JavaScript is disabled in your browser. Please enable JavaScript to view this website.
AB131473

Anti-NF2 / Merlin (phospho S518) 抗体

Anti-NF2 / Merlin (phospho S518) antibody

Be the first to review this product! Submit a review

|

(2 Publications)

Rabbit Polyclonal NF2 / Merlin phospho S518 antibody. Suitable for WB, ICC/IF and reacts with Human samples. Cited in 2 publications. Immunogen corresponding to Synthetic Peptide within Human NF2 phospho S518 conjugated to Keyhole Limpet Haemocyanin.

別名を表示する

SCH, NF2, Merlin, Moesin-ezrin-radixin-like protein, Neurofibromin-2, Schwannomerlin, Schwannomin

2 Images
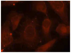
Immunocytochemistry/ Immunofluorescence - Anti-NF2 / Merlin (phospho S518) antibody (AB131473)
  • ICC/IF

Unknown

Immunocytochemistry/ Immunofluorescence - Anti-NF2 / Merlin (phospho S518) antibody (AB131473)

Immunofluorescent analysis of methanol-fixed HeLa cells labelling NF2 / Merlin (phospho S518) with ab131473 at 1/100 dilution.

Western blot - Anti-NF2 / Merlin (phospho S518) antibody (AB131473)
  • WB

Unknown

Western blot - Anti-NF2 / Merlin (phospho S518) antibody (AB131473)

All lanes:

Western blot - Anti-NF2 / Merlin (phospho S518) antibody (ab131473) at 1/500 dilution

Lane 1:

HUVEC cell extract

Lane 2:

HUVEC cell extract treated with IFN alpha

Predicted band size: 70 kDa

false

Key facts

宿主種

Rabbit

クローン性

Polyclonal

アイソタイプ

IgG

キャリアフリー

No

交差種

Human

アプリケーション

ICC/IF, WB

applications

免疫原

Synthetic Peptide within Human NF2 phospho S518 conjugated to Keyhole Limpet Haemocyanin. The exact immunogen used to generate this antibody is proprietary information.

P35240

Reactivity data

{ "title": "Reactivity Data", "filters": { "stats": ["", "Species", "Dilution Info", "Notes"], "tabs": { "all-applications": {"fullname" : "All Applications", "shortname": "All Applications"}, "WB" : {"fullname" : "Western blot", "shortname":"WB"}, "ICCIF" : {"fullname" : "Immunocytochemistry/ Immunofluorescence", "shortname":"ICC/IF"} }, "product-promise": { "all": "all", "testedAndGuaranteed": "tested", "guaranteed": "expected", "predicted": "predicted", "notRecommended": "not-recommended" } }, "values": { "Human": { "WB-species-checked": "testedAndGuaranteed", "WB-species-dilution-info": "1/500 - 1/1000", "WB-species-notes": "<p></p>", "ICCIF-species-checked": "testedAndGuaranteed", "ICCIF-species-dilution-info": "1/100 - 1/200", "ICCIF-species-notes": "<p></p>" } } }

出荷温度及び保存条件

製品の状態
Liquid
精製方法
Affinity purification Immunogen
精製に関する特記事項
ab131473 was purified by affinity-chromatography using epitope-specific phosphopeptide. Non-phospho specific antibodies were removed by chromatography using non-phosphopeptide.
バッファー組成
pH: 7.4 Preservative: 0.02% Sodium azide Constituents: PBS, 50% Glycerol (glycerin, glycerine), 0.88% Sodium chloride
出荷温度
Blue Ice
短期保存温度
+4°C
長期保存温度
-20°C
保管に関する情報
Stable for 12 months at -20°C

補足情報

This supplementary information is collated from multiple sources and compiled automatically.

The NF2 gene produces a protein known as Neurofibromin 2 often called Merlin. The NF2 protein or Merlin protein plays a mechanical role in the cell as a tumor suppressor by stabilizing cellular structure and regulating cell growth. Its molar mass is approximately 70 kDa. NF2 protein is found mainly in the nervous system particularly in Schwann cells which are important for nerve function.
Biological function summary

The NF2 protein functions to control cell proliferation differentiation and motility. It associates with the cytoskeleton acting as a bridge between cell surface proteins and the actin cytoskeleton. Merlin as part of the ERM (ezrin radixin moesin) family contributes to the assembly of protein complexes at the cell membrane. Through its interactions it plays a significant role in maintaining proper cell signaling and structural integrity.

Pathways

NF2 protein integrates into the Hippo signaling pathway which regulates organ size by controlling cell growth and apoptosis. Within this pathway Merlin interacts with members such as YAP1 and LATS1/2 moderating their activity to prevent over-proliferation of cells. NF2 also connects with the mTOR pathway which is critical for cell metabolism and growth further emphasizing its regulatory functions in cellular homeostasis.

Mutations or deletions in the NF2 gene are associated with neurofibromatosis type 2 a condition that causes benign tumors on nerve tissues known as schwannomas. NF2 protein is linked to other proteins such as angiogenesis factors contributing to the development of these tumors. Schwannomatosis another disorder related to NF2 involves nerve sheath tumor formation with Merlin mutation playing a role indicating its importance in nervous system health.

製品プロトコール

For this product, it's our understanding that no specific protocols are required. You can visit:

ターゲットの情報

Probable regulator of the Hippo/SWH (Sav/Wts/Hpo) signaling pathway, a signaling pathway that plays a pivotal role in tumor suppression by restricting proliferation and promoting apoptosis. Along with WWC1 can synergistically induce the phosphorylation of LATS1 and LATS2 and can probably function in the regulation of the Hippo/SWH (Sav/Wts/Hpo) signaling pathway. May act as a membrane stabilizing protein. May inhibit PI3 kinase by binding to AGAP2 and impairing its stimulating activity. Suppresses cell proliferation and tumorigenesis by inhibiting the CUL4A-RBX1-DDB1-VprBP/DCAF1 E3 ubiquitin-protein ligase complex.
See full target information NF2 phospho S518

文献 (2)

Recent publications for all applications. Explore the full list and refine your search

Mechanobiology in medicine 1:100023 PubMed40395635

2023

Extracellular cell matrix stiffness-driven drug resistance of breast cancer cells via EGFR activation.

Applications

Unspecified application

Species

Unspecified reactive species

Tingting Li,Yichao Li,Hao Wu,Chong Peng,Jiawen Wang,Shihuan Chen,Tian Zhao,Shun Li,Xiang Qin,Yiyao Liu

BMC genomics 15:883 PubMed25301173

2014

Divergence of RNA localization between rat and mouse neurons reveals the potential for rapid brain evolution.

Applications

Unspecified application

Species

Unspecified reactive species

Chantal Francis,Shreedhar Natarajan,Miler T Lee,Mugdha Khaladkar,Peter T Buckley,Jai-Yoon Sul,James Eberwine,Junhyong Kim
View all publications

Abcam product promise

当社は、高品質な試薬を通じてお客様の研究を力強くサポートすることをお約束いたします。ご使用いただく各段階で、常にお客様をサポートできる体制を整えております。万が一、製品が期待通りに機能しない場合は、「Abcam Product Promise」による当社保証制度に基づき、安心してご利用いただけます。
保証に関する詳細については利用規約をご確認ください。

Please note: All products are 'FOR RESEARCH USE ONLY. NOT FOR USE IN DIAGNOSTIC OR THERAPEUTIC PROCEDURES'.

For licensing inquiries, please contact partnerships@abcam.com