JavaScript is disabled in your browser. Please enable JavaScript to view this website.
AB227944

Anti-MIG-6 抗体

Anti-MIG-6 antibody

  • JP Deleterious:医薬用外劇物

Be the first to review this product! Submit a review

|

(8 Publications)

Rabbit Polyclonal MIG-6 antibody. Suitable for WB, IHC-P and reacts with Human, Mouse samples. Cited in 8 publications. Immunogen corresponding to Recombinant Fragment Protein within Human ERRFI1.

別名を表示する

MIG6, ERRFI1, ERBB receptor feedback inhibitor 1, Mitogen-inducible gene 6 protein, MIG-6

3 Images
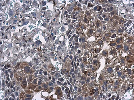
Immunohistochemistry (Formalin/PFA-fixed paraffin-embedded sections) - Anti-MIG-6 antibody (AB227944)
  • IHC-P

Supplier Data

Immunohistochemistry (Formalin/PFA-fixed paraffin-embedded sections) - Anti-MIG-6 antibody (AB227944)

Paraffin-embedded mouse placenta tissue stained for MIG-6 using ab227944 at 1/500 dilution in immunohistochemical analysis.

Western blot - Anti-MIG-6 antibody (AB227944)
  • WB

Supplier Data

Western blot - Anti-MIG-6 antibody (AB227944)

10% SDS-PAGE gel.

All lanes:

Western blot - Anti-MIG-6 antibody (ab227944) at 1/1000 dilution

All lanes:

HCT 116 (human colorectal carcinoma cell line) whole cell lysate at 30 µg

Predicted band size: 51 kDa

false

Western blot - Anti-MIG-6 antibody (AB227944)
  • WB

Lab

Western blot - Anti-MIG-6 antibody (AB227944)

Western blot : Anti-ERRFI1 antibody (ab227944) staining at 1/2000 dilution, shown in green; Mouse anti-CANX [CANX/1543] (ab238078) loading control staining at 1/20000 dilution, shown in magenta. In Western blot, ab227944 was shown to bind specifically to ERRFI1. A band was observed at 51 kDa in wild-type A549 cell lysates with no signal observed at this size in ERRFI1 knockout cell line. To generate this image, wild-type and ERRFI1 knockout A549 cell lysates were analysed. First, samples were run on an SDS-PAGE gel then transferred onto a nitrocellulose membrane. Membranes were blocked in 3 % milk in TBS-0.1 % Tween® 20 (TBS-T) before incubation with primary antibodies overnight at 4 °C. Blots were washed four times in TBS-T, incubated with secondary antibodies for 1 h at room temperature, washed again four times then imaged. Secondary antibodies used were Goat anti-Rabbit IgG H&L 800CW and Goat anti-Mouse IgG H&L 680RD at 1/20000 dilution.

All lanes:

Western blot - Anti-MIG-6 antibody (ab227944) at 1/2000 dilution

Lane 1:

Wild-type A549 cell lysate at 20 µg

Lane 2:

ERRFI1 knockout A549 cell lysate at 20 µg

Secondary

All lanes:

Goat anti-Rabbit IgG H&L 800CW and Goat anti-Mouse IgG H&L 680RD at 1/20000 dilution

Observed band size: 51 kDa

false

Key facts

宿主種

Rabbit

クローン性

Polyclonal

アイソタイプ

IgG

キャリアフリー

No

交差種

Mouse, Human

アプリケーション

IHC-P, WB

applications

免疫原

Recombinant Fragment Protein within Human ERRFI1. The exact immunogen used to generate this antibody is proprietary information.

Q9UJM3

Reactivity data

{ "title": "Reactivity Data", "filters": { "stats": ["", "Species", "Dilution Info", "Notes"], "tabs": { "all-applications": {"fullname" : "All Applications", "shortname": "All Applications"}, "WB" : {"fullname" : "Western blot", "shortname":"WB"}, "IHCP" : {"fullname" : "Immunohistochemistry (Formalin/PFA-fixed paraffin-embedded sections)", "shortname":"IHC-P"} }, "product-promise": { "all": "all", "testedAndGuaranteed": "tested", "guaranteed": "expected", "predicted": "predicted", "notRecommended": "not-recommended" } }, "values": { "Human": { "WB-species-checked": "testedAndGuaranteed", "WB-species-dilution-info": "1/500 - 1/3000", "WB-species-notes": "<p></p>", "IHCP-species-checked": "guaranteed", "IHCP-species-dilution-info": "", "IHCP-species-notes": "" }, "Mouse": { "WB-species-checked": "guaranteed", "WB-species-dilution-info": "", "WB-species-notes": "", "IHCP-species-checked": "testedAndGuaranteed", "IHCP-species-dilution-info": "1/100 - 1/1000", "IHCP-species-notes": "<p></p>" }, "Rhesus monkey": { "WB-species-checked": "predicted", "WB-species-dilution-info": "", "WB-species-notes": "", "IHCP-species-checked": "predicted", "IHCP-species-dilution-info": "", "IHCP-species-notes": "" } } }

出荷温度及び保存条件

製品の状態
Liquid
精製方法
Affinity purification Immunogen
バッファー組成
pH: 7 Preservative: 0.01% Thimerosal (merthiolate) Constituents: PBS, 20% Glycerol (glycerin, glycerine), 1% BSA
出荷温度
Blue Ice
短期保存期間
1-2 weeks
短期保存温度
+4°C
長期保存温度
-20°C
分注に関する情報
Upon delivery aliquot
保管に関する情報
Avoid freeze / thaw cycle

補足情報

This supplementary information is collated from multiple sources and compiled automatically.

MIG-6 also known as Gene 33 or ERRFI1 is a protein that functions as an adaptor/scaffold. It has an approximate mass of 70 kilodaltons and is found predominantly in epithelial tissues. MIG-6 acts as a negative regulator of the epidermal growth factor receptor (EGFR) signaling pathway. This regulation role involves binding to the tyrosine kinase domain of the EGFR which leads to a decrease in its catalytic activity. Besides its presence in epithelial tissues MIG-6 is also expressed in a variety of other tissue types including the liver and pancreas.
Biological function summary

MIG-6 plays a significant role in the regulation of cell proliferation differentiation and apoptosis. It is a part of a larger signal transduction network which is essential for controlling cellular responses to external stimuli. By acting as a brake on EGFR signaling MIG-6 helps to balance cell activities to prevent excessive growth and proliferation. The protein's impact extends to influencing the behavior of other signaling molecules within the cell contributing to meditative roles in maintaining cellular harmony.

Pathways

MIG-6 is integral to the EGFR signaling pathway and is closely associated with the MAPK (mitogen-activated protein kinase) pathway. Its regulatory function affects downstream signaling events that involve proteins like RAF MEK and ERK which are all critical in cell growth and survival. By interacting with these pathways MIG-6 modulates signal transduction cascades which allows for controlled cellular functions and responses. All these connections make it an important node for intracellular communication and pathway intersections.

Deficiencies or dysregulation of MIG-6 have been linked to cancer particularly in tumors that have heightened EGFR activity. The protein's ability to suppress EGFR signaling is essential in preventing unchecked cell proliferation that can lead to tumor growth. Additionally research has connected altered levels of MIG-6 with inflammatory disorders. Abnormal interactions between MIG-6 and EGFR can exacerbate inflammatory responses contributing to various chronic inflammatory conditions. Understanding these associations helps in the development of targeted therapies for conditions with altered EGFR signaling.

製品プロトコール

For this product, it's our understanding that no specific protocols are required. You can visit:

ターゲットの情報

Negative regulator of EGFR signaling in skin morphogenesis. Acts as a negative regulator for several EGFR family members, including ERBB2, ERBB3 and ERBB4. Inhibits EGFR catalytic activity by interfering with its dimerization. Inhibits autophosphorylation of EGFR, ERBB2 and ERBB4. Important for normal keratinocyte proliferation and differentiation. Plays a role in modulating the response to steroid hormones in the uterus. Required for normal response to progesterone in the uterus and for fertility. Mediates epithelial estrogen responses in the uterus by regulating ESR1 levels and activation. Important for regulation of endometrium cell proliferation. Important for normal prenatal and perinatal lung development (By similarity).
See full target information ERRFI1

文献 (8)

Recent publications for all applications. Explore the full list and refine your search

World journal of diabetes 16:105173 PubMed40548267

2025

Mechanism of the epidermal growth factor receptor in promoting endothelial cell dysfunction in gestational diabetes mellitus.

Applications

Unspecified application

Species

Unspecified reactive species

Dan Tang,Cheng-Fen Wang,Jue Wang,Xiao-Tao Jing,Jing Ma

Experimental dermatology 33:e70004 PubMed39563082

2024

Construction of ceRNA Network and Disease Diagnosis Model for Keloid Based on Tumor Suppressor ERRFI1.

Applications

Unspecified application

Species

Unspecified reactive species

Pengsheng Chen,Qingfu Su,Xingong Lin,Xianying Zhou,Wanting Yao,Xiaxinqiu Hua,Yanyan Huang,Rongrong Xie,Huiyong Liu,Chaoyang Wang

IUBMB life 75:688-698 PubMed37070291

2023

The increased expression of cytokeratin 13 leads to an increase in radiosensitivity of nasopharyngeal carcinoma HNE-3 cells by upregulating ERRFI1.

Applications

Unspecified application

Species

Unspecified reactive species

Huan Wang,Ming Shi,Jia Wan,Hong Yu

Journal of bone and mineral research : the official journal of the American Society for Bone and Mineral Research 37:1012-1023 PubMed35191092

2022

EGFR Signaling Is Required for Maintaining Adult Cartilage Homeostasis and Attenuating Osteoarthritis Progression.

Applications

Unspecified application

Species

Unspecified reactive species

Yulong Wei,Xiaoyuan Ma,Hao Sun,Tao Gui,Jun Li,Lutian Yao,Leilei Zhong,Wei Yu,Biao Han,Charles L Nelson,Lin Han,Frank Beier,Motomi Enomoto-Iwamoto,Jaimo Ahn,Ling Qin

Cancer cell international 20:518 PubMed33117083

2020

Glioma exosomal microRNA-148a-3p promotes tumor angiogenesis through activating the EGFR/MAPK signaling pathway via inhibiting ERRFI1.

Applications

Unspecified application

Species

Unspecified reactive species

Meng Wang,Yi Zhao,Zhi-Yun Yu,Ren-De Zhang,Shu-Ang Li,Peng Zhang,Ti-Kun Shan,Xue-You Liu,Ze-Ming Wang,Pei-Chao Zhao,Hong-Wei Sun

Journal of biochemical and molecular toxicology 34:e22540 PubMed32583487

2020

A novel role of the miR-152-3p/ERRFI1/STAT3 pathway modulates the apoptosis and inflammatory response after acute kidney injury.

Applications

Unspecified application

Species

Unspecified reactive species

Piyong Ma,Chunmei Zhang,Pengfei Huo,Yan Li,Hailing Yang

Journal of cellular physiology 235:1576-1587 PubMed31313286

2019

Inhibition of KHSRP sensitizes colorectal cancer to 5-fluoruracil through miR-501-5p-mediated ERRFI1 mRNA degradation.

Applications

Unspecified application

Species

Unspecified reactive species

Ruijun Pan,Wei Cai,Jing Sun,Chaoran Yu,Peiyong Li,Minhua Zheng

Oncology letters 15:5933-5939 PubMed29552224

2018

High expression of estrogen-related receptor α is significantly associated with poor prognosis in patients with colorectal cancer.

Applications

Unspecified application

Species

Unspecified reactive species

Rong Liang,Yan Lin,Chun-Ling Yuan,Zhi-Hui Liu,Yong-Qiang Li,Xiao-Ling Luo,Jia-Zhou Ye,Hai-Hong Ye
View all publications

Abcam product promise

当社は、高品質な試薬を通じてお客様の研究を力強くサポートすることをお約束いたします。ご使用いただく各段階で、常にお客様をサポートできる体制を整えております。万が一、製品が期待通りに機能しない場合は、「Abcam Product Promise」による当社保証制度に基づき、安心してご利用いただけます。
保証に関する詳細については利用規約をご確認ください。

Please note: All products are 'FOR RESEARCH USE ONLY. NOT FOR USE IN DIAGNOSTIC OR THERAPEUTIC PROCEDURES'.

For licensing inquiries, please contact partnerships@abcam.com