JavaScript is disabled in your browser. Please enable JavaScript to view this website.
AB32028

Anti-mTOR 抗体 [Y391]

Anti-mTOR antibody [Y391]

  • BOND RX™ Validated
  • RabMAb
  • Recombinant
  • Lab Essentials
  • 20ul selling size
  • Advanced Validation
  • 詳細を見る

3

(4 Reviews)

|

(322 Publications)

Anti-mTOR antibody [Y391] (ab32028) is a rabbit monoclonal antibody detecting mTOR in Western Blot, IP, IHC-P, IHC-Fr. Suitable for Human, Mouse, Rat.

- Biophysical QC for unrivalled batch-batch consistency
- Over 230 publications
- Trusted since 2006

別名を表示する

FRAP, FRAP1, FRAP2, RAFT1, RAPT1, MTOR, Serine/threonine-protein kinase mTOR, FK506-binding protein 12-rapamycin complex-associated protein 1, FKBP12-rapamycin complex-associated protein, Mammalian target of rapamycin, Mechanistic target of rapamycin, Rapamycin and FKBP12 target 1, Rapamycin target protein 1, Tyrosine-protein kinase mTOR, mTOR

12 Images
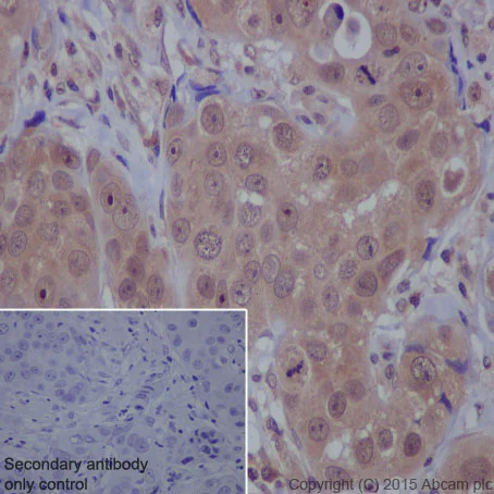
Immunohistochemistry (Formalin/PFA-fixed paraffin-embedded sections) - Anti-mTOR antibody [Y391] (AB32028)
  • IHC-P

Unknown

Immunohistochemistry (Formalin/PFA-fixed paraffin-embedded sections) - Anti-mTOR antibody [Y391] (AB32028)

Immunohistochemistry (Formalin/PFA-fixed paraffin-embedded sections) analysis of human breast carcinoma tissue labelling mTOR with purified ab32028 at a dilution of 1/400. Heat mediated antigen retrieval was performed using EDTA buffer pH 9. ab97051, a HRP-conjugated goat anti-rabbit IgG (H+L) was used as the secondary antibody (1/500). Negative control using PBS instead of primary antibody. Counterstained with hematoxylin.

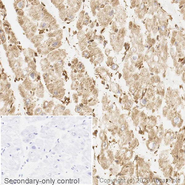
Immunohistochemistry (Frozen sections) - Anti-mTOR antibody [Y391] (AB32028)
  • IHC-Fr

Lab

Immunohistochemistry (Frozen sections) - Anti-mTOR antibody [Y391] (AB32028)

IHC image of mTOR staining in a section of frozen normal human heart performed on a Leica BONDTM system using the standard protocol. The section was fixed in 10% paraformaldehyde (10 min) prior to staining. The section was incubated with ab32028, 1/200 dilution, for 15 mins at room temperature and detected using an HRP conjugated compact polymer system. DAB was used as the chromogen. The section was then counterstained with haematoxylin and mounted with DPX. The inset secondary-only control image is taken from an identical assay without primary antibody.

For other IHC staining systems (automated and non-automated) customers should optimize variable parameters such as antigen retrieval conditions, primary antibody concentration and antibody incubation times.

Immunoprecipitation - Anti-mTOR antibody [Y391] (AB32028)
  • IP

Unknown

Immunoprecipitation - Anti-mTOR antibody [Y391] (AB32028)

ab32028 (purified) at a dilution of 1/100 immunoprecipitating mTOR in HeLa whole cell lysate.

Lane 1 (input) : HeLa whole cell lysate (10μg)

Lane 2 (+) : ab32028 + HeLa whole cell lysate.

Lane 3 (-) : Rabbit monoclonal IgG (ab172730) instead of ab32028 in HeLa whole cell lysate.

For western blotting, ab131366 VeriBlot for IP Detection Reagent (HRP) was used for detection (1/1000).

Blocking buffer and concentration : 5% NFDM/TBST.

Diluting buffer and concentration : 5% NFDM /TBST.

All lanes:

Immunoprecipitation - Anti-mTOR antibody [Y391] (ab32028)

Predicted band size: 289 kDa

Observed band size: 289 kDa

false

Immunohistochemistry (Formalin/PFA-fixed paraffin-embedded sections) - Anti-mTOR antibody [Y391] (AB32028)
  • IHC-P

Unknown

Immunohistochemistry (Formalin/PFA-fixed paraffin-embedded sections) - Anti-mTOR antibody [Y391] (AB32028)

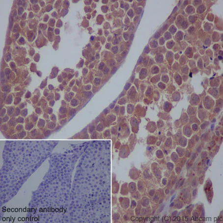
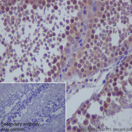
Immunohistochemistry (Formalin/PFA-fixed paraffin-embedded sections) analysis of rat testis tissue labelling mTOR with purified ab32028 at a dilution of 1/400. Heat mediated antigen retrieval was performed using EDTA buffer pH 9. ab97051, a HRP-conjugated goat anti-rabbit IgG (H+L) was used as the secondary antibody (1/500). Negative control using PBS instead of primary antibody. Counterstained with hematoxylin.

Immunohistochemistry (Formalin/PFA-fixed paraffin-embedded sections) - Anti-mTOR antibody [Y391] (AB32028)
  • IHC-P

Unknown

Immunohistochemistry (Formalin/PFA-fixed paraffin-embedded sections) - Anti-mTOR antibody [Y391] (AB32028)

Immunohistochemistry (Formalin/PFA-fixed paraffin-embedded sections) analysis of mouse testis tissue labelling mTOR with purified ab32028 at a dilution of 1/400. Heat mediated antigen retrieval was performed using EDTA buffer pH 9. ab97051, a HRP-conjugated goat anti-rabbit IgG (H+L) was used as the secondary antibody (1/500). Negative control using PBS instead of primary antibody. Counterstained with hematoxylin.

Immunoprecipitation - Anti-mTOR antibody [Y391] (AB32028)
  • IP

Unknown

Immunoprecipitation - Anti-mTOR antibody [Y391] (AB32028)

ab32028 (purified) at a dilution of 1/100 immunoprecipitating mTOR in rat brain tissue lysate.

Lane 1 (input) : Rat brain tissue lysate (10μg)

Lane 2 (+) : ab32028 + rat brain tissue lysate.

Lane 3 (-) : Rabbit monoclonal IgG (ab172730) instead of ab32028 in rat brain tissue lysate.

For western blotting, ab131366 VeriBlot for IP Detection Reagent (HRP) was used for detection (1/1000).

Blocking buffer and concentration : 5% NFDM/TBST.

Diluting buffer and concentration : 5% NFDM /TBST.

All lanes:

Immunoprecipitation - Anti-mTOR antibody [Y391] (ab32028)

Predicted band size: 289 kDa

Observed band size: 289 kDa

false

Western blot - Anti-mTOR antibody [Y391] (AB32028)
  • WB

Lab

Western blot - Anti-mTOR antibody [Y391] (AB32028)

False colour image of Western blot : Anti-mTOR antibody [Y391] staining at 1/1000 dilution, shown in green; Mouse anti-CANX [CANX/1543] (ab238078) loading control staining at 1/20000 dilution, shown in red. In Western blot, ab32028 was shown to bind specifically to mTOR. A band was observed at 250 kDa in wild-type A549 cell lysates with no signal observed at this size in MTOR CRISPR-Cas9 edited cell line ab283257. The band observed in the CRISPR-Cas9 edited lysate lane below 250 kDa is likely to represent a truncated form of mTOR. This has not been investigated further and the functional properties of the gene product have not been determined. To generate this image, wild-type and MTOR CRISPR-Cas9 edited A549 cell lysates were analysed. First, samples were run on an SDS-PAGE gel then transferred onto a nitrocellulose membrane. Membranes were blocked in 3 % milk in TBS-0.1 % Tween® 20 (TBS-T) before incubation with primary antibodies overnight at 4 °C. Blots were washed four times in TBS-T, incubated with secondary antibodies for 1 h at room temperature, washed again four times then imaged. Secondary antibodies used were Goat anti-Rabbit IgG H&L 800CW and Goat anti-Mouse IgG H&L 680RD at 1/20000 dilution.

All lanes:

Western blot - Anti-mTOR antibody [Y391] (ab32028) at 1/1000 dilution

Lane 1:

Wild-type A549 cell lysate at 20 µg

Lane 2:

MTOR [homo] CRISPR-Cas9 edited A549 cell lysate at 20 µg

Lane 3:

HepG2 cell lysate at 20 µg

Lane 4:

HEK-293 cell lysate at 20 µg

Secondary

Lanes 1 - 4:

Goat anti-Rabbit IgG H&L 800CW at 1/20000 dilution

Lanes 1 - 4:

Goat anti-Mouse IgG H&L 680RD at 1/20000 dilution

Observed band size: 250 kDa

false

Western blot - Anti-mTOR antibody [Y391] (AB32028)
  • WB

Lab

Western blot - Anti-mTOR antibody [Y391] (AB32028)

Blocking and diluting buffer : 5% NFDM/TBST

All lanes:

Western blot - Anti-mTOR antibody [Y391] (ab32028) at 1/2000 dilution

Lane 1:

MCF7 (Human breast adenocarcinoma epithelial cell) whole cell lysates in RIPA buffer at 20 µg

Lane 2:

MCF7 (Human breast adenocarcinoma epithelial cell) whole cell lysates in HOT buffer at 20 µg

Lane 3:

Rat brain lysates in RIPA buffer at 20 µg

Lane 4:

Rat brain lysates in HOT buffer at 20 µg

Lane 5:

HepG2 (Human hepatocellular carcinoma epithelial cell) whole cell lysates at 20 µg

Lane 6:

Human fetal lung lysates at 20 µg

Secondary

All lanes:

Western blot - Goat Anti-Rabbit IgG H&L (HRP) (<a href='/products/secondary-antibodies/goat-rabbit-igg-h-l-hrp-ab97051'>ab97051</a>) at 1/20000 dilution

Predicted band size: 289 kDa

Observed band size: 290 kDa

false

Exposure time: 15s

ChIC/CUT&RUN sequencing - Anti-mTOR antibody [Y391] (AB32028)
  • ChIC/CUT&RUN-seq

Supplier Data

ChIC/CUT&RUN sequencing - Anti-mTOR antibody [Y391] (AB32028)

CUT&RUN profiling with mTOR antibody reveals the expected genomic enrichment pattern in cells. Representative genome browser tracks show CUT&RUN data generated using the CUTANA™ CUT&RUN Kit (EpiCypher 14-1048) with mTOR antibody (Abcam ab32028, 0.5 µg). 500,000 HEK293T cells were used per reaction. IgG, H3K4me3, and H3K27me3 antibodies were included as controls to assess non-specific background, active promoters, and repressed chromatin, respectively. Libraries were prepared using the CUTANA™ CUT&RUN Library Prep Kit (EpiCypher 14-1001). Sequencing was performed with paired-end 50 bp reads, and data were processed on CUTANA™ Cloud (cloud.epicypher.com) by alignment to the hg38 genome. Images were generated using Integrative Genomics Viewer (IGV, Broad Institute).

ChIC/CUT&RUN sequencing - Anti-mTOR antibody [Y391] (AB32028)
  • ChIC/CUT&RUN-seq

Supplier Data

ChIC/CUT&RUN sequencing - Anti-mTOR antibody [Y391] (AB32028)

CUT&RUN profiling with mTOR antibody demonstrates robust genome-wide enrichment in cells. Heatmaps of genome-wide signal flanking annotated transcription start sites (TSSs, +/- 2 kbp) display CUT&RUN data generated using the CUTANA™ CUT&RUN Kit (EpiCypher 14-1048) with mTOR antibody (Abcam ab32028, 0.5 µg). 500,000 HEK293T cells were used per reaction. IgG antibody was included as a negative control to assess non-specific background. Libraries were prepared using the CUTANA™ CUT&RUN Library Prep Kit (EpiCypher 14-1001). Sequencing was performed with paired-end 50 bp reads, and data were processed on CUTANA™ Cloud (cloud.epicypher.com) by alignment to the hg38 genome. Heatmaps were generated using ChAsE (Younesy et al., Bioinformatics 2016; PMID 27378294). Row-linked data are ranked by intensity relative to mTOR, with red indicating high localized enrichment and blue denoting background.

Western blot - Anti-mTOR antibody [Y391] (AB32028)
  • WB

Lab

Western blot - Anti-mTOR antibody [Y391] (AB32028)

Exposure time :

Lane 1 : 10 seconds
Lane 2-8 : 180 seconds

This antibody detects non-specific bands and high background. It doesn't detect the target band in some mouse and rat tissues.

Blocking and diluting buffer and concentration : 5% NFDM/TBST.

All lanes:

Western blot - Anti-mTOR antibody [Y391] (ab32028) at 1/1000 dilution

Lane 1:

Rat brain tissue lysate at 20 µg

Lane 2:

Rat heart tissue lysate at 20 µg

Lane 3:

Rat liver tissue lysate at 20 µg

Lane 4:

Rat spleen tissue at 20 µg

Lane 5:

Mouse brain tissue lysate at 20 µg

Lane 6:

Mouse heart tissue lysate at 20 µg

Lane 7:

Mouse kidney tissue lysate at 20 µg

Lane 8:

Western blot - Anti-mTOR antibody [Y391] (ab32028) at 1/1000 dilution

Lane 8:

Mouse liver tissue lysate at 20 µg

Secondary

All lanes:

Western blot - Goat Anti-Rabbit IgG H&L (HRP) (<a href='/products/secondary-antibodies/goat-rabbit-igg-h-l-hrp-ab97051'>ab97051</a>) at 1/20000 dilution

Predicted band size: 289 kDa

Observed band size: 289 kDa

false

Western blot - Anti-mTOR antibody [Y391] (AB32028)
  • WB

Lab

Western blot - Anti-mTOR antibody [Y391] (AB32028)

Exposure time :

Lane 1-3 : 100 seconds
Lane 4-7 : 180 seconds

This antibody detects non-specific bands and high background. It doesn't detect the target band in some mouse and rat tissues.

Blocking and diluting buffer and concentration : 5% NFDM/TBST.

All lanes:

Western blot - Anti-mTOR antibody [Y391] (ab32028) at 1/1000 dilution

Lane 1:

HeLa (Human cervix adenocarcinoma epithelial cell) whole cell lysate at 20 µg

Lane 2:

HaCaT (Human skin keratinocyte) whole cell lysate at 20 µg

Lane 3:

MDA-MB-231 (Human breast adenocarcinoma epithelial cell) whole cell lysate at 20 µg

Lane 4:

Mouse thymus (8-10 weeks) tissue lysate at 20 µg

Lane 5:

Mouse lung (8-10 weeks) tissue lysate at 20 µg

Lane 6:

Rat thymus tissue lysate at 20 µg

Lane 7:

Rat lung tissue lysate at 20 µg

Secondary

All lanes:

Western blot - Goat Anti-Rabbit IgG H&L (HRP) (<a href='/products/secondary-antibodies/goat-rabbit-igg-h-l-hrp-ab97051'>ab97051</a>) at 1/20000 dilution

Predicted band size: 289 kDa

Observed band size: 289 kDa

false

関連する標識済み抗体及び組成の異なる製品 (1)

  • Carrier free

    Anti-mTOR antibody [Y391] - BSA and Azide free

Key facts

宿主種

Rabbit

クローン性

Monoclonal

クローン番号

Y391

アイソタイプ

IgG

キャリアフリー

No

交差種

Mouse, Rat, Human

アプリケーション

IP, WB, IHC-Fr, IHC-P, ChIC/CUT&RUN-seq

applications

免疫原

The exact immunogen used to generate this antibody is proprietary information.

エピトープ

ab32028 reacts with an epitope located in the C terminal region of mTOR.

特異性

Expression levels of the target protein vary with sample type and some optimisation may be required.

Reactivity data

{ "title": "Reactivity Data", "filters": { "stats": ["", "Species", "Dilution Info", "Notes"], "tabs": { "all-applications": {"fullname" : "All Applications", "shortname": "All Applications"}, "ChICCUTRUNseq" : {"fullname" : "ChIC/CUT&RUN sequencing", "shortname":"ChIC/CUT&RUN-seq"}, "IHCP" : {"fullname" : "Immunohistochemistry (Formalin/PFA-fixed paraffin-embedded sections)", "shortname":"IHC-P"}, "IP" : {"fullname" : "Immunoprecipitation", "shortname":"IP"}, "FlowCyt" : {"fullname" : "Flow Cytometry", "shortname":"Flow Cyt"}, "WB" : {"fullname" : "Western blot", "shortname":"WB"}, "ICCIF" : {"fullname" : "Immunocytochemistry/ Immunofluorescence", "shortname":"ICC/IF"}, "IHCFr" : {"fullname" : "Immunohistochemistry (Frozen sections)", "shortname":"IHC-Fr"} }, "product-promise": { "all": "all", "testedAndGuaranteed": "tested", "guaranteed": "expected", "predicted": "predicted", "notRecommended": "not-recommended" } }, "values": { "Human": { "ChICCUTRUNseq-species-checked": "testedAndGuaranteed", "ChICCUTRUNseq-species-dilution-info": "", "ChICCUTRUNseq-species-notes": "<p></p>", "IHCP-species-checked": "testedAndGuaranteed", "IHCP-species-dilution-info": "1/400", "IHCP-species-notes": "<p></p> Perform heat-mediated antigen retrieval before commencing with IHC staining protocol.", "IP-species-checked": "testedAndGuaranteed", "IP-species-dilution-info": "1/50 - 1/100", "IP-species-notes": "<p></p>", "FlowCyt-species-checked": "notRecommended", "FlowCyt-species-dilution-info": "1/50 - 1/80", "FlowCyt-species-notes": "<p><a href='/products/primary-antibodies/rabbit-igg-monoclonal-epr25a-isotype-control-ab172730'>ab172730</a> - Rabbit monoclonal IgG, is suitable for use as an isotype control with this antibody.</p>", "WB-species-checked": "testedAndGuaranteed", "WB-species-dilution-info": "1/1000 - 1/5000", "WB-species-notes": "<p>This antibody detects non-specific bands and high background. It doesn't detect the target band in some mouse and rat tissues.</p>", "ICCIF-species-checked": "notRecommended", "ICCIF-species-dilution-info": "1/50 - 1/100", "ICCIF-species-notes": "<p></p>", "IHCFr-species-checked": "testedAndGuaranteed", "IHCFr-species-dilution-info": "1/200", "IHCFr-species-notes": "<p></p>" }, "Mouse": { "ChICCUTRUNseq-species-checked": "guaranteed", "ChICCUTRUNseq-species-dilution-info": "", "ChICCUTRUNseq-species-notes": "", "IHCP-species-checked": "testedAndGuaranteed", "IHCP-species-dilution-info": "1/400", "IHCP-species-notes": "<p></p> Perform heat-mediated antigen retrieval before commencing with IHC staining protocol.", "IP-species-checked": "guaranteed", "IP-species-dilution-info": "", "IP-species-notes": "", "FlowCyt-species-checked": "notRecommended", "FlowCyt-species-dilution-info": "1/50 - 1/80", "FlowCyt-species-notes": "<p><a href='/products/primary-antibodies/rabbit-igg-monoclonal-epr25a-isotype-control-ab172730'>ab172730</a> - Rabbit monoclonal IgG, is suitable for use as an isotype control with this antibody.</p>", "WB-species-checked": "testedAndGuaranteed", "WB-species-dilution-info": "1/1000 - 1/5000", "WB-species-notes": "<p>This antibody detects non-specific bands and high background. It doesn't detect the target band in some mouse and rat tissues.</p>", "ICCIF-species-checked": "notRecommended", "ICCIF-species-dilution-info": "1/50 - 1/100", "ICCIF-species-notes": "<p></p>", "IHCFr-species-checked": "guaranteed", "IHCFr-species-dilution-info": "", "IHCFr-species-notes": "" }, "Rat": { "ChICCUTRUNseq-species-checked": "guaranteed", "ChICCUTRUNseq-species-dilution-info": "", "ChICCUTRUNseq-species-notes": "", "IHCP-species-checked": "testedAndGuaranteed", "IHCP-species-dilution-info": "1/400", "IHCP-species-notes": "<p></p> Perform heat-mediated antigen retrieval before commencing with IHC staining protocol.", "IP-species-checked": "testedAndGuaranteed", "IP-species-dilution-info": "1/50 - 1/100", "IP-species-notes": "<p></p>", "FlowCyt-species-checked": "notRecommended", "FlowCyt-species-dilution-info": "1/50 - 1/80", "FlowCyt-species-notes": "<p><a href='/products/primary-antibodies/rabbit-igg-monoclonal-epr25a-isotype-control-ab172730'>ab172730</a> - Rabbit monoclonal IgG, is suitable for use as an isotype control with this antibody.</p>", "WB-species-checked": "testedAndGuaranteed", "WB-species-dilution-info": "1/1000 - 1/5000", "WB-species-notes": "<p>This antibody detects non-specific bands and high background. It doesn't detect the target band in some mouse and rat tissues.</p>", "ICCIF-species-checked": "notRecommended", "ICCIF-species-dilution-info": "1/50 - 1/100", "ICCIF-species-notes": "<p></p>", "IHCFr-species-checked": "guaranteed", "IHCFr-species-dilution-info": "", "IHCFr-species-notes": "" } } }

製品の詳細

What is this antibody validated in?
Anti-mTOR antibody [Y391] (ab32028) is a rabbit recombinant monoclonal antibody and is validated for use in Western Blot (WB), Immunoprecipitation (IP), Immunohistochemistry (IHC-P), Immunohistochemistry (IHC-Fr) in Human, Mouse, Rat samples.

What is the molecular weight of mTOR?
Anti-mTOR [Y391] (ab32028) specifically detects a band for mTOR (UniProt: P42345) at a molecular weight of 289kDa.

Trusted by the scientific community
Anti-mTOR [Y391] (ab32028) was first used in a scientific publication in 2006 and has been cited over 230 times in peer-reviewed journals.

Reviewed by scientists
Anti-mTOR [Y391] (ab32028) has over 5 independent reviews from customers.

Trial sizes available!
Test your antibody or perform pre-screening before committing to a larger quantity. Sold in 10µl. Discover our selection of trial-size antibodies.

Other related products
We have a range of other formats of antibody clone [Y391] also available for your convenience: ab32028, Carrier free - ab218525

Patented technology
Our RabMAb® technology is a patented hybridoma-based technology for making rabbit monoclonal antibodies. For details on our patents, please refer to RabMAb® patents.

What are the advantages of a recombinant monoclonal antibody?
This product is a recombinant monoclonal antibody, which offers several advantages including:

  • - High batch-to-batch consistency and reproducibility
  • - Improved sensitivity and specificity
  • - Long-term security of supply
  • - Animal-free batch production

For more information, read more on recombinant antibodies.

出荷温度及び保存条件

製品の状態
Liquid
精製方法
Affinity purification Protein A
バッファー組成
pH: 7.2 - 7.4 Preservative: 0.01% Sodium azide Constituents: PBS, 40% Glycerol (glycerin, glycerine), 0.05% BSA
出荷温度
Blue Ice
短期保存期間
1-2 weeks
短期保存温度
+4°C
長期保存温度
-20°C
分注に関する情報
Upon delivery aliquot
保管に関する情報
Avoid freeze / thaw cycle

補足情報

This supplementary information is collated from multiple sources and compiled automatically.

The mammalian target of rapamycin commonly known as mTOR is a serine/threonine kinase known for its role in cellular growth and metabolism. It has a molecular weight of approximately 289 kDa. mTOR is expressed in various tissues throughout the body including muscle adipose tissue and the brain. The protein functions as a central regulator of cell proliferation protein synthesis and nutrient signaling. Often researchers utilize mTOR ELISA or mTOR western blot (mTOR WB) methods and mTOR antibodies to study its expression and activity in various biological contexts.
Biological function summary

MTOR integrates signals from nutrients growth factors and cellular energy status to maintain cellular homeostasis. It forms part of two distinct complexes mTORC1 and mTORC2 which differ in their component proteins and downstream effects. mTORC1 primarily responds to amino acids and regulates protein synthesis through phosphorylation of key substrates like S6K1. On the other hand mTORC2 is important for maintaining cytoskeletal integrity and cell survival highlighting the protein's importance in diverse cellular processes.

Pathways

MTOR plays a pivotal role in the PI3K/AKT/mTOR pathway which governs cell growth proliferation and survival. It also has implications in the regulation of the AMPK pathway which senses cellular energy levels. Through these pathways mTOR interacts with proteins such as AKT and TSC2. The phospho-mTOR specifically the S2448 phospho-mTOR serves as an important functional marker in these signaling cascades linking extracellular signals to downstream cellular responses.

MTOR has connections to cancer and neurodegenerative diseases. Its dysregulation often leads to uncontrolled cellular proliferation a hallmark of many cancers. Conditions such as tuberous sclerosis can occur due to mutations in proteins like TSC1 and TSC2 that regulate mTOR activity. In Alzheimer's disease mTOR's role in autophagy and protein synthesis becomes significant as imbalance may contribute to disease progression. Understanding these connections highlights the potential of targeting mTOR pathways therapeutically.

製品プロトコール

For this product, it's our understanding that no specific protocols are required. You can visit:

ターゲットの情報

Serine/threonine protein kinase which is a central regulator of cellular metabolism, growth and survival in response to hormones, growth factors, nutrients, energy and stress signals (PubMed : 12087098, PubMed : 12150925, PubMed : 12150926, PubMed : 12231510, PubMed : 12718876, PubMed : 14651849, PubMed : 15268862, PubMed : 15467718, PubMed : 15545625, PubMed : 15718470, PubMed : 18497260, PubMed : 18762023, PubMed : 18925875, PubMed : 20516213, PubMed : 20537536, PubMed : 21659604, PubMed : 23429703, PubMed : 23429704, PubMed : 25799227, PubMed : 26018084, PubMed : 29150432, PubMed : 29236692, PubMed : 31112131, PubMed : 31601708, PubMed : 32561715, PubMed : 34519269, PubMed : 37751742). MTOR directly or indirectly regulates the phosphorylation of at least 800 proteins (PubMed : 15268862, PubMed : 15467718, PubMed : 17517883, PubMed : 18372248, PubMed : 18497260, PubMed : 18925875, PubMed : 20516213, PubMed : 21576368, PubMed : 21659604, PubMed : 23429704, PubMed : 30171069, PubMed : 29236692, PubMed : 37751742). Functions as part of 2 structurally and functionally distinct signaling complexes mTORC1 and mTORC2 (mTOR complex 1 and 2) (PubMed : 15268862, PubMed : 15467718, PubMed : 18497260, PubMed : 18925875, PubMed : 20516213, PubMed : 21576368, PubMed : 21659604, PubMed : 23429704, PubMed : 29424687, PubMed : 29567957, PubMed : 35926713). In response to nutrients, growth factors or amino acids, mTORC1 is recruited to the lysosome membrane and promotes protein, lipid and nucleotide synthesis by phosphorylating key regulators of mRNA translation and ribosome synthesis (PubMed : 12087098, PubMed : 12150925, PubMed : 12150926, PubMed : 12231510, PubMed : 12718876, PubMed : 14651849, PubMed : 15268862, PubMed : 15467718, PubMed : 15545625, PubMed : 15718470, PubMed : 18497260, PubMed : 18762023, PubMed : 18925875, PubMed : 20516213, PubMed : 20537536, PubMed : 21659604, PubMed : 23429703, PubMed : 23429704, PubMed : 25799227, PubMed : 26018084, PubMed : 29150432, PubMed : 29236692, PubMed : 31112131, PubMed : 34519269). This includes phosphorylation of EIF4EBP1 and release of its inhibition toward the elongation initiation factor 4E (eiF4E) (PubMed : 24403073, PubMed : 29236692). Moreover, phosphorylates and activates RPS6KB1 and RPS6KB2 that promote protein synthesis by modulating the activity of their downstream targets including ribosomal protein S6, eukaryotic translation initiation factor EIF4B, and the inhibitor of translation initiation PDCD4 (PubMed : 12087098, PubMed : 12150925, PubMed : 18925875, PubMed : 29150432, PubMed : 29236692). Stimulates the pyrimidine biosynthesis pathway, both by acute regulation through RPS6KB1-mediated phosphorylation of the biosynthetic enzyme CAD, and delayed regulation, through transcriptional enhancement of the pentose phosphate pathway which produces 5-phosphoribosyl-1-pyrophosphate (PRPP), an allosteric activator of CAD at a later step in synthesis, this function is dependent on the mTORC1 complex (PubMed : 23429703, PubMed : 23429704). Regulates ribosome synthesis by activating RNA polymerase III-dependent transcription through phosphorylation and inhibition of MAF1 an RNA polymerase III-repressor (PubMed : 20516213). Activates dormant ribosomes by mediating phosphorylation of SERBP1, leading to SERBP1 inactivation and reactivation of translation (PubMed : 36691768). In parallel to protein synthesis, also regulates lipid synthesis through SREBF1/SREBP1 and LPIN1 (PubMed : 23426360). To maintain energy homeostasis mTORC1 may also regulate mitochondrial biogenesis through regulation of PPARGC1A (By similarity). In the same time, mTORC1 inhibits catabolic pathways : negatively regulates autophagy through phosphorylation of ULK1 (PubMed : 32561715). Under nutrient sufficiency, phosphorylates ULK1 at 'Ser-758', disrupting the interaction with AMPK and preventing activation of ULK1 (PubMed : 32561715). Also prevents autophagy through phosphorylation of the autophagy inhibitor DAP (PubMed : 20537536). Also prevents autophagy by phosphorylating RUBCNL/Pacer under nutrient-rich conditions (PubMed : 30704899). Prevents autophagy by mediating phosphorylation of AMBRA1, thereby inhibiting AMBRA1 ability to mediate ubiquitination of ULK1 and interaction between AMBRA1 and PPP2CA (PubMed : 23524951, PubMed : 25438055). mTORC1 exerts a feedback control on upstream growth factor signaling that includes phosphorylation and activation of GRB10 a INSR-dependent signaling suppressor (PubMed : 21659604). Among other potential targets mTORC1 may phosphorylate CLIP1 and regulate microtubules (PubMed : 12231510). The mTORC1 complex is inhibited in response to starvation and amino acid depletion (PubMed : 12150925, PubMed : 12150926, PubMed : 24403073, PubMed : 31695197). The non-canonical mTORC1 complex, which acts independently of RHEB, specifically mediates phosphorylation of MiT/TFE factors MITF, TFEB and TFE3 in the presence of nutrients, promoting their cytosolic retention and inactivation (PubMed : 22343943, PubMed : 22576015, PubMed : 22692423, PubMed : 24448649, PubMed : 32612235, PubMed : 36608670, PubMed : 36697823). Upon starvation or lysosomal stress, inhibition of mTORC1 induces dephosphorylation and nuclear translocation of TFEB and TFE3, promoting their transcription factor activity (PubMed : 22343943, PubMed : 22576015, PubMed : 22692423, PubMed : 24448649, PubMed : 32612235, PubMed : 36608670). The mTORC1 complex regulates pyroptosis in macrophages by promoting GSDMD oligomerization (PubMed : 34289345). MTOR phosphorylates RPTOR which in turn inhibits mTORC1 (By similarity). As part of the mTORC2 complex, MTOR transduces signals from growth factors to pathways involved in proliferation, cytoskeletal organization, lipogenesis and anabolic output (PubMed : 15268862, PubMed : 15467718, PubMed : 24670654, PubMed : 29424687, PubMed : 29567957, PubMed : 35926713). In response to growth factors, mTORC2 phosphorylates and activates AGC protein kinase family members, including AKT (AKT1, AKT2 and AKT3), PKC (PRKCA, PRKCB and PRKCE) and SGK1 (PubMed : 15268862, PubMed : 15467718, PubMed : 21376236, PubMed : 24670654, PubMed : 29424687, PubMed : 29567957, PubMed : 35926713). In contrast to mTORC1, mTORC2 is nutrient-insensitive (PubMed : 15467718). mTORC2 plays a critical role in AKT1 activation by mediating phosphorylation of different sites depending on the context, such as 'Thr-450', 'Ser-473', 'Ser-477' or 'Thr-479', facilitating the phosphorylation of the activation loop of AKT1 on 'Thr-308' by PDPK1/PDK1 which is a prerequisite for full activation (PubMed : 15718470, PubMed : 21376236, PubMed : 24670654, PubMed : 29424687, PubMed : 29567957). mTORC2 also regulates the phosphorylation of SGK1 at 'Ser-422' (PubMed : 18925875). mTORC2 may regulate the actin cytoskeleton, through phosphorylation of PRKCA, PXN and activation of the Rho-type guanine nucleotide exchange factors RHOA and RAC1A or RAC1B (PubMed : 15268862). The mTORC2 complex also phosphorylates various proteins involved in insulin signaling, such as FBXW8 and IGF2BP1 (By similarity). May also regulate insulin signaling by acting as a tyrosine protein kinase that catalyzes phosphorylation of IGF1R and INSR; additional evidence are however required to confirm this result in vivo (PubMed : 26584640). Regulates osteoclastogenesis by adjusting the expression of CEBPB isoforms (By similarity). Plays an important regulatory role in the circadian clock function; regulates period length and rhythm amplitude of the suprachiasmatic nucleus (SCN) and liver clocks (By similarity).
See full target information MTOR

文献 (322)

Recent publications for all applications. Explore the full list and refine your search

Annals of hematology 104:4101-4109 PubMed40825899

2025

Sirolimus modulates the erythroid differentiation of K562 cells by upregulating SHP1.

Applications

Unspecified application

Species

Unspecified reactive species

Yuan Yang,Zengwei Tang,Qinglin Hu,Chen Yang,Miao Chen,Hongmei Jing,Bing Han

International journal of clinical and experimental pathology 18:302-316 PubMed40814558

2025

Hsa-miR-100-5p promotes the development and progression of gastric cancer through targeted atypical chemokine receptor 3.

Applications

Unspecified application

Species

Unspecified reactive species

Xiao-Li Wang,Jin-Chun Jiang,Jia-Ye Song,Jing-Yi Ni,Li Song,Jin-Zhang Xiao,Da Fu,Zi-Yu Chen,Yong-Feng Cao

Frontiers in medicine 12:1614592 PubMed40809438

2025

Mechanism of action of decitabine in treating acute lymphoblastic leukemia.

Applications

Unspecified application

Species

Unspecified reactive species

Xiaohui Gao,Hui Zeng,Fei Sun,Xiaoyan Zhao,Haibing Wu,Minchao Yan,Yuan Li,Qinyan Fu,Gang Zhang

Scientific reports 15:29560 PubMed40797086

2025

Exosomal LncRNA SCAMP1-AS1 enhances osteosarcoma malignancy by regulating the LKB1-AMPK signaling pathway.

Applications

Unspecified application

Species

Unspecified reactive species

Yanxia Li,Xiuqi Zou,Xiaomin Feng,Jing Xia,Zhifeng Wu,Haili Ma

Biomedical reports 22:99 PubMed40297802

2025

Resveratrol ameliorates high‑fat diet‑induced insulin resistance via the DDIT4/mTOR pathway in skeletal muscle.

Applications

Unspecified application

Species

Unspecified reactive species

Xinyan Pan,Gangqiang Xue,Ming Zhao,Ziping Xiang,Dian Liu,Zesen Duan,Chao Wang

Journal of virology 99:e0028025 PubMed40272155

2025

HIV-1 Nef activates proviral DNA transcription by recruiting Src kinase to phosphorylate host protein Nef-associated factor 1 to compromise its viral restrictive function.

Applications

Unspecified application

Species

Unspecified reactive species

Tian-Jiao Fan,Chengzuo Xie,Lisha Li,Xia Jin,Jie Cui,Jian-Hua Wang

Frontiers in pharmacology 16:1553791 PubMed40260390

2025

Miltirone enhances the chemosensitivity of gastric cancer cells to cisplatin by suppressing the PI3K/AKT signaling pathway.

Applications

Unspecified application

Species

Unspecified reactive species

Yiping Wang,Hang Lv,Li Shen,Zhe Chen

Chinese herbal medicines 17:322-339 PubMed40256710

2025

Enhancement of apoptosis in HCT116 and HepG2 cells by var. seed extract in combination with sorafenib.

Applications

Unspecified application

Species

Unspecified reactive species

Supawadee Parhira,Guoyuan Zhu,Apirath Wangteeraprasert,Suphunwadee Sawong,Pennapha Suknoppakit,Julintorn Somran,Naphat Kaewpaeng,Khemmachat Pansooksan,Dumrongsak Pekthong,Piyarat Srisawang

Lipids in health and disease 24:146 PubMed40241082

2025

Radiation induced dermatitis by increasing triglyceride levels to induce autophagy and inhibit the PI3K/Akt/mTOR signaling pathway.

Applications

Unspecified application

Species

Unspecified reactive species

Yafang Hong,Hongdan Guan,Yunhao Chen,Yao Wang,Junjian Lin,Ying Wang,Yang Zhang,Rong Zheng,Xingchen Ding,Zihan Zhou,Benhua Xu

International heart journal 66:302-312 PubMed40159366

2025

Upstream Stimulatory Factor 2 Protects Cardiomyocytes by Regulating Mitochondrial Homeostasis.

Applications

Unspecified application

Species

Unspecified reactive species

Wenbin Wu,Kexin Zhao,Kejuan Li,Ziwei Zhu,Yongnan Li,Jianshu Chen,Hong Ding,Xiaowei Zhang
View all publications

Abcam product promise

当社は、高品質な試薬を通じてお客様の研究を力強くサポートすることをお約束いたします。ご使用いただく各段階で、常にお客様をサポートできる体制を整えております。万が一、製品が期待通りに機能しない場合は、「Abcam Product Promise」による当社保証制度に基づき、安心してご利用いただけます。
保証に関する詳細については利用規約をご確認ください。

Please note: All products are 'FOR RESEARCH USE ONLY. NOT FOR USE IN DIAGNOSTIC OR THERAPEUTIC PROCEDURES'.

For licensing inquiries, please contact partnerships@abcam.com