JavaScript is disabled in your browser. Please enable JavaScript to view this website.
AB216327

Anti-Occludin 抗体 [EPR20992]

Anti-Occludin antibody [EPR20992]

4

(7 Reviews)

|

(452 Publications)

Anti-Occludin antibody [EPR20992] (ab216327) is a rabbit monoclonal antibody detecting Occludin in Western Blot, Flow Cytometry (Intra), Flow Cytometry, IP, IHC-P, IHC-Fr, ICC/IF. Suitable for Dog, Human, Mouse, Rat.

- KO validated for confirmed specificity
- Biophysical QC for unrivalled batch-batch consistency
- Over 230 publications

別名を表示する

Occludin, OCLN

19 Images
Immunohistochemistry (Formalin/PFA-fixed paraffin-embedded sections) - Anti-Occludin antibody [EPR20992] (AB216327)
  • IHC-P

Supplier Data

Immunohistochemistry (Formalin/PFA-fixed paraffin-embedded sections) - Anti-Occludin antibody [EPR20992] (AB216327)

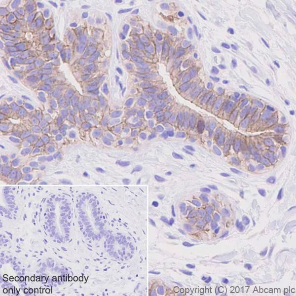
Immunohistochemical analysis of paraffin-embedded human colon tissue labeling Occludin with ab216327 at 1/200 dilution, followed by Goat Anti-Rabbit IgG H&L (HRP) ready to use. Membranous staining on human colon is observed (PMID : 24268521). Counter stained with Hematoxylin.

Secondary antibody only control : ab209101 (Rabbit specific IHC polymer detection kit HRP/DAB).

Perform heat mediated antigen retrieval with Tris/EDTA buffer pH 9.0 before commencing with IHC staining protocol.

Immunohistochemistry (Frozen sections) - Anti-Occludin antibody [EPR20992] (AB216327)
  • IHC-Fr

AbReview85038****

Immunohistochemistry (Frozen sections) - Anti-Occludin antibody [EPR20992] (AB216327)

Immunohistochemistry analysis of PFA-fixed, 0.3% Triton X-100 permeabilized frozen Human choroid plexus organoid (fresh frozen) tissue labelling Occludin with ab216327 at 1/200 dilution, followed by Donkey anti Rabbit (Alexa Fluor® 488) secondary antibody at 1/500 dilution dilution (green). The section was incubated with ab216327 for 24 hours at 4°C.

Immunohistochemistry (Formalin/PFA-fixed paraffin-embedded sections) - Anti-Occludin antibody [EPR20992] (AB216327)
  • IHC-P

Lab

Immunohistochemistry (Formalin/PFA-fixed paraffin-embedded sections) - Anti-Occludin antibody [EPR20992] (AB216327)

Immunohistochemical analysis of paraffin-embedded Human colon labeling Occludin with ab216327 at 1/200 dilution, followed by Goat Anti-Rabbit IgG H&L (Alexa Fluor® 488) preadsorbed (ab150081). Heat mediated antigen retrieval was performed using ab93684 (Tris/EDTA buffer, pH 9.0). Positive staining on human colon. The section was incubated with ab216327 at 4°C overnight. The section was then mounted using Fluoromount®. Image was taken with a confocal microscope (Leica-Microsystems, TCS SP8).

Immunohistochemistry (Formalin/PFA-fixed paraffin-embedded sections) - Anti-Occludin antibody [EPR20992] (AB216327)
  • IHC-P

Supplier Data

Immunohistochemistry (Formalin/PFA-fixed paraffin-embedded sections) - Anti-Occludin antibody [EPR20992] (AB216327)

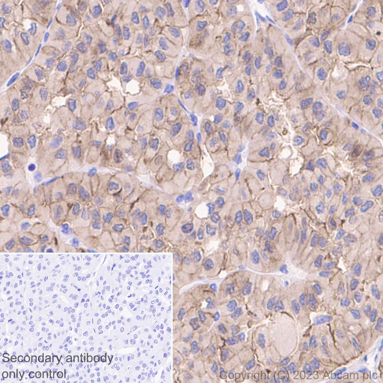
Immunohistochemical analysis of paraffin-embedded human breast tissue labeling Occludin with ab216327 at 1/200 dilution, followed by Goat Anti-Rabbit IgG H&L (HRP) ready to use. Membranous staining on human breast is observed. Counter stained with Hematoxylin.

Secondary antibody only control : ab209101 (Rabbit specific IHC polymer detection kit HRP/DAB).

Perform heat mediated antigen retrieval with Tris/EDTA buffer pH 9.0 before commencing with IHC staining protocol.

Flow Cytometry (Intracellular) - Anti-Occludin antibody [EPR20992] (AB216327)
  • Flow Cyt (Intra)

Supplier Data

Flow Cytometry (Intracellular) - Anti-Occludin antibody [EPR20992] (AB216327)

Intracellular flow cytometric analysis of 4% paraformaldehyde-fixed, 90% methanol-permeabilized Caco-2 (human colorectal adenocarcinoma cell line) cell line labeling Occludin with ab216327 at 1/60 dilution (red) compared with a Rabbit IgG, monoclonal [EPR25A] - Isotype Control (ab172730) (black) and an unlabeled control (cells without incubation with primary antibody and secondary antibody) (blue). Goat Anti-Rabbit IgG H&L (Alexa Fluor® 488) (ab150077) at 1/2000 dilution was used as the secondary antibody.

Immunocytochemistry/ Immunofluorescence - Anti-Occludin antibody [EPR20992] (AB216327)
  • ICC/IF

Supplier Data

Immunocytochemistry/ Immunofluorescence - Anti-Occludin antibody [EPR20992] (AB216327)

Immunofluorescent analysis of 4% paraformaldehyde-fixed, 0.1% Triton X-100 permeabilized Caco-2 (human colorectal adenocarcinoma cell line) cells labeling Occludin with ab216327 at 1/100 dilution, followed by Goat Anti-Rabbit IgG H&L (Alexa Fluor® 488) (ab150077) secondary antibody at 1/1000 dilution (green). Confocal image showing membrane staining on Caco-2 cell line.

The nuclear counter stain is DAPI (blue). Tubulin is detected with Anti-alpha Tubulin antibody [DM1A] - Microtubule Marker (Alexa Fluor® 594) (ab195889) at 1/200 dilution (red).

Secondary antibody only control : Used PBS instead of primary antibody, secondary antibody is Goat Anti-Rabbit IgG H&L (Alexa Fluor® 488) (ab150077) secondary antibody at 1/1000 dilution.

Immunohistochemistry (Formalin/PFA-fixed paraffin-embedded sections) - Anti-Occludin antibody [EPR20992] (AB216327)
  • IHC-P

Lab

Immunohistochemistry (Formalin/PFA-fixed paraffin-embedded sections) - Anti-Occludin antibody [EPR20992] (AB216327)

Immunohistochemical analysis of paraffin-embedded human thyroid carcinoma labeling Occludin with ab216327 at 1/200 dilution, followed by Goat Anti-Rabbit IgG H&L (HRP polymer) (ab214880), ready to use. Counter stained with Hematoxylin. Antigen retrieval was heat mediated antigen retrieval was performed using ab93684 (Tris/EDTA buffer, pH 9.0). Secondary antibody only control : ab209101 (Rabbit specific IHC polymer detection kit HRP/DAB). Positive staining on human thyroid carcinoma. The section was incubated with ab216327 at 4°C overnight.

Immunoprecipitation - Anti-Occludin antibody [EPR20992] (AB216327)
  • IP

Supplier Data

Immunoprecipitation - Anti-Occludin antibody [EPR20992] (AB216327)

Occludin was immunoprecipitated from 0.35 mg of Caco-2 (human colorectal adenocarcinoma cell line) whole cell lysate with ab216327 at 1/40 dilution. Western blot was performed from the immunoprecipitate using ab216327 at 1/1000 dilution. VeriBlot for IP Detection Reagent (HRP) (ab131366), was used for detection at 1/10,000 dilution

Lane 1 : Caco-2 whole cell lysate 10 μg (Input).

Lane 2 : ab216327 IP in Caco-2 whole cell lysate.

Lane 3 : Rabbit monoclonal IgG (ab172730) instead of ab216327 in Caco-2 whole cell lysate.

Blocking and dilution buffer and concentration : 5% NFDM/TBST.

Exposure time : 1 second.

The molecular weight observed is consistent with what has been described in the literature (PMID : 18647175, PMID : 19821483).

All lanes:

Immunoprecipitation - Anti-Occludin antibody [EPR20992] (ab216327)

Predicted band size: 59 kDa

false

Immunohistochemistry (Formalin/PFA-fixed paraffin-embedded sections) - Anti-Occludin antibody [EPR20992] (AB216327)
  • IHC-P

Supplier Data

Immunohistochemistry (Formalin/PFA-fixed paraffin-embedded sections) - Anti-Occludin antibody [EPR20992] (AB216327)

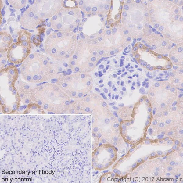
Immunohistochemical analysis of paraffin-embedded rat kidney tissue labeling Occludin with ab216327 at 1/200 dilution, followed by Goat Anti-Rabbit IgG H&L (HRP) ready to use. Cytoplasmic staining on distal tubules of rat kidney is observed. Counter stained with Hematoxylin.

Secondary antibody only control : ab209101 (Rabbit specific IHC polymer detection kit HRP/DAB).

Perform heat mediated antigen retrieval with Tris/EDTA buffer pH 9.0 before commencing with IHC staining protocol.

Immunohistochemistry (Formalin/PFA-fixed paraffin-embedded sections) - Anti-Occludin antibody [EPR20992] (AB216327)
  • IHC-P

Lab

Immunohistochemistry (Formalin/PFA-fixed paraffin-embedded sections) - Anti-Occludin antibody [EPR20992] (AB216327)

Immunohistochemical analysis of paraffin-embedded Rat colon labeling Occludin with ab216327 at 1/200 dilution, followed by Goat Anti-Rabbit IgG H&L (Alexa Fluor® 488) preadsorbed (ab150081). Heat mediated antigen retrieval was performed using ab93684 (Tris/EDTA buffer, pH 9.0). Positive staining on Rat colon. The section was incubated with ab216327 at 4°C overnight. The section was then mounted using Fluoromount®. Image was taken with a confocal microscope (Leica-Microsystems, TCS SP8).

Immunohistochemistry (Formalin/PFA-fixed paraffin-embedded sections) - Anti-Occludin antibody [EPR20992] (AB216327)
  • IHC-P

Supplier Data

Immunohistochemistry (Formalin/PFA-fixed paraffin-embedded sections) - Anti-Occludin antibody [EPR20992] (AB216327)

Immunohistochemical analysis of paraffin-embedded mouse kidney tissue labeling Occludin with ab216327 at 1/200 dilution, followed by Goat Anti-Rabbit IgG H&L (HRP) ready to use. Cytoplasmic staining on distal tubules of mouse kidney is observed. Counter stained with Hematoxylin.

Secondary antibody only control : ab209101 (Rabbit specific IHC polymer detection kit HRP/DAB).

Perform heat mediated antigen retrieval with Tris/EDTA buffer pH 9.0 before commencing with IHC staining protocol.

Immunohistochemistry (Formalin/PFA-fixed paraffin-embedded sections) - Anti-Occludin antibody [EPR20992] (AB216327)
  • IHC-P

Lab

Immunohistochemistry (Formalin/PFA-fixed paraffin-embedded sections) - Anti-Occludin antibody [EPR20992] (AB216327)

Immunohistochemical analysis of paraffin-embedded Mouse colon labeling Occludin with ab216327 at 1/200 dilution, followed by Goat Anti-Rabbit IgG H&L (Alexa Fluor® 488) preadsorbed (ab150081). Heat mediated antigen retrieval was performed using ab93684 (Tris/EDTA buffer, pH 9.0). Positive staining on Mouse colon. The section was incubated with ab216327 at 4°C overnight. The section was then mounted using Fluoromount®. Image was taken with a confocal microscope (Leica-Microsystems, TCS SP8).

Western blot - Anti-Occludin antibody [EPR20992] (AB216327)
  • WB

Unknown

Western blot - Anti-Occludin antibody [EPR20992] (AB216327)

Blocking/Dilution buffer : 5% NFDM/TBST.

All lanes:

Western blot - Anti-Occludin antibody [EPR20992] (ab216327) at 1/1000 dilution

Lane 1:

Caco-2 (Human colorectal adenocarcinoma epithelial cell) whole cell lysate at 20 µg

Lane 2:

bEnd.3 (Mouse brain endothelioma) whole cell lysate at 20 µg

Secondary

All lanes:

Western blot - Goat Anti-Rabbit IgG H&L (HRP) (<a href='/products/secondary-antibodies/goat-rabbit-igg-h-l-hrp-ab97051'>ab97051</a>) at 1/10000 dilution

Predicted band size: 59 kDa

Observed band size: 65 kDa

false

Exposure time: 60s

Western blot - Anti-Occludin antibody [EPR20992] (AB216327)
  • WB

Lab

Western blot - Anti-Occludin antibody [EPR20992] (AB216327)

Lanes 1 - 4 : Merged signal (red and green). Green - ab216327 observed at 59 kDa. Red - loading control, ab9484, observed at 37 kDa.

ab216327 was shown to recognize Occludin in wild-type HAP1 cells as signal was lost at the expected MW in OCLN (Occludin) knockout cells. Additional cross-reactive bands were observed in the wild-type and knockout cells. Wild-type and OCLN (Occludin) knockout samples were subjected to SDS-PAGE. ab216327 and ab9484 (Mouse anti-GAPDH loading control) were incubated overnight at 4°C at 1/1000 dilution and 1/20000 dilution respectively. Blots were developed with Goat anti-Rabbit IgG H&L (IRDye® 800CW) preabsorbed ab216773 and Goat anti-Mouse IgG H&L (IRDye® 680RD) preabsorbed ab216776 secondary antibodies at 1/20000 dilution for 1 hour at room temperature before imaging.

Occludin expression in HeLa is expected to be negative.

All lanes:

Western blot - Anti-Occludin antibody [EPR20992] (ab216327) at 1/1000 dilution

Lane 1:

Wild-type HAP1 whole cell lysate at 40 µg

Lane 2:

OCLN (Occludin) knockout HAP1 whole cell lysate at 40 µg

Lane 3:

HeLa whole cell lysate (Low Occludin expression) at 20 µg

Lane 4:

HepG2 whole cell lysate lysate (High Occludin expression) at 20 µg

Predicted band size: 59 kDa

false

Western blot - Anti-Occludin antibody [EPR20992] (AB216327)
  • WB

Lab

Western blot - Anti-Occludin antibody [EPR20992] (AB216327)

For cells express relatively low level of Occludin, we suggest optimizing experimental protocols (increasing lysate amount, using lower dilution or higher sensitivity ECL substrate) to improve results.

Blocking and Diluting buffer and concentration : 5% NFDM /TBST

ab181602 was used as a GAPDH loading control.

All lanes:

Western blot - Anti-Occludin antibody [EPR20992] (ab216327) at 1/1000 dilution

Lane 1:

Caco-2 (human colorectal adenocarcinoma epithelial cell) whole cell lysate at 20 µg

Lane 2:

DLD-1(human colorectal adenocarcinoma cell) whole cell lysate at 20 µg

Lane 3:

A431 (human epidermoid carcinoma epithelial cell) whole cell lysate at 20 µg

Lane 4:

A549 (human lung carcinoma epithelial cell) whole cell lysate at 20 µg

Lane 5:

HT-29 (human colorectal adenocarcinoma epithelial cell) whole cell lysate at 20 µg

Secondary

All lanes:

Western blot - Goat Anti-Rabbit IgG H&L (HRP) (<a href='/products/secondary-antibodies/goat-rabbit-igg-h-l-hrp-ab97051'>ab97051</a>) at 1/20000 dilution

Observed band size: 16-60 kDa

false

Exposure time: 20s

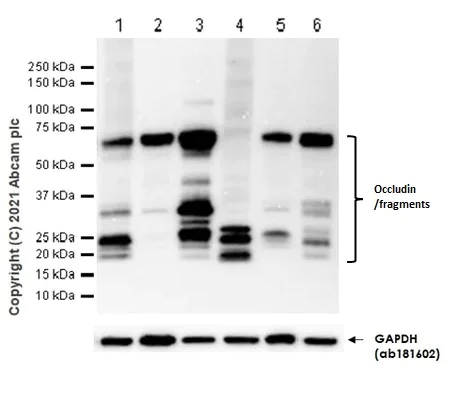
Western blot - Anti-Occludin antibody [EPR20992] (AB216327)
  • WB

Lab

Western blot - Anti-Occludin antibody [EPR20992] (AB216327)

Occludin contains multiple isoforms, and the molecular weight range of different isoforms varies greatly (8kDa~59kDa). In addition, there are various post-translational modifications such as ubiquitination and proteolytic cleavage, so the band sizes and number of bands detected in different samples may vary. (PMID : 18647175, PMID : 19821483, PMID : 19457074, PMID : 11782481, PMID : 22083955)

Blocking and Diluting buffer and concentration : 5% NFDM /TBST

ab181602 was used as a GAPDH loading control.

All lanes:

Western blot - Anti-Occludin antibody [EPR20992] (ab216327) at 1/1000 dilution

Lane 1:

Mouse colon tissue lysate at 20 µg

Lane 2:

Mouse small intestine tissue lysate at 20 µg

Lane 3:

Mouse ileum tissue lysate at 20 µg

Lane 4:

Mouse liver tissue lysate at 20 µg

Lane 5:

Mouse Kidney tissue lysate at 20 µg

Lane 6:

Human colon tissue lysate at 20 µg

Secondary

All lanes:

Western blot - Goat Anti-Rabbit IgG H&L (HRP) (<a href='/products/secondary-antibodies/goat-rabbit-igg-h-l-hrp-ab97051'>ab97051</a>) at 1/20000 dilution

Observed band size: 16-60 kDa

false

Exposure time: 100s

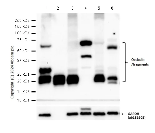
Western blot - Anti-Occludin antibody [EPR20992] (AB216327)
  • WB

Unknown

Western blot - Anti-Occludin antibody [EPR20992] (AB216327)

Blocking/Dilution buffer : 5% NFDM/TBST.

All lanes:

Western blot - Anti-Occludin antibody [EPR20992] (ab216327) at 1/1000 dilution

Lane 1:

Mouse colon tissue lysate at 20 µg

Lane 2:

Mouse brain tissue lysate at 20 µg

Lane 3:

Mouse lung tissue lysate at 20 µg

Lane 4:

Rat colon tissue lysate at 20 µg

Lane 5:

Rat brain tissue lysate at 20 µg

Lane 6:

Rat lung tissue lysate at 20 µg

Secondary

All lanes:

Western blot - Goat Anti-Rabbit IgG H&L (HRP) (<a href='/products/secondary-antibodies/goat-rabbit-igg-h-l-hrp-ab97051'>ab97051</a>) at 1/10000 dilution

Predicted band size: 59 kDa

Observed band size: 65 kDa

false

Exposure time: 100s

Immunohistochemistry (Formalin/PFA-fixed paraffin-embedded sections) - Anti-Occludin antibody [EPR20992] (AB216327)
  • IHC-P

Lab

Immunohistochemistry (Formalin/PFA-fixed paraffin-embedded sections) - Anti-Occludin antibody [EPR20992] (AB216327)

Tissue Microarrays stained for Anti-Occludin antibody [EPR20992] using ab216327 in immunohistochemical analysis. This table provides a detailed overview of positive (tick mark) and negaive (cross mark) staining per sample type tested. The sections were incubated with ab216327 at 4°C overnight used at 1 : 2000 dilution (1.05 μg/ml) followed by a ready to use Rabbit specific IHC polymer detection kit HRP/DAB secondary antibody (ab209101). Counterstain was Hematoxylin. Heat mediated antigen retrieval was performed using ab93684 (Tris/EDTA buffer, pH 9.0).

Immunocytochemistry/ Immunofluorescence - Anti-Occludin antibody [EPR20992] (AB216327)
  • ICC/IF

Supplier Data

Immunocytochemistry/ Immunofluorescence - Anti-Occludin antibody [EPR20992] (AB216327)

Immunofluorescent analysis of 4% paraformaldehyde-fixed, 0.1% Triton X-100 permeabilized MDCK (canine kidney cell line) cells labeling Occludin with ab216327 at 1/100 dilution, followed by Goat Anti-Rabbit IgG H&L (Alexa Fluor® 488) (ab150077) secondary antibody at 1/1000 dilution (green). Confocal image showing membrane staining on MDCK (NBL-2) cell line.

The nuclear counter stain is DAPI (blue). Tubulin is detected with Anti-alpha Tubulin antibody [DM1A] - Microtubule Marker (Alexa Fluor® 594) (ab195889) at 1/200 dilution (red).

Secondary antibody only control : Used PBS instead of primary antibody, secondary antibody is Goat Anti-Rabbit IgG H&L (Alexa Fluor® 488) (ab150077) secondary antibody at 1/1000 dilution.

関連する標識済み抗体及び組成の異なる製品 (1)

  • Carrier free

    Anti-Occludin antibody [EPR20992] - BSA and Azide free

Key facts

宿主種

Rabbit

クローン性

Monoclonal

クローン番号

EPR20992

アイソタイプ

IgG

キャリアフリー

No

交差種

Mouse, Rat, Dog, Human

アプリケーション

WB, Flow Cyt (Intra), IHC-Fr, IHC-P, ICC/IF, IP

applications

免疫原

The exact immunogen used to generate this antibody is proprietary information.

特異性

This antibody is not suitable for ICC in mouse or rat species or for any testing rat intestinal tissues.

FURTHER INFORMATION ON SPECIFICITY (Chinese Version) available under the product protocols section. This file includes key technical notes of experience when using this product.

Reactivity data

{ "title": "Reactivity Data", "filters": { "stats": ["", "Species", "Dilution Info", "Notes"], "tabs": { "all-applications": {"fullname" : "All Applications", "shortname": "All Applications"}, "IP" : {"fullname" : "Immunoprecipitation", "shortname":"IP"}, "IHCFr" : {"fullname" : "Immunohistochemistry (Frozen sections)", "shortname":"IHC-Fr"}, "WB" : {"fullname" : "Western blot", "shortname":"WB"}, "ICCIF" : {"fullname" : "Immunocytochemistry/ Immunofluorescence", "shortname":"ICC/IF"}, "IHCP" : {"fullname" : "Immunohistochemistry (Formalin/PFA-fixed paraffin-embedded sections)", "shortname":"IHC-P"}, "FlowCytIntra" : {"fullname" : "Flow Cytometry (Intracellular)", "shortname":"Flow Cyt (Intra)"} }, "product-promise": { "all": "all", "testedAndGuaranteed": "tested", "guaranteed": "expected", "predicted": "predicted", "notRecommended": "not-recommended" } }, "values": { "Human": { "IP-species-checked": "testedAndGuaranteed", "IP-species-dilution-info": "1/40", "IP-species-notes": "<p></p>", "IHCFr-species-checked": "testedAndGuaranteed", "IHCFr-species-dilution-info": "1/200", "IHCFr-species-notes": "<p></p>", "WB-species-checked": "testedAndGuaranteed", "WB-species-dilution-info": "1/1000", "WB-species-notes": "<p>Please upload more of the lysate or use lower dilution of ab216327 when testing bEnd.3.</p><p>Occludin contains multiple isoforms, and the molecular weight range of different isoforms varies greatly (8kDa~59kDa). In addition, there are various post-translational modifications such as ubiquitination and proteolytic cleavage, so the band sizes and number of bands detected in different samples may vary. (PMID: 18647175, PMID: 19821483, PMID: 19457074, PMID: 11782481, PMID: 22083955).</p>", "ICCIF-species-checked": "testedAndGuaranteed", "ICCIF-species-dilution-info": "1/100", "ICCIF-species-notes": "<p>This antibody is not suitable for ICC in mouse or rat species.</p>", "IHCP-species-checked": "testedAndGuaranteed", "IHCP-species-dilution-info": "1/200", "IHCP-species-notes": "<p></p> Perform heat-mediated antigen retrieval with Tris/EDTA buffer pH 9.0 before commencing with IHC staining protocol.", "FlowCytIntra-species-checked": "testedAndGuaranteed", "FlowCytIntra-species-dilution-info": "1/60", "FlowCytIntra-species-notes": "<p></p>" }, "Mouse": { "IP-species-checked": "guaranteed", "IP-species-dilution-info": "", "IP-species-notes": "", "IHCFr-species-checked": "guaranteed", "IHCFr-species-dilution-info": "", "IHCFr-species-notes": "", "WB-species-checked": "testedAndGuaranteed", "WB-species-dilution-info": "1/1000", "WB-species-notes": "<p>Please upload more of the lysate or use lower dilution of ab216327 when testing bEnd.3.</p><p>Occludin contains multiple isoforms, and the molecular weight range of different isoforms varies greatly (8kDa~59kDa). In addition, there are various post-translational modifications such as ubiquitination and proteolytic cleavage, so the band sizes and number of bands detected in different samples may vary. (PMID: 18647175, PMID: 19821483, PMID: 19457074, PMID: 11782481, PMID: 22083955).</p>", "ICCIF-species-checked": "notRecommended", "ICCIF-species-dilution-info": "1/100", "ICCIF-species-notes": "<p>This antibody is not suitable for ICC in mouse or rat species.</p>", "IHCP-species-checked": "testedAndGuaranteed", "IHCP-species-dilution-info": "1/200", "IHCP-species-notes": "<p></p> Perform heat-mediated antigen retrieval with Tris/EDTA buffer pH 9.0 before commencing with IHC staining protocol.", "FlowCytIntra-species-checked": "guaranteed", "FlowCytIntra-species-dilution-info": "", "FlowCytIntra-species-notes": "" }, "Rat": { "IP-species-checked": "guaranteed", "IP-species-dilution-info": "", "IP-species-notes": "", "IHCFr-species-checked": "guaranteed", "IHCFr-species-dilution-info": "", "IHCFr-species-notes": "", "WB-species-checked": "testedAndGuaranteed", "WB-species-dilution-info": "1/1000", "WB-species-notes": "<p>Please upload more of the lysate or use lower dilution of ab216327 when testing bEnd.3.</p><p>Occludin contains multiple isoforms, and the molecular weight range of different isoforms varies greatly (8kDa~59kDa). In addition, there are various post-translational modifications such as ubiquitination and proteolytic cleavage, so the band sizes and number of bands detected in different samples may vary. (PMID: 18647175, PMID: 19821483, PMID: 19457074, PMID: 11782481, PMID: 22083955).</p>", "ICCIF-species-checked": "notRecommended", "ICCIF-species-dilution-info": "1/100", "ICCIF-species-notes": "<p>This antibody is not suitable for ICC in mouse or rat species.</p>", "IHCP-species-checked": "testedAndGuaranteed", "IHCP-species-dilution-info": "1/200", "IHCP-species-notes": "<p></p> Perform heat-mediated antigen retrieval with Tris/EDTA buffer pH 9.0 before commencing with IHC staining protocol.", "FlowCytIntra-species-checked": "guaranteed", "FlowCytIntra-species-dilution-info": "", "FlowCytIntra-species-notes": "" }, "Dog": { "IP-species-checked": "guaranteed", "IP-species-dilution-info": "", "IP-species-notes": "", "IHCFr-species-checked": "guaranteed", "IHCFr-species-dilution-info": "", "IHCFr-species-notes": "", "WB-species-checked": "testedAndGuaranteed", "WB-species-dilution-info": "1/1000", "WB-species-notes": "<p>Please upload more of the lysate or use lower dilution of ab216327 when testing bEnd.3.</p><p>Occludin contains multiple isoforms, and the molecular weight range of different isoforms varies greatly (8kDa~59kDa). In addition, there are various post-translational modifications such as ubiquitination and proteolytic cleavage, so the band sizes and number of bands detected in different samples may vary. (PMID: 18647175, PMID: 19821483, PMID: 19457074, PMID: 11782481, PMID: 22083955).</p>", "ICCIF-species-checked": "testedAndGuaranteed", "ICCIF-species-dilution-info": "1/100", "ICCIF-species-notes": "<p>This antibody is not suitable for ICC in mouse or rat species.</p>", "IHCP-species-checked": "guaranteed", "IHCP-species-dilution-info": "", "IHCP-species-notes": "", "FlowCytIntra-species-checked": "guaranteed", "FlowCytIntra-species-dilution-info": "", "FlowCytIntra-species-notes": "" }, "Recombinant full length protein - Human": { "IP-species-checked": "notRecommended", "IP-species-dilution-info": "", "IP-species-notes": "", "IHCFr-species-checked": "notRecommended", "IHCFr-species-dilution-info": "", "IHCFr-species-notes": "", "WB-species-checked": "testedAndGuaranteed", "WB-species-dilution-info": "1/1000", "WB-species-notes": "<p>Please upload more of the lysate or use lower dilution of ab216327 when testing bEnd.3.</p><p>Occludin contains multiple isoforms, and the molecular weight range of different isoforms varies greatly (8kDa~59kDa). In addition, there are various post-translational modifications such as ubiquitination and proteolytic cleavage, so the band sizes and number of bands detected in different samples may vary. (PMID: 18647175, PMID: 19821483, PMID: 19457074, PMID: 11782481, PMID: 22083955).</p>", "ICCIF-species-checked": "notRecommended", "ICCIF-species-dilution-info": "", "ICCIF-species-notes": "", "IHCP-species-checked": "notRecommended", "IHCP-species-dilution-info": "", "IHCP-species-notes": "", "FlowCytIntra-species-checked": "notRecommended", "FlowCytIntra-species-dilution-info": "", "FlowCytIntra-species-notes": "" } } }

製品の詳細

Anti-Occludin antibody [EPR20992] (ab216327) was developed by Abcam using patented rabbit monoclonal antibody technology and is validated for use in Flow Cyt (Intra), ICC/IF, IHC-Fr, IHC-P, IP and WB.

Anti-Occludin antibody [EPR20992] (ab216327) was first used in a scientific publication in 2018 and has been cited over 237 times in peer reviewed journals. It's performance in Western blot in human, mouse and rat samples is trusted by the scientific community.

Abcam's high quality manufacturing and validation processes ensure Anti-Occludin antibody [EPR20992] (ab216327) has high sensitivity and specificity alongside high lot-to-lot consistency and reproducibility.

The specificity of Anti-Occludin antibody [EPR20992] (ab216327) has been confirmed by Western Blot testing in Occludin knockout HAP1 cells.

Anti-Occludin antibody [EPR20992] (ab216327) has 8 independent reviews from customers.

Anti-Occludin antibody [EPR20992] (ab216327) specifically detects Occludin (UniProt ID: Q16625; Molecular weight: 60kDa) and is sold in a convenient trial size to enable initial testing (10 µL) and larger sizes for subsequent scaling up experiments (100 µL and 1 mL).

Conjugation-ready, carrier free format available for antibody clone EPR20992 - ab224526.

Occludin is a tight junction protein that plays a crucial role in maintaining the integrity of epithelial and endothelial barriers. In oncology, its downregulation is associated with increased tumorigenic and metastatic potential in cancers such as lung carcinoma, making it a potential prognostic biomarker and therapeutic target.

Patented technology
Our RabMAb® technology is a patented hybridoma-based technology for making rabbit monoclonal antibodies. For details on our patents, please refer to RabMAb® patents.

What are the advantages of a recombinant monoclonal antibody?
This product is a recombinant monoclonal antibody, which offers several advantages including:

  • - High batch-to-batch consistency and reproducibility
  • - Improved sensitivity and specificity
  • - Long-term security of supply
  • - Animal-free batch production

For more information, read more on recombinant antibodies.

出荷温度及び保存条件

製品の状態
Liquid
精製方法
Affinity purification Protein A
バッファー組成
pH: 7.2 - 7.4 Preservative: 0.01% Sodium azide Constituents: PBS, 40% Glycerol (glycerin, glycerine), 0.05% BSA
出荷温度
Blue Ice
短期保存期間
1-2 weeks
短期保存温度
+4°C
長期保存温度
-20°C
分注に関する情報
Upon delivery aliquot
保管に関する情報
Avoid freeze / thaw cycle

補足情報

This supplementary information is collated from multiple sources and compiled automatically.

Occludin is a protein that plays an important mechanical role in forming tight junctions which are specialized connections between neighboring cell membranes. Alternative names for this target include occludin-1. The occludin protein has a molecular weight of approximately 65 kDa. It is expressed in a variety of tissues but levels tend to be high in epithelial and endothelial cells where tight junctions are essential for barrier functions. Occludin acts as integral membrane protein contributing to the complex structures that seal spaces between cells.
Biological function summary

Occludin serves as an important component in maintaining cell-to-cell adhesion within tight junction complexes. It interacts with other tight junction proteins such as claudins and junctional adhesion molecules to regulate paracellular permeability. These interactions help maintain selective barrier properties of epithelial and endothelial layers preventing the passage of large molecules and pathogens while allowing passage of ions and small molecules. Occludin stabilizes the tight junctions by interacting with the cytoskeleton and signaling proteins that are important for tight junction assembly and maintenance.

Pathways

Occludin functions prominently in the regulation of tight junction integrity and barrier function. It participates in pathways such as the tight junction signaling pathway and the paracellular transport pathway. Occludin interacts with ZO-1 a scaffolding protein bridging its interaction with the actin cytoskeleton which supports the structural organization and function of tight junctions. This connectivity allows for regulation of the permeability and transport across the epithelial barrier.

Disruptions in occludin function are connected to conditions such as inflammatory bowel disease (IBD) and some cancers. In IBD abnormal occludin expression can compromise intestinal barrier function leading to increased intestinal permeability and an inflammatory response. In certain cancers loss of occludin expression is linked to increased invasiveness and metastasis due to weakened cell adhesion. The dysfunction of proteins like ZO-1 which interact with occludin in these pathways also contributes to these pathological states highlighting the importance of occludin's regulatory roles in maintaining cellular barrier integrity.

製品プロトコール

For this product, it's our understanding that no specific protocols are required. You can visit:

ターゲットの情報

May play a role in the formation and regulation of the tight junction (TJ) paracellular permeability barrier. It is able to induce adhesion when expressed in cells lacking tight junctions.. (Microbial infection) Acts as a coreceptor for hepatitis C virus (HCV) in hepatocytes.
See full target information OCLN

文献 (452)

Recent publications for all applications. Explore the full list and refine your search

Frontiers in physiology 16:1643482 PubMed41059495

2025

Development of a refined neonatal rabbit model of necrotizing enterocolitis with relatively longer survival.

Applications

Unspecified application

Species

Unspecified reactive species

Qing-Qing Guo,Hao Lin,Zhi-Xin Wang,Jian-Bo Wen,Juan-Juan Yang,Shi-Yun Lu

NPJ science of food 9:201 PubMed41028005

2025

Fructophilic Apilactobacillus kunkeei alleviates high-fructose diet-induced lipid accumulation by modulating gut microbiota and intestinal barrier function in mice.

Applications

Unspecified application

Species

Unspecified reactive species

Haiyan Xu,Wenjia Ba,Rongzhuzhu Yu,Zijia He,Peizhi Wang,Xun Gou,Xiaoyu Zhang,Fang Wang

BMC sports science, medicine & rehabilitation 17:279 PubMed41024199

2025

The impact of altered intestinal microbiota on intestinal immune function after acute exhaustive exercise in mice.

Applications

Unspecified application

Species

Unspecified reactive species

Guang Yang,Lina Gao,Yuqian Liu,Xiaoyang Xu,Wenqian Yang

Molecular medicine reports 32: PubMed40999974

2025

Atractylodin inhibits ferroptosis in sepsis‑induced acute gastrointestinal injury via SIRT3/PRDX3.

Applications

Unspecified application

Species

Unspecified reactive species

Yun-Xia Hu,Ming-Qi Chen,Jian-Lin Wang,Tao Wu,Hai-Dong Zhang,Tong-Tong Li,Hui Gao,Yu Bai

Theranostics 15:9221-9239 PubMed40963908

2025

Neutrophil extracellular traps induce endothelial damage and exacerbate vasospasm in traumatic brain injury.

Applications

Unspecified application

Species

Unspecified reactive species

Jinchao Wang,Lei Li,Jianye Xu,Dilmurat Gheyret,Kaiji Li,Xu Zhang,Haoran Jia,Ye Tian,Xiao Liu,Shenghui Li,Guili Yang,Yalong Gao,Ruilong Peng,Huajie Liu,Bin Liu,Jianfeng Zhuang,Cong Wang,Xin Chen,Yafan Liu,Bo Chen,Chuan Huang,Yuhan Li,Xin Chen,Jianning Zhang,Shu Zhang

Frontiers in physiology 16:1658389 PubMed40964620

2025

Blood-spinal cord barrier alterations in a mouse model of centrifugation-induced hypergravity.

Applications

Unspecified application

Species

Unspecified reactive species

David Dubayle,Jean-Luc Morel,Sighild Lemarchant

Frontiers in medicine 12:1636860 PubMed40933575

2025

Identification of novel gut microbiota-related biomarkers in cerebral hemorrhagic stroke.

Applications

Unspecified application

Species

Unspecified reactive species

Fengli Ye,Huili Li,Hongying Li,Xiue Mu

Journal of cellular and molecular medicine 29:e70799 PubMed40922382

2025

The Role of Endometriosis in Intestinal Inflammation: A Combined Mendelian Randomization and Cellular Study.

Applications

Unspecified application

Species

Unspecified reactive species

Zhigang Li,Fang Wang,Ernv Kang,Xiaoguang Zhen,Jianli Liu,Wenhao Wang

Cell death discovery 11:417 PubMed40883266

2025

METTL3-mediated m6A modification of circCDKAL1 regulates macrophage M1 polarization and nasal epithelial cell barrier function in allergic rhinitis through IGF2BP2/JARID2/HMGB1 axis.

Applications

Unspecified application

Species

Unspecified reactive species

Jiabin Zhan,Dan Luo,Yunlong Fu,Yu Zhou,Rui Li,Xin Wei

Exploration (Beijing, China) 5:20240363 PubMed40873647

2025

Suppresses CD8 T Cell Effector Function and Intestinal Inflammation.

Applications

Unspecified application

Species

Unspecified reactive species

Yingying Lin,Yuqi Wang,Yuning Zhang,Yao Lu,Juan Chen,Yongting Luo,Jian He,Qingfeng Luo,Heng Quan,Weiru Yu,Yujia Luo,Peng Xue,Yi Xue,Xiaoya Lin,Rui Ding,Lining Chen,Yiran Wang,Zenghui Xia,Liang Zhao,Hao Zhang,Ran Wang,Qingyu Wang,Xifan Wang,Jiaqi Su,Fazheng Ren,Cong Lv,Yixuan Li,Huiyuan Guo
View all publications
websiteProtocolBooklet
zh

Abcam product promise

当社は、高品質な試薬を通じてお客様の研究を力強くサポートすることをお約束いたします。ご使用いただく各段階で、常にお客様をサポートできる体制を整えております。万が一、製品が期待通りに機能しない場合は、「Abcam Product Promise」による当社保証制度に基づき、安心してご利用いただけます。
保証に関する詳細については利用規約をご確認ください。

Please note: All products are 'FOR RESEARCH USE ONLY. NOT FOR USE IN DIAGNOSTIC OR THERAPEUTIC PROCEDURES'.

For licensing inquiries, please contact partnerships@abcam.com