JavaScript is disabled in your browser. Please enable JavaScript to view this website.
AB220796

Anti-Olig2 抗体 [EPR2673] - BSA and Azide free

Anti-Olig2 antibody [EPR2673] - BSA and Azide free

5

(2 Reviews)

|

(7 Publications)

Anti-Olig2 antibody [EPR2673] - BSA and Azide free (ab220796) is a rabbit recombinant monoclonal antibody provided in a PBS only buffer for easy conjugation detecting Olig2 in Western Blot, IHC-P, ICC/IF. Suitable for Human, Mouse, Rat.

- BSA, sodium azide, and glycerol-free for easy conjugation
- Biophysical QC for unrivalled batch-batch consistency

別名を表示する

BHLHB1, BHLHE19, PRKCBP2, RACK17, OLIG2, Oligodendrocyte transcription factor 2, Oligo2, Class B basic helix-loop-helix protein 1, Class E basic helix-loop-helix protein 19, Protein kinase C-binding protein 2, Protein kinase C-binding protein RACK17, bHLHb1, bHLHe19

14 Images
Immunohistochemistry (Formalin/PFA-fixed paraffin-embedded sections) - Anti-Olig2 antibody [EPR2673] - BSA and Azide free (AB220796)
  • IHC-P

Lab

Immunohistochemistry (Formalin/PFA-fixed paraffin-embedded sections) - Anti-Olig2 antibody [EPR2673] - BSA and Azide free (AB220796)

This data was developed using the same antibody clone in a different buffer formulation (ab109186).

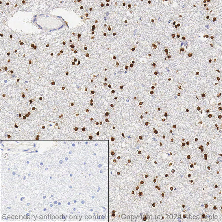
Immunohistochemical analysis of formalin fixed paraffin embedded human brain (cerebrum) labelling Olig2 with ab109186 at a concentration of 0.96 µg/ml. The immunostaining was performed on a Ventana DISCOVERY ULTRA (Roche Tissue Diagnostics) instrument with an OptiView DAB IHC Detection Kit. Heat mediated antigen retrieval was conducted for 32 mins at 100°C with ULTRA cell conditioning solution (CC1, pH 8.5). ab109186 Anti-Olig2 antibody [EPR2673] was incubated at 37°C for 16 mins. Sections were counterstained with Hematoxylin II. Image inset shows absence of staining in secondary antibody only control.

Immunohistochemistry (Formalin/PFA-fixed paraffin-embedded sections) - Anti-Olig2 antibody [EPR2673] - BSA and Azide free (AB220796)
  • IHC-P

Unknown

Immunohistochemistry (Formalin/PFA-fixed paraffin-embedded sections) - Anti-Olig2 antibody [EPR2673] - BSA and Azide free (AB220796)

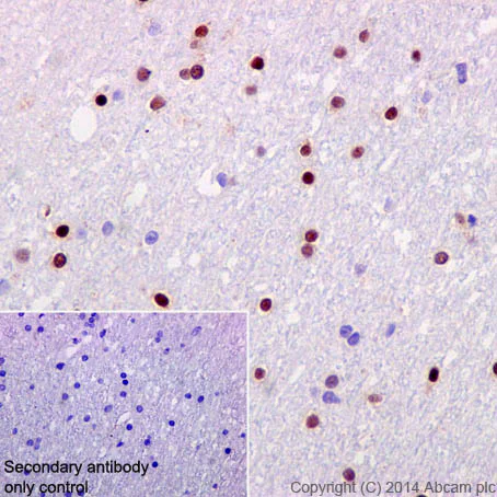
Immunohistochemical staining of paraffin embedded human cerebral cortex with purified ab109186 at a working dilution of 1/100. The secondary antibody used is ab97051, a HRP-conjugated goat anti-rabbit IgG (H+L), at a dilution of 1/500. The sample is counter-stained with hematoxylin. Antigen retrieval was perfomed using Tris-EDTA buffer, pH 9.0. PBS was used instead of the primary antibody as the negative control, and is shown in the inset.This data was developed using the same antibody clone in a different buffer formulation containing PBS, BSA, glycerol, and sodium azide (ab109186).

Immunohistochemistry (Formalin/PFA-fixed paraffin-embedded sections) - Anti-Olig2 antibody [EPR2673] - BSA and Azide free (AB220796)
  • IHC-P

Lab

Immunohistochemistry (Formalin/PFA-fixed paraffin-embedded sections) - Anti-Olig2 antibody [EPR2673] - BSA and Azide free (AB220796)

This data was developed using the same antibody clone in a different buffer formulation (ab109186).

Immunohistochemical analysis of formalin fixed paraffin embedded human brain (cerebrum) labelling Olig2 with ab109186 at a concentration of 0.96 µg/ml. The immunostaining was performed on a Leica Biosystems BOND® RX instrument with a Bond™ Polymer Refine Detection kit. Heat mediated antigen retrieval was performed with Tris-EDTA buffer (pH 9.0, Epitope Retrieval Solution 2) for 20 mins. ab109186 Anti-Olig2 antibody [EPR2673] was incubated for 30 mins at room temperature. Sections were counterstained with Hematoxylin. Image inset shows absence of staining in secondary antibody only control.

Immunohistochemistry (Formalin/PFA-fixed paraffin-embedded sections) - Anti-Olig2 antibody [EPR2673] - BSA and Azide free (AB220796)
  • IHC-P

Unknown

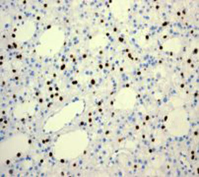
Immunohistochemistry (Formalin/PFA-fixed paraffin-embedded sections) - Anti-Olig2 antibody [EPR2673] - BSA and Azide free (AB220796)

Immunohistochemical staining of Olig2 in human glioma tissue with ab109186 at a dilution of 1/100.

This data was developed using the same antibody clone in a different buffer formulation containing PBS, BSA, glycerol, and sodium azide (ab109186).

Perform heat mediated antigen retrieval with citrate buffer pH 6 before commencing with IHC staining protocol.

Immunocytochemistry/ Immunofluorescence - Anti-Olig2 antibody [EPR2673] - BSA and Azide free (AB220796)
  • ICC/IF

Lab

Immunocytochemistry/ Immunofluorescence - Anti-Olig2 antibody [EPR2673] - BSA and Azide free (AB220796)

This data was developed using the same antibody clone in a different buffer formulation containing PBS and sodium azide (ab109186). ab109186 staining Olig2 in primary mouse neurons/glia, DIV14 (prepared from E18 mouse hippocampal brain area, obtained from Transnetyx Tissue by BrainBits, LLC, cat.no. C57EHP) cells. The cells were fixed with 100% methanol (5 min), permeabilized with 0.1% PBS-Tween for 5 minutes and then blocked with 1% BSA/10% normal goat serum/0.3M glycine in 0.1%PBS-Tween for 1h. The cells were then incubated overnight at 4°C with ab109186 at 5µg/ml and ab7291, Mouse monoclonal [DM1A] to alpha Tubulin - Loading Control. Cells were then incubated with ab150081, Goat polyclonal Secondary Antibody to Rabbit IgG - H&L (Alexa Fluor® 488), pre-adsorbed at 1/1000 dilution (shown in green) and ab150120, Goat polyclonal Secondary Antibody to Mouse IgG - H&L (Alexa Fluor® 594), pre-adsorbed at 1/1000 dilution (shown in pseudocolour red). Nuclear DNA was labelled with DAPI (shown in blue). Image was acquired with a confocal microscope (Leica-Microsystems TCS SP8) and a single confocal section is shown.

Immunocytochemistry/ Immunofluorescence - Anti-Olig2 antibody [EPR2673] - BSA and Azide free (AB220796)
  • ICC/IF

Lab

Immunocytochemistry/ Immunofluorescence - Anti-Olig2 antibody [EPR2673] - BSA and Azide free (AB220796)

This data was developed using the same antibody clone in a different buffer formulation containing PBS and sodium azide (ab109186)

ab109186 staining Olig2 in primary hippocampal rat neurons/glia, (obtained from Neuromics, cat. no. PC35101), DIV14. The cells were fixed with 4% paraformaldehyde (10 min), permeabilized with 0.1% PBS-Triton X-100 for 5 minutes and then blocked with 1% BSA/10% normal goat serum/0.3M glycine in 0.1%PBS-Tween for 1h. The cells were then incubated overnight at 4°C with ab109186 at 1µg/ml and ab7291, Mouse monoclonal [DM1A] to alpha Tubulin - Loading Control. Cells were then incubated with ab150081, Goat polyclonal Secondary Antibody to Rabbit IgG - H&L (Alexa Fluor® 488), pre-adsorbed at 1/1000 dilution (shown in green) and ab150120, Goat polyclonal Secondary Antibody to Mouse IgG - H&L (Alexa Fluor® 594), pre-adsorbed at 1/1000 dilution (shown in pseudocolour red). Nuclear DNA was labelled with DAPI (shown in blue).

Also suitable in cells fixed with 100% methanol (5 min).

Image was acquired with a high-content analyser (Operetta CLS, Perkin Elmer) and a maximum intensity projection of confocal sections is shown.

Immunocytochemistry/ Immunofluorescence - Anti-Olig2 antibody [EPR2673] - BSA and Azide free (AB220796)
  • ICC/IF

Lab

Immunocytochemistry/ Immunofluorescence - Anti-Olig2 antibody [EPR2673] - BSA and Azide free (AB220796)

This data was developed using ab109186, the same antibody clone in a different buffer formulation.

Immunofluorescent analysis of 4% Paraformaldehyde-fixed, 0.1% TritonX-100 permeabilized rat primary glia cell cells labelling Olig2 with ab109186 at 1/100 (1.23 μg/mL) dilution, followed by ab150077 Goat Anti-Rabbit IgG H&L (Alexa Fluor® 488) antibody at 1/1000 dilution (2 μg/mL) (Green). Confocal image showing nuclear staining in rat primary glia cell. Confocal scanning Z step was set as 0.3 μm followed by image processing with maximum Z projection. ab195889 Anti-alpha Tubulin mouse monoclonal antibody - Microtubule Marker (Alexa Fluor® 594) was used to counterstain tubulin at 1/200 dilution (2.5 μg/mL) (Red). The Nuclear counterstain was DAPI (Blue).

Secondary antibody only control : Secondary antibody is ab150077 Goat Anti-Rabbit IgG H&L (Alexa Fluor® 488) at 1/1000 dilution (2 μg/mL).

Immunocytochemistry/ Immunofluorescence - Anti-Olig2 antibody [EPR2673] - BSA and Azide free (AB220796)
  • ICC/IF

Lab

Immunocytochemistry/ Immunofluorescence - Anti-Olig2 antibody [EPR2673] - BSA and Azide free (AB220796)

This data was developed using the same antibody clone in a different buffer formulation containing PBS and sodium azide (ab109186).

ab109186 staining Olig2 in primary mouse neurons/glia, DIV14 (prepared from E18 mouse hippocampal brain area, obtained from Transnetyx Tissue by BrainBits, LLC, cat.no. C57EHP) cells. The cells were fixed with 4% paraformaldehyde (10 min), permeabilized with 0.1% PBS-Tween for 5 minutes and then blocked with 1% BSA/10% normal goat serum/0.3M glycine in 0.1%PBS-Tween for 1h. The cells were then incubated overnight at 4°C with ab109186 at 1µg/ml and ab53521, Mouse mono Anti-A2B5 antibody [105]. Cells were then incubated with ab150081, Goat polyclonal Secondary Antibody to Rabbit IgG - H&L (Alexa Fluor® 488), pre-adsorbed at 1/1000 dilution (shown in green) and ab175702, Goat Anti-Mouse IgM mu chain (Alexa Fluor® 568) at 1/1000 dilution (shown in pseudocolour red). Nuclear DNA was labelled with DAPI (shown in blue).

Also suitable in cells fixed with 100% methanol (5 min).

Image was acquired with a high-content analyser (Operetta CLS, Perkin Elmer) and a maximum intensity projection of confocal sections is shown.

Immunohistochemistry (Formalin/PFA-fixed paraffin-embedded sections) - Anti-Olig2 antibody [EPR2673] - BSA and Azide free (AB220796)
  • IHC-P

Unknown

Immunohistochemistry (Formalin/PFA-fixed paraffin-embedded sections) - Anti-Olig2 antibody [EPR2673] - BSA and Azide free (AB220796)

Immunohistochemical staining of paraffin embedded rat cerebral cortex with purified ab109186 at a working dilution of 1/100. The secondary antibody used is ab97051, a HRP-conjugated goat anti-rabbit IgG (H+L), at a dilution of 1/500. The sample is counter-stained with hematoxylin. Antigen retrieval was perfomed using Tris-EDTA buffer, pH 9.0. PBS was used instead of the primary antibody as the negative control, and is shown in the inset.This data was developed using the same antibody clone in a different buffer formulation containing PBS, BSA, glycerol, and sodium azide (ab109186).

Immunohistochemistry (Frozen sections) - Anti-Olig2 antibody [EPR2673] - BSA and Azide free (AB220796)
  • IHC-Fr

Lab

Immunohistochemistry (Frozen sections) - Anti-Olig2 antibody [EPR2673] - BSA and Azide free (AB220796)

This data was developed using ab109186, the same antibody clone in a different buffer formulation.

Immunohistochemical analysis of 4% PFA-fixed, 0.2% Triton X-100 permeabilized frozen Rat cortex (fresh frozen) tissue labeling Olig2 with ab109186 at 1/100 (10 μg/mL) dilution followed by ab150081 Goat Anti-Rabbit IgG H&L (Alexa Fluor® 488) preadsorbed at 1/1000 (2 ug/mL) dilution (Green).

Confocal image showing positive staining on rat cortex. The section was incubated with the primary antibody for 60 mins at room temperature. The nuclear counterstain was DAPI (Blue). The section was then mounted using Fluoromount®.The immunostaining was performed on a Leica Biosystems BOND® RX instrument. Image was taken with a confocal microscope (Leica-Microsystems, TCS SP8).

Secondary antibody control : Secondary antibody is ab150081 Goat Anti-Rabbit IgG H&L (Alexa Fluor® 488) preadsorbed at 1/1000 (2 ug/mL) dilution.

Immunohistochemistry (Frozen sections) - Anti-Olig2 antibody [EPR2673] - BSA and Azide free (AB220796)
  • IHC-Fr

Lab

Immunohistochemistry (Frozen sections) - Anti-Olig2 antibody [EPR2673] - BSA and Azide free (AB220796)

This data was developed using ab109186, the same antibody clone in a different buffer formulation.

Immunohistochemical analysis of 4% PFA-fixed, 0.2% Triton X-100 permeabilized frozen Mouse cortex (fresh frozen) tissue labeling Olig2 with ab109186 at 1/100 (10 μg/mL) dilution followed by ab150081 Goat Anti-Rabbit IgG H&L (Alexa Fluor® 488) preadsorbed at 1/1000 (2 ug/mL) dilution (Green).

Confocal image showing positive staining on mouse cortex. The section was incubated with the primary antibody for 60 mins at room temperature. The nuclear counterstain was DAPI (Blue). The section was then mounted using Fluoromount®.The immunostaining was performed on a Leica Biosystems BOND® RX instrument. Image was taken with a confocal microscope (Leica-Microsystems, TCS SP8).

Secondary antibody control : Secondary antibody is ab150081 Goat Anti-Rabbit IgG H&L (Alexa Fluor® 488) preadsorbed at 1/1000 (2 ug/mL) dilution.

Western blot - Anti-Olig2 antibody [EPR2673] - BSA and Azide free (AB220796)
  • WB

Lab

Western blot - Anti-Olig2 antibody [EPR2673] - BSA and Azide free (AB220796)

This data was developed using ab109186, the same antibody clone in a different buffer formulation. Different batches of ab109186 were tested on Mouse brain lysate at 0.1 µg/ml. 15 µg of lysate was loaded in each lane. Bands observed at 32 kDa.

All lanes:

Western blot - Anti-Olig2 antibody [EPR2673] - Oligodendrocyte Marker (<a href='/products/primary-antibodies/olig2-antibody-epr2673-oligodendrocyte-marker-ab109186'>ab109186</a>)

Predicted band size: 32 kDa

false

Imaging Mass Cytometry - Anti-Olig2 antibody [EPR2673] - BSA and Azide free (AB220796)
  • IMC

Collaborator

Imaging Mass Cytometry - Anti-Olig2 antibody [EPR2673] - BSA and Azide free (AB220796)

Imaging Mass Cytometry™ (IMC™) image of human glioblastoma brain cancer tissue stained with Anti-Olig2 antibody [EPR2673]. ab220796 (carrier-free antibody, purified) was metal-conjugated using a Maxpar® Antibody Labeling Kit from Fluidigm. Immunostaining was performed according to Fluidigm's protocols. Briefly, slides were subject to deparaffinization and heat-induced epitope retrieval, followed by overnight incubation at 4°C with an antibody cocktail containing metal-tagged antibodies in blocking buffer. Slides were subsequently washed with 0.2% Triton-X and 1x PBS, counterstained with Cell-ID™ Intercalator-Ir diluted at 1/400 in 1x PBS for 30 min at room temperature, rinsed for 5 min with distilled H2O, and air-dried prior to IMC™ acquisition. IMC™ acquisition was performed using the Fluidigm Hyperion™ Imaging System.

Imaging Mass Cytometry™, IMC™, Cell-ID™, Hyperion™ and Maxpar® are trademarks of Fluidigm Canada

This image is courtesy of the Single Cell & Imaging Mass Cytometry Analysis Platform, Goodman Cancer Research Centre, McGill University

OI-RD Scanning - Anti-Olig2 antibody [EPR2673] - BSA and Azide free (AB220796)
  • OI-RD Scanning

Unknown

OI-RD Scanning - Anti-Olig2 antibody [EPR2673] - BSA and Azide free (AB220796)

We have systematically measured KD (the equilibrium dissociation constant between the antibody and its antigen), of more than 840 recombinant antibodies to assess not only their individual KD values but also to see the average affinity of antibody. Based on the comparison with published literature values for mouse monoclonal antibodies, Recombinant antibodies appear to be on average 1-2 order of magnitude higher affinity.

関連する標識済み抗体及び組成の異なる製品 (6)

  • Unconjugated

    Anti-Olig2 antibody [EPR2673] - Oligodendrocyte Marker

  • 519 Alexa Fluor® 488

    Alexa Fluor® 488 Anti-Olig2 antibody [EPR2673] - Oligodendrocyte Marker

  • 665 Alexa Fluor® 647

    Alexa Fluor® 647 Anti-Olig2 antibody [EPR2673] - Oligodendrocyte Marker

  • 617 Alexa Fluor® 594

    Alexa Fluor® 594 Anti-Olig2 antibody [EPR2673]

  • 565 Alexa Fluor® 555

    Alexa Fluor® 555 Anti-Olig2 antibody [EPR2673]

  • 603 Alexa Fluor® 568

    Alexa Fluor® 568 Anti-Olig2 antibody [EPR2673] - Oligodendrocyte Marker

Key facts

宿主種

Rabbit

クローン性

Monoclonal

クローン番号

EPR2673

アイソタイプ

IgG

キャリアフリー

Yes

交差種

Mouse, Rat, Human

アプリケーション

IMC™, WB, ICC/IF, IHC-P, IHC-Fr

applications

免疫原

The exact immunogen used to generate this antibody is proprietary information.

Reactivity data

{ "title": "Reactivity Data", "filters": { "stats": ["", "Species", "Dilution Info", "Notes"], "tabs": { "all-applications": {"fullname" : "All Applications", "shortname": "All Applications"}, "IMC" : {"fullname" : "Imaging Mass Cytometry™", "shortname":"IMC™"}, "IHCP" : {"fullname" : "Immunohistochemistry (Formalin/PFA-fixed paraffin-embedded sections)", "shortname":"IHC-P"}, "ICCIF" : {"fullname" : "Immunocytochemistry/ Immunofluorescence", "shortname":"ICC/IF"}, "WB" : {"fullname" : "Western blot", "shortname":"WB"}, "IHCFr" : {"fullname" : "Immunohistochemistry (Frozen sections)", "shortname":"IHC-Fr"} }, "product-promise": { "all": "all", "testedAndGuaranteed": "tested", "guaranteed": "expected", "predicted": "predicted", "notRecommended": "not-recommended" } }, "values": { "Human": { "IMC-species-checked": "testedAndGuaranteed", "IMC-species-dilution-info": "", "IMC-species-notes": "<p></p>", "IHCP-species-checked": "testedAndGuaranteed", "IHCP-species-dilution-info": "", "IHCP-species-notes": "<p></p> Perform heat-mediated antigen retrieval before commencing with IHC staining protocol.", "ICCIF-species-checked": "guaranteed", "ICCIF-species-dilution-info": "", "ICCIF-species-notes": "<p></p>", "WB-species-checked": "testedAndGuaranteed", "WB-species-dilution-info": "1/2000", "WB-species-notes": "<p></p>", "IHCFr-species-checked": "guaranteed", "IHCFr-species-dilution-info": "", "IHCFr-species-notes": "" }, "Mouse": { "IMC-species-checked": "guaranteed", "IMC-species-dilution-info": "", "IMC-species-notes": "", "IHCP-species-checked": "guaranteed", "IHCP-species-dilution-info": "", "IHCP-species-notes": "<p></p> Perform heat-mediated antigen retrieval before commencing with IHC staining protocol.", "ICCIF-species-checked": "testedAndGuaranteed", "ICCIF-species-dilution-info": "", "ICCIF-species-notes": "<p></p>", "WB-species-checked": "testedAndGuaranteed", "WB-species-dilution-info": "1/2000", "WB-species-notes": "<p></p>", "IHCFr-species-checked": "testedAndGuaranteed", "IHCFr-species-dilution-info": "", "IHCFr-species-notes": "<p></p>" }, "Rat": { "IMC-species-checked": "guaranteed", "IMC-species-dilution-info": "", "IMC-species-notes": "", "IHCP-species-checked": "testedAndGuaranteed", "IHCP-species-dilution-info": "", "IHCP-species-notes": "<p></p> Perform heat-mediated antigen retrieval before commencing with IHC staining protocol.", "ICCIF-species-checked": "testedAndGuaranteed", "ICCIF-species-dilution-info": "", "ICCIF-species-notes": "<p></p>", "WB-species-checked": "testedAndGuaranteed", "WB-species-dilution-info": "", "WB-species-notes": "<p></p>", "IHCFr-species-checked": "testedAndGuaranteed", "IHCFr-species-dilution-info": "", "IHCFr-species-notes": "<p></p>" } } }

製品の詳細

What is this antibody validated in?
Anti-Olig2 antibody [EPR2673] - BSA and Azide free (ab220796) is a rabbit recombinant monoclonal antibody and is validated for use in Western Blot (WB), Immunohistochemistry (IHC-P), Immunocytochemistry/immunofluorescence (ICC/IF) in Human, Mouse, Rat samples.

What is the molecular weight of Olig2?
Anti-Olig2 [EPR2673] - BSA and Azide free (ab220796) specifically detects a band for Olig2 (UniProt: Q13516) at a molecular weight of 32kDa.

Other related products
We have a range of other formats of antibody clone [EPR2673] also available for your convenience: ab109186, Carrier free - ab220796, Alexa Fluor® 488 - ab225099, Alexa Fluor® 647 - ab225100, Alexa Fluor® 594 - ab300729

Patented technology
Our RabMAb® technology is a patented hybridoma-based technology for making rabbit monoclonal antibodies. For details on our patents, please refer to RabMAb® patents.

What are the advantages of a recombinant monoclonal antibody?
This product is a recombinant monoclonal antibody, which offers several advantages including:

  • - High batch-to-batch consistency and reproducibility
  • - Improved sensitivity and specificity
  • - Long-term security of supply
  • - Animal-free batch production

For more information, read more on recombinant antibodies.

Conjugation ready
Our carrier-free antibodies are typically supplied in a PBS-only formulation, purified and free of BSA, sodium azide and glycerol. This conjugation-ready format is designed for use with fluorochromes, metal isotopes, oligonucleotides, and enzymes, which makes them ideal for antibody labelling, functional and cell-based assays, flow-based assays (e.g. mass cytometry) and Multiplex Imaging applications.

Use our conjugation kits for antibody conjugates that are ready-to-use in as little as 20 minutes with 1 minute hands-on-time and 100% antibody recovery: available for fluorescent dyes, HRP, biotin and gold.

Compatibility
This product is compatible with the Maxpar® Antibody Labeling Kit from Fluidigm, without the need for antibody preparation. Maxpar® is a trademark of Fluidigm Canada Inc.

出荷温度及び保存条件

製品の状態
Liquid
精製方法
Affinity purification Protein A
バッファー組成
pH: 7.2 - 7.4 Constituents: PBS
出荷温度
Blue Ice
短期保存温度
+4°C
長期保存温度
+4°C
保管に関する情報
Do Not Freeze

補足情報

This supplementary information is collated from multiple sources and compiled automatically.

Olig2 also known as Oligo2 or OLIG2 is a protein with a molecular mass of around 32 kDa. It belongs to the basic helix-loop-helix (bHLH) family of transcription factors which play roles in neurodevelopment. Olig2 is expressed mainly in the central nervous system particularly in oligodendrocyte progenitor cells and motor neuron progenitors. As an important marker Olig2 staining is often used in studies involving these cell types to understand differentiation processes.
Biological function summary

Olig2 regulates gene expression important for the proper development of the central nervous system. It functions both independently and as a part of transcriptional complexes to influence the fate of neural progenitors. In particular its presence decides whether these progenitors will differentiate into neurons astrocytes or oligodendrocytes. Among the proteins it interacts with are factors that modulate neurogenesis and myelination highlighting its importance in maintaining normal brain homeostasis.

Pathways

Olig2 plays an important role in the oligodendrocyte differentiation and motor neuron generation pathways. It works closely with proteins such as SOX10 and NKX2.2 to regulate oligodendrocyte maturation. In the motor neuron pathway Olig2 interacts with proteins like NKX6.1 and LHX3 coordinating the development of motor neurons. These pathways demonstrate Olig2's function as a critical transcription factor influencing neural development and plasticity.

Abnormalities in Olig2 expression or function relate to conditions such as gliomas and Multiple Sclerosis (MS). Elevated levels of Olig2 are often seen in gliomas where it might cooperate with proteins like IDH1 to drive tumor growth. In MS the impairment of oligodendrocyte function can link back to disruptions in normal Olig2 activity or expression. These associations make Olig2 a significant target for potential therapeutic interventions in neurological conditions.

製品プロトコール

For this product, it's our understanding that no specific protocols are required. You can visit:

ターゲットの情報

Required for oligodendrocyte and motor neuron specification in the spinal cord, as well as for the development of somatic motor neurons in the hindbrain. Functions together with ZNF488 to promote oligodendrocyte differentiation. Cooperates with OLIG1 to establish the pMN domain of the embryonic neural tube. Antagonist of V2 interneuron and of NKX2-2-induced V3 interneuron development.
See full target information OLIG2

文献 (7)

Recent publications for all applications. Explore the full list and refine your search

Communications biology 8:296 PubMed40033126

2025

Maternal immune activation followed by peripubertal stress combinedly produce reactive microglia and confine cerebellar cognition.

Applications

Unspecified application

Species

Unspecified reactive species

Momoka Hikosaka,Md Sorwer Alam Parvez,Yuki Yamawaki,Souichi Oe,Yuan Liang,Yayoi Wada,Yukie Hirahara,Taro Koike,Hirohiko Imai,Naoya Oishi,Sina M Schalbetter,Asuka Kumagai,Mari Yoshida,Takeshi Sakurai,Masaaki Kitada,Urs Meyer,Shuh Narumiya,Gen Ohtsuki

Cancer cell 42:1217-1238.e19 PubMed38981438

2024

Multi-scale signaling and tumor evolution in high-grade gliomas.

Applications

Unspecified application

Species

Unspecified reactive species

Jingxian Liu,Song Cao,Kathleen J Imbach,Marina A Gritsenko,Tung-Shing M Lih,Jennifer E Kyle,Tomer M Yaron-Barir,Zev A Binder,Yize Li,Ilya Strunilin,Yi-Ting Wang,Chia-Feng Tsai,Weiping Ma,Lijun Chen,Natalie M Clark,Andrew Shinkle,Nataly Naser Al Deen,Wagma Caravan,Andrew Houston,Faria Anjum Simin,Matthew A Wyczalkowski,Liang-Bo Wang,Erik Storrs,Siqi Chen,Ritvik Illindala,Yuping D Li,Reyka G Jayasinghe,Dmitry Rykunov,Sandra L Cottingham,Rosalie K Chu,Karl K Weitz,Ronald J Moore,Tyler Sagendorf,Vladislav A Petyuk,Michael Nestor,Lisa M Bramer,Kelly G Stratton,Athena A Schepmoes,Sneha P Couvillion,Josie Eder,Young-Mo Kim,Yuqian Gao,Thomas L Fillmore,Rui Zhao,Matthew E Monroe,Austin N Southard-Smith,Yang E Li,Rita Jui-Hsien Lu,Jared L Johnson,Maciej Wiznerowicz,Galen Hostetter,Chelsea J Newton,Karen A Ketchum,Ratna R Thangudu,Jill S Barnholtz-Sloan,Pei Wang,David Fenyö,Eunkyung An,Mathangi Thiagarajan,Ana I Robles,D R Mani,Richard D Smith,Eduard Porta-Pardo,Lewis C Cantley,Antonio Iavarone,Feng Chen,Mehdi Mesri,MacLean P Nasrallah,Hui Zhang,Adam C Resnick,Milan G Chheda,Karin D Rodland,Tao Liu,Li Ding

Pharmaceutics 14: PubMed36297644

2022

Autologous Genetically Enriched Leucoconcentrate in the Preventive and Acute Phases of Stroke Treatment in a Mini-Pig Model.

Applications

Unspecified application

Species

Unspecified reactive species

Zufar Safiullov,Andrei Izmailov,Mikhail Sokolov,Vage Markosyan,Grayr Kundakchan,Ravil Garifulin,Maksim Shmarov,Boris Naroditsky,Denis Logunov,Rustem Islamov

Immunity 54:1594-1610.e11 PubMed34174183

2021

Deep spatial profiling of human COVID-19 brains reveals neuroinflammation with distinct microanatomical microglia-T-cell interactions.

Applications

Unspecified application

Species

Unspecified reactive species

Marius Schwabenland,Henrike Salié,Jovan Tanevski,Saskia Killmer,Marilyn Salvat Lago,Alexandra Emilia Schlaak,Lena Mayer,Jakob Matschke,Klaus Püschel,Antonia Fitzek,Benjamin Ondruschka,Henrik E Mei,Tobias Boettler,Christoph Neumann-Haefelin,Maike Hofmann,Angele Breithaupt,Nafiye Genc,Christine Stadelmann,Julio Saez-Rodriguez,Peter Bronsert,Klaus-Peter Knobeloch,Thomas Blank,Robert Thimme,Markus Glatzel,Marco Prinz,Bertram Bengsch

Stem cells international 2016:9671732 PubMed27829841

2016

Effects of FTY720 (Fingolimod) on Proliferation, Differentiation, and Migration of Brain-Derived Neural Stem Cells.

Applications

WB

Species

Rat

Botao Tan,Zeruxin Luo,Yan Yue,Yuan Liu,Li Pan,Lehua Yu,Ying Yin

Journal of Alzheimer's disease : JAD 55:199-217 PubMed27662313

2016

Neuroprotective Effect of TREM-2 in Aging and Alzheimer's Disease Model.

Applications

IHC

Species

Mouse

Animesh Alexander Raha,James W Henderson,Simon R W Stott,Romina Vuono,Simona Foscarin,Robert P Friedland,Shahid H Zaman,Ruma Raha-Chowdhury

Journal of neuroinflammation 13:238 PubMed27596440

2016

Intra-amniotic LPS causes acute neuroinflammation in preterm rhesus macaques.

Applications

IHC-P

Species

Rhesus monkey

Augusto F Schmidt,Paranthaman S Kannan,Claire A Chougnet,Steve C Danzer,Lisa A Miller,Alan H Jobe,Suhas G Kallapur
View all publications

Abcam product promise

当社は、高品質な試薬を通じてお客様の研究を力強くサポートすることをお約束いたします。ご使用いただく各段階で、常にお客様をサポートできる体制を整えております。万が一、製品が期待通りに機能しない場合は、「Abcam Product Promise」による当社保証制度に基づき、安心してご利用いただけます。
保証に関する詳細については利用規約をご確認ください。

Please note: All products are 'FOR RESEARCH USE ONLY. NOT FOR USE IN DIAGNOSTIC OR THERAPEUTIC PROCEDURES'.

For licensing inquiries, please contact partnerships@abcam.com