JavaScript is disabled in your browser. Please enable JavaScript to view this website.
AB59202

Anti-Myosin Phosphatase (phospho T696) 抗体

Anti-Myosin Phosphatase (phospho T696) antibody

0

(1 Review)

|

(2 Publications)

Rabbit Polyclonal Myosin Phosphatase phospho T696 antibody. Suitable for IHC-P and reacts with Human samples. Cited in 2 publications. Immunogen corresponding to Synthetic Peptide within Human PPP1R12A phospho T696 aa 650-750.

別名を表示する

MBS, MYPT1, PPP1R12A, Protein phosphatase 1 regulatory subunit 12A, Myosin phosphatase-targeting subunit 1, Protein phosphatase myosin-binding subunit, Myosin phosphatase target subunit 1

1 Images
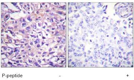
Immunohistochemistry (Formalin/PFA-fixed paraffin-embedded sections) - Anti-Myosin Phosphatase (phospho T696) antibody (AB59202)
  • IHC-P

Unknown

Immunohistochemistry (Formalin/PFA-fixed paraffin-embedded sections) - Anti-Myosin Phosphatase (phospho T696) antibody (AB59202)

Immunohistochemical analysis of paraffin embedded human breast carcinoma tissue using ab59202 at 1/50 dilution. Samples were untreated (left) or treated with immunizing peptide (right).

Key facts

宿主種

Rabbit

クローン性

Polyclonal

アイソタイプ

IgG

キャリアフリー

No

交差種

Human

アプリケーション

IHC-P

applications

免疫原

Synthetic Peptide within Human PPP1R12A phospho T696 aa 650-750. The exact immunogen used to generate this antibody is proprietary information.

O14974

Reactivity data

{ "title": "Reactivity Data", "filters": { "stats": ["", "Species", "Dilution Info", "Notes"], "tabs": { "all-applications": {"fullname" : "All Applications", "shortname": "All Applications"}, "IHCP" : {"fullname" : "Immunohistochemistry (Formalin/PFA-fixed paraffin-embedded sections)", "shortname":"IHC-P"} }, "product-promise": { "all": "all", "testedAndGuaranteed": "tested", "guaranteed": "expected", "predicted": "predicted", "notRecommended": "not-recommended" } }, "values": { "Human": { "IHCP-species-checked": "testedAndGuaranteed", "IHCP-species-dilution-info": "", "IHCP-species-notes": "<p></p>" } } }

出荷温度及び保存条件

製品の状態
Liquid
精製方法
Affinity purification Immunogen
精製に関する特記事項
Affinity purified from rabbit antiserum by affinity chromatography using epitope specific phosphopeptide. The antibody against non phosphopeptide was removed by chromatography using non phosphopeptide corresponding to the phosphorylation site.
バッファー組成
pH: 7.4 Preservative: 0.02% Sodium azide Constituents: PBS, 50% Glycerol (glycerin, glycerine), 0.87% Sodium chloride
出荷温度
Blue Ice
短期保存温度
+4°C
長期保存温度
-20°C
保管に関する情報
Stable for 12 months at -20°C

補足情報

This supplementary information is collated from multiple sources and compiled automatically.

Myosin phosphatase sometimes also known as Myosin Light Chain Phosphatase is an enzyme that plays a mechanical role in the dephosphorylation of myosin light chains which are important for muscle contraction and cell motility. This enzyme typically consists of three subunits: a catalytic subunit known as protein phosphatase 1 and two regulatory subunits. Together they generally create a structure with a mass between 100-150 kDa. You will find myosin phosphatase widely expressed across muscle tissues such as cardiac smooth and skeletal muscles.
Biological function summary

Myosin phosphatase regulates contraction by reversing phosphorylation of myosin light chains an important process in muscle function and various cellular activities. This enzyme operates as part of the myosin phosphatase complex where it provides the capability needed to maintain equilibrium between phosphorylating and dephosphorylating processes. By controlling this balance myosin phosphatase plays a significant role in cell movement cell shape and tension maintenance.

Pathways

Myosin phosphatase is integrated into the RhoA/Rho-kinase signaling pathway which is important for cytoskeletal dynamics and cell adhesion. Within this pathway myosin phosphatase interacts with proteins like Rho-kinase (ROCK) which counter-regulates its activity by inhibiting dephosphorylation. The crosstalk with another protein protein phosphatase 1 is also significant in controlling phosphorylation states and facilitating cellular responses to external stimuli.

Myosin phosphatase is involved in hypertension and heart failure through its action on smooth muscle contraction. Abnormal regulation and activity of this enzyme can lead to unwanted contraction and subsequently increased blood pressure. The protein Rho-kinase is implicated in these conditions as it often modifies the activity of myosin phosphatase. Furthermore deregulation of the associated cellular pathways contributes to cardiac stress and dysfunction highlighting its involvement in heart-related pathology.

製品プロトコール

For this product, it's our understanding that no specific protocols are required. You can visit:

ターゲットの情報

Key regulator of protein phosphatase 1C (PPP1C). Mediates binding to myosin. As part of the PPP1C complex, involved in dephosphorylation of PLK1. Capable of inhibiting HIF1AN-dependent suppression of HIF1A activity.
See full target information PPP1R12A phospho T696

文献 (2)

Recent publications for all applications. Explore the full list and refine your search

Experimental and therapeutic medicine 14:2221-2227 PubMed28962146

2017

Expression of MYPT1, CPI-17 and MLC20 in ileum of neonatal mouse NEC model and its significance.

Applications

Unspecified application

Species

Unspecified reactive species

Yinyu Yin,Yiping Li,Jian Pan,Ruze Tang,Jie Zhu,Zhenfang Qin,Xiaobing Xu,Jian Wang

Scientific reports 6:31076 PubMed27484028

2016

Decompensated liver cirrhosis and neural regulation of mesenteric vascular tone in rats: role of sympathetic, nitrergic and sensory innervations.

Applications

WB

Species

Rat

Esther Sastre,Laura Caracuel,Isabel Prieto,Pablo Llévenes,M Ángeles Aller,Jaime Arias,Gloria Balfagón,Javier Blanco-Rivero
View all publications

Abcam product promise

当社は、高品質な試薬を通じてお客様の研究を力強くサポートすることをお約束いたします。ご使用いただく各段階で、常にお客様をサポートできる体制を整えております。万が一、製品が期待通りに機能しない場合は、「Abcam Product Promise」による当社保証制度に基づき、安心してご利用いただけます。
保証に関する詳細については利用規約をご確認ください。

Please note: All products are 'FOR RESEARCH USE ONLY. NOT FOR USE IN DIAGNOSTIC OR THERAPEUTIC PROCEDURES'.

For licensing inquiries, please contact partnerships@abcam.com