JavaScript is disabled in your browser. Please enable JavaScript to view this website.
AB227958

Anti-NEK2 抗体

Anti-NEK2 antibody

  • JP Deleterious:医薬用外劇物

Be the first to review this product! Submit a review

|

(13 Publications)

Rabbit Polyclonal NEK2 antibody. Suitable for WB, IHC-P, ICC/IF and reacts with Human samples. Cited in 13 publications. Immunogen corresponding to Recombinant Fragment Protein within Human NEK2.

別名を表示する

NEK2A, NLK1, NEK2, Serine/threonine-protein kinase Nek2, HSPK 21, Never in mitosis A-related kinase 2, NimA-like protein kinase 1, NimA-related protein kinase 2

3 Images
Immunocytochemistry/ Immunofluorescence - Anti-NEK2 antibody (AB227958)
  • ICC/IF

Supplier Data

Immunocytochemistry/ Immunofluorescence - Anti-NEK2 antibody (AB227958)

Paraformaldehyde-fixed HeLa (human epithelial cell line from cervix adenocarcinoma) cells stained for NEK2 (green) using ab227958 at 1/500 dilution in ICC/IF.

Counterstain : alpha Tubulin filaments were labeled with anti-alpha Tubulin antibody (red) at 1/2000 dilution.

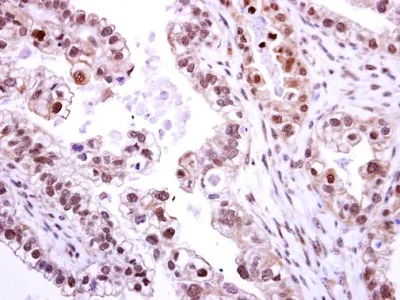
Immunohistochemistry (Formalin/PFA-fixed paraffin-embedded sections) - Anti-NEK2 antibody (AB227958)
  • IHC-P

Supplier Data

Immunohistochemistry (Formalin/PFA-fixed paraffin-embedded sections) - Anti-NEK2 antibody (AB227958)

Paraffin-embedded human ovarian carcinoma tissue stained for NEK2 using ab227958 at 1/250 dilution in immunohistochemical analysis.

Western blot - Anti-NEK2 antibody (AB227958)
  • WB

Supplier Data

Western blot - Anti-NEK2 antibody (AB227958)

10% SDS-PAGE gel.

All lanes:

Western blot - Anti-NEK2 antibody (ab227958) at 1/1000 dilution

All lanes:

HEK-293T (human epithelial cell line from embryonic kidney transformed with large T antigen) whole cell lysate at 30 µg

Predicted band size: 52 kDa

false

Key facts

宿主種

Rabbit

クローン性

Polyclonal

アイソタイプ

IgG

キャリアフリー

No

交差種

Human

アプリケーション

WB, ICC/IF, IHC-P

applications

免疫原

Recombinant Fragment Protein within Human NEK2. The exact immunogen used to generate this antibody is proprietary information.

P51955

Reactivity data

{ "title": "Reactivity Data", "filters": { "stats": ["", "Species", "Dilution Info", "Notes"], "tabs": { "all-applications": {"fullname" : "All Applications", "shortname": "All Applications"}, "WB" : {"fullname" : "Western blot", "shortname":"WB"}, "IHCP" : {"fullname" : "Immunohistochemistry (Formalin/PFA-fixed paraffin-embedded sections)", "shortname":"IHC-P"}, "ICCIF" : {"fullname" : "Immunocytochemistry/ Immunofluorescence", "shortname":"ICC/IF"} }, "product-promise": { "all": "all", "testedAndGuaranteed": "tested", "guaranteed": "expected", "predicted": "predicted", "notRecommended": "not-recommended" } }, "values": { "Human": { "WB-species-checked": "testedAndGuaranteed", "WB-species-dilution-info": "1/500 - 1/3000", "WB-species-notes": "<p></p>", "IHCP-species-checked": "testedAndGuaranteed", "IHCP-species-dilution-info": "1/100 - 1/1000", "IHCP-species-notes": "<p></p>", "ICCIF-species-checked": "testedAndGuaranteed", "ICCIF-species-dilution-info": "1/100 - 1/1000", "ICCIF-species-notes": "<p></p>" } } }

出荷温度及び保存条件

製品の状態
Liquid
精製方法
Affinity purification Immunogen
バッファー組成
pH: 7 Preservative: 0.01% Thimerosal (merthiolate) Constituents: PBS, 20% Glycerol (glycerin, glycerine), 1% BSA
出荷温度
Blue Ice
短期保存期間
1-2 weeks
短期保存温度
+4°C
長期保存温度
-20°C
分注に関する情報
Upon delivery aliquot
保管に関する情報
Avoid freeze / thaw cycle

補足情報

This supplementary information is collated from multiple sources and compiled automatically.

The cell cycle serine/threonine-protein kinase Nek2 also known as Never in Mitosis Gene A (NIMA)-related kinase 2 has a molecular weight of approximately 56 kDa. Expressed mainly in proliferating cells with high expression in the testes it primarily localizes to the centrosome and nucleus. This protein regulates centrosome separation and spindle formation. Such functions are essential for proper cell division contributing to the accurate segregation of chromosomes.
Biological function summary

Nek2 involves key roles in cell cycle progression especially from the G2 to the M phase. It integrates into a complex regulatory network interacting with various cell division controllers. Nek2 phosphorylates centrosomal proteins which ensures timely centrosome disjunction and bipolar spindle formation. This action establishes Nek2 as important for the maintenance of genomic stability preventing abnormal cell divisions.

Pathways

Nek2 fits into critical pathways that control cell division and mitosis. It operates within the PI3K/AKT pathway influencing cell growth and survival. Additionally Nek2 relates to other kinases like Aurora A kinase sharing pathway intersections that modulate centrosome dynamics and stability. These interactions reflect the significance of Nek2 in orchestrating precise mitotic events contributing to orderly cell cycle transitions.

Nek2 shows connections to cancers particularly breast and prostate cancer. Overexpression of Nek2 correlates with the pathogenesis of these cancers indicating its role in aberrant cellular proliferation. It also interacts with proteins like MAD2 which is a spindle checkpoint protein. This connection highlights Nek2's involvement in tumorigenesis through mitotic checkpoint control failure contributing to cancer cell survival and progression.

製品プロトコール

For this product, it's our understanding that no specific protocols are required. You can visit:

ターゲットの情報

Protein kinase which is involved in the control of centrosome separation and bipolar spindle formation in mitotic cells and chromatin condensation in meiotic cells. Regulates centrosome separation (essential for the formation of bipolar spindles and high-fidelity chromosome separation) by phosphorylating centrosomal proteins such as CROCC, CEP250 and NINL, resulting in their displacement from the centrosomes. Regulates kinetochore microtubule attachment stability in mitosis via phosphorylation of NDC80. Involved in regulation of mitotic checkpoint protein complex via phosphorylation of CDC20 and MAD2L1. Plays an active role in chromatin condensation during the first meiotic division through phosphorylation of HMGA2. Phosphorylates : PPP1CC; SGO1; NECAB3 and NPM1. Essential for localization of MAD2L1 to kinetochore and MAPK1 and NPM1 to the centrosome. Phosphorylates CEP68 and CNTLN directly or indirectly (PubMed : 24554434). NEK2-mediated phosphorylation of CEP68 promotes CEP68 dissociation from the centrosome and its degradation at the onset of mitosis (PubMed : 25704143). Involved in the regulation of centrosome disjunction (PubMed : 26220856). Phosphorylates CCDC102B either directly or indirectly which causes CCDC102B to dissociate from the centrosome and allows for centrosome separation (PubMed : 30404835).. Isoform 1. Phosphorylates and activates NEK11 in G1/S-arrested cells.. Isoform 2. Not present in the nucleolus and, in contrast to isoform 1, does not phosphorylate and activate NEK11 in G1/S-arrested cells.
See full target information NEK2

文献 (13)

Recent publications for all applications. Explore the full list and refine your search

Drug development research 86:e70087 PubMed40233258

2025

FOXA1 Targets NEK2 to Mediate Cisplatin Resistance in Lung Adenocarcinoma Cells by Activating DNA Damage Repair.

Applications

Unspecified application

Species

Unspecified reactive species

Junhong Yang,Guangcheng Yue,Zhiguo Fan,Ning Zhang,Shiwei Nie,Jing Li,Yuanyuan Ji

BMC cancer 24:1356 PubMed39506654

2024

Mesenchymal stem cell-derived exosomes carrying miR-486-5p inhibit glycolysis and cell stemness in colorectal cancer by targeting NEK2.

Applications

Unspecified application

Species

Unspecified reactive species

Facai Cui,Yu Chen,Xiaoyu Wu,Weifeng Zhao

Scientific reports 14:24469 PubMed39424828

2024

METTL3 facilitates the progression of cervical cancer by m6A modification-mediated up-regulation of NEK2.

Applications

Unspecified application

Species

Unspecified reactive species

Yilin Guo,Yangyang Bai,Lu Wang,Zhen Xu,Nan Zhang,Wuliang Wang,Hu Zhao

Heliyon 10:e29682 PubMed38707418

2024

NEK2 promotes the migration, invasion, proliferation of ESCC and mediates ESCC immunotherapy.

Applications

Unspecified application

Species

Unspecified reactive species

Shaorui Gu,YakuFujiang Yasen,Mengying Wang,Baiqing Huang,Yongxin Zhou,Wenli Wang

Iranian journal of pathology 18:180-192 PubMed37600577

2023

Protein Expression of NEK2, JMJD4, and REST in Clear Cell Renal Cell Carcinoma (ccRCC): Clinical, Pathological, and Prognostic Findings.

Applications

Unspecified application

Species

Unspecified reactive species

Walid S H Elsayed,Ola A Harb,Mohamed Ali Alabiad,Rema H Faraj Saad,Amal Anbaig,Mohammed Alorini,Rehab Hemeda,Mohamed Negm,Loay M Gertallah,Waleed A Abdelhady,Ramadan M Ali

EBioMedicine 78:103950 PubMed35344764

2022

Indirubin-3'-monoxime acts as proteasome inhibitor: Therapeutic application in multiple myeloma.

Applications

Unspecified application

Species

Unspecified reactive species

Zhen Yu,Xiaojing Wei,Lanting Liu,Hao Sun,Teng Fang,Lu Wang,Ying Li,Weiwei Sui,Kefei Wang,Yi He,Yaozhong Zhao,Wenyang Huang,Gang An,Fancui Meng,Changjiang Huang,Tengteng Yu,Kenneth C Anderson,Tao Cheng,Lugui Qiu,Mu Hao

Cell death & disease 13:58 PubMed35031599

2022

NEK2 enhances malignancies of glioblastoma via NIK/NF-κB pathway.

Applications

Unspecified application

Species

Unspecified reactive species

Jianyang Xiang,Wahafu Alafate,Wei Wu,Yichang Wang,Xiaodong Li,Wanfu Xie,Xiaobin Bai,Ruichun Li,Maode Wang,Jia Wang

International journal of immunopathology and pharmacology 35:20587384211065893 PubMed34910592

2021

Overexpression of NEK2 is correlated with poor prognosis in human clear cell renal cell carcinoma.

Applications

Unspecified application

Species

Unspecified reactive species

Chenfeng Wang,Yan Huang,Xin Ma,Baojun Wang,Xu Zhang

Journal of molecular histology 52:809-821 PubMed34009515

2021

Silencing of Nek2 suppresses the proliferation, migration and invasion and induces apoptosis of breast cancer cells by regulating ERK/MAPK signaling.

Applications

Unspecified application

Species

Unspecified reactive species

Zeyu Xing,Menglu Zhang,Xin Wang,Jiaqi Liu,Gang Liu,Kexin Feng,Xiang Wang

Molecular medicine reports 23: PubMed33537819

2021

CDK6 is stimulated by hyperthermia and protects gastric cancer cells from hyperthermia‑induced damage.

Applications

Unspecified application

Species

Unspecified reactive species

Guanghui Liu,Hongchao Zhao,Qingqing Ding,Haohao Li,Tao Liu,Hongwei Yang,Yuanhua Liu
View all publications

Abcam product promise

当社は、高品質な試薬を通じてお客様の研究を力強くサポートすることをお約束いたします。ご使用いただく各段階で、常にお客様をサポートできる体制を整えております。万が一、製品が期待通りに機能しない場合は、「Abcam Product Promise」による当社保証制度に基づき、安心してご利用いただけます。
保証に関する詳細については利用規約をご確認ください。

Please note: All products are 'FOR RESEARCH USE ONLY. NOT FOR USE IN DIAGNOSTIC OR THERAPEUTIC PROCEDURES'.

For licensing inquiries, please contact partnerships@abcam.com