JavaScript is disabled in your browser. Please enable JavaScript to view this website.
AB134113

Anti-Niemann Pick C1 抗体 [EPR5209]

Anti-Niemann Pick C1 antibody [EPR5209]

5

(2 Reviews)

|

(51 Publications)

Anti-Niemann Pick C1 antibody [EPR5209] (ab134113) is a rabbit monoclonal antibody detecting Niemann Pick C1 in Western Blot, Flow Cytometry (Intra), Flow Cytometry, IHC-P, ICC/IF. Suitable for Human, Mouse, Rat.

- KO validated for confirmed specificity
- Biophysical QC for unrivalled batch-batch consistency
- Over 50 publications

別名を表示する

NPC intracellular cholesterol transporter 1, Niemann-Pick C1 protein, NPC1

13 Images
Immunocytochemistry/ Immunofluorescence - Anti-Niemann Pick C1 antibody [EPR5209] (AB134113)
  • ICC/IF

Lab

Immunocytochemistry/ Immunofluorescence - Anti-Niemann Pick C1 antibody [EPR5209] (AB134113)

Immunofluorescent analysis of 4% paraformaldehyde-fixed, 0.1% Triton X-100 permeabilized Neuro-2a (mouse neuroblastoma cell line) cells labeling Niemann Pick C1 with ab134113 at 1/70 followed by Goat anti-rabbit IgG (Alexa Fluor® 488) (ab150077) secondary antibody at 1/500 (green). Confocal image showing cytoplasmic staining on Neuro-2a cell line. The nuclear counterstain is DAPI (blue). Tubulin is detected with ab7291 (anti-Tubulin mouse mAb) at 1/1000 and ab150120 (Alexa Fluor® 594 Goat anti-Mouse secondary) at 1/500 (red).

The negative controls are as follows :
-ve control 1 – ab134113 at 1/70 followed by ab150120 (Alexa Fluor® 594 Goat anti-Mouse secondary) at 1/500.
-ve control 2 - ab7291 (anti-Tubulin mouse mAb) at 1/1000 followed by ab150077 (Alexa Fluor® 488 Goat Anti-Rabbit IgG H&L) at 1/500.

Immunocytochemistry/ Immunofluorescence - Anti-Niemann Pick C1 antibody [EPR5209] (AB134113)
  • ICC/IF

PubMed

Immunocytochemistry/ Immunofluorescence - Anti-Niemann Pick C1 antibody [EPR5209] (AB134113)

Cathepsin B/L inhibition causes NPC disease-like cholesterol accumulation in SH-SY5Y cells.

Confocal microscopy of SH-SY5Y control and PADK treated cells. Cholesterol (filipin staining, white) and NPC1 (ab134113; green).

Image from Cermak S et al., PLoS One. 2016;11(11):e0167428. Fig 3.; doi: 10.1371/journal.pone.0167428. Reproduced under the Creative Commons license http://creativecommons.org/licenses/by/4.0/

Immunocytochemistry/ Immunofluorescence - Anti-Niemann Pick C1 antibody [EPR5209] (AB134113)
  • ICC/IF

PubMed

Immunocytochemistry/ Immunofluorescence - Anti-Niemann Pick C1 antibody [EPR5209] (AB134113)

I1061T NPC1 traffics to autophagosomes

I1061T NPC1 fibroblasts were treated with vehicle or 100 nM bafilomycin A1 (Baf) for 24 h. Fixed cells were stained for LC3 (red), NPC1 (green), and DAPI (blue) then imaged by confocal microscopy. Co-localization is indicated by yellow color in the merged image. Scale bar = 25 μm.

Niemann Pick C1 (NPC1) was detected using ab134113 at 1/200 dilution.

From Figure 4b of Schultz et al.

Schultz et al Nat Commun. 2018; 9: 3671. Published online 2018 Sep 10. doi: 10.1038/s41467-018-06115-2. Reproduced under the Creative Commons Licence http://creativecommons.org/licenses/by/4.0/.

Western blot - Anti-Niemann Pick C1 antibody [EPR5209] (AB134113)
  • WB

Unknown

Western blot - Anti-Niemann Pick C1 antibody [EPR5209] (AB134113)

All lanes:

Western blot - Anti-Niemann Pick C1 antibody [EPR5209] (ab134113) at 1/1000 dilution

Lane 1:

3T3 L1 cell lysate at 10 µg

Lane 2:

L6 (rat skeletal muscle cell line) cell lysate at 10 µg

Lane 3:

HepG2 (human liver hepatocellular carcinoma cell line) cell lysate at 10 µg

Lane 4:

THP-1 (human monocytic leukemia cell line) cell lysate at 10 µg

Lane 5:

HEK-293T (human epithelial cell line from embryonic kidney transformed with large T antigen) cell lysate at 10 µg

Lane 6:

PC-3 (human prostate adenocarcinoma cell line) cell lysate at 10 µg

Lane 7:

Rat liver lysate at 10 µg

Lane 8:

Rat brain lysate at 10 µg

Secondary

All lanes:

Goat anti-rabbit HRP conjugated antibody at 1/2000 dilution

Predicted band size: 142 kDa

Observed band size: 180 kDa

false

Immunohistochemistry (Formalin/PFA-fixed paraffin-embedded sections) - Anti-Niemann Pick C1 antibody [EPR5209] (AB134113)
  • IHC-P

Lab

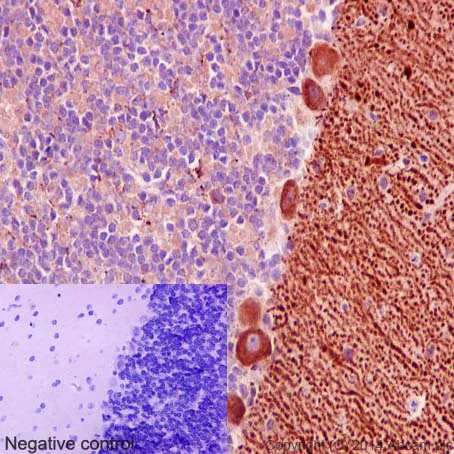
Immunohistochemistry (Formalin/PFA-fixed paraffin-embedded sections) - Anti-Niemann Pick C1 antibody [EPR5209] (AB134113)

Immunohistochemical staining of paraffin embedded rat cerebellum with purified ab134113 at a working dilution of 1 in 50. The secondary antibody used is a HRP polymer for rabbit IgG. The sample is counter-stained with hematoxylin. Antigen retrieval was perfomed using Tris-EDTA buffer, pH 9.0. PBS was used instead of the primary antibody as the negative control, and is shown in the inset.

Immunohistochemistry (Formalin/PFA-fixed paraffin-embedded sections) - Anti-Niemann Pick C1 antibody [EPR5209] (AB134113)
  • IHC-P

Lab

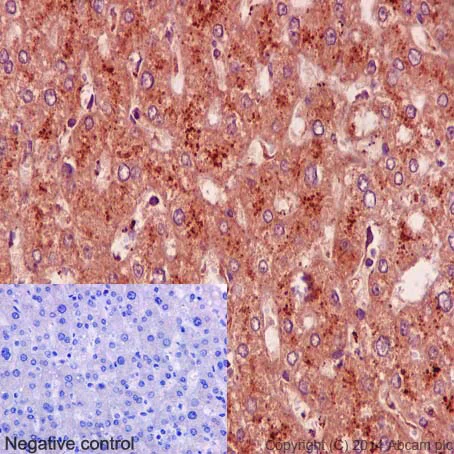
Immunohistochemistry (Formalin/PFA-fixed paraffin-embedded sections) - Anti-Niemann Pick C1 antibody [EPR5209] (AB134113)

Immunohistochemical staining of paraffin embedded human liver with purified ab134113 at a working dilution of 1 in 50. The secondary antibody used is a HRP polymer for rabbit IgG. The sample is counter-stained with hematoxylin. Antigen retrieval was perfomed using Tris-EDTA buffer, pH 9.0. PBS was used instead of the primary antibody as the negative control, and is shown in the inset.

Immunohistochemistry (Formalin/PFA-fixed paraffin-embedded sections) - Anti-Niemann Pick C1 antibody [EPR5209] (AB134113)
  • IHC-P

Unknown

Immunohistochemistry (Formalin/PFA-fixed paraffin-embedded sections) - Anti-Niemann Pick C1 antibody [EPR5209] (AB134113)

Immunohistochemical analysis of paraffin embedded human kidney tissue labelling Niemann Pick C1 with unpurified ab134113 at 1/50.

Perform heat mediated antigen retrieval with citrate buffer pH 6 before commencing with IHC staining protocol.

Immunohistochemistry (Formalin/PFA-fixed paraffin-embedded sections) - Anti-Niemann Pick C1 antibody [EPR5209] (AB134113)
  • IHC-P

Lab

Immunohistochemistry (Formalin/PFA-fixed paraffin-embedded sections) - Anti-Niemann Pick C1 antibody [EPR5209] (AB134113)

Immunohistochemical staining of paraffin embedded mouse liver with purified ab134113 at a working dilution of 1 in 50. The secondary antibody used is a HRP polymer for rabbit IgG. The sample is counter-stained with hematoxylin. Antigen retrieval was perfomed using Tris-EDTA buffer, pH 9.0. PBS was used instead of the primary antibody as the negative control, and is shown in the inset.

Flow Cytometry (Intracellular) - Anti-Niemann Pick C1 antibody [EPR5209] (AB134113)
  • Flow Cyt (Intra)

Lab

Flow Cytometry (Intracellular) - Anti-Niemann Pick C1 antibody [EPR5209] (AB134113)

ab134113 staining Niemann Pick C1 in Neuro-2a (mouse neuroblastoma cell line) by intracellular flow cytometry. Cells were fixed with 4% paraformaldehyde, permabilised with 90% methanol and the sample was incubated with the primary antibody at a dilution of 1/200. A goat anti rabbit IgG (Alexa Fluor® 488) at a dilution of 1/2000 was used as the secondary antibody.

Isoytype control : Rabbit monoclonal IgG (Black)

Unlabeled control : Cell without incubation with primary antibody and secondary antibody (Blue)

Western blot - Anti-Niemann Pick C1 antibody [EPR5209] (AB134113)
  • WB

Lab

Western blot - Anti-Niemann Pick C1 antibody [EPR5209] (AB134113)

Blocking buffer : 5% NFDM/TBST

Dilution buffer : 5% NFDM/TBST

All lanes:

Western blot - Anti-Niemann Pick C1 antibody [EPR5209] (ab134113) at 1/10000 dilution

Lane 1:

HepG2 (human liver hepatocellular carcinoma cell line) cell lysate at 20 µg

Lane 2:

THP-1 (human monocytic leukemia cell line) cell lysate at 20 µg

Lane 3:

HEK-293 (human epithelial cell line from embryonic kidney) cell lysate at 20 µg

Lane 4:

PC-3 (human prostate adenocarcinoma cell line) cell lysate at 20 µg

Secondary

All lanes:

HRP goat anti-rabbit (H+L) at 1/1000 dilution

Predicted band size: 142 kDa

Observed band size: 180 kDa

false

Western blot - Anti-Niemann Pick C1 antibody [EPR5209] (AB134113)
  • WB

Lab

Western blot - Anti-Niemann Pick C1 antibody [EPR5209] (AB134113)

Blocking buffer : 5% NFDM/TBST

Dilution buffer : 5% NFDM/TBST

All lanes:

Western blot - Anti-Niemann Pick C1 antibody [EPR5209] (ab134113) at 1/10000 dilution

Lane 1:

3T3-L1 cell lysate at 20 µg

Lane 2:

L6 (rat skeletal muscle cell line) cell lysate at 20 µg

Lane 3:

Rat tissue lysate at 20 µg

Secondary

All lanes:

HRP goat anti-rabbit (H+L) at 1/1000 dilution

Predicted band size: 142 kDa

Observed band size: 180 kDa

false

Western blot - Anti-Niemann Pick C1 antibody [EPR5209] (AB134113)
  • WB

Lab

Western blot - Anti-Niemann Pick C1 antibody [EPR5209] (AB134113)

Lanes 1 - 4 : Merged signal (red and green). Green - ab134113 observed at 180 kDa. Red - loading control, ab9484, observed at 37 kDa.

ab134113 was shown to specifically react with Niemann Pick C1 in wild-type HAP1 cells as signal was lost in NPC1 (Niemann Pick C1) knockout cells. Wild-type and NPC1 (Niemann Pick C1) knockout samples were subjected to SDS-PAGE. ab134113 and ab9484 (Mouse anti-GAPDH loading control) were incubated overnight at 4°C at 1/1000 dilution and 1/20000 dilution respectively. Blots were developed with Goat anti-Rabbit IgG H&L (IRDye® 800CW) preabsorbed ab216773 and Goat anti-Mouse IgG H&L (IRDye® 680RD) preabsorbed ab216776 secondary antibodies at 1/20000 dilution for 1 hour at room temperature before imaging.

All lanes:

Western blot - Anti-Niemann Pick C1 antibody [EPR5209] (ab134113) at 1/1000 dilution

Lane 1:

Wild-type HAP1 whole cell lysate at 20 µg

Lane 2:

NPC1 (Niemann Pick C1) knockout HAP1 whole cell lysate at 20 µg

Lane 3:

HEK293 whole cell lysate at 20 µg

Lane 4:

HepG2 whole cell lysate at 20 µg

Predicted band size: 142 kDa

false

OI-RD Scanning - Anti-Niemann Pick C1 antibody [EPR5209] (AB134113)
  • OI-RD Scanning

Unknown

OI-RD Scanning - Anti-Niemann Pick C1 antibody [EPR5209] (AB134113)

We have systematically measured KD (the equilibrium dissociation constant between the antibody and its antigen), of more than 840 recombinant antibodies to assess not only their individual KD values but also to see the average affinity of antibody. Based on the comparison with published literature values for mouse monoclonal antibodies, Recombinant antibodies appear to be on average 1-2 order of magnitude higher affinity.

関連する標識済み抗体及び組成の異なる製品 (8)

  • Carrier free

    Anti-Niemann Pick C1 antibody [EPR5209] - BSA and Azide free

  • 660 APC

    APC Anti-Niemann Pick C1 antibody [EPR5209]

  • 519 Alexa Fluor® 488

    Alexa Fluor® 488 Anti-Niemann Pick C1 antibody [EPR5209]

  • 617 Alexa Fluor® 594

    Alexa Fluor® 594 Anti-Niemann Pick C1 antibody [EPR5209]

  • 665 Alexa Fluor® 647

    Alexa Fluor® 647 Anti-Niemann Pick C1 antibody [EPR5209]

  • 578 PE

    PE Anti-Niemann Pick C1 antibody [EPR5209]

  • 565 Alexa Fluor® 555

    Alexa Fluor® 555 Anti-Niemann Pick C1 antibody [EPR5209]

  • 775 Alexa Fluor® 750

    Alexa Fluor® 750 Anti-Niemann Pick C1 antibody [EPR5209]

Key facts

宿主種

Rabbit

クローン性

Monoclonal

クローン番号

EPR5209

アイソタイプ

IgG

キャリアフリー

No

交差種

Mouse, Rat, Human

アプリケーション

Flow Cyt (Intra), WB, ICC/IF, IHC-P

applications

免疫原

The exact immunogen used to generate this antibody is proprietary information.

Reactivity data

{ "title": "Reactivity Data", "filters": { "stats": ["", "Species", "Dilution Info", "Notes"], "tabs": { "all-applications": {"fullname" : "All Applications", "shortname": "All Applications"}, "IHCP" : {"fullname" : "Immunohistochemistry (Formalin/PFA-fixed paraffin-embedded sections)", "shortname":"IHC-P"}, "WB" : {"fullname" : "Western blot", "shortname":"WB"}, "ICCIF" : {"fullname" : "Immunocytochemistry/ Immunofluorescence", "shortname":"ICC/IF"}, "FlowCytIntra" : {"fullname" : "Flow Cytometry (Intracellular)", "shortname":"Flow Cyt (Intra)"} }, "product-promise": { "all": "all", "testedAndGuaranteed": "tested", "guaranteed": "expected", "predicted": "predicted", "notRecommended": "not-recommended" } }, "values": { "Human": { "IHCP-species-checked": "testedAndGuaranteed", "IHCP-species-dilution-info": "1/50 - 1/100", "IHCP-species-notes": "<p></p> Perform heat-mediated antigen retrieval with citrate buffer pH 6 before commencing with IHC staining protocol.", "WB-species-checked": "testedAndGuaranteed", "WB-species-dilution-info": "1/2000 - 1/10000", "WB-species-notes": "<p></p>", "ICCIF-species-checked": "guaranteed", "ICCIF-species-dilution-info": "", "ICCIF-species-notes": "", "FlowCytIntra-species-checked": "guaranteed", "FlowCytIntra-species-dilution-info": "", "FlowCytIntra-species-notes": "" }, "Mouse": { "IHCP-species-checked": "testedAndGuaranteed", "IHCP-species-dilution-info": "1/50 - 1/100", "IHCP-species-notes": "<p></p> Perform heat-mediated antigen retrieval with citrate buffer pH 6 before commencing with IHC staining protocol.", "WB-species-checked": "testedAndGuaranteed", "WB-species-dilution-info": "1/2000 - 1/10000", "WB-species-notes": "<p></p>", "ICCIF-species-checked": "testedAndGuaranteed", "ICCIF-species-dilution-info": "1/70", "ICCIF-species-notes": "<p></p>", "FlowCytIntra-species-checked": "testedAndGuaranteed", "FlowCytIntra-species-dilution-info": "1/200", "FlowCytIntra-species-notes": "<p><a href='/products/primary-antibodies/rabbit-igg-monoclonal-epr25a-isotype-control-ab172730'>ab172730</a> - Rabbit monoclonal IgG, is suitable for use as an isotype control with this antibody.</p>" }, "Rat": { "IHCP-species-checked": "testedAndGuaranteed", "IHCP-species-dilution-info": "1/50 - 1/100", "IHCP-species-notes": "<p></p> Perform heat-mediated antigen retrieval with citrate buffer pH 6 before commencing with IHC staining protocol.", "WB-species-checked": "guaranteed", "WB-species-dilution-info": "", "WB-species-notes": "", "ICCIF-species-checked": "guaranteed", "ICCIF-species-dilution-info": "", "ICCIF-species-notes": "", "FlowCytIntra-species-checked": "guaranteed", "FlowCytIntra-species-dilution-info": "", "FlowCytIntra-species-notes": "" } } }

下記製品にもご興味をお持ちいただけるかもしれません:

AB65390

Cholesterol Assay Kit - HDL and LDL/VLDL

4

10 Reviews

製品ページを見る
こちらの製品も推奨する理由

この製品は、同様の実験や関連する研究で広く使用されていることから推奨させていただいております。

お客様の実験に適するかご確認いただくため、必ず製品データシートをご確認いただくことをお勧めいたします。ご不明点等ございましたら、テクニカルサポートチームまでお問い合わせください。

製品の詳細

出荷温度及び保存条件

製品の状態
Liquid
精製方法
Affinity purification Protein A
バッファー組成
pH: 7.2 - 7.4 Preservative: 0.01% Sodium azide Constituents: 59% PBS, 40% Glycerol (glycerin, glycerine), 0.05% BSA
出荷温度
Blue Ice
短期保存温度
+4°C
長期保存温度
-20°C
保管に関する情報
Stable for 12 months at -20°C

補足情報

This supplementary information is collated from multiple sources and compiled automatically.

Niemann Pick C1 also known as NPC1 or C1 protein is an integral membrane protein involved in cholesterol and lipid transport within cells. It is located in late endosomes and lysosomes and plays a role in intracellular cholesterol traffic. The NPC1 protein has a molecular weight of approximately 170 kDa. It is expressed in various tissues with high expression levels in the liver brain and spleen.
Biological function summary

This protein acts in the movement of lipids and cholesterol through cellular compartments. NPC1 functions as part of a protein complex that includes NPC2 which works to mobilize cholesterol from lysosomes to other areas in the cell where it is further processed or stored. This transport mechanism is necessary to maintain cellular lipid homeostasis and proper cellular functions.

Pathways

NPC1 integrates into the cholesterol trafficking pathway and plays an essential part in intracellular lipid regulation. It interacts with proteins involved in cholesterol metabolism such as sterol regulatory element-binding proteins (SREBPs). These interactions ensure that cholesterol distribution within the cell remains balanced and adjusts to metabolic needs. The proper function of NPC1 in these pathways is necessary for maintaining cell health and homeostasis.

NPC1 mutations are directly linked to Niemann-Pick disease type C a severe lipid storage disorder. This condition is characterized by the accumulation of cholesterol and other lipids in lysosomes leading to neurological and hepatic dysfunction. NPC1's role in this disease involves disrupted cholesterol trafficking which is critical for cellular lipid homeostasis. Additionally NPC2 protein is also affected in this disorder as both work together in the cholesterol transport process.

製品プロトコール

For this product, it's our understanding that no specific protocols are required. You can visit:

ターゲットの情報

Intracellular cholesterol transporter which acts in concert with NPC2 and plays an important role in the egress of cholesterol from the endosomal/lysosomal compartment (PubMed : 10821832, PubMed : 12554680, PubMed : 18772377, PubMed : 27238017, PubMed : 9211849, PubMed : 9927649). Unesterified cholesterol that has been released from LDLs in the lumen of the late endosomes/lysosomes is transferred by NPC2 to the cholesterol-binding pocket in the N-terminal domain of NPC1 (PubMed : 18772377, PubMed : 19563754, PubMed : 27238017, PubMed : 27378690, PubMed : 28784760, PubMed : 9211849, PubMed : 9927649). Cholesterol binds to NPC1 with the hydroxyl group buried in the binding pocket (PubMed : 19563754). Binds oxysterol with higher affinity than cholesterol. May play a role in vesicular trafficking in glia, a process that may be crucial for maintaining the structural and functional integrity of nerve terminals (Probable). Inhibits cholesterol-mediated mTORC1 activation throught its interaction with SLC38A9 (PubMed : 28336668).. (Microbial infection) Acts as an endosomal entry receptor for ebolavirus.
See full target information NPC intracellular cholesterol transporter 1

文献 (51)

Recent publications for all applications. Explore the full list and refine your search

Cells 12: PubMed37947642

2023

Loss of Lipid Carrier ApoE Exacerbates Brain Glial and Inflammatory Responses after Lysosomal GBA1 Inhibition.

Applications

Unspecified application

Species

Unspecified reactive species

Kyle J Connolly,Juliette Margaria,Erika Di Biase,Oliver Cooper,Penelope J Hallett,Ole Isacson

International journal of molecular sciences 24: PubMed37834165

2023

Cyclodextrin-Mediated Cholesterol Depletion Induces Adiponectin Secretion in 3T3-L1 Adipocytes.

Applications

Unspecified application

Species

Unspecified reactive species

Yu-Ting Chiang,Ying-Yu Wu,Yu-Chun Lin,Yu-Yao Huang,Juu-Chin Lu

Nature communications 14:3964 PubMed37407594

2023

The cholesterol transporter NPC1 is essential for epigenetic regulation and maturation of oligodendrocyte lineage cells.

Applications

Unspecified application

Species

Unspecified reactive species

Thaddeus J Kunkel,Alice Townsend,Kyle A Sullivan,Jean Merlet,Edward H Schuchman,Daniel A Jacobson,Andrew P Lieberman

ACS infectious diseases 9:1064-1077 PubMed37053583

2023

Sphingosine Kinases Promote Ebola Virus Infection and Can Be Targeted to Inhibit Filoviruses, Coronaviruses, and Arenaviruses Using Late Endocytic Trafficking to Enter Cells.

Applications

Unspecified application

Species

Unspecified reactive species

Corina M Stewart,Yuxia Bo,Kathy Fu,Mable Chan,Robert Kozak,Kim Yang-Ping Apperley,Geneviève Laroche,Redaet Daniel,André M Beauchemin,Gary Kobinger,Darwyn Kobasa,Marceline Côté

Frontiers in molecular neuroscience 16:1078634 PubMed37008782

2023

Severe neurometabolic phenotype in zebrafish with a C-terminal mutation.

Applications

Unspecified application

Species

Unspecified reactive species

Ana Quelle-Regaldie,Nerea Gandoy-Fieiras,Paula Rodríguez-Villamayor,Sandra Maceiras,Ana Paula Losada,Mónica Folgueira,Pablo Cabezas-Sáinz,Antón Barreiro-Iglesias,María Villar-López,María Isabel Quiroga-Berdeal,Laura Sánchez,María Jesús Sobrido

Nature communications 14:870 PubMed36797266

2023

Spatial proteomics reveals secretory pathway disturbances caused by neuropathy-associated TECPR2.

Applications

Unspecified application

Species

Unspecified reactive species

Karsten Nalbach,Martina Schifferer,Debjani Bhattacharya,Hung Ho-Xuan,Wei Chou Tseng,Luis A Williams,Alexandra Stolz,Stefan F Lichtenthaler,Zvulun Elazar,Christian Behrends

JCI insight 7: PubMed36301667

2022

Species-specific differences in NPC1 protein trafficking govern therapeutic response in Niemann-Pick type C disease.

Applications

Unspecified application

Species

Unspecified reactive species

Mark L Schultz,Kylie J Schache,Ruth D Azaria,Esmée Q Kuiper,Steven Erwood,Evgueni A Ivakine,Nicole Y Farhat,Forbes D Porter,Koralege C Pathmasiri,Stephanie M Cologna,Michael D Uhler,Andrew P Lieberman

Molecular pharmaceutics 19:3987-3999 PubMed36125338

2022

mRNA Treatment Rescues Niemann-Pick Disease Type C1 in Patient Fibroblasts.

Applications

Unspecified application

Species

Unspecified reactive species

Denzil Furtado,Christina Cortez-Jugo,Ya Hui Hung,Ashley I Bush,Frank Caruso

iScience 25:104941 PubMed36065186

2022

Activation of mitochondrial TRAP1 stimulates mitochondria-lysosome crosstalk and correction of lysosomal dysfunction.

Applications

Unspecified application

Species

Unspecified reactive species

Fannie W Chen,Joanna P Davies,Raul Calvo,Jagruti Chaudhari,Georgia Dolios,Mercedes K Taylor,Samarjit Patnaik,Jean Dehdashti,Rebecca Mull,Patricia Dranchack,Amy Wang,Xin Xu,Emma Hughes,Noel Southall,Marc Ferrer,Rong Wang,Juan J Marugan,Yiannis A Ioannou

Acta pharmaceutica Sinica. B 12:4378-4389 PubMed36561997

2022

Repurposing of berbamine hydrochloride to inhibit Ebola virus by targeting viral glycoprotein.

Applications

Unspecified application

Species

Unspecified reactive species

Dongrong Yi,Quanjie Li,Han Wang,Kai Lv,Ling Ma,Yujia Wang,Jing Wang,Yongxin Zhang,Mingliang Liu,Xiaoyu Li,Jianxun Qi,Yi Shi,George F Gao,Shan Cen
View all publications

Abcam product promise

当社は、高品質な試薬を通じてお客様の研究を力強くサポートすることをお約束いたします。ご使用いただく各段階で、常にお客様をサポートできる体制を整えております。万が一、製品が期待通りに機能しない場合は、「Abcam Product Promise」による当社保証制度に基づき、安心してご利用いただけます。
保証に関する詳細については利用規約をご確認ください。

関連製品

Select an associated product type
Alternative Product
Primary Antibodies

AB106534

Anti-Niemann Pick C1 antibody

primary-antibodies

niemann-pick-c1-antibody-ab106534

0

(0 reviews)

Please note: All products are 'FOR RESEARCH USE ONLY. NOT FOR USE IN DIAGNOSTIC OR THERAPEUTIC PROCEDURES'.

For licensing inquiries, please contact partnerships@abcam.com