JavaScript is disabled in your browser. Please enable JavaScript to view this website.
AB109272

Anti-NAK/TBK1 (phospho S172) 抗体 [EPR2867(2)]

Anti-NAK/TBK1 (phospho S172) antibody [EPR2867(2)]

5

(1 Review)

|

(82 Publications)

Anti-NAK/TBK1 (phospho S172) antibody [EPR2867(2)] (ab109272) is a rabbit monoclonal antibody detecting NAK/TBK1 in Western Blot, Dot Blot. Suitable for Human.

- Biophysical QC for unrivalled batch-batch consistency
- Over 60 publications

別名を表示する

NAK, TBK1, Serine/threonine-protein kinase TBK1, NF-kappa-B-activating kinase, T2K, TANK-binding kinase 1

3 Images
Western blot - Anti-NAK/TBK1 (phospho S172) antibody [EPR2867(2)] (AB109272)
  • WB

Lab

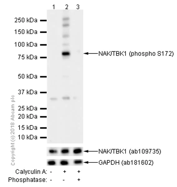
Western blot - Anti-NAK/TBK1 (phospho S172) antibody [EPR2867(2)] (AB109272)

Blocking and diluting buffer and concentration : 5% NFDM/TBST.

All lanes:

Western blot - Anti-NAK/TBK1 (phospho S172) antibody [EPR2867(2)] (ab109272) at 1/5000 dilution

Lane 1:

Untreated HeLa (Human cervix adenocarcinoma epithelial cell) whole cell lysate at 20 µg

Lane 2:

HeLa was starved overnight, then treated with 100nM Calyculin A for 30 min whole cell lysate at 15 µg

Lane 3:

HeLa was starved overnight, then treated with 100nM Calyculin A for 30 min whole cell lysate, then the membrane treated with Phosphatase for 1 hour

Secondary

All lanes:

Western blot - Goat Anti-Rabbit IgG H&L (HRP) (<a href='/products/secondary-antibodies/goat-rabbit-igg-h-l-hrp-ab97051'>ab97051</a>) at 1/20000 dilution

Predicted band size: 84 kDa

Observed band size: 84 kDa

false

Exposure time: 37s

Western blot - Anti-NAK/TBK1 (phospho S172) antibody [EPR2867(2)] (AB109272)
  • WB

Unknown

Western blot - Anti-NAK/TBK1 (phospho S172) antibody [EPR2867(2)] (AB109272)

All lanes:

Western blot - Anti-NAK/TBK1 (phospho S172) antibody [EPR2867(2)] (ab109272) at 1/1000 dilution

Lane 1:

HeLa cell lysate, untreated at 10 µg

Lane 2:

HeLa cell lysate, treated with Calyculin A at 10 µg

Predicted band size: 84 kDa

false

Dot Blot - Anti-NAK/TBK1 (phospho S172) antibody [EPR2867(2)] (AB109272)
  • Dot

Lab

Dot Blot - Anti-NAK/TBK1 (phospho S172) antibody [EPR2867(2)] (AB109272)

Dot blot analysis of NAK/TBK1 (phospho S172) phospho peptide (Lane 1) and NAK/TBK1 non-phospho peptide (Lane 2) labelling NAK/TBK1 (phospho S172) phospho peptide with ab109272 at a dilution of 1 : 1000 dilution (0.627μg/ml). A Goat Anti-Rabbit IgG, (H+L), Peroxidase conjugated (ab97051) was used as the secondary antibody at a dilution of 1 : 20,000 dilution.

Blocking buffer : 5% NFDM/TBST.
Dilution buffer : 5% NFDM /TBST .

関連する標識済み抗体及び組成の異なる製品 (1)

  • Carrier free

    Anti-NAK/TBK1 (phospho S172) antibody [EPR2867(2)] - BSA and Azide free

Key facts

宿主種

Rabbit

クローン性

Monoclonal

クローン番号

EPR2867(2)

アイソタイプ

IgG

キャリアフリー

No

交差種

Human

アプリケーション

Dot, WB

applications

免疫原

The exact immunogen used to generate this antibody is proprietary information.

特異性

Stimulation may be required to allow detection of the phosphorylated protein. Please see images below for recommended treatment conditions and positive controls.

Reactivity data

{ "title": "Reactivity Data", "filters": { "stats": ["", "Species", "Dilution Info", "Notes"], "tabs": { "all-applications": {"fullname" : "All Applications", "shortname": "All Applications"}, "ICCIF" : {"fullname" : "Immunocytochemistry/ Immunofluorescence", "shortname":"ICC/IF"}, "Dot" : {"fullname" : "Dot Blot", "shortname":"Dot"}, "WB" : {"fullname" : "Western blot", "shortname":"WB"} }, "product-promise": { "all": "all", "testedAndGuaranteed": "tested", "guaranteed": "expected", "predicted": "predicted", "notRecommended": "not-recommended" } }, "values": { "Human": { "ICCIF-species-checked": "notRecommended", "ICCIF-species-dilution-info": "", "ICCIF-species-notes": "<p></p>", "Dot-species-checked": "testedAndGuaranteed", "Dot-species-dilution-info": "1/1000", "Dot-species-notes": "<p></p>", "WB-species-checked": "testedAndGuaranteed", "WB-species-dilution-info": "1/1000 - 1/10000", "WB-species-notes": "<p></p>" } } }

製品の詳細

What is this antibody validated in?
Anti-NAK/TBK1 (phospho S172) antibody [EPR2867(2)] (ab109272) is a rabbit recombinant monoclonal antibody and is validated for use in Western Blot (WB), Dot Blot in Human samples.

What is the molecular weight of NAK/TBK1?
Anti-NAK/TBK1 (phospho S172) [EPR2867(2)] (ab109272) specifically detects a band for NAK/TBK1 (UniProt: Q9UHD2) at a molecular weight of 84kDa.

Trusted by the scientific community
Anti-NAK/TBK1 (phospho S172) [EPR2867(2)] (ab109272) was first used in a scientific publication in 2011 and has been cited over 60 times in peer-reviewed journals.

Trial sizes available!
Test your antibody or perform pre-screening before committing to a larger quantity. Sold in 10µl. Discover our selection of trial-size antibodies.

Other related products
We have a range of other formats of antibody clone [EPR2867(2)] also available for your convenience: ab109272, Carrier free - ab186469

Patented technology
Our RabMAb® technology is a patented hybridoma-based technology for making rabbit monoclonal antibodies. For details on our patents, please refer to RabMAb® patents.

What are the advantages of a recombinant monoclonal antibody?
This product is a recombinant monoclonal antibody, which offers several advantages including:

  • - High batch-to-batch consistency and reproducibility
  • - Improved sensitivity and specificity
  • - Long-term security of supply
  • - Animal-free batch production

For more information, read more on recombinant antibodies.

出荷温度及び保存条件

製品の状態
Liquid
精製方法
Affinity purification Protein A
バッファー組成
pH: 7.2 - 7.4 Preservative: 0.01% Sodium azide Constituents: PBS, 40% Glycerol (glycerin, glycerine), 0.21% BSA
出荷温度
Blue Ice
短期保存期間
1-2 weeks
短期保存温度
+4°C
長期保存温度
-20°C
分注に関する情報
Upon delivery aliquot
保管に関する情報
Stable for 12 months at -20°C

補足情報

This supplementary information is collated from multiple sources and compiled automatically.

The NAK/TBK1 also known as TANK-binding kinase 1 is a fundamental protein kinase in various cellular processes. It weighs approximately 84 kDa and is expressed in many tissues including lymphoid organs and the brain. NAK acts as a serine/threonine-protein kinase which transfers a phosphate group to specific substrates modulating their function and activity. Phosphorylation by TBK1 initiates several signaling events making it an important regulator in immune responses and inflammatory signaling pathways.
Biological function summary

This kinase plays a significant role in antiviral defense and autophagy. NAK/TBK1 is also involved in innate immune signaling and cell survival. TBK1 forms part of a larger signaling complex interacting with adaptors like TRAF3 and TANK which are important for its proper localization and function. Phospho-NAK its phosphorylated form can activate other molecules driving various downstream immune and stress responses.

Pathways

The protein is integral to the type I interferon signaling pathway and NF-kB pathway. NAK/TBK1 interacts closely with IRF3 a transcription factor important for antiviral activity and plays a role alongside other proteins like IKKε. These interactions permit activation of genes necessary for defense mechanisms against viral pathogens and control of inflammation. In the NF-kB pathway TBK1 helps regulate cellular responses to stress and inflammatory signals.

NAK/TBK1 has associations with amyotrophic lateral sclerosis (ALS) and various cancers. Research shows connections between TBK1 mutations and ALS indicating its importance in neuronal function and health. Additionally aberrations in TBK1 activity contribute to oncogenesis as it can affect cell proliferation and survival. The protein's relation with signaling proteins such as p62/SQSTM1 highlights its diverse role in disease mechanisms making it a potential therapeutic target.

製品プロトコール

For this product, it's our understanding that no specific protocols are required. You can visit:

ターゲットの情報

Serine/threonine kinase that plays an essential role in regulating inflammatory responses to foreign agents (PubMed : 10581243, PubMed : 11839743, PubMed : 12692549, PubMed : 12702806, PubMed : 14703513, PubMed : 15367631, PubMed : 15485837, PubMed : 18583960, PubMed : 21138416, PubMed : 23453971, PubMed : 23453972, PubMed : 23746807, PubMed : 25636800, PubMed : 26611359, PubMed : 32404352, PubMed : 34363755, PubMed : 32298923). Following activation of toll-like receptors by viral or bacterial components, associates with TRAF3 and TANK and phosphorylates interferon regulatory factors (IRFs) IRF3 and IRF7 as well as DDX3X (PubMed : 12692549, PubMed : 12702806, PubMed : 14703513, PubMed : 15367631, PubMed : 18583960, PubMed : 25636800). This activity allows subsequent homodimerization and nuclear translocation of the IRFs leading to transcriptional activation of pro-inflammatory and antiviral genes including IFNA and IFNB (PubMed : 12702806, PubMed : 15367631, PubMed : 25636800, PubMed : 32972995). In order to establish such an antiviral state, TBK1 form several different complexes whose composition depends on the type of cell and cellular stimuli (PubMed : 23453971, PubMed : 23453972, PubMed : 23746807). Plays a key role in IRF3 activation : acts by first phosphorylating innate adapter proteins MAVS, STING1 and TICAM1 on their pLxIS motif, leading to recruitment of IRF3, thereby licensing IRF3 for phosphorylation by TBK1 (PubMed : 25636800, PubMed : 30842653, PubMed : 37926288). Phosphorylated IRF3 dissociates from the adapter proteins, dimerizes, and then enters the nucleus to induce expression of interferons (PubMed : 25636800). Thus, several scaffolding molecules including FADD, TRADD, MAVS, AZI2, TANK or TBKBP1/SINTBAD can be recruited to the TBK1-containing-complexes (PubMed : 21931631). Under particular conditions, functions as a NF-kappa-B effector by phosphorylating NF-kappa-B inhibitor alpha/NFKBIA, IKBKB or RELA to translocate NF-Kappa-B to the nucleus (PubMed : 10783893, PubMed : 15489227). Restricts bacterial proliferation by phosphorylating the autophagy receptor OPTN/Optineurin on 'Ser-177', thus enhancing LC3 binding affinity and antibacterial autophagy (PubMed : 21617041). Phosphorylates SMCR8 component of the C9orf72-SMCR8 complex, promoting autophagosome maturation (PubMed : 27103069). Phosphorylates ATG8 proteins MAP1LC3C and GABARAPL2, thereby preventing their delipidation and premature removal from nascent autophagosomes (PubMed : 31709703). Seems to play a role in energy balance regulation by sustaining a state of chronic, low-grade inflammation in obesity, which leads to a negative impact on insulin sensitivity (By similarity). Attenuates retroviral budding by phosphorylating the endosomal sorting complex required for transport-I (ESCRT-I) subunit VPS37C (PubMed : 21270402). Phosphorylates Borna disease virus (BDV) P protein (PubMed : 16155125). Plays an essential role in the TLR3- and IFN-dependent control of herpes virus HSV-1 and HSV-2 infections in the central nervous system (PubMed : 22851595). Acts both as a positive and negative regulator of the mTORC1 complex, depending on the context : activates mTORC1 in response to growth factors by catalyzing phosphorylation of MTOR, while it limits the mTORC1 complex by promoting phosphorylation of RPTOR (PubMed : 29150432, PubMed : 31530866). Acts as a positive regulator of the mTORC2 complex by mediating phosphorylation of MTOR, leading to increased phosphorylation and activation of AKT1 (By similarity). Phosphorylates and activates AKT1 (PubMed : 21464307). Involved in the regulation of TNF-induced RIPK1-mediated cell death, probably acting via CYLD phosphorylation that in turn controls RIPK1 ubiquitination status (PubMed : 34363755). Also participates in the differentiation of T follicular regulatory cells together with the receptor ICOS (PubMed : 27135603).
See full target information TBK1 phospho S172

文献 (82)

Recent publications for all applications. Explore the full list and refine your search

PLoS pathogens 21:e1013198 PubMed40498864

2025

The conserved poxvirus membrane entry-fusion apparatus component OPG147 targets MITA/STING for immune evasion.

Applications

Unspecified application

Species

Unspecified reactive species

Xue-Mei Yi,Mi Li,Su-Yun Wang,Shi-Han Wang,Jia-Qing Zeng,Ya-Li Lei,Yu Zhang,Chun-Yu Zhu,Ying Zhang,Jun-Hui Song,Yun-Da Chen,Yun Wang,Hong-Bing Shu,Shu Li,Yan-Yi Wang

Viruses 17: PubMed40006921

2025

DDX21 Promotes PCV3 Replication by Binding to Cap Protein and Inhibiting Interferon Responses.

Applications

Unspecified application

Species

Unspecified reactive species

Haoyu Sun,Qianhong Dai,Beiyi Zhou,Xiaoyuan Lan,Yonghui Qiu,Qianqian Zhang,Dedong Wang,Yongqiu Cui,Jinshuo Guo,Lei Hou,Jue Liu,Jianwei Zhou

EMBO reports 26:1620-1646 PubMed39979465

2025

DSTYK phosphorylates STING at late endosomes to promote STING signaling.

Applications

Unspecified application

Species

Unspecified reactive species

Hao Dong,Heng Zhang,Pu Song,Yuan Hu,Danying Chen

mBio 15:e0202824 PubMed39470258

2024

Helicase protein DDX11 as a novel antiviral factor promoting RIG-I-MAVS-mediated signaling pathway.

Applications

Unspecified application

Species

Unspecified reactive species

Jiyu Zhang,Liaoyuan Zhang,Dakai Liu,Hongyan Shi,Xin Zhang,Jianfei Chen,Xiaoman Yang,Miaomiao Zeng,Jialin Zhang,Tingshuai Feng,Xiaoyuan Zhu,Zhaoyang Jing,Zhaoyang Ji,Da Shi,Li Feng

American journal of translational research 16:3678-3689 PubMed39262750

2024

Salvia miltiorrhiza bge. f. alba ameliorates type 2 diabetes mellitus-associated non-alcoholic fatty liver disease via the STING pathway.

Applications

Unspecified application

Species

Unspecified reactive species

Donghui Huang,Fuyan Bai,Tingting Hu,Jing Li,Guoning Wang,Chengsheng Wu

Experimental hematology & oncology 13:77 PubMed39103908

2024

Overexpression of ESYT3 improves radioimmune responses through activating cGAS-STING pathway in lung adenocarcinoma.

Applications

Unspecified application

Species

Unspecified reactive species

Zan Luo,Ying Li,Bin Xu,Tenghua Yu,Mingming Luo,PeiMeng You,Xing Niu,Junyu Li

Nucleic acids research 52:9630-9653 PubMed39087523

2024

Loss of the DNA repair protein, polynucleotide kinase/phosphatase, activates the type 1 interferon response independent of ionizing radiation.

Applications

Unspecified application

Species

Unspecified reactive species

Wisdom Deebeke Kate,Mesfin Fanta,Michael Weinfeld

Journal of neuroinflammation 21:86 PubMed38584255

2024

STING inhibition suppresses microglia-mediated synapses engulfment and alleviates motor functional deficits after stroke.

Applications

Unspecified application

Species

Unspecified reactive species

Chaoran Wu,Shiwen Zhang,Hao Sun,Ao Li,Fengsheng Hou,Long Qi,Hong Liao

Poultry science 103:103274 PubMed38043405

2023

Chlorogenic acid protects against intestinal inflammation and injury by inactivating the mtDNA-cGAS-STING signaling pathway in broilers under necrotic enteritis challenge.

Applications

Unspecified application

Species

Unspecified reactive species

Huimin Lv,Peng Chen,Yang Wang,Lianbin Xu,Kai Zhang,Jinshan Zhao,Huawei Liu

The Journal of biological chemistry 299:105428 PubMed37926288

2023

TBK1-stabilized ZNF268a recruits SETD4 to methylate TBK1 for efficient interferon signaling.

Applications

Unspecified application

Species

Unspecified reactive species

Yi Liu,Wei Yin,Xianhuang Zeng,Jinhao Fan,Chaozhi Liu,Mingyu Gao,Zan Huang,Guihong Sun,Mingxiong Guo
View all publications

Abcam product promise

当社は、高品質な試薬を通じてお客様の研究を力強くサポートすることをお約束いたします。ご使用いただく各段階で、常にお客様をサポートできる体制を整えております。万が一、製品が期待通りに機能しない場合は、「Abcam Product Promise」による当社保証制度に基づき、安心してご利用いただけます。
保証に関する詳細については利用規約をご確認ください。

Please note: All products are 'FOR RESEARCH USE ONLY. NOT FOR USE IN DIAGNOSTIC OR THERAPEUTIC PROCEDURES'.

For licensing inquiries, please contact partnerships@abcam.com