JavaScript is disabled in your browser. Please enable JavaScript to view this website.
AB109268

Anti-mTOR (phospho S2448) 抗体 [EPR426(2)]

Anti-mTOR (phospho S2448) antibody [EPR426(2)]

  • BOND RX™ Validated
  • RabMAb
  • Recombinant
  • Lab Essentials
  • 20ul selling size
  • 詳細を見る

4

(6 Reviews)

|

(519 Publications)

Anti-mTOR (phospho S2448) antibody [EPR426(2)] (ab109268) is a rabbit monoclonal antibody detecting mTOR in Western Blot, IHC-P, IHC-Fr, Dot Blot. Suitable for Human, Mouse.

- Biophysical QC for unrivalled batch-batch consistency
- Over 510 publications

別名を表示する

FRAP, FRAP1, FRAP2, RAFT1, RAPT1, MTOR, Serine/threonine-protein kinase mTOR, FK506-binding protein 12-rapamycin complex-associated protein 1, FKBP12-rapamycin complex-associated protein, Mammalian target of rapamycin, Mechanistic target of rapamycin, Rapamycin and FKBP12 target 1, Rapamycin target protein 1, mTOR

9 Images
Western blot - Anti-mTOR (phospho S2448) antibody [EPR426(2)] (AB109268)
  • WB

Lab

Western blot - Anti-mTOR (phospho S2448) antibody [EPR426(2)] (AB109268)

All lanes:

Western blot - Anti-mTOR (phospho S2448) antibody [EPR426(2)] (ab109268) at 1/5000 dilution

Lane 1:

untreated HEK293 cell lysate at 10 µg

Lane 2:

HEK293 cell lysate treated with alkaline phosphatase at 10 µg

Secondary

All lanes:

Western blot - Goat Anti-Rabbit IgG H&L (HRP) (<a href='/products/secondary-antibodies/goat-rabbit-igg-h-l-hrp-ab97051'>ab97051</a>) at 1/2000 dilution

Predicted band size: 289 kDa

Observed band size: 289 kDa

false

Exposure time: 3min

Western blot - Anti-mTOR (phospho S2448) antibody [EPR426(2)] (AB109268)
  • WB

Lab

Western blot - Anti-mTOR (phospho S2448) antibody [EPR426(2)] (AB109268)

All lanes:

Western blot - Anti-mTOR (phospho S2448) antibody [EPR426(2)] (ab109268) at 1/2000 dilution

Lane 1:

untreated HEK293 cell lysate at 10 µg

Lane 2:

HEK293 cell lysate treated with alkaline phosphatase at 10 µg

Secondary

All lanes:

Western blot - Goat Anti-Rabbit IgG H&L (HRP) (<a href='/products/secondary-antibodies/goat-rabbit-igg-h-l-hrp-ab97051'>ab97051</a>) at 1/20000 dilution

Predicted band size: 289 kDa

Observed band size: 289 kDa

false

Exposure time: 3min

Immunohistochemistry (Formalin/PFA-fixed paraffin-embedded sections) - Anti-mTOR (phospho S2448) antibody [EPR426(2)] (AB109268)
  • IHC-P

Unknown

Immunohistochemistry (Formalin/PFA-fixed paraffin-embedded sections) - Anti-mTOR (phospho S2448) antibody [EPR426(2)] (AB109268)

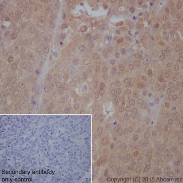
Immunohistochemical cytoplasmic and nuclear staining of paraffin embedded human endometrium carcinoma with purified ab109268 at a working dilution of 1 in 100. The secondary antibody used is ab97051, a HRP goat anti-rabbit IgG (H+L), at 1/500. The sample is counter-stained with hematoxylin. Antigen retrieval was perfomed using Tris-EDTA buffer, pH 9.0. PBS was used instead of the primary antibody as the negative control, and is shown in the inset.

Immunohistochemistry (Formalin/PFA-fixed paraffin-embedded sections) - Anti-mTOR (phospho S2448) antibody [EPR426(2)] (AB109268)
  • IHC-P

Unknown

Immunohistochemistry (Formalin/PFA-fixed paraffin-embedded sections) - Anti-mTOR (phospho S2448) antibody [EPR426(2)] (AB109268)

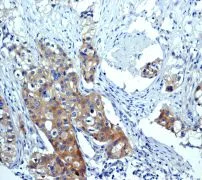
Immunohistochemical analysis of paraffin-embedded human breast carcinoma tissue using unpurified ab109268 at a dilution of 1/50. Heat mediated antigen retrieval was performed before commencing with IHC staining protocol.

Immunohistochemistry (Frozen sections) - Anti-mTOR (phospho S2448) antibody [EPR426(2)] (AB109268)
  • IHC-Fr

Lab

Immunohistochemistry (Frozen sections) - Anti-mTOR (phospho S2448) antibody [EPR426(2)] (AB109268)

IHC image of mTOR (phospho S2448) staining in a section of frozen normal human heart performed on a Leica BONDTM system using the standard protocol. The section was fixed in 10% paraformaldehyde (10 min) prior to staining. The section was incubated with ab109268, 1/200 dilution, for 15 mins at room temperature and detected using an HRP conjugated compact polymer system. DAB was used as the chromogen. The section was then counterstained with haematoxylin and mounted with DPX. The inset secondary-only control image is taken from an identical assay without primary antibody.

For other IHC staining systems (automated and non-automated) customers should optimize variable parameters such as antigen retrieval conditions, primary antibody concentration and antibody incubation times.

Western blot - Anti-mTOR (phospho S2448) antibody [EPR426(2)] (AB109268)
  • WB

Lab

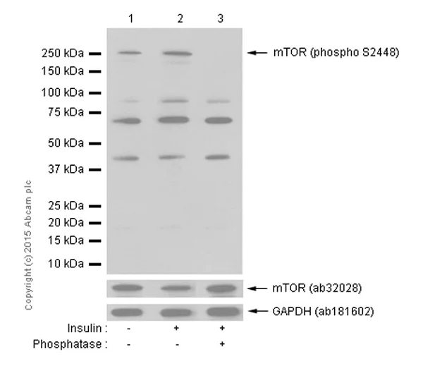
Western blot - Anti-mTOR (phospho S2448) antibody [EPR426(2)] (AB109268)

All lanes:

Western blot - Anti-mTOR (phospho S2448) antibody [EPR426(2)] (ab109268) at 1/1000 dilution

Lane 1:

untreated HeLa cell lysate at 10 µg

Lane 2:

HeLa cell lysate treated with insulin at 10 µg

Lane 3:

HeLa cell lystae treated with insulin, and the membrane treated with alkaline phosphatase at 10 µg

Secondary

All lanes:

Western blot - Goat Anti-Rabbit IgG H&L (HRP) (<a href='/products/secondary-antibodies/goat-rabbit-igg-h-l-hrp-ab97051'>ab97051</a>) at 1/2000 dilution

Predicted band size: 289 kDa

Observed band size: 289 kDa

false

Exposure time: 1min

Western blot - Anti-mTOR (phospho S2448) antibody [EPR426(2)] (AB109268)
  • WB

Lab

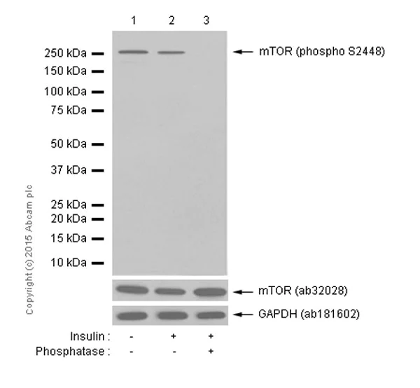
Western blot - Anti-mTOR (phospho S2448) antibody [EPR426(2)] (AB109268)

All lanes:

Western blot - Anti-mTOR (phospho S2448) antibody [EPR426(2)] (ab109268) at 1/2000 dilution

Lane 1:

HeLa (human cervix adenocarcinoma epithelial cell) whole cell lysate at 10 µg

Lane 2:

HeLa grown in serum-free media overnight, then treated with 200nM PMA for 4 hours whole cell lysate at 10 µg

Lane 3:

HeLa grown in serum-free media overnight, then treated with 200nM PMA for 4 hours whole cell lysate. Then the membrane was incubated with alkaline phosphatase at 10 µg

Secondary

All lanes:

Western blot - Goat Anti-Rabbit IgG H&L (HRP) (<a href='/products/secondary-antibodies/goat-rabbit-igg-h-l-hrp-ab97051'>ab97051</a>) at 1/20000 dilution

Predicted band size: 289 kDa

Observed band size: 289 kDa

false

Western blot - Anti-mTOR (phospho S2448) antibody [EPR426(2)] (AB109268)
  • WB

Lab

Western blot - Anti-mTOR (phospho S2448) antibody [EPR426(2)] (AB109268)

All lanes:

Western blot - Anti-mTOR (phospho S2448) antibody [EPR426(2)] (ab109268) at 1/1000 dilution

Lane 1:

untreated NIH/3T3 cell lysate at 10 µg

Lane 2:

NIH/3T3 cell lysate treated with insulin at 10 µg

Lane 3:

NIH/3T3 cell lysate treated with insulin, then the membrane treated wth alkaline phosphatase at 10 µg

Secondary

All lanes:

Western blot - Goat Anti-Rabbit IgG H&L (HRP) (<a href='/products/secondary-antibodies/goat-rabbit-igg-h-l-hrp-ab97051'>ab97051</a>) at 1/20000 dilution

Predicted band size: 289 kDa

Observed band size: 289 kDa

false

Exposure time: 2min

Dot Blot - Anti-mTOR (phospho S2448) antibody [EPR426(2)] (AB109268)
  • Dot

Lab

Dot Blot - Anti-mTOR (phospho S2448) antibody [EPR426(2)] (AB109268)

Dot blot analysis of mTOR (phospho S2448) phospho peptide (Lane 1) and mTOR non-phospho peptide (Lane 2) labeling mTOR (phospho S2448) phospho peptide with purified ab109268 at a dilution of 1/1000 (0.073ug/ml). A Goat Anti-Rabbit IgG, (H+L), Peroxidase conjugated (ab97051) was used as the secondary antibody at a dilution of 1/100,000.

Blocking buffer : 5% NFDM/TBST
Diluting buffer : 5% NFDM /TBST

関連する標識済み抗体及び組成の異なる製品 (1)

  • Carrier free

    Anti-mTOR (phospho S2448) antibody [EPR426(2)] - BSA and Azide free

Key facts

宿主種

Rabbit

クローン性

Monoclonal

クローン番号

EPR426(2)

アイソタイプ

IgG

キャリアフリー

No

交差種

Mouse, Human

アプリケーション

IHC-P, IHC-Fr, Dot, WB

applications

免疫原

The exact immunogen used to generate this antibody is proprietary information.

Reactivity data

{ "title": "Reactivity Data", "filters": { "stats": ["", "Species", "Dilution Info", "Notes"], "tabs": { "all-applications": {"fullname" : "All Applications", "shortname": "All Applications"}, "IHCP" : {"fullname" : "Immunohistochemistry (Formalin/PFA-fixed paraffin-embedded sections)", "shortname":"IHC-P"}, "IP" : {"fullname" : "Immunoprecipitation", "shortname":"IP"}, "FlowCyt" : {"fullname" : "Flow Cytometry", "shortname":"Flow Cyt"}, "Dot" : {"fullname" : "Dot Blot", "shortname":"Dot"}, "WB" : {"fullname" : "Western blot", "shortname":"WB"}, "ICCIF" : {"fullname" : "Immunocytochemistry/ Immunofluorescence", "shortname":"ICC/IF"}, "IHCFr" : {"fullname" : "Immunohistochemistry (Frozen sections)", "shortname":"IHC-Fr"} }, "product-promise": { "all": "all", "testedAndGuaranteed": "tested", "guaranteed": "expected", "predicted": "predicted", "notRecommended": "not-recommended" } }, "values": { "Human": { "IHCP-species-checked": "testedAndGuaranteed", "IHCP-species-dilution-info": "1/50 - 1/100", "IHCP-species-notes": "<p></p> Perform heat-mediated antigen retrieval before commencing with IHC staining protocol.", "IP-species-checked": "notRecommended", "IP-species-dilution-info": "", "IP-species-notes": "<p></p>", "FlowCyt-species-checked": "notRecommended", "FlowCyt-species-dilution-info": "1/100", "FlowCyt-species-notes": "<p><a href='/products/primary-antibodies/rabbit-igg-monoclonal-epr25a-isotype-control-ab172730'>ab172730</a> - Rabbit monoclonal IgG, is suitable for use as an isotype control with this antibody.</p>", "Dot-species-checked": "guaranteed", "Dot-species-dilution-info": "", "Dot-species-notes": "", "WB-species-checked": "testedAndGuaranteed", "WB-species-dilution-info": "1/1000 - 1/10000", "WB-species-notes": "<p></p>", "ICCIF-species-checked": "notRecommended", "ICCIF-species-dilution-info": "1/100 - 1/250", "ICCIF-species-notes": "<p></p>", "IHCFr-species-checked": "testedAndGuaranteed", "IHCFr-species-dilution-info": "", "IHCFr-species-notes": "<p></p>" }, "Mouse": { "IHCP-species-checked": "guaranteed", "IHCP-species-dilution-info": "", "IHCP-species-notes": "", "IP-species-checked": "notRecommended", "IP-species-dilution-info": "", "IP-species-notes": "<p></p>", "FlowCyt-species-checked": "notRecommended", "FlowCyt-species-dilution-info": "1/100", "FlowCyt-species-notes": "<p><a href='/products/primary-antibodies/rabbit-igg-monoclonal-epr25a-isotype-control-ab172730'>ab172730</a> - Rabbit monoclonal IgG, is suitable for use as an isotype control with this antibody.</p>", "Dot-species-checked": "guaranteed", "Dot-species-dilution-info": "", "Dot-species-notes": "", "WB-species-checked": "testedAndGuaranteed", "WB-species-dilution-info": "1/1000 - 1/10000", "WB-species-notes": "<p></p>", "ICCIF-species-checked": "notRecommended", "ICCIF-species-dilution-info": "1/100 - 1/250", "ICCIF-species-notes": "<p></p>", "IHCFr-species-checked": "guaranteed", "IHCFr-species-dilution-info": "", "IHCFr-species-notes": "<p></p>" }, "Rat": { "IHCP-species-checked": "predicted", "IHCP-species-dilution-info": "", "IHCP-species-notes": "", "IP-species-checked": "notRecommended", "IP-species-dilution-info": "", "IP-species-notes": "", "FlowCyt-species-checked": "notRecommended", "FlowCyt-species-dilution-info": "", "FlowCyt-species-notes": "", "Dot-species-checked": "predicted", "Dot-species-dilution-info": "", "Dot-species-notes": "", "WB-species-checked": "predicted", "WB-species-dilution-info": "", "WB-species-notes": "", "ICCIF-species-checked": "notRecommended", "ICCIF-species-dilution-info": "", "ICCIF-species-notes": "", "IHCFr-species-checked": "predicted", "IHCFr-species-dilution-info": "", "IHCFr-species-notes": "" }, "Pig": { "IHCP-species-checked": "predicted", "IHCP-species-dilution-info": "", "IHCP-species-notes": "", "IP-species-checked": "notRecommended", "IP-species-dilution-info": "", "IP-species-notes": "", "FlowCyt-species-checked": "notRecommended", "FlowCyt-species-dilution-info": "", "FlowCyt-species-notes": "", "Dot-species-checked": "predicted", "Dot-species-dilution-info": "", "Dot-species-notes": "", "WB-species-checked": "predicted", "WB-species-dilution-info": "", "WB-species-notes": "", "ICCIF-species-checked": "notRecommended", "ICCIF-species-dilution-info": "", "ICCIF-species-notes": "", "IHCFr-species-checked": "predicted", "IHCFr-species-dilution-info": "", "IHCFr-species-notes": "" }, "Synthetic peptide": { "IHCP-species-checked": "notRecommended", "IHCP-species-dilution-info": "", "IHCP-species-notes": "", "IP-species-checked": "notRecommended", "IP-species-dilution-info": "", "IP-species-notes": "", "FlowCyt-species-checked": "notRecommended", "FlowCyt-species-dilution-info": "", "FlowCyt-species-notes": "", "Dot-species-checked": "testedAndGuaranteed", "Dot-species-dilution-info": "1/1000", "Dot-species-notes": "<p></p>", "WB-species-checked": "notRecommended", "WB-species-dilution-info": "", "WB-species-notes": "", "ICCIF-species-checked": "notRecommended", "ICCIF-species-dilution-info": "", "ICCIF-species-notes": "", "IHCFr-species-checked": "notRecommended", "IHCFr-species-dilution-info": "", "IHCFr-species-notes": "" } } }

下記製品にもご興味をお持ちいただけるかもしれません:

AB206311

Mouse mTOR ELISA Kit

5

1 Reviews

製品ページを見る
こちらの製品も推奨する理由

この製品は、同様の実験や関連する研究で広く使用されていることから推奨させていただいております。

お客様の実験に適するかご確認いただくため、必ず製品データシートをご確認いただくことをお勧めいたします。ご不明点等ございましたら、テクニカルサポートチームまでお問い合わせください。

製品の詳細

What is this antibody validated in?
Anti-mTOR (phospho S2448) antibody [EPR426(2)] (ab109268) is a rabbit recombinant monoclonal antibody and is validated for use in Western Blot (WB), Immunohistochemistry (IHC-P), Immunohistochemistry (IHC-Fr), Dot Blot in Human, Mouse samples.

What is the molecular weight of mTOR?
Anti-mTOR (phospho S2448) [EPR426(2)] (ab109268) specifically detects a band for mTOR (UniProt: P42345) at a molecular weight of 289kDa.

Trusted by the scientific community
Anti-mTOR (phospho S2448) [EPR426(2)] (ab109268) was first used in a scientific publication in 2011 and has been cited over 510 times in peer-reviewed journals.

Reviewed by scientists
Anti-mTOR (phospho S2448) [EPR426(2)] (ab109268) has over 5 independent reviews from customers.

Trial sizes available!
Test your antibody or perform pre-screening before committing to a larger quantity. Sold in 10µl. Discover our selection of trial-size antibodies.

Other related products
We have a range of other formats of antibody clone [EPR426(2)] also available for your convenience: ab109268, Carrier free - ab177734

Patented technology
Our RabMAb® technology is a patented hybridoma-based technology for making rabbit monoclonal antibodies. For details on our patents, please refer to RabMAb® patents.

What are the advantages of a recombinant monoclonal antibody?
This product is a recombinant monoclonal antibody, which offers several advantages including:

  • - High batch-to-batch consistency and reproducibility
  • - Improved sensitivity and specificity
  • - Long-term security of supply
  • - Animal-free batch production

For more information, read more on recombinant antibodies.

出荷温度及び保存条件

製品の状態
Liquid
精製方法
Affinity purification Protein A
バッファー組成
pH: 7.2 - 7.4 Preservative: 0.01% Sodium azide Constituents: 59% PBS, 40% Glycerol (glycerin, glycerine), 0.05% BSA
出荷温度
Blue Ice
短期保存期間
1-2 weeks
短期保存温度
+4°C
長期保存温度
-20°C
分注に関する情報
Upon delivery aliquot
保管に関する情報
Stable for 12 months at -20°C

補足情報

This supplementary information is collated from multiple sources and compiled automatically.

The mammalian target of rapamycin commonly known as mTOR is a serine/threonine kinase known for its role in cellular growth and metabolism. It has a molecular weight of approximately 289 kDa. mTOR is expressed in various tissues throughout the body including muscle adipose tissue and the brain. The protein functions as a central regulator of cell proliferation protein synthesis and nutrient signaling. Often researchers utilize mTOR ELISA or mTOR western blot (mTOR WB) methods and mTOR antibodies to study its expression and activity in various biological contexts.
Biological function summary

MTOR integrates signals from nutrients growth factors and cellular energy status to maintain cellular homeostasis. It forms part of two distinct complexes mTORC1 and mTORC2 which differ in their component proteins and downstream effects. mTORC1 primarily responds to amino acids and regulates protein synthesis through phosphorylation of key substrates like S6K1. On the other hand mTORC2 is important for maintaining cytoskeletal integrity and cell survival highlighting the protein's importance in diverse cellular processes.

Pathways

MTOR plays a pivotal role in the PI3K/AKT/mTOR pathway which governs cell growth proliferation and survival. It also has implications in the regulation of the AMPK pathway which senses cellular energy levels. Through these pathways mTOR interacts with proteins such as AKT and TSC2. The phospho-mTOR specifically the S2448 phospho-mTOR serves as an important functional marker in these signaling cascades linking extracellular signals to downstream cellular responses.

MTOR has connections to cancer and neurodegenerative diseases. Its dysregulation often leads to uncontrolled cellular proliferation a hallmark of many cancers. Conditions such as tuberous sclerosis can occur due to mutations in proteins like TSC1 and TSC2 that regulate mTOR activity. In Alzheimer's disease mTOR's role in autophagy and protein synthesis becomes significant as imbalance may contribute to disease progression. Understanding these connections highlights the potential of targeting mTOR pathways therapeutically.

製品プロトコール

For this product, it's our understanding that no specific protocols are required. You can visit:

ターゲットの情報

The protein expressed by the MTOR gene is a serine/threonine protein kinase that serves as a central regulator of cellular metabolism, growth, and survival in response to various signals, such as hormones and nutrients. MTOR operates within two distinct signaling complexes, mTORC1 and mTORC2. mTORC1 is activated to upregulate protein synthesis by phosphorylating regulators of mRNA translation and ribosome synthesis, and phosphorylates and activates proteins like RPS6KB1 and RPS6KB2 to promote protein synthesis. It controls MiT/TFE factors TFEB and TFE3 by mediating their retention and inactivation under nutrient-rich conditions, and it inhibits autophagy by phosphorylating DAP and RUBCNL/Pacer. Additionally, mTORC1 engages in feedback control on growth factor signaling and may influence microtubules through CLIP1 phosphorylation. The mTORC2 complex may regulate cellular processes, including survival and cytoskeletal organization, by phosphorylating AKT1 and regulating the actin cytoskeleton via PRKCA, PXN, and Rho-type guanine nucleotide exchange factors. It also regulates the phosphorylation of SGK1. This supplementary information is collated from multiple sources and compiled automatically.
See full target information MTOR phospho S2448

文献 (519)

Recent publications for all applications. Explore the full list and refine your search

MedComm 4:e433 PubMed38053815

2023

Integrated transcriptomics, proteomics, and functional analysis to characterize the tissue-specific small extracellular vesicle network of breast cancer.

Applications

Unspecified application

Species

Unspecified reactive species

Lesang Shen,Huanhuan Huang,Zichen Wei,Wuzhen Chen,Jiaxin Li,Yao Yao,Jun Zhou,Jian Liu,Shanshan Sun,Wenjie Xia,Ting Zhang,Xiuyan Yu,Jun Shen,Weilan Wang,Jingxin Jiang,Jian Huang,Ming Jiang,Chao Ni

Pharmacology 109:34-42 PubMed38011839

2023

Impairment of Autophagy Mediates the Uric-Acid-Induced Phenotypic Transformation of Vascular Smooth Muscle Cells.

Applications

Unspecified application

Species

Unspecified reactive species

Yan Lu,Hanlin Zhang,Min Han,Ping Wang,Liping Meng

Cell death & disease 14:774 PubMed38008826

2023

Hypoxia-induced PLOD2 promotes clear cell renal cell carcinoma progression via modulating EGFR-dependent AKT pathway activation.

Applications

Unspecified application

Species

Unspecified reactive species

Tao Liu,Wan Xiang,Zhizhuang Chen,Gang Wang,Rui Cao,Fenfang Zhou,Zhe Meng,Yongwen Luo,Liang Chen

Cell death discovery 9:425 PubMed38007535

2023

Peroxiredoxin 1 regulates crosstalk between pyroptosis and autophagy in oral squamous cell carcinoma leading to a potential pro-survival.

Applications

Unspecified application

Species

Unspecified reactive species

Meilin Ye,Ting Liu,Shanshan Liu,Rong Tang,Hongrui Liu,Fan Zhang,Shenglei Luo,Minqi Li

Journal of diabetes research 2023:4193309 PubMed38033740

2023

High-Glucose-Induced Injury to Proximal Tubules of the Renal System Is Alleviated by Netrin-1 Suppression of Akt/mTOR.

Applications

Unspecified application

Species

Unspecified reactive species

Chenxiao Liu,Xingna Hu,Yun Zhao,Aijie Huang,Jiaqi Chen,Ting Lu,Mian Wu,Honghong Lu

International journal of molecular sciences 24: PubMed38003735

2023

Increased IGFBP2 Levels by Placenta-Derived Mesenchymal Stem Cells Enhance Glucose Metabolism in a TAA-Injured Rat Model via AMPK Signaling Pathway.

Applications

Unspecified application

Species

Unspecified reactive species

Dae-Hyun Lee,Hyeri Park,Jun-Hyeong You,Jin Seok,Dong-Wook Kwon,Young-Ran Kim,Gi-Jin Kim

American journal of cancer research 13:5656-5666 PubMed38058816

2023

The transcription factor TBP promotes hepatocellular carcinoma progression by activating AKT3.

Applications

Unspecified application

Species

Unspecified reactive species

Fan Jiang,Yihuang Lin,Jie Du,Shi Qiu,Gang Luo,Ziqiang Zhang

Polish journal of pathology : official journal of the Polish Society of Pathologists 74:182-193 PubMed37955537

2023

S100A16 cooperates with DEPDC1 to promote the progression and angiogenesis of nephroblastoma through PI3K/Akt/mTOR pathway.

Applications

Unspecified application

Species

Unspecified reactive species

Geng Geng,Yongtao Xu,Qingfang Li,Qinghao Li,Lili Yuan,Mengyao Dong,Ming Ming

Immunity, inflammation and disease 11:e1061 PubMed37904714

2023

Chrysosplenol D can inhibit the growth of prostate cancer by inducing reactive oxygen species and autophagy.

Applications

Unspecified application

Species

Unspecified reactive species

Haoyu Zhang,Zhixin You,Yilei Li,Cheng Gao,Yuhao Wang,Xiaoxiang Zhang

Translational neuroscience 14:20220314 PubMed37854583

2023

CST3 alleviates bilirubin-induced neurocytes' damage by promoting autophagy.

Applications

Unspecified application

Species

Unspecified reactive species

Zhenkun Li,Yating Du
View all publications

Abcam product promise

当社は、高品質な試薬を通じてお客様の研究を力強くサポートすることをお約束いたします。ご使用いただく各段階で、常にお客様をサポートできる体制を整えております。万が一、製品が期待通りに機能しない場合は、「Abcam Product Promise」による当社保証制度に基づき、安心してご利用いただけます。
保証に関する詳細については利用規約をご確認ください。

関連製品

Select an associated product type
Alternative Product
Primary Antibodies

AB137341

Anti-mTOR antibody - C-terminal

primary-antibodies

mtor-antibody-c-terminal-ab137341

0

(0 reviews)

Alternative Product
Primary Antibodies

AB131538

Anti-mTOR (phospho S2448) antibody

primary-antibodies

mtor-phospho-s2448-antibody-ab131538

5

(1 reviews)

Alternative Product
Primary Antibodies

AB1093

Anti-mTOR (phospho S2448) antibody

primary-antibodies

mtor-phospho-s2448-antibody-ab1093

0

(0 reviews)

Alternative Product
Primary Antibodies

AB134903

Anti-mTOR antibody [EPR390(N)]

primary-antibodies

mtor-antibody-epr390n-ab134903

0

(0 reviews)

Alternative Product
Primary Antibodies

AB137133

Anti-mTOR (phospho S2481) antibody [EPR427(N)]

primary-antibodies

mtor-phospho-s2481-antibody-epr427n-ab137133

0

(0 reviews)

Alternative Product
Primary Antibodies

AB32028

Anti-mTOR antibody [Y391]

primary-antibodies

mtor-antibody-y391-ab32028

3

(4 reviews)

Alternative Product
Primary Antibodies

AB232486

Anti-mTOR (phospho S2481) antibody [EPR427(N)] - BSA and Azide free

primary-antibodies

mtor-phospho-s2481-antibody-epr427n-bsa-and-azide-free-ab232486

0

(0 reviews)

Alternative Product
Primary Antibodies

AB63552

Anti-mTOR (phospho T2446) antibody

primary-antibodies

mtor-phospho-t2446-antibody-ab63552

0

(0 reviews)

Alternative Product
Primary Antibodies

AB25880

Anti-mTOR antibody

primary-antibodies

mtor-antibody-ab25880

4

(4 reviews)

Alternative Product
Primary Antibodies

AB2732

Anti-mTOR antibody

primary-antibodies

mtor-antibody-ab2732

4

(14 reviews)

Alternative Product
Primary Antibodies

AB245370

Anti-mTOR antibody

primary-antibodies

mtor-antibody-ab245370

0

(0 reviews)

Alternative Product
Primary Antibodies

AB218525

Anti-mTOR antibody [Y391] - BSA and Azide free

primary-antibodies

mtor-antibody-y391-bsa-and-azide-free-ab218525

0

(0 reviews)

Please note: All products are 'FOR RESEARCH USE ONLY. NOT FOR USE IN DIAGNOSTIC OR THERAPEUTIC PROCEDURES'.

For licensing inquiries, please contact partnerships@abcam.com