JavaScript is disabled in your browser. Please enable JavaScript to view this website.
AB228005

Anti-NME4 抗体

Anti-NME4 antibody

  • JP Deleterious:医薬用外劇物

4

(1 Review)

|

(4 Publications)

Rabbit Polyclonal NME4 antibody. Suitable for WB, IHC-P and reacts with Human, Mouse, Rat samples. Cited in 4 publications. Immunogen corresponding to Recombinant Fragment Protein within Human NME4.

別名を表示する

NM23D, NME4, NDK, Nucleoside diphosphate kinase D, nm23-H4, NDPKD

3 Images
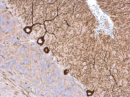
Immunohistochemistry (Formalin/PFA-fixed paraffin-embedded sections) - Anti-NME4 antibody (AB228005)
  • IHC-P

Supplier Data

Immunohistochemistry (Formalin/PFA-fixed paraffin-embedded sections) - Anti-NME4 antibody (AB228005)

Paraffin-embedded rat hind brain tissue stained for NME4 with ab228005 at 1/500 dilution in immunohistochemical analysis.

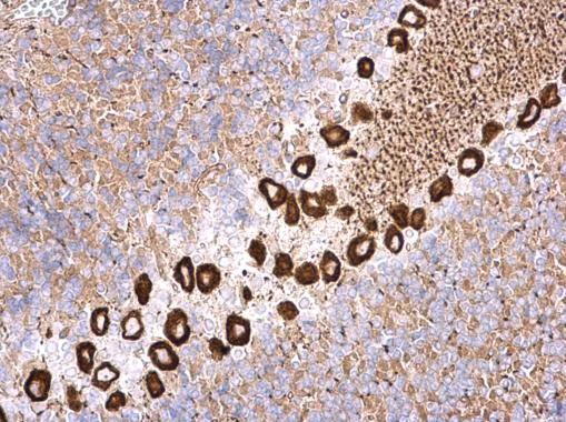
Immunohistochemistry (Formalin/PFA-fixed paraffin-embedded sections) - Anti-NME4 antibody (AB228005)
  • IHC-P

Supplier Data

Immunohistochemistry (Formalin/PFA-fixed paraffin-embedded sections) - Anti-NME4 antibody (AB228005)

Paraffin-embedded mouse hind brain tissue stained for NME4 with ab228005 at 1/500 dilution in immunohistochemical analysis.

Western blot - Anti-NME4 antibody (AB228005)
  • WB

Supplier Data

Western blot - Anti-NME4 antibody (AB228005)

12% SDS-PAGE

All lanes:

Western blot - Anti-NME4 antibody (ab228005) at 1/5000 dilution

Lane 1:

HEK-293T (human epithelial cell line from embryonic kidney transformed with large T antigen) whole cell lysate at 30 µg

Lane 2:

HEK-293T cells transfected with NME4, whole cell lysate at 30 µg

Predicted band size: 20 kDa

true

Key facts

宿主種

Rabbit

クローン性

Polyclonal

アイソタイプ

IgG

キャリアフリー

No

交差種

Mouse, Rat, Human

アプリケーション

IHC-P, WB

applications

免疫原

Recombinant Fragment Protein within Human NME4. The exact immunogen used to generate this antibody is proprietary information.

O00746

Reactivity data

{ "title": "Reactivity Data", "filters": { "stats": ["", "Species", "Dilution Info", "Notes"], "tabs": { "all-applications": {"fullname" : "All Applications", "shortname": "All Applications"}, "WB" : {"fullname" : "Western blot", "shortname":"WB"}, "IHCP" : {"fullname" : "Immunohistochemistry (Formalin/PFA-fixed paraffin-embedded sections)", "shortname":"IHC-P"} }, "product-promise": { "all": "all", "testedAndGuaranteed": "tested", "guaranteed": "expected", "predicted": "predicted", "notRecommended": "not-recommended" } }, "values": { "Human": { "WB-species-checked": "testedAndGuaranteed", "WB-species-dilution-info": "1/1000 - 1/10000", "WB-species-notes": "<p></p>", "IHCP-species-checked": "guaranteed", "IHCP-species-dilution-info": "", "IHCP-species-notes": "" }, "Mouse": { "WB-species-checked": "guaranteed", "WB-species-dilution-info": "", "WB-species-notes": "", "IHCP-species-checked": "testedAndGuaranteed", "IHCP-species-dilution-info": "1/100 - 1/1000", "IHCP-species-notes": "<p></p>" }, "Rat": { "WB-species-checked": "guaranteed", "WB-species-dilution-info": "", "WB-species-notes": "", "IHCP-species-checked": "testedAndGuaranteed", "IHCP-species-dilution-info": "1/100 - 1/1000", "IHCP-species-notes": "<p></p>" }, "Pig": { "WB-species-checked": "predicted", "WB-species-dilution-info": "", "WB-species-notes": "", "IHCP-species-checked": "predicted", "IHCP-species-dilution-info": "", "IHCP-species-notes": "" }, "Rhesus monkey": { "WB-species-checked": "predicted", "WB-species-dilution-info": "", "WB-species-notes": "", "IHCP-species-checked": "predicted", "IHCP-species-dilution-info": "", "IHCP-species-notes": "" } } }

出荷温度及び保存条件

製品の状態
Liquid
精製方法
Affinity purification Immunogen
バッファー組成
pH: 7 Preservative: 0.01% Thimerosal (merthiolate) Constituents: PBS, 20% Glycerol (glycerin, glycerine)
出荷温度
Blue Ice
短期保存期間
1-2 weeks
短期保存温度
+4°C
長期保存温度
-20°C
分注に関する情報
Upon delivery aliquot
保管に関する情報
Avoid freeze / thaw cycle

補足情報

This supplementary information is collated from multiple sources and compiled automatically.

NME4 also known as nucleoside diphosphate kinase D is a mitochondrial protein with a mass of approximately 17 kDa. It is found in the inner mitochondrial membrane and is part of the NDP (nucleoside diphosphate) kinase family. This protein plays a role in transferring gamma-phosphates from nucleoside triphosphates to nucleoside diphosphates facilitating essential cellular energy transactions. NME4's catalytic activity helps maintain the balance and availability of nucleotides within the mitochondria.
Biological function summary

Nucleoside diphosphate kinase activity of NME4 contributes to energy homeostasis in cells. It assists in the generation of nucleoside triphosphates necessary for mitochondrial function and integrity. NME4 operates as part of multimeric complexes within the mitochondria ensuring efficient energy metabolism. Its role extends to contributing to cellular signaling pathways by providing the necessary energy substrates for a variety of cellular responses and activities.

Pathways

Researchers have found that NME4 is involved in the regulation of the mitochondrial apoptotic pathway. It interacts with other proteins involved in apoptosis such as Bcl-2 family members by influencing the mitochondrial outer membrane permeability. Additionally NME4 participates in pathways related to oxidative phosphorylation working alongside other proteins like ATP synthase to optimize energy production and utilization. These interactions underpin its versatility in sustaining cellular energy requirements and influencing cell survival.

Dysfunction in NME4 activity has been linked to mitochondrial diseases and cancer. In particular alterations in NME4 have implications in mitochondrial myopathy where energy production becomes compromised. Similarly cancer studies have shown changes in NME4 expression affect tumor growth and survival often in conjunction with proteins involved in metabolic regulation like p53. Understanding NME4's interactions and modifications can provide insights into its role in these diseases and potential therapeutic targets.

製品プロトコール

For this product, it's our understanding that no specific protocols are required. You can visit:

ターゲットの情報

Major role in the synthesis of nucleoside triphosphates other than ATP. The ATP gamma phosphate is transferred to the NDP beta phosphate via a ping-pong mechanism, using a phosphorylated active-site intermediate. Through the catalyzed exchange of gamma-phosphate between di- and triphosphonucleosides participates in regulation of intracellular nucleotide homeostasis (PubMed : 10799505). Binds to anionic phospholipids, predominantly to cardiolipin; the binding inhibits its phosphotransfer activity (PubMed : 18635542, PubMed : 23150663). Acts as a mitochondria-specific NDK; its association with cardiolipin-containing mitochondrial inner membrane is coupled to respiration suggesting that ADP locally regenerated in the mitochondrion innermembrane space by its activity is directly taken up via ANT ADP/ATP translocase into the matrix space to stimulate respiratory ATP regeneration (PubMed : 18635542). Proposed to increase GTP-loading on dynamin-related GTPase OPA1 in mitochondria (PubMed : 24970086). In vitro can induce liposome cross-linking suggesting that it can cross-link inner and outer membranes to form contact sites, and promotes intermembrane migration of anionic phosphoplipids. Promotes the redistribution of cardiolipin between the mitochondrial inner membrane and outer membrane which is implicated in pro-apoptotic signaling (PubMed : 17028143, PubMed : 18635542, PubMed : 23150663).
See full target information NME4

文献 (4)

Recent publications for all applications. Explore the full list and refine your search

Journal for immunotherapy of cancer 12: PubMed39455097

2024

Leveraging mitochondrial-programmed cell death dynamics to enhance prognostic accuracy and immunotherapy efficacy in lung adenocarcinoma.

Applications

Unspecified application

Species

Unspecified reactive species

Lianmin Zhang,Yanan Cui,Guangyao Zhou,Zhenfa Zhang,Pengpeng Zhang

EMBO reports 25:378-403 PubMed38177901

2024

NME4 mediates metabolic reprogramming and promotes nonalcoholic fatty liver disease progression.

Applications

Unspecified application

Species

Unspecified reactive species

Shaofang Xie,Lei Yuan,Yue Sui,Shan Feng,Hengle Li,Xu Li

Viruses 15: PubMed36851687

2023

HIV-1 Gag Binds the Multi-Aminoacyl-tRNA Synthetase Complex via the EPRS Subunit.

Applications

Unspecified application

Species

Unspecified reactive species

Danni Jin,Yiping Zhu,Heidi L Schubert,Stephen P Goff,Karin Musier-Forsyth

Science signaling 14: PubMed34344832

2021

A genome-wide screen uncovers multiple roles for mitochondrial nucleoside diphosphate kinase D in inflammasome activation.

Applications

Unspecified application

Species

Unspecified reactive species

Orna Ernst,Jing Sun,Bin Lin,Balaji Banoth,Michael G Dorrington,Jonathan Liang,Benjamin Schwarz,Kaitlin A Stromberg,Samuel Katz,Sharat J Vayttaden,Clinton J Bradfield,Nadia Slepushkina,Christopher M Rice,Eugen Buehler,Jaspal S Khillan,Daniel W McVicar,Catharine M Bosio,Clare E Bryant,Fayyaz S Sutterwala,Scott E Martin,Madhu Lal-Nag,Iain D C Fraser
View all publications

Abcam product promise

当社は、高品質な試薬を通じてお客様の研究を力強くサポートすることをお約束いたします。ご使用いただく各段階で、常にお客様をサポートできる体制を整えております。万が一、製品が期待通りに機能しない場合は、「Abcam Product Promise」による当社保証制度に基づき、安心してご利用いただけます。
保証に関する詳細については利用規約をご確認ください。

Please note: All products are 'FOR RESEARCH USE ONLY. NOT FOR USE IN DIAGNOSTIC OR THERAPEUTIC PROCEDURES'.

For licensing inquiries, please contact partnerships@abcam.com