JavaScript is disabled in your browser. Please enable JavaScript to view this website.
AB51074

Anti-MMP14 抗体 [EP1264Y]

Anti-MMP14 antibody [EP1264Y]

  • BOND RX™ Validated
  • RabMAb
  • Recombinant
  • KO Validated
  • 20ul selling size
  • 詳細を見る

4

(20 Reviews)

|

(198 Publications)

Anti-MMP14 antibody [EP1264Y] (ab51074) is a rabbit monoclonal antibody detecting MMP14 in Western Blot, Flow Cytometry (Intra), Flow Cytometry, IP, IHC-P, ICC/IF. Suitable for Human, Mouse, Rat.

- Clone EP1264Y is the most cited clone to MMP14
- KO validated for confirmed specificity
- Biophysical QC for unrivalled batch-batch consistency
- Over 170 publications

別名を表示する

Matrix metalloproteinase-14, MMP-14, MMP-X1, Membrane-type matrix metalloproteinase 1, Membrane-type-1 matrix metalloproteinase, MT-MMP 1, MTMMP1, MT1-MMP, MT1MMP, MMP14

13 Images
Western blot - Anti-MMP14 antibody [EP1264Y] (AB51074)
  • WB

Lab

Western blot - Anti-MMP14 antibody [EP1264Y] (AB51074)

Lanes 1 - 3 : Merged signal (red and green). Green - ab51074 observed at 54 kDa. Red - loading control, ab8245 (Mouse anti-GAPDH antibody [6C5]) observed at 37kDa.

ab51074 was shown to react with MMP14 in A431 wild-type cells in Western blot. Loss of signal was observed when MMP14 knockout sample was used. A431 wild-type and MMP14 knockout cell lysates were subjected to SDS-PAGE. Membranes were blocked in 5% Milk in TBS-T (0.1% Tween®) before incubation with ab51074 and ab8245 (Mouse anti-GAPDH antibody [6C5]) overnight at 4°C at a 1 in 2000 dilution and a 1 in 20000 dilution respectively. Blots were developed with Goat anti-Rabbit IgG H&L (IRDye® 800CW) preabsorbed (ab216773) and Goat anti-Mouse IgG H&L (IRDye® 680RD) preabsorbed (ab216776) secondary antibodies at 1 in 20000 dilution for 1 hour at room temperature before imaging.

All lanes:

Western blot - Anti-MMP14 antibody [EP1264Y] (ab51074) at 1/2000 dilution

Lane 1:

Wild-type A-431 (Human epidermoid carcinoma cell line) whole cell lysate at 20 µg

Lane 2:

MMP14 knockout A-431 (Human epidermoid carcinoma cell line) whole cell lysate at 20 µg

Lane 2:

Western blot - Human MMP14 knockout A-431 cell line (<a href='/products/cell-lines/human-mmp14-knockout-a-431-cell-line-ab261890'>ab261890</a>)

Lane 3:

Caco-2 (Human colorectal adenocarcinoma cell line) whole cell lysate at 20 µg

Predicted band size: 65 kDa

Observed band size: 54 kDa

false

Immunohistochemistry (Formalin/PFA-fixed paraffin-embedded sections) - Anti-MMP14 antibody [EP1264Y] (AB51074)
  • IHC-P

Lab

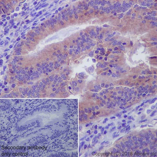
Immunohistochemistry (Formalin/PFA-fixed paraffin-embedded sections) - Anti-MMP14 antibody [EP1264Y] (AB51074)

Immunohistochemical analysis of paraffin-embedded Human endometrial cancer labeling MMP14 with ab51074 at 1/500 (3.26 ug/ml) dilution followed by a ready to use Rabbit specific IHC polymer detection kit HRP/DAB (ab209101). Postive staining on the human endometrial tumour stroma cells and weak staining on the tumour cells. The section was incubated with ab51074 for 30 mins at room temperature. The immunostaining was performed on a Leica Biosystems BOND® RX instrument. Counterstained with Hematoxylin.

Heat mediated antigen retrieval using Bond™ Epitope Retrieval Solution 2 (pH 9.0) for 20 minutes.

Immunohistochemistry (Formalin/PFA-fixed paraffin-embedded sections) - Anti-MMP14 antibody [EP1264Y] (AB51074)
  • IHC-P

AbReview8741****

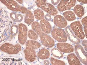
Immunohistochemistry (Formalin/PFA-fixed paraffin-embedded sections) - Anti-MMP14 antibody [EP1264Y] (AB51074)

ab51074 (unpurified) at 1/500 staining human kidney tissue sections by IHC-P.

The tissue was formaldehyde fixed and a heat mediated antigen retrieval step (in Tris/EDTA) was performed. The tissue was then blocked with serum and incubated with the primary antibody. A biotinylated donkey anti-rabbit IgG was used as the secondary.

This image is courtesy of an anonymous Abreview

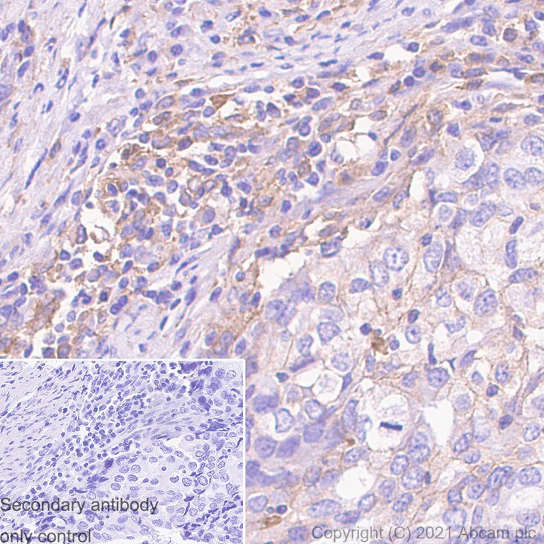
Immunohistochemistry (Formalin/PFA-fixed paraffin-embedded sections) - Anti-MMP14 antibody [EP1264Y] (AB51074)
  • IHC-P

Lab

Immunohistochemistry (Formalin/PFA-fixed paraffin-embedded sections) - Anti-MMP14 antibody [EP1264Y] (AB51074)

Immunohistochemical analysis of paraffin-embedded Human endometrial cancer labeling MMP14 with ab51074 at 1/500 (3.26 ug/ml) dilution followed by a ready to use Rabbit specific IHC polymer detection kit HRP/DAB (ab209101). Positive staining on human endometrial cancer. The section was incubated with ab51074 for 30 mins at room temperature. The immunostaining was performed on a Leica Biosystems BOND® RX instrument. Counterstained with Hematoxylin.

Heat mediated antigen retrieval using Bond™ Epitope Retrieval Solution 2 (pH 9.0) for 20 minutes.

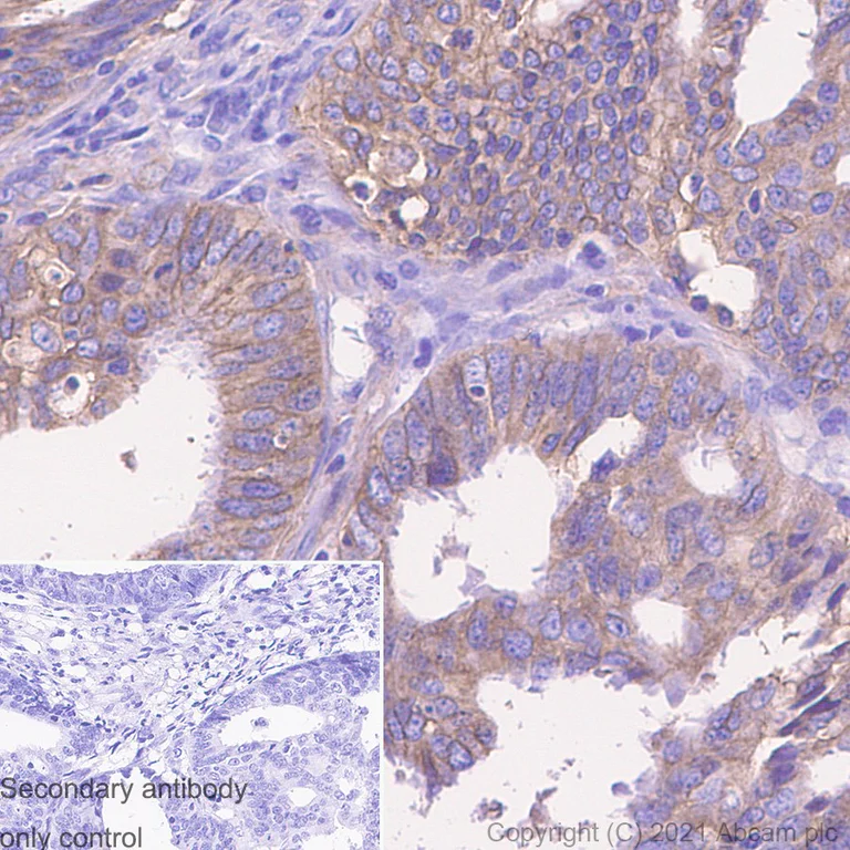
Immunohistochemistry (Formalin/PFA-fixed paraffin-embedded sections) - Anti-MMP14 antibody [EP1264Y] (AB51074)
  • IHC-P

Unknown

Immunohistochemistry (Formalin/PFA-fixed paraffin-embedded sections) - Anti-MMP14 antibody [EP1264Y] (AB51074)

Immunohistochemistry (Formalin/PFA-fixed paraffin-embedded sections) analysis of human endometrium carcinoma tissue sections labeling MMP14 with purified ab51074 at 1/100 dilution (1.7 μg/ml). Heat mediated antigen retrieval was performed using EDTA Buffer PH9. Hematoxylin was used to counterstain. ab97051 a Goat Anti-Rabbit IgG H&L (HRP) secondary antibody was used at 1/500 dilution.

PBS instead of the primary antibody was used as the negative control (inset).

Immunocytochemistry/ Immunofluorescence - Anti-MMP14 antibody [EP1264Y] (AB51074)
  • ICC/IF

Lab

Immunocytochemistry/ Immunofluorescence - Anti-MMP14 antibody [EP1264Y] (AB51074)

ab51074 staining MMP14 in wild-type A431 cells (top panel) and MMP14 knockout A431 cells (bottom panel) (ab261890). The cells were fixed with 4% paraformaldehyde (10 min) then permeabilized with 0.1% Triton X-100 for 5 minutes and then blocked with 1% BSA/10% normal goat serum/0.3M glycine in 0.1% PBS-Tween for 1h. The cells were then incubated with ab51074 at 0.2μg/ml concentration and ab7291 (Mouse monoclonal to alpha Tubulin) at 1/1000 dilution overnight at 4°C followed by a further incubation at room temperature for 1h with a goat secondary antibody to rabbit IgG (Alexa Fluor® 488) (ab150081) at 2 μg/ml (shown in green) and a goat secondary antibody to mouse IgG (Alexa Fluor® 594) (ab150120) at 2 μg/ml (shown in red). Nuclear DNA was labelled in blue with DAPI. Image was taken with a confocal microscope (Leica-Microsystems TCS SP8).

Flow Cytometry - Anti-MMP14 antibody [EP1264Y] (AB51074)
  • Flow Cyt

Lab

Flow Cytometry - Anti-MMP14 antibody [EP1264Y] (AB51074)

Flow cytometry overlay histogram showing wild-type A431 (green line) and A431 MMP14 knockout stained with ab51074 (magenta line). The cells were incubated in 1x PBS containing 10% normal goat serum to block non-specific protein-protein interaction followed by the antibody (ab51074) (1x 106in 100μl at 1.0 μg/ml (1/2070)) for 30min on ice.

The secondary antibody Goat Anti-Rabbit IgG H&L (Alexa Fluor® 488) preadsorbed was incubated at 1/4000 for 30min on ice

Isotype control antibody Recombinant Rabbit IgG, monoclonal [EPR25A] - Isotype Control was used at the same concentration and conditions as the primary antibody (wild-type A431 - black line, A431 MMP14 knockout - grey line). Unlabelled sample was also used as a control (this line is not shown for the purpose of simplicity).

Acquisition of >5000 events were collected using a 50 mW Blue laser (488nm) and 525/40 bandpass filter.

Western blot - Anti-MMP14 antibody [EP1264Y] (AB51074)
  • WB

Lab

Western blot - Anti-MMP14 antibody [EP1264Y] (AB51074)

Blocking/Diluting buffer and concentration 5% NFDM/TBST

63 kDa : pro-form; 60 kDa : active form.

MCF7 is a MMP14 negative or weakly expressed cell line (PMID : 25977338 and PMID : 19208838).

All lanes:

Western blot - Anti-MMP14 antibody [EP1264Y] (ab51074) at 1/2000 dilution

Lane 1:

Human fetal spleen tissue lysate at 15 µg

Lane 2:

Human lung cancer tissue lysate at 15 µg

Lane 3:

MCF7 (Human breast adenocarcinoma cell line) whole cell lysate at 15 µg

Secondary

All lanes:

Anti-Rabbit IgG (HRP), specific to the non-reduced form of IgG at 1/2000 dilution

Predicted band size: 65 kDa

Observed band size: 60 kDa,63 kDa

false

Exposure time: 10s

Western blot - Anti-MMP14 antibody [EP1264Y] (AB51074)
  • WB

Lab

Western blot - Anti-MMP14 antibody [EP1264Y] (AB51074)

Blocking and diluting buffer and concentration : 5% NFDM/TBST.

All lanes:

Western blot - Anti-MMP14 antibody [EP1264Y] (ab51074) at 1/2000 dilution

All lanes:

Human lung tissue lysate at 20 µg

Secondary

All lanes:

Western blot - Goat Anti-Rabbit IgG H&L (HRP) (<a href='/products/secondary-antibodies/goat-rabbit-igg-h-l-hrp-ab97051'>ab97051</a>) at 1/20000 dilution

Observed band size: 66 kDa

false

Exposure time: 40s

Flow Cytometry (Intracellular) - Anti-MMP14 antibody [EP1264Y] (AB51074)
  • Flow Cyt (Intra)

Lab

Flow Cytometry (Intracellular) - Anti-MMP14 antibody [EP1264Y] (AB51074)

Intracellular Flow Cytometry analysis of MCF7 (Human breast adenocarcinoma epithelial cell, Left) / HT-1080 (Human fibrosarcoma epithelial cell, Right) cells labeling MMP14 with ab51074 at 1/200 dilution (0.1 μg) (red). Goat anti-rabbit IgG (Alexa Fluorr® 488, ab150077) was used as the secondary antibody at 1/2000 dilution. Rabbit monoclonal IgG (ab172730) / black was used as the isotype control. Cells incubated with secondary antibody only (blue) was used as the unlabeled control. Gated on viable cells.

Positive control (Right panel) : HT-1080 cells.

Negative control (Left panel) : MCF7 cells.

Immunocytochemistry/ Immunofluorescence - Anti-MMP14 antibody [EP1264Y] (AB51074)
  • ICC/IF

Lab

Immunocytochemistry/ Immunofluorescence - Anti-MMP14 antibody [EP1264Y] (AB51074)

ab51074 staining MMP14 in HT-1080 (human fibrosarcoma epithelial cell) cells by ICC/IF (Immunocytochemistry/Immunofluorescence).

Cells were fixed with 4% paraformaldehyde and permeabilized with 0.1% Triton X-100. Samples were incubated with primary antibody at 1/1000 dilution (0.2 μg/ml). An Alexa Fluor® 488 Goat anti-rabbit (ab150077) was used as the secondary antibody at 1/1000 dilution (2 μg/ml). Anti-alpha Tubulin antibody [DM1A] - Microtubule Marker (Alexa Fluor® 594, ab195889) was used as the counterstain antibody at 1/200 dilution (2.5 μg/ml). DAPI was used as a nuclear counterstain. Confocal image showing cytoplasmic and weakly membranous staining in HT-1080 cell line.

Negative control (bottom panels) : MCF7 PMID : 19208838.

Immunoprecipitation - Anti-MMP14 antibody [EP1264Y] (AB51074)
  • IP

Unknown

Immunoprecipitation - Anti-MMP14 antibody [EP1264Y] (AB51074)

ab51074 (purified) at 1/20 dilution (2 μg) immunoprecipitating MMP14 in A431 (human epidermoid carcinoma) whole cell lysate.

Lane 1 : A431 whole cell lysate 10ug
Lane 2 : ab51074 + A431 whole cell lysate
Lane 3 : Rabbit monoclonal IgG (ab172730) instead of ab51074 in A431 whole cell lysate

For western blotting, ab131366 VeriBlot for IP (HRP) was used for detection (1/1000).

Blocking and diluting buffer and concentration : 5% NFDM/TBST.

All lanes:

Immunoprecipitation - Anti-MMP14 antibody [EP1264Y] (ab51074)

Predicted band size: 65 kDa

Observed band size: 66 kDa

false

Western blot - Anti-MMP14 antibody [EP1264Y] (AB51074)
  • WB

Lab

Western blot - Anti-MMP14 antibody [EP1264Y] (AB51074)

Blocking and diluting buffer : 5% NFDM/TBST.

All lanes:

Western blot - Anti-MMP14 antibody [EP1264Y] (ab51074) at 1/5000 dilution

Lane 1:

Human fetal spleen lysate at 20 µg

Lane 2:

Human lung cancer lysate at 20 µg

Lane 3:

Mouse spleen lysate at 20 µg

Lane 4:

Rat spleen lysate at 20 µg

Lane 5:

Human esophagus lysate at 20 µg

Secondary

All lanes:

Anti-Rabbit IgG (HRP), specific to the non-reduced form of IgG at 1/2000 dilution

Predicted band size: 65 kDa

Observed band size: 66 kDa

false

関連する標識済み抗体及び組成の異なる製品 (6)

  • HRP

    HRP Anti-MMP14 antibody [EP1264Y]

  • Carrier free

    Anti-MMP14 antibody [EP1264Y] - BSA and Azide free

  • 578 PE

    PE Anti-MMP14 antibody [EP1264Y]

  • 565 Alexa Fluor® 555

    Alexa Fluor® 555 Anti-MMP14 antibody [EP1264Y]

  • 519 Alexa Fluor® 488

    Alexa Fluor® 488 Anti-MMP14 antibody [EP1264Y]

  • 665 Alexa Fluor® 647

    Alexa Fluor® 647 Anti-MMP14 antibody [EP1264Y]

Key facts

宿主種

Rabbit

クローン性

Monoclonal

クローン番号

EP1264Y

アイソタイプ

IgG

キャリアフリー

No

交差種

Mouse, Rat, Human

アプリケーション

WB, IHC-P, ICC/IF, Flow Cyt, IP

applications

免疫原

The exact immunogen used to generate this antibody is proprietary information.

Reactivity data

{ "title": "Reactivity Data", "filters": { "stats": ["", "Species", "Dilution Info", "Notes"], "tabs": { "all-applications": {"fullname" : "All Applications", "shortname": "All Applications"}, "IP" : {"fullname" : "Immunoprecipitation", "shortname":"IP"}, "WB" : {"fullname" : "Western blot", "shortname":"WB"}, "ICCIF" : {"fullname" : "Immunocytochemistry/ Immunofluorescence", "shortname":"ICC/IF"}, "FlowCyt" : {"fullname" : "Flow Cytometry", "shortname":"Flow Cyt"}, "IHCP" : {"fullname" : "Immunohistochemistry (Formalin/PFA-fixed paraffin-embedded sections)", "shortname":"IHC-P"} }, "product-promise": { "all": "all", "testedAndGuaranteed": "tested", "guaranteed": "expected", "predicted": "predicted", "notRecommended": "not-recommended" } }, "values": { "Human": { "IP-species-checked": "testedAndGuaranteed", "IP-species-dilution-info": "1/20", "IP-species-notes": "<p><strong>For unpurified use at 1/100.</strong></p>", "WB-species-checked": "testedAndGuaranteed", "WB-species-dilution-info": "1/5000", "WB-species-notes": "<p><strong>For unpurified use at 1/2000.</strong></p>", "ICCIF-species-checked": "testedAndGuaranteed", "ICCIF-species-dilution-info": "0.2 µg/mL", "ICCIF-species-notes": "<p></p>", "FlowCyt-species-checked": "testedAndGuaranteed", "FlowCyt-species-dilution-info": "1/200", "FlowCyt-species-notes": "<p></p>", "IHCP-species-checked": "testedAndGuaranteed", "IHCP-species-dilution-info": "1/100", "IHCP-species-notes": "<p></p> Perform heat-mediated antigen retrieval with Tris/EDTA buffer pH 9.0 before commencing with IHC staining protocol." }, "Mouse": { "IP-species-checked": "guaranteed", "IP-species-dilution-info": "", "IP-species-notes": "", "WB-species-checked": "testedAndGuaranteed", "WB-species-dilution-info": "1/5000", "WB-species-notes": "<p><strong>For unpurified use at 1/2000.</strong></p>", "ICCIF-species-checked": "guaranteed", "ICCIF-species-dilution-info": "", "ICCIF-species-notes": "", "FlowCyt-species-checked": "guaranteed", "FlowCyt-species-dilution-info": "", "FlowCyt-species-notes": "", "IHCP-species-checked": "guaranteed", "IHCP-species-dilution-info": "", "IHCP-species-notes": "" }, "Rat": { "IP-species-checked": "guaranteed", "IP-species-dilution-info": "", "IP-species-notes": "", "WB-species-checked": "testedAndGuaranteed", "WB-species-dilution-info": "1/5000", "WB-species-notes": "<p><strong>For unpurified use at 1/2000.</strong></p>", "ICCIF-species-checked": "guaranteed", "ICCIF-species-dilution-info": "", "ICCIF-species-notes": "", "FlowCyt-species-checked": "guaranteed", "FlowCyt-species-dilution-info": "", "FlowCyt-species-notes": "", "IHCP-species-checked": "guaranteed", "IHCP-species-dilution-info": "", "IHCP-species-notes": "" }, "Cow": { "IP-species-checked": "predicted", "IP-species-dilution-info": "", "IP-species-notes": "", "WB-species-checked": "predicted", "WB-species-dilution-info": "", "WB-species-notes": "", "ICCIF-species-checked": "predicted", "ICCIF-species-dilution-info": "", "ICCIF-species-notes": "", "FlowCyt-species-checked": "predicted", "FlowCyt-species-dilution-info": "", "FlowCyt-species-notes": "", "IHCP-species-checked": "predicted", "IHCP-species-dilution-info": "", "IHCP-species-notes": "" } } }

製品の詳細

The mouse and rat recommendation is based on the WB results. This antibody may not be suitable for IHC with mouse or rat samples.

Product Specifications
Anti-MMP14 antibody [EP1264Y] (ab51074) was developed by Abcam using patented rabbit monoclonal antibody technology and is validated for use in Flow Cyt, ICC/IF, IHC-P, IP, WB in human, mouse, rat samples.
Anti-MMP14 antibody [EP1264Y] (ab51074) specifically detects MMP14 (UniProt ID: P50281; Molecular weight: 54kDa) and is sold in 100 µL and 1 mL selling sizes.

Quality and Validation
Abcam's high quality manufacturing and validation processes ensure Anti-MMP14 antibody [EP1264Y] (ab51074) has high sensitivity and specificity alongside high lot-to-lot consistency and reproducibility.
The specificity of Anti-MMP14 antibody [EP1264Y] (ab51074) has been confirmed by testing in knockout samples.
Anti-MMP14 antibody [EP1264Y] (ab51074) has been cited over 175 times in peer reviewed journals and is trusted by the scientific community.
Anti-MMP14 antibody [EP1264Y] (ab51074) has 20 independent reviews from customers.

Related Products
Antibody clone EP1264Y is also available pre-conjugated to a variety of labels for your convenience - HRP, Alexa Fluor® 647, Alexa Fluor® 555, Alexa Fluor® 488, PE (ab194242, ab300749, ab302548, ab302582, ab303602).

Patented technology
Our RabMAb® technology is a patented hybridoma-based technology for making rabbit monoclonal antibodies. For details on our patents, please refer to RabMAb® patents.

What are the advantages of a recombinant monoclonal antibody?
This product is a recombinant monoclonal antibody, which offers several advantages including:

  • - High batch-to-batch consistency and reproducibility
  • - Improved sensitivity and specificity
  • - Long-term security of supply
  • - Animal-free batch production

For more information, read more on recombinant antibodies.

出荷温度及び保存条件

製品の状態
Liquid
精製方法
Affinity purification Protein A
バッファー組成
pH: 7.2 - 7.4 Preservative: 0.01% Sodium azide Constituents: PBS, 40% Glycerol (glycerin, glycerine), 0.05% BSA
出荷温度
Blue Ice
短期保存期間
1-2 weeks
短期保存温度
+4°C
長期保存温度
-20°C
分注に関する情報
Upon delivery aliquot
保管に関する情報
Avoid freeze / thaw cycle

補足情報

This supplementary information is collated from multiple sources and compiled automatically.

Matrix metalloproteinase 14 (MMP14) also known as MT1-MMP is a membrane-bound enzyme involved in the breakdown of the extracellular matrix. This protease has a molecular weight of approximately 66 kDa and consists of various structural domains including a catalytic domain and a hinge region. MMP14 is expressed in many tissues including the stromal and cancer cells where it facilitates cell migration and tissue remodeling.
Biological function summary

MMP14 influences extracellular matrix degradation enabling cellular invasion and migration. It exists as a part of macromolecular complexes at the cell surface interacting with other metalloproteinases. This interaction assists in the activation of other MMPs such as pro-MMP2 which further amplify matrix remodeling activities. The hinge region of MMP14 lends flexibility allowing it to effectively engage with substrate proteins.

Pathways

MMP14 significantly affects cell signaling and tissue remodeling pathways. One critical pathway involves the activation of pro-MMP2 which is dependent on MMP14's proteolytic activity. MMP14 also plays a role in the regulation of cell proliferation and apoptosis through its interaction with proteins such as TIMP-2. This relationship between MMP14 and other regulatory proteins emphasizes its functional integration within major biological networks.

High MMP14 levels correlate strongly with cancer progression especially in cancers such as breast cancer and melanoma. The ability of MMP14 to degrade the extracellular matrix facilitates tumor invasion and metastasis. Through its regulatory activities MMP14 connects with other proteins like VEGF influencing angiogenesis within tumor microenvironments. Additionally MMP14 involvement in arthritic conditions highlights its role in joint degradation processes worsening the disease through augmented cartilage breakdown.

製品プロトコール

For this product, it's our understanding that no specific protocols are required. You can visit:

ターゲットの情報

Endopeptidase that degrades various components of the extracellular matrix such as collagen (PubMed : 8015608). Essential for pericellular collagenolysis and modeling of skeletal and extraskeletal connective tissues during development (By similarity). Activates progelatinase A/MMP2, thereby acting as a positive regulator of cell growth and migration (PubMed : 22065321, PubMed : 8015608). Involved in the formation of the fibrovascular tissues in association with pro-MMP2 (PubMed : 12714657, PubMed : 22065321). May be involved in actin cytoskeleton reorganization by cleaving PTK7 (PubMed : 20837484). Acts as a regulator of Notch signaling by mediating cleavage and inhibition of DLL1 (PubMed : 21572390). Cleaves ADGRB1 to release vasculostatin-40 which inhibits angiogenesis (PubMed : 22330140). Acts as a negative regulator of the GDF15-GFRAL aversive response by mediating cleavage and inactivation of GFRAL (PubMed : 35177851).
See full target information MMP14

文献 (198)

Recent publications for all applications. Explore the full list and refine your search

Cell discovery 11:76 PubMed40983624

2025

MT1-MMP inhibition rejuvenates ageing brain and rescues cognitive deficits in obesity.

Applications

Unspecified application

Species

Unspecified reactive species

Pallavi Asthana,Liguo Li,Lin Lu,Jiayan Wu,Shuo Zhang,Ningning Li,Sheung Kin Ken Wong,Susma Gurung,Yijing Zhang,Yuwan Lin,Yufeng Peng,Zongtang Xu,Kui Ming Chan,Lixiang Zhai,Aiping Lyu,Zhao-Xiang Bian,Xin Ge,Ashok Iyaswamy,Min Li,Ya Su,Zhongjun Zhou,Pingyi Xu,Hoi Leong Xavier Wong

Translational lung cancer research 14:3107-3125 PubMed40948830

2025

The role of immunogenic cell death in the prognosis and development of treatment strategies for non-small cell lung cancer: a multiomics and machine learning approach for predictive and personalized treatment.

Applications

Unspecified application

Species

Unspecified reactive species

Yichen Sun,Hao Chen,Zhaoyang Wang,Rui Jiao,Franz Zehentmayr,Fabrizio Tabbò,Chengyang Wu,Tao Zhang,Hanyu Yan,Jian Wang,Xiaolong Yan

Journal of extracellular vesicles 14:e70122 PubMed40704538

2025

Tethered Exosomes Containing the Matrix Metalloproteinase MT1-MMP Contribute to Extracellular Matrix Degradation.

Applications

Unspecified application

Species

Unspecified reactive species

Roberta Palmulli,Hannah K Jackson,James R Edgar

NPJ precision oncology 9:73 PubMed40082664

2025

Multi-omics analysis to uncover the molecular basis of tumor budding in head and neck squamous cell carcinoma.

Applications

Unspecified application

Species

Unspecified reactive species

Iordanis Ourailidis,Fabian Stögbauer,Yuxiang Zhou,Susanne Beck,Eva Romanovsky,Stephan Eckert,Barbara Wollenberg,Markus Wirth,Katja Steiger,Bernhard Kuster,Olivier Gires,Albrecht Stenzinger,Peter Schirmacher,Wilko Weichert,Peer-Hendrik Kuhn,Melanie Boxberg,Jan Budczies

Frontiers in oncology 14:1471267 PubMed39493455

2024

Identification and validation of matrix metalloproteinase hub genes as potential biomarkers for Skin Cutaneous Melanoma.

Applications

Unspecified application

Species

Unspecified reactive species

Zhongyi Zhang,Mei Zhao,Zubing Zhou,Xiaodan Ren,Yunliang He,Tao Shen,Hongping Zeng,Kai Li,Yong Zhang

Nature communications 15:8660 PubMed39370485

2024

Force-mediated recruitment and reprogramming of healthy endothelial cells drive vascular lesion growth.

Applications

Unspecified application

Species

Unspecified reactive species

Apeksha Shapeti,Jorge Barrasa-Fano,Abdel Rahman Abdel Fattah,Janne de Jong,José Antonio Sanz-Herrera,Mylène Pezet,Said Assou,Emilie de Vet,Seyed Ali Elahi,Adrian Ranga,Eva Faurobert,Hans Van Oosterwyck

The Journal of biological chemistry 300:107807 PubMed39307302

2024

Aberrant overexpression of myosin 1b in glioblastoma promotes angiogenesis via VEGF-myc-myosin 1b-Piezo1 axis.

Applications

Unspecified application

Species

Unspecified reactive species

Weifeng Lv,Fan Yang,Zhengmao Ge,Lele Xin,Lingxue Zhang,Yaohong Zhai,Xian Liu,Qingdong Guo,Xinggang Mao,Peng Luo,Lei Zhang,Xiaofan Jiang,Yanyu Zhang

Nature communications 15:6778 PubMed39117661

2024

Multi-omics characterization of the monkeypox virus infection.

Applications

Unspecified application

Species

Unspecified reactive species

Yiqi Huang,Valter Bergant,Vincent Grass,Quirin Emslander,M Sabri Hamad,Philipp Hubel,Julia Mergner,Antonio Piras,Karsten Krey,Alexander Henrici,Rupert Öllinger,Yonas M Tesfamariam,Ilaria Dalla Rosa,Till Bunse,Gerd Sutter,Gregor Ebert,Florian I Schmidt,Michael Way,Roland Rad,Andrew G Bowie,Ulrike Protzer,Andreas Pichlmair

British journal of cancer 131:931-943 PubMed38969866

2024

Cancer cell extravasation requires plectin-mediated delivery of MT1-MMP at invadopodia.

Applications

Unspecified application

Species

Unspecified reactive species

Olivia R Grafinger,John J Hayward,Ying Meng,Jennifer Geddes-McAlister,Yan Li,Sara Mar,Minzhi Sheng,Boyang Su,Gobi Thillainadesan,Nir Lipsman,Marc G Coppolino,John F Trant,Katarzyna J Jerzak,Hon S Leong

Journal of extracellular biology 3:e145 PubMed38939412

2024

Dysregulation of intercellular communication in vitro and in vivo via extracellular vesicles secreted by pancreatic duct adenocarcinoma cells and generated under the influence of the AG9 elastin peptide-conditioned microenvironment.

Applications

Unspecified application

Species

Unspecified reactive species

Lise Nannan,Salomé Decombis,Christine Terryn,Sandra Audonnet,Jean Michel,Sylvie Brassart-Pasco,Willy Gsell,Uwe Himmelreich,Bertrand Brassart
View all publications

Abcam product promise

当社は、高品質な試薬を通じてお客様の研究を力強くサポートすることをお約束いたします。ご使用いただく各段階で、常にお客様をサポートできる体制を整えております。万が一、製品が期待通りに機能しない場合は、「Abcam Product Promise」による当社保証制度に基づき、安心してご利用いただけます。
保証に関する詳細については利用規約をご確認ください。

Please note: All products are 'FOR RESEARCH USE ONLY. NOT FOR USE IN DIAGNOSTIC OR THERAPEUTIC PROCEDURES'.

For licensing inquiries, please contact partnerships@abcam.com