JavaScript is disabled in your browser. Please enable JavaScript to view this website.
AB15602

Anti-MRP4 抗体 [M4I-10]

Anti-MRP4 antibody [M4I-10]

0

(1 Review)

|

(44 Publications)

Rat Monoclonal MRP4 antibody. Suitable for IHC-P, WB and reacts with Human, Mouse samples. Cited in 44 publications. Immunogen corresponding to Recombinant Fragment Protein within Human ABCC4 aa 350-450.

別名を表示する

MOATB, MRP4, ABCC4, ATP-binding cassette sub-family C member 4, MRP/cMOAT-related ABC transporter, Multi-specific organic anion transporter B, Multidrug resistance-associated protein 4, MOAT-B

2 Images
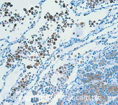
Immunohistochemistry (Formalin/PFA-fixed paraffin-embedded sections) - Anti-MRP4 antibody [M4I-10] (AB15602)
  • IHC-P

Unknown

Immunohistochemistry (Formalin/PFA-fixed paraffin-embedded sections) - Anti-MRP4 antibody [M4I-10] (AB15602)

HC image of MRP4 staining in Human lung adenocarcinoma formalin fixed paraffin embedded tissue section, performed on a Leica Bond™ system using the standard protocol B. The section was pre-treated using heat mediated antigen retrieval with sodium citrate buffer (pH6, epitope retrieval solution 1) for 20 mins. The section was then incubated with ab15602, 10μg/ml, for 15 mins at room temperature. A Goat anti-Rat biotinylated secondary antibody (ab253031) was used to detect the primary, and visualized using an HRP conjugated ABC system. DAB was used as the chromogen. The section was then counterstained with haematoxylin and mounted with DPX.

For other IHC staining systems (automated and non-automated) customers should optimize variable parameters such as antigen retrieval conditions, primary antibody concentration and antibody incubation times.

Western blot - Anti-MRP4 antibody [M4I-10] (AB15602)
  • WB

Lab

Western blot - Anti-MRP4 antibody [M4I-10] (AB15602)

Lanes 1 - 2 : Merged signal (red and green). Green - ab15602 observed at 200-250 kDa. Red - loading control, ab176560, observed at 50 kDa.

ab15602 was shown to specifically react with MRP4 in wild-type HAP1 cells as signal was lost in ABCC4 (MRP4) knockout cells. Wild-type and ABCC4 (MRP4) knockout samples were subjected to SDS-PAGE. ab15602 and ab176560 (Rabbit anti-alpha Tubulin loading control) were incubated overnight at 4°C at 20 μg/ml and 1/20000 dilution respectively. Blots were developed with Goat anti-Rat IgG H&L (IRDye® 800CW) (ab253031) and Goat anti-Rabbit IgG H&L (IRDye® 680RD) preabsorbed ab216777 secondary antibodies at 1/20000 dilution for 1 hour at room temperature before imaging.

All lanes:

Western blot - Anti-MRP4 antibody [M4I-10] (ab15602) at 20 µg/mL

Lane 1:

Wild-type HAP1 whole cell lysate at 20 µg

Lane 2:

ABCC4 (MRP4) knockout HAP1 whole cell lysate at 20 µg

Predicted band size: 150 kDa

false

Key facts

宿主種

Rat

クローン性

Monoclonal

クローン番号

M4I-10

アイソタイプ

IgG2a

キャリアフリー

No

交差種

Mouse, Human

アプリケーション

IHC-P, WB

applications

免疫原

Recombinant Fragment Protein within Human ABCC4 aa 350-450. The exact immunogen used to generate this antibody is proprietary information.

O15439

Reactivity data

{ "title": "Reactivity Data", "filters": { "stats": ["", "Species", "Dilution Info", "Notes"], "tabs": { "all-applications": {"fullname" : "All Applications", "shortname": "All Applications"}, "IHCP" : {"fullname" : "Immunohistochemistry (Formalin/PFA-fixed paraffin-embedded sections)", "shortname":"IHC-P"}, "WB" : {"fullname" : "Western blot", "shortname":"WB"} }, "product-promise": { "all": "all", "testedAndGuaranteed": "tested", "guaranteed": "expected", "predicted": "predicted", "notRecommended": "not-recommended" } }, "values": { "Human": { "IHCP-species-checked": "testedAndGuaranteed", "IHCP-species-dilution-info": "10 µg/mL", "IHCP-species-notes": "<p></p> Perform heat-mediated antigen retrieval with citrate buffer pH 6 before commencing with IHC staining protocol.", "WB-species-checked": "testedAndGuaranteed", "WB-species-dilution-info": "1/2000", "WB-species-notes": "<p></p>" }, "Mouse": { "IHCP-species-checked": "guaranteed", "IHCP-species-dilution-info": "10 µg/mL", "IHCP-species-notes": "<p></p> Perform heat-mediated antigen retrieval with citrate buffer pH 6 before commencing with IHC staining protocol.", "WB-species-checked": "guaranteed", "WB-species-dilution-info": "1/2000", "WB-species-notes": "<p></p>" } } }

出荷温度及び保存条件

製品の状態
Liquid
精製度
Tissue culture supernatant
バッファー組成
pH: 7.3 Preservative: 0.02% Sodium azide Constituents: PBS, 0.1% BSA
出荷温度
Blue Ice
短期保存期間
1-2 weeks
短期保存温度
+4°C
長期保存温度
-20°C
分注に関する情報
Upon delivery aliquot
保管に関する情報
Avoid freeze / thaw cycle

補足情報

This supplementary information is collated from multiple sources and compiled automatically.

The MRP4 protein also known as Multidrug Resistance Protein 4 or ABCC4 is an ATP-binding cassette transporter with a mass of approximately 150 kDa. This protein is expressed in various tissues including the liver kidney and brain. It plays a mechanical role by transporting organic anions drugs and other xenobiotic compounds across cellular membranes. MRP4 is part of the wider ATP-binding cassette (ABC) transporter family which actively pumps substrates against concentration gradients using ATP hydrolysis.
Biological function summary

MRP4 impacts processes like pharmacokinetics and drug metabolism. The protein contributes to the efflux of endogenous substrates and medication from cells affecting their absorption and excretion. MRP4 also functions as part of a larger transporter complex working with other similar proteins to manage cellular detoxification systems. The MRP4 transporter maintains cellular homeostasis by removing harmful substances supporting cellular defense mechanisms against xenobiotic and endogenous compounds.

Pathways

MRP4 integrates into cellular processes such as prostaglandin and cyclic nucleotide signaling pathways. These pathways are important in regulating inflammatory responses and cardiovascular functions. MRP4 interacts with other proteins including MRP1 and MRP5 which facilitate the movement of similar substrates providing flexibility and redundancy within cellular transport systems. This involvement enables MRP4 to modulate biological effects via alteration in prostaglandin levels.

MRP4 connects to conditions such as cancer and viral infections. Elevated expression of MRP4 can lead to drug resistance in cancer therapy complicating treatment strategies. In viral infections MRP4 modulates the availability of nucleoside analogs used in antiviral therapies. The protein's role aligns with other transporters like P-glycoprotein showcasing its involvement in the multidrug resistance phenotype. Consequently understanding MRP4's function can aid in the development of new therapeutic approaches targeting these disorders.

製品プロトコール

For this product, it's our understanding that no specific protocols are required. You can visit:

ターゲットの情報

ATP-dependent transporter of the ATP-binding cassette (ABC) family that actively extrudes physiological compounds and xenobiotics from cells. Transports a range of endogenous molecules that have a key role in cellular communication and signaling, including cyclic nucleotides such as cyclic AMP (cAMP) and cyclic GMP (cGMP), bile acids, steroid conjugates, urate, and prostaglandins (PubMed : 11856762, PubMed : 12523936, PubMed : 12835412, PubMed : 12883481, PubMed : 15364914, PubMed : 15454390, PubMed : 16282361, PubMed : 17959747, PubMed : 18300232, PubMed : 26721430). Mediates the ATP-dependent efflux of glutathione conjugates such as leukotriene C4 (LTC4) and leukotriene B4 (LTB4) too. The presence of GSH is necessary for the ATP-dependent transport of LTB4, whereas GSH is not required for the transport of LTC4 (PubMed : 17959747). Mediates the cotransport of bile acids with reduced glutathione (GSH) (PubMed : 12523936, PubMed : 12883481, PubMed : 16282361). Transports a wide range of drugs and their metabolites, including anticancer, antiviral and antibiotics molecules (PubMed : 11856762, PubMed : 12105214, PubMed : 15454390, PubMed : 17344354, PubMed : 18300232). Confers resistance to anticancer agents such as methotrexate (PubMed : 11106685).
See full target information ABCC4

文献 (44)

Recent publications for all applications. Explore the full list and refine your search

Communications biology 8:1414 PubMed41038958

2025

ABCC4 impairs the clearance of plasma LDL cholesterol through suppressing LDLR expression in the liver.

Applications

Unspecified application

Species

Unspecified reactive species

Jiaxin Chen,Hui Huang,Chi Chen,Guofang Xia,Hao Huang,Yan Xiong,Peng Luo,Yu Chen,Jinsong Li,Liang Wen,Lu Li,Jing Lin,Guangre Xu,Chenzhang Ji,Wenjie Tian,Jin Zhou,Peng Wei,Chengxing Shen,Xiaoqing Wang

Cell & bioscience 15:39 PubMed40148998

2025

Structural basis of human ABCC4 recognition of cAMP and ligand recognition flexibility.

Applications

Unspecified application

Species

Unspecified reactive species

Xuepeng Wen,Kaixue Si,Dantong Zhu,Anqi Zhang,Changyou Guo,Minghui Li,Weiming Tian

Pharmaceuticals (Basel, Switzerland) 18: PubMed40006002

2025

Aging Reduces ATP-Binding Cassette Transporter Expression in Brain Microvessels of Mice.

Applications

Unspecified application

Species

Unspecified reactive species

Yukiyo Wada,Masaki Inoko,Kanako Ishihara,Karin Fukumoto,Yuya Tsurudome,Michiko Horiguchi,Akio Fujimura,Kentaro Ushijima

Drug metabolism and disposition: the biological fate of chemicals 52:1417-1428 PubMed39313329

2024

Differential Selectivity of Human and Mouse ABCC4/Abcc4 for Arsenic Metabolites.

Applications

Unspecified application

Species

Unspecified reactive species

Brayden D Whitlock,Yingze Ma,Gwenaëlle Conseil,Alicia R O'Brien,Mayukh Banerjee,Diane P Swanlund,Z Ping Lin,Yao Wang,X Chris Le,John D Schuetz,Susan P C Cole,Elaine M Leslie

Molecular biology reports 49:11881-11890 PubMed36224445

2022

Decreased ZO1 expression causes loss of time-dependent tight junction function in the liver of ob/ob mice.

Applications

Unspecified application

Species

Unspecified reactive species

Yuya Tsurudome,Nao Morita,Michiko Horiguchi,Kentaro Ushijima

The Journal of biological chemistry 298:102184 PubMed35753353

2022

RNA editing enzyme ADAR1 controls miR-381-3p-mediated expression of multidrug resistance protein MRP4 via regulation of circRNA in human renal cells.

Applications

Unspecified application

Species

Unspecified reactive species

Yuji Omata,Maseri Okawa,Mai Haraguchi,Akito Tsuruta,Naoya Matsunaga,Satoru Koyanagi,Shigehiro Ohdo

British journal of pharmacology 179:2443-2459 PubMed34131904

2021

Multidrug resistance proteins preferentially regulate natriuretic peptide-driven cGMP signalling in the heart and vasculature.

Applications

Unspecified application

Species

Unspecified reactive species

Robert M H Grange,Michael E J Preedy,Aniruthan Renukanthan,Joshua P Dignam,Vanessa J Lowe,Amie J Moyes,Cristina Pérez-Ternero,Aisah A Aubdool,Reshma S Baliga,Adrian J Hobbs

JCI insight 6: PubMed33491671

2021

Nrf2 overexpression rescues the RPE in mouse models of retinitis pigmentosa.

Applications

Unspecified application

Species

Unspecified reactive species

David M Wu,Xuke Ji,Maryna V Ivanchenko,Michelle Chung,Mary Piper,Parimal Rana,Sean K Wang,Yunlu Xue,Emma West,Sophia R Zhao,Hongbin Xu,Marcelo Cicconet,Wenjun Xiong,Constance L Cepko

Scientific reports 11:904 PubMed33441643

2021

Modulation of cAMP metabolism for CFTR potentiation in human airway epithelial cells.

Applications

Unspecified application

Species

Unspecified reactive species

Jenny P Nguyen,Matthew Bianca,Ryan D Huff,Nicholas Tiessen,Mark D Inman,Jeremy A Hirota

Scientific reports 10:13484 PubMed32778717

2020

Diurnal expression of MRP4 in bone marrow cells underlies the dosing-time dependent changes in the oxaliplatin-induced myelotoxicity.

Applications

Unspecified application

Species

Unspecified reactive species

Mizuki Kato,Yuya Tsurudome,Takumi Kanemitsu,Sai Yasukochi,Yuki Kanado,Takashi Ogino,Naoya Matsunaga,Satoru Koyanagi,Shigehiro Ohdo
View all publications

Abcam product promise

当社は、高品質な試薬を通じてお客様の研究を力強くサポートすることをお約束いたします。ご使用いただく各段階で、常にお客様をサポートできる体制を整えております。万が一、製品が期待通りに機能しない場合は、「Abcam Product Promise」による当社保証制度に基づき、安心してご利用いただけます。
保証に関する詳細については利用規約をご確認ください。

Please note: All products are 'FOR RESEARCH USE ONLY. NOT FOR USE IN DIAGNOSTIC OR THERAPEUTIC PROCEDURES'.

For licensing inquiries, please contact partnerships@abcam.com