JavaScript is disabled in your browser. Please enable JavaScript to view this website.
AB2722

Anti-NFAT1 抗体 [25A10.D6.D2]

Anti-NFAT1 antibody [25A10.D6.D2]

5

(7 Reviews)

|

(64 Publications)

Mouse Monoclonal NFAT1 antibody. Suitable for Flow Cyt, WB, IHC-P, ICC/IF and reacts with Human samples. Cited in 64 publications. Immunogen corresponding to Synthetic Peptide within Mouse Nfatc2 aa 50-100.

別名を表示する

NFAT1, NFATP, NFATC2, NF-ATc2, NFATc2, NFAT pre-existing subunit, T-cell transcription factor NFAT1, NF-ATp

10 Images
Flow Cytometry - Anti-NFAT1 antibody [25A10.D6.D2] (AB2722)
  • Flow Cyt

Unknown

Flow Cytometry - Anti-NFAT1 antibody [25A10.D6.D2] (AB2722)

Overlay histogram showing Jurkat cells stained with ab2722 (red line). The cells were fixed with 80% methanol (5 min) and then permeabilized with 0.1% PBS-Tween for 20 min. The cells were then incubated in 1x PBS / 10% normal goat serum / 0.3M glycine to block non-specific protein-protein interactions followed by the antibody (ab2722, 2μg/1x106 cells) for 30 min at 22°C. The secondary antibody used was DyLight® 488 goat anti-mouse IgG (H+L) (ab96879) at 1/500 dilution for 30 min at 22°C. Isotype control antibody (black line) was mouse IgG1 [ICIGG1] (ab91353, 2μg/1x106 cells) used under the same conditions. Acquisition of >5,000 events was performed.

Immunocytochemistry/ Immunofluorescence - Anti-NFAT1 antibody [25A10.D6.D2] (AB2722)
  • ICC/IF

Supplier Data

Immunocytochemistry/ Immunofluorescence - Anti-NFAT1 antibody [25A10.D6.D2] (AB2722)

Immunocytochemistry/Immunofluorescence analysis of NFAT1 (green) shows staining in MCF-7 cells. F-Actin staining with Phalloidin (red) and nuclei with DAPI (blue) is shown. Cells were grown on chamber slides and fixed with formaldehyde prior to staining. Cells were inbuated without (control) or with ab2722 (1 : 20) over night at 4°C, washed with PBS and incubated with a DyLight-488 conjugated secondary antibody. Images were taken at 60X magnification.

Immunocytochemistry/ Immunofluorescence - Anti-NFAT1 antibody [25A10.D6.D2] (AB2722)
  • ICC/IF

Supplier Data

Immunocytochemistry/ Immunofluorescence - Anti-NFAT1 antibody [25A10.D6.D2] (AB2722)

Immunocytochemistry/Immunofluorescence analysis of NFAT1 (green) shows staining in U251 Cells. F-Actin staining with Phalloidin (red) and nuclei with DAPI (blue) is shown. Cells were grown on chamber slides and fixed with formaldehyde prior to staining. Cells were inbuated without (control) or with ab2722 (1 : 20) over night at 4°C, washed with PBS and incubated with a DyLight-488 conjugated secondary antibody. Images were taken at 60X magnification.

Immunohistochemistry (Formalin/PFA-fixed paraffin-embedded sections) - Anti-NFAT1 antibody [25A10.D6.D2] (AB2722)
  • IHC-P

Supplier Data

Immunohistochemistry (Formalin/PFA-fixed paraffin-embedded sections) - Anti-NFAT1 antibody [25A10.D6.D2] (AB2722)

Immunohistochemistry was performed on both normal and cancer biopsies of deparaffinized Human spleen tissue tissues. To expose target proteins heat induced antigen retrieval was performed using 10mM sodium citrate (pH6.0) buffer microwaved for 8-15 minutes. Following antigen retrieval tissues were blocked in 3% BSA-PBS for 30 minutes at room temperature. Tissues were then probed at a dilution of 1 : 100 with a mouse monoclonal antibody recognizing NFATc2 ab2722 or without primary antibody (negative control) overnight at 4°C in a humidified chamber. Tissues were washed extensively with PBST and endogenous peroxidase activity was quenched with a peroxidase suppressor. Detection was performed using a biotin-conjugated secondary antibody and SA-HRP followed by colorimetric detection using DAB. Tissues were counterstained with hematoxylin and prepped for mounting.

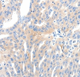
Immunohistochemistry (Formalin/PFA-fixed paraffin-embedded sections) - Anti-NFAT1 antibody [25A10.D6.D2] (AB2722)
  • IHC-P

Supplier Data

Immunohistochemistry (Formalin/PFA-fixed paraffin-embedded sections) - Anti-NFAT1 antibody [25A10.D6.D2] (AB2722)

Immunohistochemistry was performed on both normal and cancer biopsies of deparaffinized Human colon carcinoma tissues. To expose target proteins heat induced antigen retrieval was performed using 10mM sodium citrate (pH6.0) buffer microwaved for 8-15 minutes. Following antigen retrieval tissues were blocked in 3% BSA-PBS for 30 minutes at room temperature. Tissues were then probed at a dilution of 1 : 100 with a mouse monoclonal antibody recognizing NFATc2 ab2722 or without primary antibody (negative control) overnight at 4°C in a humidified chamber. Tissues were washed extensively with PBST and endogenous peroxidase activity was quenched with a peroxidase suppressor. Detection was performed using a biotin-conjugated secondary antibody and SA-HRP followed by colorimetric detection using DAB. Tissues were counterstained with hematoxylin and prepped for mounting.

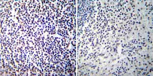
Immunohistochemistry (Formalin/PFA-fixed paraffin-embedded sections) - Anti-NFAT1 antibody [25A10.D6.D2] (AB2722)
  • IHC-P

Supplier Data

Immunohistochemistry (Formalin/PFA-fixed paraffin-embedded sections) - Anti-NFAT1 antibody [25A10.D6.D2] (AB2722)

Immunohistochemistry was performed on both normal and cancer biopsies of deparaffinized Human tonsil tissue tissues. To expose target proteins heat induced antigen retrieval was performed using 10mM sodium citrate (pH6.0) buffer microwaved for 8-15 minutes. Following antigen retrieval tissues were blocked in 3% BSA-PBS for 30 minutes at room temperature. Tissues were then probed at a dilution of 1 : 100 with a mouse monoclonal antibody recognizing NFATc2 ab2722 or without primary antibody (negative control) overnight at 4°C in a humidified chamber. Tissues were washed extensively with PBST and endogenous peroxidase activity was quenched with a peroxidase suppressor. Detection was performed using a biotin-conjugated secondary antibody and SA-HRP followed by colorimetric detection using DAB. Tissues were counterstained with hematoxylin and prepped for mounting.

Immunocytochemistry/ Immunofluorescence - Anti-NFAT1 antibody [25A10.D6.D2] (AB2722)
  • ICC/IF

Supplier Data

Immunocytochemistry/ Immunofluorescence - Anti-NFAT1 antibody [25A10.D6.D2] (AB2722)

Immunocytochemistry/Immunofluorescence analysis of NFAT1 (green) shows staining in HeLa cells. F-Actin staining with Phalloidin (red) and nuclei with DAPI (blue) is shown. Cells were grown on chamber slides and fixed with formaldehyde prior to staining. Cells were inbuated without (control) or with ab2722 (1 : 20) over night at 4°C, washed with PBS and incubated with a DyLight-488 conjugated secondary antibody. Images were taken at 60X magnification.

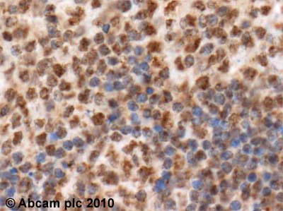
Immunohistochemistry (Formalin/PFA-fixed paraffin-embedded sections) - Anti-NFAT1 antibody [25A10.D6.D2] (AB2722)
  • IHC-P

Supplier Data

Immunohistochemistry (Formalin/PFA-fixed paraffin-embedded sections) - Anti-NFAT1 antibody [25A10.D6.D2] (AB2722)

ab2722 (4µg/ml) staining NFAT in human tonsil, using an automated system (DAKO Autostainer Plus). Using this protocol there is strong nuclear and weak cytoplasmic staining.
Sections were rehydrated and antigen retrieved with the Dako 3 in 1 AR buffer EDTA pH 9.0 in a DAKO PT link. Slides were peroxidase blocked in 3% H2O2 in methanol for 10 mins. They were then blocked with Dako Protein block for 10 minutes (containing casein 0.25% in PBS) then incubated with primary antibody for 20 min and detected with Dako envision flex amplification kit for 30 minutes. Colorimetric detection was completed with Diaminobenzidine for 5 minutes. Slides were counterstained with Haematoxylin and coverslipped under DePeX. Please note that, for manual staining, optimization of primary antibody concentration and incubation time is recommended. Signal amplification may be required.

Immunocytochemistry/ Immunofluorescence - Anti-NFAT1 antibody [25A10.D6.D2] (AB2722)
  • ICC/IF

Supplier Data

Immunocytochemistry/ Immunofluorescence - Anti-NFAT1 antibody [25A10.D6.D2] (AB2722)

Immunocytochemistry/Immunofluorescence analysis of NFAT1 (green) in HeLa cells. Formalin fixed cells were permeabilized with 0.1% Triton X-100 in TBS for 10 minutes at room temperature and blocked with 1% BSA for 15 minutes at room temperature. Cells were left untreated (left panel) or treated with 1uM staurosporine (right panel) for 3 hours and incubated with ab2722 (1 : 100) for at least 1 hour at room temperature, washed with PBS, and incubated with a DyLight 488 conjugated goat anti-mouse IgG secondary antibody (1 : 400) for 30 minutes at room temperature. F-Actin (red) was stained with DyLight 554 Phalloidin and nuclei (blue) were stained with Hoechst 33342 dye. Images were taken at 20X magnification.

Western blot - Anti-NFAT1 antibody [25A10.D6.D2] (AB2722)
  • WB

Unknown

Western blot - Anti-NFAT1 antibody [25A10.D6.D2] (AB2722)

NFAT1 contains an exstensive number of potential phosphorylation sites (SwissProt) which may explain its migration at a higher molecular weight than predicted.

All lanes:

Western blot - Anti-NFAT1 antibody [25A10.D6.D2] (ab2722) at 1 µg/mL

All lanes:

Human spleen tissue lysate - total protein (ab29699) at 10 µg

Secondary

All lanes:

Western blot - Goat Anti-Mouse IgG H&L (HRP) preadsorbed (<a href='/products/secondary-antibodies/goat-mouse-igg-h-l-hrp-preadsorbed-ab97040'>ab97040</a>) at 1/5000 dilution

Predicted band size: 100 kDa

Observed band size: 150 kDa,62 kDa

true

Exposure time: 4min

Key facts

宿主種

Mouse

クローン性

Monoclonal

クローン番号

25A10.D6.D2

アイソタイプ

IgG1

キャリアフリー

No

交差種

Human

アプリケーション

Flow Cyt, ICC/IF, WB, IHC-P

applications

免疫原

Synthetic Peptide within Mouse Nfatc2 aa 50-100. The exact immunogen used to generate this antibody is proprietary information.

Q60591

特異性

Ab2722 detects nuclear factor of activated T-cells (NFAT) from mouse, rat and human tissues (endogenously expressed). This antibody does not cross react with NFAT2 (NFATc, NFATc1). This antibody detects both forms NFAT1 - a ~140 kDa protein representing phosphorylated NFAT1 in resting immune cells, and a ~120 kDa protein in stimulated cells that represents fully-dephosphorylated NFAT1.

Reactivity data

{ "title": "Reactivity Data", "filters": { "stats": ["", "Species", "Dilution Info", "Notes"], "tabs": { "all-applications": {"fullname" : "All Applications", "shortname": "All Applications"}, "FlowCyt" : {"fullname" : "Flow Cytometry", "shortname":"Flow Cyt"}, "WB" : {"fullname" : "Western blot", "shortname":"WB"}, "IHCP" : {"fullname" : "Immunohistochemistry (Formalin/PFA-fixed paraffin-embedded sections)", "shortname":"IHC-P"}, "ICCIF" : {"fullname" : "Immunocytochemistry/ Immunofluorescence", "shortname":"ICC/IF"} }, "product-promise": { "all": "all", "testedAndGuaranteed": "tested", "guaranteed": "expected", "predicted": "predicted", "notRecommended": "not-recommended" } }, "values": { "Human": { "FlowCyt-species-checked": "testedAndGuaranteed", "FlowCyt-species-dilution-info": "", "FlowCyt-species-notes": "<p><a href='/products/primary-antibodies/mouse-igg1-kappa-monoclonal-15-6e10a7-isotype-control-ab170190'>ab170190</a> - Mouse monoclonal IgG1, is suitable for use as an isotype control with this antibody.</p>", "WB-species-checked": "testedAndGuaranteed", "WB-species-dilution-info": "1 µg/mL", "WB-species-notes": "<p></p>", "IHCP-species-checked": "testedAndGuaranteed", "IHCP-species-dilution-info": "1/50 - 1/200", "IHCP-species-notes": "<p></p>", "ICCIF-species-checked": "testedAndGuaranteed", "ICCIF-species-dilution-info": "1/100 - 1/1000", "ICCIF-species-notes": "<p></p>" } } }

出荷温度及び保存条件

製品の状態
Liquid
精製方法
Affinity purification Protein G
バッファー組成
Preservative: 0.05% Sodium azide Constituents: PBS
出荷温度
Blue Ice
短期保存期間
1-2 weeks
短期保存温度
+4°C
長期保存温度
-20°C
分注に関する情報
Upon delivery aliquot
保管に関する情報
Avoid freeze / thaw cycle

補足情報

This supplementary information is collated from multiple sources and compiled automatically.

NFAT1 also known as NFATc2 is a transcription factor involved in gene regulation with a molecular weight of approximately 100 kDa. It belongs to the NFAT (nuclear factor of activated T-cells) family and is expressed in a variety of tissues including the immune system and the nervous system. NFAT1 plays an essential role in activating specific gene expressions by translocating into the nucleus upon cell stimulation. Researchers frequently use NFAT molecular weight to confirm its presence in protein analyses such as NFAT western blot techniques.
Biological function summary

NFAT1 influences immune response and development. It acts as part of a large complex with other transcription factors to bind DNA and regulate transcription of cytokines and other critical immune molecules. In activated T-cells NFAT1 controls the expression of genes important for immune function including interleukins. In neuronal tissues it contributes to neural growth and survival highlighting its multifunctional nature in different cell types.

Pathways

NFAT1 integrates into the calcineurin signaling pathway and plays a significant role in T-cell activation. It acts downstream of the calcium signaling cascade which leads to dephosphorylation and activation by the phosphatase calcineurin. NFAT1 works closely with proteins like AP-1 and GATA to facilitate the transcription of immune-related genes. These interactions highlight NFAT1's importance in immune signaling pathways which modulate immune surveillance and homeostasis.

NFAT1 associates with autoimmune diseases and certain cancers. In autoimmune conditions such as rheumatoid arthritis aberrant NFAT1 function leads to excessive cytokine production exacerbating inflammation. The protein also links to cancer development particularly in lymphoid malignancies where dysregulated NFAT1 activity contributes to uncontrolled cell proliferation. It interacts with oncogenic kinases and other dysregulated proteins in these disorders influencing both their progression and possible therapeutic targeting.

製品プロトコール

For this product, it's our understanding that no specific protocols are required. You can visit:

ターゲットの情報

Plays a role in the inducible expression of cytokine genes in T-cells, especially in the induction of the IL-2, IL-3, IL-4, TNF-alpha or GM-CSF (PubMed : 15790681). Promotes invasive migration through the activation of GPC6 expression and WNT5A signaling pathway (PubMed : 21871017). Is involved in the negative regulation of chondrogenesis (PubMed : 35789258). Recruited by AKAP5 to ORAI1 pore-forming subunit of CRAC channels in Ca(2+) signaling microdomains where store-operated Ca(2+) influx is coupled to calmodulin and calcineurin signaling and activation of NFAT-dependent transcriptional responses.
See full target information NFATC2

文献 (64)

Recent publications for all applications. Explore the full list and refine your search

Veterinary research 56:81 PubMed40221790

2025

Echinococcus granulosus promotes MAPK pathway-mediated osteoclast differentiation by inhibiting Nrf2 in osseous echinococcosis.

Applications

Unspecified application

Species

Unspecified reactive species

Yaqing Liu,Jing Li,Zhendong Zhang,Qi Li,Yanhu Tian,Sibo Wang,Chenhui Shi,Haohao Sun

CNS neuroscience & therapeutics 31:e70222 PubMed39957627

2025

NFAT1 Signaling Contributes to Bone Cancer Pain by Regulating IL-18 Expression in Spinal Microglia.

Applications

Unspecified application

Species

Unspecified reactive species

Xuetai Chen,Ying Zeng,Zizhu Wang,Jixiang Zhu,Fengyun Liu,Mingxuan Zhu,Jiayi Zheng,Qingdaiyao Chen,Dongxu Zhai,Yangyang Chen,Jiayao Niu,Zhouya Xue,Guan Sun,Feng Li,Zhiqiang Pan

Lab on a chip 24:3826-3839 PubMed39037244

2024

Monomeric and oligomeric amyloid-β cause distinct Alzheimer's disease pathophysiological characteristics in astrocytes in human glymphatics-on-chip models.

Applications

Unspecified application

Species

Unspecified reactive species

Aria R Yslas,Rena Park,Nozomi Nishimura,Esak Lee

Molecular therapy : the journal of the American Society of Gene Therapy 32:227-240 PubMed37925604

2023

Intracellular delivery of nuclear localization sequence peptide mitigates COVID-19 by inhibiting nuclear transport of inflammation-associated transcription factors.

Applications

Unspecified application

Species

Unspecified reactive species

Seokwon Lee,Sang-Sun Yoon,Minhee Jo,Mingu Kang,Seungwoo Lee,Young-Jin Seo,Saewhan Park,Young-Ki Paik,Daewoong Jo

Drug design, development and therapy 17:1275-1288 PubMed37138583

2023

AS-605240 Blunts Osteoporosis by Inhibition of Bone Resorption.

Applications

Unspecified application

Species

Unspecified reactive species

Jiacheng Sun,Guoping Cai,Jinlong Shen,Pu Cheng,Jiapeng Zhang,Dengteng Jiang,Xianquan Xu,Fangying Lu,Lihua Chen,Haixiao Chen

Frontiers in cellular neuroscience 17:1152392 PubMed37124395

2023

Neuroinflammation aggravated by traumatic brain injury at high altitude is reversed by L-serine NFAT1-mediated microglial polarization.

Applications

Unspecified application

Species

Unspecified reactive species

Jinchun Liu,Shunhua Peng,Lisha Ye,Yechao Sun,Qiong Zhao,Hua Wei,Qianqian Luo,Min He,Guohua Wang

Journal of translational medicine 21:173 PubMed36870952

2023

The spatiotemporal matching pattern of Ezrin/Periaxin involved in myoblast differentiation and fusion and Charcot-Marie-Tooth disease-associated muscle atrophy.

Applications

Unspecified application

Species

Unspecified reactive species

Ruo-Nan Zhang,Xin Bao,Yun Liu,Yan Wang,Xing-Yuan Li,Ge Tan,Magdaleena Naemi Mbadhi,Wei Xu,Qian Yang,Lu-Yuan Yao,Long Chen,Xiao-Ying Zhao,Chang-Qing Hu,Jing-Xuan Zhang,Hong-Tao Zheng,Yan Wu,Shan Li,Shao-Juan Chen,Shi-You Chen,Jing Lv,Liu-Liu Shi,Jun-Ming Tang

Molecular pain 19:17448069231158289 PubMed36733258

2023

NFATc2-dependent epigenetic downregulation of the TSC2/Beclin-1 pathway is involved in neuropathic pain induced by oxaliplatin.

Applications

Unspecified application

Species

Unspecified reactive species

Meng Liu,Jing-Wen Mai,De-Xing Luo,Guan-Xi Liu,Ting Xu,Wen-Jun Xin,Su-Yan Lin,Zhen-Yu Li

Scientific reports 13:436 PubMed36624121

2023

Continuous exposure to isoprenaline reduced myotube size by delaying myoblast differentiation and fusion through the NFAT-MEF2C signaling pathway.

Applications

Unspecified application

Species

Unspecified reactive species

Jing Yue,Wei Xu,Li Xiang,Shao-Juan Chen,Xin-Yuan Li,Qian Yang,Ruo-Nan Zhang,Xin Bao,Yan Wang,MagdaleenaNaemi Mbadhi,Yun Liu,Lu-Yuan Yao,Long Chen,Xiao-Ying Zhao,Chang-Qing Hu,Jing-Xuan Zhang,Hong-Tao Zheng,Yan Wu,Shi-You Chen,Shan Li,Jing Lv,Liu-Liu Shi,Jun-Ming Tang

Advanced science (Weinheim, Baden-Wurttemberg, Germany) 9:e2201300 PubMed35892263

2022

NFAT1 Orchestrates Spinal Microglial Transcription and Promotes Microglial Proliferation via c-MYC Contributing to Nerve Injury-Induced Neuropathic Pain.

Applications

Unspecified application

Species

Unspecified reactive species

Bao-Chun Jiang,Ting-Yu Ding,Chang-Yun Guo,Xue-Hui Bai,De-Li Cao,Xiao-Bo Wu,Wei-Lin Sha,Ming Jiang,Long-Jun Wu,Yong-Jing Gao
View all publications

Abcam product promise

当社は、高品質な試薬を通じてお客様の研究を力強くサポートすることをお約束いたします。ご使用いただく各段階で、常にお客様をサポートできる体制を整えております。万が一、製品が期待通りに機能しない場合は、「Abcam Product Promise」による当社保証制度に基づき、安心してご利用いただけます。
保証に関する詳細については利用規約をご確認ください。

Please note: All products are 'FOR RESEARCH USE ONLY. NOT FOR USE IN DIAGNOSTIC OR THERAPEUTIC PROCEDURES'.

For licensing inquiries, please contact partnerships@abcam.com