JavaScript is disabled in your browser. Please enable JavaScript to view this website.
AB121777

Anti-MUC12 抗体

Anti-MUC12 antibody

Be the first to review this product! Submit a review

|

(3 Publications)

Rabbit Polyclonal MUC12 antibody. Suitable for IHC-P and reacts with Human samples. Cited in 3 publications. Immunogen corresponding to Recombinant Fragment Protein within Human MUC12 aa 5200-5400.

別名を表示する

MUC11, MUC12, Mucin-12, MUC-12, Mucin-11, MUC-11

2 Images
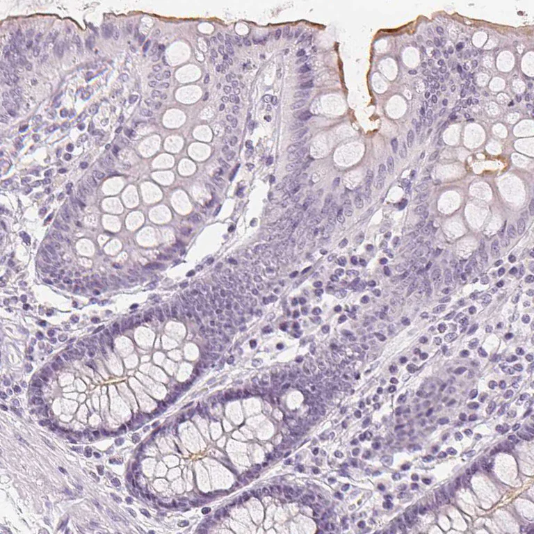
Immunohistochemistry (Formalin/PFA-fixed paraffin-embedded sections) - Anti-MUC12 antibody (AB121777)
  • IHC-P

Unknown

Immunohistochemistry (Formalin/PFA-fixed paraffin-embedded sections) - Anti-MUC12 antibody (AB121777)

ab121777 at a 1/50 dilution staining MUC12 in Human colon tissue (paraffin embedded) by immunohistochemistry.

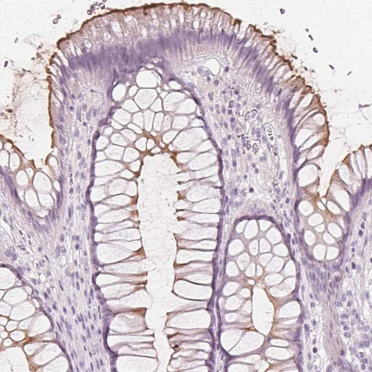
Immunohistochemistry (Formalin/PFA-fixed paraffin-embedded sections) - Anti-MUC12 antibody (AB121777)
  • IHC-P

Unknown

Immunohistochemistry (Formalin/PFA-fixed paraffin-embedded sections) - Anti-MUC12 antibody (AB121777)

ab121777 at a 1/50 dilution staining MUC12 in Human rectum tissue (paraffin embedded) by immunohistochemistry.

Key facts

宿主種

Rabbit

クローン性

Polyclonal

アイソタイプ

IgG

キャリアフリー

No

交差種

Human

アプリケーション

IHC-P

applications

免疫原

Recombinant Fragment Protein within Human MUC12 aa 5200-5400. The exact immunogen used to generate this antibody is proprietary information.

Q9UKN1

Reactivity data

{ "title": "Reactivity Data", "filters": { "stats": ["", "Species", "Dilution Info", "Notes"], "tabs": { "all-applications": {"fullname" : "All Applications", "shortname": "All Applications"}, "IHCP" : {"fullname" : "Immunohistochemistry (Formalin/PFA-fixed paraffin-embedded sections)", "shortname":"IHC-P"} }, "product-promise": { "all": "all", "testedAndGuaranteed": "tested", "guaranteed": "expected", "predicted": "predicted", "notRecommended": "not-recommended" } }, "values": { "Human": { "IHCP-species-checked": "testedAndGuaranteed", "IHCP-species-dilution-info": "1/500 - 1/1000", "IHCP-species-notes": "<p></p> Perform heat-mediated antigen retrieval with citrate buffer pH 6 before commencing with IHC staining protocol." } } }

出荷温度及び保存条件

製品の状態
Liquid
精製方法
Affinity purification Immunogen
バッファー組成
pH: 7.2 Preservative: 0.02% Sodium azide Constituents: PBS, 40% Glycerol (glycerin, glycerine)
出荷温度
Blue Ice
短期保存期間
1-2 weeks
短期保存温度
+4°C
長期保存温度
-20°C
分注に関する情報
Upon delivery aliquot

製品プロトコール

For this product, it's our understanding that no specific protocols are required. You can visit:

ターゲットの情報

Involved in epithelial cell protection, adhesion modulation, and signaling. May be involved in epithelial cell growth regulation. Stimulated by both cytokine TNF-alpha and TGF-beta in intestinal epithelium.
See full target information MUC12

文献 (3)

Recent publications for all applications. Explore the full list and refine your search

Immunity 57:1864-1877.e9 PubMed39111315

2024

The cytokine Meteorin-like inhibits anti-tumor CD8 T cell responses by disrupting mitochondrial function.

Applications

Unspecified application

Species

Unspecified reactive species

Christopher M Jackson,Ayush Pant,Wikum Dinalankara,John Choi,Aanchal Jain,Ryan Nitta,Eli Yazigi,Laura Saleh,Liang Zhao,Thomas R Nirschl,Christina M Kochel,Brandon Hwa-Lin Bergsneider,Denis Routkevitch,Kisha Patel,Kwang Bog Cho,Stephany Tzeng,Sarah Y Neshat,Young-Hoon Kim,Barbara J Smith,Maria Cecilia Ramello,Elena Sotillo,Xinnan Wang,Jordan J Green,Chetan Bettegowda,Gordon Li,Henry Brem,Crystal L Mackall,Drew M Pardoll,Charles G Drake,Luigi Marchionni,Michael Lim

Cancer research and treatment 56:219-237 PubMed37591783

2023

Genomic and Transcriptomic Characterization of Gastric Cancer with Bone Metastasis.

Applications

Unspecified application

Species

Unspecified reactive species

Sujin Oh,Soo Kyung Nam,Keun-Wook Lee,Hye Seung Lee,Yujun Park,Yoonjin Kwak,Kyu Sang Lee,Ji-Won Kim,Jin Won Kim,Minsu Kang,Young Suk Park,Sang-Hoon Ahn,Yun-Suhk Suh,Do Joong Park,Hyung Ho Kim

Journal of cellular and molecular medicine 24:8789-8802 PubMed32596961

2020

The oncogenic role of MUC12 in RCC progression depends on c-Jun/TGF-β signalling.

Applications

Unspecified application

Species

Unspecified reactive species

Sheng-Lin Gao,Rui Yin,Li-Feng Zhang,Si-Min Wang,Jia-Sheng Chen,Xing-Yu Wu,Chuang Yue,Li Zuo,Min Tang
View all publications

Abcam product promise

当社は、高品質な試薬を通じてお客様の研究を力強くサポートすることをお約束いたします。ご使用いただく各段階で、常にお客様をサポートできる体制を整えております。万が一、製品が期待通りに機能しない場合は、「Abcam Product Promise」による当社保証制度に基づき、安心してご利用いただけます。
保証に関する詳細については利用規約をご確認ください。

Please note: All products are 'FOR RESEARCH USE ONLY. NOT FOR USE IN DIAGNOSTIC OR THERAPEUTIC PROCEDURES'.

For licensing inquiries, please contact partnerships@abcam.com