JavaScript is disabled in your browser. Please enable JavaScript to view this website.
AB227806

Anti-Nephrin 抗体 [EPR20993] - BSA and Azide free

Anti-Nephrin antibody [EPR20993] - BSA and Azide free

Be the first to review this product! Submit a review

|

(7 Publications)

Rabbit Recombinant Monoclonal Nephrin antibody. Carrier free. Suitable for IP, WB, IHC-Fr, IHC-P and reacts with Mouse, Rat, Human samples. Cited in 7 publications.

別名を表示する

NPHN, NPHS1, Nephrin, Renal glomerulus-specific cell adhesion receptor

9 Images
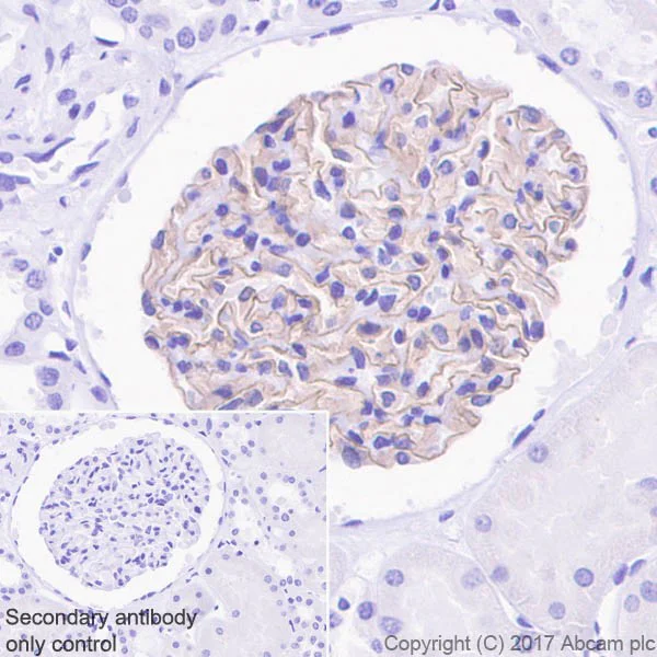
Immunohistochemistry (Formalin/PFA-fixed paraffin-embedded sections) - Anti-Nephrin antibody [EPR20993] - BSA and Azide free (AB227806)
  • IHC-P

Supplier Data

Immunohistochemistry (Formalin/PFA-fixed paraffin-embedded sections) - Anti-Nephrin antibody [EPR20993] - BSA and Azide free (AB227806)

Immunohistochemical analysis of paraffin-embedded human kidney tissue labeling Nephrin with ab216341 at 1/1000 dilution, followed by Goat Anti-Rabbit IgG H&L (HRP) Ready to use. Membranous staining on human renal glomerulus (PMID : 18599604; PMID : 25367693). Counter stained with hematoxylin.

Secondary antibody only control : Used PBS instead of primary antibody, secondary antibody is Goat Anti-Rabbit IgG H&L (HRP) Ready to use.

This data was developed using the same antibody clone in a different buffer formulation containing PBS, BSA, glycerol, and sodium azide (ab216341).

Perform heat mediated antigen retrieval with Tris/EDTA buffer pH 9.0 before commencing with IHC staining protocol.

Primary antibody incubation overnight at +4°C is recommended for human species

Immunohistochemistry (Frozen sections) - Anti-Nephrin antibody [EPR20993] - BSA and Azide free (AB227806)
  • IHC-Fr

Unknown

Immunohistochemistry (Frozen sections) - Anti-Nephrin antibody [EPR20993] - BSA and Azide free (AB227806)

Immunohistochemical analysis of 4% paraformaldehyde-fixed, 0.2% Triton X-100 permeabilized frozen rat kidney tissue labeling Nephrin with ab216341  at 1/500 dilution, followed by Goat Anti-Rabbit IgG H&L (Alexa Fluor® 488) (ab150077) secondary antibody at 1/1000 dilution (green). Positive cytoplasmic staining in the glomerular podocytes (PMID : 26380915).

The nuclear counter stain is DAPI (blue).

Secondary antibody only control : Used PBS instead of primary antibody, secondary antibody is Goat Anti-Rabbit IgG H&L (Alexa Fluor® 488) (ab150077) secondary antibody at 1/1000 dilution.

This data was developed using the same antibody clone in a different buffer formulation containing PBS, BSA, glycerol, and sodium azide (ab216341).

Immunohistochemistry (Frozen sections) - Anti-Nephrin antibody [EPR20993] - BSA and Azide free (AB227806)
  • IHC-Fr

Supplier Data

Immunohistochemistry (Frozen sections) - Anti-Nephrin antibody [EPR20993] - BSA and Azide free (AB227806)

Immunohistochemical analysis of 4% paraformaldehyde-fixed, 0.2% Triton X-100 permeabilized frozen mouse kidney tissue labeling Nephrin with ab216341  at 1/500 dilution, followed by Goat Anti-Rabbit IgG H&L (Alexa Fluor® 488) (ab150077) secondary antibody at 1/1000 dilution (green). Positive cytoplasmic staining in the glomerular podocytes (PMID : 26380915).

The nuclear counter stain is DAPI (blue).

Secondary antibody only control : Used PBS instead of primary antibody, secondary antibody is Goat Anti-Rabbit IgG H&L (Alexa Fluor® 488) (ab150077) secondary antibody at 1/1000 dilution.

This data was developed using the same antibody clone in a different buffer formulation containing PBS, BSA, glycerol, and sodium azide (ab216341).

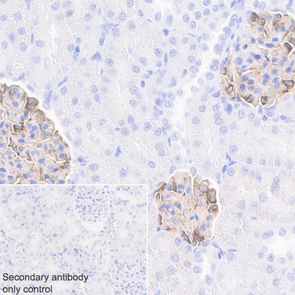
Immunohistochemistry (Formalin/PFA-fixed paraffin-embedded sections) - Anti-Nephrin antibody [EPR20993] - BSA and Azide free (AB227806)
  • IHC-P

Supplier Data

Immunohistochemistry (Formalin/PFA-fixed paraffin-embedded sections) - Anti-Nephrin antibody [EPR20993] - BSA and Azide free (AB227806)

Immunohistochemical analysis of paraffin-embedded mouse kidney tissue labeling Nephrin with ab216341 at 1/2000 dilution, followed by Goat Anti-Rabbit IgG H&L (HRP) Ready to use. Membranous staining on mouse renal glomerulus (PMID : 18599604; PMID : 25367693). Counter stained with hematoxylin.

Secondary antibody only control : Used PBS instead of primary antibody, secondary antibody is Goat Anti-Rabbit IgG H&L (HRP) Ready to use.

This data was developed using the same antibody clone in a different buffer formulation containing PBS, BSA, glycerol, and sodium azide (ab216341).

Perform heat mediated antigen retrieval with Tris/EDTA buffer pH 9.0 before commencing with IHC staining protocol.

Immunohistochemistry (Formalin/PFA-fixed paraffin-embedded sections) - Anti-Nephrin antibody [EPR20993] - BSA and Azide free (AB227806)
  • IHC-P

Supplier Data

Immunohistochemistry (Formalin/PFA-fixed paraffin-embedded sections) - Anti-Nephrin antibody [EPR20993] - BSA and Azide free (AB227806)

Immunohistochemical analysis of paraffin-embedded rat kidney tissue labeling Nephrin with ab216341 at 1/2000 dilution, followed by Goat Anti-Rabbit IgG H&L (HRP) Ready to use. Membranous staining on rat renal glomerulus (PMID : 18599604; PMID : 25367693). Counter stained with hematoxylin.

Secondary antibody only control : Used PBS instead of primary antibody, secondary antibody is Goat Anti-Rabbit IgG H&L (HRP) Ready to use.

This data was developed using the same antibody clone in a different buffer formulation containing PBS, BSA, glycerol, and sodium azide (ab216341).

Perform heat mediated antigen retrieval with Tris/EDTA buffer pH 9.0 before commencing with IHC staining protocol.

Immunoprecipitation - Anti-Nephrin antibody [EPR20993] - BSA and Azide free (AB227806)
  • IP

Supplier Data

Immunoprecipitation - Anti-Nephrin antibody [EPR20993] - BSA and Azide free (AB227806)

Nephrin was immunoprecipitated from 0.35 mg of mouse kidney lysate with ab216341 at 1/30 dilution. Western blot was performed from the immunoprecipitate using ab216341 at 1/500 dilution. VeriBlot for IP Detection Reagent (HRP) (ab131366), was used for detection at 1/1000 dilution.

Lane 1 : Mouse kidney lysate 10 μg (Input).

Lane 2 : ab216341 IP in mouse kidney lysate.

Lane 3 : Rabbit monoclonal IgG (ab172730) instead of ab216341 in mouse kidney lysate.

Blocking and dilution buffer and concentration : 5% NFDM/TBST.

Exposure time : 30 seconds.

This data was developed using the same antibody clone in a different buffer formulation containing PBS, BSA, glycerol, and sodium azide (ab216341).

Perform heat mediated antigen retrieval with Tris/EDTA buffer pH 9.0 before commencing with IHC staining protocol.

All lanes:

Immunoprecipitation - Anti-Nephrin antibody [EPR20993] (<a href='/products/primary-antibodies/nephrin-antibody-epr20993-ab216341'>ab216341</a>)

Predicted band size: 134 kDa

false

Western blot - Anti-Nephrin antibody [EPR20993] - BSA and Azide free (AB227806)
  • WB

Supplier Data

Western blot - Anti-Nephrin antibody [EPR20993] - BSA and Azide free (AB227806)

This data was developed using the same antibody clone in a different buffer formulation containing PBS, BSA, glycerol, and sodium azide (ab216341).

Blocking/Dilution buffer : 5% NFDM/TBST.

Use high sensitivity ECL to obtain a strong signal.

All lanes:

Western blot - Anti-Nephrin antibody [EPR20993] (<a href='/products/primary-antibodies/nephrin-antibody-epr20993-ab216341'>ab216341</a>) at 1/1000 dilution

All lanes:

Rat kidney lysate at 10 µg

Secondary

All lanes:

Western blot - Goat Anti-Rabbit IgG H&L (HRP) (<a href='/products/secondary-antibodies/goat-rabbit-igg-h-l-hrp-ab97051'>ab97051</a>) at 1/20000 dilution

Predicted band size: 134 kDa

Observed band size: 200 kDa

true

Exposure time: 15s

Western blot - Anti-Nephrin antibody [EPR20993] - BSA and Azide free (AB227806)
  • WB

Supplier Data

Western blot - Anti-Nephrin antibody [EPR20993] - BSA and Azide free (AB227806)

This data was developed using the same antibody clone in a different buffer formulation containing PBS, BSA, glycerol, and sodium azide (ab216341).

Blocking/Dilution buffer : 5% NFDM/TBST.

The MW is consistent with the literature (PMID 11733379).

All lanes:

Western blot - Anti-Nephrin antibody [EPR20993] (<a href='/products/primary-antibodies/nephrin-antibody-epr20993-ab216341'>ab216341</a>) at 1/1000 dilution

Lane 1:

Mouse kidney lysate at 10 µg

Lane 2:

Mouse spleen lysate at 10 µg

Secondary

All lanes:

Western blot - Goat Anti-Rabbit IgG H&L (HRP) (<a href='/products/secondary-antibodies/goat-rabbit-igg-h-l-hrp-ab97051'>ab97051</a>) at 1/100000 dilution

Predicted band size: 134 kDa

Observed band size: 200 kDa

true

Exposure time: 3min

Western blot - Anti-Nephrin antibody [EPR20993] - BSA and Azide free (AB227806)
  • WB

Supplier Data

Western blot - Anti-Nephrin antibody [EPR20993] - BSA and Azide free (AB227806)

This data was developed using the same antibody clone in a different buffer formulation containing PBS, BSA, glycerol, and sodium azide (ab216341).

Blocking/Dilution buffer : 5% NFDM/TBST.

All lanes:

Western blot - Anti-Nephrin antibody [EPR20993] (<a href='/products/primary-antibodies/nephrin-antibody-epr20993-ab216341'>ab216341</a>) at 1/10000 dilution

All lanes:

His-tagged mouse nephrin (aa1001-1250) recombinant protein at 0.01 µg

Secondary

All lanes:

Western blot - Goat Anti-Rabbit IgG H&L (HRP) (<a href='/products/secondary-antibodies/goat-rabbit-igg-h-l-hrp-ab97051'>ab97051</a>) at 1/100000 dilution

Predicted band size: 134 kDa

Observed band size: 38 kDa

true

Exposure time: 15s

関連する標識済み抗体及び組成の異なる製品 (7)

  • Unconjugated

    Anti-Nephrin antibody [EPR20993]

  • 565 Alexa Fluor® 555

    Alexa Fluor® 555 Anti-Nephrin antibody [EPR20993]

  • 617 Alexa Fluor® 594

    Alexa Fluor® 594 Anti-Nephrin antibody [EPR20993]

  • 519 Alexa Fluor® 488

    Alexa Fluor® 488 Anti-Nephrin antibody [EPR20993]

  • 660 APC

    APC Anti-Nephrin antibody [EPR20993]

  • 578 PE

    PE Anti-Nephrin antibody [EPR20993]

  • 775 Alexa Fluor® 750

    Alexa Fluor® 750 Anti-Nephrin antibody [EPR20993]

Key facts

宿主種

Rabbit

クローン性

Monoclonal

クローン番号

EPR20993

アイソタイプ

IgG

キャリアフリー

Yes

交差種

Mouse, Rat, Human

アプリケーション

WB, IHC-P, IP, IHC-Fr

applications

免疫原

The exact immunogen used to generate this antibody is proprietary information.

Reactivity data

{ "title": "Reactivity Data", "filters": { "stats": ["", "Species", "Dilution Info", "Notes"], "tabs": { "all-applications": {"fullname" : "All Applications", "shortname": "All Applications"}, "IP" : {"fullname" : "Immunoprecipitation", "shortname":"IP"}, "WB" : {"fullname" : "Western blot", "shortname":"WB"}, "IHCFr" : {"fullname" : "Immunohistochemistry (Frozen sections)", "shortname":"IHC-Fr"}, "IHCP" : {"fullname" : "Immunohistochemistry (Formalin/PFA-fixed paraffin-embedded sections)", "shortname":"IHC-P"} }, "product-promise": { "all": "all", "testedAndGuaranteed": "tested", "guaranteed": "expected", "predicted": "predicted", "notRecommended": "not-recommended" } }, "values": { "Human": { "IP-species-checked": "guaranteed", "IP-species-dilution-info": "", "IP-species-notes": "", "WB-species-checked": "notRecommended", "WB-species-dilution-info": "", "WB-species-notes": "<p></p>", "IHCFr-species-checked": "notRecommended", "IHCFr-species-dilution-info": "", "IHCFr-species-notes": "<p></p>", "IHCP-species-checked": "testedAndGuaranteed", "IHCP-species-dilution-info": "", "IHCP-species-notes": "<p>Use 1/2000 dilution for Mouse and Rat.</p><p>Primary antibody incubation overnight at +4°C is recommended for human species.</p> Perform heat-mediated antigen retrieval with Tris/EDTA buffer pH 9.0 before commencing with IHC staining protocol." }, "Mouse": { "IP-species-checked": "testedAndGuaranteed", "IP-species-dilution-info": "", "IP-species-notes": "<p></p>", "WB-species-checked": "testedAndGuaranteed", "WB-species-dilution-info": "", "WB-species-notes": "<p></p>", "IHCFr-species-checked": "testedAndGuaranteed", "IHCFr-species-dilution-info": "", "IHCFr-species-notes": "<p></p>", "IHCP-species-checked": "testedAndGuaranteed", "IHCP-species-dilution-info": "", "IHCP-species-notes": "<p>Use 1/2000 dilution for Mouse and Rat.</p><p>Primary antibody incubation overnight at +4°C is recommended for human species.</p> Perform heat-mediated antigen retrieval with Tris/EDTA buffer pH 9.0 before commencing with IHC staining protocol." }, "Rat": { "IP-species-checked": "guaranteed", "IP-species-dilution-info": "", "IP-species-notes": "", "WB-species-checked": "testedAndGuaranteed", "WB-species-dilution-info": "", "WB-species-notes": "<p></p>", "IHCFr-species-checked": "testedAndGuaranteed", "IHCFr-species-dilution-info": "", "IHCFr-species-notes": "<p></p>", "IHCP-species-checked": "testedAndGuaranteed", "IHCP-species-dilution-info": "", "IHCP-species-notes": "<p>Use 1/2000 dilution for Mouse and Rat.</p><p>Primary antibody incubation overnight at +4°C is recommended for human species.</p> Perform heat-mediated antigen retrieval with Tris/EDTA buffer pH 9.0 before commencing with IHC staining protocol." } } }

製品の詳細

ab227806 is the carrier-free version of ab216341.

Patented technology
Our RabMAb® technology is a patented hybridoma-based technology for making rabbit monoclonal antibodies. For details on our patents, please refer to RabMAb® patents.

What are the advantages of a recombinant monoclonal antibody?
This product is a recombinant monoclonal antibody, which offers several advantages including:

  • - High batch-to-batch consistency and reproducibility
  • - Improved sensitivity and specificity
  • - Long-term security of supply
  • - Animal-free batch production

For more information, read more on recombinant antibodies.

Conjugation ready
Our carrier-free antibodies are typically supplied in a PBS-only formulation, purified and free of BSA, sodium azide and glycerol. This conjugation-ready format is designed for use with fluorochromes, metal isotopes, oligonucleotides, and enzymes, which makes them ideal for antibody labelling, functional and cell-based assays, flow-based assays (e.g. mass cytometry) and Multiplex Imaging applications.

Use our conjugation kits for antibody conjugates that are ready-to-use in as little as 20 minutes with 1 minute hands-on-time and 100% antibody recovery: available for fluorescent dyes, HRP, biotin and gold.

Compatibility
This product is compatible with the Maxpar® Antibody Labeling Kit from Fluidigm, without the need for antibody preparation. Maxpar® is a trademark of Fluidigm Canada Inc.

出荷温度及び保存条件

製品の状態
Liquid
精製方法
Affinity purification Protein A
バッファー組成
pH: 7.2 - 7.4 Constituents: PBS
出荷温度
Blue Ice
短期保存温度
+4°C
長期保存温度
+4°C
保管に関する情報
Do Not Freeze

補足情報

This supplementary information is collated from multiple sources and compiled automatically.

Nephrin also known as NPHS1 is a transmembrane protein with a molecular weight of approximately 180 kDa. Researchers have predominantly observed nephrin in the podocytes of the kidney glomerulus. Nephrin plays a mechanical role as part of the slit diaphragm a structure critical for maintaining the filtration barrier of the kidney. Its structure includes multiple immunoglobulin-like domains which facilitate cell signaling and adhesion processes important for podocyte function.
Biological function summary

Nephrin is essential for the regulation of glomerular permeability and podocyte foot process architecture. It serves as a significant component of the slit diaphragm complex working alongside proteins like podocin and CD2AP. This protein complex helps regulate the integrity and selectivity of the glomerular filtration barrier ensuring that blood plasma contents are selectively filtered while preventing the loss of large proteins into urine.

Pathways

Nephrin is integral to the PI3K/Akt signaling pathway influencing cell survival and cytoskeletal organization in podocytes. Nephrin's interaction within this pathway involves related proteins such as GAPDH and PTPRO which impact cellular functions critical to maintaining kidney structure and function. Additionally nephrin participates in the synaptopodin pathway modulating actin dynamics and therefore playing a role in cellular contraction and movement.

Nephrin dysfunction is closely related to congenital nephrotic syndrome particularly Finnish-type nephrosis which results in significant proteinuria and kidney failure. Nephrin mutations or aberrant expression can also contribute to other glomerular diseases such as focal segmental glomerulosclerosis (FSGS). In these conditions nephrin's relationship with other proteins like neph1 and podocin becomes disrupted leading to loss of slit diaphragm integrity and impaired renal function.

製品プロトコール

For this product, it's our understanding that no specific protocols are required. You can visit:

ターゲットの情報

Seems to play a role in the development or function of the kidney glomerular filtration barrier. Regulates glomerular vascular permeability. May anchor the podocyte slit diaphragm to the actin cytoskeleton. Plays a role in skeletal muscle formation through regulation of myoblast fusion (By similarity).
See full target information NPHS1

文献 (7)

Recent publications for all applications. Explore the full list and refine your search

Journal of neuroinflammation 22:217 PubMed41024113

2025

Cholecystokinin ameliorates cognitive impairment via inhibiting microglia phagocytosis of excitatory synapses in sepsis-associated encephalopathy mice.

Applications

Unspecified application

Species

Unspecified reactive species

Lei Chen,Zhen Li,Yubo Gao,Guangxi Piao,Yitong Li,Jingshu Hong,Qian Wang,Kaixi Liu,Jie Wang,Ailian Du,Luhua Chen,Xiangyang Guo,Zhengqian Li,Taotao Liu

Autophagy 20:1072-1097 PubMed38050963

2023

deficiency exacerbates podocyte injury and autophagy disorder by targeting in diabetic nephropathy.

Applications

Unspecified application

Species

Unspecified reactive species

Xueqi Liu,Ling Jiang,Hanxu Zeng,Li Gao,Shanshan Guo,Chaoyi Chen,Xinran Liu,Mengya Zhang,Lijuan Ma,Yuanyuan Li,Xiangming Qi,Yonggui Wu

Communications biology 5:341 PubMed35396346

2022

ROCK2-induced metabolic rewiring in diabetic podocytopathy.

Applications

Unspecified application

Species

Unspecified reactive species

Keiichiro Matoba,Yusuke Takeda,Yosuke Nagai,Kensuke Sekiguchi,Rikako Ukichi,Hiroshi Takahashi,Daisuke Aizawa,Masahiro Ikegami,Toshiaki Tachibana,Daiji Kawanami,Yasushi Kanazawa,Tamotsu Yokota,Kazunori Utsunomiya,Rimei Nishimura

The Journal of biological chemistry 297:101079 PubMed34391780

2021

Phosphorylation of slit diaphragm proteins NEPHRIN and NEPH1 upon binding of HGF promotes podocyte repair.

Applications

Unspecified application

Species

Unspecified reactive species

Ashish K Solanki,Ehtesham Arif,Pankaj Srivastava,Christopher M Furcht,Bushra Rahman,Pei Wen,Avinash Singh,Lawrence B Holzman,Wayne R Fitzgibbon,Milos N Budisavljevic,Glenn P Lobo,Sang-Ho Kwon,Zhe Han,Matthew J Lazzara,Joshua H Lipschutz,Deepak Nihalani

Matrix biology : journal of the International Society for Matrix Biology 98:32-48 PubMed34015468

2021

Loss of sphingosine kinase 2 enhances Wilm's tumor suppressor gene 1 and nephrin expression in podocytes and protects from streptozotocin-induced podocytopathy and albuminuria in mice.

Applications

Unspecified application

Species

Unspecified reactive species

Faik Imeri,Bisera Stepanovska Tanturovska,Stephanie Schwalm,Sarbari Saha,Jinyang Zeng-Brouwers,Herrmann Pavenstädt,Josef Pfeilschifter,Liliana Schaefer,Andrea Huwiler

Bioscience reports 40: PubMed32285909

2020

Anti-apoptosis mechanism of triptolide based on network pharmacology in focal segmental glomerulosclerosis rats.

Applications

Unspecified application

Species

Unspecified reactive species

Yayu Li,Xue Jiang,Litao Song,Mengdie Yang,Jing Pan

Molecular medicine reports 20:5134-5144 PubMed31638199

2019

Critical roles of PI3K/Akt/NF‑κB survival axis in angiotensin II‑induced podocyte injury.

Applications

Unspecified application

Species

Unspecified reactive species

Junjie Wang,Dongdong Fu,Soulixay Senouthai,Yanwu You
View all publications

Abcam product promise

当社は、高品質な試薬を通じてお客様の研究を力強くサポートすることをお約束いたします。ご使用いただく各段階で、常にお客様をサポートできる体制を整えております。万が一、製品が期待通りに機能しない場合は、「Abcam Product Promise」による当社保証制度に基づき、安心してご利用いただけます。
保証に関する詳細については利用規約をご確認ください。

Please note: All products are 'FOR RESEARCH USE ONLY. NOT FOR USE IN DIAGNOSTIC OR THERAPEUTIC PROCEDURES'.

For licensing inquiries, please contact partnerships@abcam.com