JavaScript is disabled in your browser. Please enable JavaScript to view this website.
AB33866

Anti-MKK6 抗体 [EP557Y]

Anti-MKK6 antibody [EP557Y]

Be the first to review this product! Submit a review

|

(7 Publications)

Rabbit Monoclonal MP2K6 antibody. Suitable for IP, WB and reacts with Human, Mouse, Rat samples. Cited in 7 publications.

別名を表示する

MEK6, MKK6, PRKMK6, SKK3, MAP2K6, Dual specificity mitogen-activated protein kinase kinase 6, MAP kinase kinase 6, MAPKK 6, MAPK/ERK kinase 6, Stress-activated protein kinase kinase 3, MEK 6, SAPK kinase 3, SAPKK-3, SAPKK3

3 Images
Immunoprecipitation - Anti-MKK6 antibody [EP557Y] (AB33866)
  • IP

Supplier Data

Immunoprecipitation - Anti-MKK6 antibody [EP557Y] (AB33866)

ab33866 (purified) at 1/20 dilution (1 µg) immunoprecipitating MKK6 in HepG2 whole cell lysate.
Lane 1 (input) : HepG2 (Human hepatocellular carcinoma epithelial cell) whole cell lysate 10 µg
Lane 2 (+) : ab33866 & HepG2 whole cell lysate
Lane 3 (-) : Rabbit monoclonal IgG (ab172730) instead of ab33866 in HepG2 whole cell lysate
For western blotting, VeriBlot for IP Detection Reagent (HRP) (ab131366) was used at 1/1000 dilution.
Blocking and diluting buffer : 5% NFDM/TBST.

All lanes:

Immunoprecipitation - Anti-MKK6 antibody [EP557Y] (ab33866)

Predicted band size: 37 kDa

false

Western blot - Anti-MKK6 antibody [EP557Y] (AB33866)
  • WB

Supplier Data

Western blot - Anti-MKK6 antibody [EP557Y] (AB33866)

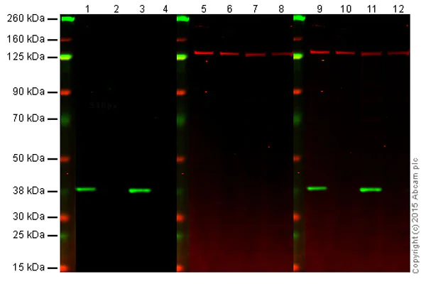
Lanes 1, 5 and 9 : Wild-type HAP1 cell lysate (20 μg)
Lanes 2, 6 and 10 : MEK6 knockout HAP1 cell lysate (20 μg)
Lanes 3, 7 and 11 : HeLa cell lysate (20 μg)
Lanes 4, 8 and 12 : A431 cell lysate (20 μg)
Lanes 1, 2, 3 and 4 : Green signal from target – ab33866 observed at 37 kDa
Lanes 5, 6, 7 and 8 : Red signal from loading control – ab18058 observed at 130 kDa
Lanes 9, 10, 11 and 12 : Merged (red and green) signal

ab33866 (unpurified) was shown to specifically react with MEK6 when MEK6 knockout samples were used. Wild-type and MEK6 knockout samples were subjected to SDS-PAGE. ab33866 and ab18058 (loading control to Vinculin) were diluted 1/10 000 and 1/2000 respectively and incubated overnight at 4°C. Blots were developed with Goat anti-Rabbit IgG H&L (IRDye® 800CW) preadsorbed (ab216773) and Goat anti-Mouse IgG H&L (IRDye® 680RD) preadsorbed (ab216776) secondary antibodies at 1/10 000 dilution for 1 h at room temperature before imaging.

All lanes:

Western blot - Anti-MKK6 antibody [EP557Y] (ab33866)

Predicted band size: 37 kDa

false

Western blot - Anti-MKK6 antibody [EP557Y] (AB33866)
  • WB

Lab

Western blot - Anti-MKK6 antibody [EP557Y] (AB33866)

All lanes:

Western blot - Anti-MKK6 antibody [EP557Y] (ab33866) at 1/1000 dilution

Lane 1:

HepG2 (Human hepatocellular carcinoma epithelial cell) whole cell lysates at 15 µg

Lane 2:

C2C12 (Mouse myoblasts myoblast) whole cell lysates at 15 µg

Lane 3:

C6 (Rat glial tumor glial cell) whole cell lysates at 15 µg

Secondary

All lanes:

Western blot - Goat Anti-Rabbit IgG H&L (HRP) (<a href='/products/secondary-antibodies/goat-rabbit-igg-h-l-hrp-ab97051'>ab97051</a>) at 1/20000 dilution

Predicted band size: 37 kDa

Observed band size: 36 kDa

false

Key facts

宿主種

Rabbit

クローン性

Monoclonal

クローン番号

EP557Y

アイソタイプ

IgG

キャリアフリー

No

交差種

Mouse, Rat, Human

アプリケーション

IP, WB

applications

免疫原

The exact immunogen used to generate this antibody is proprietary information.

Reactivity data

{ "title": "Reactivity Data", "filters": { "stats": ["", "Species", "Dilution Info", "Notes"], "tabs": { "all-applications": {"fullname" : "All Applications", "shortname": "All Applications"}, "IP" : {"fullname" : "Immunoprecipitation", "shortname":"IP"}, "WB" : {"fullname" : "Western blot", "shortname":"WB"} }, "product-promise": { "all": "all", "testedAndGuaranteed": "tested", "guaranteed": "expected", "predicted": "predicted", "notRecommended": "not-recommended" } }, "values": { "Human": { "IP-species-checked": "testedAndGuaranteed", "IP-species-dilution-info": "1/20 - 1/50", "IP-species-notes": "<p></p>", "WB-species-checked": "testedAndGuaranteed", "WB-species-dilution-info": "1/1000 - 1/10000", "WB-species-notes": "<p></p>" }, "Mouse": { "IP-species-checked": "guaranteed", "IP-species-dilution-info": "", "IP-species-notes": "", "WB-species-checked": "testedAndGuaranteed", "WB-species-dilution-info": "1/1000 - 1/10000", "WB-species-notes": "<p></p>" }, "Rat": { "IP-species-checked": "guaranteed", "IP-species-dilution-info": "", "IP-species-notes": "", "WB-species-checked": "testedAndGuaranteed", "WB-species-dilution-info": "1/1000 - 1/10000", "WB-species-notes": "<p></p>" } } }

製品の詳細

Patented technology
Our RabMAb® technology is a patented hybridoma-based technology for making rabbit monoclonal antibodies. For details on our patents, please refer to RabMAb® patents.

What are the advantages of a recombinant monoclonal antibody?
This product is a recombinant monoclonal antibody, which offers several advantages including:

  • - High batch-to-batch consistency and reproducibility
  • - Improved sensitivity and specificity
  • - Long-term security of supply
  • - Animal-free batch production

For more information, read more on recombinant antibodies.

出荷温度及び保存条件

製品の状態
Liquid
精製方法
Affinity purification Protein A
バッファー組成
pH: 7.2 - 7.4 Preservative: 0.01% Sodium azide Constituents: PBS, 40% Glycerol (glycerin, glycerine), 0.05% BSA
出荷温度
Blue Ice
短期保存期間
1-2 weeks
短期保存温度
+4°C
長期保存温度
-20°C
分注に関する情報
Upon delivery aliquot
保管に関する情報
Avoid freeze / thaw cycle

補足情報

This supplementary information is collated from multiple sources and compiled automatically.

MKK6 also known as MAP2K6 functions as a dual-specificity kinase within cellular signaling processes. It belongs to the MAP kinase kinase (MAP2K) family and specifically activates p38 MAP kinase by phosphorylation. This protein weighs approximately 38 kDa and is expressed in various tissues with higher levels often found in the brain heart and skeletal muscle. MKK6 plays a significant role in transmitting signals that regulate cellular responses to stress and inflammation.
Biological function summary

This protein modulates important cellular mechanisms by acting as an important component of the p38 MAPK signaling cascade. It interacts with other kinases to form signaling complexes that mediate responses like cell growth division and apoptosis. MKK6 becomes activated in response to environmental stressors and cytokines triggering a phosphorylation cascade that concludes with the activation of p38 MAPK which then enters the nucleus to influence gene expression.

Pathways

MKK6 integrates into the MAPK signaling pathway particularly in stress response and inflammatory signaling pathways. The protein activates p38 MAPK an important player in these pathways and associates with other proteins such as MKK3 and MKK4 to regulate diverse cellular activities. This activation is a part of well-established pathways like cytokine production and response to DNA damage offering comprehensive regulation of cellular homeostasis.

MKK6 involvement links to inflammatory conditions and stress-related pathologies. It has been implicated in diseases like rheumatoid arthritis where its activity relates to increased inflammatory responses and also in cancer contributing to tumor growth and survival via p38 MAPK activation. Through these conditions MKK6 connects closely with other proteins within the MAPK pathway including p38 MAPK which plays a role in the alteration of cellular proliferation and apoptosis often observed in pathological states.

製品プロトコール

For this product, it's our understanding that no specific protocols are required. You can visit:

ターゲットの情報

Dual specificity protein kinase which acts as an essential component of the MAP kinase signal transduction pathway. With MAP3K3/MKK3, catalyzes the concomitant phosphorylation of a threonine and a tyrosine residue in the MAP kinases p38 MAPK11, MAPK12, MAPK13 and MAPK14 and plays an important role in the regulation of cellular responses to cytokines and all kinds of stresses. Especially, MAP2K3/MKK3 and MAP2K6/MKK6 are both essential for the activation of MAPK11 and MAPK13 induced by environmental stress, whereas MAP2K6/MKK6 is the major MAPK11 activator in response to TNF. MAP2K6/MKK6 also phosphorylates and activates PAK6. The p38 MAP kinase signal transduction pathway leads to direct activation of transcription factors. Nuclear targets of p38 MAP kinase include the transcription factors ATF2 and ELK1. Within the p38 MAPK signal transduction pathway, MAP3K6/MKK6 mediates phosphorylation of STAT4 through MAPK14 activation, and is therefore required for STAT4 activation and STAT4-regulated gene expression in response to IL-12 stimulation. The pathway is also crucial for IL-6-induced SOCS3 expression and down-regulation of IL-6-mediated gene induction; and for IFNG-dependent gene transcription. Has a role in osteoclast differentiation through NF-kappa-B transactivation by TNFSF11, and in endochondral ossification and since SOX9 is another likely downstream target of the p38 MAPK pathway. MAP2K6/MKK6 mediates apoptotic cell death in thymocytes. Acts also as a regulator for melanocytes dendricity, through the modulation of Rho family GTPases.
See full target information MAP2K6

文献 (7)

Recent publications for all applications. Explore the full list and refine your search

Clinical and translational medicine 11:e613 PubMed34709743

2021

A novel tumour suppressor protein encoded by circMAPK14 inhibits progression and metastasis of colorectal cancer by competitively binding to MKK6.

Applications

Unspecified application

Species

Unspecified reactive species

Lu Wang,Jiahui Zhou,Chuan Zhang,Ranran Chen,Qingyang Sun,Peng Yang,Chaofan Peng,Yuqian Tan,Chi Jin,Tuo Wang,Jiangzhou Ji,Yueming Sun

Molecular systems biology 17:e9684 PubMed33417276

2021

Genetic regulation of liver lipids in a mouse model of insulin resistance and hepatic steatosis.

Applications

Unspecified application

Species

Unspecified reactive species

Frode Norheim,Karthickeyan Chella Krishnan,Thomas Bjellaas,Laurent Vergnes,Calvin Pan,Brian W Parks,Yonghong Meng,Jennifer Lang,James A Ward,Karen Reue,Margarete Mehrabian,Thomas E Gundersen,Miklós Péterfy,Knut T Dalen,Christian A Drevon,Simon T Hui,Aldons J Lusis,Marcus M Seldin

Molecular medicine reports 22:1803-1810 PubMed32582987

2020

MicroRNA‑375 prevents TGF‑β‑dependent transdifferentiation of lung fibroblasts via the MAP2K6/P38 pathway.

Applications

Unspecified application

Species

Unspecified reactive species

Xinghua Zhang,Qian Chen,Hengya Song,Wanli Jiang,Songping Xie,Jie Huang,Ganjun Kang

FASEB journal : official publication of the Federation of American Societies for Experimental Biology 34:8442-8458 PubMed32350913

2020

Pancreatic cancer-derived exosomes induce apoptosis of T lymphocytes through the p38 MAPK-mediated endoplasmic reticulum stress.

Applications

Unspecified application

Species

Unspecified reactive species

Tao Shen,Zihang Huang,Chengfei Shi,Xiaofan Pu,Xiaodong Xu,Zhengrong Wu,Guoping Ding,Liping Cao

Oncology reports 41:2329-2336 PubMed30720101

2019

SPAG9/MKK3/p38 axis is a novel therapeutic target for liver cancer.

Applications

Unspecified application

Species

Unspecified reactive species

Shudi Luo,Biqiong Ren,Guoying Zou,Junlong Liu,Wei Chen,Yiran Huang,Xing Chen,Yin Fu

Molecular carcinogenesis 58:488-499 PubMed30456845

2018

NRP-1 interacts with GIPC1 and SYX to activate p38 MAPK signaling and cancer stem cell survival.

Applications

Unspecified application

Species

Unspecified reactive species

Daniel Grun,Gautam Adhikary,Richard L Eckert

Nature methods 15:909-912 PubMed30377371

2018

A high-throughput pipeline for validation of antibodies.

Applications

Unspecified application

Species

Unspecified reactive species

Krzysztof Sikorski,Adi Mehta,Marit Inngjerdingen,Flourina Thakor,Simon Kling,Tomas Kalina,Tuula A Nyman,Maria Ekman Stensland,Wei Zhou,Gustavo A de Souza,Lars Holden,Jan Stuchly,Markus Templin,Fridtjof Lund-Johansen
View all publications

Abcam product promise

当社は、高品質な試薬を通じてお客様の研究を力強くサポートすることをお約束いたします。ご使用いただく各段階で、常にお客様をサポートできる体制を整えております。万が一、製品が期待通りに機能しない場合は、「Abcam Product Promise」による当社保証制度に基づき、安心してご利用いただけます。
保証に関する詳細については利用規約をご確認ください。

Please note: All products are 'FOR RESEARCH USE ONLY. NOT FOR USE IN DIAGNOSTIC OR THERAPEUTIC PROCEDURES'.

For licensing inquiries, please contact partnerships@abcam.com