JavaScript is disabled in your browser. Please enable JavaScript to view this website.
AB3446

Anti-NFAT5 抗体

Anti-NFAT5 antibody

4

(1 Review)

|

(47 Publications)

Anti-NFAT5 antibody (ab3446) is a rabbit polyclonal antibody detecting NFAT5 in Western Blot, IP, IHC-P, ICC/IF. Suitable for African green monkey, Human, Mouse.

- Over 30 publications
- Trusted since 2003

別名を表示する

KIAA0827, TONEBP, NFAT5, Nuclear factor of activated T-cells 5, NF-AT5, T-cell transcription factor NFAT5, Tonicity-responsive enhancer-binding protein, TonE-binding protein, TonEBP

8 Images
Immunoprecipitation - Anti-NFAT5 antibody (AB3446)
  • IP

Supplier Data

Immunoprecipitation - Anti-NFAT5 antibody (AB3446)

Immunoprecipitation of NFAT5 was performed on U-2 OS (Human bone osteosarcoma epithelial cell line) whole cell lysate (lane 2). The antigen : antibody complex was formed by incubating 500 μg whole cell lysate with 3 μg of ab3446 overnight on a rocking platform at 4°C. The immune-complex was captured on 50 μL Protein A/G Plus Agarose. Captured immune-complexes were washed and proteins eluted with 5X Reducing Sample Loading Dye. Samples were resolved on a 4-20% Tris-HCl polyacrylamide gel. Proteins were transferred to PVDF membrane and blocked with 5% Milk/TBS-0.1%Tween for at least 1 hour. Membranes were washed in TBS-0.1%Tween 20 and probed with a goat anti-rabbit-HRP secondary antibody at a dilution of 1/20,000 for at least one hour. Membranes were washed and chemiluminescent detection performed.

Lane 1 : Only cell lysate.

All lanes:

Immunoprecipitation - Anti-NFAT5 antibody (ab3446)

Predicted band size: 165 kDa

false

Immunocytochemistry/ Immunofluorescence - Anti-NFAT5 antibody (AB3446)
  • ICC/IF

Supplier Data

Immunocytochemistry/ Immunofluorescence - Anti-NFAT5 antibody (AB3446)

ICC analysis of NFAT5 in MCF7 (Human breast adenocarcinoma cell line) cells. Cells were grown on chamber slides and fixed with formaldehyde prior to staining. Cells were probed without (control - right) or with ab3446 at a dilution of 1 : 200 overnight at 4 C, washed with PBS and incubated with a DyLight-488 conjugated secondary antibody. NFAT5 staining (green), F-Actin staining with Phalloidin (red) and nuclei with DAPI (blue) is shown. Images were taken at 60X magnification.

Immunocytochemistry/ Immunofluorescence - Anti-NFAT5 antibody (AB3446)
  • ICC/IF

Supplier Data

Immunocytochemistry/ Immunofluorescence - Anti-NFAT5 antibody (AB3446)

ICC analysis of NFAT5 in HeLa (Human epithelial adenocarcinoma cell line) cells. Cells were grown on chamber slides and fixed with formaldehyde prior to staining. Cells were probed without (control - right) or with ab3446 at a dilution of 1 : 20 overnight at 4 C, washed with PBS and incubated with a DyLight-488 conjugated secondary antibody. NFAT5 staining (green), F-Actin staining with Phalloidin (red) and nuclei with DAPI (blue) is shown. Images were taken at 60X magnification.

Immunohistochemistry (Formalin/PFA-fixed paraffin-embedded sections) - Anti-NFAT5 antibody (AB3446)
  • IHC-P

Supplier Data

Immunohistochemistry (Formalin/PFA-fixed paraffin-embedded sections) - Anti-NFAT5 antibody (AB3446)

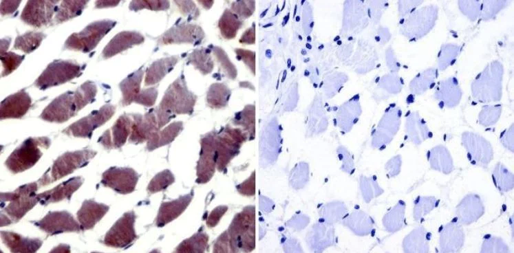
Immunohistochemistry was performed on normal biopsies of deparaffinized human skeletal muscle tissue. To expose target proteins, heat induced antigen retrieval was performed using 10mM sodium citrate (pH6.0) buffer, microwaved for 8-15 minutes. Following antigen retrieval tissues were blocked in 3% BSA-PBS for 30 minutes at room temperature. Tissues were then probed at a dilution of 1/20 duution with ab3446 or without primary antibody (negative control) overnight at 4°C in a humidified chamber. Tissues were washed extensively with PBST and endogenous peroxidase activity was quenched with a peroxidase suppressor. Detection was performed using a biotin-conjugated secondary antibody and SA-HRP, followed by colorimetric detection using DAB. Tissues were counterstained with hematoxylin and prepped for mounting.

Immunohistochemistry (Formalin/PFA-fixed paraffin-embedded sections) - Anti-NFAT5 antibody (AB3446)
  • IHC-P

Supplier Data

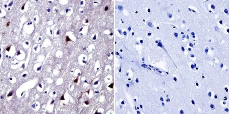
Immunohistochemistry (Formalin/PFA-fixed paraffin-embedded sections) - Anti-NFAT5 antibody (AB3446)

Immunohistochemistry was performed on normal biopsies of deparaffinized human brain tissue. To expose target proteins, heat induced antigen retrieval was performed using 10mM sodium citrate (pH6.0) buffer, microwaved for 8-15 minutes. Following antigen retrieval tissues were blocked in 3% BSA-PBS for 30 minutes at room temperature. Tissues were then probed at a dilution of 1 : 20 with ab3446 or without primary antibody (negative control) overnight at 4°C in a humidified chamber. Tissues were washed extensively with PBST and endogenous peroxidase activity was quenched with a peroxidase suppressor. Detection was performed using a biotin-conjugated secondary antibody and SA-HRP, followed by colorimetric detection using DAB. Tissues were counterstained with hematoxylin and prepped for mounting.

Immunocytochemistry/ Immunofluorescence - Anti-NFAT5 antibody (AB3446)
  • ICC/IF

Supplier Data

Immunocytochemistry/ Immunofluorescence - Anti-NFAT5 antibody (AB3446)

ICC analysis of NFAT5 using ab3446 (shown in green) in HeLa (Human epithelial adenocarcinoma cell line) whole cells. Formalin fixed cells were permeabilized with 0.1% Triton X-100 in TBS for 10 minutes at room temperature. Cells were then blocked with 1% Blocker BSA for 15 minutes at room temperature. Cells were probed with a rabbit polyclonal antibody recognizing NFAT5, at a dilution of 1/100 for at least 1 hour at room temperature. Cells were washed with PBS and incubated with DyLight 488 goat-anti-rabbit secondary antibody at a dilution of 1/400 for 30 minutes at room temperature. Nuclei (blue) were stained with Hoechst 33342 dye. Images were taken on a Thermo Scientific ArrayScan at 20X magnification.

Immunocytochemistry/ Immunofluorescence - Anti-NFAT5 antibody (AB3446)
  • ICC/IF

Supplier Data

Immunocytochemistry/ Immunofluorescence - Anti-NFAT5 antibody (AB3446)

ICC analysis of NFAT5 in NIH/3T3 (Mouse embryo fibroblast cell line) cells. Cells were grown on chamber slides and fixed with formaldehyde prior to staining. Cells were probed without (control - right) or with ab3446 at a dilution of 1 : 20 overnight at 4 C, washed with PBS and incubated with a DyLight-488 conjugated secondary antibody. NFAT5 staining (green), F-Actin staining with Phalloidin (red) and nuclei with DAPI (blue) is shown. Images were taken at 60X magnification.

Western blot - Anti-NFAT5 antibody (AB3446)
  • WB

Supplier Data

Western blot - Anti-NFAT5 antibody (AB3446)

Western blot analysis of NFAT5 was performed by loading samples onto a 4-20% Tris-HCl polyacrylamide gel. Proteins were transferred to a PVDF membrane and blocked with 5% Milk/TBST for at least 1 hour. Membranes were incubated with ab3446 overnight at 4°C on a rocking platform. Membranes were washed in TBS-0.1%Tween 20 and probed with a secondary antibody for at least one hour. Membranes were washed and chemiluminescent detection performed.

All lanes:

Western blot - Anti-NFAT5 antibody (ab3446) at 1/1000 dilution

Lane 1:

MCF7 (Human breast adenocarcinoma cell line) whole cell lysate at 25 µg

Lane 2:

Jurkat (Human T cell leukemia cell line from peripheral blood) whole cell lysate at 25 µg

Lane 3:

Raji (Human Burkitt's lymphoma cell line) whole cell lysate at 25 µg

Lane 4:

Ramos (Human Burkitt's lymphoma cell line) whole cell lysate at 25 µg

Lane 5:

HepG2 (Human liver hepatocellular carcinoma cell line) whole cell lysate at 25 µg

Lane 6:

U-2 OS (Human bone osteosarcoma epithelial cell line) whole cell lysate at 25 µg

Lane 7:

HeLa (Human epithelial adenocarcinoma cell line) whole cell lysate at 25 µg

Lane 8:

COS-7 (African green monkey kidney fibroblast-like cell line) whole cell lysate at 25 µg

Lane 9:

EL4 (Mouse thymic lymphoma cell line) whole cell lysate at 25 µg

Lane 10:

C2C12 (Mouse myoblast cell line) whole cell lysate at 25 µg

Lane 11:

NRK (Rat kidney normal tissue) whole cell lysate at 25 µg

Secondary

All lanes:

Goat anti-rabbit-HRP secondary antibody at 1/20000 dilution

Predicted band size: 165 kDa

false

Key facts

宿主種

Rabbit

クローン性

Polyclonal

アイソタイプ

IgG

キャリアフリー

No

交差種

Mouse, Human, African green monkey

アプリケーション

WB, IHC-P, IP, ICC/IF

applications

免疫原

Synthetic Peptide within Human NFAT5 aa 1400-1500. The exact immunogen used to generate this antibody is proprietary information.

O94916

特異性

Detects Nuclear Factor of Activated T-cells 5 (NFAT 5).

Reactivity data

{ "title": "Reactivity Data", "filters": { "stats": ["", "Species", "Dilution Info", "Notes"], "tabs": { "all-applications": {"fullname" : "All Applications", "shortname": "All Applications"}, "IHCP" : {"fullname" : "Immunohistochemistry (Formalin/PFA-fixed paraffin-embedded sections)", "shortname":"IHC-P"}, "ICCIF" : {"fullname" : "Immunocytochemistry/ Immunofluorescence", "shortname":"ICC/IF"}, "IP" : {"fullname" : "Immunoprecipitation", "shortname":"IP"}, "WB" : {"fullname" : "Western blot", "shortname":"WB"} }, "product-promise": { "all": "all", "testedAndGuaranteed": "tested", "guaranteed": "expected", "predicted": "predicted", "notRecommended": "not-recommended" } }, "values": { "Human": { "IHCP-species-checked": "testedAndGuaranteed", "IHCP-species-dilution-info": "1/20", "IHCP-species-notes": "<p></p>", "ICCIF-species-checked": "testedAndGuaranteed", "ICCIF-species-dilution-info": "1/100", "ICCIF-species-notes": "<p></p>", "IP-species-checked": "testedAndGuaranteed", "IP-species-dilution-info": "", "IP-species-notes": "<p>3 μg</p>", "WB-species-checked": "testedAndGuaranteed", "WB-species-dilution-info": "1/1000", "WB-species-notes": "<p></p>" }, "Mouse": { "IHCP-species-checked": "guaranteed", "IHCP-species-dilution-info": "", "IHCP-species-notes": "", "ICCIF-species-checked": "testedAndGuaranteed", "ICCIF-species-dilution-info": "1/100", "ICCIF-species-notes": "<p></p>", "IP-species-checked": "guaranteed", "IP-species-dilution-info": "", "IP-species-notes": "", "WB-species-checked": "testedAndGuaranteed", "WB-species-dilution-info": "1/1000", "WB-species-notes": "<p></p>" }, "African green monkey": { "IHCP-species-checked": "guaranteed", "IHCP-species-dilution-info": "", "IHCP-species-notes": "", "ICCIF-species-checked": "guaranteed", "ICCIF-species-dilution-info": "", "ICCIF-species-notes": "", "IP-species-checked": "guaranteed", "IP-species-dilution-info": "", "IP-species-notes": "", "WB-species-checked": "testedAndGuaranteed", "WB-species-dilution-info": "1/1000", "WB-species-notes": "<p></p>" } } }

製品の詳細

What is this antibody validated in?
Anti-NFAT5 antibody (ab3446) is a rabbit polyclonal antibody and is validated for use in Western Blot (WB), Immunoprecipitation (IP), Immunohistochemistry (IHC-P), Immunocytochemistry/immunofluorescence (ICC/IF) in African green monkey, Human, Mouse samples.

What is the molecular weight of NFAT5?
Anti-NFAT5 (ab3446) specifically detects a band for NFAT5 (UniProt: O94916) at a molecular weight of 160kDa.

Trusted by the scientific community
Anti-NFAT5 (ab3446) was first used in a scientific publication in 2003 and has been cited over 30 times in peer-reviewed journals.

出荷温度及び保存条件

製品の状態
Liquid
精製方法
Affinity purification Immunogen
バッファー組成
Preservative: 0.05% Sodium azide Constituents: PBS, 0.1% BSA
出荷温度
Blue Ice
短期保存期間
1-2 weeks
短期保存温度
+4°C
長期保存温度
-20°C
分注に関する情報
Upon delivery aliquot
保管に関する情報
Avoid freeze / thaw cycle

補足情報

This supplementary information is collated from multiple sources and compiled automatically.

NFAT5 also known as TonEBP (tonicity-responsive enhancer binding protein) is a transcription factor belonging to the nuclear factor of activated T-cells (NFAT) family. It is involved in mechanistic functions through its role in the osmoregulatory mechanism aiding cells to adapt to changes in osmotic stress by regulating gene expression related to maintaining ionic and osmotic balance. NFAT5 has a molecular mass of approximately 170 kDa and is primarily expressed in kidney medulla cells where osmotic stress is prevalent.
Biological function summary

NFAT5 helps regulate the cellular response to hypertonic stress in several tissues including the kidneys brain and immune cells. It acts as a transcriptional activator that induces the expression of osmoprotective genes such as the sodium/myo-inositol transporter and aldose reductase. NFAT5 functions not as part of a larger complex but as an independent transcription factor which directly binds to enhancers within target gene promotors playing a critical role in cellular adaptation to hyperosmotic conditions.

Pathways

NFAT5 plays a significant role in the hypertonicity-induced signaling pathway and the osmoprotective pathway. Through these it influences key cellular processes by modulating the transcription of genes necessary for adaptation to osmotic stress. It stands in relation to other NFAT family members like NFATc1 and NFATc2 but distinctively differs as it does not rely directly on calcium and calcineurin for its activation unlike its relatives involved in the calcineurin/NFAT pathway.

NFAT5 has implications in cardiovascular diseases and diabetes mellitus. It's involved in cellular responses to hypertonic stress in various disease states notably influencing the vascular smooth muscle cell function in hypertension. Additionally NFAT5's regulation of osmoprotective genes connects it to metabolic disorders like diabetes where osmotic stress responses are disturbed. Interactions between NFAT5 and other proteins like TFEB (Transcription Factor EB) occur during conditions related to metabolic disorders indicating its broad relevance in stress-related pathologies.

製品プロトコール

For this product, it's our understanding that no specific protocols are required. You can visit:

ターゲットの情報

Transcription factor involved, among others, in the transcriptional regulation of osmoprotective and inflammatory genes. Binds the DNA consensus sequence 5'-[ACT][AG]TGGAAA[CAT]A[TA][ATC][CA][ATG][GT][GAC][CG][CT]-3' (PubMed : 10377394). Mediates the transcriptional response to hypertonicity (PubMed : 10051678). Positively regulates the transcription of LCN2 and S100A4 genes; optimal transactivation of these genes requires the presence of DDX5/DDX17 (PubMed : 22266867). Also involved in the DNA damage response by preventing formation of R-loops; R-loops are composed of a DNA : RNA hybrid and the associated non-template single-stranded DNA (PubMed : 34049076).
See full target information NFAT5

文献 (47)

Recent publications for all applications. Explore the full list and refine your search

Genes & diseases 12:101614 PubMed40831534

2025

Microglial NFAT5 aggravates neuroinflammation via mediating NLRP6 inflammasome in experimental ischemic stroke.

Applications

Unspecified application

Species

Unspecified reactive species

Hui Gan,Mi Zhang,Yuhao Duan,Ailiyaer Palahati,Qi He,Junyi Tan,Yong Li,Xuan Zhai,Jing Zhao

Inflammation : PubMed40095256

2025

Long Non-coding RNA MIR22HG Alleviates Ischemic Acute Kidney Injury by Targeting the miR-134-5p/NFAT5 axis.

Applications

Unspecified application

Species

Unspecified reactive species

Jingdong Li,Zhe Dong,Liting Tang,Lu Liu,Cuijing Su,Shan Yu

Biomolecules 14: PubMed39595620

2024

Modulators of Alpha-2 Macroglobulin Upregulation by High Glucose in Glomerular Mesangial Cells.

Applications

Unspecified application

Species

Unspecified reactive species

Jackie Trink,Renzhong Li,Bo Gao,Chao Lu,Joan C Krepinsky

PloS one 19:e0304301 PubMed38787831

2024

Genome-wide analysis of long noncoding RNAs as cis-acting regulators of transcription factor-encoding genes in IgA nephropathy.

Applications

Unspecified application

Species

Unspecified reactive species

Yaling Zhai,Huijuan Tian,Wenhui Zhang,Shuaigang Sun,Zhanzheng Zhao

Development (Cambridge, England) 151: PubMed38421307

2024

A comparative analysis of TonEBP conditional knockout mouse models reveals inter-dependency between compartments of the intervertebral disc.

Applications

Unspecified application

Species

Unspecified reactive species

Greig Couasnay,Haley Garcia,Florent Elefteriou

International journal of molecular sciences 25: PubMed38338716

2024

TonEBP: A Key Transcription Factor in Microglia Following Intracerebral Hemorrhage Induced-Neuroinflammation.

Applications

Unspecified application

Species

Unspecified reactive species

Ailiyaer Palahati,Yujia Luo,Le Qin,Yuhao Duan,Mi Zhang,Hui Gan,Xuan Zhai

Journal of diabetes investigation 15:572-583 PubMed38268239

2024

Immunoglobulin heavy constant gamma 1 silencing decreases tonicity-responsive enhancer-binding protein expression to alleviate diabetic nephropathy.

Applications

Unspecified application

Species

Unspecified reactive species

Qibo Hu,Qingxiao Yang,Hang Gao,Jing Tian,Guanghua Che

Advanced science (Weinheim, Baden-Wurttemberg, Germany) 11:e2302916 PubMed38195869

2024

Inhibition of NFAT5-Dependent Astrocyte Swelling Alleviates Neuropathic Pain.

Applications

Unspecified application

Species

Unspecified reactive species

Liqiong He,Shengyun Ma,Zijin Ding,Zhifeng Huang,Yu Zhang,Caiyun Xi,Kailu Zou,Qingwei Deng,Wendy Jia Men Huang,Qulian Guo,Changsheng Huang

Thoracic cancer 14:2105-2115 PubMed37439026

2023

2-methoxyestradiol restrains non-small cell lung cancer tumorigenesis through regulating circ_0010235/miR-34a-5p/NFAT5 axis.

Applications

Unspecified application

Species

Unspecified reactive species

Yong Zhang,Yuanyuan Mi,Chunhui He

Cancer cell international 23:51 PubMed36934264

2023

Exosomal MFI2-AS1 sponge miR-107 promotes non-small cell lung cancer progression through NFAT5.

Applications

Unspecified application

Species

Unspecified reactive species

Jingwei Xu,Hui Wang,Baoyu Shi,Ning Li,Guopeng Xu,Xiaopei Yan,Li Xu
View all publications

Abcam product promise

当社は、高品質な試薬を通じてお客様の研究を力強くサポートすることをお約束いたします。ご使用いただく各段階で、常にお客様をサポートできる体制を整えております。万が一、製品が期待通りに機能しない場合は、「Abcam Product Promise」による当社保証制度に基づき、安心してご利用いただけます。
保証に関する詳細については利用規約をご確認ください。

Please note: All products are 'FOR RESEARCH USE ONLY. NOT FOR USE IN DIAGNOSTIC OR THERAPEUTIC PROCEDURES'.

For licensing inquiries, please contact partnerships@abcam.com