JavaScript is disabled in your browser. Please enable JavaScript to view this website.
AB228325

Anti-MSH2 抗体 [EPR21017-2] - BSA and Azide free

Anti-MSH2 antibody [EPR21017-2] - BSA and Azide free

Be the first to review this product! Submit a review

|

(1 Publication)

Rabbit Recombinant Monoclonal MSH2 antibody. Carrier free. Suitable for WB, ICC/IF, Flow Cyt (Intra), IHC-P and reacts with Mouse, Rat, Human samples. Cited in 1 publication.

別名を表示する

DNA mismatch repair protein Msh2, hMSH2, MutS protein homolog 2, MSH2

2 Images
Flow Cytometry (Intracellular) - Anti-MSH2 antibody [EPR21017-2] - BSA and Azide free (AB228325)
  • Flow Cyt (Intra)

Lab

Flow Cytometry (Intracellular) - Anti-MSH2 antibody [EPR21017-2] - BSA and Azide free (AB228325)

MSH2 KO HAP1 (MSH2 knockout Human chronic myelogenous leukemia near-haploid cell line, Left) / WT HAP1 (Right) cells were fixed with4% paraformaldehyde and permeabilised with 90% methanol. The cells were incubated with the primary antibody, ab212188 at a 1/6000 dilution (0.01μg) (red line). The secondary antibody used wasGoat anti rabbit IgG (Alexa Fluor® 488, ab150077) at a 1/2000 dilution. The isotype control (black line) antibody wasRabbit monoclonal IgG (ab172730). An unlabelled control without incubation with primary antibody and secondary antibody was also performed (blue line).

90% methanol permeabilisation is recommended. Avoid using TritonX-100 as it may cause non-specific staining.

This data was developed using the same antibody clone in a different buffer formulation containing PBS, BSA, glycerol, and sodium azide (ab212188).

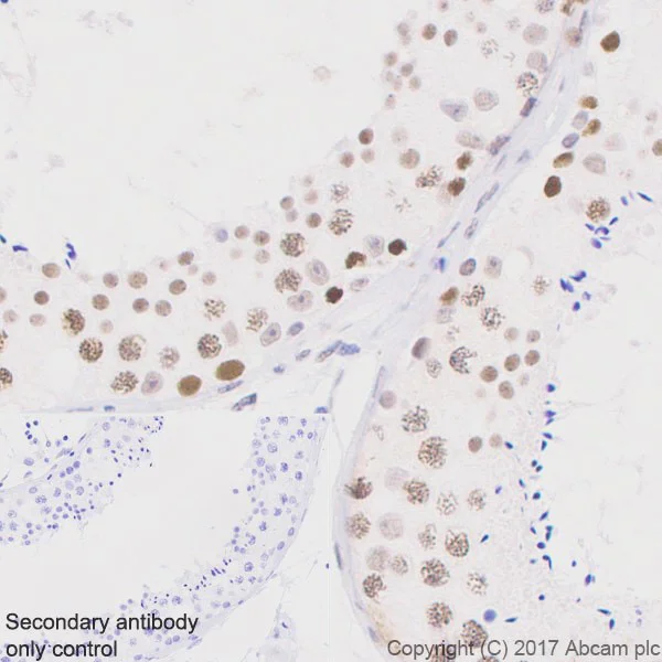
Immunohistochemistry (Formalin/PFA-fixed paraffin-embedded sections) - Anti-MSH2 antibody [EPR21017-2] - BSA and Azide free (AB228325)
  • IHC-P

Supplier Data

Immunohistochemistry (Formalin/PFA-fixed paraffin-embedded sections) - Anti-MSH2 antibody [EPR21017-2] - BSA and Azide free (AB228325)

Immunohistochemical analysis of paraffin-embedded human testis tissue labeling MSH2 with ab212188 at 1/10000 dilution, followed by a ready to use Goat Anti-Rabbit IgG H&L (HRP). Nuclear staining in human testis was observed (PMID : 10029069). Counter stained with Hematoxylin.

Secondary antibody only control : Used PBS instead of primary antibody, secondary antibody is a ready to use Goat Anti-Rabbit IgG H&L (HRP).

Perform heat mediated antigen retrieval using ab93684 (Tris/EDTA buffer, pH 9.0).

This data was developed using the same antibody clone in a different buffer formulation containing PBS, BSA, glycerol, and sodium azide (ab212188).

関連する標識済み抗体及び組成の異なる製品 (1)

Key facts

宿主種

Rabbit

クローン性

Monoclonal

クローン番号

EPR21017-2

アイソタイプ

IgG1

キャリアフリー

Yes

交差種

Mouse, Rat, Human

アプリケーション

IHC-P, ICC/IF, Flow Cyt (Intra), WB

applications

免疫原

The exact immunogen used to generate this antibody is proprietary information.

Reactivity data

{ "title": "Reactivity Data", "filters": { "stats": ["", "Species", "Dilution Info", "Notes"], "tabs": { "all-applications": {"fullname" : "All Applications", "shortname": "All Applications"}, "WB" : {"fullname" : "Western blot", "shortname":"WB"}, "ICCIF" : {"fullname" : "Immunocytochemistry/ Immunofluorescence", "shortname":"ICC/IF"}, "FlowCytIntra" : {"fullname" : "Flow Cytometry (Intracellular)", "shortname":"Flow Cyt (Intra)"}, "IHCP" : {"fullname" : "Immunohistochemistry (Formalin/PFA-fixed paraffin-embedded sections)", "shortname":"IHC-P"} }, "product-promise": { "all": "all", "testedAndGuaranteed": "tested", "guaranteed": "expected", "predicted": "predicted", "notRecommended": "not-recommended" } }, "values": { "Human": { "WB-species-checked": "guaranteed", "WB-species-dilution-info": "", "WB-species-notes": "<p></p>", "ICCIF-species-checked": "guaranteed", "ICCIF-species-dilution-info": "", "ICCIF-species-notes": "<p>Human only.</p>", "FlowCytIntra-species-checked": "testedAndGuaranteed", "FlowCytIntra-species-dilution-info": "1/6000", "FlowCytIntra-species-notes": "<p>Human only.</p>", "IHCP-species-checked": "guaranteed", "IHCP-species-dilution-info": "", "IHCP-species-notes": "<p></p>" }, "Mouse": { "WB-species-checked": "guaranteed", "WB-species-dilution-info": "", "WB-species-notes": "<p></p>", "ICCIF-species-checked": "guaranteed", "ICCIF-species-dilution-info": "", "ICCIF-species-notes": "<p>Human only.</p>", "FlowCytIntra-species-checked": "guaranteed", "FlowCytIntra-species-dilution-info": "", "FlowCytIntra-species-notes": "", "IHCP-species-checked": "testedAndGuaranteed", "IHCP-species-dilution-info": "", "IHCP-species-notes": "<p></p>" }, "Rat": { "WB-species-checked": "guaranteed", "WB-species-dilution-info": "", "WB-species-notes": "<p></p>", "ICCIF-species-checked": "guaranteed", "ICCIF-species-dilution-info": "", "ICCIF-species-notes": "<p>Human only.</p>", "FlowCytIntra-species-checked": "predicted", "FlowCytIntra-species-dilution-info": "", "FlowCytIntra-species-notes": "", "IHCP-species-checked": "guaranteed", "IHCP-species-dilution-info": "", "IHCP-species-notes": "<p></p>" } } }

製品の詳細

ab228325 is the carrier-free version of ab212188.

Patented technology
Our RabMAb® technology is a patented hybridoma-based technology for making rabbit monoclonal antibodies. For details on our patents, please refer to RabMAb® patents.

What are the advantages of a recombinant monoclonal antibody?
This product is a recombinant monoclonal antibody, which offers several advantages including:

  • - High batch-to-batch consistency and reproducibility
  • - Improved sensitivity and specificity
  • - Long-term security of supply
  • - Animal-free batch production

For more information, read more on recombinant antibodies.

Conjugation ready
Our carrier-free antibodies are typically supplied in a PBS-only formulation, purified and free of BSA, sodium azide and glycerol. This conjugation-ready format is designed for use with fluorochromes, metal isotopes, oligonucleotides, and enzymes, which makes them ideal for antibody labelling, functional and cell-based assays, flow-based assays (e.g. mass cytometry) and Multiplex Imaging applications.

Use our conjugation kits for antibody conjugates that are ready-to-use in as little as 20 minutes with 1 minute hands-on-time and 100% antibody recovery: available for fluorescent dyes, HRP, biotin and gold.

Compatibility
This product is compatible with the Maxpar® Antibody Labeling Kit from Fluidigm, without the need for antibody preparation. Maxpar® is a trademark of Fluidigm Canada Inc.

出荷温度及び保存条件

製品の状態
Liquid
精製方法
Affinity purification Protein A
バッファー組成
pH: 7.2 - 7.4 Constituents: PBS
出荷温度
Blue Ice
短期保存温度
+4°C
長期保存温度
+4°C
保管に関する情報
Do Not Freeze

補足情報

This supplementary information is collated from multiple sources and compiled automatically.

MSH2 also known as MutS Homolog 2 is a human protein with a molecular weight of approximately 100 kDa. It is an important component of the DNA mismatch repair system and plays an essential role in maintaining genomic stability by recognizing and repairing mismatched nucleotides during DNA replication. Expression of the MSH2 protein occurs broadly in dividing cells across various tissues with notable presence in tissues with high proliferation rates such as the colon and the endometrium. Additionally detection and quantification of MSH2 are often performed using methodologies such as MSH2 ELISA which aids in the assessment of its expression levels in different biological samples.
Biological function summary

Components are identified in mismatch repair where MSH2 forms a heterodimer with MSH6 known as the MutSα complex or with MSH3 known as the MutSβ complex. This heterodimerization is critical for the initial steps in the recognition and binding of mismatch errors on the DNA strand. MSH2 complex formation enables it to scan the DNA for errors facilitating the recruitment of additional repair proteins. The activity of MSH2 in these complexes is important in preserving the fidelity of genetic information and prevents mutations that could lead to genomic instability.

Pathways

MSH2 operates within the DNA damage response and repair pathways. The protein is a core component of the mismatch repair pathway which corrects DNA replication errors that elude proofreading activity of DNA polymerases. It interacts with other proteins such as MLH1 and PMS2 forming a synergistic function that amplifies the capacity to recognize and initiate repair of mismatches. The pathway involving MSH2 not only repairs mismatched bases but also plays a role in cell cycle control checkpoints and apoptosis evidencing its pivotal role in maintaining cell cycle integrity.

Studies show that MSH2 is strongly associated with Lynch syndrome an autosomal dominant inherited condition that increases the risk of colorectal cancer. Mutations in the MSH2 gene impair its mismatch repair function and lead to microsatellite instability a hallmark of cancer cells in this disorder. Furthermore alterations in the MSH2 protein also relate to glioblastomas with correlations observed between MSH2 expression levels and tumor progression. These conditions exemplify the important role of MSH2 and its interaction with other DNA repair proteins in preventing cancerous developments.

製品プロトコール

For this product, it's our understanding that no specific protocols are required. You can visit:

ターゲットの情報

Component of the post-replicative DNA mismatch repair system (MMR). Forms two different heterodimers : MutS alpha (MSH2-MSH6 heterodimer) and MutS beta (MSH2-MSH3 heterodimer) which binds to DNA mismatches thereby initiating DNA repair. When bound, heterodimers bend the DNA helix and shields approximately 20 base pairs. MutS alpha recognizes single base mismatches and dinucleotide insertion-deletion loops (IDL) in the DNA. MutS beta recognizes larger insertion-deletion loops up to 13 nucleotides long. After mismatch binding, MutS alpha or beta forms a ternary complex with the MutL alpha heterodimer, which is thought to be responsible for directing the downstream MMR events, including strand discrimination, excision, and resynthesis. Recruits DNA helicase MCM9 to chromatin which unwinds the mismatch containing DNA strand (PubMed : 26300262). ATP binding and hydrolysis play a pivotal role in mismatch repair functions. The ATPase activity associated with MutS alpha regulates binding similar to a molecular switch : mismatched DNA provokes ADP-->ATP exchange, resulting in a discernible conformational transition that converts MutS alpha into a sliding clamp capable of hydrolysis-independent diffusion along the DNA backbone. This transition is crucial for mismatch repair. MutS alpha may also play a role in DNA homologous recombination repair. In melanocytes may modulate both UV-B-induced cell cycle regulation and apoptosis.
See full target information MSH2

文献 (1)

Recent publications for all applications. Explore the full list and refine your search

Frontiers in oncology 10:950 PubMed32612954

2020

Independent Prognostic Value of Intratumoral Heterogeneity and Immune Response Features by Automated Digital Immunohistochemistry Analysis in Early Hormone Receptor-Positive Breast Carcinoma.

Applications

Unspecified application

Species

Unspecified reactive species

Dovile Zilenaite,Allan Rasmusson,Renaldas Augulis,Justinas Besusparis,Aida Laurinaviciene,Benoit Plancoulaine,Valerijus Ostapenko,Arvydas Laurinavicius
View all publications

Abcam product promise

当社は、高品質な試薬を通じてお客様の研究を力強くサポートすることをお約束いたします。ご使用いただく各段階で、常にお客様をサポートできる体制を整えております。万が一、製品が期待通りに機能しない場合は、「Abcam Product Promise」による当社保証制度に基づき、安心してご利用いただけます。
保証に関する詳細については利用規約をご確認ください。

Please note: All products are 'FOR RESEARCH USE ONLY. NOT FOR USE IN DIAGNOSTIC OR THERAPEUTIC PROCEDURES'.

For licensing inquiries, please contact partnerships@abcam.com