JavaScript is disabled in your browser. Please enable JavaScript to view this website.
AB300615

Anti-Nuclear Receptor Corepressor NCoR 抗体 [EPR23834-46]

Anti-Nuclear Receptor Corepressor NCoR antibody [EPR23834-46]

Be the first to review this product! Submit a review

|

(1 Publication)

Rabbit Recombinant Monoclonal Nuclear Receptor Corepressor NCoR antibody. Suitable for IP, WB and reacts with Mouse, Human samples. Cited in 1 publication.

別名を表示する

KIAA1047, NCOR1, Nuclear receptor corepressor 1, N-CoR, N-CoR1

4 Images
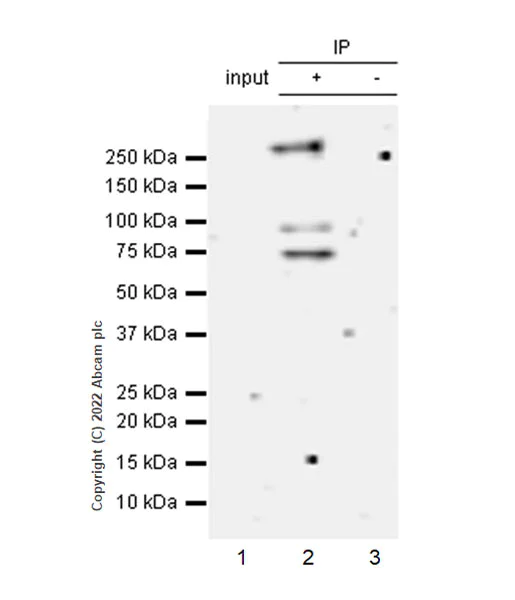
Immunoprecipitation - Anti-Nuclear Receptor Corepressor NCoR antibody [EPR23834-46] (AB300615)
  • IP

Supplier Data

Immunoprecipitation - Anti-Nuclear Receptor Corepressor NCoR antibody [EPR23834-46] (AB300615)

Nuclear Receptor Corepressor NCoR was immunoprecipitated from 0.35 mg NIH/3T3 (mouse embryonic fibroblast) whole cell lysate 10 ug with ab300615 at 1/30 dilution (2ug in 0.35mg lysates). Western blot was performed on the immunoprecipitate using ab300615 at 1/1000 dilution. VeriBlot for IP secondary antibody (HRP) (ab131366) was used at 1/5000 dilution.

Lane 1 : NIH/3T3 (mouse embryonic fibroblast) whole cell lysate 10 ug
Lane 2 : ab300615 IP in NIH/3T3 whole cell lysate
Lane 3 : Rabbit monoclonal IgG (ab172730) instead of ab300615 in NIH/3T3 whole cell lysate

Blocking and dilution buffer and concentration : 5% NFDM/TBST.

Exposure time : 3 minutes

Lysate was freshly made and used for immunoprecipitation immediately to minimize protein degradation.

All lanes:

Immunoprecipitation - Anti-Nuclear Receptor Corepressor NCoR antibody [EPR23834-46] (ab300615) at 1/1000 dilution

Lane 1:

NIH/3T3 (mouse embryonic fibroblast) whole cell lysate 10 μg

Lane 2:

NIH/3T3 whole cell lysate

Secondary

All lanes:

Immunoprecipitation - VeriBlot for IP Detection Reagent (HRP) (<a href='/products/reagents/veriblot-for-ip-detection-reagent-hrp-ab131366'>ab131366</a>) at 1/5000 dilution

Observed band size: 300 kDa

false

Exposure time: 3min

Western blot - Anti-Nuclear Receptor Corepressor NCoR antibody [EPR23834-46] (AB300615)
  • WB

Supplier Data

Western blot - Anti-Nuclear Receptor Corepressor NCoR antibody [EPR23834-46] (AB300615)

Blocking and diluting buffer and concentration : 5% NFDM/TBST.

This blot was developed using a high sensitivity ECL substrate. The high-sensitivity ECL substrate used allows for the detection of proteins in the mid-femtogram range.

All lanes:

Western blot - Anti-Nuclear Receptor Corepressor NCoR antibody [EPR23834-46] (ab300615) at 1/1000 dilution

Lane 1:

Jurkat (human T cell leukemia cell line from peripheral blood) transfected with scrambled siRNA control, whole cell lysate at 20 µg

Lane 2:

Jurkat transfected with siRNA 1 specifically targeting NCOR1, whole cell lysate at 20 µg

Lane 3:

Jurkat transfected with siRNA 2 specifically targeti NCOR1, whole cell lysate at 20 µg

Secondary

All lanes:

Western blot - Goat Anti-Rabbit IgG H&L (HRP) (<a href='/products/secondary-antibodies/goat-rabbit-igg-h-l-hrp-ab97051'>ab97051</a>) at 1/20000 dilution

Observed band size: 300 kDa

true

Exposure time: 15s

Western blot - Anti-Nuclear Receptor Corepressor NCoR antibody [EPR23834-46] (AB300615)
  • WB

Supplier Data

Western blot - Anti-Nuclear Receptor Corepressor NCoR antibody [EPR23834-46] (AB300615)

Blocking and diluting buffer and concentration : 5% NFDM/TBSTLow expression : HCT 116. SW480 and HCT 116 lysates were freshly made and used for Western blotting immediately to minimize protein degradation. Exposure time : 70 seconds

All lanes:

Western blot - Anti-Nuclear Receptor Corepressor NCoR antibody [EPR23834-46] (ab300615) at 1/1000 dilution

Lane 1:

SW480 (human colorectal adenocarcinoma epithelial cell) whole cell lysate 20 μg

Lane 2:

HCT 116 (human colorectal carcinoma epithelial cell) whole cell lysate 20 μg

Secondary

All lanes:

Western blot - Goat Anti-Rabbit IgG H&L (HRP) (<a href='/products/secondary-antibodies/goat-rabbit-igg-h-l-hrp-ab97051'>ab97051</a>) at 1/20000 dilution

Observed band size: 300 kDa

false

Exposure time: 70s

Western blot - Anti-Nuclear Receptor Corepressor NCoR antibody [EPR23834-46] (AB300615)
  • WB

Supplier Data

Western blot - Anti-Nuclear Receptor Corepressor NCoR antibody [EPR23834-46] (AB300615)

Blocking and diluting buffer and concentration : 5% NFDM/TBSTLysates were freshly made and used for Western blotting immediately to minimize protein degradation. Exposure time : 26 seconds

All lanes:

Western blot - Anti-Nuclear Receptor Corepressor NCoR antibody [EPR23834-46] (ab300615) at 1/1000 dilution

All lanes:

NIH/3T3 (mouse embryonic fibroblast) whole cell lysate 20 μg

Secondary

All lanes:

Western blot - Goat Anti-Rabbit IgG H&L (HRP) (<a href='/products/secondary-antibodies/goat-rabbit-igg-h-l-hrp-ab97051'>ab97051</a>) at 1/20000 dilution

Observed band size: 300 kDa

false

Exposure time: 26s

関連する標識済み抗体及び組成の異なる製品 (1)

  • Carrier free

    Anti-Nuclear Receptor Corepressor NCoR antibody [EPR23834-46] - BSA and Azide free

Key facts

宿主種

Rabbit

クローン性

Monoclonal

クローン番号

EPR23834-46

アイソタイプ

IgG

キャリアフリー

No

交差種

Human, Mouse

アプリケーション

WB, IP

applications

免疫原

The exact immunogen used to generate this antibody is proprietary information.

Reactivity data

{ "title": "Reactivity Data", "filters": { "stats": ["", "Species", "Dilution Info", "Notes"], "tabs": { "all-applications": {"fullname" : "All Applications", "shortname": "All Applications"}, "ChIP" : {"fullname" : "ChIP", "shortname":"ChIP"}, "IP" : {"fullname" : "Immunoprecipitation", "shortname":"IP"}, "FlowCytIntra" : {"fullname" : "Flow Cytometry (Intracellular)", "shortname":"Flow Cyt (Intra)"}, "ICCIF" : {"fullname" : "Immunocytochemistry/ Immunofluorescence", "shortname":"ICC/IF"}, "IHCP" : {"fullname" : "Immunohistochemistry (Formalin/PFA-fixed paraffin-embedded sections)", "shortname":"IHC-P"}, "WB" : {"fullname" : "Western blot", "shortname":"WB"} }, "product-promise": { "all": "all", "testedAndGuaranteed": "tested", "guaranteed": "expected", "predicted": "predicted", "notRecommended": "not-recommended" } }, "values": { "Human": { "ChIP-species-checked": "notRecommended", "ChIP-species-dilution-info": "", "ChIP-species-notes": "", "IP-species-checked": "notRecommended", "IP-species-dilution-info": "1/30", "IP-species-notes": "<p></p>", "FlowCytIntra-species-checked": "notRecommended", "FlowCytIntra-species-dilution-info": "", "FlowCytIntra-species-notes": "<p></p>", "ICCIF-species-checked": "notRecommended", "ICCIF-species-dilution-info": "", "ICCIF-species-notes": "<p></p>", "IHCP-species-checked": "notRecommended", "IHCP-species-dilution-info": "", "IHCP-species-notes": "<p></p>", "WB-species-checked": "testedAndGuaranteed", "WB-species-dilution-info": "1/1000", "WB-species-notes": "<p></p>" }, "Mouse": { "ChIP-species-checked": "notRecommended", "ChIP-species-dilution-info": "", "ChIP-species-notes": "<p></p>", "IP-species-checked": "testedAndGuaranteed", "IP-species-dilution-info": "1/30", "IP-species-notes": "<p></p>", "FlowCytIntra-species-checked": "notRecommended", "FlowCytIntra-species-dilution-info": "", "FlowCytIntra-species-notes": "<p></p>", "ICCIF-species-checked": "notRecommended", "ICCIF-species-dilution-info": "", "ICCIF-species-notes": "<p></p>", "IHCP-species-checked": "notRecommended", "IHCP-species-dilution-info": "", "IHCP-species-notes": "<p></p>", "WB-species-checked": "testedAndGuaranteed", "WB-species-dilution-info": "1/1000", "WB-species-notes": "<p></p>" }, "Rat": { "ChIP-species-checked": "notRecommended", "ChIP-species-dilution-info": "", "ChIP-species-notes": "", "IP-species-checked": "notRecommended", "IP-species-dilution-info": "", "IP-species-notes": "", "FlowCytIntra-species-checked": "notRecommended", "FlowCytIntra-species-dilution-info": "", "FlowCytIntra-species-notes": "", "ICCIF-species-checked": "notRecommended", "ICCIF-species-dilution-info": "", "ICCIF-species-notes": "", "IHCP-species-checked": "notRecommended", "IHCP-species-dilution-info": "", "IHCP-species-notes": "<p></p>", "WB-species-checked": "notRecommended", "WB-species-dilution-info": "1/1000", "WB-species-notes": "<p></p>" } } }

製品の詳細

Patented technology
Our RabMAb® technology is a patented hybridoma-based technology for making rabbit monoclonal antibodies. For details on our patents, please refer to RabMAb® patents.

What are the advantages of a recombinant monoclonal antibody?
This product is a recombinant monoclonal antibody, which offers several advantages including:

  • - High batch-to-batch consistency and reproducibility
  • - Improved sensitivity and specificity
  • - Long-term security of supply
  • - Animal-free batch production

For more information, read more on recombinant antibodies.

出荷温度及び保存条件

製品の状態
Liquid
精製方法
Affinity purification Protein A
バッファー組成
pH: 7.2 - 7.4 Preservative: 0.01% Sodium azide Constituents: PBS, 40% Glycerol (glycerin, glycerine), 0.05% BSA
出荷温度
Blue Ice
短期保存期間
1-2 weeks
短期保存温度
+4°C
長期保存温度
-20°C
分注に関する情報
Upon delivery aliquot
保管に関する情報
Avoid freeze / thaw cycle

補足情報

This supplementary information is collated from multiple sources and compiled automatically.

The Nuclear Receptor Corepressor (NCoR) also known as NCoR1 or simply N-CoR is a significant modulator of gene transcription. Mechanically NCoR functions by associating with nuclear receptors to repress transcription. It is a part of a large protein complex with a molecular weight roughly around 270 kDa. Researchers find NCoR expressed in various tissues throughout the human body with especially high expression levels in the liver and central nervous system. The NCoR protein plays an important role in regulating transcriptional repression through its interaction with other corepressors and nuclear receptors.
Biological function summary

NCoR engages with other proteins to maintain transcriptional repression adapting to cellular signaling. It is part of a protein complex known as the NCoR complex that includes histone deacetylases and transcription factors. The corepressors have significant roles in modulating gene expression critical for multiple cellular and physiological processes. The NCoR complex fine-tunes the balance between the activation and repression of target genes influencing developmental metabolic and immune responses.

Pathways

NCoR participates in thyroid hormone signaling and retinoic acid receptor pathways both critical to maintaining homeostasis. Its association with proteins like histone deacetylases enables NCoR to alter chromatin structure and suppress gene transcription. In these pathways NCoR serves as a bridge connecting various nuclear receptors to other corepressors and transcriptional machinery ensuring precise regulation of gene expression involved in growth differentiation and metabolism.

NCoR is linked to cancer and metabolic syndromes. Aberrations in the NCoR function or expression have associations with breast cancer affecting genes that control cell proliferation and apoptosis. Additionally in metabolic diseases such as obesity altered NCoR activity impacts genes involved in energy balance and insulin signaling. Related proteins like the silencing mediator of retinoic acid and thyroid hormone receptor (SMRT) also associate with these disorders emphasizing NCoR's critical role in maintaining normal biological functions and preventing disease.

製品プロトコール

For this product, it's our understanding that no specific protocols are required. You can visit:

ターゲットの情報

Mediates transcriptional repression by certain nuclear receptors (PubMed : 20812024). Part of a complex which promotes histone deacetylation and the formation of repressive chromatin structures which may impede the access of basal transcription factors. Participates in the transcriptional repressor activity produced by BCL6. Recruited by ZBTB7A to the androgen response elements/ARE on target genes, negatively regulates androgen receptor signaling and androgen-induced cell proliferation (PubMed : 20812024). Mediates the NR1D1-dependent repression and circadian regulation of TSHB expression (By similarity). The NCOR1-HDAC3 complex regulates the circadian expression of the core clock gene ARTNL/BMAL1 and the genes involved in lipid metabolism in the liver (By similarity).
See full target information NCOR1

文献 (1)

Recent publications for all applications. Explore the full list and refine your search

Cardiovascular diagnosis and therapy 14:832-847 PubMed39513140

2024

The transcription factor PPARA mediates SIRT1 regulation of NCOR1 to protect damaged heart cells.

Applications

Unspecified application

Species

Unspecified reactive species

Min Wang,Fang Zhou,Yuntao Luo,Xu Deng,Xinyu Chen,Qin Yi
View all publications

Abcam product promise

当社は、高品質な試薬を通じてお客様の研究を力強くサポートすることをお約束いたします。ご使用いただく各段階で、常にお客様をサポートできる体制を整えております。万が一、製品が期待通りに機能しない場合は、「Abcam Product Promise」による当社保証制度に基づき、安心してご利用いただけます。
保証に関する詳細については利用規約をご確認ください。

Please note: All products are 'FOR RESEARCH USE ONLY. NOT FOR USE IN DIAGNOSTIC OR THERAPEUTIC PROCEDURES'.

For licensing inquiries, please contact partnerships@abcam.com