JavaScript is disabled in your browser. Please enable JavaScript to view this website.
AB227941

Anti-MSH2 抗体 [EPR21017-123]

Anti-MSH2 antibody [EPR21017-123]

Be the first to review this product! Submit a review

|

(16 Publications)

Rabbit Recombinant Monoclonal MSH2 antibody. Suitable for IP, WB, ICC/IF, Flow Cyt (Intra), IHC-P and reacts with Human samples. Cited in 16 publications.

別名を表示する

DNA mismatch repair protein Msh2, hMSH2, MutS protein homolog 2, MSH2

9 Images
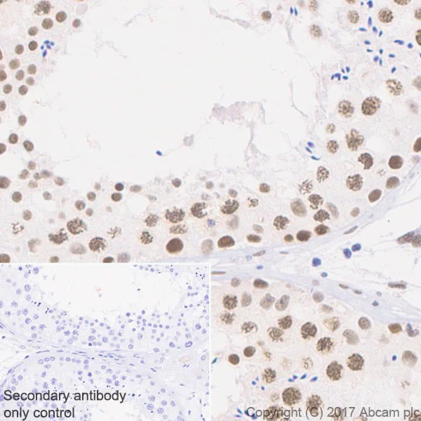
Immunohistochemistry (Formalin/PFA-fixed paraffin-embedded sections) - Anti-MSH2 antibody [EPR21017-123] (AB227941)
  • IHC-P

Supplier Data

Immunohistochemistry (Formalin/PFA-fixed paraffin-embedded sections) - Anti-MSH2 antibody [EPR21017-123] (AB227941)

Immunohistochemical analysis of paraffin-embedded human testis tissue labeling MSH2 with ab227941 at 1/8000 dilution, followed by a ready to use Goat Anti-Rabbit IgG H&L (HRP). Nuclear staining in human testis was observed (PMID : 10029069). Counter stained with Hematoxylin.

Secondary antibody only control : Used PBS instead of primary antibody, secondary antibody is a ready to use Goat Anti-Rabbit IgG H&L (HRP).

Perform heat mediated antigen retrieval using ab93684 (Tris/EDTA buffer, pH 9.0).

Flow Cytometry (Intracellular) - Anti-MSH2 antibody [EPR21017-123] (AB227941)
  • Flow Cyt (Intra)

Supplier Data

Flow Cytometry (Intracellular) - Anti-MSH2 antibody [EPR21017-123] (AB227941)

Intracellular flow cytometric analysis of 4% paraformaldehyde-fixed, 90% methanol-permeabilized A-375 (humanmalignant melanoma cell line) cell line labeling MSH2 with ab227941 at 1/600 dilution (red) compared with a Rabbit IgG, monoclonal [EPR25A] - Isotype Control (ab172730) (black) and an unlabeled control (cells without incubation with primary antibody and secondary antibody) (blue). Goat Anti-Rabbit IgG H&L (Alexa Fluor® 488) (ab150077) at 1/2000 dilution was used as the secondary antibody.

Flow Cytometry (Intracellular) - Anti-MSH2 antibody [EPR21017-123] (AB227941)
  • Flow Cyt (Intra)

Lab

Flow Cytometry (Intracellular) - Anti-MSH2 antibody [EPR21017-123] (AB227941)

Overlay histogram showing HAP1 wildtype (green line) and HAP1-MSH2 knockout cells (red line) stained with ab227941. The cells were fixed with 80% methanol (5 min) (left panel) or 4% formaldehyde (10 min) (right panel) , and then permeabilized with 0.1% PBS-Triton X-100 for 15 min. The cells were then incubated in 1x PBS / 10% normal goat serum to block non-specific protein-protein interactions followed by ab227941 for 30 min at 22°C. The secondary antibody used was Alexa Fluor® 488 goat anti-rabbit IgG (H&L) presorbed (ab150081) at 1/2000 dilution for 30 min at 22°C.

A rabbit IgG isotype control antibody (ab172730) was used at the same concentration and conditions as the primary antibody (HAP1 wildtype - black line, HAP1-MSH2 knockout - grey line). Unlabelled sample was also used as a control (this line is not shown for the purpose of simplicity).

Acquisition of >5,000 events were collected using a 50 mW Blue laser (488nm) and 530/30 bandpass filter.

Note : We recommend fixing cells using MeOHinstead of PFA toget optimal results.

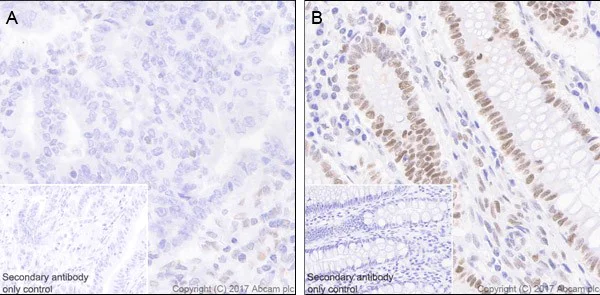
Immunohistochemistry (Formalin/PFA-fixed paraffin-embedded sections) - Anti-MSH2 antibody [EPR21017-123] (AB227941)
  • IHC-P

Supplier Data

Immunohistochemistry (Formalin/PFA-fixed paraffin-embedded sections) - Anti-MSH2 antibody [EPR21017-123] (AB227941)

Immunohistochemical analysis of paraffin-embedded human colon cancer tissue labeling MSH2 with ab227941 at 1/8000 dilution, followed by a ready to use Goat Anti-Rabbit IgG H&L (HRP). Nuclear staining in para-carcinoma colonic epithelium (image B) or stromal cells (both image A and B) and loss of expression in the paired colon cancer (image A) (PMID : 24710284). Counter stained with Hematoxylin.

Secondary antibody only control : Used PBS instead of primary antibody, secondary antibody is a ready to use Goat Anti-Rabbit IgG H&L (HRP).

Perform heat mediated antigen retrieval using ab93684 (Tris/EDTA buffer, pH 9.0).

Immunocytochemistry/ Immunofluorescence - Anti-MSH2 antibody [EPR21017-123] (AB227941)
  • ICC/IF

Supplier Data

Immunocytochemistry/ Immunofluorescence - Anti-MSH2 antibody [EPR21017-123] (AB227941)

Immunofluorescent analysis of 100% methanol-fixed A-375 (human malignant melanoma cell line) cells labeling MSH2 with ab227941 at 1/100 dilution, followed by Goat Anti-Rabbit IgG H&L (Alexa Fluor® 488) (ab150077) secondary antibody at 1/1000 dilution (green). Nuclear staining in A-375 cell line is shown.

The nuclear counter stain is DAPI (blue). Tubulin is detected with Anti-alpha Tubulin antibody [DM1A] - Microtubule Marker (Alexa Fluor® 594) (ab195889) (red) at 1/200 dilution.

Secondary antibody only control : Used PBS instead of primary antibody, secondary antibody is Goat Anti-Rabbit IgG H&L (Alexa Fluor® 488) (ab150077) secondary antibody at 1/1000 dilution.

Immunocytochemistry/ Immunofluorescence - Anti-MSH2 antibody [EPR21017-123] (AB227941)
  • ICC/IF

Supplier Data

Immunocytochemistry/ Immunofluorescence - Anti-MSH2 antibody [EPR21017-123] (AB227941)

Immunofluorescent analysis of 100% methanol-fixed A549 (human lung carcinoma cell line) cells labeling MSH2 with ab227941 at 1/100 dilution, followed by Goat Anti-Rabbit IgG H&L (Alexa Fluor® 488) (ab150077) secondary antibody at 1/1000 dilution (green). Nuclear staining in A549 cell line is shown.

The nuclear counter stain is DAPI (blue). Tubulin is detected with Anti-alpha Tubulin antibody [DM1A] - Microtubule Marker (Alexa Fluor® 594) (ab195889) (red) at 1/200 dilution.

Secondary antibody only control : Used PBS instead of primary antibody, secondary antibody is Goat Anti-Rabbit IgG H&L (Alexa Fluor® 488) (ab150077) secondary antibody at 1/1000 dilution.

Immunoprecipitation - Anti-MSH2 antibody [EPR21017-123] (AB227941)
  • IP

Unknown

Immunoprecipitation - Anti-MSH2 antibody [EPR21017-123] (AB227941)

MSH2 was immunoprecipitated from 0.35 mg of A-375 (human malignant melanoma cell line) lysate with ab227941 at 1/30 dilution. Western blot was performed from the immunoprecipitate using ab227941 at 1/1000 dilution. VeriBlot for IP Detection Reagent (HRP) (ab131366), was used for detection at 1/10000 dilution.

Lane 1 : A-375 whole cell lysate 10 μg (Input).

Lane 2 : ab227941 IP in A-375 whole cell lysate.

Lane 3 : Rabbit monoclonal IgG (ab172730) instead of ab227941 in A-375 whole cell lysate.

Exposure time : 1 second.

Blocking and dilution buffer concentration : 5% NFDM/TBST.

All lanes:

Immunoprecipitation - Anti-MSH2 antibody [EPR21017-123] (ab227941)

Predicted band size: 105 kDa

Observed band size: 105 kDa

true

Western blot - Anti-MSH2 antibody [EPR21017-123] (AB227941)
  • WB

Supplier Data

Western blot - Anti-MSH2 antibody [EPR21017-123] (AB227941)

Exposure times : Lane 1 : 100 seconds; Lane 2 : 3 minutes; Lane 3 : 10 seconds; Lane 4 : 1 minute; Lane 5 : 15 seconds.

Blocking/Dilution buffer : 5% NFDM/TBST.

The blot was developed on a BIO-RAD® ChemiDoc™ MP instrument.

All lanes:

Western blot - Anti-MSH2 antibody [EPR21017-123] (ab227941) at 1/1000 dilution

Lane 1:

HeLa (human epithelial cell line from cervix adenocarcinoma) whole cell lysate at 10 µg

Lane 2:

A549 (human lung carcinoma epithelial cell), whole cell lysate at 10 µg

Lane 3:

Human fetal heart lysate at 10 µg

Lane 4:

Human tonsil lysate at 10 µg

Lane 5:

A-375 (human malignant melanoma epithelial cell), whole cell lysate at 10 µg

Secondary

All lanes:

Western blot - Goat Anti-Rabbit IgG H&L (HRP) (<a href='/products/secondary-antibodies/goat-rabbit-igg-h-l-hrp-ab97051'>ab97051</a>) at 1/100000 dilution

Predicted band size: 105 kDa

Observed band size: 104 kDa

true

Western blot - Anti-MSH2 antibody [EPR21017-123] (AB227941)
  • WB

Lab

Western blot - Anti-MSH2 antibody [EPR21017-123] (AB227941)

Western blot : Anti-MSH2 antibody [EPR21017-123] (ab227941) staining at 1/1000 dilution, shown in green; Mouse anti-GAPDH antibody [6C5] (ab8245) loading control staining at 1/20000 dilution, shown in red. In Western blot, ab227941 was shown to bind specifically to MSH2. A band was observed at 104 kDa in wild-type HCT 116 cell lysates with no signal observed at this size in MSH2 knockout cell line. To generate this image, wild-type and MSH2 knockout HCT 116 cell lysates were analysed. First, samples were run on an SDS-PAGE gel then transferred onto a nitrocellulose membrane. Membranes were blocked in 5 % milk in TBS-0.1 % Tween® 20 (TBS-T) before incubation with primary antibodies overnight at 4 °C. Blots were washed four times in TBS-T, incubated with secondary antibodies for 1 h at room temperature, washed again four times then imaged. Secondary antibodies used were Goat anti-Rabbit IgG H&L 800CW and Goat anti-Mouse IgG H&L 680RD at 1/20000 dilution.

All lanes:

Western blot - Anti-MSH2 antibody [EPR21017-123] (ab227941) at 1/1000 dilution

Lane 1:

Wild-type HCT 116 cell lysate at 20 µg

Lane 2:

MSH2 knockout HCT 116 cell lysate at 20 µg

Lane 3:

A-375 cell lysate at 20 µg

Observed band size: 104 kDa

false

関連する標識済み抗体及び組成の異なる製品 (1)

  • Carrier free

    Anti-MSH2 antibody [EPR21017-123] - BSA and Azide free

Key facts

宿主種

Rabbit

クローン性

Monoclonal

クローン番号

EPR21017-123

アイソタイプ

IgG

キャリアフリー

No

交差種

Human

アプリケーション

ICC/IF, WB, IHC-P, IP, Flow Cyt (Intra)

applications

免疫原

The exact immunogen used to generate this antibody is proprietary information.

Reactivity data

{ "title": "Reactivity Data", "filters": { "stats": ["", "Species", "Dilution Info", "Notes"], "tabs": { "all-applications": {"fullname" : "All Applications", "shortname": "All Applications"}, "IP" : {"fullname" : "Immunoprecipitation", "shortname":"IP"}, "WB" : {"fullname" : "Western blot", "shortname":"WB"}, "ICCIF" : {"fullname" : "Immunocytochemistry/ Immunofluorescence", "shortname":"ICC/IF"}, "FlowCytIntra" : {"fullname" : "Flow Cytometry (Intracellular)", "shortname":"Flow Cyt (Intra)"}, "IHCP" : {"fullname" : "Immunohistochemistry (Formalin/PFA-fixed paraffin-embedded sections)", "shortname":"IHC-P"} }, "product-promise": { "all": "all", "testedAndGuaranteed": "tested", "guaranteed": "expected", "predicted": "predicted", "notRecommended": "not-recommended" } }, "values": { "Human": { "IP-species-checked": "testedAndGuaranteed", "IP-species-dilution-info": "1/30", "IP-species-notes": "<p></p>", "WB-species-checked": "testedAndGuaranteed", "WB-species-dilution-info": "1/1000", "WB-species-notes": "<p></p>", "ICCIF-species-checked": "testedAndGuaranteed", "ICCIF-species-dilution-info": "1/100", "ICCIF-species-notes": "<p></p>", "FlowCytIntra-species-checked": "testedAndGuaranteed", "FlowCytIntra-species-dilution-info": "1 µg/mL", "FlowCytIntra-species-notes": "<p>MeOH fixationis recommended</p>", "IHCP-species-checked": "testedAndGuaranteed", "IHCP-species-dilution-info": "1/8000", "IHCP-species-notes": "<p></p> Perform heat-mediated antigen retrieval with Tris/EDTA buffer pH 9.0 before commencing with IHC staining protocol." } } }

製品の詳細

To see more of the key markers and tools you need to study the hallmarks of cancer, including genome instability and mutation, please visit the following page.

Patented technology
Our RabMAb® technology is a patented hybridoma-based technology for making rabbit monoclonal antibodies. For details on our patents, please refer to RabMAb® patents.

What are the advantages of a recombinant monoclonal antibody?
This product is a recombinant monoclonal antibody, which offers several advantages including:

  • - High batch-to-batch consistency and reproducibility
  • - Improved sensitivity and specificity
  • - Long-term security of supply
  • - Animal-free batch production

For more information, read more on recombinant antibodies.

出荷温度及び保存条件

製品の状態
Liquid
精製方法
Affinity purification Protein A
バッファー組成
pH: 7.2 - 7.4 Preservative: 0.01% Sodium azide Constituents: PBS, 40% Glycerol (glycerin, glycerine), 0.05% BSA
出荷温度
Blue Ice
短期保存期間
1-2 weeks
短期保存温度
+4°C
長期保存温度
-20°C
分注に関する情報
Upon delivery aliquot
保管に関する情報
Avoid freeze / thaw cycle

補足情報

This supplementary information is collated from multiple sources and compiled automatically.

MSH2 also known as MutS Homolog 2 is a human protein with a molecular weight of approximately 100 kDa. It is an important component of the DNA mismatch repair system and plays an essential role in maintaining genomic stability by recognizing and repairing mismatched nucleotides during DNA replication. Expression of the MSH2 protein occurs broadly in dividing cells across various tissues with notable presence in tissues with high proliferation rates such as the colon and the endometrium. Additionally detection and quantification of MSH2 are often performed using methodologies such as MSH2 ELISA which aids in the assessment of its expression levels in different biological samples.
Biological function summary

Components are identified in mismatch repair where MSH2 forms a heterodimer with MSH6 known as the MutSα complex or with MSH3 known as the MutSβ complex. This heterodimerization is critical for the initial steps in the recognition and binding of mismatch errors on the DNA strand. MSH2 complex formation enables it to scan the DNA for errors facilitating the recruitment of additional repair proteins. The activity of MSH2 in these complexes is important in preserving the fidelity of genetic information and prevents mutations that could lead to genomic instability.

Pathways

MSH2 operates within the DNA damage response and repair pathways. The protein is a core component of the mismatch repair pathway which corrects DNA replication errors that elude proofreading activity of DNA polymerases. It interacts with other proteins such as MLH1 and PMS2 forming a synergistic function that amplifies the capacity to recognize and initiate repair of mismatches. The pathway involving MSH2 not only repairs mismatched bases but also plays a role in cell cycle control checkpoints and apoptosis evidencing its pivotal role in maintaining cell cycle integrity.

Studies show that MSH2 is strongly associated with Lynch syndrome an autosomal dominant inherited condition that increases the risk of colorectal cancer. Mutations in the MSH2 gene impair its mismatch repair function and lead to microsatellite instability a hallmark of cancer cells in this disorder. Furthermore alterations in the MSH2 protein also relate to glioblastomas with correlations observed between MSH2 expression levels and tumor progression. These conditions exemplify the important role of MSH2 and its interaction with other DNA repair proteins in preventing cancerous developments.

製品プロトコール

For this product, it's our understanding that no specific protocols are required. You can visit:

ターゲットの情報

Component of the post-replicative DNA mismatch repair system (MMR). Forms two different heterodimers : MutS alpha (MSH2-MSH6 heterodimer) and MutS beta (MSH2-MSH3 heterodimer) which binds to DNA mismatches thereby initiating DNA repair. When bound, heterodimers bend the DNA helix and shields approximately 20 base pairs. MutS alpha recognizes single base mismatches and dinucleotide insertion-deletion loops (IDL) in the DNA. MutS beta recognizes larger insertion-deletion loops up to 13 nucleotides long. After mismatch binding, MutS alpha or beta forms a ternary complex with the MutL alpha heterodimer, which is thought to be responsible for directing the downstream MMR events, including strand discrimination, excision, and resynthesis. Recruits DNA helicase MCM9 to chromatin which unwinds the mismatch containing DNA strand (PubMed : 26300262). ATP binding and hydrolysis play a pivotal role in mismatch repair functions. The ATPase activity associated with MutS alpha regulates binding similar to a molecular switch : mismatched DNA provokes ADP-->ATP exchange, resulting in a discernible conformational transition that converts MutS alpha into a sliding clamp capable of hydrolysis-independent diffusion along the DNA backbone. This transition is crucial for mismatch repair. MutS alpha may also play a role in DNA homologous recombination repair. In melanocytes may modulate both UV-B-induced cell cycle regulation and apoptosis.
See full target information MSH2

文献 (16)

Recent publications for all applications. Explore the full list and refine your search

Frontiers in cell and developmental biology 12:1510264 PubMed39830210

2025

Establishment and characterization of a sigmoid colon cancer organoid with spinal metastasis.

Applications

Unspecified application

Species

Unspecified reactive species

Jingyao Chen,Shumin Cheng,Liang Gu,Zhangsen Huang,Changhua Zhang,Chunhui Sun,Songyao Chen

Cancers 16: PubMed39123454

2024

Differential miRNA and Protein Expression Reveals miR-1285, Its Targets TGM2 and CDH-1, as Well as CD166 and S100A13 as Potential New Biomarkers in Patients with Diabetes Mellitus and Pancreatic Adenocarcinoma.

Applications

Unspecified application

Species

Unspecified reactive species

Theodoros Kolokotronis,Britta Majchrzak-Stiller,Marie Buchholz,Vanessa Mense,Johanna Strotmann,Ilka Peters,Lea Skrzypczyk,Sven-Thorsten Liffers,Louise Massia Menkene,Mathias Wagner,Matthias Glanemann,Fay Betsou,Wim Ammerlaan,Ronny Schmidt,Christoph Schröder,Waldemar Uhl,Chris Braumann,Philipp Höhn

Aging 16:9692-9708 PubMed38843391

2024

Prognostic and therapeutic roles of in cutaneous melanoma.

Applications

Unspecified application

Species

Unspecified reactive species

Jiani Xiong,Liping Zhu,Yunrong Fu,Zhoujie Ye,Cuimin Deng,Xinrui Wang,Yu Chen

EBioMedicine 103:105142 PubMed38691939

2024

Microsatellite instability in mismatch repair proficient colorectal cancer: clinical features and underlying molecular mechanisms.

Applications

Unspecified application

Species

Unspecified reactive species

Yun Xu,Kai Liu,Cong Li,Minghan Li,Xiaoyan Zhou,Menghong Sun,Liying Zhang,Sheng Wang,Fangqi Liu,Ye Xu

Cell reports. Medicine 4:100883 PubMed36630951

2023

Inherited mutations in Chinese patients with upper tract urothelial carcinoma.

Applications

Unspecified application

Species

Unspecified reactive species

Junlong Wu,Shengming Jin,Chengyuan Gu,Yu Wei,Yao Zhu,Andrea Necchi,Shahrokh F Shariat,Jian Pan,Hualei Gan,Bo Dai,Hailiang Zhang,Guohai Shi,Yu Zhu,Yijun Shen,Yiping Zhu,Dingwei Ye

Frontiers in oncology 12:1012168 PubMed36387191

2022

Clinicopathological characteristics and loss of mismatch repair protein expression in Chinese upper tract urothelial carcinomas.

Applications

Unspecified application

Species

Unspecified reactive species

Zhi Shang,Shengming Jin,Wenwen Wang,Yu Wei,Chengyuan Gu,Chen Yang,Yu Zhu,Yao Zhu,Yijun Shen,Junlong Wu,Dingwei Ye

Current oncology (Toronto, Ont.) 29:4315-4331 PubMed35735454

2022

A 3-miRNA Signature Enables Risk Stratification in Glioblastoma Multiforme Patients with Different Clinical Outcomes.

Applications

Unspecified application

Species

Unspecified reactive species

Vivi Bafiti,Sotiris Ouzounis,Constantina Chalikiopoulou,Eftychia Grigorakou,Ioanna Maria Grypari,Gregory Gregoriou,Andreas Theofanopoulos,Vasilios Panagiotopoulos,Evangelia Prodromidi,Dionisis Cavouras,Vasiliki Zolota,Dimitrios Kardamakis,Theodora Katsila

The EMBO journal 41:e109324 PubMed35471583

2022

C-terminal deletion-induced condensation sequesters AID from IgH targets in immunodeficiency.

Applications

Unspecified application

Species

Unspecified reactive species

Xia Xie,Tingting Gan,Bing Rao,Weiwei Zhang,Rohit A Panchakshari,Dingpeng Yang,Xiong Ji,Yu Cao,Frederick W Alt,Fei-Long Meng,Jiazhi Hu

Medical science monitor : international medical journal of experimental and clinical research 28:e934493 PubMed35322001

2022

Efficacy of PD-1 Inhibitor Combined with Bevacizumab in Treatment of Advanced Endometrial Cancer Patients with Mismatch Repair Deficiency (dMMR)/High-Level Microsatellite Instability (MSI-H).

Applications

Unspecified application

Species

Unspecified reactive species

Ying Liao,Changhua Zhu,Xiaoxia Song,Jiugen Ruan,Yao Ding,Yuan Chen,Qiujuan Yang

Diagnostics (Basel, Switzerland) 12: PubMed35204378

2022

Clinicopathological Significance of Exosomal Proteins CD9 and CD63 and DNA Mismatch Repair Proteins in Prostate Adenocarcinoma and Benign Hyperplasia.

Applications

Unspecified application

Species

Unspecified reactive species

Kristofs Folkmanis,Elizabete Junk,Evelina Merdane,Inese Folkmane,Valdis Folkmanis,Igors Ivanovs,Janis Eglitis,Maris Jakubovskis,Sven Laabs,Sergejs Isajevs,Vilnis Lietuvietis
View all publications

Abcam product promise

当社は、高品質な試薬を通じてお客様の研究を力強くサポートすることをお約束いたします。ご使用いただく各段階で、常にお客様をサポートできる体制を整えております。万が一、製品が期待通りに機能しない場合は、「Abcam Product Promise」による当社保証制度に基づき、安心してご利用いただけます。
保証に関する詳細については利用規約をご確認ください。

Please note: All products are 'FOR RESEARCH USE ONLY. NOT FOR USE IN DIAGNOSTIC OR THERAPEUTIC PROCEDURES'.

For licensing inquiries, please contact partnerships@abcam.com