JavaScript is disabled in your browser. Please enable JavaScript to view this website.
AB217547

Anti-NUR77 抗体

Anti-NUR77 antibody

Be the first to review this product! Submit a review

|

(4 Publications)

Rabbit Polyclonal NUR77 antibody. Suitable for IHC-P and reacts with Rat samples. Cited in 4 publications. Immunogen corresponding to Synthetic Peptide within Human NR4A1 aa 350-450 conjugated to Keyhole Limpet Haemocyanin.

別名を表示する

GFRP1, HMR, NAK1, NR4A1, Nuclear receptor subfamily 4immunitygroup A member 1, Early response protein NAK1, Nuclear hormone receptor NUR/77, Orphan nuclear receptor HMR, Orphan nuclear receptor TR3, ST-59, Testicular receptor 3, Nur77

1 Images
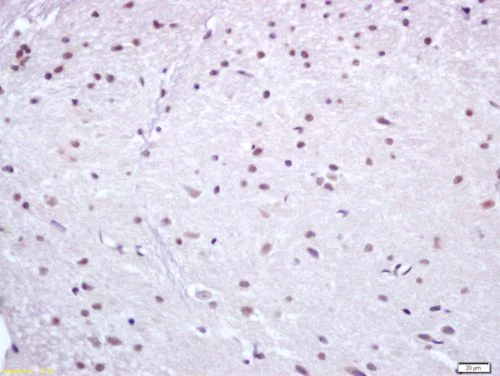
Immunohistochemistry (Formalin/PFA-fixed paraffin-embedded sections) - Anti-NUR77 antibody (AB217547)
  • IHC-P

Supplier Data

Immunohistochemistry (Formalin/PFA-fixed paraffin-embedded sections) - Anti-NUR77 antibody (AB217547)

Immunohistochemical analysis of formalin-fixed, paraffin-embedded rat brain tissue labeling NUR77 with ab217547 at 1/200 dilution, followed by conjugation to the secondary antibody and DAB staining.

Key facts

宿主種

Rabbit

クローン性

Polyclonal

アイソタイプ

IgG

キャリアフリー

No

交差種

Rat

アプリケーション

IHC-P

applications

免疫原

Synthetic Peptide within Human NR4A1 aa 350-450 conjugated to Keyhole Limpet Haemocyanin. The exact immunogen used to generate this antibody is proprietary information.

P22736

Reactivity data

{ "title": "Reactivity Data", "filters": { "stats": ["", "Species", "Dilution Info", "Notes"], "tabs": { "all-applications": {"fullname" : "All Applications", "shortname": "All Applications"}, "IHCP" : {"fullname" : "Immunohistochemistry (Formalin/PFA-fixed paraffin-embedded sections)", "shortname":"IHC-P"} }, "product-promise": { "all": "all", "testedAndGuaranteed": "tested", "guaranteed": "expected", "predicted": "predicted", "notRecommended": "not-recommended" } }, "values": { "Human": { "IHCP-species-checked": "predicted", "IHCP-species-dilution-info": "", "IHCP-species-notes": "" }, "Mouse": { "IHCP-species-checked": "predicted", "IHCP-species-dilution-info": "", "IHCP-species-notes": "" }, "Rat": { "IHCP-species-checked": "testedAndGuaranteed", "IHCP-species-dilution-info": "1/100 - 1/500", "IHCP-species-notes": "<p></p>" } } }

出荷温度及び保存条件

製品の状態
Liquid
精製方法
Affinity purification Protein A
バッファー組成
pH: 7.4 Preservative: 0.02% Proclin 300 Constituents: 50% Glycerol (glycerin, glycerine), 48.98% TBS, 1X, 1% BSA
出荷温度
Blue Ice
短期保存期間
1-2 weeks
短期保存温度
+4°C
長期保存温度
-20°C
分注に関する情報
Upon delivery aliquot
保管に関する情報
Avoid freeze / thaw cycle

補足情報

This supplementary information is collated from multiple sources and compiled automatically.

NUR77 also known as NR4A1 is an orphan nuclear receptor and transcription factor with a molecular mass of around 65 kDa. This protein plays an important role in mediating gene expression by binding DNA at specific response elements. It is expressed in various tissues including the thymus spleen and central nervous system. NUR77 achieves its mechanical function by regulating gene transcription involved in cell proliferation apoptosis and metabolism.
Biological function summary

The functions of NUR77 impact multiple cellular processes that are essential for maintaining cellular homeostasis. As part of its biological roles NUR77 can form complexes with other nuclear receptors and influence gene expression. It is particularly significant in T-cell receptor signaling where it influences the balance between cell survival and cell death. This modulation helps in the regulation of immune functions and cellular development.

Pathways

NUR77 integrates into the MAPK signaling and apoptosis pathways. It interacts with proteins such as Bcl-2 and p53 facilitating cellular responses to stress and developmental cues. In the MAPK pathway NUR77 can modulate transcriptional activities affecting cell proliferation and differentiation while in apoptotic pathways it contributes to the regulation of programmed cell death making it a critical modulator in these contexts.

NUR77 has been associated with cancer and atherosclerosis. Its role in apoptosis makes it a point of interest in cancer research where altered NUR77 expression can influence tumor growth and resistance to therapy. In the context of atherosclerosis aberrant activity of NUR77 affects lipid metabolism and inflammation. Through its link to pathways involving Bcl-2 and p53 NUR77 remains a significant target in both therapeutic research and disease management.

製品プロトコール

For this product, it's our understanding that no specific protocols are required. You can visit:

ターゲットの情報

Orphan nuclear receptor. Binds the NGFI-B response element (NBRE) 5'-AAAGGTCA-3' (PubMed : 18690216, PubMed : 8121493, PubMed : 9315652). Binds 9-cis-retinoic acid outside of its ligand-binding (NR LBD) domain (PubMed : 18690216). Participates in energy homeostasis by sequestrating the kinase STK11 in the nucleus, thereby attenuating cytoplasmic AMPK activation (PubMed : 22983157). Regulates the inflammatory response in macrophages by regulating metabolic adaptations during inflammation, including repressing the transcription of genes involved in the citric acid cycle (TCA) (By similarity). Inhibits NF-kappa-B signaling by binding to low-affinity NF-kappa-B binding sites, such as at the IL2 promoter (PubMed : 15466594). May act concomitantly with NR4A2 in regulating the expression of delayed-early genes during liver regeneration (By similarity). Plays a role in the vascular response to injury (By similarity).. In the cytosol, upon its detection of both bacterial lipopolysaccharide (LPS) and NBRE-containing mitochondrial DNA released by GSDMD pores during pyroptosis, it promotes non-canonical NLRP3 inflammasome activation by stimulating association of NLRP3 and NEK7.
See full target information NR4A1

文献 (4)

Recent publications for all applications. Explore the full list and refine your search

Genes, chromosomes & cancer 63:e70007 PubMed39535842

2024

Differential Expression of Proteins and Genes at the Tumor-Brain Interface in Invasive Meningioma.

Applications

Unspecified application

Species

Unspecified reactive species

Kornwika Senglek,Chinachote Teerapakpinyo,Nutchawan Jittapiromsak,Pakrit Jittapiromsak,Irin Lertparinyaphorn,Paul Scott Thorner,Shanop Shuangshoti

Frontiers in oncology 13:1175183 PubMed37637034

2023

Eph receptor B6 shapes a cold immune microenvironment, inhibiting anti-cancer immunity and immunotherapy response in bladder cancer.

Applications

Unspecified application

Species

Unspecified reactive species

Xiaolong Jia,Dongxu Zhang,Cheng Zhou,Zejun Yan,Zhaohui Jiang,Liping Xie,Junhui Jiang

Journal of biochemical and molecular toxicology 37:e23432 PubMed37352222

2023

Exosomes from hepatitis B virus-infected hepatocytes activate hepatic stellate cells and aggravate liver fibrosis through the miR-506-3p/Nur77 pathway.

Applications

Unspecified application

Species

Unspecified reactive species

Ming Yin,Xiurong Ding,Song Yin,Longmei Wang,Kaiguang Zhang,Yuankun Chen,Rui Liu,Chuanlong Zhu,Wenting Li

Journal of oncology 2022:3236058 PubMed35646111

2022

Targeting the Axl and mTOR Pathway Synergizes Immunotherapy and Chemotherapy to Butylidenephthalide in a Recurrent GBM.

Applications

Unspecified application

Species

Unspecified reactive species

Ching-Ann Liu,Horng-Jyh Harn,Kuan-Pin Chen,Jui-Hao Lee,Shinn-Zong Lin,Tsung-Lang Chiu
View all publications

Abcam product promise

当社は、高品質な試薬を通じてお客様の研究を力強くサポートすることをお約束いたします。ご使用いただく各段階で、常にお客様をサポートできる体制を整えております。万が一、製品が期待通りに機能しない場合は、「Abcam Product Promise」による当社保証制度に基づき、安心してご利用いただけます。
保証に関する詳細については利用規約をご確認ください。

Please note: All products are 'FOR RESEARCH USE ONLY. NOT FOR USE IN DIAGNOSTIC OR THERAPEUTIC PROCEDURES'.

For licensing inquiries, please contact partnerships@abcam.com