JavaScript is disabled in your browser. Please enable JavaScript to view this website.
AB283575

Anti-MMP9 抗体 [RM1020]

Anti-MMP9 antibody [RM1020]

  • BOND RX™ Validated
  • 20ul selling size
  • RabMAb
  • Recombinant
  • KO Validated
  • 詳細を見る

Be the first to review this product! Submit a review

|

(87 Publications)

Anti-MMP9 antibody [RM1020] (ab283575) is a rabbit recombinant multiclonal antibody detecting MMP9 in Western Blot, Flow Cytometry (Intra), Flow Cytometry, IP, IHC-P, IHC-Fr, ICC/IF, ELISA. Suitable for Human, Mouse, Rat.

- KO validated for confirmed specificity
- Biophysical QC for unrivalled batch-batch consistency
- Over 30 publications

別名を表示する

CLG4B, MMP9, Matrix metalloproteinase-9, MMP-9, 92 kDa gelatinase, 92 kDa type IV collagenase, Gelatinase B, GELB

16 Images
Immunohistochemistry (Formalin/PFA-fixed paraffin-embedded sections) - Anti-MMP9 antibody [RM1020] (AB283575)
  • IHC-P

Supplier Data

Immunohistochemistry (Formalin/PFA-fixed paraffin-embedded sections) - Anti-MMP9 antibody [RM1020] (AB283575)

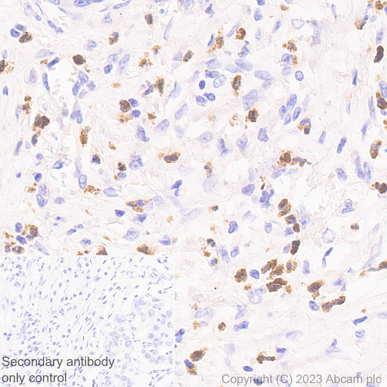
Immunohistochemical analysis of paraffin-embedded human gastric carcinoma tissue labelling MMP9 with ab283575 at 1 : 5000 dilution (0.123 μg/ml), followed by a ready to use LeicaDS9800 (Bond™ Polymer Refine Detection). Positive staining on immune cells of human gastric carcinoma is observed. The section was incubated with ab283575 for 10 mins at room temperature. The immunostaining was performed on a Leica Biosystems BOND® RX instrument. Counter stained with hematoxylin. Secondary antibody only control : Used PBS instead of primary antibody, secondary antibody is LeicaDS9800 (Bond™ Polymer Refine Detection). Heat mediated antigen retrieval was performed with Tris-EDTA buffer (pH 9.0, Epitope Retrieval Solution2) for 20 mins.

Flow Cytometry (Intracellular) - Anti-MMP9 antibody [RM1020] (AB283575)
  • Flow Cyt (Intra)

Supplier Data

Flow Cytometry (Intracellular) - Anti-MMP9 antibody [RM1020] (AB283575)

Flow cytometric analysis of 4% paraformaldehyde fixed 90% methanol permeabilized U-2 OS (Human bone osteosarcoma epithelial cell) treated with TPA (200nM 24h) (Red) / Untreated control (Green) cells labelling MMP9 with ab283575 at 1/500 dilution (0.1ug) compared with a Rabbit monoclonal IgG (ab172730) (Black) isotype control and an unlabelled control (cells without incubation with primary antibody and secondary antibody) (Blue). A Goat F(ab')2 Anti-Rabbit IgG(DyLight® 488, ab98507) at 1/500 dilution was used as the secondary antibody.

Immunohistochemistry (Formalin/PFA-fixed paraffin-embedded sections) - Anti-MMP9 antibody [RM1020] (AB283575)
  • IHC-P

Supplier Data

Immunohistochemistry (Formalin/PFA-fixed paraffin-embedded sections) - Anti-MMP9 antibody [RM1020] (AB283575)

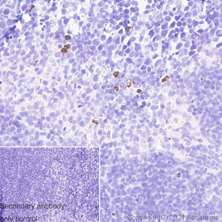
Immunohistochemical analysis of paraffin-embedded Human spleen tissue labelling MMP9 with ab283575 at 1/5000 (0.123 ug/ml) followed by a ready to use LeicaDS9800 (Bond™ Polymer Refine Detection). Positive staining on the human spleen. The section was incubated with ab283575 for 10 mins at room temperature. The immunostaining was performed on a Leica Biosystems BOND® RX instrument Counterstained with Hematoxylin.

Secondary antibody only control : Secondary antibody is a ready to use LeicaDS9800 (Bond™ Polymer Refine Detection).

Heat mediated antigen retrieval with Tris-EDTA buffer (pH 9.0, epitope retrieval solution2) for 20 mins

Immunohistochemistry (Formalin/PFA-fixed paraffin-embedded sections) - Anti-MMP9 antibody [RM1020] (AB283575)
  • IHC-P

Supplier Data

Immunohistochemistry (Formalin/PFA-fixed paraffin-embedded sections) - Anti-MMP9 antibody [RM1020] (AB283575)

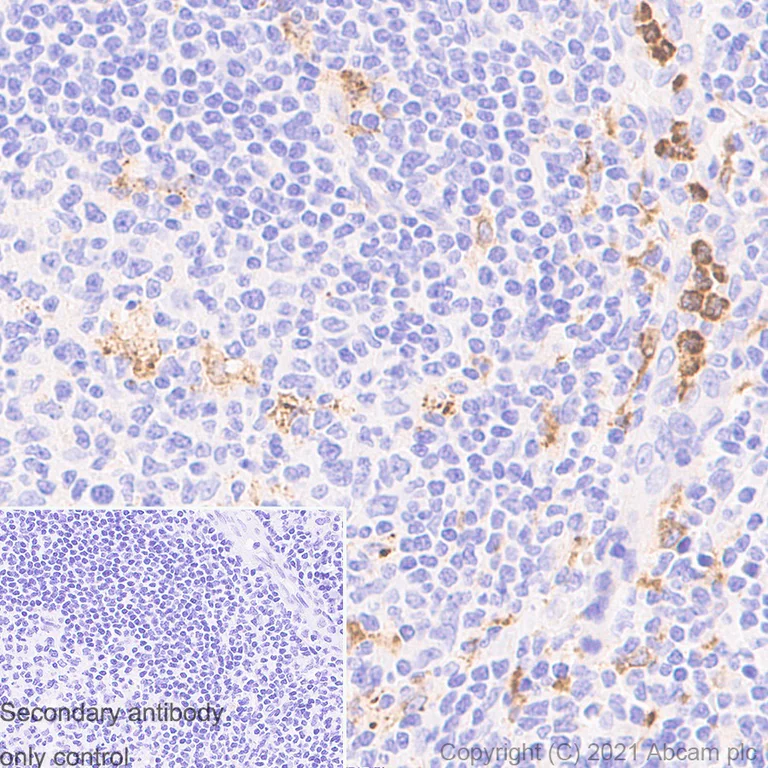
Immunohistochemical analysis of paraffin-embedded Human tonsil tissue labelling MMP9 with ab283575 at 1/5000 (0.123 ug/ml) followed by a ready to use LeicaDS9800 (Bond™ Polymer Refine Detection). Positive staining on the human tonsil. The section was incubated with ab283575 for 10 mins at room temperature. The immunostaining was performed on a Leica Biosystems BOND® RX instrument Counterstained with Hematoxylin.

Secondary antibody only control : Secondary antibody is a ready to use LeicaDS9800 (Bond™ Polymer Refine Detection).

Heat mediated antigen retrieval with Tris-EDTA buffer (pH 9.0, epitope retrieval solution2) for 20 mins

Immunocytochemistry/ Immunofluorescence - Anti-MMP9 antibody [RM1020] (AB283575)
  • ICC/IF

Supplier Data

Immunocytochemistry/ Immunofluorescence - Anti-MMP9 antibody [RM1020] (AB283575)

Immunofluorescent analysis of 4% Paraformaldehyde-fixed, 0.1% TritonX-100 permeabilized U-2 OS cells labelling MMP9 with ab283575 at 1/50 (12.26 ug/ml) dilution, followed by ab150081 Goat Anti-Rabbit IgG H&L (Alexa Fluor® 488) preadsorbed antibody at 1/1000 (2 ug/ml) dilution (Green). ab195889 Anti-alpha Tubulin mouse monoclonal antibody - Microtubule Marker (Alexa Fluor® 594) was used to counterstain tubulin at 1/200 (2.5 ug/ml) dilution (Red). The Nuclear counterstain was DAPI (Blue).

Confocal image showing increased cytoplasmic staining in U-2 OS cells treated with 12-O-Tetradecanoylphorbol-13-acetate (200nM) for 24hours.

Secondary antibody only control : Secondary antibody is ab150081 Goat Anti-Rabbit IgG H&L (Alexa Fluor® 488) preadsorbed at 1/1000 (2 ug/ml) dilution.

Flow Cytometry (Intracellular) - Anti-MMP9 antibody [RM1020] (AB283575)
  • Flow Cyt (Intra)

Supplier Data

Flow Cytometry (Intracellular) - Anti-MMP9 antibody [RM1020] (AB283575)

Flow cytometric analysis of 4% paraformaldehyde fixed 90% methanol permeabilized RAW 264.7 (Mouse Abelson murine leukemia virus-induced tumor macrophage) treated with 100ng/ml LPS for 4h then together with 1ug/ml BFA for another 3h (Right) / Untreated control (Left) cells labelling MMP9 with ab283575 at 1/500 dilution (0.1ug). A Goat F(ab')2 Anti-Rabbit IgG(DyLight® 488, ab98507) at 1/500 dilution was used as the secondary antibody.

Immunohistochemistry (Formalin/PFA-fixed paraffin-embedded sections) - Anti-MMP9 antibody [RM1020] (AB283575)
  • IHC-P

Supplier Data

Immunohistochemistry (Formalin/PFA-fixed paraffin-embedded sections) - Anti-MMP9 antibody [RM1020] (AB283575)

Immunohistochemical analysis of paraffin-embedded Rat spleen tissue labelling MMP9 with ab283575 at 1/5000 (0.123 ug/ml) followed by a ready to use LeicaDS9800 (Bond™ Polymer Refine Detection). Positive staining on the rat spleen. The section was incubated with ab283575 for 10 mins at room temperature. The immunostaining was performed on a Leica Biosystems BOND® RX instrument Counterstained with Hematoxylin.

Secondary antibody only control : Secondary antibody is a ready to use LeicaDS9800 (Bond™ Polymer Refine Detection).

Heat mediated antigen retrieval with Tris-EDTA buffer (pH 9.0, epitope retrieval solution2) for 20 mins

Immunohistochemistry (Frozen sections) - Anti-MMP9 antibody [RM1020] (AB283575)
  • IHC-Fr

Supplier Data

Immunohistochemistry (Frozen sections) - Anti-MMP9 antibody [RM1020] (AB283575)

Immunohistochemical analysis of 4% PFA-fixed, 0.2% Triton X-100 permeabilized frozen Rat lung (fresh) tissue labeling MMP9 with ab283575 at 1/100 (6.13 ug/ml) dilution followed by ab150077 Goat Anti-Rabbit IgG H&L (Alexa Fluor® 488) at 1/1000 (2 ug/ml) dilution (Green). The nuclear counterstain was DAPI (Blue).

Positive staining on macrophages of rat lung is observed.

Secondary antibody control : Secondary antibody is ab150077 Goat Anti-Rabbit IgG H&L (Alexa Fluor® 488) at 1/1000 (2 ug/ml) dilution.

Immunohistochemistry (Formalin/PFA-fixed paraffin-embedded sections) - Anti-MMP9 antibody [RM1020] (AB283575)
  • IHC-P

Supplier Data

Immunohistochemistry (Formalin/PFA-fixed paraffin-embedded sections) - Anti-MMP9 antibody [RM1020] (AB283575)

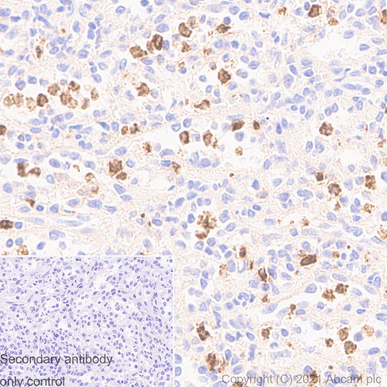
Immunohistochemical analysis of paraffin-embedded Mouse spleen tissue labelling MMP9 with ab283575 at 1/5000 (0.123 ug/ml) followed by a ready to use LeicaDS9800 (Bond™ Polymer Refine Detection). Positive staining on the mouse spleen. The section was incubated with ab283575 for 10 mins at room temperature. The immunostaining was performed on a Leica Biosystems BOND® RX instrument Counterstained with Hematoxylin.

Secondary antibody only control : Secondary antibody is a ready to use LeicaDS9800 (Bond™ Polymer Refine Detection).

Heat mediated antigen retrieval with Tris-EDTA buffer (pH 9.0, epitope retrieval solution2) for 20 mins

Immunocytochemistry/ Immunofluorescence - Anti-MMP9 antibody [RM1020] (AB283575)
  • ICC/IF

Supplier Data

Immunocytochemistry/ Immunofluorescence - Anti-MMP9 antibody [RM1020] (AB283575)

Immunofluorescent analysis of 4% Paraformaldehyde-fixed, 0.1% TritonX-100 permeabilized RAW 264.7 cells labelling MMP9 with ab283575 at 1/50 (12.26 ug/ml) dilution, followed by ab150081 Goat Anti-Rabbit IgG H&L (Alexa Fluor® 488) preadsorbed antibody at 1/1000 (2 ug/ml) dilution (Green). ab195889 Anti-alpha Tubulin mouse monoclonal antibody - Microtubule Marker (Alexa Fluor® 594) was used to counterstain tubulin at 1/200 (2.5 ug/ml) dilution (Red). The Nuclear counterstain was DAPI (Blue).

Confocal image showing increased cytoplasmic staining in RAW 264.7 cells treated with lipopolysaccharide (100 ng/ml) for 4 hours then together with Brefeldin A (1 ug/ml) for 3 hours.

Secondary antibody only control : Secondary antibody is ab150081 Goat Anti-Rabbit IgG H&L (Alexa Fluor® 488) preadsorbed at 1/1000 (2ug/ml) dilution.

Immunohistochemistry (Frozen sections) - Anti-MMP9 antibody [RM1020] (AB283575)
  • IHC-Fr

Supplier Data

Immunohistochemistry (Frozen sections) - Anti-MMP9 antibody [RM1020] (AB283575)

Immunohistochemical analysis of 4% PFA-fixed, 0.2% Triton X-100 permeabilized frozen Mouse lung (fresh) tissue labeling MMP9 with ab283575 at 1/100 (6.13 ug/ml) dilution followed by ab150077 Goat Anti-Rabbit IgG H&L (Alexa Fluor® 488) at 1/1000 (2 ug/ml) dilution (Green). The nuclear counterstain was DAPI (Blue).

Positive staining on macrophages of mouse lung is observed.

Secondary antibody control : Secondary antibody is ab150077 Goat Anti-Rabbit IgG H&L (Alexa Fluor® 488) at 1/1000 (2 ug/ml) dilution.

Immunoprecipitation - Anti-MMP9 antibody [RM1020] (AB283575)
  • IP

Supplier Data

Immunoprecipitation - Anti-MMP9 antibody [RM1020] (AB283575)

MMP9 was immunoprecipitated from 0.35 mg Mouse lung lysate 10 ug with ab283575 at 1/30 dilution (2ug in 0.35mg lysates). Western blot was performed on the immunoprecipitate using ab283575 at 1/1000 dilution. VeriBlot for IP secondary antibody(HRP)(ab131366) was used at 1/5000 dilution.

Lane 1 : Mouse lung lysate 10 ug

Lane 2 : ab283575 IP in Mouse lung lysate

Lane 3 : Rabbit monoclonal IgG (ab172730) instead of ab283575 in Mouse lung lysate

Blocking and dilution buffer and concentration : 5% NFDM/TBST.

Exposure time : 3 min

All lanes:

Immunoprecipitation - Anti-MMP9 antibody [RM1020] (ab283575)

Predicted band size: 78 kDa

Observed band size: 84-92 kDa

false

Western blot - Anti-MMP9 antibody [RM1020] (AB283575)
  • WB

Lab

Western blot - Anti-MMP9 antibody [RM1020] (AB283575)

Western blot : Rabbit Recombinant Multiclonal[RM1020] to MMP9 283575 staining at 1/1000 dilution, shown in green; Mouse anti GAPDH (ab8245) loading control staining at 1/20,000 dilution, shown in magenta. A band was observed at 90 kDa in Wild-type A549 TPA-treated (80nM, 24h) cell lysates with no signal observed at this size in MMP9 knockout A549 TPA-treated (80nM, 24h) cell line. To generate this image, samples were run on an SDS-PAGE gel then transferred onto a nitrocellulose membrane. Membranes were blocked in 3pc Milk in TBS-0.1 % Tween® 20 (TBS-T) before incubation with primary antibodies overnight at 4°C. Blots were washed four times in TBS-T, incubated with secondary antibodies for 1 h at room temperature, washed again four times then imaged. Secondary antibodies used were Goat anti-Rabbit 800CW & Goat anti-Mouse 680RD at 1/20,000 dilution.

All lanes:

Western blot - Anti-MMP9 antibody [RM1020] (ab283575) at 1/1000 dilution

Lane 1:

Wild-type A549 TPA-treated (80nM, 24h) at 20 µg

Lane 2:

Wild-type A549 Vehicle Control TPA (0nM, 24h) at 20 µg

Lanes 3 - 4:

Western blot - Human MMP9 knockout A549 cell line (ab286527) at 20 µg

Lane 5:

Human Lung at 20 µg

Lane 6:

MOLT-4 at 20 µg

Secondary

All lanes:

Goat anti-Rabbit 800CW & Goat anti-Mouse 680RD at 1/20000 dilution

Predicted band size: 78 kDa

Observed band size: 90 kDa

false

Western blot - Anti-MMP9 antibody [RM1020] (AB283575)
  • WB

Supplier Data

Western blot - Anti-MMP9 antibody [RM1020] (AB283575)

The expression of MMP-9 can be stimulated by various agents, such as inflammatory cytokine, growth factor, and 12-O-tetradecanoylphorbol-13-acetate (TPA) (PMID : 21047770, 28969043). Blocking and diluting buffer and concentration : 5% NFDM/TBST

All lanes:

Western blot - Anti-MMP9 antibody [RM1020] (ab283575) at 1/1000 dilution

Lane 1:

LoVo (Human colorectal adenocarcinoma epithelial cell) whole cell lysate at 20 µg

Lane 2:

Huh7 (Human hepatocellular carcinoma epithelial cell) whole cell lysate at 20 µg

Lane 3:

MCF7 (Human breast adenocarcinoma epithelial cell) whole cell lysate at 20 µg

Lane 4:

HeLa (Human cervix adenocarcinoma epithelial cell) whole cell lysate at 20 µg

Lane 5:

Caco-2 (Human colorectal adenocarcinoma epithelial cell) whole cell lysate at 20 µg

Lane 6:

A549 (Human lung carcinoma epithelial cell) serum starved overnight whole cell lysate at 20 µg

Lane 7:

A549 (Human lung carcinoma epithelial cell) serum starved overnight, then treated with 100ng/ml TPA for 24 hours, then together with 1ug/ml BFA for another 3h whole cell lysate at 20 µg

Secondary

All lanes:

Western blot - Goat Anti-Rabbit IgG H&L (HRP) (<a href='/products/secondary-antibodies/goat-rabbit-igg-h-l-hrp-ab97051'>ab97051</a>) at 1/20000 dilution

false

Exposure time: 60s

Indirect ELISA - Anti-MMP9 antibody [RM1020] (AB283575)
  • I-ELISA

Supplier Data

Indirect ELISA - Anti-MMP9 antibody [RM1020] (AB283575)

ELISA using ab283575 at varying antibody concentrations and antigen concentration at 1000 ng/ml. An Alkaline Phosphatase-conjugated AffiniPure Goat Anti-Rabbit IgG (H+L) (1/2500) was used as the secondary antibody.

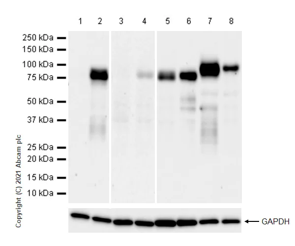
Western blot - Anti-MMP9 antibody [RM1020] (AB283575)
  • WB

Lab

Western blot - Anti-MMP9 antibody [RM1020] (AB283575)

Blocking and diluting buffer and concentration : 5% NFDM/TBST MMP9 is a glycoprotein (PMID : 29329315). The 92 kDa band likely represents the zymogen prior to activating cleavage of the pro-peptide (PMID : 7688350; PMID : 12901881). Exposure time : Lane 3-4 : 3min ; Others : 37 seconds

All lanes:

Western blot - Anti-MMP9 antibody [RM1020] (ab283575) at 1/1000 dilution

Lane 1:

U-2 OS (Human bone osteosarcoma epithelial cell) whole cell lysate at 20 µg

Lane 2:

U-2 OS treated with 200nM TPA for 24h whole cell lysate at 20 µg

Lane 3:

RAW 264.7 (Mouse Abelson murine leukemia virus-induced tumor macrophage) whole cell lysate at 20 µg

Lane 4:

RAW 264.7 treated with 100ng/ml lipopolysaccharide (LPS) for 4h, then together with 1ug/ml BFA for another 3h whole cell lysate at 20 µg

Lane 5:

NR8383 (Rattus norvegicus lung macrophage (alveolar)) whole cell lysate at 20 µg

Lane 6:

NR8383 treated with 100ng/ml lipopolysaccharide (LPS) for 4h, then together with 1ug/ml BFA for another 3h whole cell lysate at 20 µg

Lane 7:

Human lung lysate at 20 µg

Lane 8:

Mouse lung lysate at 20 µg

Secondary

All lanes:

Western blot - Goat Anti-Rabbit IgG H&L (HRP) (<a href='/products/secondary-antibodies/goat-rabbit-igg-h-l-hrp-ab97051'>ab97051</a>) at 1/100000 dilution

Predicted band size: 78 kDa

Observed band size: 84-92 kDa

false

関連する標識済み抗体及び組成の異なる製品 (1)

  • Carrier free

    Anti-MMP9 antibody [RM1020] - BSA and Azide free

Key facts

宿主種

Rabbit

クローン性

Multiclonal

クローン番号

RM1020

アイソタイプ

IgG

キャリアフリー

No

交差種

Human, Rat, Mouse

アプリケーション

IHC-Fr, I-ELISA, IP, IHC-P, ICC/IF, Flow Cyt (Intra), WB

applications

免疫原

The exact immunogen used to generate this antibody is proprietary information.

Reactivity data

{ "title": "Reactivity Data", "filters": { "stats": ["", "Species", "Dilution Info", "Notes"], "tabs": { "all-applications": {"fullname" : "All Applications", "shortname": "All Applications"}, "ICCIF" : {"fullname" : "Immunocytochemistry/ Immunofluorescence", "shortname":"ICC/IF"}, "IP" : {"fullname" : "Immunoprecipitation", "shortname":"IP"}, "FlowCytIntra" : {"fullname" : "Flow Cytometry (Intracellular)", "shortname":"Flow Cyt (Intra)"}, "WB" : {"fullname" : "Western blot", "shortname":"WB"}, "IELISA" : {"fullname" : "Indirect ELISA", "shortname":"I-ELISA"}, "IHCFr" : {"fullname" : "Immunohistochemistry (Frozen sections)", "shortname":"IHC-Fr"}, "IHCP" : {"fullname" : "Immunohistochemistry (Formalin/PFA-fixed paraffin-embedded sections)", "shortname":"IHC-P"} }, "product-promise": { "all": "all", "testedAndGuaranteed": "tested", "guaranteed": "expected", "predicted": "predicted", "notRecommended": "not-recommended" } }, "values": { "Human": { "ICCIF-species-checked": "testedAndGuaranteed", "ICCIF-species-dilution-info": "1/50", "ICCIF-species-notes": "<p></p>", "IP-species-checked": "guaranteed", "IP-species-dilution-info": "", "IP-species-notes": "", "FlowCytIntra-species-checked": "testedAndGuaranteed", "FlowCytIntra-species-dilution-info": "1/500", "FlowCytIntra-species-notes": "<p></p>", "WB-species-checked": "testedAndGuaranteed", "WB-species-dilution-info": "1/1000", "WB-species-notes": "<p></p>", "IELISA-species-checked": "guaranteed", "IELISA-species-dilution-info": "", "IELISA-species-notes": "", "IHCFr-species-checked": "guaranteed", "IHCFr-species-dilution-info": "", "IHCFr-species-notes": "", "IHCP-species-checked": "testedAndGuaranteed", "IHCP-species-dilution-info": "1/5000", "IHCP-species-notes": "<p></p>" }, "Mouse": { "ICCIF-species-checked": "testedAndGuaranteed", "ICCIF-species-dilution-info": "1/50", "ICCIF-species-notes": "<p></p>", "IP-species-checked": "testedAndGuaranteed", "IP-species-dilution-info": "1/30", "IP-species-notes": "<p></p>", "FlowCytIntra-species-checked": "testedAndGuaranteed", "FlowCytIntra-species-dilution-info": "1/500", "FlowCytIntra-species-notes": "<p></p>", "WB-species-checked": "testedAndGuaranteed", "WB-species-dilution-info": "1/1000", "WB-species-notes": "<p></p>", "IELISA-species-checked": "guaranteed", "IELISA-species-dilution-info": "", "IELISA-species-notes": "", "IHCFr-species-checked": "testedAndGuaranteed", "IHCFr-species-dilution-info": "1/100", "IHCFr-species-notes": "<p></p>", "IHCP-species-checked": "testedAndGuaranteed", "IHCP-species-dilution-info": "1/5000", "IHCP-species-notes": "<p></p>" }, "Rat": { "ICCIF-species-checked": "guaranteed", "ICCIF-species-dilution-info": "", "ICCIF-species-notes": "", "IP-species-checked": "guaranteed", "IP-species-dilution-info": "", "IP-species-notes": "", "FlowCytIntra-species-checked": "guaranteed", "FlowCytIntra-species-dilution-info": "", "FlowCytIntra-species-notes": "", "WB-species-checked": "testedAndGuaranteed", "WB-species-dilution-info": "1/1000", "WB-species-notes": "<p></p>", "IELISA-species-checked": "guaranteed", "IELISA-species-dilution-info": "", "IELISA-species-notes": "", "IHCFr-species-checked": "testedAndGuaranteed", "IHCFr-species-dilution-info": "1/100", "IHCFr-species-notes": "<p></p>", "IHCP-species-checked": "testedAndGuaranteed", "IHCP-species-dilution-info": "1/5000", "IHCP-species-notes": "<p></p>" }, "Recombinant fragment - Mouse": { "ICCIF-species-checked": "notRecommended", "ICCIF-species-dilution-info": "", "ICCIF-species-notes": "", "IP-species-checked": "notRecommended", "IP-species-dilution-info": "", "IP-species-notes": "", "FlowCytIntra-species-checked": "notRecommended", "FlowCytIntra-species-dilution-info": "", "FlowCytIntra-species-notes": "", "WB-species-checked": "notRecommended", "WB-species-dilution-info": "", "WB-species-notes": "", "IELISA-species-checked": "testedAndGuaranteed", "IELISA-species-dilution-info": "", "IELISA-species-notes": "<p></p>", "IHCFr-species-checked": "notRecommended", "IHCFr-species-dilution-info": "", "IHCFr-species-notes": "", "IHCP-species-checked": "notRecommended", "IHCP-species-dilution-info": "", "IHCP-species-notes": "" } } }

製品の詳細

What is this antibody validated in?
Anti-MMP9 antibody [RM1020] (ab283575) is a rabbit recombinant recombinant multiclonal antibody and is validated for use in Western Blot (WB), Flow Cytometry (Intra), Flow Cytometry (Flow Cyt), Immunoprecipitation (IP), Immunohistochemistry (IHC-P), Immunohistochemistry (IHC-Fr), Immunocytochemistry/immunofluorescence (ICC/IF), ELISA in Human, Mouse, Rat samples.

What is the molecular weight of MMP9?
Anti-MMP9 [RM1020] (ab283575) specifically detects a band for MMP9 (UniProt: P14780) at a molecular weight of 78kDa.

Trusted by the scientific community
Anti-MMP9 [RM1020] (ab283575) was first used in a scientific publication in 2021 and has been cited over 30 times in peer-reviewed journals.

Trial sizes available!
Test your antibody or perform pre-screening before committing to a larger quantity. Sold in 10µl. Discover our selection of trial-size antibodies.

Specificity confirmed
The specificity of Anti-MMP9 antibody [RM1020] (ab283575) has been confirmed by Western blot testing in MMP9 Knockout A549 cell line.

Other related products
We have a range of other formats of antibody clone [RM1020] also available for your convenience: ab283575, Carrier free - ab283594

What are recombinant multiclonals?
Recombinant multiclonals are a mixture of recombinant antibodies co-expressed from a library of heavy and light chains. They offer several advantages including:

  • - The sensitivity of polyclonal antibodies by recognising multiple epitopes
  • - High batch-to-batch consistency and reproducibility
  • - Improved sensitivity and specificity
  • - Long-term security of supply
  • - Animal-free batch production

View our range of recombinant multiclonal antibodies.

Patented technology
Our RabMAb® technology is a patented hybridoma-based technology for making rabbit monoclonal antibodies. For details on our patents, please refer to RabMAb® patents.

出荷温度及び保存条件

製品の状態
Liquid
精製方法
Affinity purification Protein A
バッファー組成
pH: 7.2 - 7.4 Preservative: 0.01% Sodium azide Constituents: PBS, 40% Glycerol (glycerin, glycerine), 0.05% BSA
出荷温度
Blue Ice
短期保存期間
1-2 weeks
短期保存温度
+4°C
長期保存温度
-20°C
分注に関する情報
Upon delivery aliquot
保管に関する情報
Avoid freeze / thaw cycle

補足情報

This supplementary information is collated from multiple sources and compiled automatically.

The MMP-9 protein also known as matrix metalloproteinase-9 or gelatinase B functions as an enzyme involved in the breakdown of extracellular matrix proteins. It consists of a zinc ion at its active site and facilitates the degradation of type IV and V collagens fibronectin and elastin. MMP-9 has a molecular weight of approximately 92 kDa and is expressed in a variety of tissues including the liver lungs and immune cells. This enzyme can exist in monomer and dimer forms with its activity regulated by tissue inhibitors of metalloproteinases (TIMPs).
Biological function summary

Matrix metalloproteinase-9 profoundly influences tissue remodeling inflammation and angiogenesis. It does not form part of a larger protein complex but interacts closely with substrates in the extracellular matrix. MMP-9 plays important roles in processes such as embryogenesis reproduction and wound healing through the remodeling of surrounding tissues. The MMP-9 protein is often measured using assays like ELISA or analyzed via techniques such as Western blotting to determine its expression levels and activity in different biological contexts.

Pathways

MMP-9 participates in the matrix metalloproteinase pathway and the NF-kB signaling pathway. These pathways are essential in orchestrating processes such as tissue remodeling and inflammatory responses. MMP-9 acts alongside other matrix metalloproteinases including MMP-2 and is regulated by factors like cytokines growth factors and hormones ensuring the precision of extracellular matrix degradation during physiological processes.

Matrix metalloproteinase-9 has associations with cancer invasion and metastasis as well as chronic inflammatory diseases like rheumatoid arthritis. In cancer upregulated MMP-9 expression aids tumor cells in breaching the basement membrane facilitating metastasis. The disorder-associated pathways often involve interactions with proteins like vascular endothelial growth factor (VEGF) and transforming growth factor-beta (TGF-beta). Understanding MMP-9's role in these conditions can contribute to developing targeted therapies that inhibit its activity potentially mitigating disease progression.

製品プロトコール

For this product, it's our understanding that no specific protocols are required. You can visit:

ターゲットの情報

The protein expressed by gene MMP9 is a matrix metalloproteinase that plays an essential role in the local proteolysis of the extracellular matrix and in leukocyte migration. It cleaves KiSS1 at a Gly-|-Leu bond and processes NINJ1 to generate the Secreted ninjurin-1 form. Additionally, MMP9 cleaves type IV and type V collagen into large C-terminal three-quarter fragments and shorter N-terminal one-quarter fragments. It degrades fibronectin but not laminin or Pz-peptide. This supplementary information is collated from multiple sources and compiled automatically.
See full target information MMP9

追加のターゲット

Mmp9

文献 (87)

Recent publications for all applications. Explore the full list and refine your search

Discover oncology 16:1712 PubMed41003853

2025

Hsa_circ_0075451 promotes NSCLC proliferation, metastasis, and glycolysis through interaction with the RNA-binding protein RBM4.

Applications

Unspecified application

Species

Unspecified reactive species

ChongYu Su,YuXuan Wang,Kang Shi,ZheXin Bai,DaPing Yu,ZhiDong Liu

Molecular medicine (Cambridge, Mass.) 31:281 PubMed40849639

2025

CAF-derived exosomes drive the FGF4/SHH feedback loop by encapsulating GREM1 in non-small cell lung cancer.

Applications

Unspecified application

Species

Unspecified reactive species

Xianqiao Wu,Wei Chen,Tianzheng Fang,Ziyuan Chen,Shuai Fang,Chengwei Zhou

Discover oncology 16:1521 PubMed40788438

2025

Clinacanthus nutans (Burm.f.) Lindau facilitates cuproptosis and ameliorates colon cancer progression by inhibiting PDE3B-mediated Apelin pathway.

Applications

Unspecified application

Species

Unspecified reactive species

Gaoyun Zhou,Xueying Lin,Zhiheng Lai,Dewen Su,Long Lin,Xuewu Chen

Scientific reports 15:28976 PubMed40775512

2025

Identification and validation of hub genes related to neutrophil extracellular traps-mediated cell damage and immune recruitment during abdominal aortic aneurysm.

Applications

Unspecified application

Species

Unspecified reactive species

Chuanlong Lu,Heng Wang,Maolin Qiao,Runze Chang,Jinshan Chen,Lizheng Li,Keyi Fan,Sheng Yan,Ruijing Zhang,Honglin Dong

Frontiers in oncology 15:1571537 PubMed40630198

2025

Network pharmacology integrated with molecular docking and experimental validation elucidates the therapeutic potential of extract against hepatitis B virus-related hepatocellular carcinoma.

Applications

Unspecified application

Species

Unspecified reactive species

Fuqing Chen,Yifan Cai,Changzhou Chen,Jianyin Zhou

Cell biology international 49:1197-1208 PubMed40616572

2025

COMMD1 Inhibits Epithelial Mesenchymal Transition (EMT) and Liver Metastasis in Cervical Cancer Through Modulation of the Twist1/E-Cadherin Pathway.

Applications

Unspecified application

Species

Unspecified reactive species

Yue Zhang,Xiuli Wang,Ke Wang,Lei Sun,Shiying Yang,Xiaoguang Wang

BMC cancer 25:1144 PubMed40616024

2025

S100a4 promotes metastatic transformation in non-metastatic liver cancer cells through NMIIa binding: mechanistic insights.

Applications

Unspecified application

Species

Unspecified reactive species

Yong Qin,Chaojun Wang,Shengqian Xu,Junbin Zhou,Shimiao Li,Hailin Ye

Frontiers in oncology 15:1550961 PubMed40607003

2025

Human annexin A5 promotes glioma progression by targeting the pathway.

Applications

Unspecified application

Species

Unspecified reactive species

WeiXian Liu,Tao Xiong,Hu Sun,Ming Wang,JunGao Zhu,ChuanChuan Li

Frontiers in oncology 15:1567493 PubMed40575155

2025

Unveiling the intricacies: small interfering RNA targeting Snail-1 unravels dynamics in endometrial carcinoma cell behavior.

Applications

Unspecified application

Species

Unspecified reactive species

Feng Li,Yuanyuan Zhi,Yinghui Wang,Shaik Althaf Hussain,Turki Mayudh Alrubie,Ping Yang

JBMR plus 9:ziaf056 PubMed40486048

2025

KRAS regulates IL-17 signal activity by affect the metastasis of osteosarcoma via an IL-17A-dependent manner.

Applications

Unspecified application

Species

Unspecified reactive species

Xing Bao,Na Zhang,Chenchen Wang,Shiwang Liu,Aiqi Fan,Fang Zheng,Caihong Yang
View all publications

Abcam product promise

当社は、高品質な試薬を通じてお客様の研究を力強くサポートすることをお約束いたします。ご使用いただく各段階で、常にお客様をサポートできる体制を整えております。万が一、製品が期待通りに機能しない場合は、「Abcam Product Promise」による当社保証制度に基づき、安心してご利用いただけます。
保証に関する詳細については利用規約をご確認ください。

Please note: All products are 'FOR RESEARCH USE ONLY. NOT FOR USE IN DIAGNOSTIC OR THERAPEUTIC PROCEDURES'.

For licensing inquiries, please contact partnerships@abcam.com