JavaScript is disabled in your browser. Please enable JavaScript to view this website.
AB223845

Anti-NFE2 抗体 [EPR20463]

Anti-NFE2 antibody [EPR20463]

Be the first to review this product! Submit a review

|

(1 Publication)

Rabbit Recombinant Monoclonal NFE2 antibody. Suitable for WB, Flow Cyt (Intra), IHC-P and reacts with Human samples. Cited in 1 publication.

別名を表示する

Transcription factor NF-E2 45 kDa subunit, Leucine zipper protein NF-E2, p45 NF-E2, NFE2

4 Images
Immunohistochemistry (Formalin/PFA-fixed paraffin-embedded sections) - Anti-NFE2 antibody [EPR20463] (AB223845)
  • IHC-P

Supplier Data

Immunohistochemistry (Formalin/PFA-fixed paraffin-embedded sections) - Anti-NFE2 antibody [EPR20463] (AB223845)

Immunohistochemical analysis of paraffin-embedded malignant lymphoma of bone marrow tissue labeling NFE2 with ab223845 at 1/250 dilution followed by Goat Anti-Rabbit IgG H&L (HRP) Ready to use. Nuclear staining on a subset of cells of malignant lymphoma of bone marrow is observed. Counter stained with hematoxylin.

Secondary antibody only control : Used PBS instead of primary antibody secondary antibody is Goat Anti-Rabbit IgG H&L (HRP) Ready to use.

Perform heat mediated antigen retrieval with Tris/EDTA buffer pH 9.0 before commencing with IHC staining protocol.

Flow Cytometry (Intracellular) - Anti-NFE2 antibody [EPR20463] (AB223845)
  • Flow Cyt (Intra)

Supplier Data

Flow Cytometry (Intracellular) - Anti-NFE2 antibody [EPR20463] (AB223845)

Intracellular flow cytometric analysis of 4% paraformaldehyde-fixed, 90% methanol-permeabilized HEL (human bone marrow erythroleukemia) cell line labeling NFE2 with ab223845 at 1/400 (red) compared with a Rabbit IgG, monoclonal [EPR25A] - Isotype Control (ab172730) (black) and an unlabelled control (cells without incubation with primary antibody and secondary antibody) (blue).

Goat Anti-Rabbit IgG H&L (Alexa Fluor® 488) (ab150077), at 1/2000 dilution was used as the secondary antibody.

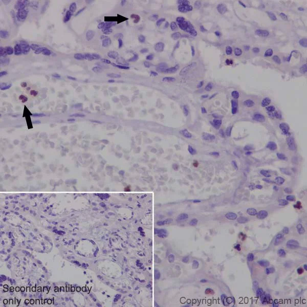
Immunohistochemistry (Formalin/PFA-fixed paraffin-embedded sections) - Anti-NFE2 antibody [EPR20463] (AB223845)
  • IHC-P

Supplier Data

Immunohistochemistry (Formalin/PFA-fixed paraffin-embedded sections) - Anti-NFE2 antibody [EPR20463] (AB223845)

Immunohistochemical analysis of paraffin-embedded human placenta tissue labeling NFE2 with ab223845 at 1/250 dilution followed by Goat Anti-Rabbit IgG H&L (HRP) Ready to use. Nuclear staining in neutrophils (arrow) in human placenta (PMID : 8645254) is observed. Counter stained with hematoxylin.

Secondary antibody only control : Used PBS instead of primary antibody secondary antibody is Goat Anti-Rabbit IgG H&L (HRP) Ready to use.

Perform heat mediated antigen retrieval with Tris/EDTA buffer pH 9.0 before commencing with IHC staining protocol.

Western blot - Anti-NFE2 antibody [EPR20463] (AB223845)
  • WB

Supplier Data

Western blot - Anti-NFE2 antibody [EPR20463] (AB223845)

Blocking and dilution buffer : 5% NFDM/TBST.

All lanes:

Western blot - Anti-NFE2 antibody [EPR20463] (ab223845) at 1/1000 dilution

Lane 1:

K562 (human chronic myelogenous leukemia cell line from bone marrow) whole cell lysate at 10 µg

Lane 2:

HEL (human bone marrow erythroleukemia cell line) whole cell lysate at 10 µg

Lane 3:

TF-1 (human bone marrow erythroleukemia cell line) whole cell lysate at 10 µg

Secondary

All lanes:

Western blot - Goat Anti-Rabbit IgG H&L (HRP) (<a href='/products/secondary-antibodies/goat-rabbit-igg-h-l-hrp-ab97051'>ab97051</a>) at 1/100000 dilution

Predicted band size: 41 kDa

Observed band size: 41 kDa

true

Exposure time: 3min

関連する標識済み抗体及び組成の異なる製品 (1)

  • Carrier free

    Anti-NFE2 antibody [EPR20463] - BSA and Azide free

Key facts

宿主種

Rabbit

クローン性

Monoclonal

クローン番号

EPR20463

アイソタイプ

IgG

キャリアフリー

No

交差種

Human

アプリケーション

Flow Cyt (Intra), IHC-P, WB

applications

免疫原

The exact immunogen used to generate this antibody is proprietary information.

Reactivity data

{ "title": "Reactivity Data", "filters": { "stats": ["", "Species", "Dilution Info", "Notes"], "tabs": { "all-applications": {"fullname" : "All Applications", "shortname": "All Applications"}, "WB" : {"fullname" : "Western blot", "shortname":"WB"}, "FlowCytIntra" : {"fullname" : "Flow Cytometry (Intracellular)", "shortname":"Flow Cyt (Intra)"}, "IHCP" : {"fullname" : "Immunohistochemistry (Formalin/PFA-fixed paraffin-embedded sections)", "shortname":"IHC-P"} }, "product-promise": { "all": "all", "testedAndGuaranteed": "tested", "guaranteed": "expected", "predicted": "predicted", "notRecommended": "not-recommended" } }, "values": { "Human": { "WB-species-checked": "testedAndGuaranteed", "WB-species-dilution-info": "1/1000", "WB-species-notes": "<p></p>", "FlowCytIntra-species-checked": "testedAndGuaranteed", "FlowCytIntra-species-dilution-info": "1/400", "FlowCytIntra-species-notes": "<p></p>", "IHCP-species-checked": "testedAndGuaranteed", "IHCP-species-dilution-info": "1/250", "IHCP-species-notes": "<p></p>" } } }

製品の詳細

Patented technology
Our RabMAb® technology is a patented hybridoma-based technology for making rabbit monoclonal antibodies. For details on our patents, please refer to RabMAb® patents.

What are the advantages of a recombinant monoclonal antibody?
This product is a recombinant monoclonal antibody, which offers several advantages including:

  • - High batch-to-batch consistency and reproducibility
  • - Improved sensitivity and specificity
  • - Long-term security of supply
  • - Animal-free batch production

For more information, read more on recombinant antibodies.

出荷温度及び保存条件

製品の状態
Liquid
精製方法
Affinity purification Protein A
バッファー組成
pH: 7.2 - 7.4 Preservative: 0.01% Sodium azide Constituents: PBS, 40% Glycerol (glycerin, glycerine), 0.05% BSA
出荷温度
Blue Ice
短期保存期間
1-2 weeks
短期保存温度
+4°C
長期保存温度
-20°C
分注に関する情報
Upon delivery aliquot
保管に関する情報
Avoid freeze / thaw cycle

製品プロトコール

For this product, it's our understanding that no specific protocols are required. You can visit:

ターゲットの情報

Component of the NF-E2 complex essential for regulating erythroid and megakaryocytic maturation and differentiation. Binds to the hypersensitive site 2 (HS2) of the beta-globin control region (LCR). This subunit (NFE2) recognizes the TCAT/C sequence of the AP-1-like core palindrome present in a number of erythroid and megakaryocytic gene promoters. Requires MAFK or other small MAF proteins for binding to the NF-E2 motif. May play a role in all aspects of hemoglobin production from globin and heme synthesis to procurement of iron.
See full target information NFE2

文献 (1)

Recent publications for all applications. Explore the full list and refine your search

Nature communications 16:4141 PubMed40319035

2025

EXO1 promotes the meiotic MLH1-MLH3 endonuclease through conserved interactions with MLH1, MSH4 and DNA.

Applications

Unspecified application

Species

Unspecified reactive species

Megha Roy,Aurore Sanchez,Raphael Guerois,Issam Senoussi,Arianna Cerana,Jacopo Sgrignani,Andrea Cavalli,Andrea Rinaldi,Petr Cejka
View all publications

Abcam product promise

当社は、高品質な試薬を通じてお客様の研究を力強くサポートすることをお約束いたします。ご使用いただく各段階で、常にお客様をサポートできる体制を整えております。万が一、製品が期待通りに機能しない場合は、「Abcam Product Promise」による当社保証制度に基づき、安心してご利用いただけます。
保証に関する詳細については利用規約をご確認ください。

Please note: All products are 'FOR RESEARCH USE ONLY. NOT FOR USE IN DIAGNOSTIC OR THERAPEUTIC PROCEDURES'.

For licensing inquiries, please contact partnerships@abcam.com