JavaScript is disabled in your browser. Please enable JavaScript to view this website.
AB312328

Anti-Mycobacterium tuberculosis Ag85B 抗体 [EPR28401-54]

Anti-Mycobacterium tuberculosis Ag85B antibody [EPR28401-54]

  • BOND RX™ Validated
  • 20ul selling size
  • RabMAb
  • Recombinant
  • 詳細を見る

Be the first to review this product! Submit a review

|

(0 Publication)

Rabbit Recombinant Monoclonal A85B antibody. Suitable for WB, IHC-P, ICC/IF, Flow Cyt (Intra), IP, I-ELISA and reacts with Transfected cell lysate - Human, Transfected cell line, Recombinant fragment samples.

別名を表示する

Rv1886c, MTCY180.32, fbpB, Diacylglycerol acyltransferase/mycolyltransferase Ag85B, DGAT, 30 kDa extracellular protein, Acyl-CoA:diacylglycerol acyltransferase, Antigen 85 complex B, Extracellular alpha-antigen, Fibronectin-binding protein B, 85B, Ag85B, Fbps B

11 Images
Flow Cytometry (Intracellular) - Anti-Mycobacterium tuberculosis Ag85B antibody [EPR28401-54] (AB312328)
  • Flow Cyt (Intra)

Supplier Data

Flow Cytometry (Intracellular) - Anti-Mycobacterium tuberculosis Ag85B antibody [EPR28401-54] (AB312328)

Flow cytometric analysis of 4% paraformaldehyde fixed 90% methanol permeabilized 293T cells (human embryonic kidney epithelial cell) transfected with a fbpA expression vector containing a myc tag cells labelling Mycobacterium tuberculosis Ag85B with ab312328 at 1/500 dilution (0.1 ug)/Right (Red) compared with a Rabbit monoclonal IgG (ab172730) / Left isotype control and an unlabelled control (cells without incubation with primary antibody and secondary antibody) (Blue). A Goat Anti-Rabbit IgG (Alexa Fluor® 488, ab150081) at 1/5000 dilution was used as the secondary antibody.

Immunocytochemistry/ Immunofluorescence - Anti-Mycobacterium tuberculosis Ag85B antibody [EPR28401-54] (AB312328)
  • ICC/IF

Supplier Data

Immunocytochemistry/ Immunofluorescence - Anti-Mycobacterium tuberculosis Ag85B antibody [EPR28401-54] (AB312328)

Immunofluorescent analysis of 4% Paraformaldehyde-fixed, 0.1% TritonX-100 permeabilized 293T (human embryonic kidney epithelial cell) cells labelling Mycobacterium tuberculosis Ag85B with ab312328 at 1/100 (10.01 ug/ml) dilution, followed by ab150081 Goat Anti-Rabbit IgG H&L (Alexa Fluor® 488) preadsorbed antibody at 1/1000 (2 ug/ml) dilution (Green). Confocal image showing positive staining in 293T cells transfected with a fbpB expression vector containing a myc tag, and no staining in 293T cells transfected with a fbpA or fbpC expression vector containing a myc tag. Image was taken with a confocal microscope(Leica-Microsystems, TCS SP8). ab223895 Anti-Myc tag Mouse monoclonal antibody (Alexa Fluor® 647) was used to counterstain tubulin at 1/200 (2.5 ug/ml) dilution (Red). The Nuclear counterstain was DAPI (Blue). Secondary antibody only control : Secondary antibody is ab150081 Goat Anti-Rabbit IgG H&L (Alexa Fluor® 488) preadsorbed at 1/1000 (2 ug/ml) dilution.

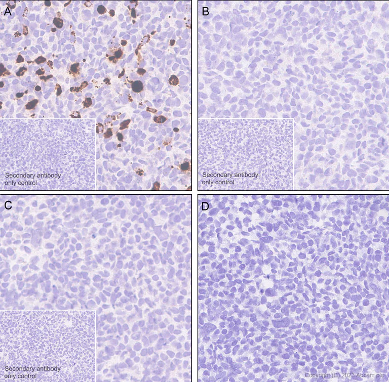
Immunohistochemistry (Formalin/PFA-fixed paraffin-embedded sections) - Anti-Mycobacterium tuberculosis Ag85B antibody [EPR28401-54] (AB312328)
  • IHC-P

Supplier Data

Immunohistochemistry (Formalin/PFA-fixed paraffin-embedded sections) - Anti-Mycobacterium tuberculosis Ag85B antibody [EPR28401-54] (AB312328)

Immunohistochemical analysis of paraffin-embedded (A) HEK-293T (human tissue labeling Mycobacterium tuberculosis Ag85B with ab312328 at 1/100 (5.01 ug/ml) followed by a ready to use LeicaDS9800 (Bond™ Polymer Refine Detection). Positive staining on (A) HEK-293T cells transfected with a fbpB expression vector containing a his tag. No staining on (B) HEK-293T cells transfected with a fbpA expression vector containing a his tag, (C) HEK-293T cells transfected with a fbpC expression vector containing a his tag and (D) HEK-293T cells transfected with empty vector containing a his tag. The section was incubated with ab312328 for 30 mins at room temperature. The immunostaining was performed on a Leica Biosystems BOND® RX instrument. Counterstained with Hematoxylin. Secondary antibody only control : Secondary antibody is a ready to use LeicaDS9800 (Bond™ Polymer Refine Detection). Heat mediated antigen retrieval was performed with Tris-EDTA buffer (pH 9.0, Epitope Retrieval Solution2) for 20 mins.

Flow Cytometry (Intracellular) - Anti-Mycobacterium tuberculosis Ag85B antibody [EPR28401-54] (AB312328)
  • Flow Cyt (Intra)

Supplier Data

Flow Cytometry (Intracellular) - Anti-Mycobacterium tuberculosis Ag85B antibody [EPR28401-54] (AB312328)

Flow cytometric analysis of 4% paraformaldehyde fixed 90% methanol permeabilized 293T cells (human embryonic kidney epithelial cell) transfected with a fbpC expression vector containing a myc tag cells labelling Mycobacterium tuberculosis Ag85B with ab312328 at 1/500 dilution (0.1 ug)/Right (Red) compared with a Rabbit monoclonal IgG (ab172730) / Left isotype control and an unlabelled control (cells without incubation with primary antibody and secondary antibody) (Blue). A Goat Anti-Rabbit IgG (Alexa Fluor® 488, ab150081) at 1/5000 dilution was used as the secondary antibody.

Flow Cytometry (Intracellular) - Anti-Mycobacterium tuberculosis Ag85B antibody [EPR28401-54] (AB312328)
  • Flow Cyt (Intra)

Supplier Data

Flow Cytometry (Intracellular) - Anti-Mycobacterium tuberculosis Ag85B antibody [EPR28401-54] (AB312328)

Flow cytometric analysis of 4% paraformaldehyde fixed 90% methanol permeabilized Isotype (Left) / 293T cells (human embryonic kidney epithelial cell) transfected with a fbpB expression vector containing a myc tag (Middle) / 293T cells transfected with an empty expression vector containing a myc tag (Right) cells labelling Mycobacterium tuberculosis Ag85B with ab312328 at 1/500 dilution (0.1 ug)/Right (Red) compared with a Rabbit monoclonal IgG (ab172730) / Left isotype control and an unlabelled control (cells without incubation with primary antibody and secondary antibody) (Blue). A Goat Anti-Rabbit IgG (Alexa Fluor® 488, ab150081) at 1/5000 dilution was used as the secondary antibody.

Immunohistochemistry (Formalin/PFA-fixed paraffin-embedded sections) - Anti-Mycobacterium tuberculosis Ag85B antibody [EPR28401-54] (AB312328)
  • IHC-P

Supplier Data

Immunohistochemistry (Formalin/PFA-fixed paraffin-embedded sections) - Anti-Mycobacterium tuberculosis Ag85B antibody [EPR28401-54] (AB312328)

Immunohistochemical analysis of paraffin-embedded Human colon tissue labeling Mycobacterium tuberculosis Ag85B with ab312328 at 1/100 (5.01 ug/ml) followed by a ready to use LeicaDS9800 (Bond™ Polymer Refine Detection). Negative control : No staining on human colon. The section was incubated with ab312328 for 30 mins at room temperature. The immunostaining was performed on a Leica Biosystems BOND® RX instrument. Counterstained with Hematoxylin. Secondary antibody only control : Secondary antibody is a ready to use LeicaDS9800 (Bond™ Polymer Refine Detection). Heat mediated antigen retrieval was performed with Tris-EDTA buffer (pH 9.0, Epitope Retrieval Solution2) for 20 mins.

Immunoprecipitation - Anti-Mycobacterium tuberculosis Ag85B antibody [EPR28401-54] (AB312328)
  • IP

Supplier Data

Immunoprecipitation - Anti-Mycobacterium tuberculosis Ag85B antibody [EPR28401-54] (AB312328)

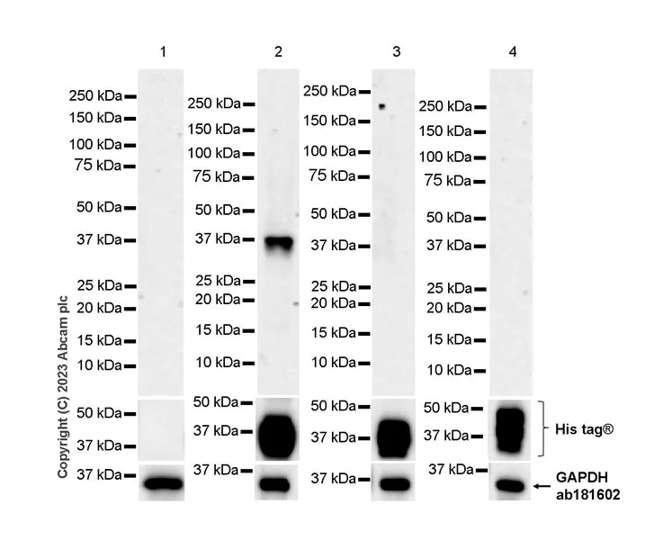
Mycobacterium tuberculosis Ag85B was immunoprecipitated from 0.35 mg HEK-293T cells (human embryonic kidney epithelial cell) transfected with Human fbpB expression vector containing a his tag whole cell lysate with ab312328 at 1/30 dilution (2ug in 0.35mg lysates). Western blot was performed on the immunoprecipitate using ab312328 at 1/1000 dilution. VeriBlot for IP secondary antibody (HRP) (ab131366) was used at 1/5000 dilution.

Lane 1 : HEK-293T cells (human embryonic kidney epithelial cell) transfected with Human fbpB expression vector containing a his tag whole cell lysate
Lane 2 : HEK-293T cells (human embryonic kidney epithelial cell) transfected with Human fbpB expression vector containing a his tag whole cell lysate
Lane 3 : Rabbit monoclonal IgG (ab172730) instead of ab312328 in HEK-293T cells transfected with Human fbpB expression vector containing a his tag whole cell lysate

Blocking and dilution buffer and concentration : 5% NFDM/TBST.

Exposure time : 180 seconds

All lanes:

Immunoprecipitation - Anti-Mycobacterium tuberculosis Ag85B antibody [EPR28401-54] (ab312328) at 1/1000 dilution

All lanes:

HEK-293T cells (human embryonic kidney epithelial cell) transfected with Human fbpB expression vector containing a his tag whole cell lysate at 10 µg

Secondary

All lanes:

Immunoprecipitation - VeriBlot for IP Detection Reagent (HRP) (<a href='/products/reagents/veriblot-for-ip-detection-reagent-hrp-ab131366'>ab131366</a>) at 1/5000 dilution

false

Exposure time: 180s

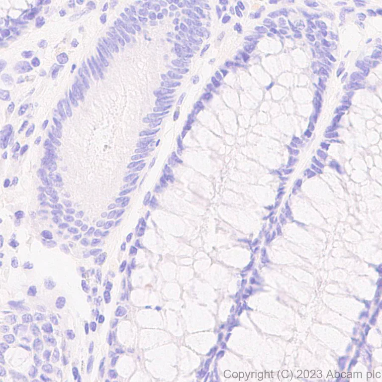
Immunohistochemistry (Formalin/PFA-fixed paraffin-embedded sections) - Anti-Mycobacterium tuberculosis Ag85B antibody [EPR28401-54] (AB312328)
  • IHC-P

Supplier Data

Immunohistochemistry (Formalin/PFA-fixed paraffin-embedded sections) - Anti-Mycobacterium tuberculosis Ag85B antibody [EPR28401-54] (AB312328)

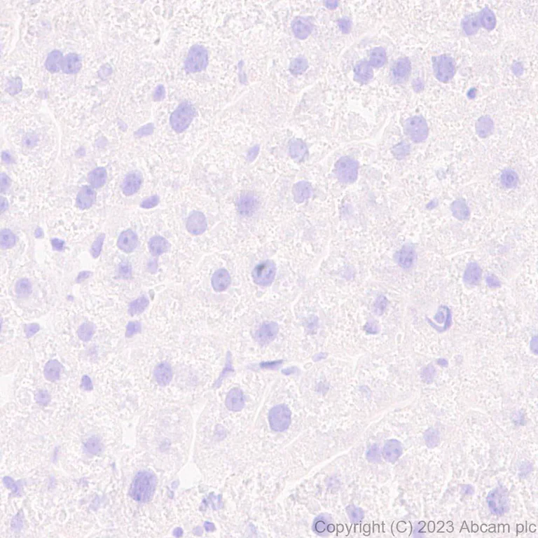
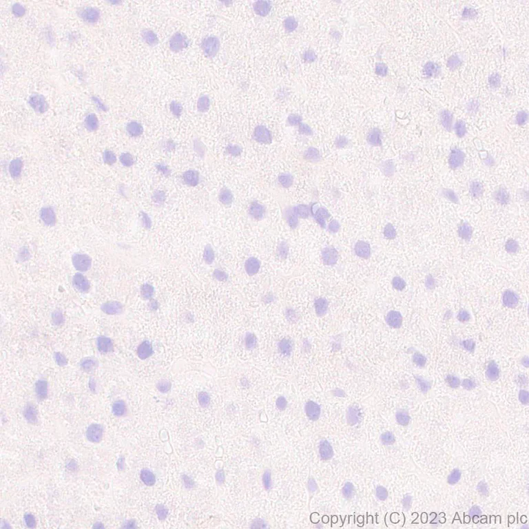
Immunohistochemical analysis of paraffin-embedded Rat liver tissue labeling Mycobacterium tuberculosis Ag85B with ab312328 at 1/100 (5.01 ug/ml) followed by a ready to use LeicaDS9800 (Bond™ Polymer Refine Detection). Negative control : No staining on rat liver. The section was incubated with ab312328 for 30 mins at room temperature. The immunostaining was performed on a Leica Biosystems BOND® RX instrument. Counterstained with Hematoxylin. Secondary antibody only control : Secondary antibody is a ready to use LeicaDS9800 (Bond™ Polymer Refine Detection). Heat mediated antigen retrieval was performed with Tris-EDTA buffer (pH 9.0, Epitope Retrieval Solution2) for 20 mins.

Immunohistochemistry (Formalin/PFA-fixed paraffin-embedded sections) - Anti-Mycobacterium tuberculosis Ag85B antibody [EPR28401-54] (AB312328)
  • IHC-P

Supplier Data

Immunohistochemistry (Formalin/PFA-fixed paraffin-embedded sections) - Anti-Mycobacterium tuberculosis Ag85B antibody [EPR28401-54] (AB312328)

Immunohistochemical analysis of paraffin-embedded Mouse liver tissue labeling Mycobacterium tuberculosis Ag85B with ab312328 at 1/100 (5.01 ug/ml) followed by a ready to use LeicaDS9800 (Bond™ Polymer Refine Detection). Negative control : No staining on mouse liver. The section was incubated with ab312328 for 30 mins at room temperature. The immunostaining was performed on a Leica Biosystems BOND® RX instrument. Counterstained with Hematoxylin. Secondary antibody only control : Secondary antibody is a ready to use LeicaDS9800 (Bond™ Polymer Refine Detection). Heat mediated antigen retrieval was performed with Tris-EDTA buffer (pH 9.0, Epitope Retrieval Solution2) for 20 mins.

Indirect ELISA - Anti-Mycobacterium tuberculosis Ag85B antibody [EPR28401-54] (AB312328)
  • I-ELISA

Supplier Data

Indirect ELISA - Anti-Mycobacterium tuberculosis Ag85B antibody [EPR28401-54] (AB312328)

Indirect ELISA analysis of ab312328 at 1000-0 ng/ml. The Secondary antibody used was Alkaline Phosphatase-conjugated AffiniPure Goat Anti-Rabbit IgG (H+L) at 1 : 2500 dilution.

Antigen : Mycobacterium tuberculosis Ag85B.

Antigen concentration : 1000 ng/ml

Western blot - Anti-Mycobacterium tuberculosis Ag85B antibody [EPR28401-54] (AB312328)
  • WB

Supplier Data

Western blot - Anti-Mycobacterium tuberculosis Ag85B antibody [EPR28401-54] (AB312328)

Blocking and diluting buffer and concentration : 5% NFDM/TBST.

This antibody does not cross-react with human fbpA and fbpC.

This blot was developed using a high sensitivity ECL substrate. The high-sensitivity ECL substrate used allows for the detection of proteins in the mid-femtogram range.

In Western blot, anti-GAPDH antibody (ab181602) loading control staining at 1/200000 dilution.

All lanes:

Western blot - Anti-Mycobacterium tuberculosis Ag85B antibody [EPR28401-54] (ab312328) at 1/1000 dilution

Lane 1:

293T cells transfected with an empty vector containi a His-tag whole cell lysate at 20 µg

Lane 2:

293T cells transfected with a human fbpB expression vector containi a His-tag whole cell lysate at 20 µg

Lane 3:

293T cells transfected with a human fbpA expression vector containi a His-tag whole cell lysate at 20 µg

Lane 4:

293T cells transfected with a human fbpC expression vector containi a His-tag whole cell lysate at 20 µg

Secondary

All lanes:

Western blot - Goat Anti-Rabbit IgG H&L (HRP) (<a href='/products/secondary-antibodies/goat-rabbit-igg-h-l-hrp-ab97051'>ab97051</a>) at 1/100000 dilution

Observed band size: 37 kDa

true

Exposure time: 180s

Key facts

宿主種

Rabbit

クローン性

Monoclonal

クローン番号

EPR28401-54

アイソタイプ

IgG

キャリアフリー

No

交差種

Mycobacterium tuberculosis

アプリケーション

IHC-P, Flow Cyt (Intra), ICC/IF, WB, IP, I-ELISA

applications

免疫原

The exact immunogen used to generate this antibody is proprietary information.

Reactivity data

{ "title": "Reactivity Data", "filters": { "stats": ["", "Species", "Dilution Info", "Notes"], "tabs": { "all-applications": {"fullname" : "All Applications", "shortname": "All Applications"}, "WB" : {"fullname" : "Western blot", "shortname":"WB"}, "IHCP" : {"fullname" : "Immunohistochemistry (Formalin/PFA-fixed paraffin-embedded sections)", "shortname":"IHC-P"}, "ICCIF" : {"fullname" : "Immunocytochemistry/ Immunofluorescence", "shortname":"ICC/IF"}, "FlowCytIntra" : {"fullname" : "Flow Cytometry (Intracellular)", "shortname":"Flow Cyt (Intra)"}, "IP" : {"fullname" : "Immunoprecipitation", "shortname":"IP"}, "IELISA" : {"fullname" : "Indirect ELISA", "shortname":"I-ELISA"} }, "product-promise": { "all": "all", "testedAndGuaranteed": "tested", "guaranteed": "expected", "predicted": "predicted", "notRecommended": "not-recommended" } }, "values": { "Mycobacterium tuberculosis": { "WB-species-checked": "predicted", "WB-species-dilution-info": "", "WB-species-notes": "", "IHCP-species-checked": "predicted", "IHCP-species-dilution-info": "", "IHCP-species-notes": "", "ICCIF-species-checked": "predicted", "ICCIF-species-dilution-info": "", "ICCIF-species-notes": "", "FlowCytIntra-species-checked": "predicted", "FlowCytIntra-species-dilution-info": "", "FlowCytIntra-species-notes": "", "IP-species-checked": "predicted", "IP-species-dilution-info": "", "IP-species-notes": "", "IELISA-species-checked": "predicted", "IELISA-species-dilution-info": "", "IELISA-species-notes": "" }, "Recombinant fragment": { "WB-species-checked": "notRecommended", "WB-species-dilution-info": "", "WB-species-notes": "", "IHCP-species-checked": "notRecommended", "IHCP-species-dilution-info": "", "IHCP-species-notes": "", "ICCIF-species-checked": "notRecommended", "ICCIF-species-dilution-info": "", "ICCIF-species-notes": "", "FlowCytIntra-species-checked": "notRecommended", "FlowCytIntra-species-dilution-info": "", "FlowCytIntra-species-notes": "", "IP-species-checked": "notRecommended", "IP-species-dilution-info": "", "IP-species-notes": "", "IELISA-species-checked": "testedAndGuaranteed", "IELISA-species-dilution-info": "1000 ng/mL", "IELISA-species-notes": "<p>Use at 125 ng/ml</p>" }, "Transfected cell line": { "WB-species-checked": "notRecommended", "WB-species-dilution-info": "", "WB-species-notes": "", "IHCP-species-checked": "testedAndGuaranteed", "IHCP-species-dilution-info": "1/100", "IHCP-species-notes": "<p></p> Perform heat-mediated antigen retrieval with Tris/EDTA buffer pH 9.0 before commencing with IHC staining protocol.", "ICCIF-species-checked": "testedAndGuaranteed", "ICCIF-species-dilution-info": "1/100", "ICCIF-species-notes": "<p></p>", "FlowCytIntra-species-checked": "testedAndGuaranteed", "FlowCytIntra-species-dilution-info": "1/500", "FlowCytIntra-species-notes": "<p></p>", "IP-species-checked": "notRecommended", "IP-species-dilution-info": "", "IP-species-notes": "", "IELISA-species-checked": "notRecommended", "IELISA-species-dilution-info": "", "IELISA-species-notes": "" }, "Transfected cell lysate - Human": { "WB-species-checked": "testedAndGuaranteed", "WB-species-dilution-info": "1/1000", "WB-species-notes": "<p>(0.501ug/ml)</p>", "IHCP-species-checked": "notRecommended", "IHCP-species-dilution-info": "", "IHCP-species-notes": "", "ICCIF-species-checked": "notRecommended", "ICCIF-species-dilution-info": "", "ICCIF-species-notes": "", "FlowCytIntra-species-checked": "notRecommended", "FlowCytIntra-species-dilution-info": "", "FlowCytIntra-species-notes": "", "IP-species-checked": "testedAndGuaranteed", "IP-species-dilution-info": "1/30", "IP-species-notes": "<p></p>", "IELISA-species-checked": "notRecommended", "IELISA-species-dilution-info": "", "IELISA-species-notes": "" } } }

製品の詳細

Patented technology
Our RabMAb® technology is a patented hybridoma-based technology for making rabbit monoclonal antibodies. For details on our patents, please refer to RabMAb® patents.

What are the advantages of a recombinant monoclonal antibody?
This product is a recombinant monoclonal antibody, which offers several advantages including:

  • - High batch-to-batch consistency and reproducibility
  • - Improved sensitivity and specificity
  • - Long-term security of supply
  • - Animal-free batch production

For more information, read more on recombinant antibodies.

出荷温度及び保存条件

製品の状態
Liquid
精製方法
Affinity purification Protein A
バッファー組成
pH: 7.2 - 7.4 Preservative: 0.01% Sodium azide Constituents: PBS, 40% Glycerol (glycerin, glycerine), 0.05% BSA
出荷温度
Blue Ice
短期保存期間
1-2 weeks
短期保存温度
+4°C
長期保存温度
-20°C
分注に関する情報
Upon delivery aliquot
保管に関する情報
Avoid freeze / thaw cycle

補足情報

This supplementary information is collated from multiple sources and compiled automatically.

The Mycobacterium tuberculosis Ag85B protein also known as Antigen 85B or FBPA is a component of the Ag85 complex. This protein has a molecular mass of approximately 31 kDa. The Ag85B protein plays an important mechanical role by catalyzing the formation of the cord factor a major glycolipid in the cell wall of Mycobacterium tuberculosis. It is expressed in the mycobacterium's cell wall contributing to the virulence of this pathogen by promoting the invasion and survival within the host.
Biological function summary

The Ag85B protein serves in the assembly and maintenance of the mycobacterial cell wall by synthesizing mycolate. It is a part of the Ag85 complex which includes Ag85A Ag85B and Ag85C ensuring accurate synthesis and export of essential components of the cell wall. Through its actions Ag85B is involved in interacting with the host immune system and is a target for vaccine development due to its immunogenic properties. Its presence is detected during histological examinations of infected tissues where it shows the interaction with host cells.

Pathways

The Ag85B protein functions within the mycolic acid biosynthesis pathway essential for maintaining the structure of the mycobacterial cell envelope. This protein interacts with Ag85A and Ag85C to orchestrate complex lipid synthesis required for Mycobacterium tuberculosis' survival. Ag85B's role in lipid metabolism makes it important in the pathogen's adaptation to the host environment by altering the cell wall to evade immune detection.

Ag85B is highly relevant to respiratory diseases like tuberculosis. This protein plays a role in the pathogen's ability to resist destruction by the host's immune system contributing to the chronic nature of tuberculosis. Additionally Ag85B has been investigated in the context of its potential utility in vaccines and diagnostic tests for Mycobacterium tuberculosis infections. Its interactions with other proteins in the Ag85 complex make it a focus of research for developing therapeutics to treat and manage tuberculosis.

製品プロトコール

For this product, it's our understanding that no specific protocols are required. You can visit:

ターゲットの情報

The antigen 85 proteins (FbpA, FbpB, FbpC) are responsible for the high affinity of mycobacteria for fibronectin, a large adhesive glycoprotein, which facilitates the attachment of M.tuberculosis to murine alveolar macrophages (AMs). They also help to maintain the integrity of the cell wall by catalyzing the transfer of mycolic acids to cell wall arabinogalactan and through the synthesis of alpha,alpha-trehalose dimycolate (TDM, cord factor). They catalyze the transfer of a mycoloyl residue from one molecule of alpha,alpha-trehalose monomycolate (TMM) to another TMM, leading to the formation of TDM.
See full target information fbpB

Abcam product promise

当社は、高品質な試薬を通じてお客様の研究を力強くサポートすることをお約束いたします。ご使用いただく各段階で、常にお客様をサポートできる体制を整えております。万が一、製品が期待通りに機能しない場合は、「Abcam Product Promise」による当社保証制度に基づき、安心してご利用いただけます。
保証に関する詳細については利用規約をご確認ください。

Please note: All products are 'FOR RESEARCH USE ONLY. NOT FOR USE IN DIAGNOSTIC OR THERAPEUTIC PROCEDURES'.

For licensing inquiries, please contact partnerships@abcam.com