JavaScript is disabled in your browser. Please enable JavaScript to view this website.
AB177487

Anti-NeuN 抗体 [EPR12763] - Neuronal Marker

Anti-NeuN antibody [EPR12763] - Neuronal Marker

  • BOND RX™ Validated
  • RabMAb
  • Recombinant
  • Lab Essentials
  • 20ul selling size
  • Advanced Validation
  • 詳細を見る

5

(74 Reviews)

|

(1422 Publications)

Anti-NeuN antibody [EPR12763] - Neuronal Marker (ab177487) is a rabbit monoclonal antibody detecting NeuN in Western Blot, Flow Cytometry, IHC-P, IHC-Fr, ICC/IF, mIHC. Suitable for Cat, Common marmoset, Dog, Human, Mouse, Rat, Sheep, Zebrafish.

- Multiplex IHC validated on the Leica BOND® MAX using Opal reagents
- Biophysical QC for unrivalled batch-batch consistency
- Over 860 publications

別名を表示する

RNA binding protein fox-1 homolog 3, Fox-1 homolog C, Neuronal nuclei antigen, NeuN antigen, RBFOX3

32 Images
Immunohistochemistry (Frozen sections) - Anti-NeuN antibody [EPR12763] - Neuronal Marker (AB177487)
  • IHC-Fr

Supplier Data

Immunohistochemistry (Frozen sections) - Anti-NeuN antibody [EPR12763] - Neuronal Marker (AB177487)

Immunohistochemical analysis of 4% PFA-fixed 0.2% Triton X-100 permeabilized frozen Mouse hippocampus (fresh frozen) tissue labeling MAP2 with ab318993 at 1/2000 (0.486 ug/ml) dilution followed by ab150169 Goat Anti-Chicken IgY H&L (Alexa Fluor® 488) at 1/1000 (2 ug/mL) dilution (Green).

Panel A : merged staining of anti-MAP2 (ab318993 green), anti-NeuN (ab177487 red) and anti-GFAP (ab313596 grey) on mouse hippocampus.
Panel B : anti-MAP2 stained on mouse hippocampus.
Panel C : anti-NeuN stained in neuron of mouse hippocampus.
Panel D : anti-GFAP stained in astrocytes of mouse hippocampus.
The nuclear counterstain was DAPI (Blue). The section was incubated with ab318993 ab177487 and ab313596 for 60 mins at room temperature. The section was then mounted using Fluoromount®.The immunostaining was performed on a Leica Biosystems BOND® RX instrument. Image was taken with a confocal microscope (Leica-Microsystems TCS SP8).

Secondary antibody control : Secondary antibody is ab150169 Goat Anti-Chicken IgY H&L (Alexa Fluor® 488) at 1/1000 (2 ug/mL) dilution.

Multiplex immunohistochemistry - Anti-NeuN antibody [EPR12763] - Neuronal Marker (AB177487)
  • mIHC

Lab

Multiplex immunohistochemistry - Anti-NeuN antibody [EPR12763] - Neuronal Marker (AB177487)

Fluorescence multiplex immunohistochemical analysis of human cerebellum tissue (formalin-fixed paraffin-embedded section).

Merged staining of Neu-N (ab177487; yellow; Opal™570), anti-beta III Tubulin (ab52623; red; Opal™690) and anti-GFAP (ab68428; green; Opal™520).

The immunostaining was performed on a Leica Biosystems BOND® RX instrument with an Opal™ kit.

The section was incubated in three rounds of staining with ab177487 (1/1000 dilution), ab52623 (1/200 dilution) and ab68428 (1/250 dilution); each using a separate fluorescent tyramide signal amplification system.

Sodium citrate antigen retrieval (pH 6.0) was used in between rounds of tyramide signal amplification to remove the antibody from the previous round, to avoid any cross-reactivity.

DAPI (blue) was used as a nuclear counter stain.

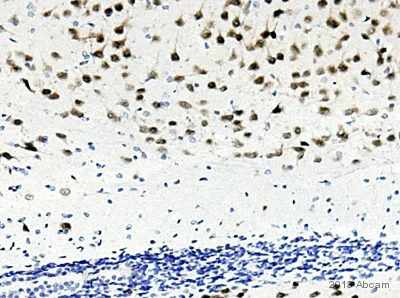
Immunohistochemistry (Formalin/PFA-fixed paraffin-embedded sections) - Anti-NeuN antibody [EPR12763] - Neuronal Marker (AB177487)
  • IHC-P

Lab

Immunohistochemistry (Formalin/PFA-fixed paraffin-embedded sections) - Anti-NeuN antibody [EPR12763] - Neuronal Marker (AB177487)

Immunohistochemical analysis of formalin fixed paraffin embedded human cerebellum labelling NeuN with ab177487 at a dilution of 1/500. The immunostaining was performed on a Ventana DISCOVERY ULTRA (Roche Tissue Diagnostics) instrument with an ChromoMap DAB (RUO) IHC Detection Kit with anti rabbit HQ and anti HQ HRP. Heat mediated antigen retrieval was conducted for 24 min with DISCOVERY cell conditioning solution (CC1) 100°C, pH 8.5. ab177487 was incubated at 37°C for 16 min. Sections were counterstained is with Hematoxylin II. Image inset shows absence of staining in secondary antibody only control.

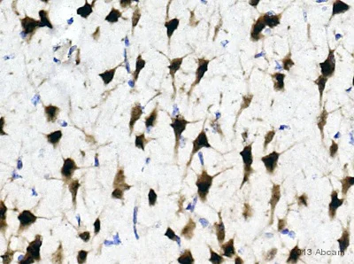
Immunohistochemistry (Formalin/PFA-fixed paraffin-embedded sections) - Anti-NeuN antibody [EPR12763] - Neuronal Marker (AB177487)
  • IHC-P

Lab

Immunohistochemistry (Formalin/PFA-fixed paraffin-embedded sections) - Anti-NeuN antibody [EPR12763] - Neuronal Marker (AB177487)

Immunohistochemistry (Formalin/PFA-fixed paraffin-embedded sections) analysis of human gliocytoma tissue labelling NeuN with ab177487 at 1/3000 dilution. Heat mediated antigen retrieval was performed using Tris/EDTA buffer pH 9. A prediluted HRP-polymer conjugated anti-rabbit IgG was used as the secondary antibody. Counterstained with Hematoxylin.

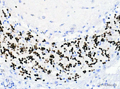
Immunohistochemistry (Formalin/PFA-fixed paraffin-embedded sections) - Anti-NeuN antibody [EPR12763] - Neuronal Marker (AB177487)
  • IHC-P

AbReview38955****

Immunohistochemistry (Formalin/PFA-fixed paraffin-embedded sections) - Anti-NeuN antibody [EPR12763] - Neuronal Marker (AB177487)

IHC-P image of FOX3/NeuN staining on zebrafish spinal cord sections using ab177487 (1/500). Sections were de-paraffinized and subjected to heat mediated antigen retrieval using citric acid. The sections were blocked using 1% BSA for 10 minutes at 21°C. ab177487 was diluted 1/500 and incubated with the sections for 2 hours at 21°C. The secondary antibody used was goat polyclonal to rabbit IgG conjugated to biotin (1/250).

This image is courtesy of an abreview submitted by Carl Hobbs, Kings's College London, United Kingdom.

Immunocytochemistry/ Immunofluorescence - Anti-NeuN antibody [EPR12763] - Neuronal Marker (AB177487)
  • ICC/IF

Lab

Immunocytochemistry/ Immunofluorescence - Anti-NeuN antibody [EPR12763] - Neuronal Marker (AB177487)

Immunocytochemsitry/Immunofluorescence analysis of SH-SY5Y (Human neuroblastoma cell line from bone marrow) cells labeling NeuN (green) with ab177487 at 1/300 dilution. Cells were fixed with 4% paraformaldehyde. An Alexa Fluor® 488-conjugated goat anti-rabbit IgG (1/200 dilution) was used as the secondary antibody. Counterstained with DAPI (blue).

Immunohistochemistry (Formalin/PFA-fixed paraffin-embedded sections) - Anti-NeuN antibody [EPR12763] - Neuronal Marker (AB177487)
  • IHC-P

AbReview38940****

Immunohistochemistry (Formalin/PFA-fixed paraffin-embedded sections) - Anti-NeuN antibody [EPR12763] - Neuronal Marker (AB177487)

IHC-P image of FOX3/NeuN staining on mouse brain (frontal cortex) sections using ab177487 (1/800 dilution). Sections were de-paraffinized and subjected to heat mediated antigen retrieval using citric acid. The sections were blocked using 1% BSA for 10 minutes at 21°C. ab177487 was diluted 1/800 and incubated with the sections for 2 hours at 21°C. The secondary antibody used was goat polyclonal to rabbit IgG conjugated to biotin (1/250 dilution).

This image is courtesy of an abreview submitted by Carl Hobbs, Kings's College London, United Kingdom.

Immunohistochemistry (Formalin/PFA-fixed paraffin-embedded sections) - Anti-NeuN antibody [EPR12763] - Neuronal Marker (AB177487)
  • IHC-P

AbReview38959****

Immunohistochemistry (Formalin/PFA-fixed paraffin-embedded sections) - Anti-NeuN antibody [EPR12763] - Neuronal Marker (AB177487)

IHC-P image of FOX3/NeuN staining on sheep brain (Frontal cortex) sections using ab177487 (1/1000 dilution). Sections were de-paraffinized and subjected to heat mediated antigen retrieval using citric acid. The sections were blocked using 1% BSA for 10 minutes at 21°C. ab177487 was diluted 1/1000 and incubated with the sections for 2 hours at 21°C. The secondary antibody used was goat polyclonal to rabbit IgG conjugated to biotin (1/250 dilution).

This image is courtesy of an abreview submitted by Carl Hobbs, Kings's College London, United Kingdom.

Immunocytochemistry/ Immunofluorescence - Anti-NeuN antibody [EPR12763] - Neuronal Marker (AB177487)
  • ICC/IF

Lab

Immunocytochemistry/ Immunofluorescence - Anti-NeuN antibody [EPR12763] - Neuronal Marker (AB177487)

Immunofluorescence staining of NeuN using ab177487 in ioGlutamatergic Neurons (Human iPSC-Derived Glutamatergic Neurons, ab259259), which were differentiated for 1 day post induction.

The cells were fixed with 4% formaldehyde (10 min), permeabilized with 0.1% PBS-Tween for 5 mins and then blocked with 1% BSA/10% normal goat serum/0.3M glycine in 0.1% PBS-Tween for 1h. The cells were then incubated overnight at +4°C with ab177487 at 1 μg/ml and ab7291, Mouse monoclonal [DM1A] to alpha Tubulin, at 1/1000 dilution. Cells were then incubated with ab150081, Goat Anti-Rabbit IgG H&L (Alexa Fluor® 488) preadsorbed at 1/1000 dilution (shown in green) and ab150120, Goat Anti-Mouse IgG H&L (Alexa Fluor® 594) preadsorbed at 1/1000 dilution (shown in red). Nuclear DNA was labelled with DAPI (shown in blue).

Images were acquired with the Perkin Elmer Operetta HCA and a maximum intensity projection of confocal sections is shown.

Multiplex immunohistochemistry - Anti-NeuN antibody [EPR12763] - Neuronal Marker (AB177487)
  • mIHC

Lab

Multiplex immunohistochemistry - Anti-NeuN antibody [EPR12763] - Neuronal Marker (AB177487)

Chromogenic multiplex immunohistochemical staining of FFPE normal human cerebellum tissue. ab177487, anti-NeuN DAB chromogen. ab68428, anti-GFAP purple chromogen and ab178846, anti- Iba1 teal chromogen plus haematoxylin counterstain. Chromogenic immunostaining was performed on a Roche Ventana Discovery Ultra instrument. The section was deparaffinised and incubated with CC1 solution for 24min 100°C. Following this with 3 rounds of staining in the order of ab177487 (1/600), ab178846 (1/4000) ab68428 (1/1000). Between rounds of staining, antibody denaturation was conducted using Ultra CC2 solution for 8min at 100°C to avoid cross reactivity. Signal was developed with anti-rabbit HQ followed by anti-HQ HRP coupled with Chromomap DAB kit, Discovery purple or Discovery teal chromogens and haematoxylin II counterstain.

Immunohistochemistry (Formalin/PFA-fixed paraffin-embedded sections) - Anti-NeuN antibody [EPR12763] - Neuronal Marker (AB177487)
  • IHC-P

Lab

Immunohistochemistry (Formalin/PFA-fixed paraffin-embedded sections) - Anti-NeuN antibody [EPR12763] - Neuronal Marker (AB177487)

IHC image of NeuN (ab177487) with VHH Single Domain Anti-Rabbit IgG Fc (HRP) (ab191866) staining in formalin fixed paraffin embedded normal human cerebellum tissue section.

The section was dewaxed and then pre-treated using heat mediated antigen retrieval with sodium citrate buffer (pH6) in a Dako Pascal pressure cooker using the standard factory-set regime. Non-specific protein-protein interactions were then blocked using in TBS containing 0.025% (v/v) Triton X-100, 0.3M (w/v) glycine and 3% (w/v) BSA for 1 hour at room temperature. The section was then incubated with rabbit monoclonal antibody [EPR12763] to NeuN (ab177487, 0.1μg/ml) in TBS containing 0.025% (v/v) Triton X-100 and 3% (w/v) BSA overnight at +4°C. Endogenous peroxidases were quenched using 1.6% (v/v) hydrogen peroxide in TBS containing 0.025% (v/v) Triton X-100 for 30 minutes at room temperature, with agitation. The secondary antibody, VHH Single Domain Anti-Rabbit IgG Fc (HRP) (ab191866, 1.0μg/ml) was then applied for 1 hour at room temperature in TBS containing 0.025% (v/v) Triton X-100 and 3% (w/v) BSA before being developed for 10 minutes at room temperature using Steady DAB/Plus (ab103723). The section was then counterstained with hematoxylin and mounted with DPX.

The negative control (secondary antibody only, no primary) inset shows no staining, demonstrating secondary antibody specificity.

For other IHC staining systems (automated and non-automated), customers should optimize variable parameters such as antigen retrieval conditions, antibody concentrations and incubation times.

Flow Cytometry (Intracellular) - Anti-NeuN antibody [EPR12763] - Neuronal Marker (AB177487)
  • Flow Cyt (Intra)

Lab

Flow Cytometry (Intracellular) - Anti-NeuN antibody [EPR12763] - Neuronal Marker (AB177487)

Overlay histogram showing U-87 MG (Human glioblastoma-astrocytoma epithelial cell line) cells stained with ab177487 (red line).

The cells were fixed with 80% methanol (5 minutes) and then permeabilized with 0.1% PBS-Tween for 20 minutes. The cells were then incubated in 1x PBS / 10% normal goat serum / 0.3M glycine to block non-specific protein-protein interactions followed by the antibody (ab177487 1/100 dilution) for 30 minutes at 22°C. The secondary antibody used was Alexa Fluor®488 goat anti-rabbit IgG (H&L) (ab150081) at 1/2000 dilution for 30 minutes at 22°C. Isotype control antibody (black line) was rabbit IgG (monoclonal) (ab172730 1μg/1x106cells used under the same conditions. Unlabeled sample (blue line) was also used as a control.

Acquisition of >5000 events were collected using a 20mW Argon ion laser (488nm) and 525/30 bandpass filter.

Alexa Fluor® 488 (ab190195) and Alexa Fluor® 647 (ab190565) conjugated versions are available for this clone.

Immunocytochemistry/ Immunofluorescence - Anti-NeuN antibody [EPR12763] - Neuronal Marker (AB177487)
  • ICC/IF

AbReview66918****

Immunocytochemistry/ Immunofluorescence - Anti-NeuN antibody [EPR12763] - Neuronal Marker (AB177487)

Immunocytochemistry/immunofluorescence analysis of human neurons differentiated from iPSCs labelling NeuN (green) with ab177487 at 1/500 in 0.1% TritonX-100 1% goat serum 1X PBS for 16 hours at 4°C. Cells were fixed with paraformaldehyde and permeabilized with 0.5% Triton X-100. Then cells were blocked with 5% serum for 20 minutes at 23°C. Goat Anti-Rabbit IgG H&L (Alexa Fluor® 488) (ab150077) at 1/1000 dilutionwas used as the secondary antibody. Tuj1 antibody was used to stain neuronal dendrites and axons (red).

This image is courtesy of an Abreview submitted by Vladimir Milenkovic

Multiplex immunohistochemistry - Anti-NeuN antibody [EPR12763] - Neuronal Marker (AB177487)
  • mIHC

Lab

Multiplex immunohistochemistry - Anti-NeuN antibody [EPR12763] - Neuronal Marker (AB177487)

Multiplex immunohistochemistry analysis of formalin/PFA-fixed paraffin-embedded rat dorsal root ganglia staining GALR2 with ab271019 at a 1/2000 dilution and ab177487 anti-NeuN used at 1/300 dilution.

Panel A : merged staining of anti-GALR2 (green; Opal™520) and anti-NeuN (magenta; Opal™570) on Rat dorsal root ganglia.

Panel B : anti-GALR2 stained on cytoplasm of neurons.

Panel C : anti-NeuN stained on nucleus and cytoplasm of neurons.

Panel D : Nuclear DNA was labeled with DAPI (shown in blue).

The section was incubated in two rounds of staining : in the order of ab271019 and ab177487 for 30 mins at room temperature. Each round was followed by a separate fluorescent tyramide signal amplification system.

The immunostaining was performed on a Leica Biosystems BOND® RX instrument with an Opal™ 4-color kit. Image acquisition was performed with Leica SP8 confocal microscope.

Heat mediated antigen retrieval was performed with Tris-EDTA buffer (pH 9.0, Epitope Retrieval Solution2) for 20 mins.

Immunohistochemistry (Frozen sections) - Anti-NeuN antibody [EPR12763] - Neuronal Marker (AB177487)
  • IHC-Fr

Unknown

Immunohistochemistry (Frozen sections) - Anti-NeuN antibody [EPR12763] - Neuronal Marker (AB177487)

​An independent comparison of commercially available NeuN clones in IHC-Fr (acetone-fixed mouse dentate gyrus sections).

Competitor A : Leading mouse monoclonal.

Competitor B : Non-Abcam rabbit monoclonal.

ab177487 produces intense, specific staining with minimal background, even at half the dilution of competing antibodies.

Immunohistochemistry (Frozen sections) - Anti-NeuN antibody [EPR12763] - Neuronal Marker (AB177487)
  • IHC-Fr

AbReview42910****

Immunohistochemistry (Frozen sections) - Anti-NeuN antibody [EPR12763] - Neuronal Marker (AB177487)

ab177487 staining NeuN in mouse brain tissue sections by Immunohistochemistry (IHC-Fr - frozen sections). Tissue was fixed with formaldehyde and blocked with Triton X-100 + 0.4% horse serum for 30 minutes at 20°C. Samples were incubated with primary antibody (1/500 in blocking solution) for 16 hours at 4°C. An Alexa Fluor® 594-conjugated donkey anti-rabbit IgG polyclonal (1/200) was used as the secondary antibody.

This image is courtesy of an Abreview submitted by Eva Borger

Immunohistochemistry (Formalin/PFA-fixed paraffin-embedded sections) - Anti-NeuN antibody [EPR12763] - Neuronal Marker (AB177487)
  • IHC-P

Collaborator

Immunohistochemistry (Formalin/PFA-fixed paraffin-embedded sections) - Anti-NeuN antibody [EPR12763] - Neuronal Marker (AB177487)

IHC-P image of NeuN (green) and GFAP (red) double staining on mouse cerebellum sections using ab177487 (1/5000) and ab4674 (1/1500) respectively.

The sections were deparaffinized and subjected to heat mediated antigen retrieval using citric acid. The sections were then incubated with Rabbit Monoclonal to NeuN (ab177487) diluted at 1/5000 and Chicken Polyclonal to GFAP (ab4674) diluted at 1/1500. The primary antibody was detected using ab150097 Goat anti-rabbit IgG conjugated to Alexa Fluor® 488 (1/500) and ab150176 Goat anti-chicken IgY conjugated to Alexa Fluor® 594 (1/500)

This image is courtesy of an abreview submitted by Carl Hobbs, Kings's College London, United Kingdom.

Immunocytochemistry/ Immunofluorescence - Anti-NeuN antibody [EPR12763] - Neuronal Marker (AB177487)
  • ICC/IF

Lab

Immunocytochemistry/ Immunofluorescence - Anti-NeuN antibody [EPR12763] - Neuronal Marker (AB177487)

Immunocytochemistry/immunofluorescence analysis of Mouse primary neuron cells labelling NeuN with ab177487 at 1/100. Cells were fixed with 4% paraformaldehyde and permeabilized with 0.1% Triton X-100. Goat Anti-Rabbit IgG H&L (Alexa Fluor® 488) (ab150077) at 1/1000 was used as the secondary antibody (green). Cells were counterstained with Anti-MAP2 mouse monoclonal antibody (ab11267) at 1/200 dilution and visualised using Goat Anti-Mouse IgG H&L (Alexa Fluor® 594) (ab150120) at 1/1000 dilution (red). Nuclear DNA was labelled with DAPI (blue).

Confocal image showing mainly nuclear staining in mouse primary neuron cells. Confocal scanning Z step was set as 0.3 μm followed by image processing with maximum Z projection.

Immunohistochemistry (PFA fixed) - Anti-NeuN antibody [EPR12763] - Neuronal Marker (AB177487)
  • IHC (PFA fixed)

Supplier Data

Immunohistochemistry (PFA fixed) - Anti-NeuN antibody [EPR12763] - Neuronal Marker (AB177487)

NeuN antibody ab177487 was used with Tissue Clearing Kit ab243298 to penetrate, stain and clear a 1 mm coronal section of mouse brain. Blue : DAPI, Green : NeuN. Learn more about tissue clearing kits, reagents, and protocols designed to make it easier to stain thick tissue sections and get more data from each valuable tissue section. For 1 mm brain sections, we recommend a starting dilution of 1 : 200, and also using Goat Anti-Rabbit IgG H&L AlexaFluor488 (ab150077) at a dilution of 1 : 400.

Immunohistochemistry (Formalin/PFA-fixed paraffin-embedded sections) - Anti-NeuN antibody [EPR12763] - Neuronal Marker (AB177487)
  • IHC-P

AbReview38953****

Immunohistochemistry (Formalin/PFA-fixed paraffin-embedded sections) - Anti-NeuN antibody [EPR12763] - Neuronal Marker (AB177487)

IHC-P image of FOX3/NeuN staining on rat brain (SVZ) sections using ab177487 (1/2000). Sections were de-paraffinized and subjected to heat mediated antigen retrieval using citric acid. The sections were blocked using 1% BSA for 10 minutes at 21°C. ab177487 was diluted 1/2000 and incubated with the sections for 2 hours at 21°C. The secondary antibody used was goat polyclonal to rabbit IgG conjugated to biotin (1/250).

This image is courtesy of an abreview submitted by Carl Hobbs, Kings's College London, United Kingdom.

Immunohistochemistry (Formalin/PFA-fixed paraffin-embedded sections) - Anti-NeuN antibody [EPR12763] - Neuronal Marker (AB177487)
  • IHC-P

Unknown

Immunohistochemistry (Formalin/PFA-fixed paraffin-embedded sections) - Anti-NeuN antibody [EPR12763] - Neuronal Marker (AB177487)

Immunohistochemistry (Formalin/PFA-fixed paraffin-embedded sections) analysis of Mouse cerebrum tissue labelling NeuN with ab177487 at 1/100 dilution (B), SOX1 with ab242125 at 1/100 dilution (C) and Olig2 with ab109186 at 1/100 dilution (D). Anti-Rabbit and Mouse Polymer HRP was used as a secondary antibody, and DAPI was used for a nuclear counter stain. Heat mediated antigen retrieval with Tris-EDTA buffer (pH 9.0, epitope retrieval solution 2) for 20mins. Heat mediated antigen retrieval (Leica ER2, PH9.0, 20 minutes) was used in between rounds of tyramide signal amplification to remove the antibodies from the previous round, to avoid any cross-reactivity.

Panel A : merged staining of anti- NeuN (green, Opal™520), anti-SOX1 (red, Opal™570) and anti- Olig2 (yellow, Opal™690).

Panel B : anti-NeuN stained for neurons.

Panel C : anti-SOX1 stained on neural progenitors.

Panel D : anti-Olig2 stained on oligodendrocyte.

The section was incubated in three rounds of staining : in the order of ab177487, ab242125 and ab109186 for 30 mins at room temperature. Each round was followed by a separate fluorescent tyramide signal amplification system.

The immunostaining was performed on a Leica Biosystems BOND® RX instrument with an Opal™ 4-color kit. Image acquisition was performed with Leica SP8 confocal microscope.

Immunohistochemistry (Frozen sections) - Anti-NeuN antibody [EPR12763] - Neuronal Marker (AB177487)
  • IHC-Fr

AbReview40650****

Immunohistochemistry (Frozen sections) - Anti-NeuN antibody [EPR12763] - Neuronal Marker (AB177487)

ab177487 staining NeuN in mouse free floating 50 micron lumbar spinal cord tissue sections by Immunohistochemistry (IHC-Fr - frozen sections). Tissue was fixed with formaldehyde, permeabilized with Triton X-100 and blocked with 10% serum for 2 hours at 25°C. Samples were incubated with primary antibody (1/500 in PBS + Triton) for 16 hours at 4°C. An Alexa Fluor® 594-conjugated donkey anti-rabbit IgG polyclonal (1/700) was used as the secondary antibody.

This image is courtesy of an Abreview submitted by Jianning Lu

Immunohistochemistry (Formalin/PFA-fixed paraffin-embedded sections) - Anti-NeuN antibody [EPR12763] - Neuronal Marker (AB177487)
  • IHC-P

AbReview38956****

Immunohistochemistry (Formalin/PFA-fixed paraffin-embedded sections) - Anti-NeuN antibody [EPR12763] - Neuronal Marker (AB177487)

IHC-P image of FOX3/NeuN staining on cat cerebellum sections using ab177487 (1/1000 dilution).

Sections were de-paraffinized and subjected to heat mediated antigen retrieval using citric acid. The sections were blocked using 1% BSA for 10 minutes at 21°C. ab177487 was diluted 1/1000 and incubated with the sections for 2 hours at 21°C. The secondary antibody used was goat polyclonal to rabbit IgG conjugated to biotin (1/250 dilution).

This image is courtesy of an abreview submitted by Carl Hobbs, Kings's College London, United Kingdom.

IHC-tissue clearing - Anti-NeuN antibody [EPR12763] - Neuronal Marker (AB177487)
  • IHC-tissue clearing

Supplier Data

IHC-tissue clearing - Anti-NeuN antibody [EPR12763] - Neuronal Marker (AB177487)

Anti-NeuN ab177487 was used with Tissue clearing kit – CUBIC (ab316246) and 3D Tissue Staining Kit – CUBIC (ab316248) to penetrate stain and clear a whole mouse brain.

White : nuclear staining
Red : NeuN.

Learn more about tissue clearing kits reagents and protocols designed to make it easier to stain whole brains and get more data from each valuable tissue sample. For a whole mouse brain we recommend starting with 10 ug of ab177487 and using a Fab fragment secondary antibody with 6.67 µg to create an antibody complex before 3D staining (see protocol for details). Additive A was used during the staining process.

The sample was imaged using a light-sheet microscope.

Flow Cytometry (Intracellular) - Anti-NeuN antibody [EPR12763] - Neuronal Marker (AB177487)
  • Flow Cyt (Intra)

Lab

Flow Cytometry (Intracellular) - Anti-NeuN antibody [EPR12763] - Neuronal Marker (AB177487)

Flow cytometry overlay histogram showing Neuro-2a cells stained with ab177487 (red line). The cells were fixed with 4% formaldehyde (10 min) and then permeabilised with 0.1% PBS-Triton X-100 for 15 min. The cells were incubated in 1x PBS containing 10% normal goat serum to block non-specific protein-protein interaction followed by the antibody (ab177487) (1x 106in 100μl at 5.0μg/ml (1/444)) for 30min at 22°C.

The secondary antibody Goat Anti-Rabbit IgG H&L (Alexa Fluor® 488) preadsorbed was incubated at 1/4000 for 30min at 22°C

Isotype control antibody (black line) was Recombinant Rabbit IgG, monoclonal [EPR25A] - Isotype Control used at the same concentration and conditions as the primary antibody. Unlabelled sample (blue line) was also used as a control.

Acquisition of >5000 events were collected using a 50 mW Blue laser (488nm) and 525/40 bandpass filter.

This antibody gave a positive signal in Neuro-2a Fixed with 80% methanol (5 min) / permeabilised with 0.1% PBS-Triton X-100 for 15 min under the same conditions.

Immunohistochemistry (Frozen sections) - Anti-NeuN antibody [EPR12763] - Neuronal Marker (AB177487)
  • IHC-Fr

Supplier Data

Immunohistochemistry (Frozen sections) - Anti-NeuN antibody [EPR12763] - Neuronal Marker (AB177487)

Immunohistochemical analysis of 4% PFA-fixed, 0.2% Triton X-100 permeabilized frozen Rat hippocampus (fresh frozen) tissue labeling MAP2 with ab318993 at 1/2000 (0.486 ug/ml) dilution followed by ab150169 Goat Anti-Chicken IgY H&L (Alexa Fluor® 488) at 1/1000 2 ug/mL dilution (Green).

Panel A : merged staining of anti-MAP2 (ab318993, green), anti-NeuN (ab177487, red) and anti-GFAP (ab313596, grey) on rat hippocampus.
Panel B : anti-MAP2 stained on rat hippocampus.
Panel C : anti-NeuN stained in neuron of rat hippocampus.
Panel D : anti-GFAP stained in astrocytes of rat hippocampus.
The nuclear counterstain was DAPI (Blue). The section was incubated with ab318993, ab177487 and ab313596 for 60 mins at room temperature. The section was then mounted using Fluoromount®.The immunostaining was performed on a Leica Biosystems BOND® RX instrument. Image was taken with a confocal microscope (Leica-Microsystems, TCS SP8).

Secondary antibody control : Secondary antibody is ab150169 Goat Anti-Chicken IgY H&L (Alexa Fluor® 488)at 1/1000 2 ug/mL dilution.

Western blot - Anti-NeuN antibody [EPR12763] - Neuronal Marker (AB177487)
  • WB

Lab

Western blot - Anti-NeuN antibody [EPR12763] - Neuronal Marker (AB177487)

Exposure time -
Lane 1-2 : 3 minutes.
Lane 3-4 : 1 minute.

Blocking and dilution buffer : 5% NFDM/TBST.

All lanes:

Western blot - Anti-NeuN antibody [EPR12763] - Neuronal Marker (ab177487) at 1/10000 dilution

Lane 1:

Human fetal brain tissue lysate at 10 µg

Lane 2:

HEK-293 (Human epithelial cell line from embryonic kidney) whole cell lysate at 10 µg

Lane 3:

Mouse brain tissue lysate at 10 µg

Lane 4:

Rat brain tissue lysate at 10 µg

Secondary

All lanes:

Peroxidase conjugated goat anti-rabbit IgG (H+L) at 1/1000 dilution

Predicted band size: 34 kDa

Observed band size: 46 kDa,48 kDa

false

Western blot - Anti-NeuN antibody [EPR12763] - Neuronal Marker (AB177487)
  • WB

Lab

Western blot - Anti-NeuN antibody [EPR12763] - Neuronal Marker (AB177487)

Different batches of ab177487 were tested on mouse brain lysate at 2.0 µg/ml. 15 µg of lysate was loaded in each lane. Bands observed at 46,48 kDa.

All lanes:

Western blot - Anti-NeuN antibody [EPR12763] - Neuronal Marker (ab177487)

Predicted band size: 34 kDa

false

Immunohistochemistry (Formalin/PFA-fixed paraffin-embedded sections) - Anti-NeuN antibody [EPR12763] - Neuronal Marker (AB177487)
  • IHC-P

AbReview38958****

Immunohistochemistry (Formalin/PFA-fixed paraffin-embedded sections) - Anti-NeuN antibody [EPR12763] - Neuronal Marker (AB177487)

IHC-P image of FOX3/NeuN staining on goat cerebellum sections using ab177487 (1/500 dilution). Sections were de-paraffinized and subjected to heat mediated antigen retrieval using citric acid. The sections were blocked using 1% BSA for 10 minutes at 21°C. ab177487 was diluted 1/500 and incubated with the sections for 2 hours at 21°C. The secondary antibody used was goat polyclonal to rabbit IgG conjugated to biotin (1/250 dilution).

This image is courtesy of an abreview submitted by Carl Hobbs, Kings's College London, United Kingdom.

Immunohistochemistry (Formalin/PFA-fixed paraffin-embedded sections) - Anti-NeuN antibody [EPR12763] - Neuronal Marker (AB177487)
  • IHC-P

AbReview38957****

Immunohistochemistry (Formalin/PFA-fixed paraffin-embedded sections) - Anti-NeuN antibody [EPR12763] - Neuronal Marker (AB177487)

IHC-P image of FOX3/NeuN staining on dog cerebellum sections using ab177487 (1/500 dilution).

Sections were de-paraffinized and subjected to heat mediated antigen retrieval using citric acid. The sections were blocked using 1% BSA for 10 minutes at 21°C. ab177487 was diluted 1/500 and incubated with the sections for 2 hours at 21°C. The secondary antibody used was goat polyclonal to rabbit IgG conjugated to biotin (1/250 dilution).

This image is courtesy of an abreview submitted by Carl Hobbs, Kings's College London, United Kingdom.

Immunohistochemistry (Formalin/PFA-fixed paraffin-embedded sections) - Anti-NeuN antibody [EPR12763] - Neuronal Marker (AB177487)
  • IHC-P

AbReview38954****

Immunohistochemistry (Formalin/PFA-fixed paraffin-embedded sections) - Anti-NeuN antibody [EPR12763] - Neuronal Marker (AB177487)

IHC-P image of FOX3/NeuN staining on marmoset cerebellum sections using ab177487 (1/2000). Sections were de-paraffinized and subjected to heat mediated antigen retrieval using citric acid. The sections were blocked using 1% BSA for 10 minutes at 21°C. ab177487 was diluted 1/2000 and incubated with the sections for 2 hours at 21°C. The secondary antibody used was goat polyclonal to rabbit IgG conjugated to biotin (1/250).

This image is courtesy of an abreview submitted by Carl Hobbs, Kings's College London, United Kingdom.

Immunohistochemistry (Formalin/PFA-fixed paraffin-embedded sections) - Anti-NeuN antibody [EPR12763] - Neuronal Marker (AB177487)
  • IHC-P

Collaborator

Immunohistochemistry (Formalin/PFA-fixed paraffin-embedded sections) - Anti-NeuN antibody [EPR12763] - Neuronal Marker (AB177487)

​An independent comparison of commercially available NeuN clones in IHC-P.

Competitor A : Leading mouse monoclonal.

Competitor B : Non-Abcam rabbit monoclonal.

Sodium citrate was used for antigen retrieval in all 3 samples.

ab177487 produces specific staining, equivalent to the leading mouse monoclonal at half the dilution. The non-Abcam mouse monoclonal was less specific as it stained Purkinje cells, which do not express NeuN.

関連する標識済み抗体及び組成の異なる製品 (8)

  • 565 Alexa Fluor® 555

    Alexa Fluor® 555 Anti-NeuN antibody [EPR12763] - Neuronal Marker

  • 519 Alexa Fluor® 488

    Alexa Fluor® 488 Anti-NeuN antibody [EPR12763] - Neuronal Marker

  • Carrier free

    Anti-NeuN antibody [EPR12763] - BSA and Azide free

  • 665 Alexa Fluor® 647

    Alexa Fluor® 647 Anti-NeuN antibody [EPR12763] - Neuronal Marker

  • 603 Alexa Fluor® 568

    Alexa Fluor® 568 Anti-NeuN antibody [EPR12763] - Neuronal Marker

  • 519 FITC

    FITC Anti-NeuN antibody [EPR12763] - Neuronal Marker

  • Biotin

    Biotin Anti-NeuN antibody [EPR12763] - Neuronal Marker

  • 617 Alexa Fluor® 594

    Alexa Fluor® 594 Anti-NeuN antibody [EPR12763] - Neuronal Marker

Key facts

宿主種

Rabbit

クローン性

Monoclonal

クローン番号

EPR12763

アイソタイプ

IgG

キャリアフリー

No

交差種

Mouse, Rat, Sheep, Goat, Cat, Dog, Human, Zebrafish, Common marmoset

アプリケーション

IHC (PFA fixed), IHC-P, IHC-Fr, Flow Cyt (Intra), ICC/IF, mIHC, WB

applications

免疫原

The exact immunogen used to generate this antibody is proprietary information.

Reactivity data

{ "title": "Reactivity Data", "filters": { "stats": ["", "Species", "Dilution Info", "Notes"], "tabs": { "all-applications": {"fullname" : "All Applications", "shortname": "All Applications"}, "WB" : {"fullname" : "Western blot", "shortname":"WB"}, "mIHC" : {"fullname" : "Multiplex immunohistochemistry", "shortname":"mIHC"}, "ICCIF" : {"fullname" : "Immunocytochemistry/ Immunofluorescence", "shortname":"ICC/IF"}, "IHCFr" : {"fullname" : "Immunohistochemistry (Frozen sections)", "shortname":"IHC-Fr"}, "FlowCytIntra" : {"fullname" : "Flow Cytometry (Intracellular)", "shortname":"Flow Cyt (Intra)"}, "IHCPFAfixed" : {"fullname" : "Immunohistochemistry (PFA fixed)", "shortname":"IHC (PFA fixed)"}, "IHCP" : {"fullname" : "Immunohistochemistry (Formalin/PFA-fixed paraffin-embedded sections)", "shortname":"IHC-P"} }, "product-promise": { "all": "all", "testedAndGuaranteed": "tested", "guaranteed": "expected", "predicted": "predicted", "notRecommended": "not-recommended" } }, "values": { "Human": { "WB-species-checked": "testedAndGuaranteed", "WB-species-dilution-info": "1/1000 - 1/10000", "WB-species-notes": "<p><strong>For unpurified use at 1/1000 - 1/2000.</strong></p>", "mIHC-species-checked": "testedAndGuaranteed", "mIHC-species-dilution-info": "1/1000", "mIHC-species-notes": "<p>Perform Sodium citrate antigen retrieval (pH 6.0) in between rounds of tyramide signal amplification to remove the antibody from the previous round, to avoid any cross-reactivity.</p> Perform heat-mediated antigen retrieval with citrate buffer pH 6 before commencing with IHC staining protocol.", "ICCIF-species-checked": "testedAndGuaranteed", "ICCIF-species-dilution-info": "1/100 - 1/300", "ICCIF-species-notes": "<p><strong>For unpurified use at 1/80.</strong></p>", "IHCFr-species-checked": "guaranteed", "IHCFr-species-dilution-info": "", "IHCFr-species-notes": "", "FlowCytIntra-species-checked": "testedAndGuaranteed", "FlowCytIntra-species-dilution-info": "1/100", "FlowCytIntra-species-notes": "<p><a href='/products/primary-antibodies/rabbit-igg-monoclonal-epr25a-isotype-control-ab172730'>ab172730</a> - Rabbit monoclonal IgG, is suitable for use as an isotype control with this antibody.</p>", "IHCPFAfixed-species-checked": "guaranteed", "IHCPFAfixed-species-dilution-info": "", "IHCPFAfixed-species-notes": "", "IHCP-species-checked": "testedAndGuaranteed", "IHCP-species-dilution-info": "1/3000", "IHCP-species-notes": "<p><strong>For unpurified use at 1/800.</strong></p> Perform heat-mediated antigen retrieval with Tris/EDTA buffer pH 9.0 before commencing with IHC staining protocol." }, "Mouse": { "WB-species-checked": "testedAndGuaranteed", "WB-species-dilution-info": "1/1000 - 1/10000", "WB-species-notes": "<p><strong>For unpurified use at 1/1000 - 1/2000.</strong></p>", "mIHC-species-checked": "guaranteed", "mIHC-species-dilution-info": "", "mIHC-species-notes": "", "ICCIF-species-checked": "testedAndGuaranteed", "ICCIF-species-dilution-info": "1/100 - 1/300", "ICCIF-species-notes": "<p><strong>For unpurified use at 1/80.</strong></p>", "IHCFr-species-checked": "testedAndGuaranteed", "IHCFr-species-dilution-info": "", "IHCFr-species-notes": "<p></p> Perform heat-mediated antigen retrieval with Tris/EDTA buffer pH 9.0 before commencing with IHC staining protocol.", "FlowCytIntra-species-checked": "testedAndGuaranteed", "FlowCytIntra-species-dilution-info": "1/444", "FlowCytIntra-species-notes": "<p></p>", "IHCPFAfixed-species-checked": "testedAndGuaranteed", "IHCPFAfixed-species-dilution-info": "", "IHCPFAfixed-species-notes": "<p></p>", "IHCP-species-checked": "testedAndGuaranteed", "IHCP-species-dilution-info": "1/3000", "IHCP-species-notes": "<p><strong>For unpurified use at 1/800.</strong></p> Perform heat-mediated antigen retrieval with Tris/EDTA buffer pH 9.0 before commencing with IHC staining protocol." }, "Rat": { "WB-species-checked": "testedAndGuaranteed", "WB-species-dilution-info": "1/1000 - 1/10000", "WB-species-notes": "<p><strong>For unpurified use at 1/1000 - 1/2000.</strong></p>", "mIHC-species-checked": "testedAndGuaranteed", "mIHC-species-dilution-info": "1/600", "mIHC-species-notes": "<p></p> Perform heat-mediated antigen retrieval with Tris/EDTA buffer pH 9.0 before commencing with IHC staining protocol.", "ICCIF-species-checked": "guaranteed", "ICCIF-species-dilution-info": "", "ICCIF-species-notes": "", "IHCFr-species-checked": "guaranteed", "IHCFr-species-dilution-info": "", "IHCFr-species-notes": "", "FlowCytIntra-species-checked": "guaranteed", "FlowCytIntra-species-dilution-info": "", "FlowCytIntra-species-notes": "", "IHCPFAfixed-species-checked": "guaranteed", "IHCPFAfixed-species-dilution-info": "", "IHCPFAfixed-species-notes": "", "IHCP-species-checked": "testedAndGuaranteed", "IHCP-species-dilution-info": "1/3000", "IHCP-species-notes": "<p><strong>For unpurified use at 1/800.</strong></p> Perform heat-mediated antigen retrieval with Tris/EDTA buffer pH 9.0 before commencing with IHC staining protocol." }, "Cat": { "WB-species-checked": "guaranteed", "WB-species-dilution-info": "", "WB-species-notes": "", "mIHC-species-checked": "guaranteed", "mIHC-species-dilution-info": "", "mIHC-species-notes": "", "ICCIF-species-checked": "guaranteed", "ICCIF-species-dilution-info": "", "ICCIF-species-notes": "", "IHCFr-species-checked": "guaranteed", "IHCFr-species-dilution-info": "", "IHCFr-species-notes": "", "FlowCytIntra-species-checked": "guaranteed", "FlowCytIntra-species-dilution-info": "", "FlowCytIntra-species-notes": "", "IHCPFAfixed-species-checked": "guaranteed", "IHCPFAfixed-species-dilution-info": "", "IHCPFAfixed-species-notes": "", "IHCP-species-checked": "testedAndGuaranteed", "IHCP-species-dilution-info": "1/3000", "IHCP-species-notes": "<p><strong>For unpurified use at 1/800.</strong></p> Perform heat-mediated antigen retrieval with Tris/EDTA buffer pH 9.0 before commencing with IHC staining protocol." }, "Common marmoset": { "WB-species-checked": "guaranteed", "WB-species-dilution-info": "", "WB-species-notes": "", "mIHC-species-checked": "guaranteed", "mIHC-species-dilution-info": "", "mIHC-species-notes": "", "ICCIF-species-checked": "guaranteed", "ICCIF-species-dilution-info": "", "ICCIF-species-notes": "", "IHCFr-species-checked": "guaranteed", "IHCFr-species-dilution-info": "", "IHCFr-species-notes": "", "FlowCytIntra-species-checked": "guaranteed", "FlowCytIntra-species-dilution-info": "", "FlowCytIntra-species-notes": "", "IHCPFAfixed-species-checked": "guaranteed", "IHCPFAfixed-species-dilution-info": "", "IHCPFAfixed-species-notes": "", "IHCP-species-checked": "testedAndGuaranteed", "IHCP-species-dilution-info": "1/3000", "IHCP-species-notes": "<p><strong>For unpurified use at 1/800.</strong></p> Perform heat-mediated antigen retrieval with Tris/EDTA buffer pH 9.0 before commencing with IHC staining protocol." }, "Cynomolgus monkey": { "WB-species-checked": "predicted", "WB-species-dilution-info": "", "WB-species-notes": "", "mIHC-species-checked": "predicted", "mIHC-species-dilution-info": "", "mIHC-species-notes": "", "ICCIF-species-checked": "predicted", "ICCIF-species-dilution-info": "", "ICCIF-species-notes": "", "IHCFr-species-checked": "predicted", "IHCFr-species-dilution-info": "", "IHCFr-species-notes": "", "FlowCytIntra-species-checked": "predicted", "FlowCytIntra-species-dilution-info": "", "FlowCytIntra-species-notes": "", "IHCPFAfixed-species-checked": "predicted", "IHCPFAfixed-species-dilution-info": "", "IHCPFAfixed-species-notes": "", "IHCP-species-checked": "predicted", "IHCP-species-dilution-info": "", "IHCP-species-notes": "" }, "Dog": { "WB-species-checked": "guaranteed", "WB-species-dilution-info": "", "WB-species-notes": "", "mIHC-species-checked": "guaranteed", "mIHC-species-dilution-info": "", "mIHC-species-notes": "", "ICCIF-species-checked": "guaranteed", "ICCIF-species-dilution-info": "", "ICCIF-species-notes": "", "IHCFr-species-checked": "guaranteed", "IHCFr-species-dilution-info": "", "IHCFr-species-notes": "", "FlowCytIntra-species-checked": "guaranteed", "FlowCytIntra-species-dilution-info": "", "FlowCytIntra-species-notes": "", "IHCPFAfixed-species-checked": "guaranteed", "IHCPFAfixed-species-dilution-info": "", "IHCPFAfixed-species-notes": "", "IHCP-species-checked": "testedAndGuaranteed", "IHCP-species-dilution-info": "1/3000", "IHCP-species-notes": "<p><strong>For unpurified use at 1/800.</strong></p> Perform heat-mediated antigen retrieval with Tris/EDTA buffer pH 9.0 before commencing with IHC staining protocol." }, "Goat": { "WB-species-checked": "guaranteed", "WB-species-dilution-info": "", "WB-species-notes": "", "mIHC-species-checked": "guaranteed", "mIHC-species-dilution-info": "", "mIHC-species-notes": "", "ICCIF-species-checked": "guaranteed", "ICCIF-species-dilution-info": "", "ICCIF-species-notes": "", "IHCFr-species-checked": "guaranteed", "IHCFr-species-dilution-info": "", "IHCFr-species-notes": "", "FlowCytIntra-species-checked": "guaranteed", "FlowCytIntra-species-dilution-info": "", "FlowCytIntra-species-notes": "", "IHCPFAfixed-species-checked": "guaranteed", "IHCPFAfixed-species-dilution-info": "", "IHCPFAfixed-species-notes": "", "IHCP-species-checked": "testedAndGuaranteed", "IHCP-species-dilution-info": "1/3000", "IHCP-species-notes": "<p><strong>For unpurified use at 1/800.</strong></p> Perform heat-mediated antigen retrieval with Tris/EDTA buffer pH 9.0 before commencing with IHC staining protocol." }, "Pig": { "WB-species-checked": "predicted", "WB-species-dilution-info": "", "WB-species-notes": "", "mIHC-species-checked": "predicted", "mIHC-species-dilution-info": "", "mIHC-species-notes": "", "ICCIF-species-checked": "predicted", "ICCIF-species-dilution-info": "", "ICCIF-species-notes": "", "IHCFr-species-checked": "predicted", "IHCFr-species-dilution-info": "", "IHCFr-species-notes": "", "FlowCytIntra-species-checked": "predicted", "FlowCytIntra-species-dilution-info": "", "FlowCytIntra-species-notes": "", "IHCPFAfixed-species-checked": "predicted", "IHCPFAfixed-species-dilution-info": "", "IHCPFAfixed-species-notes": "", "IHCP-species-checked": "predicted", "IHCP-species-dilution-info": "", "IHCP-species-notes": "" }, "Sheep": { "WB-species-checked": "guaranteed", "WB-species-dilution-info": "", "WB-species-notes": "", "mIHC-species-checked": "guaranteed", "mIHC-species-dilution-info": "", "mIHC-species-notes": "", "ICCIF-species-checked": "guaranteed", "ICCIF-species-dilution-info": "", "ICCIF-species-notes": "", "IHCFr-species-checked": "guaranteed", "IHCFr-species-dilution-info": "", "IHCFr-species-notes": "", "FlowCytIntra-species-checked": "guaranteed", "FlowCytIntra-species-dilution-info": "", "FlowCytIntra-species-notes": "", "IHCPFAfixed-species-checked": "guaranteed", "IHCPFAfixed-species-dilution-info": "", "IHCPFAfixed-species-notes": "", "IHCP-species-checked": "testedAndGuaranteed", "IHCP-species-dilution-info": "1/3000", "IHCP-species-notes": "<p><strong>For unpurified use at 1/800.</strong></p> Perform heat-mediated antigen retrieval with Tris/EDTA buffer pH 9.0 before commencing with IHC staining protocol." }, "Zebrafish": { "WB-species-checked": "guaranteed", "WB-species-dilution-info": "", "WB-species-notes": "", "mIHC-species-checked": "guaranteed", "mIHC-species-dilution-info": "", "mIHC-species-notes": "", "ICCIF-species-checked": "guaranteed", "ICCIF-species-dilution-info": "", "ICCIF-species-notes": "", "IHCFr-species-checked": "guaranteed", "IHCFr-species-dilution-info": "", "IHCFr-species-notes": "", "FlowCytIntra-species-checked": "guaranteed", "FlowCytIntra-species-dilution-info": "", "FlowCytIntra-species-notes": "", "IHCPFAfixed-species-checked": "guaranteed", "IHCPFAfixed-species-dilution-info": "", "IHCPFAfixed-species-notes": "", "IHCP-species-checked": "testedAndGuaranteed", "IHCP-species-dilution-info": "1/3000", "IHCP-species-notes": "<p><strong>For unpurified use at 1/800.</strong></p> Perform heat-mediated antigen retrieval with Tris/EDTA buffer pH 9.0 before commencing with IHC staining protocol." } } }

製品の詳細

Anti-NeuN antibody [EPR12763] - Neuronal Marker (ab177487) was developed by Abcam using patented rabbit monoclonal antibody technology and is validated for use in Flow Cyt (Intra), ICC/IF, IHC (PFA fixed), IHC-Fr, IHC-P, WB, mIHC in cat, common marmoset, dog, human, mouse, rat, sheep, zebrafish samples.

Anti-NeuN antibody (anti-RBFOX3 antibody) [EPR12763] - Neuronal Marker (ab177487) has been cited over 868 times in peer reviewed journals and is trusted by the scientific community.

Abcam's high quality manufacturing and validation processes ensure NeuN antigen antibody (ab177487) has high sensitivity and specificity alongside high lot-to-lot consistency and reproducibility.

Anti-NeuN antibody [EPR12763] - Neuronal Marker (ab177487) has 72 independent reviews from customers.

Anti-NeuN antibody [EPR12763] - Neuronal Marker (ab177487) specifically detects NeuN (UniProt ID: A6NFN3; Molecular weight: 34kDa) and is sold in a convenient trial size to enable initial testing (20 µL) and larger sizes for subsequent scaling up experiments (100 µL and 1 mL).

Conjugation-ready, carrier free format available for antibody clone EPR12763 - ab209898.

Antibody clone EPR12763 is also available pre-conjugated to a variety of labels for your convenience - Alexa Fluor® 488, Alexa Fluor® 647, Biotin, Alexa Fluor® 594 (ab190195, ab190565, ab204681, ab207279).

NeuN (RBFOX3) is a protein extensively used as a neuronal marker due to its expression in the nuclei and cytoplasm of neurons. It is vital for the regulation of alternative splicing of pre-mRNA, which is essential for neural development and function. Mutations or dysregulation of RBFOX3 have been associated with various neurological conditions, including autism spectrum disorder, cognitive deficits, and epilepsy, highlighting its importance in maintaining normal brain function.

Browse our curated portfolio of extensively validated antibodies and assays, with antibodies to over 90% of key targets in major glioblastoma pathways– including EGF, VEGF, MAPK, Wnt, NFKB, and PI3K/AkT/MTOR – all in one place.

Patented technology
Our RabMAb® technology is a patented hybridoma-based technology for making rabbit monoclonal antibodies. For details on our patents, please refer to RabMAb® patents.

What are the advantages of a recombinant monoclonal antibody?
This product is a recombinant monoclonal antibody, which offers several advantages including:

  • - High batch-to-batch consistency and reproducibility
  • - Improved sensitivity and specificity
  • - Long-term security of supply
  • - Animal-free batch production

For more information, read more on recombinant antibodies.

Shipping conditions update: ambient shipping

This product will be delivered at ambient temperature instead of chilled – this is by design. Extensive stability testing confirmed that our products are suitable for shipment under ambient conditions and maintain expected quality.

Why the change?

It’s part of our commitment to more sustainable packaging solutions, with ambient deliveries using eco-friendly materials such as recyclable cardboard instead of polystyrene.

What you need to know

  • Ambient shipments come with a flyer explaining the below.
  • No ice will be included in ambient shipments, but mixed orders (ambient and cold-chain items) will still arrive with ice packs to protect temperature-sensitive products.
  • Warranty coverage remains fully valid, aligned with our validated shipping method.
  • Please store the product as per the datasheet instructions upon receipt.

Find out more - https://www.abcam.com/en-us/support/shipping-storage-support/ambient-shipping

出荷温度及び保存条件

製品の状態
Liquid
精製方法
Affinity purification Protein A
バッファー組成
Preservative: 0.01% Sodium azide Constituents: PBS, 40% Glycerol (glycerin, glycerine), 0.05% BSA
出荷温度
Conditional Ambient
短期保存期間
1-2 weeks
短期保存温度
+4°C
長期保存温度
-20°C
分注に関する情報
Upon delivery aliquot
保管に関する情報
Avoid freeze / thaw cycle

補足情報

This supplementary information is collated from multiple sources and compiled automatically.

NeuN also known as Fox-3 is a protein often utilized as a neuronal marker due to its expression predominantly in neurons. The molecular weight of NeuN is approximately 46-48 kDa. It is located in the nucleus and in the post-mitotic neurons of the central nervous system. Research frequently uses anti-NeuN antibodies for identifying neuronal cells in various samples capitalizing on its reliable expression profile across diverse neuron types. Common techniques for detecting NeuN include Western blot and immunohistochemistry (IHC) with NeuN staining being a definitive method for confirming neuronal identity.
Biological function summary

NeuN plays a role in RNA splicing specific to neurons contributing to the regulation of gene expression within the nervous system. It does not function as part of a larger protein complex but interacts with chromatin to influence neuronal gene expression. This has implications for neuronal differentiation and maintenance. Techniques like NeuN IHC use antibodies such as Alexa Fluor 568 conjugated variants to visualize neurons in tissue confirming its utility as an accessible and specific neuronal marker in research.

Pathways

NeuN serves an important function in neuronal development and differentiation. It particularly influences neurogenesis and synaptogenesis pathways where neuron-specific splicing and transcriptional regulation are essential. Although NeuN does not directly engage in pathways with other proteins because it operates independently its expression parallels the activity of significant neuronal proteins such as MAP2 and Neurofilaments. These relationships illustrate NeuN's indirect association in pathways promoting neuronal development and maintenance.

NeuN remains significant in studies of neurodegenerative diseases and neuronal damage. For instance decreased NeuN staining has been observed in Alzheimer's disease indicating loss of neuronal identity or survival. Research also notes alterations in NeuN expression following ischemic injury where its presence or absence links to neuronal viability. NeuN's association with these states of neuronal health or pathology highlights its relevance as a marker in neurodegenerative and injury-related disorders. Furthermore while not directly in disease pathways NeuN functionally intersects with proteins like Tau in Alzheimer's suggesting its indirect role in disease pathways.

製品プロトコール

For this product, it's our understanding that no specific protocols are required. You can visit:

ターゲットの情報

Pre-mRNA alternative splicing regulator. Regulates alternative splicing of RBFOX2 to enhance the production of mRNA species that are targeted for nonsense-mediated decay (NMD).
See full target information RBFOX3

文献 (1422)

Recent publications for all applications. Explore the full list and refine your search

Alzheimer's research & therapy 17:221 PubMed41057930

2025

Anti-tau VHH therapy against PHF6: a safe approach to slowing the phenotype of tau pathology.

Applications

Unspecified application

Species

Unspecified reactive species

Raphaelle Caillierez,Clémence Leboullenger,Sarah Leclercq,Mélanie Besegher,Séverine Bégard,Florent Auger,Claude-Alain Maurage,Bertrand Accart,Justine Mortelecque,Elian Dupré,Clément Danis,Isabelle Landrieu,Luc Buée,Morvane Colin

Acta neuropathologica 150:39 PubMed41060400

2025

Impact of APOE on cerebrovascular lipid profile in Alzheimer's disease.

Applications

Unspecified application

Species

Unspecified reactive species

Yasuteru Inoue,Hu Wang,Michael G Heckman,Yingxue Ren,Launia J White,Wenyan Lu,Pengjiao Wang,Julia Tcw,Shunsuke Koga,Alla Alnobani,Michael DeTure,Melissa E Murray,Ronald C Petersen,Dennis W Dickson,Guojun Bu,Xianlin Han,Takahisa Kanekiyo

Signal transduction and targeted therapy 10:331 PubMed41052971

2025

Rapid amyloid-β clearance and cognitive recovery through multivalent modulation of blood-brain barrier transport.

Applications

Unspecified application

Species

Unspecified reactive species

Junyang Chen,Pan Xiang,Aroa Duro-Castano,Huawei Cai,Bin Guo,Xiqin Liu,Yifan Yu,Su Lui,Kui Luo,Bowen Ke,Lorena Ruiz-Pérez,Qiyong Gong,Xiaohe Tian,Giuseppe Battaglia

Pain research & management 2025:5510019 PubMed41049554

2025

Disruption of Circadian NRF2 Expression and Its Impact on Pain Sensitivity in Diabetes Peripheral Neuropathy.

Applications

Unspecified application

Species

Unspecified reactive species

Wanshi Liang,Yali Song,Zebin Yang,Ronghao Luo,Xinran Li,Yihao Guo,Yang Zhang,Yan Liu,Le Li

Journal of neuroinflammation 22:220 PubMed41039568

2025

Salt-sensitive hypertension promotes neuronal mitochondrial stress and neurodegenerative alterations via neuro-vascular metabolic reprogramming and local RAS signaling.

Applications

Unspecified application

Species

Unspecified reactive species

Hanxue Wu,Zihan Qiu,Junya Mu,Yi Wang,Jiawei Wang,Yue Han,Ruijie Yang,Shenglan Yuan,Miao Yuan,Rui Yang,Xingjuan Chen,Qi Sun,Fanni Li,Lei Xiao,Ming Zhang,Jiaxi Xu

Molecular neurodegeneration 20:103 PubMed41035073

2025

Molecular hallmarks of excitatory and inhibitory neuronal resilience to Alzheimer's disease.

Applications

Unspecified application

Species

Unspecified reactive species

Isabel Castanho,Pourya Naderi Yeganeh,Carles A Boix,Sarah L Morgan,Hansruedi Mathys,Dmitry Prokopenko,Bartholomew White,Larisa M Soto,Giulia Pegoraro,Saloni Shah,Athanasios Ploumakis,Nikolas Kalavros,David A Bennett,Christoph Lange,Doo Yeon Kim,Lars Bertram,Li-Huei Tsai,Manolis Kellis,Rudolph E Tanzi,Winston Hide

Nature communications 16:8551 PubMed41022690

2025

Brain-cervical lymph node crosstalk contributes to brain injury induced by subarachnoid hemorrhage in mice.

Applications

Unspecified application

Species

Unspecified reactive species

Jinman Chen,Jie Wang,Wenjing Zheng,Wenhao Ding,Zixin Zhuang,Hao Xu,Wenchao Ding,Tianhao Xu,Linmei Wang,Ning Li,Yongjian Zhao,Qi Shi,Lianping Xing,Yongjun Wang,Qianqian Liang

Bioscience trends : PubMed41016794

2025

Neurotropin alleviates Alzheimer's disease pathology by inhibiting FUS-mediated Calhm2 transcription, blocking the Calhm2/EFhd2 interaction, to improve mitochondrial dysfunction-associated microglia polarization.

Applications

Unspecified application

Species

Unspecified reactive species

Yuanlu Huang,Fusheng Wei,Xiaoe Cheng,Yinqi Shi,Ziye Liu,Lingling Ye

Epigenetics & chromatin 18:60 PubMed41013693

2025

Cohesin regulation of genome organization in mature granule neurons in the mouse cerebellum.

Applications

Unspecified application

Species

Unspecified reactive species

Omar A Payán Parra,Ziyu Zhao,Tomoko Yamada,Yue Yang

Brain and behavior 15:e70833 PubMed40931530

2025

Long-Term Treadmill Exercise and Voluntary Running Pre-Training Attenuates Vascular Dementia-Related Pathology by Regulating Hippocampal Structural Synaptic Plasticity in a Rat Model.

Applications

Unspecified application

Species

Unspecified reactive species

Yujiao Li,Yuxuan Li,Linlin Zhang,Kunxia Su
View all publications

Abcam product promise

当社は、高品質な試薬を通じてお客様の研究を力強くサポートすることをお約束いたします。ご使用いただく各段階で、常にお客様をサポートできる体制を整えております。万が一、製品が期待通りに機能しない場合は、「Abcam Product Promise」による当社保証制度に基づき、安心してご利用いただけます。
保証に関する詳細については利用規約をご確認ください。

Please note: All products are 'FOR RESEARCH USE ONLY. NOT FOR USE IN DIAGNOSTIC OR THERAPEUTIC PROCEDURES'.

For licensing inquiries, please contact partnerships@abcam.com