JavaScript is disabled in your browser. Please enable JavaScript to view this website.
AB228587

Anti-NFkB Inducing Kinase NIK 抗体

Anti-NFkB Inducing Kinase NIK antibody

  • JP Hazardous:医薬用外毒物
  • JP Deleterious:医薬用外劇物

Be the first to review this product! Submit a review

|

(1 Publication)

Rabbit Polyclonal NFkB Inducing Kinase NIK antibody. Suitable for IHC-P, ICC/IF and reacts with Mouse, Human samples. Cited in 1 publication. Immunogen corresponding to Recombinant Fragment Protein within Human MAP3K14.

別名を表示する

NIK, MAP3K14, Mitogen-activated protein kinase kinase kinase 14, NF-kappa-beta-inducing kinase, Serine/threonine-protein kinase NIK, HsNIK

2 Images
Immunocytochemistry/ Immunofluorescence - Anti-NFkB Inducing Kinase NIK antibody (AB228587)
  • ICC/IF

Unknown

Immunocytochemistry/ Immunofluorescence - Anti-NFkB Inducing Kinase NIK antibody (AB228587)

K562 (human chronic myelogenous leukemia cell line from bone marrow ) cells stained for NFkB Inducing Kinase NIK (green) using ab228587 at 1/500 dilution in ICC/IF. Cells were fixed in ice-cold methanol for 5 minutes.

Blue : Hoechst 33342 staining.

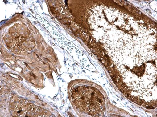
Immunohistochemistry (Formalin/PFA-fixed paraffin-embedded sections) - Anti-NFkB Inducing Kinase NIK antibody (AB228587)
  • IHC-P

Supplier Data

Immunohistochemistry (Formalin/PFA-fixed paraffin-embedded sections) - Anti-NFkB Inducing Kinase NIK antibody (AB228587)

Paraffin-embedded mouse prostate tissue stained for NFkB Inducing Kinase NIK with ab228587 at 1/500 dilution in immunohistochemical analysis.

Key facts

宿主種

Rabbit

クローン性

Polyclonal

アイソタイプ

IgG

キャリアフリー

No

交差種

Mouse, Human

アプリケーション

IHC-P, ICC/IF

applications

免疫原

Recombinant Fragment Protein within Human MAP3K14. The exact immunogen used to generate this antibody is proprietary information.

Q99558

Reactivity data

{ "title": "Reactivity Data", "filters": { "stats": ["", "Species", "Dilution Info", "Notes"], "tabs": { "all-applications": {"fullname" : "All Applications", "shortname": "All Applications"}, "IHCP" : {"fullname" : "Immunohistochemistry (Formalin/PFA-fixed paraffin-embedded sections)", "shortname":"IHC-P"}, "ICCIF" : {"fullname" : "Immunocytochemistry/ Immunofluorescence", "shortname":"ICC/IF"} }, "product-promise": { "all": "all", "testedAndGuaranteed": "tested", "guaranteed": "expected", "predicted": "predicted", "notRecommended": "not-recommended" } }, "values": { "Human": { "IHCP-species-checked": "guaranteed", "IHCP-species-dilution-info": "", "IHCP-species-notes": "", "ICCIF-species-checked": "testedAndGuaranteed", "ICCIF-species-dilution-info": "1/100 - 1/1000", "ICCIF-species-notes": "<p></p>" }, "Mouse": { "IHCP-species-checked": "testedAndGuaranteed", "IHCP-species-dilution-info": "1/100 - 1/1000", "IHCP-species-notes": "<p></p>", "ICCIF-species-checked": "guaranteed", "ICCIF-species-dilution-info": "", "ICCIF-species-notes": "" }, "Rat": { "IHCP-species-checked": "predicted", "IHCP-species-dilution-info": "", "IHCP-species-notes": "", "ICCIF-species-checked": "predicted", "ICCIF-species-dilution-info": "", "ICCIF-species-notes": "" }, "Cow": { "IHCP-species-checked": "predicted", "IHCP-species-dilution-info": "", "IHCP-species-notes": "", "ICCIF-species-checked": "predicted", "ICCIF-species-dilution-info": "", "ICCIF-species-notes": "" }, "Rhesus monkey": { "IHCP-species-checked": "predicted", "IHCP-species-dilution-info": "", "IHCP-species-notes": "", "ICCIF-species-checked": "predicted", "ICCIF-species-dilution-info": "", "ICCIF-species-notes": "" } } }

出荷温度及び保存条件

製品の状態
Liquid
精製方法
Affinity purification Immunogen
バッファー組成
pH: 7 Preservative: 0.01% Thimerosal (merthiolate) Constituents: PBS, 20% Glycerol (glycerin, glycerine)
出荷温度
Blue Ice
短期保存期間
1-2 weeks
短期保存温度
+4°C
長期保存温度
-20°C
分注に関する情報
Upon delivery aliquot
保管に関する情報
Avoid freeze / thaw cycle

製品プロトコール

For this product, it's our understanding that no specific protocols are required. You can visit:

ターゲットの情報

Lymphotoxin beta-activated kinase which seems to be exclusively involved in the activation of NF-kappa-B and its transcriptional activity. Phosphorylates CHUK/IKKA, thereby promoting proteolytic processing of NFKB2/P100, which leads to NF-kappa-B activation via the non-canonical pathway (PubMed : 25406581, PubMed : 29230214). Has an essential role in the non-canonical NF-kappa-B signaling that regulates genes encoding molecules involved in B-cell survival, lymphoid organogenesis, and immune response (PubMed : 25406581). Could act in a receptor-selective manner.
See full target information MAP3K14

文献 (1)

Recent publications for all applications. Explore the full list and refine your search

Oncogene 41:782-796 PubMed34853466

2021

GTF2E2 is a novel biomarker for recurrence after surgery and promotes progression of esophageal squamous cell carcinoma via miR-139-5p/GTF2E2/FUS axis.

Applications

Unspecified application

Species

Unspecified reactive species

Yujie Zhang,Yuxin Zhang,Bo Ai,Juejun Gong,Yichen Li,Shiying Yu,Xiuyu Cai,Li Zhang
View all publications

Abcam product promise

当社は、高品質な試薬を通じてお客様の研究を力強くサポートすることをお約束いたします。ご使用いただく各段階で、常にお客様をサポートできる体制を整えております。万が一、製品が期待通りに機能しない場合は、「Abcam Product Promise」による当社保証制度に基づき、安心してご利用いただけます。
保証に関する詳細については利用規約をご確認ください。

Please note: All products are 'FOR RESEARCH USE ONLY. NOT FOR USE IN DIAGNOSTIC OR THERAPEUTIC PROCEDURES'.

For licensing inquiries, please contact partnerships@abcam.com