JavaScript is disabled in your browser. Please enable JavaScript to view this website.
AB307817

Anti-Nav1.8/SCN10A 抗体 [EPR25132-222]

Anti-Nav1.8/SCN10A antibody [EPR25132-222]

  • BOND RX™ Validated
  • 20ul selling size
  • RabMAb
  • Recombinant
  • 詳細を見る

Be the first to review this product! Submit a review

|

(0 Publication)

Rabbit Recombinant Monoclonal Nav1.8/SCN10A antibody. Suitable for ICC/IF, IHC-P, IHC-Fr and reacts with Rat samples.

別名を表示する

Sodium channel protein type 10 subunit alpha, Peripheral nerve sodium channel 3, Sodium channel protein type X subunit alpha, Voltage-gated sodium channel subunit alpha Nav1.8, PN3, hPN3, SCN10A

6 Images
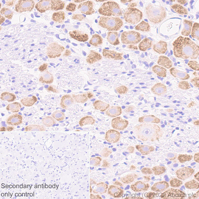
Immunohistochemistry (Formalin/PFA-fixed paraffin-embedded sections) - Anti-Nav1.8/SCN10A antibody [EPR25132-222] (AB307817)
  • IHC-P

Supplier Data

Immunohistochemistry (Formalin/PFA-fixed paraffin-embedded sections) - Anti-Nav1.8/SCN10A antibody [EPR25132-222] (AB307817)

Immunohistochemical analysis of paraffin-embedded rat dorsal root ganglia tissue labeling Nav1.8/SCN10A with ab307817 at 1/2000 dilution (0.266 ug/ml) followed by ready to use LeicaDS9800 (Bond® Polymer Refine Detection). Positive staining on rat dorsal root ganglia. The section was incubated with ab307817 for 30 mins at room temperature. The immunostaining was performed on a Leica Biosystems BOND® RX instrument. Counterstained with Hematoxylin. Secondary antibody only control : Secondary antibody is ready to use LeicaDS9800 (Bond® Polymer Refine Detection). Heat mediated antigen retrieval was performed with Tris-EDTA buffer (pH 9.0, Epitope Retrieval Solution2) for 20 mins.

Immunocytochemistry/ Immunofluorescence - Anti-Nav1.8/SCN10A antibody [EPR25132-222] (AB307817)
  • ICC/IF

Lab

Immunocytochemistry/ Immunofluorescence - Anti-Nav1.8/SCN10A antibody [EPR25132-222] (AB307817)

Immunofluorescent analysis of 4% Paraformaldehyde-fixed, 0.1% TritonX-100 permeabilized rat primary DRG neuron cells labelling Nav1.8/SCN10A with ab307817 at 1/100 (5.32 μg/ml) (shown in Green).

Confocal image showing cytoplasmic staining in rat primary DRG neuron (shown in green). The counterstain was observed in magenta. Nuclear DNA was labelled with DAPI (shown in blue). Image was taken with a confocal microscope (Leica-Microsystems, TCS SP8). Confocal scanning Z step was set as 0.3 μm followed by image processing with maximum Z projection.

ab78078 Anti-beta III Tubulin mouse monoclonal antibody - Neuronal Marker was used to counterstain tubulin at 1/200 (2.5 ug/ml) dilution, followed by secondary counterstain ab150120 Goat Anti-Mouse IgG H&L (Alexa Fluor® 594) at 1/1000 (2 ug/ml) dilution.

Secondary ab150081 Goat Anti-Rabbit IgG H&L (Alexa Fluor® 488) preadsorbed was used at 1/1000 (2μg/ml)

Immunohistochemistry (Formalin/PFA-fixed paraffin-embedded sections) - Anti-Nav1.8/SCN10A antibody [EPR25132-222] (AB307817)
  • IHC-P

Supplier Data

Immunohistochemistry (Formalin/PFA-fixed paraffin-embedded sections) - Anti-Nav1.8/SCN10A antibody [EPR25132-222] (AB307817)

Immunohistochemical analysis of paraffin-embedded rat liver tissue labeling Nav1.8/SCN10A with ab307817 at 1/2000 dilution (0.266 ug/ml) followed by ready to use LeicaDS9800 (Bond® Polymer Refine Detection). Negative control : no staining on rat liver. The section was incubated with ab307817 for 30 mins at room temperature. The immunostaining was performed on a Leica Biosystems BOND® RX instrument. Counterstained with Hematoxylin. Secondary antibody only control : Secondary antibody is ready to use LeicaDS9800 (Bond® Polymer Refine Detection). Heat mediated antigen retrieval was performed with Tris-EDTA buffer (pH 9.0, Epitope Retrieval Solution2) for 20 mins.

Immunohistochemistry (Frozen sections) - Anti-Nav1.8/SCN10A antibody [EPR25132-222] (AB307817)
  • IHC-Fr

Supplier Data

Immunohistochemistry (Frozen sections) - Anti-Nav1.8/SCN10A antibody [EPR25132-222] (AB307817)

Immunohistochemical analysis of 4% PFA-fixed, 0.2% Triton X-100 permeabilized frozen rat liver (fresh) tissue labeling Nav1.8/SCN10A with ab307817 at 1/50 dilution (10.64 ug/ml) followed by ab150081 Goat Anti-Rabbit IgG H&L (Alexa Fluor® 488) preadsorbed at 1/1000 dilution (2 ug/mL) (Green). Negative control : confocal image showing no staining on rat liver (PMID : 34409080). The section was incubated in two rounds of staining : in the order of ab307817 and ab190565 for 1 hr at room temperature. The nuclear counterstain was DAPI (Blue). The section was then mounted using Fluoromount®. The immunostaining was performed on a Leica Biosystems BOND® RX instrument. Image was taken with a confocal microscope (Leica-Microsystems, TCS SP8).

Immunohistochemistry (Frozen sections) - Anti-Nav1.8/SCN10A antibody [EPR25132-222] (AB307817)
  • IHC-Fr

Supplier Data

Immunohistochemistry (Frozen sections) - Anti-Nav1.8/SCN10A antibody [EPR25132-222] (AB307817)

Immunohistochemical analysis of 4% PFA-fixed, 0.2% Triton X-100 permeabilized frozen rat dorsal root ganglia (fresh) tissue labeling Nav1.8/SCN10A with ab307817 at 1/50 dilution (10.64 ug/ml) followed by ab150081 Goat Anti-Rabbit IgG H&L (Alexa Fluor® 488) preadsorbed at 1/1000 dilution (2 ug/mL) (Green). Panel A : merged staining of anti-Nav1.8/SCN10A (ab307817, green) and anti-NeuN (ab190565, red) on rat dorsal root ganglia. Panel B : anti-Nav1.8/SCN10A stained on rat dorsal root ganglia. Panel C : anti-NeuN stained in neurons of rat dorsal root ganglia. The section was incubated in two rounds of staining : in the order of ab307817 and ab190565 for 1 hr at room temperature. The nuclear counterstain was DAPI (Blue). The section was then mounted using Fluoromount®. The immunostaining was performed on a Leica Biosystems BOND® RX instrument. Image was taken with a confocal microscope (Leica-Microsystems, TCS SP8).

Immunocytochemistry/ Immunofluorescence - Anti-Nav1.8/SCN10A antibody [EPR25132-222] (AB307817)
  • ICC/IF

Lab

Immunocytochemistry/ Immunofluorescence - Anti-Nav1.8/SCN10A antibody [EPR25132-222] (AB307817)

Immunofluorescent analysis of 4% Paraformaldehyde-fixed, 0.1% TritonX-100 permeabilized rat spleenocytes labelling Nav1.8/SCN10A with ab307817 at 1/50 (10.64 μg/ml) (shown in Green).

Confocal image showing no staining in rat spleenocytes (shown in green). The counterstain was observed in magenta. Nuclear DNA was labelled with DAPI (shown in blue). Image was taken with a confocal microscope (Leica-Microsystems, TCS SP8).

ab7291 Anti-alpha Tubulin mouse monoclonal antibody was used to counterstain tubulin at 1/1000 (1 ug/ml) dilution, followed by secondary counterstain ab150120 Goat Anti-Mouse IgG H&L (Alexa Fluor® 594) at 1/1000 (2 ug/ml) dilution.

Secondary antibody : ab150081 Goat Anti-Rabbit IgG H&L (Alexa Fluor® 488) preadsorbed was used at 1/1000 (2μg/ml)

関連する標識済み抗体及び組成の異なる製品 (1)

  • Carrier free

    Anti-Nav1.8/SCN10A antibody [EPR25132-222] - BSA and Azide free

Key facts

宿主種

Rabbit

クローン性

Monoclonal

クローン番号

EPR25132-222

アイソタイプ

IgG

キャリアフリー

No

交差種

Rat

アプリケーション

ICC/IF, IHC-P, IHC-Fr

applications

免疫原

The exact immunogen used to generate this antibody is proprietary information.

Reactivity data

{ "title": "Reactivity Data", "filters": { "stats": ["", "Species", "Dilution Info", "Notes"], "tabs": { "all-applications": {"fullname" : "All Applications", "shortname": "All Applications"}, "ICCIF" : {"fullname" : "Immunocytochemistry/ Immunofluorescence", "shortname":"ICC/IF"}, "IHCP" : {"fullname" : "Immunohistochemistry (Formalin/PFA-fixed paraffin-embedded sections)", "shortname":"IHC-P"}, "IHCFr" : {"fullname" : "Immunohistochemistry (Frozen sections)", "shortname":"IHC-Fr"}, "WB" : {"fullname" : "Western blot", "shortname":"WB"}, "IP" : {"fullname" : "Immunoprecipitation", "shortname":"IP"} }, "product-promise": { "all": "all", "testedAndGuaranteed": "tested", "guaranteed": "expected", "predicted": "predicted", "notRecommended": "not-recommended" } }, "values": { "Human": { "ICCIF-species-checked": "notRecommended", "ICCIF-species-dilution-info": "", "ICCIF-species-notes": "", "IHCP-species-checked": "notRecommended", "IHCP-species-dilution-info": "1/2000", "IHCP-species-notes": "<p></p> Perform heat-mediated antigen retrieval with Tris/EDTA buffer pH 9.0 before commencing with IHC staining protocol.", "IHCFr-species-checked": "notRecommended", "IHCFr-species-dilution-info": "", "IHCFr-species-notes": "", "WB-species-checked": "notRecommended", "WB-species-dilution-info": "", "WB-species-notes": "<p></p>", "IP-species-checked": "notRecommended", "IP-species-dilution-info": "", "IP-species-notes": "" }, "Mouse": { "ICCIF-species-checked": "notRecommended", "ICCIF-species-dilution-info": "", "ICCIF-species-notes": "", "IHCP-species-checked": "notRecommended", "IHCP-species-dilution-info": "1/2000", "IHCP-species-notes": "<p></p> Perform heat-mediated antigen retrieval with Tris/EDTA buffer pH 9.0 before commencing with IHC staining protocol.", "IHCFr-species-checked": "notRecommended", "IHCFr-species-dilution-info": "1/50", "IHCFr-species-notes": "<p></p>", "WB-species-checked": "notRecommended", "WB-species-dilution-info": "", "WB-species-notes": "<p></p>", "IP-species-checked": "notRecommended", "IP-species-dilution-info": "", "IP-species-notes": "" }, "Rat": { "ICCIF-species-checked": "testedAndGuaranteed", "ICCIF-species-dilution-info": "1/100", "ICCIF-species-notes": "<p></p>", "IHCP-species-checked": "testedAndGuaranteed", "IHCP-species-dilution-info": "1/2000", "IHCP-species-notes": "<p></p> Perform heat-mediated antigen retrieval with Tris/EDTA buffer pH 9.0 before commencing with IHC staining protocol.", "IHCFr-species-checked": "testedAndGuaranteed", "IHCFr-species-dilution-info": "1/50", "IHCFr-species-notes": "<p></p>", "WB-species-checked": "notRecommended", "WB-species-dilution-info": "", "WB-species-notes": "<p></p>", "IP-species-checked": "notRecommended", "IP-species-dilution-info": "", "IP-species-notes": "<p></p>" } } }

製品の詳細

Patented technology
Our RabMAb® technology is a patented hybridoma-based technology for making rabbit monoclonal antibodies. For details on our patents, please refer to RabMAb® patents.

What are the advantages of a recombinant monoclonal antibody?
This product is a recombinant monoclonal antibody, which offers several advantages including:

  • - High batch-to-batch consistency and reproducibility
  • - Improved sensitivity and specificity
  • - Long-term security of supply
  • - Animal-free batch production

For more information, read more on recombinant antibodies.

出荷温度及び保存条件

製品の状態
Liquid
精製方法
Affinity purification Protein A
バッファー組成
pH: 7.2 - 7.4 Preservative: 0.01% Sodium azide Constituents: PBS, 40% Glycerol (glycerin, glycerine), 0.05% BSA
出荷温度
Blue Ice
短期保存期間
1-2 weeks
短期保存温度
+4°C
長期保存温度
-20°C
分注に関する情報
Upon delivery aliquot
保管に関する情報
Avoid freeze / thaw cycle

補足情報

This supplementary information is collated from multiple sources and compiled automatically.

Nav1.8 also known as SCN10A is a voltage-gated sodium channel. It facilitates the rapid transit of sodium ions across cell membranes essential for the propagation of action potentials in neurons. Nav1.8 has a mass of approximately 220 kDa and it expresses primarily in peripheral sensory neurons including dorsal root ganglia. This channel is activated mainly in response to depolarization enabling the initiation and conduction of electrical signals.
Biological function summary

Nav1.8 contributes significantly to pain transmission especially in nociceptive neurons which detect painful stimuli. It operates as a principal component in generating sustained action potentials required for pain signal propagation. Nav1.8 is not a part of a larger complex but plays a standalone critical role. It shows high expression during inflammatory and neuropathic pain conditions indicating its role in pain pathways.

Pathways

Nav1.8 is involved in both the pain and neuroinflammatory pathways. It influences the activity of other sodium channels such as Nav1.7 another critical mediator of pain sensation. Pain pathways extensively integrate Nav1.8 function especially in the modulation of pain thresholds and states. Neuroinflammatory pathways utilize Nav1.8 to alter neuron excitability under inflammatory conditions which is significant for understanding different pain modalities.

Nav1.8 is associated with chronic pain disorders such as neuropathic pain and inflammatory pain conditions. Variations in Nav1.8 are linked to altered pain sensitivity and are researched as potential therapeutic targets for pain relief. In diseases like diabetic neuropathy Nav1.8 changes correlate with increased neuronal excitability and persistent pain sensation. Its relationship with proteins like Nav1.7 in these contexts highlights its importance in the diagnostic and therapeutic options for pain management.

製品プロトコール

For this product, it's our understanding that no specific protocols are required. You can visit:

ターゲットの情報

Tetrodotoxin-resistant channel that mediates the voltage-dependent sodium ion permeability of excitable membranes. Assuming opened or closed conformations in response to the voltage difference across the membrane, the protein forms a sodium-selective channel through which sodium ions may pass in accordance with their electrochemical gradient. Plays a role in neuropathic pain mechanisms.
See full target information SCN10A

Abcam product promise

当社は、高品質な試薬を通じてお客様の研究を力強くサポートすることをお約束いたします。ご使用いただく各段階で、常にお客様をサポートできる体制を整えております。万が一、製品が期待通りに機能しない場合は、「Abcam Product Promise」による当社保証制度に基づき、安心してご利用いただけます。
保証に関する詳細については利用規約をご確認ください。

Please note: All products are 'FOR RESEARCH USE ONLY. NOT FOR USE IN DIAGNOSTIC OR THERAPEUTIC PROCEDURES'.

For licensing inquiries, please contact partnerships@abcam.com