JavaScript is disabled in your browser. Please enable JavaScript to view this website.
AB227520

Anti-NQO1 抗体

Anti-NQO1 antibody

  • JP Deleterious:医薬用外劇物

Be the first to review this product! Submit a review

|

(2 Publications)

Rabbit Polyclonal NQO1 antibody. Suitable for WB, IHC-P and reacts with Mouse, Human samples. Cited in 2 publications. Immunogen corresponding to Recombinant Fragment Protein within Human NQO1.

別名を表示する

DIA4, NMOR1, NQO1, NAD(P)H dehydrogenase [quinone] 1, Azoreductase, DT-diaphorase, Menadione reductase, NAD(P)H:quinone oxidoreductase 1, Phylloquinone reductase, Quinone reductase 1, DTD, QR1

3 Images
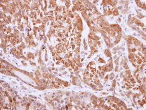
Immunohistochemistry (Formalin/PFA-fixed paraffin-embedded sections) - Anti-NQO1 antibody (AB227520)
  • IHC-P

Supplier Data

Immunohistochemistry (Formalin/PFA-fixed paraffin-embedded sections) - Anti-NQO1 antibody (AB227520)

Paraffin-embedded A549 (human lung carcinoma cell line) xenograft tissue stained for NQO1 using ab227520 at 1/100 dilution in immunohistochemical analysis.

Western blot - Anti-NQO1 antibody (AB227520)
  • WB

Supplier Data

Western blot - Anti-NQO1 antibody (AB227520)

12 % SDS-PAGE gel.

All lanes:

Western blot - Anti-NQO1 antibody (ab227520) at 1/500 dilution

All lanes:

Mouse heart lysate at 50 µg

Predicted band size: 31 kDa

false

Western blot - Anti-NQO1 antibody (AB227520)
  • WB

Supplier Data

Western blot - Anti-NQO1 antibody (AB227520)

12% SDS-PAGE gel.

All lanes:

Western blot - Anti-NQO1 antibody (ab227520) at 1/1000 dilution

Lane 1:

HeLa (human epithelial cell line from cervix adenocarcinoma) whole cell lysate at 30 µg

Lane 2:

HepG2 (human liver hepatocellular carcinoma cell line) whole cell lysate at 30 µg

Predicted band size: 31 kDa

false

Key facts

宿主種

Rabbit

クローン性

Polyclonal

アイソタイプ

IgG

キャリアフリー

No

交差種

Mouse, Human

アプリケーション

IHC-P, WB

applications

免疫原

Recombinant Fragment Protein within Human NQO1. The exact immunogen used to generate this antibody is proprietary information.

P15559

Reactivity data

{ "title": "Reactivity Data", "filters": { "stats": ["", "Species", "Dilution Info", "Notes"], "tabs": { "all-applications": {"fullname" : "All Applications", "shortname": "All Applications"}, "WB" : {"fullname" : "Western blot", "shortname":"WB"}, "IHCP" : {"fullname" : "Immunohistochemistry (Formalin/PFA-fixed paraffin-embedded sections)", "shortname":"IHC-P"} }, "product-promise": { "all": "all", "testedAndGuaranteed": "tested", "guaranteed": "expected", "predicted": "predicted", "notRecommended": "not-recommended" } }, "values": { "Human": { "WB-species-checked": "testedAndGuaranteed", "WB-species-dilution-info": "1/500 - 1/3000", "WB-species-notes": "<p></p>", "IHCP-species-checked": "testedAndGuaranteed", "IHCP-species-dilution-info": "1/100 - 1/1000", "IHCP-species-notes": "<p></p>" }, "Mouse": { "WB-species-checked": "testedAndGuaranteed", "WB-species-dilution-info": "1/500 - 1/3000", "WB-species-notes": "<p></p>", "IHCP-species-checked": "guaranteed", "IHCP-species-dilution-info": "", "IHCP-species-notes": "" }, "Cow": { "WB-species-checked": "predicted", "WB-species-dilution-info": "", "WB-species-notes": "", "IHCP-species-checked": "predicted", "IHCP-species-dilution-info": "", "IHCP-species-notes": "" }, "Pig": { "WB-species-checked": "predicted", "WB-species-dilution-info": "", "WB-species-notes": "", "IHCP-species-checked": "predicted", "IHCP-species-dilution-info": "", "IHCP-species-notes": "" }, "Rhesus monkey": { "WB-species-checked": "predicted", "WB-species-dilution-info": "", "WB-species-notes": "", "IHCP-species-checked": "predicted", "IHCP-species-dilution-info": "", "IHCP-species-notes": "" } } }

下記製品にもご興味をお持ちいただけるかもしれません:

AB184867

NQO1 Activity Assay Kit

0

0 Reviews

製品ページを見る
こちらの製品も推奨する理由

この製品は、同様の実験や関連する研究で広く使用されていることから推奨させていただいております。

お客様の実験に適するかご確認いただくため、必ず製品データシートをご確認いただくことをお勧めいたします。ご不明点等ございましたら、テクニカルサポートチームまでお問い合わせください。

出荷温度及び保存条件

製品の状態
Liquid
精製方法
Affinity purification Immunogen
バッファー組成
pH: 7 Preservative: 0.01% Thimerosal (merthiolate) Constituents: 10% Glycerol (glycerin, glycerine), 1.21% Tris, 0.75% Glycine
出荷温度
Blue Ice
短期保存期間
1-2 weeks
短期保存温度
+4°C
長期保存温度
-20°C
分注に関する情報
Upon delivery aliquot
保管に関する情報
Avoid freeze / thaw cycle

補足情報

This supplementary information is collated from multiple sources and compiled automatically.

NQO1 also known as NAD(P)H:quinone oxidoreductase 1 is a cytosolic enzyme involved in two-electron reduction processes. This protein plays a role in detoxification transforming quinones into less reactive and harmful hydroquinones. NQO1 has a molecular weight of approximately 31 kDa and is present in various tissues with high expression in the liver and lungs. Sometimes called DT-diaphorase it contributes to antioxidant protection within cells and assists in the stabilization of other proteins such as p53.
Biological function summary

NQO1 serves a protective function against oxidative stress by reducing quinones and preventing redox cycling that generates reactive oxygen species. Part of a critical network its function integrates with the cellular defense mechanism assisting in maintaining cellular homeostasis. NQO1 helps metabolize xenobiotics and is associated with phase II detoxification working alongside enzymes like glutathione S-transferases but is not part of a complex.

Pathways

NQO1 is an important component of the antioxidant defense pathway participating in the direct enzymatic reduction of quinones protecting cells from oxidative damage. It also interfaces with the KEAP1-NRF2 pathway where the NQO1 gene is regulated by the NRF2 transcription factor that upregulates its expression in response to oxidative stress. NQO1 interlinks with proteins such as p53 through pathways related to apoptotic regulation and cellular stress responses.

Mutations or altered expression of NQO1 have correlations with cancer development and progression notably in liver and lung cancers. This protein's stability influences cancer cell survival particularly under oxidative stress or chemotherapeutic treatments. NQO1 also exhibits links to Alzheimer's disease where its potential role in neuroprotection against oxidative damage draws investigation relating it to proteins like tau and amyloid-beta.

製品プロトコール

For this product, it's our understanding that no specific protocols are required. You can visit:

ターゲットの情報

Flavin-containing quinone reductase that catalyzes two-electron reduction of quinones to hydroquinones using either NADH or NADPH as electron donors. In a ping-pong kinetic mechanism, the electrons are sequentially transferred from NAD(P)H to flavin cofactor and then from reduced flavin to the quinone, bypassing the formation of semiquinone and reactive oxygen species (By similarity) (PubMed : 8999809, PubMed : 9271353). Regulates cellular redox state primarily through quinone detoxification. Reduces components of plasma membrane redox system such as coenzyme Q and vitamin quinones, producing antioxidant hydroquinone forms. In the process may function as superoxide scavenger to prevent hydroquinone oxidation and facilitate excretion (PubMed : 15102952, PubMed : 8999809, PubMed : 9271353). Alternatively, can activate quinones and their derivatives by generating redox reactive hydroquinones with DNA cross-linking antitumor potential (PubMed : 8999809). Acts as a gatekeeper of the core 20S proteasome known to degrade proteins with unstructured regions. Upon oxidative stress, interacts with tumor suppressors TP53 and TP73 in a NADH-dependent way and inhibits their ubiquitin-independent degradation by the 20S proteasome (PubMed : 15687255, PubMed : 28291250).
See full target information NQO1

文献 (2)

Recent publications for all applications. Explore the full list and refine your search

Molecular medicine (Cambridge, Mass.) 27:147 PubMed34773993

2021

Fibroblast growth factor 21 attenuates salt-sensitive hypertension-induced nephropathy through anti-inflammation and anti-oxidation mechanism.

Applications

Unspecified application

Species

Unspecified reactive species

Hua-Chun Weng,Xin-Yu Lu,Yu-Peng Xu,Yi-Hong Wang,Dan Wang,Yi-Ling Feng,Zhang Chi,Xiao-Qing Yan,Chao-Sheng Lu,Hong-Wei Wang

Journal of cellular physiology 236:392-404 PubMed32519422

2020

Upregulation Sestrin2 protects against hydrogen peroxide-induced oxidative damage bovine mammary epithelial cells via a Keap1-Nrf2/ARE pathway.

Applications

Unspecified application

Species

Unspecified reactive species

Mengjiao Chen,Yumeng Xi,Kunlin Chen,Peng Xiao,Shujie Li,Xiaochun Sun,Zhaoyu Han
View all publications

Abcam product promise

当社は、高品質な試薬を通じてお客様の研究を力強くサポートすることをお約束いたします。ご使用いただく各段階で、常にお客様をサポートできる体制を整えております。万が一、製品が期待通りに機能しない場合は、「Abcam Product Promise」による当社保証制度に基づき、安心してご利用いただけます。
保証に関する詳細については利用規約をご確認ください。

関連製品

Select an associated product type
Alternative Product
Primary Antibodies

AB213239

Anti-NQO1 antibody [EPR21230]

primary-antibodies

nqo1-antibody-epr21230-ab213239

0

(0 reviews)

Alternative Product
Primary Antibodies

AB196465

Alexa Fluor® 488 Anti-NQO1 antibody [EPR3309]

primary-antibodies

alexa-fluor-488-nqo1-antibody-epr3309-ab196465

0

(0 reviews)

Alternative Product
Primary Antibodies

AB80588

Anti-NQO1 antibody [EPR3309]

primary-antibodies

nqo1-antibody-epr3309-ab80588

4

(5 reviews)

Alternative Product
Primary Antibodies

AB239896

Anti-NQO1 antibody [EPR3309] - BSA and Azide free

primary-antibodies

nqo1-antibody-epr3309-bsa-and-azide-free-ab239896

0

(0 reviews)

Alternative Product
Primary Antibodies

AB196196

Alexa Fluor® 647 Anti-NQO1 antibody [EPR3309]

primary-antibodies

alexa-fluor-647-nqo1-antibody-epr3309-ab196196

5

(1 reviews)

Please note: All products are 'FOR RESEARCH USE ONLY. NOT FOR USE IN DIAGNOSTIC OR THERAPEUTIC PROCEDURES'.

For licensing inquiries, please contact partnerships@abcam.com