3T3 (Mouse embryonic fibroblast) cells labelling p27 KIP 1 with ab32034 at 1/500 dilution (5.22 © : g/ml) (Red). Cells were fixed with 4% paraformaldehyde . Goat anti rabbit IgG (Alexa Fluor� 488, ab150077) was used as the secondary antibody at 1/2000 dilution. Isotype control - Rabbit monoclonal IgG (ab172730) (Black). Unlabeled control - Unlabelled cells (Blue).

Immunoprecipitation - Anti-p27 KIP 1 antibody [Y236] (AB32034)
  • IP

Unknown

Immunoprecipitation - Anti-p27 KIP 1 antibody [Y236] (AB32034)

ab32034 (purified) at 1/500 dilution (1.044 © : g/ml) immunoprecipitating p27 KIP 1 in C6 whole cell lysate.
Lane 1 (input) : C6(Rat glial tumor glial cell) whole cell lysate 10 © : g
Lane 2 (+) : ab32034 & C6 whole cell lysate
Lane 3 (-) : Rabbit monoclonal IgG (ab172730) instead of ab32034 in C6 whole cell lysate
For western blotting, VeriBlot for IP secondary antibody (HRP) (ab131366) was used as the secondary antibody at 1/1000 dilution.
Blocking and diluting buffer : 5% NFDM /TBST .

All lanes:

Immunoprecipitation - Anti-p27 KIP 1 antibody [Y236] (ab32034)

Predicted band size: 22 kDa

false

Western blot - Anti-p27 KIP 1 antibody [Y236] (AB32034)
  • WB

Lab

Western blot - Anti-p27 KIP 1 antibody [Y236] (AB32034)

Western blot : Anti-CDKN1B antibody [Y236] (ab32034) staining at 1/5000 dilution, shown in green; Mouse anti-Alpha Tubulin [DM1A] (ab7291) loading control staining at 1/20000 dilution, shown in magenta. In Western blot, ab32034 was shown to bind specifically to CDKN1B. A band was observed at 30 kDa in wild-type HCT 116 cell lysates with no signal observed at this size in CDKN1B knockout cell line. To generate this image, wild-type and CDKN1B knockout HCT 116 cell lysates were analysed. First, samples were run on an SDS-PAGE gel then transferred onto a nitrocellulose membrane. Membranes were blocked in 3 % milk in TBS-0.1 % Tween® 20 (TBS-T) before incubation with primary antibodies overnight at 4 °C. Blots were washed four times in TBS-T, incubated with secondary antibodies for 1 h at room temperature, washed again four times then imaged. Secondary antibodies used were Goat anti-Rabbit IgG H&L 800CW and Goat anti-Mouse IgG H&L 680RD at 1/20000 dilution.

All lanes:

Western blot - Anti-p27 KIP 1 antibody [Y236] (ab32034) at 1/5000 dilution

Lane 1:

Wild-type HCT 116 cell lysate at 20 µg

Lane 2:

CDKN1B knockout HCT 116 cell lysate at 20 µg

Lane 3:

Wild-type HAP1 cell lysate at 20 µg

Lane 4:

CDKN1B knockout HAP1 cell lysate at 20 µg

Secondary

All lanes:

Goat anti-Rabbit IgG H&L 800CW and Goat anti-Mouse IgG H&L 680RD at 1/20000 dilution

false

Western blot - Anti-p27 KIP 1 antibody [Y236] (AB32034)
  • WB

Unknown

Western blot - Anti-p27 KIP 1 antibody [Y236] (AB32034)

Lane 1 : Wild type HAP1 whole cell lysate (20 μg)
Lane 2 : CDKN1B knockout HAP1 whole cell lysate (20 μg)
Lane 3 : HeLa whole cell lysate (20 μg)
Lane 4 : MCF7 whole cell lysate (20 μg)

Lanes 1 - 4 : Merged signal (red and green). Green - ab32034 observed at 30 kDa. Red - loading control, ab8245, observed at 37 kDa.

Unpurified ab32034 was shown to specifically react with CDKN1B in wild-type HAP1 cells. No band was observed when CDKN1B knockout samples were used. Wild-type and CDKN1B knockout samples were subjected to SDS-PAGE. ab32034 and ab8245 (Mouse anti GAPDH loading control) were incubated overnight at 4°C at 1/1000 and 1/10000 respectively. Blots were developed with 800CW Goat anti Rabbit and 680CW Goat anti Mouse secondary antibodies at 1/10000 dilution for 1 hour at room temperature before imaging.

All lanes:

Western blot - Anti-p27 KIP 1 antibody [Y236] (ab32034)

Predicted band size: 22 kDa

false

Western blot - Anti-p27 KIP 1 antibody [Y236] (AB32034)
  • WB

Lab

Western blot - Anti-p27 KIP 1 antibody [Y236] (AB32034)

Blocking and diluting buffer : 5% NFDM/TBST

All lanes:

Western blot - Anti-p27 KIP 1 antibody [Y236] (ab32034) at 1/5000 dilution

Lane 1:

MCF7 (Human breast adenocarcinoma epithelial cell) whole cell lysates at 15 µg

Lane 2:

C6 (Rat glial tumor glial cell) whole cell lysates at 15 µg

Secondary

All lanes:

Western blot - Goat Anti-Rabbit IgG H&L (HRP) (<a href='/products/secondary-antibodies/goat-rabbit-igg-h-l-hrp-ab97051'>ab97051</a>) at 1/20000 dilution

Predicted band size: 22 kDa

false

Western blot - Anti-p27 KIP 1 antibody [Y236] (AB32034)
  • WB

Lab

Western blot - Anti-p27 KIP 1 antibody [Y236] (AB32034)

Blocking and diluting buffer : 5% NFDM/TBST

All lanes:

Western blot - Anti-p27 KIP 1 antibody [Y236] (ab32034) at 1/5000 dilution

All lanes:

HeLa (Human cervix adenocarcinoma epithelial cell) whole cell lysates at 15 µg

Secondary

All lanes:

Western blot - Goat Anti-Rabbit IgG H&L (HRP) (<a href='/products/secondary-antibodies/goat-rabbit-igg-h-l-hrp-ab97051'>ab97051</a>) at 1/20000 dilution

Predicted band size: 22 kDa

false

Western blot - Anti-p27 KIP 1 antibody [Y236] (AB32034)
  • WB

Lab

Western blot - Anti-p27 KIP 1 antibody [Y236] (AB32034)

False colour image of Western blot : Anti-p27 KIP 1 antibody [Y236] staining at 1/5000 dilution, shown in green; Mouse anti-Alpha Tubulin [DM1A] (ab7291) loading control staining at 1/20000 dilution, shown in red. In Western blot, ab32034 was shown to bind specifically to p27 KIP 1. A band was observed at 28 kDa in wild-type RAW 264.7 cell lysates with no signal observed at this size in CDKN1B knockout cell line ab281619 (knockout cell lysate ab282970). To generate this image, wild-type and CDKN1B knockout RAW 264.7 cell lysates were analysed. First, samples were run on an SDS-PAGE gel then transferred onto a nitrocellulose membrane. Membranes were blocked in 3 % milk in TBS-0.1 % Tween® 20 (TBS-T) before incubation with primary antibodies overnight at 4 °C. Blots were washed four times in TBS-T, incubated with secondary antibodies for 1 h at room temperature, washed again four times then imaged. Secondary antibodies used were Goat anti-Rabbit IgG H&L (IRDye® 800CW) preabsorbed (ab216773) and Goat anti-Mouse IgG H&L (IRDye® 680RD) preabsorbed (ab216776) at 1/20000 dilution.

All lanes:

Western blot - Anti-p27 KIP 1 antibody [Y236] (ab32034) at 1/5000 dilution

Lane 1:

Wild-type RAW 264.7 cell lysate at 20 µg

Lane 2:

CDKN1B knockout RAW 264.7 cell lysate at 20 µg

Lane 2:

Western blot - Mouse CDKN1B (p27 KIP 1) knockout RAW 264.7 cell line (<a href='/products/cell-lines/mouse-cdkn1b-p27-kip-1-knockout-raw-2647-cell-line-ab281619'>ab281619</a>)

Predicted band size: 22 kDa

Observed band size: 28 kDa

false

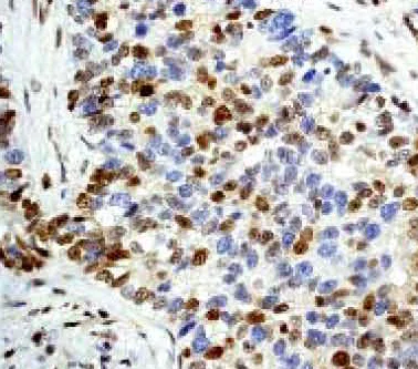
Immunohistochemistry (Formalin/PFA-fixed paraffin-embedded sections) - Anti-p27 KIP 1 antibody [Y236] (AB32034)
  • IHC-P

Unknown

Immunohistochemistry (Formalin/PFA-fixed paraffin-embedded sections) - Anti-p27 KIP 1 antibody [Y236] (AB32034)

Unpurified ab32034 showing positive staining in Glioma tissue. Heat mediated antigen retrieval was performed using ab93684 (Tris/EDTA buffer, pH 9.0).

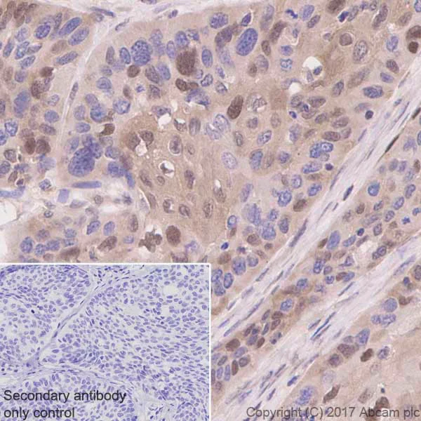
Immunohistochemistry (Formalin/PFA-fixed paraffin-embedded sections) - Anti-p27 KIP 1 antibody [Y236] (AB32034)
  • IHC-P

Unknown

Immunohistochemistry (Formalin/PFA-fixed paraffin-embedded sections) - Anti-p27 KIP 1 antibody [Y236] (AB32034)

Unpurified ab32034 showing positive staining in Stomach adenocarcinoma tissue. Heat mediated antigen retrieval was performed using ab93684 (Tris/EDTA buffer, pH 9.0).

Immunohistochemistry (Formalin/PFA-fixed paraffin-embedded sections) - Anti-p27 KIP 1 antibody [Y236] (AB32034)
  • IHC-P

Unknown

Immunohistochemistry (Formalin/PFA-fixed paraffin-embedded sections) - Anti-p27 KIP 1 antibody [Y236] (AB32034)

Unpurified ab32034 showing positive staining in Ovarian carcinoma tissue. Heat mediated antigen retrieval was performed using ab93684 (Tris/EDTA buffer, pH 9.0).

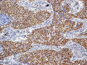
Immunohistochemistry (Formalin/PFA-fixed paraffin-embedded sections) - Anti-p27 KIP 1 antibody [Y236] (AB32034)
  • IHC-P

Unknown

Immunohistochemistry (Formalin/PFA-fixed paraffin-embedded sections) - Anti-p27 KIP 1 antibody [Y236] (AB32034)

Unpurified ab32034 showing positive staining in Colonic adenocarcinoma tissue. Heat mediated antigen retrieval was performed using ab93684 (Tris/EDTA buffer, pH 9.0).

Western blot - Anti-p27 KIP 1 antibody [Y236] (AB32034)
  • WB

Unknown

Western blot - Anti-p27 KIP 1 antibody [Y236] (AB32034)

All lanes:

Western blot - Anti-p27 KIP 1 antibody [Y236] (ab32034) at 1/1000 dilution

All lanes:

MCF-7 cell lysate

Predicted band size: 22 kDa

Observed band size: 27 kDa

false

OI-RD Scanning - Anti-p27 KIP 1 antibody [Y236] (AB32034)
  • OI-RD Scanning

Unknown

OI-RD Scanning - Anti-p27 KIP 1 antibody [Y236] (AB32034)

We have systematically measured KD (the equilibrium dissociation constant between the antibody and its antigen), of more than 840 recombinant antibodies to assess not only their individual KD values but also to see the average affinity of antibody. Based on the comparison with published literature values for mouse monoclonal antibodies, Recombinant antibodies appear to be on average 1-2 order of magnitude higher affinity.

関連する標識済み抗体及び組成の異なる製品 (3)

  • Carrier free

    Anti-p27 KIP 1 antibody [Y236] - BSA and Azide free

  • 660 APC

    APC Anti-p27 KIP 1 antibody [Y236]

  • 578 PE

    PE Anti-p27 KIP 1 antibody [Y236]

Key facts

宿主種

Rabbit

クローン性

Monoclonal

クローン番号

Y236

アイソタイプ

IgG

キャリアフリー

No

交差種

Mouse, Rat, Human

アプリケーション

Flow Cyt (Intra), IHC-P, IP, WB, ICC/IF

applications

免疫原

The exact immunogen used to generate this antibody is proprietary information.

特異性

This antibody recognises p27(Kip1).

Reactivity data

{ "title": "Reactivity Data", "filters": { "stats": ["", "Species", "Dilution Info", "Notes"], "tabs": { "all-applications": {"fullname" : "All Applications", "shortname": "All Applications"}, "IP" : {"fullname" : "Immunoprecipitation", "shortname":"IP"}, "WB" : {"fullname" : "Western blot", "shortname":"WB"}, "ICCIF" : {"fullname" : "Immunocytochemistry/ Immunofluorescence", "shortname":"ICC/IF"}, "FlowCytIntra" : {"fullname" : "Flow Cytometry (Intracellular)", "shortname":"Flow Cyt (Intra)"}, "IHCP" : {"fullname" : "Immunohistochemistry (Formalin/PFA-fixed paraffin-embedded sections)", "shortname":"IHC-P"} }, "product-promise": { "all": "all", "testedAndGuaranteed": "tested", "guaranteed": "expected", "predicted": "predicted", "notRecommended": "not-recommended" } }, "values": { "Human": { "IP-species-checked": "testedAndGuaranteed", "IP-species-dilution-info": "1/30", "IP-species-notes": "<p><strong>For unpurified use at 1:50. </strong></p>", "WB-species-checked": "testedAndGuaranteed", "WB-species-dilution-info": "1/5000", "WB-species-notes": "<p><strong>For unpurified use at 1:1000.</strong></p>", "ICCIF-species-checked": "testedAndGuaranteed", "ICCIF-species-dilution-info": "1/100 - 1/500", "ICCIF-species-notes": "<p></p>", "FlowCytIntra-species-checked": "testedAndGuaranteed", "FlowCytIntra-species-dilution-info": "1/50", "FlowCytIntra-species-notes": "<p><a href='/products/primary-antibodies/rabbit-igg-monoclonal-epr25a-isotype-control-ab172730'>ab172730</a> - Rabbit monoclonal IgG, is suitable for use as an isotype control with this antibody. For unpurified use at 1/20 - 1/40.</p>", "IHCP-species-checked": "testedAndGuaranteed", "IHCP-species-dilution-info": "1/50", "IHCP-species-notes": "<p></p> Perform heat-mediated antigen retrieval with Tris/EDTA buffer pH 9.0 before commencing with IHC staining protocol." }, "Mouse": { "IP-species-checked": "guaranteed", "IP-species-dilution-info": "", "IP-species-notes": "", "WB-species-checked": "guaranteed", "WB-species-dilution-info": "", "WB-species-notes": "", "ICCIF-species-checked": "testedAndGuaranteed", "ICCIF-species-dilution-info": "1/100 - 1/500", "ICCIF-species-notes": "<p></p>", "FlowCytIntra-species-checked": "testedAndGuaranteed", "FlowCytIntra-species-dilution-info": "1/50", "FlowCytIntra-species-notes": "<p><a href='/products/primary-antibodies/rabbit-igg-monoclonal-epr25a-isotype-control-ab172730'>ab172730</a> - Rabbit monoclonal IgG, is suitable for use as an isotype control with this antibody. For unpurified use at 1/20 - 1/40.</p>", "IHCP-species-checked": "guaranteed", "IHCP-species-dilution-info": "", "IHCP-species-notes": "" }, "Rat": { "IP-species-checked": "testedAndGuaranteed", "IP-species-dilution-info": "1/30", "IP-species-notes": "<p><strong>For unpurified use at 1:50. </strong></p>", "WB-species-checked": "guaranteed", "WB-species-dilution-info": "", "WB-species-notes": "", "ICCIF-species-checked": "guaranteed", "ICCIF-species-dilution-info": "", "ICCIF-species-notes": "", "FlowCytIntra-species-checked": "guaranteed", "FlowCytIntra-species-dilution-info": "", "FlowCytIntra-species-notes": "", "IHCP-species-checked": "notRecommended", "IHCP-species-dilution-info": "", "IHCP-species-notes": "<p></p>" } } }

製品の詳細

What is this antibody validated in?
Anti-p27 KIP 1 antibody [Y236] (ab32034) is a rabbit recombinant monoclonal antibody and is validated for use in Western Blot (WB), Flow Cytometry (Intra), Flow Cytometry (Flow Cyt), Immunoprecipitation (IP), Immunohistochemistry (IHC-P), Immunocytochemistry/immunofluorescence (ICC/IF) in Human, Mouse, Rat samples.

What is the molecular weight of p27 KIP 1?
Anti-p27 KIP 1 [Y236] (ab32034) specifically detects a band for p27 KIP 1 (UniProt: P46527) at a molecular weight of 22kDa.

Trusted by the scientific community
Anti-p27 KIP 1 [Y236] (ab32034) was first used in a scientific publication in 2006 and has been cited over 200 times in peer-reviewed journals.

Reviewed by scientists
Anti-p27 KIP 1 [Y236] (ab32034) has over 15 independent reviews from customers.

Trial sizes available!
Test your antibody or perform pre-screening before committing to a larger quantity. Sold in 10µl. Discover our selection of trial-size antibodies.

Specificity confirmed
The specificity of Anti-p27 KIP 1 antibody [Y236] (ab32034) has been confirmed by Western blot testing in CDKN1B Knockout HAP1 cells.

Other related products
We have a range of other formats of antibody clone [Y236] also available for your convenience: ab32034, HRP - ab194235, Carrier free - ab206927, APC - ab310850, PE - ab310920

Patented technology
Our RabMAb® technology is a patented hybridoma-based technology for making rabbit monoclonal antibodies. For details on our patents, please refer to RabMAb® patents.

What are the advantages of a recombinant monoclonal antibody?
This product is a recombinant monoclonal antibody, which offers several advantages including:

  • - High batch-to-batch consistency and reproducibility
  • - Improved sensitivity and specificity
  • - Long-term security of supply
  • - Animal-free batch production

For more information, read more on recombinant antibodies.

出荷温度及び保存条件

製品の状態
Liquid
精製方法
Affinity purification Protein A
バッファー組成
pH: 7.2 - 7.4 Preservative: 0.01% Sodium azide Constituents: PBS, 40% Glycerol (glycerin, glycerine), 0.05% BSA
出荷温度
Blue Ice
短期保存期間
1-2 weeks
短期保存温度
+4°C
長期保存温度
-20°C
分注に関する情報
Upon delivery aliquot
保管に関する情報
Avoid freeze / thaw cycle

補足情報

This supplementary information is collated from multiple sources and compiled automatically.

The protein known as p27 KIP1 also referred to as p27 CDKN1B or KIP1 is a member of the kinase inhibitory protein family. It plays an important role in cell cycle regulation by inhibiting cyclin-dependent kinases (CDKs). p27 KIP1 weighs approximately 27 kDa and can be found in various tissues where it regulates cell proliferation. The protein functions as a suppressor by binding to cyclin-CDK complexes preventing the transition from G1 phase to S phase in the cell division cycle.
Biological function summary

The function of p27 KIP1 involves its role in controlling cell growth and division. It achieves this by becoming a part of larger protein complexes involving CDKs and cyclins. By directly interacting with these complexes p27 KIP1 modulates cell cycle progression therefore acting as a brake on cellular proliferation. The protein is important in maintaining proper cell cycle checkpoints and preventing uncontrolled cell growth which is essential for normal cellular functioning.

Pathways

The involvement of p27 KIP1 centers on cell cycle regulation and signaling pathways such as the PI3K/AKT pathway. Its interaction with CDKs and cyclins situates it within the core mechanisms that determine cell division timing. p27 KIP1 operates alongside other proteins like cyclin D and CDK4/6 fitting into the regulatory intricacies of these pathways. Proper functioning of these pathways ensures cellular homeostasis and prevents the development of oncogenic processes.

Dysfunction of p27 KIP1 has links to cancer and neurodegenerative diseases. Low levels or mutations can lead to uncontrolled cell proliferation contributing to the development and progression of cancers such as breast cancer. p27 KIP1's role in neurodegenerative diseases involves its regulation of neuronal cell cycle re-entry with abnormalities potentially exacerbating conditions like Alzheimer's disease. In these contexts its interaction with proteins such as cyclin E and CDK2 becomes particularly relevant in understanding disease mechanisms.

製品プロトコール

For this product, it's our understanding that no specific protocols are required. You can visit:

ターゲットの情報

Important regulator of cell cycle progression. Inhibits the kinase activity of CDK2 bound to cyclin A, but has little inhibitory activity on CDK2 bound to SPDYA (PubMed : 28666995). Involved in G1 arrest. Potent inhibitor of cyclin E- and cyclin A-CDK2 complexes. Forms a complex with cyclin type D-CDK4 complexes and is involved in the assembly, stability, and modulation of CCND1-CDK4 complex activation. Acts either as an inhibitor or an activator of cyclin type D-CDK4 complexes depending on its phosphorylation state and/or stoichometry.
See full target information CDKN1B

文献 (235)

Recent publications for all applications. Explore the full list and refine your search

Cell biology and toxicology 41:61 PubMed40111576

2025

CUL1-neddylation contributes to K29-linked ubiquitination on p27 for autophagic degradation in sorafenib-resistant liver cancer.

Applications

Unspecified application

Species

Unspecified reactive species

Haitao Xu,Shaoyue Zheng,Qiuqi Zhang,Ying Xu,Hanbo Zhang,Tianming Hu,Xiaoling Zhang,Jiaoting E,Xuedong Li,Ruitao Wang,Hongyan Liu,Rui Xie

Scientific reports 15:6642 PubMed39994297

2025

Ethoxychelerythrine as a potential therapeutic strategy targets PI3K/AKT/mTOR induced mitochondrial apoptosis in the treatment of colorectal cancer.

Applications

Unspecified application

Species

Unspecified reactive species

Yaqin Meng,Yanpo Si,Tao Guo,Weiwei Zhao,Liping Zhang,Ya Wang,Lianping Wang,Ke Sun,Shuying Feng

Cell death and differentiation 32:1428-1440 PubMed39962243

2025

The LINC01315-encoded small protein YAPer-ORF competes with PRP4k to hijack YAP signaling to aberrantly promote cell growth.

Applications

Unspecified application

Species

Unspecified reactive species

Zhu Xie,Chao Li,Rui Huang,Bo Wu,Qian Huang,Zhe Zhang,Tongjin Zhao,Lingqian Wu,Chengtao Li,Jianfeng Shen,Hongyan Wang

The Journal of biological chemistry 301:108247 PubMed39894218

2025

A BRAF-activated noncoding RNA attenuates clear cell renal cell carcinoma via repression of glucose-6-phosphate dehydrogenase.

Applications

Unspecified application

Species

Unspecified reactive species

Wenjing Liu,Yueli Ni,Honggang Bai,Xiangjie Liu,Asif Shahzad,Kun Cui,Qiuxin Duan,Ziyuan Bai,Yurong Dong,Zihan Yi,Buqing Sai,Yingmin Kuang,Chen Guo,Yuechun Zhu,Qiao Zhang,Zhe Yang

Annals of dermatology 36:282-291 PubMed39343755

2024

Upregulated SKP2 Empowers Epidermal Proliferation Through Downregulation of P27 Kip1.

Applications

Unspecified application

Species

Unspecified reactive species

Lipeng Tang,Bowen Zhang,Guanzhuo Li,Xinmin Qiu,Zixin Dai,Hongying Liu,Ying Zhu,Bing Feng,Zuqing Su,Wenhui Han,Huilin Huang,Qiuping Li,Zihao Zhang,Maojie Wang,Huazhen Liu,Yuchao Chen,Yanmei Zhang,Dinghong Wu,Xirun Zheng,Taohua Liu,Jie Zhao,Chutian Li,Guangjuan Zheng

Journal of cardiothoracic surgery 19:509 PubMed39223627

2024

Mechanism of KLF2 in young mice with pneumonia induced by Streptococcus pneumoniae.

Applications

Unspecified application

Species

Unspecified reactive species

Xiaoshuang Li,Weihua Xu,Tao Jing

Advanced science (Weinheim, Baden-Wurttemberg, Germany) 11:e2400666 PubMed39136283

2024

CDK4/6 Inhibitors Impede Chemoresistance and Inhibit Tumor Growth of Small Cell Lung Cancer.

Applications

Unspecified application

Species

Unspecified reactive species

Yang Wen,Xue Sun,Lingge Zeng,Shumei Liang,Deyu Li,Xiangtian Chen,Fanrui Zeng,Chao Zhang,Qiongyao Wang,Qinsong Zhong,Ling Deng,Linlang Guo

Heliyon 10:e34094 PubMed39071619

2024

PRAME promotes proliferation of multiple myeloma cells through CTMP/Akt/p21/CCND3 axis by ubiquitinating CTMP and p21.

Applications

Unspecified application

Species

Unspecified reactive species

Kai Sun,Lu Yang,Feng Wang,Ying Liu,Nan Xu,Zong-Yan Shi,Wen-Min Chen,Ke Li,Ya-Zhen Qin

Immunology and cell biology 102:847-859 PubMed39044372

2024

The up-regulation of PD-L1 during boningmycin-induced senescence in human cancer cells depends on the activation of the JAK/STAT signaling pathway mediated by SASP.

Applications

Unspecified application

Species

Unspecified reactive species

Yang Chen,Jiajia Shen,Xiaoli Zhao,Qiyang He,Juan Zhang

Frontiers in oncology 14:1418951 PubMed39011477

2024

Pharmacological inhibition of CDK4/6 impairs diffuse pleural mesothelioma 3D spheroid growth and reduces viability of cisplatin-resistant cells.

Applications

Unspecified application

Species

Unspecified reactive species

Aurora Costa,Iris Maria Forte,Francesca Pentimalli,Carmelina Antonella Iannuzzi,Luigi Alfano,Francesca Capone,Rosa Camerlingo,Alessandra Calabrese,Claudia von Arx,Reyes Benot Dominguez,Massimiliano Quintiliani,Michelino De Laurentiis,Andrea Morrione,Antonio Giordano
View all publications

Abcam product promise

当社は、高品質な試薬を通じてお客様の研究を力強くサポートすることをお約束いたします。ご使用いただく各段階で、常にお客様をサポートできる体制を整えております。万が一、製品が期待通りに機能しない場合は、「Abcam Product Promise」による当社保証制度に基づき、安心してご利用いただけます。
保証に関する詳細については利用規約をご確認ください。

Please note: All products are 'FOR RESEARCH USE ONLY. NOT FOR USE IN DIAGNOSTIC OR THERAPEUTIC PROCEDURES'.

For licensing inquiries, please contact partnerships@abcam.com