JavaScript is disabled in your browser. Please enable JavaScript to view this website.
AB52490

Anti-Moesin 抗体 [EP1863Y]

Anti-Moesin antibody [EP1863Y]

5

(5 Reviews)

|

(46 Publications)

Rabbit Recombinant Monoclonal Moesin antibody. Suitable for IP, WB, ICC/IF, Flow Cyt (Intra), IHC-P and reacts with Human, Mouse, Rat samples. Cited in 46 publications.

別名を表示する

Moesin, Membrane-organizing extension spike protein, MSN

12 Images
Flow Cytometry (Intracellular) - Anti-Moesin antibody [EP1863Y] (AB52490)
  • Flow Cyt (Intra)

Unknown

Flow Cytometry (Intracellular) - Anti-Moesin antibody [EP1863Y] (AB52490)

Intracellular Flow Cytometry analysis of HeLa cells labelling Moesin with purified ab52490 at 1/30 (red). Cells were fixed with 4% paraformaldehyde. A FITC-conjugated goat anti-rabbit IgG (1/500) was used as the secondary antibody. Black - Isotype control, rabbit monoclonal IgG. Blue - Unlabelled control, cells without incubation with primary and secondary antibodies.

Flow Cytometry (Intracellular) - Anti-Moesin antibody [EP1863Y] (AB52490)
  • Flow Cyt (Intra)

Unknown

Flow Cytometry (Intracellular) - Anti-Moesin antibody [EP1863Y] (AB52490)

Overlay histogram showing HeLa cells stained with unpurified ab52490 (red line). The cells were fixed with 80% methanol (5 min) and then permeabilized with 0.1% PBS-Tween for 20 min. The cells were then incubated in 1x PBS / 10% normal goat serum / 0.3M glycine to block non-specific protein-protein interactions followed by the antibody (ab52490, 1/100 dilution) for 30 min at 22°C. The secondary antibody used was DyLight® 488 goat anti-rabbit IgG (H+L) (ab96899) at 1/500 dilution for 30 min at 22°C. Isotype control antibody (black line) was rabbit IgG (monoclonal) (1μg/1x106 cells) used under the same conditions. Acquisition of >5,000 events was performed.

Immunocytochemistry - Anti-Moesin antibody [EP1863Y] (AB52490)
  • ICC

Collaborator

Immunocytochemistry - Anti-Moesin antibody [EP1863Y] (AB52490)

ab52490 was shown to react with MSN in wild-type HeLa cells in Immunocytochemistry with loss of signal observed in MSN knockout cell line ab265020. Wild-type and knockout cells were mixed and pelleted at a 1 : 1 ratio on coverslips. The cells were fixed with 4% paraformaldehyde (15 min) then permeabilized with 0.1% Triton X-100 (10min) and then blocked with 1/10000. The cells were then incubated with ab52490 at 1/200 dilution overnight at 4°C followed by a further incubation at room temperature for 1h with a goat anti-rabbit secondary antibody to (Alexa Fluor® 555) at 0.5 μg/ml. Acquisition of the green (wild-type), red (antibody staining) and far-red (knockout) channels was performed. Representative grayscale images of the red channel are shown. Wild-type and knockout cells are outlined with yellow and magenta dashed line, respectively. Schematic representation of the mosaic strategy used is shown on the bottom-right panel. Image was acquired with a Zeiss(LSM-880). These data were provided by YCharOS Inc., an open science company with the mission of characterizing commercially available antibody reagents for all human proteins. Abcam and YCharOS are working together to help address the reproducibility crisis by enabling the life science community to better evaluate commercially available antibodies.

Immunocytochemistry/ Immunofluorescence - Anti-Moesin antibody [EP1863Y] (AB52490)
  • ICC/IF

Unknown

Immunocytochemistry/ Immunofluorescence - Anti-Moesin antibody [EP1863Y] (AB52490)

Immunocytochemistry/Immunofluorescence analysis of HeLa (human cervix adenocarcinoma) cells labelling Moesin with purified ab52490 at 1/100. Cells were fixed with 4% paraformaldehyde and permeabilized with 0.1% Triton X-100. ab150077, an Alexa Fluor® 488-conjugated goat anti-rabbit IgG (1/500) was used as the secondary antibody. DAPI (blue) was used as the nuclear counterstain. ab7291, a mouse anti-tubulin (1/1000) and ab150120, an Alexa Fluor® 594-conjugated goat anti-mouse IgG (1/1000) were also used.

Control 1 : primary antibody (1/100) and secondary antibody, ab150120, an Alexa Fluor® 594-conjugated goat anti-mouse IgG (1/500).

Control 2 : ab7291 (1/1000) and secondary antibody, ab150077, an Alexa Fluor® 488-conjugated goat anti-rabbit IgG (1/500).

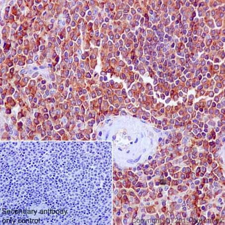
Immunohistochemistry (Formalin/PFA-fixed paraffin-embedded sections) - Anti-Moesin antibody [EP1863Y] (AB52490)
  • IHC-P

Unknown

Immunohistochemistry (Formalin/PFA-fixed paraffin-embedded sections) - Anti-Moesin antibody [EP1863Y] (AB52490)

Immunohistochemistry (Formalin/PFA-fixed paraffin-embedded sections) analysis of human spleen tissue labelling Moesin with purified ab52490 at 1/50. Heat mediated antigen retrieval was performed using Tris/EDTA buffer pH 9. ab97051, a goat anti-rabbit IgG H&L (HRP) was used as the secondary antibody (1/500). Negative control using PBS instead of primary antibody. Counterstained with hematoxylin.

Immunoprecipitation - Anti-Moesin antibody [EP1863Y] (AB52490)
  • IP

Unknown

Immunoprecipitation - Anti-Moesin antibody [EP1863Y] (AB52490)

ab52490 (purified) at 1/20 immunoprecipitating Moesin in HeLa whole cell lysate. 10 ug of cell lysate was present in the input. For western blotting, a HRP-conjugated Veriblot for IP Detection Reagent (ab131366) (1/10,000) was used for detection. A rabbit monoclonal IgG (ab172730) was used intead of ab128913 as a negative control (Lane 3).

Blocking buffer and concentration : 5% NFDM/TBST.

Diluting buffer and concentration : 5% NFDM /TBST.

All lanes:

Immunoprecipitation - Anti-Moesin antibody [EP1863Y] (ab52490)

Predicted band size: 68 kDa

false

Western blot - Anti-Moesin antibody [EP1863Y] (AB52490)
  • WB

Unknown

Western blot - Anti-Moesin antibody [EP1863Y] (AB52490)

Blocking buffer and concentration : 5% NFDM/TBST.
Diluting buffer and concentration : 5% NFDM /TBST.

All lanes:

Western blot - Anti-Moesin antibody [EP1863Y] (ab52490) at 1/20000 dilution

Lane 1:

HeLa cell lysate at 20 µg

Lane 2:

Raji cell lysate at 20 µg

Lane 3:

SH-SY5Y cell lysate at 20 µg

Secondary

All lanes:

Western blot - Goat Anti-Rabbit IgG H&L (HRP) (<a href='/products/secondary-antibodies/goat-rabbit-igg-h-l-hrp-ab97051'>ab97051</a>) at 1/10000 dilution

Predicted band size: 68 kDa

false

Western blot - Anti-Moesin antibody [EP1863Y] (AB52490)
  • WB

Collaborator

Western blot - Anti-Moesin antibody [EP1863Y] (AB52490)

ab52490 was shown to react with MSN in wild-type HeLa cells in Western blot with loss of signal observed in MSN knockout cell line ab265020 (MSN knockout cell lysate ab257542). Wild-type HeLa and MSN knockout cell lysates were subjected to SDS-PAGE. Membranes were blocked in 5% milk in TBST for 1 hr before incubation with ab52490 overnight at 4 °C at a 1/1000 dilution. Blots were incubated with goat anti-rabbit HRP secondary antibodies at 0.2ug/mL before imaging. These data were provided by YCharOS Inc., an open science company with the mission of characterizing commercially available antibody reagents for all human proteins. Abcam and YCharOS are working together to help address the reproducibility crisis by enabling the life science community to better evaluate commercially available antibodies.

All lanes:

Western blot - Anti-Moesin antibody [EP1863Y] (ab52490) at 1/1000 dilution

Lane 1:

Wild-type HeLa cell lysate at 20 µg

Lane 2:

MSN knockout HeLa cell lysate at 20 µg

Lane 2:

Western blot - Human MSN (Moesin) knockout HeLa cell line (<a href='/products/cell-lines/human-msn-moesin-knockout-hela-cell-line-ab265020'>ab265020</a>)

Predicted band size: 68 kDa

false

Western blot - Anti-Moesin antibody [EP1863Y] (AB52490)
  • WB

Lab

Western blot - Anti-Moesin antibody [EP1863Y] (AB52490)

Lanes 1 - 4 : Merged signal (red and green). Green - ab52490 observed at 75 kDa. Red - loading control, ab9484, observed at 37 kDa.

ab52490 was shown to specifically react with Moesin in wild-type HAP1 cells as signal was lost in Moesin knockout cells. Wild-type and Moesin knockout samples were subjected to SDS-PAGE. ab52490 and ab9484 (Mouse anti-GAPDH loading control) were incubated overnight at 4°C at 1/1000 dilution and 1/20000 dilution respectively. Blots were developed with Goat anti-Rabbit IgG H&L (IRDye® 800CW) preabsorbed ab216773 and Goat anti-Mouse IgG H&L (IRDye® 680RD) preabsorbed ab216776 secondary antibodies at 1/20000 dilution for 1 hour at room temperature before imaging.

All lanes:

Western blot - Anti-Moesin antibody [EP1863Y] (ab52490) at 1/1000 dilution

Lane 1:

Wild-type HAP1 whole cell lysate at 20 µg

Lane 2:

Moesin knockout HAP1 whole cell lysate at 20 µg

Lane 3:

HeLa whole cell lysate at 20 µg

Lane 4:

Raji whole cell lysate at 20 µg

Predicted band size: 68 kDa

false

Western blot - Anti-Moesin antibody [EP1863Y] (AB52490)
  • WB

Lab

Western blot - Anti-Moesin antibody [EP1863Y] (AB52490)

False colour image of Western blot : Anti-Moesin antibody [EP1863Y] staining at 1/1000 dilution, shown in green; Mouse anti-GAPDH antibody [6C5] (ab8245) loading control staining at 1/20000 dilution, shown in red. In Western blot, ab52490 was shown to bind specifically to Moesin. A band was observed at 75 kDa in wild-type HeLa cell lysates with no signal observed at this size in MSN knockout cell line ab265020 (knockout cell lysate ab257542). To generate this image, wild-type and MSN knockout HeLa cell lysates were analysed. First, samples were run on an SDS-PAGE gel then transferred onto a nitrocellulose membrane. Membranes were blocked in 3 % milk in TBS-0.1 % Tween® 20 (TBS-T) before incubation with primary antibodies overnight at 4 °C. Blots were washed four times in TBS-T, incubated with secondary antibodies for 1 h at room temperature, washed again four times then imaged. Secondary antibodies used were Goat anti-Rabbit IgG H&L (IRDye® 800CW) preabsorbed (ab216773) and Goat anti-Mouse IgG H&L (IRDye® 680RD) preabsorbed (ab216776) at 1/20000 dilution.

All lanes:

Western blot - Anti-Moesin antibody [EP1863Y] (ab52490) at 1/1000 dilution

Lane 1:

Wild-type HeLa cell lysate at 20 µg

Lane 2:

MSN knockout HeLa cell lysate at 20 µg

Lane 2:

Western blot - Human MSN (Moesin) knockout HeLa cell line (<a href='/products/cell-lines/human-msn-moesin-knockout-hela-cell-line-ab265020'>ab265020</a>)

Predicted band size: 68 kDa

Observed band size: 75 kDa

false

Western blot - Anti-Moesin antibody [EP1863Y] (AB52490)
  • WB

Unknown

Western blot - Anti-Moesin antibody [EP1863Y] (AB52490)

Blocking buffer and concentration : 5% NFDM/TBST.
Diluting buffer and concentration : 5% NFDM /TBST.

All lanes:

Western blot - Anti-Moesin antibody [EP1863Y] (ab52490) at 1/50000 dilution

All lanes:

C6 cell lysate at 20 µg

Secondary

All lanes:

Western blot - Goat Anti-Rabbit IgG H&L (HRP) (<a href='/products/secondary-antibodies/goat-rabbit-igg-h-l-hrp-ab97051'>ab97051</a>) at 1/10000 dilution

Predicted band size: 68 kDa

false

Western blot - Anti-Moesin antibody [EP1863Y] (AB52490)
  • WB

Unknown

Western blot - Anti-Moesin antibody [EP1863Y] (AB52490)

Blocking buffer and concentration : 5% NFDM/TBST.
Diluting buffer and concentration : 5% NFDM /TBST.

All lanes:

Western blot - Anti-Moesin antibody [EP1863Y] (ab52490) at 1/20000 dilution

Lane 1:

Neuro-2a cell lysate at 20 µg

Lane 2:

Mouse heart lysate at 20 µg

Lane 3:

Rat heart lysate at 20 µg

Secondary

All lanes:

Western blot - Goat Anti-Rabbit IgG H&L (HRP) (<a href='/products/secondary-antibodies/goat-rabbit-igg-h-l-hrp-ab97051'>ab97051</a>) at 1/10000 dilution

Predicted band size: 68 kDa

false

関連する標識済み抗体及び組成の異なる製品 (4)

  • 578 PE

    PE Anti-Moesin antibody [EP1863Y]

  • HRP

    HRP Anti-Moesin antibody [EP1863Y]

  • Carrier free

    Anti-Moesin antibody [EP1863Y] - BSA and Azide free

  • 665 Alexa Fluor® 647

    Alexa Fluor® 647 Anti-Moesin antibody [EP1863Y]

Key facts

宿主種

Rabbit

クローン性

Monoclonal

クローン番号

EP1863Y

アイソタイプ

IgG

キャリアフリー

No

交差種

Mouse, Rat, Human

アプリケーション

IP, ICC/IF, WB, IHC-P, Flow Cyt (Intra)

applications

免疫原

The exact immunogen used to generate this antibody is proprietary information.

Reactivity data

{ "title": "Reactivity Data", "filters": { "stats": ["", "Species", "Dilution Info", "Notes"], "tabs": { "all-applications": {"fullname" : "All Applications", "shortname": "All Applications"}, "IP" : {"fullname" : "Immunoprecipitation", "shortname":"IP"}, "WB" : {"fullname" : "Western blot", "shortname":"WB"}, "ICCIF" : {"fullname" : "Immunocytochemistry/ Immunofluorescence", "shortname":"ICC/IF"}, "FlowCytIntra" : {"fullname" : "Flow Cytometry (Intracellular)", "shortname":"Flow Cyt (Intra)"}, "IHCP" : {"fullname" : "Immunohistochemistry (Formalin/PFA-fixed paraffin-embedded sections)", "shortname":"IHC-P"} }, "product-promise": { "all": "all", "testedAndGuaranteed": "tested", "guaranteed": "expected", "predicted": "predicted", "notRecommended": "not-recommended" } }, "values": { "Human": { "IP-species-checked": "testedAndGuaranteed", "IP-species-dilution-info": "1/20 - 1/70", "IP-species-notes": "<p></p>", "WB-species-checked": "testedAndGuaranteed", "WB-species-dilution-info": "1/20000", "WB-species-notes": "<p><strong>For unpurified use at 1/1000 - 1/10000.</strong></p>", "ICCIF-species-checked": "testedAndGuaranteed", "ICCIF-species-dilution-info": "1/100 - 1/250", "ICCIF-species-notes": "<p></p>", "FlowCytIntra-species-checked": "testedAndGuaranteed", "FlowCytIntra-species-dilution-info": "1/30 - 1/100", "FlowCytIntra-species-notes": "<p><a href='/products/primary-antibodies/rabbit-igg-monoclonal-epr25a-isotype-control-ab172730'>ab172730</a> - Rabbit monoclonal IgG, is suitable for use as an isotype control with this antibody.</p>", "IHCP-species-checked": "testedAndGuaranteed", "IHCP-species-dilution-info": "1/50", "IHCP-species-notes": "<p></p> Perform heat-mediated antigen retrieval with Tris/EDTA buffer pH 9.0 before commencing with IHC staining protocol." }, "Mouse": { "IP-species-checked": "guaranteed", "IP-species-dilution-info": "", "IP-species-notes": "", "WB-species-checked": "testedAndGuaranteed", "WB-species-dilution-info": "1/20000", "WB-species-notes": "<p><strong>For unpurified use at 1/1000 - 1/10000.</strong></p>", "ICCIF-species-checked": "guaranteed", "ICCIF-species-dilution-info": "", "ICCIF-species-notes": "", "FlowCytIntra-species-checked": "guaranteed", "FlowCytIntra-species-dilution-info": "", "FlowCytIntra-species-notes": "", "IHCP-species-checked": "guaranteed", "IHCP-species-dilution-info": "", "IHCP-species-notes": "" }, "Rat": { "IP-species-checked": "guaranteed", "IP-species-dilution-info": "", "IP-species-notes": "", "WB-species-checked": "testedAndGuaranteed", "WB-species-dilution-info": "1/20000", "WB-species-notes": "<p><strong>For unpurified use at 1/1000 - 1/10000.</strong></p>", "ICCIF-species-checked": "guaranteed", "ICCIF-species-dilution-info": "", "ICCIF-species-notes": "", "FlowCytIntra-species-checked": "guaranteed", "FlowCytIntra-species-dilution-info": "", "FlowCytIntra-species-notes": "", "IHCP-species-checked": "guaranteed", "IHCP-species-dilution-info": "", "IHCP-species-notes": "" } } }

製品の詳細

Patented technology
Our RabMAb® technology is a patented hybridoma-based technology for making rabbit monoclonal antibodies. For details on our patents, please refer to RabMAb® patents.

What are the advantages of a recombinant monoclonal antibody?
This product is a recombinant monoclonal antibody, which offers several advantages including:

  • - High batch-to-batch consistency and reproducibility
  • - Improved sensitivity and specificity
  • - Long-term security of supply
  • - Animal-free batch production

For more information, read more on recombinant antibodies.

出荷温度及び保存条件

製品の状態
Liquid
精製方法
Affinity purification Protein A
バッファー組成
pH: 7.2 - 7.4 Preservative: 0.01% Sodium azide Constituents: PBS, 40% Glycerol (glycerin, glycerine), 0.05% BSA
出荷温度
Blue Ice
短期保存期間
1-2 weeks
短期保存温度
+4°C
長期保存温度
-20°C
分注に関する情報
Upon delivery aliquot
保管に関する情報
Avoid freeze / thaw cycle

補足情報

This supplementary information is collated from multiple sources and compiled automatically.

Moesin also known as MSN or moesin protein is part of the ERM (ezrin radixin moesin) family which links the actin cytoskeleton to the plasma membrane. It weighs around 68 kDa. This protein is widely expressed in various tissues notably in endothelial cells and other cells with high cytoskeletal dynamics. Moesin plays an essential role in maintaining cell shape polarity and enabling cellular processes like migration and adhesion.
Biological function summary

This protein serves as a crosslinker between the plasma membrane and the actin cytoskeleton influencing signal transduction pathways. Moesin participates significantly in cellular processes like cytokinesis and microvilli formation by binding actin filaments. It is part of several functional complexes ensuring proper cytoskeletal organization and cellular dynamics. Moesin's interactions with other proteins like Rho GTPases regulate its functions aiding cellular morphology and polarity.

Pathways

Moesin is actively involved in the RhoA-ROCK pathway. This pathway is fundamental to actin cytoskeletal reorganization and cell contraction. Moesin interacts with proteins such as radixin and ezrin ensuring cohesion in cytoskeletal rearrangements. Through these interactions Moesin contributes to cell motility and various signaling cascades necessary for cellular responses.

Moesin is associated with conditions such as cancer and immune system disorders. Aberrant expression of moesin can contribute to enhanced cellular migration and invasion which are mechanisms seen in cancer metastasis. Moesin's interaction with proteins like ezrin in cancer progression has been documented. Also in immune disorders altered moesin activity can affect leukocyte transmigration disrupting efficient immune responses.

製品プロトコール

For this product, it's our understanding that no specific protocols are required. You can visit:

ターゲットの情報

Ezrin-radixin-moesin (ERM) family protein that connects the actin cytoskeleton to the plasma membrane and thereby regulates the structure and function of specific domains of the cell cortex. Tethers actin filaments by oscillating between a resting and an activated state providing transient interactions between moesin and the actin cytoskeleton (PubMed : 10212266). Once phosphorylated on its C-terminal threonine, moesin is activated leading to interaction with F-actin and cytoskeletal rearrangement (PubMed : 10212266). These rearrangements regulate many cellular processes, including cell shape determination, membrane transport, and signal transduction (PubMed : 12387735, PubMed : 15039356). The role of moesin is particularly important in immunity acting on both T and B-cells homeostasis and self-tolerance, regulating lymphocyte egress from lymphoid organs (PubMed : 9298994, PubMed : 9616160). Modulates phagolysosomal biogenesis in macrophages (By similarity). Also participates in immunologic synapse formation (PubMed : 27405666).
See full target information Moesin

文献 (46)

Recent publications for all applications. Explore the full list and refine your search

Nature communications 16:6788 PubMed40721407

2025

Biomechanical control of vascular morphogenesis by the surrounding stiffness.

Applications

Unspecified application

Species

Unspecified reactive species

Yasuyuki Hanada,Semanti Halder,Yuichiro Arima,Misato Haruta,Honami Ogoh,Shuntaro Ogura,Yukihiko Shiraki,Sota Nakano,Yuka Ozeki,Shigetomo Fukuhara,Akiyoshi Uemura,Toyoaki Murohara,Koichi Nishiyama

F1000Research 12:1070 PubMed39444645

2024

Validation and characterization of research antibodies for Moesin, CD44, Midkine, and sFRP-1.

Applications

Unspecified application

Species

Unspecified reactive species

Suzanne Doolen,Riham Ayoubi,Carl Laflamme,Ranjita Betarbet,Elizabeth Zoeller,Sean-Paul G Williams,Haian Fu,Allan I Levey,S J Sukoff Rizzo

F1000Research 12:172 PubMed38106655

2023

Identification of high-performing antibodies for Moesin for use in Western Blot, immunoprecipitation, and immunofluorescence.

Applications

WB, ICC

Species

Human, Human

Walaa Alshafie,Riham Ayoubi,Maryam Fotouhi,Kathleen Southern,Carl Laflamme

International journal of molecular sciences 24: PubMed38003485

2023

Sex-Dependent Differences in Blood-Urine Barrier Are Subtle but Significant in Healthy and Chronically Inflamed Mouse Bladders.

Applications

Unspecified application

Species

Unspecified reactive species

Dominika Peskar,Mojca Kerec Kos,Uroš Cerkvenik,Alenka Nemec Svete,Andreja Erman

International journal of molecular sciences 24: PubMed37446127

2023

Identification of Moesin (MSN) as a Potential Therapeutic Target for Colorectal Cancer via the β-Catenin-RUNX2 Axis.

Applications

Unspecified application

Species

Unspecified reactive species

Chien-Yu Huang,Po-Li Wei,Uyanga Batzorig,Precious Takondwa Makondi,Cheng-Chin Lee,Yu-Jia Chang

Journal of equine science 34:37-46 PubMed37405069

2023

Immunohistochemical markers for equine granulosa cell tumors: a pilot study.

Applications

Unspecified application

Species

Unspecified reactive species

Aurelia Dolin,Peter Schweiger,Martin Waselau,Monika Egerbacher,Ingrid Walter

Science advances 8:eabm9987 PubMed35442741

2022

A somatic mutation in moesin drives progression into acute myeloid leukemia.

Applications

Unspecified application

Species

Unspecified reactive species

Ouyang Yuan,Amol Ugale,Tommaso de Marchi,Vimala Anthonydhason,Anna Konturek-Ciesla,Haixia Wan,Mohamed Eldeeb,Caroline Drabe,Maria Jassinskaja,Jenny Hansson,Isabel Hidalgo,Talia Velasco-Hernandez,Jörg Cammenga,Jeffrey A Magee,Emma Niméus,David Bryder

Nature 598:483-488 PubMed34599305

2021

Regulation of prefrontal patterning and connectivity by retinoic acid.

Applications

Unspecified application

Species

Unspecified reactive species

Mikihito Shibata,Kartik Pattabiraman,Belen Lorente-Galdos,David Andrijevic,Suel-Kee Kim,Navjot Kaur,Sydney K Muchnik,Xiaojun Xing,Gabriel Santpere,Andre M M Sousa,Nenad Sestan

Journal of medicinal chemistry 64:13259-13278 PubMed34463505

2021

Discovery of a Potent Dual SLK/STK10 Inhibitor Based on a Maleimide Scaffold.

Applications

Unspecified application

Species

Unspecified reactive species

Ricardo A M Serafim,Fiona J Sorrell,Benedict-Tilman Berger,Ross J Collins,Stanley N S Vasconcelos,Katlin B Massirer,Stefan Knapp,James Bennett,Oleg Fedorov,Hitesh Patel,William J Zuercher,Jonathan M Elkins

Experimental and therapeutic medicine 22:851 PubMed34149897

2021

STK10 knockout inhibits cell migration and promotes cell proliferation via modulating the activity of ERM and p38 MAPK in prostate cancer cells.

Applications

Unspecified application

Species

Unspecified reactive species

Lu Zhang,Shun-Yuan Lu,Rui Guo,Jin-Xia Ma,Ling-Yun Tang,Jin-Jin Wang,Chun-Ling Shen,Li-Ming Lu,Jie Liu,Zhu-Gang Wang,Hong-Xin Zhang
View all publications

Abcam product promise

当社は、高品質な試薬を通じてお客様の研究を力強くサポートすることをお約束いたします。ご使用いただく各段階で、常にお客様をサポートできる体制を整えております。万が一、製品が期待通りに機能しない場合は、「Abcam Product Promise」による当社保証制度に基づき、安心してご利用いただけます。
保証に関する詳細については利用規約をご確認ください。

Please note: All products are 'FOR RESEARCH USE ONLY. NOT FOR USE IN DIAGNOSTIC OR THERAPEUTIC PROCEDURES'.

For licensing inquiries, please contact partnerships@abcam.com