JavaScript is disabled in your browser. Please enable JavaScript to view this website.
AB188566

Anti-MNDA 抗体 [253A]

Anti-MNDA antibody [253A]

3

(2 Reviews)

|

(6 Publications)

Anti-MNDA antibody [253A] (ab188566) is a mouse monoclonal antibody detecting MNDA in Western Blot, IHC-P, ICC/IF. Suitable for Human.

- Recombinant format for unrivalled batch-batch consistency

別名を表示する

Myeloid cell nuclear differentiation antigen, MNDA

4 Images
Immunocytochemistry/ Immunofluorescence - Anti-MNDA antibody [253A] (AB188566)
  • ICC/IF

Lab

Immunocytochemistry/ Immunofluorescence - Anti-MNDA antibody [253A] (AB188566)

Immunofluorescent analysis of 4% Paraformaldehyde-fixed, 0.1% TritonX-100 permeabilized THP-1 (human monocytic leukemia monocyte cell) cells labelling MNDA with ab188566 at 1/200 dilution, followed by ab150117 Goat Anti-Mouse IgG H&L (Alexa Fluor® 488) preadsorbed antibody at 1/1000 dilution(Green).

Confocal image showing nuclear staining in THP-1 cell line (shown in green). Negative control : HeLa.
Image was taken with a confocal microscope(Leica-Microsystems, TCS SP8).
The counterstain was observed in red. Nuclear DNA was labelled with DAPI (shown in blue).

ab206369 Anti-beta Tubulin rabbit monoclonal antibody (Alexa Fluor® 594) was used to counter stain tubulin at a 1/500 dilution (Red).

Immunohistochemistry (Formalin/PFA-fixed paraffin-embedded sections) - Anti-MNDA antibody [253A] (AB188566)
  • IHC-P

Lab

Immunohistochemistry (Formalin/PFA-fixed paraffin-embedded sections) - Anti-MNDA antibody [253A] (AB188566)

Immunohistochemical analysis of paraffin-embedded Human spleen tissue labeling MNDA with ab188566 at 1/1000 dilution, followed by a ready to use LeicaDS9800 (Bond™ Polymer Refine Detection).

Positive staining on human spleen.
he section was incubated with ab188566 for 30 mins at room temperature, followed by anti-mouse IgG1 antibody (ab125913) for 8 mins during the LeicaDS9800 kit staining procedure.
The immunostaining was performed on a Leica Biosystems BOND® RX instrument

Counterstained with Hematoxylin.

Secondary antibody only control : Secondary antibody is a ready to use ready to use LeicaDS9800 (Bond™ Polymer Refine Detection).

Heat mediated antigen retrieval was performed with Tris-EDTA buffer (pH 9.0, Epitope Retrieval Solution2) for 20 mins

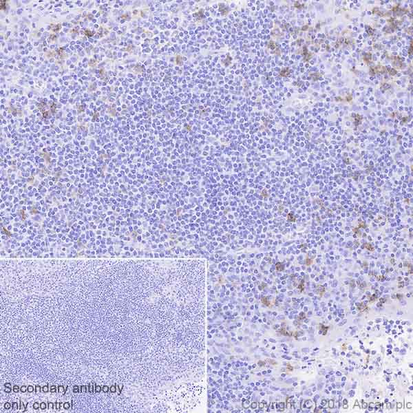
Immunohistochemistry (Formalin/PFA-fixed paraffin-embedded sections) - Anti-MNDA antibody [253A] (AB188566)
  • IHC-P

Lab

Immunohistochemistry (Formalin/PFA-fixed paraffin-embedded sections) - Anti-MNDA antibody [253A] (AB188566)

Immunohistochemical analysis of paraffin-embedded Human tonsil tissue labeling MNDA with ab188566 at 1/1000 dilution, followed by a ready to use LeicaDS9800 (Bond™ Polymer Refine Detection).

Positive staining on human tonsil.
The section was incubated with ab188566 for 30 mins at room temperature, followed by anti-mouse IgG1 antibody (ab125913) for 8 mins during the LeicaDS9800 kit staining procedure.
The immunostaining was performed on a Leica Biosystems BOND® RX instrument

Counterstained with Hematoxylin.

Secondary antibody only control : Secondary antibody is a ready to use ready to use LeicaDS9800 (Bond™ Polymer Refine Detection).

Heat mediated antigen retrieval was performed with Tris-EDTA buffer (pH 9.0, Epitope Retrieval Solution2) for 20 mins

Western blot - Anti-MNDA antibody [253A] (AB188566)
  • WB

Lab

Western blot - Anti-MNDA antibody [253A] (AB188566)

Blocking and diluting buffer and concentration : 5% NFDM/TBST

Anti-Histone H3 antibody [EPR16987] - Nuclear Marker and ChIP Grade (ab176842) was used as a loading control at a 1/100000 dilution.

Negative control : HeLa (PMID : 10492038).

All lanes:

Western blot - Anti-MNDA antibody [253A] (ab188566) at 1/1000 dilution

Lane 1:

THP-1 (human monocytic leukemia monocyte) whole cell lysate at 20 µg

Lane 2:

HeLa (human cervical adenocarcinoma epithelial cell) whole cell lysate at 20 µg

Secondary

All lanes:

Peroxidase-Conjugated Goat anti-Mouse IgG (H+L) at 1/10000 dilution

Observed band size: 47 kDa

false

Exposure time: 37s

関連する標識済み抗体及び組成の異なる製品 (1)

  • Carrier free

    Anti-MNDA antibody [253A] - BSA and Azide free

Key facts

宿主種

Mouse

クローン性

Monoclonal

クローン番号

253A

アイソタイプ

IgG1

キャリアフリー

No

交差種

Human

アプリケーション

IHC-P, ICC/IF, WB

applications

免疫原

Recombinant Full Length Protein corresponding to Human MNDA.

P41218

Reactivity data

{ "title": "Reactivity Data", "filters": { "stats": ["", "Species", "Dilution Info", "Notes"], "tabs": { "all-applications": {"fullname" : "All Applications", "shortname": "All Applications"}, "IHCP" : {"fullname" : "Immunohistochemistry (Formalin/PFA-fixed paraffin-embedded sections)", "shortname":"IHC-P"}, "WB" : {"fullname" : "Western blot", "shortname":"WB"}, "ICCIF" : {"fullname" : "Immunocytochemistry/ Immunofluorescence", "shortname":"ICC/IF"} }, "product-promise": { "all": "all", "testedAndGuaranteed": "tested", "guaranteed": "expected", "predicted": "predicted", "notRecommended": "not-recommended" } }, "values": { "Human": { "IHCP-species-checked": "testedAndGuaranteed", "IHCP-species-dilution-info": "1/1000", "IHCP-species-notes": "<p></p> Perform heat-mediated antigen retrieval with Tris/EDTA buffer pH 9.0 before commencing with IHC staining protocol.", "WB-species-checked": "testedAndGuaranteed", "WB-species-dilution-info": "1/1000", "WB-species-notes": "<p></p>", "ICCIF-species-checked": "testedAndGuaranteed", "ICCIF-species-dilution-info": "1/200", "ICCIF-species-notes": "<p></p>" }, "Mouse": { "IHCP-species-checked": "notRecommended", "IHCP-species-dilution-info": "", "IHCP-species-notes": "<p></p>", "WB-species-checked": "notRecommended", "WB-species-dilution-info": "", "WB-species-notes": "<p></p>", "ICCIF-species-checked": "notRecommended", "ICCIF-species-dilution-info": "", "ICCIF-species-notes": "" }, "Rat": { "IHCP-species-checked": "notRecommended", "IHCP-species-dilution-info": "", "IHCP-species-notes": "<p></p>", "WB-species-checked": "notRecommended", "WB-species-dilution-info": "", "WB-species-notes": "", "ICCIF-species-checked": "notRecommended", "ICCIF-species-dilution-info": "", "ICCIF-species-notes": "" } } }

製品の詳細

Product Specifications
Anti-MNDA antibody [253A] (ab188566) is a mouse monoclonal antibody and is validated for use in ICC/IF, IHC-P, WB in human samples.
Anti-MNDA antibody [253A] (ab188566) specifically detects MNDA (UniProt ID: P41218; Molecular weight: 45kDa) and is sold in 100µg selling sizes.

Quality and Validation
Abcam's high quality validation processes ensure Anti-MNDA antibody [253A] (ab188566) has high sensitivity and specificity.

This product has switched from a hybridoma to recombinant production method on 20th June 2025

What are the advantages of a recombinant monoclonal antibody?
This product is a recombinant monoclonal antibody, which offers several advantages including:

  • - High batch-to-batch consistency and reproducibility
  • - Improved sensitivity and specificity
  • - Long-term security of supply
  • - Animal-free batch production

For more information, read more on recombinant antibodies.

出荷温度及び保存条件

製品の状態
Liquid
精製方法
Affinity purification Protein G
バッファー組成
pH: 7.2 - 7.4 Preservative: 0.01% Sodium azide Constituents: PBS, 40% Glycerol (glycerin, glycerine), 0.05% BSA
出荷温度
Blue Ice
短期保存期間
1-2 weeks
短期保存温度
+4°C
長期保存温度
-20°C|+4°C
分注に関する情報
Upon delivery aliquot
保管に関する情報
Avoid freeze / thaw cycle|Do Not Freeze

補足情報

This supplementary information is collated from multiple sources and compiled automatically.

MNDA known as Myeloid Cell Nuclear Differentiation Antigen has a mass of approximately 45 kDa. Expression occurs mainly in myeloid cells including monocytes and granulocytes. It is encoded by the MNDA gene situated on chromosome 1q22. MNDA belongs to the HIN-200 family of proteins which are involved in various cellular activities. The protein contains a DNA-binding domain suggesting its role in transcriptional regulation.
Biological function summary

The function of MNDA is critical for the immune response and cellular differentiation. MNDA participates in regulating gene transcription in response to external stimuli. It operates in complex with other nuclear proteins to modulate the immune and inflammatory response aiming for a precise cellular behavior. MNDA's presence in myeloid cells signifies its role in the innate immune system contributing significantly to cell maturation and defense mechanisms.

Pathways

MNDA influences gene expression modifications tied to key immune response pathways. It has a noted involvement in the Toll-like receptor (TLR) signaling pathway where it helps mediate responses to pathogens. MNDA interacts with proteins such as TLR4 which plays a vital role in innate immunity. Furthermore MNDA participates in the interferon regulatory factor (IRF) pathway impacting type I interferon production and immune regulation.

MNDA has associations with myeloid malignancies and autoimmune conditions. Abnormal expression or mutation of MNDA might contribute to disease pathology in acute myeloid leukemia (AML) where it may function alongside proteins like RUNX1 a transcription factor important in hematopoiesis. Additionally MNDA expressions and mutations link to systemic lupus erythematosus (SLE) where its regulatory impact on the immune response may be disrupted influencing inflammatory pathways and immune system regulation.

製品プロトコール

For this product, it's our understanding that no specific protocols are required. You can visit:

ターゲットの情報

May act as a transcriptional activator/repressor in the myeloid lineage. Plays a role in the granulocyte/monocyte cell-specific response to interferon. Stimulates the DNA binding of the transcriptional repressor protein YY1.
See full target information MNDA

文献 (6)

Recent publications for all applications. Explore the full list and refine your search

Aging 15:8729-8743 PubMed37671970

2023

Uncovering the pathogenesis of obesity complicated with papillary thyroid carcinoma via bioinformatics and experimental validation.

Applications

Unspecified application

Species

Unspecified reactive species

Kaisheng Yuan,Di Hu,Xiaocong Mo,Ruiqi Zeng,Bing Wu,Zunhao Zhang,Ruixiang Hu,Cunchuan Wang

Applied immunohistochemistry & molecular morphology : AIMM 31:217-223 PubMed36867739

2023

Study of the Utility of Myeloid Cell Nuclear Differentiation Antigen (MNDA) in the Diagnosis of Marginal Zone Lymphoma.

Applications

Unspecified application

Species

Unspecified reactive species

Neha Gupta,Sudarhana Roychoudry,Kristin L Sticco,Peihong Hsu,Xinmin Zhang,Silvat Sheikh-Fayyaz

Journal of clinical and experimental hematopathology : JCEH 62:195-201 PubMed36436933

2022

Immunohistochemistry for IRTA1 and MNDA helps differentiate gastric MALT lymphoma from chronic gastritis/reactive lymphocyte hyperplasia.

Applications

Unspecified application

Species

Unspecified reactive species

Yoshiyuki Ayada,Takuro Igawa,Yusuke Naoi,Kyosuke Horikawa,Tetsuya Tabata,Takehiro Tanaka,Tadashi Yoshino

Clinical and experimental immunology 199:1-8 PubMed31661552

2019

Neutrophil proteases degrade autoepitopes of NET-associated proteins.

Applications

Unspecified application

Species

Unspecified reactive species

C M de Bont,N Eerden,W C Boelens,G J M Pruijn

American journal of clinical pathology 151:337-343 PubMed30346478

2018

IRTA1 and MNDA Expression in Marginal Zone Lymphoma: Utility in Differential Diagnosis and Implications for Classification.

Applications

Unspecified application

Species

Unspecified reactive species

Zhen Wang,James R Cook

Leukemia 23:1847-57 PubMed19474799

2009

Identification of MNDA as a new marker for nodal marginal zone lymphoma.

Applications

IHC-P

Species

Unspecified reactive species

G Kanellis,G Roncador,A Arribas,M Mollejo,S Montes-Moreno,L Maestre,Y Campos-Martin,J L Ríos Gonzalez,J L Martinez-Torrecuadrada,L Sanchez-Verde,R Pajares,J C Cigudosa,M C Martin,M A Piris
View all publications

Abcam product promise

当社は、高品質な試薬を通じてお客様の研究を力強くサポートすることをお約束いたします。ご使用いただく各段階で、常にお客様をサポートできる体制を整えております。万が一、製品が期待通りに機能しない場合は、「Abcam Product Promise」による当社保証制度に基づき、安心してご利用いただけます。
保証に関する詳細については利用規約をご確認ください。

Please note: All products are 'FOR RESEARCH USE ONLY. NOT FOR USE IN DIAGNOSTIC OR THERAPEUTIC PROCEDURES'.

For licensing inquiries, please contact partnerships@abcam.com