JavaScript is disabled in your browser. Please enable JavaScript to view this website.
AB137778

Anti-Monoamine Oxidase B/MAOB 抗体

Anti-Monoamine Oxidase B/MAOB antibody

Be the first to review this product! Submit a review

|

(9 Publications)

Rabbit Polyclonal Monoamine Oxidase B/MAOB antibody. Suitable for ELISA, ICC/IF, IHC-P, WB and reacts with Recombinant fragment, Human, Mouse samples. Cited in 9 publications. Immunogen corresponding to Recombinant Fragment Protein within Human MAOB aa 150 to C-terminus.

別名を表示する

Amine oxidase [flavin-containing] B, Monoamine oxidase type B, MAO-B, MAOB

5 Images
Immunocytochemistry/ Immunofluorescence - Anti-Monoamine Oxidase B/MAOB antibody (AB137778)
  • ICC/IF

Supplier Data

Immunocytochemistry/ Immunofluorescence - Anti-Monoamine Oxidase B/MAOB antibody (AB137778)

Immunofluorescence analysis of HepG2 cells fixed in ice-cold MeOH for 5 min labelling Monoamine Oxidase B protein at mitochondria using ab137778 at a 1/500 dilution (Green). Hoechst 33342 was used for nuclear staining (Blue).

ELISA - Anti-Monoamine Oxidase B/MAOB antibody (AB137778)
  • ELISA

Supplier Data

ELISA - Anti-Monoamine Oxidase B/MAOB antibody (AB137778)

ELISA detection of MAOB using ab137778 for capture at a concentration of 2.5 µg/mL.

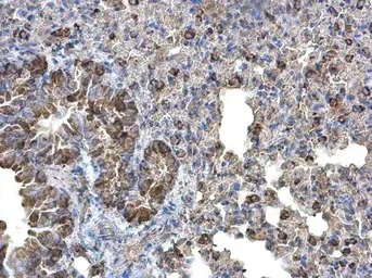
Immunohistochemistry (Formalin/PFA-fixed paraffin-embedded sections) - Anti-Monoamine Oxidase B/MAOB antibody (AB137778)
  • IHC-P

Supplier Data

Immunohistochemistry (Formalin/PFA-fixed paraffin-embedded sections) - Anti-Monoamine Oxidase B/MAOB antibody (AB137778)

Immunohistochemical analysis of paraffin-embedded mouse lung tissue stained for Monoamine Oxidase B protein at cytoplasm on mouse lung with ab137778 at a 1/500 dilution.

Antigen retrieval : Trilogy™ (EDTA based, pH 8.0) buffer, 15min.

Western blot - Anti-Monoamine Oxidase B/MAOB antibody (AB137778)
  • WB

Supplier Data

Western blot - Anti-Monoamine Oxidase B/MAOB antibody (AB137778)

Samples were separated by 10 % SDS.

All lanes:

Western blot - Anti-Monoamine Oxidase B/MAOB antibody (ab137778) at 1/3000 dilution

Lane 1:

HepG2 whole cell extract at 8.1 µg

Lane 2:

HepG2 mitochondria extracts at 8.1 µg

Secondary

All lanes:

HRP-conjugated anti-rabbit IgG antibody

Predicted band size: 59 kDa

false

Western blot - Anti-Monoamine Oxidase B/MAOB antibody (AB137778)
  • WB

Supplier Data

Western blot - Anti-Monoamine Oxidase B/MAOB antibody (AB137778)

Samples were separated by 7.5 % SDS.

All lanes:

Western blot - Anti-Monoamine Oxidase B/MAOB antibody (ab137778) at 1/1000 dilution

All lanes:

Mouse liver tissue extract at 50 µg

Secondary

All lanes:

HRP-conjugated anti-rabbit IgG antibody

Predicted band size: 59 kDa

false

Key facts

宿主種

Rabbit

クローン性

Polyclonal

アイソタイプ

IgG

キャリアフリー

No

交差種

Mouse, Human

アプリケーション

ICC/IF, IHC-P, WB, ELISA

applications

免疫原

Recombinant Fragment Protein within Human MAOB aa 150 to C-terminus. The exact immunogen used to generate this antibody is proprietary information.

P27338

Reactivity data

{ "title": "Reactivity Data", "filters": { "stats": ["", "Species", "Dilution Info", "Notes"], "tabs": { "all-applications": {"fullname" : "All Applications", "shortname": "All Applications"}, "ELISA" : {"fullname" : "ELISA", "shortname":"ELISA"}, "ICCIF" : {"fullname" : "Immunocytochemistry/ Immunofluorescence", "shortname":"ICC/IF"}, "IHCP" : {"fullname" : "Immunohistochemistry (Formalin/PFA-fixed paraffin-embedded sections)", "shortname":"IHC-P"}, "WB" : {"fullname" : "Western blot", "shortname":"WB"} }, "product-promise": { "all": "all", "testedAndGuaranteed": "tested", "guaranteed": "expected", "predicted": "predicted", "notRecommended": "not-recommended" } }, "values": { "Human": { "ELISA-species-checked": "guaranteed", "ELISA-species-dilution-info": "", "ELISA-species-notes": "", "ICCIF-species-checked": "testedAndGuaranteed", "ICCIF-species-dilution-info": "1/100 - 1/1000", "ICCIF-species-notes": "<p></p>", "IHCP-species-checked": "testedAndGuaranteed", "IHCP-species-dilution-info": "1/100 - 1/1000", "IHCP-species-notes": "<p></p>", "WB-species-checked": "testedAndGuaranteed", "WB-species-dilution-info": "1/500 - 1/3000", "WB-species-notes": "<p></p>" }, "Mouse": { "ELISA-species-checked": "guaranteed", "ELISA-species-dilution-info": "", "ELISA-species-notes": "", "ICCIF-species-checked": "guaranteed", "ICCIF-species-dilution-info": "", "ICCIF-species-notes": "", "IHCP-species-checked": "testedAndGuaranteed", "IHCP-species-dilution-info": "1/100 - 1/1000", "IHCP-species-notes": "<p></p>", "WB-species-checked": "testedAndGuaranteed", "WB-species-dilution-info": "1/500 - 1/3000", "WB-species-notes": "<p></p>" }, "Cow": { "ELISA-species-checked": "predicted", "ELISA-species-dilution-info": "", "ELISA-species-notes": "", "ICCIF-species-checked": "predicted", "ICCIF-species-dilution-info": "", "ICCIF-species-notes": "", "IHCP-species-checked": "predicted", "IHCP-species-dilution-info": "", "IHCP-species-notes": "", "WB-species-checked": "predicted", "WB-species-dilution-info": "", "WB-species-notes": "" }, "Dog": { "ELISA-species-checked": "predicted", "ELISA-species-dilution-info": "", "ELISA-species-notes": "", "ICCIF-species-checked": "predicted", "ICCIF-species-dilution-info": "", "ICCIF-species-notes": "", "IHCP-species-checked": "predicted", "IHCP-species-dilution-info": "", "IHCP-species-notes": "", "WB-species-checked": "predicted", "WB-species-dilution-info": "", "WB-species-notes": "" }, "Pig": { "ELISA-species-checked": "predicted", "ELISA-species-dilution-info": "", "ELISA-species-notes": "", "ICCIF-species-checked": "predicted", "ICCIF-species-dilution-info": "", "ICCIF-species-notes": "", "IHCP-species-checked": "predicted", "IHCP-species-dilution-info": "", "IHCP-species-notes": "", "WB-species-checked": "predicted", "WB-species-dilution-info": "", "WB-species-notes": "" }, "Recombinant fragment": { "ELISA-species-checked": "testedAndGuaranteed", "ELISA-species-dilution-info": "1/1000 - 1/10000", "ELISA-species-notes": "<p></p>", "ICCIF-species-checked": "notRecommended", "ICCIF-species-dilution-info": "", "ICCIF-species-notes": "", "IHCP-species-checked": "notRecommended", "IHCP-species-dilution-info": "", "IHCP-species-notes": "", "WB-species-checked": "notRecommended", "WB-species-dilution-info": "", "WB-species-notes": "" } } }

出荷温度及び保存条件

製品の状態
Liquid
精製方法
Affinity purification Immunogen
バッファー組成
pH: 7 Preservative: 0.025% Proclin 300 Constituents: PBS, 20% Glycerol (glycerin, glycerine)
出荷温度
Blue Ice
短期保存温度
+4°C
長期保存温度
-20°C
分注に関する情報
Upon delivery aliquot
保管に関する情報
Avoid freeze / thaw cycle

補足情報

This supplementary information is collated from multiple sources and compiled automatically.

Monoamine oxidase B (MAOB) also known as MAO-B or MOA-B is a flavoenzyme that catalyzes the oxidative deamination of amines. It plays an important role in the catabolism of monoamines including neurotransmitters such as dopamine. The enzyme is approximately 58 kDa in size and is primarily expressed in the brain particularly in the basal ganglia region but also found in platelets and other tissues. MAOB exists in the outer mitochondrial membrane where it is closely associated with cellular respiration processes.
Biological function summary

Monoamine oxidase B aids in the regulation of neurotransmitter levels by breaking down dopamine phenylethylamine and other bioamines. It acts individually rather than forming part of larger protein complexes. This regulatory action influences several neurological processes contributing to the synaptic transmission and maintaining homeostasis in central nervous system functions. The activity of MAOB varies with age generally increasing over time which has implications for its role in aging-related neural changes.

Pathways

Monoamine oxidase B is involved in the dopamine metabolic pathway which impacts neurological functions and behaviors. It also connects to the phenylethylamine catabolic process influencing neuropsychiatric states. MAOB directly interacts with proteins like dopamine transporter proteins that influence dopamine reuptake and it works alongside monoamine oxidase A (MAOA) which degrades other neurotransmitters such as serotonin and norepinephrine providing a comprehensive regulatory mechanism within the monoamine system.

Monoamine oxidase B has a significant connection to neurodegenerative diseases such as Parkinson's disease and psychiatric disorders like depression. Its increased activity is linked to the neurodegeneration observed in Parkinson's due to excessive breakdown of dopamine. Through the process of oxidative stress MAOB contributes to neuronal damage particularly when interacting with proteins like α-synuclein aggravating the disease pathology. Additionally its regulation of dopamine levels can influence depressive states indicating potential therapeutic targets for MAOB inhibitors in these conditions.

製品プロトコール

For this product, it's our understanding that no specific protocols are required. You can visit:

ターゲットの情報

Catalyzes the oxidative deamination of primary and some secondary amines such as neurotransmitters, and exogenous amines including the tertiary amine, neurotoxin 1-methyl-4-phenyl-1,2,3,6-tetrahydropyridine (MPTP), with concomitant reduction of oxygen to hydrogen peroxide and participates in the metabolism of neuroactive and vasoactive amines in the central nervous system and peripheral tissues (PubMed : 11049757, PubMed : 11134050, PubMed : 20493079, PubMed : 8316221, PubMed : 8665924). Preferentially degrades benzylamine and phenylethylamine (PubMed : 11049757, PubMed : 11134050, PubMed : 20493079, PubMed : 8316221, PubMed : 8665924).
See full target information MAOB

文献 (9)

Recent publications for all applications. Explore the full list and refine your search

Experimental & molecular medicine 56:1193-1205 PubMed38760512

2024

Tonic excitation by astrocytic GABA causes neuropathic pain by augmenting neuronal activity and glucose metabolism.

Applications

Unspecified application

Species

Unspecified reactive species

Yeon Ha Ju,Jongwook Cho,Ji-Young Park,Hyunjin Kim,Eun-Bin Hong,Ki Duk Park,C Justin Lee,Euiheon Chung,Hyoung-Ihl Kim,Min-Ho Nam

CNS neuroscience & therapeutics 30:e14740 PubMed38715318

2024

Baicalin and baicalein from Scutellaria baicalensis Georgi alleviate aberrant neuronal suppression mediated by GABA from reactive astrocytes.

Applications

Unspecified application

Species

Unspecified reactive species

Juyeong Cho,Eun-Bin Hong,Young-Sik Kim,Jungbin Song,Yeon Ha Ju,Hyunjin Kim,Hyowon Lee,Hocheol Kim,Min-Ho Nam

Communications biology 6:1155 PubMed37957344

2023

SMN deficiency perturbs monoamine neurotransmitter metabolism in spinal muscular atrophy.

Applications

Unspecified application

Species

Unspecified reactive species

Valeria Valsecchi,Francesco Errico,Valentina Bassareo,Carmen Marino,Tommaso Nuzzo,Paola Brancaccio,Giusy Laudati,Antonella Casamassa,Manuela Grimaldi,Adele D'Amico,Manolo Carta,Enrico Bertini,Giuseppe Pignataro,Anna Maria D'Ursi,Alessandro Usiello

Antioxidants (Basel, Switzerland) 12: PubMed37891920

2023

Extract Attenuates Depressive-like Behaviors in Mice Treated with Stress Hormone.

Applications

Unspecified application

Species

Unspecified reactive species

Inhye Park,Jiwoo Kim,Minji Kim,Dong Wook Lim,Jonghoon Jung,Min Jung Kim,Junho Song,Suengmok Cho,Min Young Um

Frontiers in molecular neuroscience 15:966209 PubMed36533136

2022

Miro1 R272Q disrupts mitochondrial calcium handling and neurotransmitter uptake in dopaminergic neurons.

Applications

Unspecified application

Species

Unspecified reactive species

Lisa Schwarz,Karan Sharma,Lorenzo D Dodi,Lara-Sophie Rieder,Petra Fallier-Becker,Nicolas Casadei,Julia C Fitzgerald

Journal of applied toxicology : JAT 42:1777-1786 PubMed35665945

2022

Protective effect of pterostilbene in a streptozotocin-induced mouse model of Alzheimer's disease by targeting monoamine oxidase B.

Applications

Unspecified application

Species

Unspecified reactive species

Qiushi Li,Xidong Li,Buxian Tian,Long Chen

Oxidative medicine and cellular longevity 2022:5362115 PubMed35340200

2022

Preserved Left Ventricular Function despite Myocardial Fibrosis and Myopathy in the Dystrophin-Deficient D2.B10-Dmd /J Mouse.

Applications

Unspecified application

Species

Unspecified reactive species

Holly M Hayes,Julie Angerosa,Adam T Piers,Jason D White,Jane Koleff,Madeline Thurgood,Jessica Moody,Michael M Cheung,Salvatore Pepe

International journal of molecular sciences 20: PubMed31146332

2019

(E)-2-methoxy-4-(3-(4-methoxyphenyl) prop-1-en-1-yl) Phenol Ameliorates MPTP-Induced Dopaminergic Neurodegeneration by Inhibiting the STAT3 Pathway.

Applications

Unspecified application

Species

Unspecified reactive species

Ji Yeon Choi,Jaesuk Yun,Chul Ju Hwang,Hee Pom Lee,Hae Deun Kim,Hyungok Chun,Pil-Hoon Park,Dong Young Choi,Sang-Bae Han,Jin Tae Hong

Molecular autism 9:11 PubMed29456827

2018

Impairment of social behaviors in knockout mice.

Applications

Unspecified application

Species

Unspecified reactive species

Dai-Hua Lu,Hsiao-Mei Liao,Chia-Hsiang Chen,Huang-Ju Tu,Houng-Chi Liou,Susan Shur-Fen Gau,Wen-Mei Fu
View all publications

Abcam product promise

当社は、高品質な試薬を通じてお客様の研究を力強くサポートすることをお約束いたします。ご使用いただく各段階で、常にお客様をサポートできる体制を整えております。万が一、製品が期待通りに機能しない場合は、「Abcam Product Promise」による当社保証制度に基づき、安心してご利用いただけます。
保証に関する詳細については利用規約をご確認ください。

Please note: All products are 'FOR RESEARCH USE ONLY. NOT FOR USE IN DIAGNOSTIC OR THERAPEUTIC PROCEDURES'.

For licensing inquiries, please contact partnerships@abcam.com