JavaScript is disabled in your browser. Please enable JavaScript to view this website.
AB8448

Anti-Osteopontin 抗体

Anti-Osteopontin antibody

4

(14 Reviews)

|

(444 Publications)

Anti-Osteopontin antibody (ab8448) is a rabbit polyclonal antibody detecting Osteopontin in IHC-P. Suitable for Human.

- Over 440 publications
- Trusted since 2001

別名を表示する

BNSP, OPN, PSEC0156, SPP1, Osteopontin, Bone sialoprotein 1, Nephropontin, Secreted phosphoprotein 1, Urinary stone protein, Uropontin, SPP-1

3 Images
Immunohistochemistry (Formalin/PFA-fixed paraffin-embedded sections) - Anti-Osteopontin antibody (AB8448)
  • IHC-P

Supplier Data

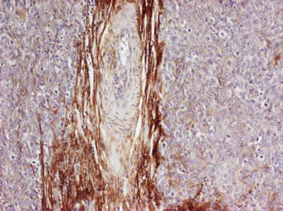
Immunohistochemistry (Formalin/PFA-fixed paraffin-embedded sections) - Anti-Osteopontin antibody (AB8448)

Human Breast tumour section. Osteopontin is a normal component of elastic fibers in the breast (shown heavily stained in this section). There is also weak staining of the extracellular matrix. Osteopontin is not believed to be expressed inside breast tumour cells, and there is no staining in the intracellular region of the breast cells in this section.

Osteopontin antibody (ab8448) used at 1 : 100-1 : 300. No antigen retrieval is required.

Schematic Diagram - Anti-Osteopontin antibody (AB8448)
  • Schematic Diagram

PubMed

Schematic Diagram - Anti-Osteopontin antibody (AB8448)

OPN is cleaved by MMP to yield 2 fragments, which migrate at 40kD(N terminal) and 32kD (C terminal). The C terminal fragment can undergo further cleavage by both of these MMPs (see Agnihotri et al, JBC 2001 for further details). The epitope recognised by ab8448 is shown in violet. This antibody detects the full length OPN and the 32kD fragment. It does not recognise the 40kD fragment.

This image is courtesy of Agnihotri et al, JBC 2001

Immunohistochemistry (Formalin/PFA-fixed paraffin-embedded sections) - Anti-Osteopontin antibody (AB8448)
  • IHC-P

CiteAb

Immunohistochemistry (Formalin/PFA-fixed paraffin-embedded sections) - Anti-Osteopontin antibody (AB8448)

Immunohistochemistry using Anti-Osteopontin antibody, ab8448. Publication image and figure legend from Gui, X., Qiu, X., et al.,2020, Biomed Res Int, PubMed 32104688.

ab8448 was used in this publication in immunohistochemistry. This may not be the same as the application(s) guaranteed by Abcam. For a full list of applications guaranteed by Abcam for ab8448 please see the product overview.

(a, b) No obvious staining for OPN was observed in the control lung. (original magnification : ×200/400). (c, d) In explanted lungs from IPF patients, the expression of OPN was found in alveolar epithelial cells lining honeycomb space and alveolar macrophages accumulating in alveolar space adjacent to fibrotic lesions (original magnification : ×200/400).

Key facts

宿主種

Rabbit

クローン性

Polyclonal

アイソタイプ

IgG

キャリアフリー

No

交差種

Human

アプリケーション

IHC-P

applications

免疫原

Synthetic Peptide within Human SPP1 aa 150-200 conjugated to Keyhole Limpet Haemocyanin. The exact immunogen used to generate this antibody is proprietary information.

P10451

特異性

Osteopontin is directed against human osteopontin. The antibody recognizes the full-length osteopontin protein (which runs at 66 kDa on westerns), as well as the C-terminal fragments of both thrombin and MMP-cleaved OPN. The 32 kDa MMP-cleaved C-fragment is recognized, but not the 40 kDa N-terminal fragment. Reactivity is reported to occur with osteopontin from swine, dog, mouse and rat.

Reactivity data

{ "title": "Reactivity Data", "filters": { "stats": ["", "Species", "Dilution Info", "Notes"], "tabs": { "all-applications": {"fullname" : "All Applications", "shortname": "All Applications"}, "WB" : {"fullname" : "Western blot", "shortname":"WB"}, "IHCP" : {"fullname" : "Immunohistochemistry (Formalin/PFA-fixed paraffin-embedded sections)", "shortname":"IHC-P"}, "ICCIF" : {"fullname" : "Immunocytochemistry/ Immunofluorescence", "shortname":"ICC/IF"} }, "product-promise": { "all": "all", "testedAndGuaranteed": "tested", "guaranteed": "expected", "predicted": "predicted", "notRecommended": "not-recommended" } }, "values": { "Human": { "WB-species-checked": "notRecommended", "WB-species-dilution-info": "1/1000", "WB-species-notes": "<p>at this dilution, the antibody will strongly detect approximately 250 ng of OPN protein on a blot.</p>", "IHCP-species-checked": "testedAndGuaranteed", "IHCP-species-dilution-info": "1/100 - 1/300", "IHCP-species-notes": "<p></p>", "ICCIF-species-checked": "notRecommended", "ICCIF-species-dilution-info": "", "ICCIF-species-notes": "<p></p>" } } }

製品の詳細

Product Specifications
Anti-Osteopontin antibody (ab8448) is a rabbit polyclonal antibody and is validated for use in IHC-P in human samples.
Anti-Osteopontin antibody (ab8448) specifically detects Osteopontin (UniProt ID: P10451; Molecular weight: 34kDa) and is sold in 200 µL selling sizes.

Quality and Validation
Abcam's high quality validation processes ensure Anti-Osteopontin antibody (ab8448) has high sensitivity and specificity.
Anti-Osteopontin antibody (ab8448) has been cited over 445 times in peer reviewed journals and is trusted by the scientific community.
Anti-Osteopontin antibody (ab8448) has 14 independent reviews from customers.

出荷温度及び保存条件

製品の状態
Liquid
精製度
Whole antiserum
バッファー組成
pH: 7.2 Preservative: 0.01% Sodium azide Constituents: 98.6% Whole serum, 0.88% Sodium chloride, 0.424% Potassium phosphate solution
出荷温度
Blue Ice
短期保存温度
+4°C
長期保存温度
-20°C
分注に関する情報
Upon delivery aliquot
保管に関する情報
Avoid freeze / thaw cycle

製品プロトコール

For this product, it's our understanding that no specific protocols are required. You can visit:

ターゲットの情報

Major non-collagenous bone protein that binds tightly to hydroxyapatite. Appears to form an integral part of the mineralized matrix. Probably important to cell-matrix interaction.. Acts as a cytokine involved in enhancing production of interferon-gamma and interleukin-12 and reducing production of interleukin-10 and is essential in the pathway that leads to type I immunity.
See full target information SPP1

文献 (444)

Recent publications for all applications. Explore the full list and refine your search

Pharmacology 109:34-42 PubMed38011839

2023

Impairment of Autophagy Mediates the Uric-Acid-Induced Phenotypic Transformation of Vascular Smooth Muscle Cells.

Applications

Unspecified application

Species

Unspecified reactive species

Yan Lu,Hanlin Zhang,Min Han,Ping Wang,Liping Meng

Materials (Basel, Switzerland) 16: PubMed37763431

2023

Development of 3D Printable Calcium Phosphate Cement Scaffolds with Cockle Shell Powders.

Applications

Unspecified application

Species

Unspecified reactive species

Eunbee Cho,Jae Eun Kim,Juo Lee,Sangbae Park,Sungmin Lee,Jong Hoon Chung,Jungsil Kim,Hoon Seonwoo

International journal of molecular sciences 24: PubMed37686010

2023

Novel Electroactive Mineralized Polyacrylonitrile/PEDOT:PSS Electrospun Nanofibers for Bone Repair Applications.

Applications

Unspecified application

Species

Unspecified reactive species

Frederico Barbosa,Fábio F F Garrudo,Ana C Marques,Joaquim M S Cabral,Jorge Morgado,Frederico Castelo Ferreira,João C Silva

Science and technology of advanced materials 24:2242242 PubMed37638280

2023

Hydroxyapatite-filled osteoinductive and piezoelectric nanofibers for bone tissue engineering.

Applications

Unspecified application

Species

Unspecified reactive species

Frederico Barbosa,Fábio F F Garrudo,Paola S Alberte,Leonor Resina,Marta S Carvalho,Akhil Jain,Ana C Marques,Francesc Estrany,Frankie J Rawson,Carlos Aléman,Frederico Castelo Ferreira,João C Silva

Journal of functional biomaterials 14: PubMed37504838

2023

Fabrication and Evaluation of Porous dECM/PCL Scaffolds for Bone Tissue Engineering.

Applications

Unspecified application

Species

Unspecified reactive species

Weiwei Wang,Xiaqing Zhou,Zhuozhuo Yin,Xiaojun Yu

Small methods 7:e2300370 PubMed37356079

2023

Seamlessly Adhesive Bionic Periosteum Patches Via Filling Microcracks for Defective Bone Healing.

Applications

Unspecified application

Species

Unspecified reactive species

Shu Yang,Zhijie Chen,Pengzhen Zhuang,Yunkai Tang,Zehao Chen,Fei Wang,Zhengwei Cai,Jie Wei,Wenguo Cui

International journal of molecular sciences 24: PubMed37298695

2023

Influence of Occlusal Hypofunction on Alveolar Bone Healing in Rats.

Applications

Unspecified application

Species

Unspecified reactive species

Anna Damanaki,Svenja Beisel-Memmert,Marjan Nokhbehsaim,Ali Abedi,Birgit Rath-Deschner,Andressa V B Nogueira,James Deschner

Frontiers in immunology 14:1106289 PubMed37275903

2023

Deciphering the single-cell transcriptome network in keloids with intra-lesional injection of triamcinolone acetonide combined with 5-fluorouracil.

Applications

Unspecified application

Species

Unspecified reactive species

Yijun Xia,Youbin Wang,Yan Hao,Mengjie Shan,Hao Liu,Zhengyun Liang,Xinwen Kuang

Stem cell research & therapy 14:130 PubMed37189178

2023

Epithelium-derived SCUBE3 promotes polarized odontoblastic differentiation of dental mesenchymal stem cells and pulp regeneration.

Applications

Unspecified application

Species

Unspecified reactive species

Zijie Wang,Chuying Chen,Jiayi Zhang,Jiangdie He,Lin Zhang,Jiayuan Wu,Zhihui Tian

APMIS : acta pathologica, microbiologica, et immunologica Scandinavica 131:313-324 PubMed37185991

2023

Circ_0006873 suppresses the osteogenic differentiation of human-derived mesenchymal stem cells through mediating miR-20a/SMURF2 axis in vitro.

Applications

Unspecified application

Species

Unspecified reactive species

Jiangna Pang,Yongfu Wu,Yanlin Ji,Yilan Si,Fang Liang
View all publications

Abcam product promise

当社は、高品質な試薬を通じてお客様の研究を力強くサポートすることをお約束いたします。ご使用いただく各段階で、常にお客様をサポートできる体制を整えております。万が一、製品が期待通りに機能しない場合は、「Abcam Product Promise」による当社保証制度に基づき、安心してご利用いただけます。
保証に関する詳細については利用規約をご確認ください。

Please note: All products are 'FOR RESEARCH USE ONLY. NOT FOR USE IN DIAGNOSTIC OR THERAPEUTIC PROCEDURES'.

For licensing inquiries, please contact partnerships@abcam.com