JavaScript is disabled in your browser. Please enable JavaScript to view this website.
AB319162

Anti-NKG2D 抗体 [RM1173]

Anti-NKG2D antibody [RM1173]

Be the first to review this product! Submit a review

|

(0 Publication)

Rabbit Recombinant Multiclonal NKG2D antibody. Suitable for IHC-P, Flow Cyt, IP, WB and reacts with Human samples.

別名を表示する

CD314, D12S2489E, NKG2D, KLRK1, NKG2-D type II integral membrane protein, Killer cell lectin-like receptor subfamily K member 1, NK cell receptor D, NKG2-D-activating NK receptor

12 Images
Immunohistochemistry (Formalin/PFA-fixed paraffin-embedded sections) - Anti-NKG2D antibody [RM1173] (AB319162)
  • IHC-P

Supplier Data

Immunohistochemistry (Formalin/PFA-fixed paraffin-embedded sections) - Anti-NKG2D antibody [RM1173] (AB319162)

Immunohistochemical analysis of paraffin-embedded Human cardiac muscle tissue labeling NKG2D with ab319162 at 1/1000 (0.498 ug/ml) dilution followed by a ready to use LeicaDS9800 (Bond™ Polymer Refine Detection).

Negative control : no staining on human cardiac muscle. The section was incubated with ab319162 for 30 mins at room temperature. The immunostaining was performed on a Leica Biosystems BOND® RX instrument

Counterstained with Hematoxylin.

Secondary antibody only control : Secondary antibody is a ready to use LeicaDS9800 (Bond™ Polymer Refine Detection).

Heat mediated antigen retrieval was performed with Tris-EDTA buffer (pH 9.0 Epitope Retrieval Solution2) for 20 mins

Flow Cytometry - Anti-NKG2D antibody [RM1173] (AB319162)
  • Flow Cyt

Supplier Data

Flow Cytometry - Anti-NKG2D antibody [RM1173] (AB319162)

Flow cytometric analysis of Human PBMC (human peripheral blood mononuclear cell) cells labelling NKG2D with ab319162 at 1/500 dilution (0.1ug) / right compared with a Rabbit monoclonal IgG (ab172730) / Left isotype control and an unlabelled control (cells without incubation with primary antibody and secondary antibody).

Goat Anti-Rabbit IgG (Alexa Fluor® 488 ab150081) at 1/5000 dilution was used as the secondary antibody.

Cells were co-stained with anti human CD3 conjugated to Alexa fluor 647 and anti human CD56 conjugated to BV421.
Gated on viable CD3 negative cells.

Immunohistochemistry (Formalin/PFA-fixed paraffin-embedded sections) - Anti-NKG2D antibody [RM1173] (AB319162)
  • IHC-P

Supplier Data

Immunohistochemistry (Formalin/PFA-fixed paraffin-embedded sections) - Anti-NKG2D antibody [RM1173] (AB319162)

Immunohistochemical analysis of paraffin-embedded Human hodgkin's lymphoma tissue labeling NKG2D with ab319162 at 1/1000 (0.498 ug/ml) dilution followed by a ready to use LeicaDS9800 (Bond™ Polymer Refine Detection).

Positive staining on human Hodgkin's lymphoma. The section was incubated with ab319162 for 30 mins at room temperature. The immunostaining was performed on a Leica Biosystems BOND® RX instrument

Counterstained with Hematoxylin.

Secondary antibody only control : Secondary antibody is a ready to use LeicaDS9800 (Bond™ Polymer Refine Detection).

Heat mediated antigen retrieval was performed with Tris-EDTA buffer (pH 9.0 Epitope Retrieval Solution2) for 20 mins

Flow Cytometry - Anti-NKG2D antibody [RM1173] (AB319162)
  • Flow Cyt

Supplier Data

Flow Cytometry - Anti-NKG2D antibody [RM1173] (AB319162)

Flow cytometric analysis of Human PBMC (human peripheral blood mononuclear cell) cells labelling NKG2D with ab319162 at 1/500 dilution (0.1ug) / right compared with a Rabbit monoclonal IgG (ab172730) / Left isotype control and an unlabelled control (cells without incubation with primary antibody and secondary antibody).

Goat Anti-Rabbit IgG (Alexa Fluor® 488 ab150081) at 1/5000 dilution was used as the secondary antibody.

Cells were co-stained with anti human CD19 conjugated to Alexa Fluor®647 (670/14BP).
gated on viable lymphocytes.

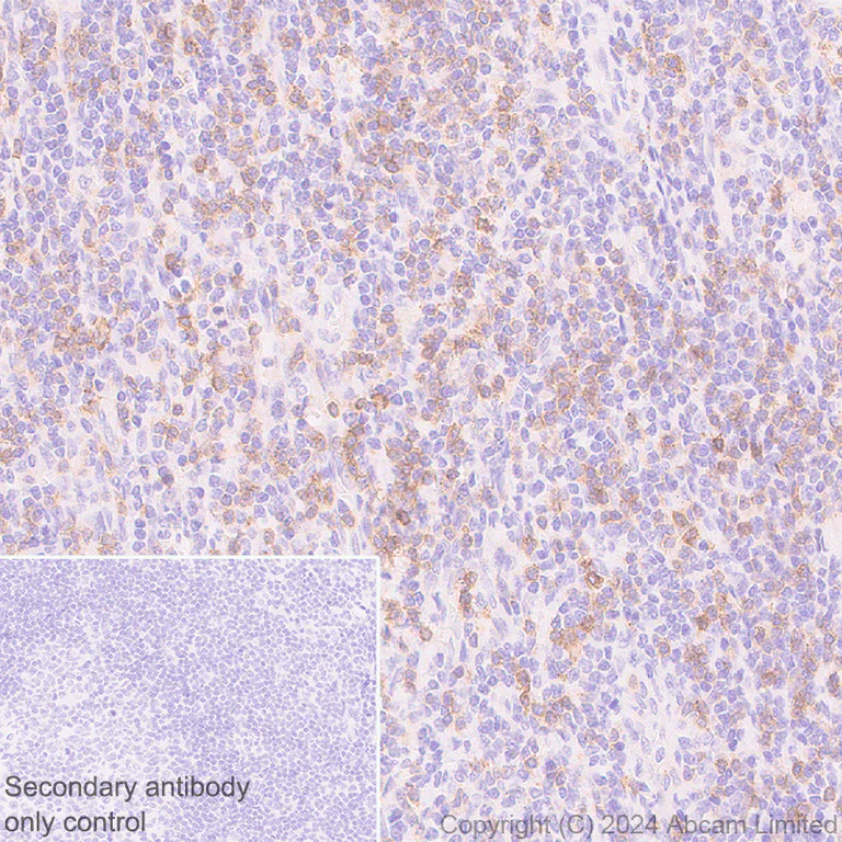
Immunohistochemistry (Formalin/PFA-fixed paraffin-embedded sections) - Anti-NKG2D antibody [RM1173] (AB319162)
  • IHC-P

Supplier Data

Immunohistochemistry (Formalin/PFA-fixed paraffin-embedded sections) - Anti-NKG2D antibody [RM1173] (AB319162)

Immunohistochemical analysis of paraffin-embedded Human non-Hodgkin's lymphoma tissue labeling NKG2D with ab319162 at 1/1000 (0.498 ug/ml) dilution followed by a ready to use LeicaDS9800 (Bond™ Polymer Refine Detection).

Positive staining on human non-Hodgkin's lymphoma. The section was incubated with ab319162 for 30 mins at room temperature. The immunostaining was performed on a Leica Biosystems BOND® RX instrument

Counterstained with Hematoxylin.

Secondary antibody only control : Secondary antibody is a ready to use LeicaDS9800 (Bond™ Polymer Refine Detection).

Heat mediated antigen retrieval was performed with Tris-EDTA buffer (pH 9.0 Epitope Retrieval Solution2) for 20 mins

Immunohistochemistry (Formalin/PFA-fixed paraffin-embedded sections) - Anti-NKG2D antibody [RM1173] (AB319162)
  • IHC-P

Supplier Data

Immunohistochemistry (Formalin/PFA-fixed paraffin-embedded sections) - Anti-NKG2D antibody [RM1173] (AB319162)

Immunohistochemical analysis of paraffin-embedded Human NK/T lymphoma tissue labeling NKG2D with ab319162 at 1/1000 (0.498 ug/ml) dilution followed by a ready to use LeicaDS9800 (Bond™ Polymer Refine Detection).

Positive staining on human NK/T lymphoma. The section was incubated with ab319162 for 30 mins at room temperature. The immunostaining was performed on a Leica Biosystems BOND® RX instrument

Counterstained with Hematoxylin.

Secondary antibody only control : Secondary antibody is a ready to use LeicaDS9800 (Bond™ Polymer Refine Detection).

Heat mediated antigen retrieval was performed with Tris-EDTA buffer (pH 9.0 Epitope Retrieval Solution2) for 20 mins

Immunohistochemistry (Formalin/PFA-fixed paraffin-embedded sections) - Anti-NKG2D antibody [RM1173] (AB319162)
  • IHC-P

Supplier Data

Immunohistochemistry (Formalin/PFA-fixed paraffin-embedded sections) - Anti-NKG2D antibody [RM1173] (AB319162)

Immunohistochemical analysis of paraffin-embedded Human tonsil tissue labeling NKG2D with ab319162 at 1/1000 (0.498 ug/ml) dilution followed by a ready to use LeicaDS9800 (Bond™ Polymer Refine Detection).

Positive staining on human tonsil. The section was incubated with ab319162 for 30 mins at room temperature.
The immunostaining was performed on a Leica Biosystems BOND® RX instrument

Counterstained with Hematoxylin.

Secondary antibody only control : Secondary antibody is a ready to use LeicaDS9800 (Bond™ Polymer Refine Detection).

Heat mediated antigen retrieval was performed with Tris-EDTA buffer (pH 9.0 Epitope Retrieval Solution2) for 20 mins

Flow Cytometry - Anti-NKG2D antibody [RM1173] (AB319162)
  • Flow Cyt

Supplier Data

Flow Cytometry - Anti-NKG2D antibody [RM1173] (AB319162)

Flow cytometric analysis of Human PBMC (human peripheral blood mononuclear cell) cells labelling NKG2D with ab319162 at 1/500 dilution (0.1ug) / right compared with a Rabbit monoclonal IgG (ab172730) / Left isotype control and an unlabelled control (cells without incubation with primary antibody and secondary antibody).

Goat Anti-Rabbit IgG (Alexa Fluor® 488 ab150081) at 1/5000 dilution was used as the secondary antibody.

Cells were co-stained with anti human CD8a conjugated to Pacific Blue (440/50BP).
gated on viable lymphocytes.

Immunoprecipitation - Anti-NKG2D antibody [RM1173] (AB319162)
  • IP

Supplier Data

Immunoprecipitation - Anti-NKG2D antibody [RM1173] (AB319162)

NKG2D was immunoprecipitated from 0.35 mg HuT-78 (human sezary syndrome cutaneous t lymphocyte) whole cell lysate with ab319162 at 1/30 dilution (2ug in 0.35mg lysates). Western blot was performed on the immunoprecipitate using ab319162 at 1/1000 dilution. VeriBlot for IP secondary antibody(HRP)(ab131366) was used at 1/5000 dilution.

Lane 1 : HuT-78 (human sezary syndrome cutaneous t lymphocyte) whole cell lysate
Lane 2 : ab319162 IP in HuT-78 (human sezary syndrome cutaneous t lymphocyte) whole cell lysate
Lane 3 : Rabbit monoclonal IgG (ab172730) instead of ab319162 in HuT-78 whole cell lysate

Blocking and dilution buffer and concentration : 5% NFDM/TBST

All lanes:

Immunoprecipitation - Anti-NKG2D antibody [RM1173] (ab319162) at 1/30 dilution

All lanes:

HuT-78 (human sezary syndrome cutaneous t lymphocyte) whole cell lysate

Secondary

All lanes:

Immunoprecipitation - VeriBlot for IP Detection Reagent (HRP) (<a href='/products/reagents/veriblot-for-ip-detection-reagent-hrp-ab131366'>ab131366</a>) at 1/5000 dilution

false

Exposure time: 58s

Western blot - Anti-NKG2D antibody [RM1173] (AB319162)
  • WB

Supplier Data

Western blot - Anti-NKG2D antibody [RM1173] (AB319162)

Blocking and diluting buffer and concentration : 5% NFDM/TBST.

Negative control : Jurkat (PMID : 10426993)

In Western blot, Anti-GAPDH antibody [EPR16891] - Loading Control (ab181602) staining at 1/200000 dilution.

All lanes:

Western blot - Anti-NKG2D antibody [RM1173] (ab319162) at 1/1000 dilution

Lane 1:

HuT-78 (human Sezary syndrome cutaneous T lymphocyte) whole cell lysate at 20 µg

Lane 2:

Jurkat (human T cell leukemia T lymphocyte from peripheral blood) whole cell lysate at 20 µg

Secondary

All lanes:

Western blot - Goat Anti-Rabbit IgG H&L (HRP) (<a href='/products/secondary-antibodies/goat-rabbit-igg-h-l-hrp-ab97051'>ab97051</a>) at 1/20000 dilution

Observed band size: 35 kDa,36 kDa

false

Exposure time: 180s

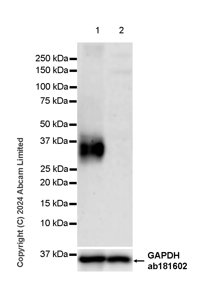
Western blot - Anti-NKG2D antibody [RM1173] (AB319162)
  • WB

Supplier Data

Western blot - Anti-NKG2D antibody [RM1173] (AB319162)

Blocking and diluting buffer and concentration : 5% NFDM/TBST.

Low expression tissue : heart

In Western blot, Anti-GAPDH antibody [EPR16891] - Loading Control (ab181602) staining at 1/200000 dilution.

All lanes:

Western blot - Anti-NKG2D antibody [RM1173] (ab319162) at 1/1000 dilution

Lane 1:

Human tonsil tissue lysate at 20 µg

Lane 2:

Human heart tissue lysate at 20 µg

Secondary

All lanes:

Goat Anti-Rabbit IgG (HRP) with minimal cross-reactivity with human IgG at 1/2000 dilution

Observed band size: 35 kDa,36 kDa

false

Exposure time: 180s

Western blot - Anti-NKG2D antibody [RM1173] (AB319162)
  • WB

Supplier Data

Western blot - Anti-NKG2D antibody [RM1173] (AB319162)

Blocking and diluting buffer and concentration : 5% NFDM/TBST.

NKG2D is a glycoprotein of approximately 35 kDa and detected as a 25-kDa band after treated with N-glycosidase F (PNGase F).

In Western blot, Anti-GAPDH antibody [EPR16891] - Loading Control (ab181602) staining at 1/200000 dilution.

All lanes:

Western blot - Anti-NKG2D antibody [RM1173] (ab319162) at 1/1000 dilution

Lane 1:

Untreated HuT-78 (human Sezary syndrome cutaneous T lymphocyte) whole cell lysate at 15 µg

Lane 2:

HuT-78 whole cell lysate treated with N-glycosidase F (PNGase F) at 15 µg

Secondary

All lanes:

Western blot - Goat Anti-Rabbit IgG H&L (HRP) (<a href='/products/secondary-antibodies/goat-rabbit-igg-h-l-hrp-ab97051'>ab97051</a>) at 1/20000 dilution

Observed band size: 35 kDa,36 kDa

false

Exposure time: 70s

Key facts

宿主種

Rabbit

クローン性

Multiclonal

クローン番号

RM1173

アイソタイプ

IgG

キャリアフリー

No

交差種

Human

アプリケーション

IHC-P, IP, Flow Cyt, WB

applications

免疫原

The exact immunogen used to generate this antibody is proprietary information.

Reactivity data

{ "title": "Reactivity Data", "filters": { "stats": ["", "Species", "Dilution Info", "Notes"], "tabs": { "all-applications": {"fullname" : "All Applications", "shortname": "All Applications"}, "IHCP" : {"fullname" : "Immunohistochemistry (Formalin/PFA-fixed paraffin-embedded sections)", "shortname":"IHC-P"}, "FlowCyt" : {"fullname" : "Flow Cytometry", "shortname":"Flow Cyt"}, "IP" : {"fullname" : "Immunoprecipitation", "shortname":"IP"}, "WB" : {"fullname" : "Western blot", "shortname":"WB"}, "ICCIF" : {"fullname" : "Immunocytochemistry/ Immunofluorescence", "shortname":"ICC/IF"} }, "product-promise": { "all": "all", "testedAndGuaranteed": "tested", "guaranteed": "expected", "predicted": "predicted", "notRecommended": "not-recommended" } }, "values": { "Human": { "IHCP-species-checked": "testedAndGuaranteed", "IHCP-species-dilution-info": "1/1000", "IHCP-species-notes": "<p></p> Perform heat-mediated antigen retrieval with Tris/EDTA buffer pH 9.0 before commencing with IHC staining protocol.", "FlowCyt-species-checked": "testedAndGuaranteed", "FlowCyt-species-dilution-info": "1/500", "FlowCyt-species-notes": "<p></p>", "IP-species-checked": "testedAndGuaranteed", "IP-species-dilution-info": "1/30", "IP-species-notes": "<p></p>", "WB-species-checked": "testedAndGuaranteed", "WB-species-dilution-info": "1/1000", "WB-species-notes": "<p></p>", "ICCIF-species-checked": "notRecommended", "ICCIF-species-dilution-info": "", "ICCIF-species-notes": "<p></p>" }, "Mouse": { "IHCP-species-checked": "notRecommended", "IHCP-species-dilution-info": "", "IHCP-species-notes": "<p></p>", "FlowCyt-species-checked": "notRecommended", "FlowCyt-species-dilution-info": "", "FlowCyt-species-notes": "<p></p>", "IP-species-checked": "notRecommended", "IP-species-dilution-info": "", "IP-species-notes": "", "WB-species-checked": "notRecommended", "WB-species-dilution-info": "", "WB-species-notes": "<p></p>", "ICCIF-species-checked": "notRecommended", "ICCIF-species-dilution-info": "", "ICCIF-species-notes": "" }, "Rat": { "IHCP-species-checked": "notRecommended", "IHCP-species-dilution-info": "", "IHCP-species-notes": "<p></p>", "FlowCyt-species-checked": "notRecommended", "FlowCyt-species-dilution-info": "", "FlowCyt-species-notes": "", "IP-species-checked": "notRecommended", "IP-species-dilution-info": "", "IP-species-notes": "", "WB-species-checked": "notRecommended", "WB-species-dilution-info": "", "WB-species-notes": "<p></p>", "ICCIF-species-checked": "notRecommended", "ICCIF-species-dilution-info": "", "ICCIF-species-notes": "" } } }

製品の詳細

What are recombinant multiclonals?
Recombinant multiclonals are a mixture of recombinant antibodies co-expressed from a library of heavy and light chains. They offer several advantages including:

  • - The sensitivity of polyclonal antibodies by recognising multiple epitopes
  • - High batch-to-batch consistency and reproducibility
  • - Improved sensitivity and specificity
  • - Long-term security of supply
  • - Animal-free batch production

View our range of recombinant multiclonal antibodies.

Patented technology
Our RabMAb® technology is a patented hybridoma-based technology for making rabbit monoclonal antibodies. For details on our patents, please refer to RabMAb® patents.

出荷温度及び保存条件

製品の状態
Liquid
精製方法
Affinity purification Protein A
バッファー組成
pH: 7.2 - 7.4 Preservative: 0.01% Sodium azide Constituents: PBS, 40% Glycerol (glycerin, glycerine), 0.05% BSA
出荷温度
Blue Ice
短期保存期間
1-2 weeks
短期保存温度
+4°C
長期保存温度
-20°C
分注に関する情報
Upon delivery aliquot
保管に関する情報
Avoid freeze / thaw cycle

補足情報

This supplementary information is collated from multiple sources and compiled automatically.

NKG2D also known as natural killer group 2 member D is a type-2 transmembrane receptor with a mass of approximately 42 kDa. Expressed primarily on natural killer (NK) cells CD8+ T cells subsets of CD4+ T cells and some macrophages it recognizes stress-induced ligands presented on target cells. This protein plays an important role in the immune system's recognition and elimination of infected or transformed cells by binding to its ligands which include MHC class I chain-related proteins MICA/B and UL16-binding proteins.
Biological function summary

NKG2D acts as an activating receptor on the cell surface that initiates immune responses leading to cytotoxicity against target cells. It functions as part of a complex involving the adaptor protein DAP10 which transduces activating signals to promote cellular immune responses. This interaction amplifies the activation of immune cells and contributes to the host's defense against tumors and virally infected cells.

Pathways

NKG2D plays a significant role in immune surveillance and signaling pathways. It actively involves in the natural killer (NK) cell-mediated cytotoxicity pathway and the adaptive immune response pathway. The interaction with proteins such as DAP10 is critical for its signaling function contributing to its interaction within these pathways. The signaling through NKG2D directly affects the activation states and responses of immune cells which are vital in immune defense.

NKG2D is implicated in cancer and autoimmune diseases. In cancer overexpression of its ligands on tumor cells makes them susceptible to NKG2D-mediated cell lysis. On the other hand aberrant expression of NKG2D ligands in autoimmune disorders can lead to inappropriate immune activation. The interaction with MICA/B proteins is significant in these conditions emphasizing its importance in both immune surveillance and potential disease pathogenesis.

製品プロトコール

For this product, it's our understanding that no specific protocols are required. You can visit:

ターゲットの情報

Functions as an activating and costimulatory receptor involved in immunosurveillance upon binding to various cellular stress-inducible ligands displayed at the surface of autologous tumor cells and virus-infected cells. Provides both stimulatory and costimulatory innate immune responses on activated killer (NK) cells, leading to cytotoxic activity. Acts as a costimulatory receptor for T-cell receptor (TCR) in CD8(+) T-cell-mediated adaptive immune responses by amplifying T-cell activation. Stimulates perforin-mediated elimination of ligand-expressing tumor cells. Signaling involves calcium influx, culminating in the expression of TNF-alpha. Participates in NK cell-mediated bone marrow graft rejection. May play a regulatory role in differentiation and survival of NK cells. Binds to ligands belonging to various subfamilies of MHC class I-related glycoproteins including MICA, MICB, RAET1E, RAET1G, RAET1L/ULBP6, ULBP1, ULBP2, ULBP3 (ULBP2>ULBP1>ULBP3) and ULBP4.
See full target information KLRK1

Abcam product promise

当社は、高品質な試薬を通じてお客様の研究を力強くサポートすることをお約束いたします。ご使用いただく各段階で、常にお客様をサポートできる体制を整えております。万が一、製品が期待通りに機能しない場合は、「Abcam Product Promise」による当社保証制度に基づき、安心してご利用いただけます。
保証に関する詳細については利用規約をご確認ください。

Please note: All products are 'FOR RESEARCH USE ONLY. NOT FOR USE IN DIAGNOSTIC OR THERAPEUTIC PROCEDURES'.

For licensing inquiries, please contact partnerships@abcam.com