JavaScript is disabled in your browser. Please enable JavaScript to view this website.
AB137070

Anti-MRPS15 抗体 [EPR9361]

Anti-MRPS15 antibody [EPR9361]

Be the first to review this product! Submit a review

|

(5 Publications)

Rabbit Recombinant Monoclonal MRPS15 antibody. Suitable for IHC-P, WB, ICC/IF and reacts with Human samples. Cited in 5 publications.

別名を表示する

RPMS15, DC37, MRPS15, Small ribosomal subunit protein uS15m, MRP-S15, S15mt

4 Images
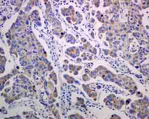
Immunohistochemistry (Formalin/PFA-fixed paraffin-embedded sections) - Anti-MRPS15 antibody [EPR9361] (AB137070)
  • IHC-P

Unknown

Immunohistochemistry (Formalin/PFA-fixed paraffin-embedded sections) - Anti-MRPS15 antibody [EPR9361] (AB137070)

Immunohistochemical analysis of paraffin-embedded Human breast carcinoma tissue labelling MRPS15 with ab137070 at 1/100 dilution.

Perform heat mediated antigen retrieval with citrate buffer pH 6 before commencing with IHC staining protocol.

Immunocytochemistry/ Immunofluorescence - Anti-MRPS15 antibody [EPR9361] (AB137070)
  • ICC/IF

Unknown

Immunocytochemistry/ Immunofluorescence - Anti-MRPS15 antibody [EPR9361] (AB137070)

Immunofluorescent analysis of HeLa cells labelling MRPS15 with ab137070 at 1/250 dilution.

Immunocytochemistry/ Immunofluorescence - Anti-MRPS15 antibody [EPR9361] (AB137070)
  • ICC/IF

Unknown

Immunocytochemistry/ Immunofluorescence - Anti-MRPS15 antibody [EPR9361] (AB137070)

Immunofluorescent analysis of U-87 MG cells labelling MRPS15 with ab137070 at 1/250 dilution.

Western blot - Anti-MRPS15 antibody [EPR9361] (AB137070)
  • WB

Unknown

Western blot - Anti-MRPS15 antibody [EPR9361] (AB137070)

All lanes:

Western blot - Anti-MRPS15 antibody [EPR9361] (ab137070) at 1/1000 dilution

Lane 1:

U-87 MG cell lysate at 10 µg

Lane 2:

Raji cell lysate at 10 µg

Lane 3:

HeLa cell lysate at 10 µg

Secondary

All lanes:

Goat anti-rabbit HRP conjugated at 1/2000 dilution

Predicted band size: 30 kDa

true

関連する標識済み抗体及び組成の異なる製品 (1)

  • Carrier free

    Anti-MRPS15 antibody [EPR9361] - BSA and Azide free

Key facts

宿主種

Rabbit

クローン性

Monoclonal

クローン番号

EPR9361

アイソタイプ

IgG

キャリアフリー

No

交差種

Human

アプリケーション

IHC-P, WB, ICC/IF

applications

免疫原

The exact immunogen used to generate this antibody is proprietary information.

Reactivity data

{ "title": "Reactivity Data", "filters": { "stats": ["", "Species", "Dilution Info", "Notes"], "tabs": { "all-applications": {"fullname" : "All Applications", "shortname": "All Applications"}, "IHCP" : {"fullname" : "Immunohistochemistry (Formalin/PFA-fixed paraffin-embedded sections)", "shortname":"IHC-P"}, "IP" : {"fullname" : "Immunoprecipitation", "shortname":"IP"}, "FlowCyt" : {"fullname" : "Flow Cytometry", "shortname":"Flow Cyt"}, "WB" : {"fullname" : "Western blot", "shortname":"WB"}, "ICCIF" : {"fullname" : "Immunocytochemistry/ Immunofluorescence", "shortname":"ICC/IF"} }, "product-promise": { "all": "all", "testedAndGuaranteed": "tested", "guaranteed": "expected", "predicted": "predicted", "notRecommended": "not-recommended" } }, "values": { "Human": { "IHCP-species-checked": "testedAndGuaranteed", "IHCP-species-dilution-info": "1/100 - 1/250", "IHCP-species-notes": "<p></p>", "IP-species-checked": "notRecommended", "IP-species-dilution-info": "", "IP-species-notes": "<p></p>", "FlowCyt-species-checked": "notRecommended", "FlowCyt-species-dilution-info": "", "FlowCyt-species-notes": "<p></p>", "WB-species-checked": "testedAndGuaranteed", "WB-species-dilution-info": "1/1000 - 1/10000", "WB-species-notes": "<p></p>", "ICCIF-species-checked": "testedAndGuaranteed", "ICCIF-species-dilution-info": "1/250 - 1/500", "ICCIF-species-notes": "<p></p>" } } }

製品の詳細

Species reactivity
Mouse, Rat: We have preliminary internal testing data to indicate this antibody may not react with these species.
Please contact us for more information.

Patented technology
Our RabMAb® technology is a patented hybridoma-based technology for making rabbit monoclonal antibodies. For details on our patents, please refer to RabMAb® patents.

What are the advantages of a recombinant monoclonal antibody?
This product is a recombinant monoclonal antibody, which offers several advantages including:

  • - High batch-to-batch consistency and reproducibility
  • - Improved sensitivity and specificity
  • - Long-term security of supply
  • - Animal-free batch production

For more information, read more on recombinant antibodies.

出荷温度及び保存条件

製品の状態
Liquid
精製方法
Affinity purification Protein A
バッファー組成
pH: 7.2 - 7.4 Preservative: 0.01% Sodium azide Constituents: PBS, 50% Tissue culture supernatant, 40% Glycerol (glycerin, glycerine), 0.05% BSA
出荷温度
Blue Ice
短期保存期間
1-2 weeks
短期保存温度
+4°C
長期保存温度
-20°C
分注に関する情報
Upon delivery aliquot
保管に関する情報
Avoid freeze / thaw cycle

補足情報

This supplementary information is collated from multiple sources and compiled automatically.

MRPS15 also known as 28S ribosomal protein S15 is a component of the mitochondrial ribosome small subunit. It has a mass of approximately 16 kilodaltons. MRPS15 functions as a structural protein and plays a role in ribosome assembly and maintenance. Expression of MRPS15 is mainly located within mitochondria where it participates in mitochondrial protein synthesis.
Biological function summary

The MRPS15 protein resides within the small subunit of the mitochondrial ribosome contributing to the assembly of the ribosomal architecture essential for mitochondrial translation. MRPS15 as part of the mitoribosome facilitates the production of proteins encoded by mitochondrial DNA which are necessary for the oxidative phosphorylation pathway. Mitochondrial ribosomes differ from their prokaryotic counterparts by their higher protein-to-rRNA ratio and the absence of a 5S rRNA highlighting MRPS15’s role in this specialized organelle.

Pathways

MRPS15 is integral to the mitochondrial translation process directly affecting the oxidative phosphorylation pathway. This pathway produces ATP through the electron transport chain essential for cellular energy metabolism. MRPS15 associates with other mitochondrial ribosomal proteins in this pathway to ensure efficient mitochondrial protein synthesis and energy production. It exhibits functional associations with other mitoribosomal proteins like MRPL12 which regulate the translation of mitochondrial-encoded proteins.

Mutations and dysregulation of MRPS15 have been connected to mitochondrial diseases which are often characterized by impaired energy production. Diseases such as mitochondrial complex I deficiency arise from defects in mitochondrial translation involving MRPS15. Mutations can disrupt MRPS15’s role in protein synthesis within mitochondria leading to dysfunctional energy metabolism. These defects may involve interactions with other mitochondrial proteins like NDUFV1 linking them to associated disorders.

製品プロトコール

For this product, it's our understanding that no specific protocols are required. You can visit:

ターゲットの情報

See full target information MRPS15

文献 (5)

Recent publications for all applications. Explore the full list and refine your search

International journal of molecular sciences 25: PubMed38542224

2024

Mitochondrial Ribosomal Protein MRPS15 Is a Component of Cytosolic Ribosomes and Regulates Translation in Stressed Cardiomyocytes.

Applications

Unspecified application

Species

Unspecified reactive species

Florian David,Emilie Roussel,Carine Froment,Tangra Draia-Nicolau,Françoise Pujol,Odile Burlet-Schiltz,Anthony K Henras,Eric Lacazette,Florent Morfoisse,Florence Tatin,Jean-Jacques Diaz,Frédéric Catez,Barbara Garmy-Susini,Anne-Catherine Prats

Cells 11: PubMed35805162

2022

Mitoribosomal Deregulation Drives Senescence via TPP1-Mediated Telomere Deprotection.

Applications

Unspecified application

Species

Unspecified reactive species

Seongki Min,So Mee Kwon,Jiwon Hong,Young-Kyoung Lee,Tae Jun Park,Su Bin Lim,Gyesoon Yoon

Cell death & disease 12:1076 PubMed34772924

2021

MRPS31 loss is a key driver of mitochondrial deregulation and hepatocellular carcinoma aggressiveness.

Applications

WB

Species

Human

Seongki Min,Young-Kyoung Lee,Jiwon Hong,Tae Jun Park,Hyun Goo Woo,So Mee Kwon,Gyesoon Yoon

Cancer cell international 21:136 PubMed33632224

2021

Human drug efflux transporter ABCC5 confers acquired resistance to pemetrexed in breast cancer.

Applications

Unspecified application

Species

Unspecified reactive species

Jihui Chen,Zhipeng Wang,Shouhong Gao,Kejin Wu,Fang Bai,Qiqiang Zhang,Hongyu Wang,Qin Ye,Fengjing Xu,Hong Sun,Yunshu Lu,Yan Liu

The Journal of biological chemistry 292:20208-20217 PubMed28978646

2017

Lactate-mediated mitoribosomal defects impair mitochondrial oxidative phosphorylation and promote hepatoma cell invasiveness.

Applications

Unspecified application

Species

Unspecified reactive species

Young-Kyoung Lee,Jin J Lim,Un-Woo Jeoun,Seongki Min,Eun-Beom Lee,So Mee Kwon,Changhan Lee,Gyesoon Yoon
View all publications

Abcam product promise

当社は、高品質な試薬を通じてお客様の研究を力強くサポートすることをお約束いたします。ご使用いただく各段階で、常にお客様をサポートできる体制を整えております。万が一、製品が期待通りに機能しない場合は、「Abcam Product Promise」による当社保証制度に基づき、安心してご利用いただけます。
保証に関する詳細については利用規約をご確認ください。

Please note: All products are 'FOR RESEARCH USE ONLY. NOT FOR USE IN DIAGNOSTIC OR THERAPEUTIC PROCEDURES'.

For licensing inquiries, please contact partnerships@abcam.com