JavaScript is disabled in your browser. Please enable JavaScript to view this website.
AB136253

Anti-Olig2 抗体

Anti-Olig2 antibody - Oligodendrocyte Marker

4

(1 Review)

|

(26 Publications)

Anti-Olig2 antibody (ab136253) is a rabbit polyclonal antibody detecting Olig2 in IHC-P. Suitable for Human.

- Over 10 publications

別名を表示する

BHLHB1, BHLHE19, PRKCBP2, RACK17, OLIG2, Oligodendrocyte transcription factor 2, Oligo2, Class B basic helix-loop-helix protein 1, Class E basic helix-loop-helix protein 19, Protein kinase C-binding protein 2, Protein kinase C-binding protein RACK17, bHLHb1, bHLHe19

1 Images
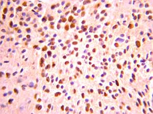
Immunohistochemistry (Formalin/PFA-fixed paraffin-embedded sections) - Anti-Olig2 antibody - Oligodendrocyte Marker (AB136253)
  • IHC-P

Unknown

Immunohistochemistry (Formalin/PFA-fixed paraffin-embedded sections) - Anti-Olig2 antibody - Oligodendrocyte Marker (AB136253)

Immunohistochemical analysis of human glioblastoma labelling Olig2 with ab136253 at 1/500 dilution. Tissue was pretreated with TE Buffer, pH 9.0.

Key facts

宿主種

Rabbit

クローン性

Polyclonal

アイソタイプ

IgG

キャリアフリー

No

交差種

Human

アプリケーション

IHC-P

applications

免疫原

Recombinant Full Length Protein corresponding to Mouse Olig2.

Q9EQW6

Reactivity data

{ "title": "Reactivity Data", "filters": { "stats": ["", "Species", "Dilution Info", "Notes"], "tabs": { "all-applications": {"fullname" : "All Applications", "shortname": "All Applications"}, "IHCP" : {"fullname" : "Immunohistochemistry (Formalin/PFA-fixed paraffin-embedded sections)", "shortname":"IHC-P"} }, "product-promise": { "all": "all", "testedAndGuaranteed": "tested", "guaranteed": "expected", "predicted": "predicted", "notRecommended": "not-recommended" } }, "values": { "Human": { "IHCP-species-checked": "testedAndGuaranteed", "IHCP-species-dilution-info": "1/500", "IHCP-species-notes": "<p></p> Perform heat-mediated antigen retrieval with Tris/EDTA buffer pH 9.0 before commencing with IHC staining protocol." } } }

製品の詳細

What is this antibody validated in?
Anti-Olig2 antibody (ab136253) is a rabbit polyclonal antibody and is validated for use in Immunohistochemistry (IHC-P) in Human samples.

Trusted by the scientific community
Anti-Olig2 (ab136253) was first used in a scientific publication in 2012 and has been cited over 10 times in peer-reviewed journals.

出荷温度及び保存条件

製品の状態
Liquid
精製方法
Precipitation Ammonium Sulphate
バッファー組成
Constituents: 2.42% Tris, 0.75% Glycine
出荷温度
Blue Ice
短期保存期間
1-2 weeks
短期保存温度
+4°C
長期保存温度
-20°C
保管に関する情報
Avoid freeze / thaw cycle

補足情報

This supplementary information is collated from multiple sources and compiled automatically.

Olig2 also known as Oligo2 or OLIG2 is a protein with a molecular mass of around 32 kDa. It belongs to the basic helix-loop-helix (bHLH) family of transcription factors which play roles in neurodevelopment. Olig2 is expressed mainly in the central nervous system particularly in oligodendrocyte progenitor cells and motor neuron progenitors. As an important marker Olig2 staining is often used in studies involving these cell types to understand differentiation processes.
Biological function summary

Olig2 regulates gene expression important for the proper development of the central nervous system. It functions both independently and as a part of transcriptional complexes to influence the fate of neural progenitors. In particular its presence decides whether these progenitors will differentiate into neurons astrocytes or oligodendrocytes. Among the proteins it interacts with are factors that modulate neurogenesis and myelination highlighting its importance in maintaining normal brain homeostasis.

Pathways

Olig2 plays an important role in the oligodendrocyte differentiation and motor neuron generation pathways. It works closely with proteins such as SOX10 and NKX2.2 to regulate oligodendrocyte maturation. In the motor neuron pathway Olig2 interacts with proteins like NKX6.1 and LHX3 coordinating the development of motor neurons. These pathways demonstrate Olig2's function as a critical transcription factor influencing neural development and plasticity.

Abnormalities in Olig2 expression or function relate to conditions such as gliomas and Multiple Sclerosis (MS). Elevated levels of Olig2 are often seen in gliomas where it might cooperate with proteins like IDH1 to drive tumor growth. In MS the impairment of oligodendrocyte function can link back to disruptions in normal Olig2 activity or expression. These associations make Olig2 a significant target for potential therapeutic interventions in neurological conditions.

製品プロトコール

For this product, it's our understanding that no specific protocols are required. You can visit:

ターゲットの情報

Required for oligodendrocyte and motor neuron specification in the spinal cord, as well as for the development of somatic motor neurons in the hindbrain. Functions together with ZNF488 to promote oligodendrocyte differentiation. Cooperates with OLIG1 to establish the pMN domain of the embryonic neural tube. Antagonist of V2 interneuron and of NKX2-2-induced V3 interneuron development.
See full target information OLIG2

文献 (26)

Recent publications for all applications. Explore the full list and refine your search

EMBO molecular medicine 16:3218-3246 PubMed39304759

2024

Neural precursor cells rescue symptoms of Rett syndrome by activation of the Interferon γ pathway.

Applications

Unspecified application

Species

Unspecified reactive species

Angelisa Frasca,Federica Miramondi,Erica Butti,Marzia Indrigo,Maria Balbontin Arenas,Francesca M Postogna,Arianna Piffer,Francesco Bedogni,Lara Pizzamiglio,Clara Cambria,Ugo Borello,Flavia Antonucci,Gianvito Martino,Nicoletta Landsberger

Frontiers in immunology 14:1271118 PubMed37942317

2023

Acriflavine, a HIF-1 inhibitor, preserves vision in an experimental autoimmune encephalomyelitis model of optic neuritis.

Applications

Unspecified application

Species

Unspecified reactive species

Jeffrey J Anders,Benjamin W Elwood,Randy H Kardon,Oliver W Gramlich

iScience 26:107913 PubMed37810220

2023

mNSCs overexpressing transplantation facilitates cognitive recovery in a mouse model of traumatic brain injury.

Applications

Unspecified application

Species

Unspecified reactive species

Tongjie Ji,Ying Pang,Meng Cheng,Rui Wang,Xu Chen,Chunyu Zhang,Min Liu,Jing Zhang,Chunlong Zhong

Neurobiology of disease 185:106264 PubMed37597815

2023

Reactive astrocytes associated with prion disease impair the blood brain barrier.

Applications

Unspecified application

Species

Unspecified reactive species

Rajesh Kushwaha,Yue Li,Natallia Makarava,Narayan P Pandit,Kara Molesworth,Konstantin G Birukov,Ilia V Baskakov

eNeuro 10: PubMed37491366

2023

Single-Nucleus Profiling Identifies Accelerated Oligodendrocyte Precursor Cell Senescence in a Mouse Model of Down Syndrome.

Applications

Unspecified application

Species

Unspecified reactive species

Bianca Rusu,Bharti Kukreja,Taiyi Wu,Sophie J Dan,Min Yi Feng,Brian T Kalish

Fluids and barriers of the CNS 20:42 PubMed37296418

2023

Early postnatal microglial ablation in the Ccdc39 mouse model reveals adverse effects on brain development and in neonatal hydrocephalus.

Applications

Unspecified application

Species

Unspecified reactive species

Farrah N Brown,Eri Iwasawa,Crystal Shula,Elizabeth M Fugate,Diana M Lindquist,Francesco T Mangano,June Goto

International journal of molecular sciences 23: PubMed36430692

2022

Impact of Siponimod on Enteric and Central Nervous System Pathology in Late-Stage Experimental Autoimmune Encephalomyelitis.

Applications

Unspecified application

Species

Unspecified reactive species

Alicia Weier,Michael Enders,Philipp Kirchner,Arif Ekici,Marc Bigaud,Christopher Kapitza,Jürgen Wörl,Stefanie Kuerten

Biomolecules 12: PubMed36291646

2022

Targeting Cholesterol Homeostasis Improves Recovery in Experimental Optic Neuritis.

Applications

Unspecified application

Species

Unspecified reactive species

Cheyanne R Godwin,Jeffrey J Anders,Lin Cheng,Benjamin W Elwood,Randy H Kardon,Oliver W Gramlich

Frontiers in pharmacology 13:971243 PubMed36120298

2022

Effects of Tibetan medicine metacinnabar (β-HgS) combined with imipramine or sertraline on depression-like symptoms in mice.

Applications

Unspecified application

Species

Unspecified reactive species

Yajun Qiao,Cen Li,Ming Zhang,Xingfang Zhang,Lixin Wei,Keshen Cao,Xiaoyuan Zhang,Hongtao Bi,Tingting Gao

Translational neuroscience 13:104-115 PubMed35734308

2022

Remimazolam induced cognitive dysfunction in mice via glutamate excitotoxicity.

Applications

Unspecified application

Species

Unspecified reactive species

Xin-Hua Zhou,Cheng-Cheng Zhang,Ling Wang,Shan-Liang Jin
View all publications

Abcam product promise

当社は、高品質な試薬を通じてお客様の研究を力強くサポートすることをお約束いたします。ご使用いただく各段階で、常にお客様をサポートできる体制を整えております。万が一、製品が期待通りに機能しない場合は、「Abcam Product Promise」による当社保証制度に基づき、安心してご利用いただけます。
保証に関する詳細については利用規約をご確認ください。

Please note: All products are 'FOR RESEARCH USE ONLY. NOT FOR USE IN DIAGNOSTIC OR THERAPEUTIC PROCEDURES'.

For licensing inquiries, please contact partnerships@abcam.com