JavaScript is disabled in your browser. Please enable JavaScript to view this website.
AB204850

Anti-MMP9 抗体 [EP1254] - BSA and Azide free

Anti-MMP9 antibody [EP1254] - BSA and Azide free

4

(1 Review)

|

(4 Publications)

Rabbit Recombinant Monoclonal MMP9 antibody. Carrier free. Suitable for WB, ICC/IF, Flow Cyt (Intra), IHC-P and reacts with Human, Rat, Recombinant full length protein - Human samples. Cited in 4 publications.

別名を表示する

CLG4B, MMP9, Matrix metalloproteinase-9, MMP-9, 92 kDa gelatinase, 92 kDa type IV collagenase, Gelatinase B, GELB

14 Images
Immunocytochemistry/ Immunofluorescence - Anti-MMP9 antibody [EP1254] - BSA and Azide free (AB204850)
  • ICC/IF

Unknown

Immunocytochemistry/ Immunofluorescence - Anti-MMP9 antibody [EP1254] - BSA and Azide free (AB204850)

Immunocytochemistry/Immunofluorescence analysis of U-2 OS (human osteosarcoma) cells labeling MMP9 with ab76003 at 1/500 (4.3 μg/mL). Cells were fixed with 4% paraformaldehyde and permeabilized with 0.1% Triton X-100. ab150077, Alexa Fluor® 488-conjugated goat anti-rabbit IgG (1/1000, 2 μg/mL) was used as the secondary antibody. Cells were counterstained with ab195889 Anti-Alpha Tubulin antibody [DM1A] (1/200, 2.5 μg/mL) - Microtubule Marker (Alexa Fluor® 594). DAPI (blue) was used as a nuclear counterstain.

Confocal image showing cytoplasmic staining onU-2 OS cells, the expression increased after treatment with TPA (200 nM) for 24 hours (middle panel).

Secondary Only Control : PBS was used instead of the primary antibody as the negative control with both TPA treated and untreated U-2 OS cells.

This data was developed using the same antibody clone in a different buffer formulation containing PBS, BSA, glycerol, and sodium azide (ab76003).

Immunohistochemistry (Formalin/PFA-fixed paraffin-embedded sections) - Anti-MMP9 antibody [EP1254] - BSA and Azide free (AB204850)
  • IHC-P

Supplier Data

Immunohistochemistry (Formalin/PFA-fixed paraffin-embedded sections) - Anti-MMP9 antibody [EP1254] - BSA and Azide free (AB204850)

Immunohistochemistry (Formalin/PFA-fixed paraffin-embedded sections) analysis of human gastric adenocarcinoma tissue labeling MMP9 with unpurified ab76003 at a dilution of 1/100.

Perform heat mediated antigen retrieval before commencing with IHC staining protocol.

This data was developed using the same antibody clone in a different buffer formulation containing PBS, BSA, glycerol, and sodium azide (ab76003).

Flow Cytometry (Intracellular) - Anti-MMP9 antibody [EP1254] - BSA and Azide free (AB204850)
  • Flow Cyt (Intra)

Unknown

Flow Cytometry (Intracellular) - Anti-MMP9 antibody [EP1254] - BSA and Azide free (AB204850)

Overlay histogram showing permeabilized A431 (Human epidermoid carcinoma cell line) cells stained with unpurified ab76003 (pink line).

Negative control antibody (green line) was rabbit IgG.

This data was developed using the same antibody clone in a different buffer formulation containing PBS, BSA, glycerol, and sodium azide (ab76003).

Immunohistochemistry (Formalin/PFA-fixed paraffin-embedded sections) - Anti-MMP9 antibody [EP1254] - BSA and Azide free (AB204850)
  • IHC-P

Unknown

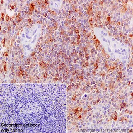
Immunohistochemistry (Formalin/PFA-fixed paraffin-embedded sections) - Anti-MMP9 antibody [EP1254] - BSA and Azide free (AB204850)

This IHC data was generated using the same anti-MMP9 antibody clone, EP1254, in a different buffer formulation (cat# ab76003).

Immunohistochemistry (Formalin/PFA-fixed paraffin-embedded sections) analysis of human spleen tissue labelling MMP9 with purified ab76003 at 1/1000. Heat mediated antigen retrieval was performed using Tris/EDTA buffer pH 9. ab97051, a HRP-conjugated goat anti-rabbit IgG (H+L) was used as the secondary antibody (1/500). Negative control using PBS instead of primary antibody. Counterstained with hematoxylin.

Functional Study - Anti-MMP9 antibody [EP1254] - BSA and Azide free (AB204850)
  • Functional Study

Unknown

Functional Study - Anti-MMP9 antibody [EP1254] - BSA and Azide free (AB204850)

Unpurified ab76003 staining MMP9 in U87-MG cells treated with domoic acid (ab120338), by ICC/IF. Increase of MMP9 expression correlates with increased concentration of domoic acid, as described in literature.
The cells were incubated at 37°C for 6h in media containing different concentrations of ab120338 (domoic acid) in DMSO, fixed with 4% formaldehyde for 10 minutes at room temperature and blocked with PBS containing 10% goat serum, 0.3 M glycine, 1% BSA and 0.1% tween for 2h at room temperature. Staining of the treated cells with unpurified ab76003 (1/200) dilution was performed overnight at 4°C in PBS containing 1% BSA and 0.1% tween. A DyLight® 488 anti-rabbit polyclonal antibody (ab96899) at 1/250 dilution was used as the secondary antibody. Nuclei were counterstained with DAPI and are shown in blue.

This data was developed using the same antibody clone in a different buffer formulation containing PBS, BSA, glycerol, and sodium azide (ab76003).

Western blot - Anti-MMP9 antibody [EP1254] - BSA and Azide free (AB204850)
  • WB

Lab

Western blot - Anti-MMP9 antibody [EP1254] - BSA and Azide free (AB204850)

This data was developed using the same antibody clone in a different buffer formulation containing PBS, BSA, glycerol, and sodium azide (ab76003).

Western blot : Rabbit Monoclonal[EP1254] to MMP9 76003 staining at 1/1000 dilution, shown in green; Mouse anti GAPDH (ab8245) loading control staining at 1/20,000 dilution, shown in magenta. A band was observed at 90 kDa in Wild-type A549 TPA-treated (80nM, 24h) cell lysates with no signal observed at this size in MMP9 knockout A549 TPA-treated (80nM, 24h) cell line. To generate this image, samples were run on an SDS-PAGE gel then transferred onto a nitrocellulose membrane. Membranes were blocked in 3pc Milk in TBS-0.1 % Tween® 20 (TBS-T) before incubation with primary antibodies overnight at 4°C. Blots were washed four times in TBS-T, incubated with secondary antibodies for 1 h at room temperature, washed again four times then imaged. Secondary antibodies used were Goat anti-Rabbit 800CW & Goat anti-Mouse 680RD at 1/20,000 dilution.

All lanes:

Western blot - Anti-MMP9 antibody [EP1254] (<a href='/products/primary-antibodies/mmp9-antibody-ep1254-ab76003'>ab76003</a>) at 1/1000 dilution

Lane 1:

Wild-type A549 TPA-treated (80nM, 24h) at 20 µg

Lane 2:

Wild-type A549 Vehicle Control TPA (0nM, 24h) at 20 µg

Lanes 3 - 4:

Western blot - Human MMP9 knockout A549 cell line (ab286527) at 20 µg

Lane 5:

Human Lung at 20 µg

Lane 6:

MOLT-4 at 20 µg

Secondary

All lanes:

Goat anti-Rabbit 800CW & Goat anti-Mouse 680RD at 1/20000 dilution

Predicted band size: 78 kDa

Observed band size: 90 kDa

false

Western blot - Anti-MMP9 antibody [EP1254] - BSA and Azide free (AB204850)
  • WB

AbReview55690****

Western blot - Anti-MMP9 antibody [EP1254] - BSA and Azide free (AB204850)

This data was developed using the same antibody clone in a different buffer formulation containing PBS, BSA, glycerol, and sodium azide (ab76003).

All lanes:

Western blot - Anti-MMP9 antibody [EP1254] (<a href='/products/primary-antibodies/mmp9-antibody-ep1254-ab76003'>ab76003</a>) at 1/5000 dilution

Lanes 1 - 2:

HTB94 (human chondrosarcoma cell line) cell lysate at 10 µg

Lanes 3 - 4:

HTB94 (human chondrosarcoma cell line) conditioned media at 10 µg

Secondary

All lanes:

Goat anti-rabbit IgG at 1/5000 dilution

Predicted band size: 78 kDa

true

Data courtesy of an anonymous AbReview

Western blot - Anti-MMP9 antibody [EP1254] - BSA and Azide free (AB204850)
  • WB

Lab

Western blot - Anti-MMP9 antibody [EP1254] - BSA and Azide free (AB204850)

This data was developed using the same antibody clone in a different buffer formulation containing PBS, BSA, glycerol, and sodium azide (ab76003).

Running buffer : MOPS.

Conditions : Denatured/reduced.

This blot was produced using a 4-12% Bis-Tris gel under the MOPS buffer system. The gel was run at 200V for 60 minutes before being transferred onto a nitrocellulose membrane at 30V for 70 minutes. The membrane was then blocked for an hour before being incubated with ab76003 (rabbit-anti MMP9; 1.5 ug/mL) and ab8245 (loading control to GAPDH; 0.1 ug/mL) for 48 hours at 4°C. Before imaging, antibody binding was detected using infrared-labeled goat anti-rabbit (green) and goat anti-mouse (red) at 1 : 10,000 dilution for 1 hour at room temperature.

All lanes:

Western blot - Anti-MMP9 antibody [EP1254] (<a href='/products/primary-antibodies/mmp9-antibody-ep1254-ab76003'>ab76003</a>) at 1.5 µg/mL

Lane 1:

Control U937 at 100 µg

Lane 2:

Stimulated U937 (24 hours with 10 ng x mL-1 PMA (<a href='/products/biochemicals/phorbol-12-myristate-13-acetate-pma-pkc-activator-ab120297'>ab120297</a>), 3 final hours with 3 ug x mL-1 of Brefeldin (<a href='/products/biochemicals/brefeldin-a-inhibitor-of-adp-ribosylation-factor-ab120299'>ab120299</a>)) at 100 µg

Lane 3:

Human tonsils at 20 µg

Secondary

All lanes:

Goat anti-rabbit at 1/10000 dilution

Predicted band size: 78 kDa

Observed band size: 89 kDa

false

Western blot - Anti-MMP9 antibody [EP1254] - BSA and Azide free (AB204850)
  • WB

Supplier Data

Western blot - Anti-MMP9 antibody [EP1254] - BSA and Azide free (AB204850)

This data was developed using the same antibody clone in a different buffer formulation containing PBS, BSA, glycerol, and sodium azide (ab76003).

Blocking and dilution buffer : 5% NFDM/TBST.

The expression of MMP-9 can be stimulated by various agents, such as inflammatory cytokine, growth factor, and 12-O-tetradecanoylphorbol-13-acetate (TPA) (PMID : 21047770, 28969043).

Based on our preliminary data, ab76003 detects no or weak band of interest in the untreated cell lines at the dilution of 1/200. Treatment increasing the expression of MMP-9 is recommended when using this antibody.

All lanes:

Western blot - Anti-MMP9 antibody [EP1254] (<a href='/products/primary-antibodies/mmp9-antibody-ep1254-ab76003'>ab76003</a>) at 1/200 dilution

Lane 1:

LoVo (Human colorectal adenocarcinoma epithelial cell) whole cell lysate at 20 µg

Lane 2:

Huh7 (Human hepatocellular carcinoma epithelial cell) whole cell lysate at 20 µg

Lane 3:

MCF7 (Human breast adenocarcinoma epithelial cell) whole cell lysate at 20 µg

Lane 4:

HeLa (Human cervix adenocarcinoma epithelial cell) whole cell lysate at 20 µg

Lane 5:

Caco-2 (Human colorectal adenocarcinoma epithelial cell) whole cell lysate at 20 µg

Lane 6:

A549 (Human lung carcinoma epithelial cell) serum starved overnight whole cell lysate at 20 µg

Lane 7:

A549 (Human lung carcinoma epithelial cell) serum starved overnight, then treated with 80nM TPA for 24 hours whole cell lysate at 20 µg

Lane 8:

MDA-MB-231 (Human breast adenocarcinoma epithelial cell) serum starved overnight whole cell lysate at 20 µg

Lane 9:

MDA-MB-231 (Human breast adenocarcinoma epithelial cell) serum starved overnight, then treated with 200nM TPA for 24 hours whole cell lysate at 20 µg

Lane 10:

HepG2 (Human hepatocellular carcinoma epithelial cell) whole cell lysate at 20 µg

Secondary

All lanes:

Western blot - Goat Anti-Rabbit IgG H&L (HRP) (<a href='/products/secondary-antibodies/goat-rabbit-igg-h-l-hrp-ab97051'>ab97051</a>) at 1/20000 dilution

Predicted band size: 78 kDa

Observed band size: 84-82 kDa

false

Exposure time: 60s

Western blot - Anti-MMP9 antibody [EP1254] - BSA and Azide free (AB204850)
  • WB

Lab

Western blot - Anti-MMP9 antibody [EP1254] - BSA and Azide free (AB204850)

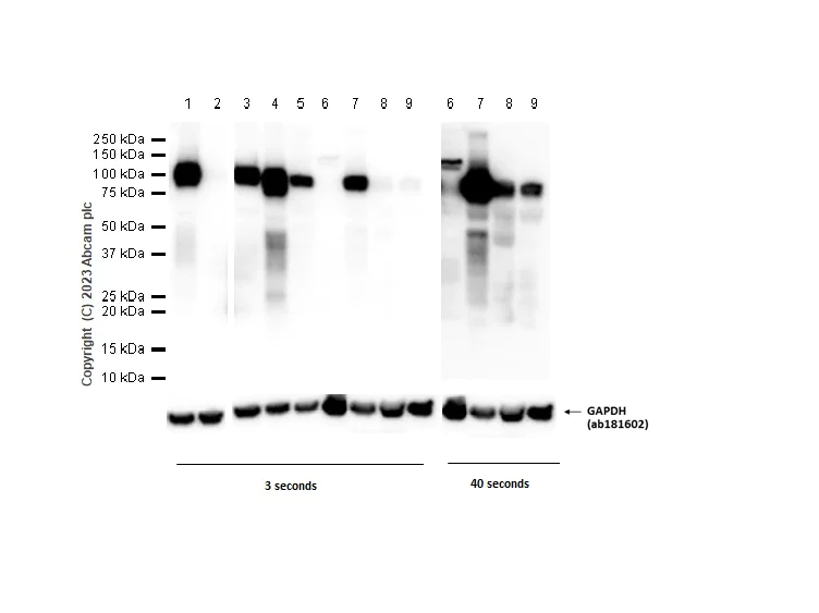
This data was developed using the same antibody clone in a different buffer formulation containing PBS, BSA, glycerol, and sodium azide (ab76003). Blocking and diluting buffer and concentration : 5% NFDM/TBST. Exposure time : 3 seconds; 40 seconds. ab181602 was used as loading control for GAPDH. Although MMP9 has been studied in brain in some publications, ab76003 was unable to detect signal in normal brain tissue, this may because MMP9 expression level is low in normal brain and would be increased in abnormal conditions like injury (PMID : 31198417).

All lanes:

Western blot - Anti-MMP9 antibody [EP1254] (<a href='/products/primary-antibodies/mmp9-antibody-ep1254-ab76003'>ab76003</a>) at 1/1000 dilution

Lane 1:

Human lung tissue lysate at 20 µg

Lane 2:

Human brain tissue lysate at 20 µg

Lane 3:

Human spleen tissue lysate at 20 µg

Lane 4:

Human lymph node tissue lysate at 20 µg

Lane 5:

Rat lung tissue lysate at 20 µg

Lane 6:

Rat brain tissue lysate at 20 µg

Lane 7:

Rat spleen tissue lysate at 20 µg

Lane 8:

Rat kidney tissue lysate at 20 µg

Lane 9:

Rat lymph node tissue lysate at 20 µg

Secondary

All lanes:

Western blot - Goat Anti-Rabbit IgG H&L (HRP) (<a href='/products/secondary-antibodies/goat-rabbit-igg-h-l-hrp-ab97051'>ab97051</a>) at 1/20000 dilution

Predicted band size: 29 kDa

false

Western blot - Anti-MMP9 antibody [EP1254] - BSA and Azide free (AB204850)
  • WB

Lab

Western blot - Anti-MMP9 antibody [EP1254] - BSA and Azide free (AB204850)

This data was developed using the same antibody clone in a different buffer formulation containing PBS, BSA, glycerol, and sodium azide (ab76003).

Blocking and dilution buffer : 5% NFDM/TBST.

All lanes:

Western blot - Anti-MMP9 antibody [EP1254] (<a href='/products/primary-antibodies/mmp9-antibody-ep1254-ab76003'>ab76003</a>) at 1/1000 dilution

All lanes:

Rat kidney tissue lysate at 10 µg

Secondary

All lanes:

Peroxidase-conjugated goat anti-rabbit IgG, (H+L) at 1/1000 dilution

Predicted band size: 78 kDa

Observed band size: 84-92 kDa

false

Western blot - Anti-MMP9 antibody [EP1254] - BSA and Azide free (AB204850)
  • WB

Unknown

Western blot - Anti-MMP9 antibody [EP1254] - BSA and Azide free (AB204850)

This data was developed using the same antibody clone in a different buffer formulation containing PBS, BSA, glycerol, and sodium azide (ab76003).

Running buffer : MOPS.

Conditions : Denatured/reduced.

This blot was produced using a 4-12% Bis-Tris gel under the MOPS buffer system. The gel was run at 200V for 60 minutes before being transferred onto a nitrocellulose membrane at 30V for 70 minutes. The membrane was then blocked for an hour before being incubated with ab76003 (rabbit-anti MMP9; 1.5 ug/mL) for 48 hours at 4°C. Before imaging, antibody binding was detected using infrared-labeled goat anti-rabbit (green) at 1 : 10,000 dilutions for 1 hour at room temperature.

All lanes:

Western blot - Anti-MMP9 antibody [EP1254] (<a href='/products/primary-antibodies/mmp9-antibody-ep1254-ab76003'>ab76003</a>) at 1.5 µg/mL

All lanes:

Western blot - Recombinant Human MMP9 protein (Proenzyme) (<a href='/products/proteins-peptides/recombinant-human-mmp9-protein-proenzyme-ab82955'>ab82955</a>) at 0.1 µg

Secondary

All lanes:

Goat anti-rabbit at 1/10000 dilution

Predicted band size: 78 kDa

Observed band size: 89 kDa

false

Western blot - Anti-MMP9 antibody [EP1254] - BSA and Azide free (AB204850)
  • WB

Lab

Western blot - Anti-MMP9 antibody [EP1254] - BSA and Azide free (AB204850)

This data was developed using the same antibody clone in a different buffer formulation containing PBS, BSA, glycerol, and sodium azide (ab76003).

This blot was produced using a 4-12% Bis-Tris gel under the MOPS buffer system. The gel was run at 200V for 60 minutes before being transferred onto a nitrocellulose membrane at 30V for 70 minutes. The membrane was then blocked for an hour before being incubated with anti-MMP9 antibody [EP1254] (ab76003; 5 microgram per mL) overnight at 4°C. Antibody binding was detected using infrared labeled goat anti-rabbit (green) antibody (diluted 1 : 20000) for 1 hour at room temperature before imaging.

Lanes 1 - 2:

Western blot - Anti-MMP9 antibody [EP1254] (<a href='/products/primary-antibodies/mmp9-antibody-ep1254-ab76003'>ab76003</a>) at 5 µg

Lane 3:

Western blot - Anti-MMP9 antibody [EP1254] (<a href='/products/primary-antibodies/mmp9-antibody-ep1254-ab76003'>ab76003</a>) at 5 µg/mL

Lane 1:

Western blot - Native human MMP9 protein (dimer) (<a href='/products/proteins-peptides/native-human-mmp9-protein-dimer-ab168863'>ab168863</a>) at 0.1 µg

Lane 2:

Western blot - Native human MMP9 protein (Proenzyme, monomer) (<a href='/products/proteins-peptides/native-human-mmp9-protein-proenzyme-monomer-ab157344'>ab157344</a>) at 0.1 µg

Lane 3:

Western blot - Recombinant Mouse MMP9 protein (<a href='/products/proteins-peptides/recombinant-mouse-mmp9-protein-ab39309'>ab39309</a>) at 0.1 µg

Secondary

All lanes:

Infrared labeled goat anti-rabbit (green) antibody at 1/20000 dilution

Predicted band size: 78 kDa

false

OI-RD Scanning - Anti-MMP9 antibody [EP1254] - BSA and Azide free (AB204850)
  • OI-RD Scanning

Unknown

OI-RD Scanning - Anti-MMP9 antibody [EP1254] - BSA and Azide free (AB204850)

We have systematically measured KD (the equilibrium dissociation constant between the antibody and its antigen), of more than 840 recombinant antibodies to assess not only their individual KD values but also to see the average affinity of antibody. Based on the comparison with published literature values for mouse monoclonal antibodies, Recombinant antibodies appear to be on average 1-2 order of magnitude higher affinity.

関連する標識済み抗体及び組成の異なる製品 (10)

Key facts

宿主種

Rabbit

クローン性

Monoclonal

クローン番号

EP1254

アイソタイプ

IgG

キャリアフリー

Yes

交差種

Rat, Human

アプリケーション

WB, IHC-P, Flow Cyt (Intra), ICC/IF

applications

免疫原

The exact immunogen used to generate this antibody is proprietary information.

特異性

Based on our preliminary data, ab204850 detects no or weak band of interest in the untreated cell lines at the dilution of 1/200. Treatment increasing the expression of MMP-9 is recommended when using this antibody.

This antibody works better in 1% SDS Hot Lysates in WB. For Lysate preparation protocol, please refer to the protocol book in the protocol section and/or here (downloadable copy).

Reactivity data

{ "title": "Reactivity Data", "filters": { "stats": ["", "Species", "Dilution Info", "Notes"], "tabs": { "all-applications": {"fullname" : "All Applications", "shortname": "All Applications"}, "WB" : {"fullname" : "Western blot", "shortname":"WB"}, "ICCIF" : {"fullname" : "Immunocytochemistry/ Immunofluorescence", "shortname":"ICC/IF"}, "FlowCytIntra" : {"fullname" : "Flow Cytometry (Intracellular)", "shortname":"Flow Cyt (Intra)"}, "IHCP" : {"fullname" : "Immunohistochemistry (Formalin/PFA-fixed paraffin-embedded sections)", "shortname":"IHC-P"} }, "product-promise": { "all": "all", "testedAndGuaranteed": "tested", "guaranteed": "expected", "predicted": "predicted", "notRecommended": "not-recommended" } }, "values": { "Human": { "WB-species-checked": "testedAndGuaranteed", "WB-species-dilution-info": "", "WB-species-notes": "<p>Based on our preliminary data, ab204850 detects no or weak band of interest in the untreated cell lines at the dilution of 1/200. Treatment increasing the expression of MMP-9 is recommended when using this antibody.</p>", "ICCIF-species-checked": "testedAndGuaranteed", "ICCIF-species-dilution-info": "", "ICCIF-species-notes": "<p></p>", "FlowCytIntra-species-checked": "testedAndGuaranteed", "FlowCytIntra-species-dilution-info": "", "FlowCytIntra-species-notes": "<p></p>", "IHCP-species-checked": "testedAndGuaranteed", "IHCP-species-dilution-info": "", "IHCP-species-notes": "<p></p>" }, "Rat": { "WB-species-checked": "testedAndGuaranteed", "WB-species-dilution-info": "", "WB-species-notes": "<p>Based on our preliminary data, ab204850 detects no or weak band of interest in the untreated cell lines at the dilution of 1/200. Treatment increasing the expression of MMP-9 is recommended when using this antibody.</p>", "ICCIF-species-checked": "guaranteed", "ICCIF-species-dilution-info": "", "ICCIF-species-notes": "", "FlowCytIntra-species-checked": "guaranteed", "FlowCytIntra-species-dilution-info": "", "FlowCytIntra-species-notes": "", "IHCP-species-checked": "guaranteed", "IHCP-species-dilution-info": "", "IHCP-species-notes": "" }, "Recombinant full length protein - Human": { "WB-species-checked": "testedAndGuaranteed", "WB-species-dilution-info": "", "WB-species-notes": "<p>Based on our preliminary data, ab204850 detects no or weak band of interest in the untreated cell lines at the dilution of 1/200. Treatment increasing the expression of MMP-9 is recommended when using this antibody.</p>", "ICCIF-species-checked": "notRecommended", "ICCIF-species-dilution-info": "", "ICCIF-species-notes": "", "FlowCytIntra-species-checked": "notRecommended", "FlowCytIntra-species-dilution-info": "", "FlowCytIntra-species-notes": "", "IHCP-species-checked": "notRecommended", "IHCP-species-dilution-info": "", "IHCP-species-notes": "" } } }

製品の詳細

ab204850 is the carrier-free version of ab76003.

Species reactivity
Mouse: We have preliminary internal testing data to indicate this antibody may not react with this species.
Please contact us for more information.

Patented technology
Our RabMAb® technology is a patented hybridoma-based technology for making rabbit monoclonal antibodies. For details on our patents, please refer to RabMAb® patents.

What are the advantages of a recombinant monoclonal antibody?
This product is a recombinant monoclonal antibody, which offers several advantages including:

  • - High batch-to-batch consistency and reproducibility
  • - Improved sensitivity and specificity
  • - Long-term security of supply
  • - Animal-free batch production

For more information, read more on recombinant antibodies.

Conjugation ready
Our carrier-free antibodies are typically supplied in a PBS-only formulation, purified and free of BSA, sodium azide and glycerol. This conjugation-ready format is designed for use with fluorochromes, metal isotopes, oligonucleotides, and enzymes, which makes them ideal for antibody labelling, functional and cell-based assays, flow-based assays (e.g. mass cytometry) and Multiplex Imaging applications.

Use our conjugation kits for antibody conjugates that are ready-to-use in as little as 20 minutes with 1 minute hands-on-time and 100% antibody recovery: available for fluorescent dyes, HRP, biotin and gold.

Compatibility
This product is compatible with the Maxpar® Antibody Labeling Kit from Fluidigm, without the need for antibody preparation. Maxpar® is a trademark of Fluidigm Canada Inc.

出荷温度及び保存条件

製品の状態
Liquid
精製方法
Affinity purification Protein A
バッファー組成
pH: 7.2 - 7.4 Constituents: PBS
出荷温度
Blue Ice
短期保存温度
+4°C
長期保存温度
+4°C
保管に関する情報
Do Not Freeze

補足情報

This supplementary information is collated from multiple sources and compiled automatically.

The MMP-9 protein also known as matrix metalloproteinase-9 or gelatinase B functions as an enzyme involved in the breakdown of extracellular matrix proteins. It consists of a zinc ion at its active site and facilitates the degradation of type IV and V collagens fibronectin and elastin. MMP-9 has a molecular weight of approximately 92 kDa and is expressed in a variety of tissues including the liver lungs and immune cells. This enzyme can exist in monomer and dimer forms with its activity regulated by tissue inhibitors of metalloproteinases (TIMPs).
Biological function summary

Matrix metalloproteinase-9 profoundly influences tissue remodeling inflammation and angiogenesis. It does not form part of a larger protein complex but interacts closely with substrates in the extracellular matrix. MMP-9 plays important roles in processes such as embryogenesis reproduction and wound healing through the remodeling of surrounding tissues. The MMP-9 protein is often measured using assays like ELISA or analyzed via techniques such as Western blotting to determine its expression levels and activity in different biological contexts.

Pathways

MMP-9 participates in the matrix metalloproteinase pathway and the NF-kB signaling pathway. These pathways are essential in orchestrating processes such as tissue remodeling and inflammatory responses. MMP-9 acts alongside other matrix metalloproteinases including MMP-2 and is regulated by factors like cytokines growth factors and hormones ensuring the precision of extracellular matrix degradation during physiological processes.

Matrix metalloproteinase-9 has associations with cancer invasion and metastasis as well as chronic inflammatory diseases like rheumatoid arthritis. In cancer upregulated MMP-9 expression aids tumor cells in breaching the basement membrane facilitating metastasis. The disorder-associated pathways often involve interactions with proteins like vascular endothelial growth factor (VEGF) and transforming growth factor-beta (TGF-beta). Understanding MMP-9's role in these conditions can contribute to developing targeted therapies that inhibit its activity potentially mitigating disease progression.

製品プロトコール

For this product, it's our understanding that no specific protocols are required. You can visit:

ターゲットの情報

The protein expressed by gene MMP9 is a matrix metalloproteinase that plays an essential role in the local proteolysis of the extracellular matrix and in leukocyte migration. It cleaves KiSS1 at a Gly-|-Leu bond and processes NINJ1 to generate the Secreted ninjurin-1 form. Additionally, MMP9 cleaves type IV and type V collagen into large C-terminal three-quarter fragments and shorter N-terminal one-quarter fragments. It degrades fibronectin but not laminin or Pz-peptide. This supplementary information is collated from multiple sources and compiled automatically.
See full target information MMP9

文献 (4)

Recent publications for all applications. Explore the full list and refine your search

Cancer cell 40:1521-1536.e7 PubMed36400020

2022

Molecular classification and biomarkers of clinical outcome in breast ductal carcinoma in situ: Analysis of TBCRC 038 and RAHBT cohorts.

Applications

Unspecified application

Species

Unspecified reactive species

Siri H Strand,Belén Rivero-Gutiérrez,Kathleen E Houlahan,Jose A Seoane,Lorraine M King,Tyler Risom,Lunden A Simpson,Sujay Vennam,Aziz Khan,Luis Cisneros,Timothy Hardman,Bryan Harmon,Fergus Couch,Kristalyn Gallagher,Mark Kilgore,Shi Wei,Angela DeMichele,Tari King,Priscilla F McAuliffe,Julie Nangia,Joanna Lee,Jennifer Tseng,Anna Maria Storniolo,Alastair M Thompson,Gaorav P Gupta,Robyn Burns,Deborah J Veis,Katherine DeSchryver,Chunfang Zhu,Magdalena Matusiak,Jason Wang,Shirley X Zhu,Jen Tappenden,Daisy Yi Ding,Dadong Zhang,Jingqin Luo,Shu Jiang,Sushama Varma,Lauren Anderson,Cody Straub,Sucheta Srivastava,Christina Curtis,Rob Tibshirani,Robert Michael Angelo,Allison Hall,Kouros Owzar,Kornelia Polyak,Carlo Maley,Jeffrey R Marks,Graham A Colditz,E Shelley Hwang,Robert B West

Journal of advanced research 41:39-48 PubMed36328752

2022

DNA-PKcs promotes sepsis-induced multiple organ failure by triggering mitochondrial dysfunction.

Applications

Unspecified application

Species

Unspecified reactive species

Rongjun Zou,Jun Tao,Junxiong Qiu,Huimin Lu,Jianhua Wu,Hang Zhu,Ruibing Li,David Mui,Sam Toan,Xing Chang,Hao Zhou,Xiaoping Fan

Frontiers in endocrinology 12:727915 PubMed34526970

2021

Upregulation of in Diet-Induced Obesity Mouse and the Hypothalamic Appetite Control.

Applications

Unspecified application

Species

Unspecified reactive species

Dongxiao Zhang,Satoshi Yamaguchi,Xinhao Zhang,Boxuan Yang,Naoko Kurooka,Ryosuke Sugawara,Haya Hamed H Albuayjan,Atsuko Nakatsuka,Jun Eguchi,Takeshi Y Hiyama,Atsunori Kamiya,Jun Wada

Nature cancer 2:545-562 PubMed35122017

2021

Neutrophil oxidative stress mediates obesity-associated vascular dysfunction and metastatic transmigration.

Applications

Unspecified application

Species

Unspecified reactive species

Sheri A C McDowell,Robin B E Luo,Azadeh Arabzadeh,Samuel Doré,Nicolas C Bennett,Valérie Breton,Elham Karimi,Morteza Rezanejad,Ryan R Yang,Katherine D Lach,Marianne S M Issac,Bozena Samborska,Lucas J M Perus,Dan Moldoveanu,Yuhong Wei,Benoit Fiset,Roni F Rayes,Ian R Watson,Lawrence Kazak,Marie-Christine Guiot,Pierre O Fiset,Jonathan D Spicer,Andrew J Dannenberg,Logan A Walsh,Daniela F Quail
View all publications

Abcam product promise

当社は、高品質な試薬を通じてお客様の研究を力強くサポートすることをお約束いたします。ご使用いただく各段階で、常にお客様をサポートできる体制を整えております。万が一、製品が期待通りに機能しない場合は、「Abcam Product Promise」による当社保証制度に基づき、安心してご利用いただけます。
保証に関する詳細については利用規約をご確認ください。

Please note: All products are 'FOR RESEARCH USE ONLY. NOT FOR USE IN DIAGNOSTIC OR THERAPEUTIC PROCEDURES'.

For licensing inquiries, please contact partnerships@abcam.com