JavaScript is disabled in your browser. Please enable JavaScript to view this website.
AB212662

Anti-MyoD1 抗体 [5.8A] - BSA free

Anti-MyoD1 antibody [5.8A] - BSA free

0

(1 Review)

|

(3 Publications)

Mouse Monoclonal MYOD1 antibody. Suitable for IHC-P and reacts with Human samples. Cited in 3 publications. Immunogen corresponding to Recombinant Full Length Protein corresponding to Mouse Myod1.

別名を表示する

BHLHC1, MYF3, MYOD, MYOD1, Myoblast determination protein 1, Class C basic helix-loop-helix protein 1, Myogenic factor 3, bHLHc1, Myf-3

1 Images
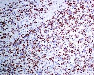
Immunohistochemistry (Formalin/PFA-fixed paraffin-embedded sections) - Anti-MyoD1 antibody [5.8A] - BSA free (AB212662)
  • IHC-P

Supplier Data

Immunohistochemistry (Formalin/PFA-fixed paraffin-embedded sections) - Anti-MyoD1 antibody [5.8A] - BSA free (AB212662)

Immunohistochemical analysis of formalin-fixed, paraffin-embedded Human Rhabdomyosarcoma tissue section labeling MyoD1 with ab212662 at 1 μg/mL.

Key facts

宿主種

Mouse

クローン性

Monoclonal

クローン番号

5.8A

アイソタイプ

IgG1

軽鎖のタイプ

kappa

キャリアフリー

No

交差種

Human

アプリケーション

IHC-P

applications

免疫原

Recombinant Full Length Protein corresponding to Mouse Myod1.

P10085

エピトープ

The epitope of ab212662 maps between amino acid 180-189 in the C terminal of mouse MyoD1 protein.

特異性

ab212662 does not cross react with myogenin, Myf5, or Myf6.

Reactivity data

{ "title": "Reactivity Data", "filters": { "stats": ["", "Species", "Dilution Info", "Notes"], "tabs": { "all-applications": {"fullname" : "All Applications", "shortname": "All Applications"}, "IHCP" : {"fullname" : "Immunohistochemistry (Formalin/PFA-fixed paraffin-embedded sections)", "shortname":"IHC-P"} }, "product-promise": { "all": "all", "testedAndGuaranteed": "tested", "guaranteed": "expected", "predicted": "predicted", "notRecommended": "not-recommended" } }, "values": { "Human": { "IHCP-species-checked": "testedAndGuaranteed", "IHCP-species-dilution-info": "0.5-1 µg/mL", "IHCP-species-notes": "<p>for 30 minutes at room temperature.</p>" } } }

出荷温度及び保存条件

製品の状態
Liquid
精製方法
Affinity purification Protein G
精製に関する特記事項
Purified from bioreactor concentrate.
バッファー組成
pH: 7.2 - 7.4 Preservative: 0.05% Sodium azide Constituents: PBS
出荷温度
Blue Ice
短期保存期間
1-2 weeks
短期保存温度
+4°C
長期保存温度
-20°C
分注に関する情報
Upon delivery aliquot
保管に関する情報
Avoid freeze / thaw cycle

補足情報

This supplementary information is collated from multiple sources and compiled automatically.

MyoD1 also known as Myogenic Differentiation 1 is a master regulator of muscle differentiation. It functions mechanically as a transcription factor binding to DNA at specific sequences thereby activating the transcription of genes necessary for muscle tissue development. MyoD1 has a molecular weight of approximately 45 kDa. It is expressed in skeletal muscle tissues and also detected in some non-muscle tissues though at lower levels. MyoD1 is essential in the early stages of muscle cell lineage commitment.
Biological function summary

MyoD1 plays an important role in muscle differentiation by activating muscle-specific genes. It belongs to the myogenic regulatory factor family and often operates within a protein complex alongside Myf5 and myogenin aiding in the conversion of mesodermal stem cells into muscle cells. These partnerships enhance its ability to initiate the muscle-specific gene expression that drives myogenesis. MyoD1 acts like a molecular switch shifting cells into the pathway leading to muscle formation.

Pathways

MyoD1 is an integral component of myogenesis and muscle regeneration pathways. MyoD1 interacts with key pathway components such as Myf5 and MRF4 which reinforce MyoD1 activity in muscle tissue lineage determination and cell cycle arrest during differentiation. The activity of MyoD1 in these pathways highlights its role in skeletal muscle growth. MyoD1 also demonstrates functional redundancy with Myogenin as both share overlapping roles in these critical pathways.

MyoD1 is associated with muscular dystrophy and some sarcomas. Aberrant expression or mutations in MyoD1 can disrupt normal muscle differentiation contributing to muscle-related disorders like rhabdomyosarcoma a form of cancer comprising cells resembling skeletal muscle. Its relationship with other proteins like Myf5 further highlights its role in such pathological conditions as faults in these connections can amplify or alter disease progression.

製品プロトコール

For this product, it's our understanding that no specific protocols are required. You can visit:

ターゲットの情報

Acts as a transcriptional activator that promotes transcription of muscle-specific target genes and plays a role in muscle differentiation. Together with MYF5 and MYOG, co-occupies muscle-specific gene promoter core region during myogenesis. Induces fibroblasts to differentiate into myoblasts. Interacts with and is inhibited by the twist protein. This interaction probably involves the basic domains of both proteins (By similarity).
See full target information MYOD1

文献 (3)

Recent publications for all applications. Explore the full list and refine your search

Advanced biology 7:e2200322 PubMed36895072

2023

Differentiation of Peritubular Myoid-Like Cells from Human Induced Pluripotent Stem Cells.

Applications

Unspecified application

Species

Unspecified reactive species

Meghan Robinson,Anne Haegert,Yen-Yi Li,Tunc Morova,Angelina Yuan Yuan Zhang,Luke Witherspoon,Faraz Hach,Stephanie M Willerth,Ryan Flannigan

BMC biology 21:19 PubMed36726129

2023

Integrative single-cell RNA-seq and ATAC-seq analysis of myogenic differentiation in pig.

Applications

Unspecified application

Species

Unspecified reactive species

Shufang Cai,Bin Hu,Xiaoyu Wang,Tongni Liu,Zhuhu Lin,Xian Tong,Rong Xu,Meilin Chen,Tianqi Duo,Qi Zhu,Ziyun Liang,Enru Li,Yaosheng Chen,Jianhao Li,Xiaohong Liu,Delin Mo

Journal of cellular physiology 235:5649-5665 PubMed31960436

2020

Resistance training-induced muscle hypertrophy is mediated by TGF-β1-Smad signaling pathway in male Wistar rats.

Applications

Unspecified application

Species

Unspecified reactive species

Rohollah Nikooie,Sohil Jafari-Sardoie,Vahid Sheibani,Amir Nejadvaziri Chatroudi
View all publications

Abcam product promise

当社は、高品質な試薬を通じてお客様の研究を力強くサポートすることをお約束いたします。ご使用いただく各段階で、常にお客様をサポートできる体制を整えております。万が一、製品が期待通りに機能しない場合は、「Abcam Product Promise」による当社保証制度に基づき、安心してご利用いただけます。
保証に関する詳細については利用規約をご確認ください。

Please note: All products are 'FOR RESEARCH USE ONLY. NOT FOR USE IN DIAGNOSTIC OR THERAPEUTIC PROCEDURES'.

For licensing inquiries, please contact partnerships@abcam.com