JavaScript is disabled in your browser. Please enable JavaScript to view this website.
AB7207

Anti-MIF 抗体

Anti-MIF antibody

5

(11 Reviews)

|

(38 Publications)

Rabbit Polyclonal MIF antibody. Suitable for IP, WB, IHC-P, ICC/IF, IHC-Fr, ELISA and reacts with Mouse, Rat samples. Cited in 38 publications. Immunogen corresponding to Recombinant Full Length Protein corresponding to Rat Mif.

別名を表示する

Macrophage migration inhibitory factor, MIF, Delayed early response protein 6, Glycosylation-inhibiting factor, L-dopachrome isomerase, L-dopachrome tautomerase, Phenylpyruvate tautomerase, DER6, GIF, Mif

7 Images
Immunohistochemistry (Formalin/PFA-fixed paraffin-embedded sections) - Anti-MIF antibody (AB7207)
  • IHC-P

Supplier Data

Immunohistochemistry (Formalin/PFA-fixed paraffin-embedded sections) - Anti-MIF antibody (AB7207)

Immunohistochemical analysis of paraffin-embedded Human kidney tissue labeling MIF with ab322733 at 1/500 (1.016 ug/ml) dilution, followed by a ready to use LeicaDS9800 (Bond™ Polymer Refine Detection).

Positive staining on human kidney in (A) ab322733 and (B) ab7207.
The image on (A) ab322733 and (B) ab7207 are treated with Anti-MIF antibody at 1/500 dilution. The section was incubated with ab322733 or ab7207 for 30 mins at room temperature.
The immunostaining was performed on a Leica Biosystems BOND® RX instrument

Counterstained with Hematoxylin.

Secondary antibody only control : Secondary antibody is a ready to use LeicaDS9800 (Bond™ Polymer Refine Detection).

Heat mediated antigen retrieval was performed with Tris-EDTA buffer (pH 9.0, Epitope Retrieval Solution2) for 20 mins

Immunohistochemistry (Formalin/PFA-fixed paraffin-embedded sections) - Anti-MIF antibody (AB7207)
  • IHC-P

Supplier Data

Immunohistochemistry (Formalin/PFA-fixed paraffin-embedded sections) - Anti-MIF antibody (AB7207)

Immunohistochemical analysis of paraffin-embedded Rat kidney tissue labeling MIF with ab322733 at 1/500 (1.016 ug/ml) dilution, followed by a ready to use LeicaDS9800 (Bond™ Polymer Refine Detection).

Positive staining on rat kidney in (A) ab322733 and (B) ab7207.
The image on (A) ab322733 and (B) ab7207 are treated with Anti-MIF antibody at 1/500 dilution. The section was incubated with ab322733 or ab7207 for 30 mins at room temperature.
The immunostaining was performed on a Leica Biosystems BOND® RX instrument

Counterstained with Hematoxylin.

Secondary antibody only control : Secondary antibody is a ready to use LeicaDS9800 (Bond™ Polymer Refine Detection).

Heat mediated antigen retrieval was performed with Tris-EDTA buffer (pH 9.0, Epitope Retrieval Solution2) for 20 mins

Immunohistochemistry (Formalin/PFA-fixed paraffin-embedded sections) - Anti-MIF antibody (AB7207)
  • IHC-P

Supplier Data

Immunohistochemistry (Formalin/PFA-fixed paraffin-embedded sections) - Anti-MIF antibody (AB7207)

Immunohistochemical analysis of paraffin-embedded Mouse kidney tissue labeling MIF with ab322733 at 1/500 (1.016 ug/ml) dilution, followed by a ready to use LeicaDS9800 (Bond™ Polymer Refine Detection).

Positive staining on mouse kidney in (A) ab322733 and (B) ab7207.
The image on (A) ab322733 and (B) ab7207 are treated with Anti-MIF antibody at 1/500 dilution. The section was incubated with ab322733 or ab7207 for 30 mins at room temperature.
The immunostaining was performed on a Leica Biosystems BOND® RX instrument

Counterstained with Hematoxylin.

Secondary antibody only control : Secondary antibody is a ready to use LeicaDS9800 (Bond™ Polymer Refine Detection).

Heat mediated antigen retrieval was performed with Tris-EDTA buffer (pH 9.0, Epitope Retrieval Solution2) for 20 mins

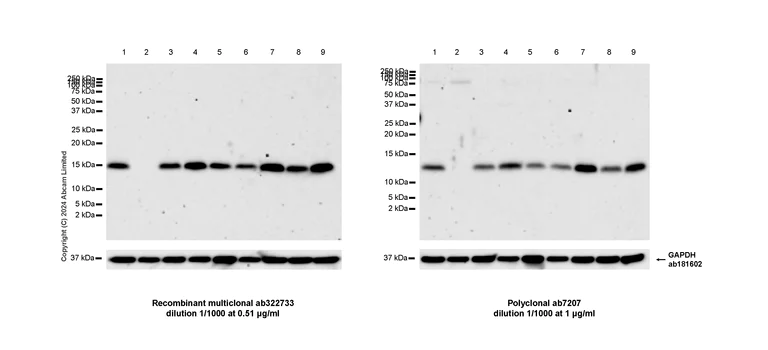
Western blot - Anti-MIF antibody (AB7207)
  • WB

Supplier Data

Western blot - Anti-MIF antibody (AB7207)

Blocking and diluting buffer and concentration : 5% NFDM/TBST.

In Western blot, ab322733 and ab7207 were shown to bind specifically to MIF. Target of interest was observed at 13 kDa in wild-type HAP1 cell lysates (lane 1) with no signal observed at this size in MIF knockout cell line (lane 2).

Recombinant multiclonal ab322733 showed higher sensitivity than polyclonal ab7207.

In Western blot, Anti-GAPDH antibody [EPR16891] - Loading Control (ab181602) staining at 1/200000 dilution.

All lanes:

Western blot - Anti-MIF antibody [RM1231] (<a href='/products/primary-antibodies/mif-antibody-rm1231-ab322733'>ab322733</a>) at 1/1000 dilution

Lane 1:

Wild-type HAP1 (human chronic myelogenous leukemia near-haploid cell) whole cell lysate at 20 µg

Lane 2:

MIF knockout HAP1 whole cell lysate at 20 µg

Lane 3:

HeLa (human cervical adenocarcinoma epithelial cell) whole cell lysate at 20 µg

Lane 4:

293T (human embryonic kidney epithelial cell) whole cell lysate at 20 µg

Lane 5:

U-87 MG (human glioblastoma-astrocytoma epithelial cell) whole cell lysate at 20 µg

Lane 6:

THP-1 (human monocytic leukemia monocyte) whole cell lysate at 20 µg

Lane 7:

Jurkat (human T cell leukemia T lymphocyte from peripheral blood) whole cell lysate at 20 µg

Lane 8:

NR8383 (rat alveolar macrophage) whole cell lysate at 20 µg

Lane 9:

J774A.1 (mouse reticulum cell sarcoma monocyte/macrophage ) whole cell lysate at 20 µg

Secondary

All lanes:

Western blot - Goat Anti-Rabbit IgG H&L (HRP) (<a href='/products/secondary-antibodies/goat-rabbit-igg-h-l-hrp-ab97051'>ab97051</a>) at 1/100000 dilution

Observed band size: 13 kDa,36 kDa

false

Exposure time: 180s

Western blot - Anti-MIF antibody (AB7207)
  • WB

Supplier Data

Western blot - Anti-MIF antibody (AB7207)

MIF detected by Western Blot in LPS stimulated RAW cell lysate.

All lanes:

Western blot - Anti-MIF antibody (ab7207)

All lanes:

LPS stimulated RAW cell lysate

Predicted band size: 12 kDa

false

Western blot - Anti-MIF antibody (AB7207)
  • WB

Supplier Data

Western blot - Anti-MIF antibody (AB7207)

Blocking and diluting buffer and concentration : 5% NFDM/TBST.

Recombinant multiclonal ab322733 showed higher sensitivity than polyclonal ab7207.

All lanes:

Western blot - Anti-MIF antibody [RM1231] (<a href='/products/primary-antibodies/mif-antibody-rm1231-ab322733'>ab322733</a>) at 1/1000 dilution

Lane 1:

C6 (rat glial tumor glial cell) whole cell lysate at 20 µg

Lane 2:

RAW 264.7 (mouse Abelson murine leukemia virus-induced tumor macrophage) whole cell lysate at 20 µg

Lane 3:

PC-12 (rat adrenal gland pheochromocytoma cell) whole cell lysate at 20 µg

Lane 4:

NIH/3T3 (mouse embryonic fibroblast) whole cell lysate at 20 µg

Secondary

All lanes:

Western blot - Goat Anti-Rabbit IgG H&L (HRP) (<a href='/products/secondary-antibodies/goat-rabbit-igg-h-l-hrp-ab97051'>ab97051</a>) at 1/100000 dilution

Observed band size: 13 kDa

false

Exposure time: 48s

Western blot - Anti-MIF antibody (AB7207)
  • WB

Unknown

Western blot - Anti-MIF antibody (AB7207)

From a review by Arsi Rosengren.

All lanes:

Western blot - Anti-MIF antibody (ab7207)

Predicted band size: 12 kDa

false

Key facts

宿主種

Rabbit

クローン性

Polyclonal

アイソタイプ

IgG

キャリアフリー

No

交差種

Mouse, Rat

アプリケーション

IHC-P, WB, ELISA, ICC/IF, IHC-Fr, IP

applications

免疫原

Recombinant Full Length Protein corresponding to Rat Mif.

P30904

Reactivity data

{ "title": "Reactivity Data", "filters": { "stats": ["", "Species", "Dilution Info", "Notes"], "tabs": { "all-applications": {"fullname" : "All Applications", "shortname": "All Applications"}, "IP" : {"fullname" : "Immunoprecipitation", "shortname":"IP"}, "WB" : {"fullname" : "Western blot", "shortname":"WB"}, "IHCP" : {"fullname" : "Immunohistochemistry (Formalin/PFA-fixed paraffin-embedded sections)", "shortname":"IHC-P"}, "ICCIF" : {"fullname" : "Immunocytochemistry/ Immunofluorescence", "shortname":"ICC/IF"}, "IHCFr" : {"fullname" : "Immunohistochemistry (Frozen sections)", "shortname":"IHC-Fr"}, "ELISA" : {"fullname" : "ELISA", "shortname":"ELISA"} }, "product-promise": { "all": "all", "testedAndGuaranteed": "tested", "guaranteed": "expected", "predicted": "predicted", "notRecommended": "not-recommended" } }, "values": { "Mouse": { "IP-species-checked": "guaranteed", "IP-species-dilution-info": "", "IP-species-notes": "<p></p>", "WB-species-checked": "testedAndGuaranteed", "WB-species-dilution-info": "", "WB-species-notes": "<p></p>", "IHCP-species-checked": "guaranteed", "IHCP-species-dilution-info": "", "IHCP-species-notes": "<p></p>", "ICCIF-species-checked": "guaranteed", "ICCIF-species-dilution-info": "", "ICCIF-species-notes": "<p></p>", "IHCFr-species-checked": "guaranteed", "IHCFr-species-dilution-info": "", "IHCFr-species-notes": "<p></p>", "ELISA-species-checked": "predicted", "ELISA-species-dilution-info": "", "ELISA-species-notes": "" }, "Rat": { "IP-species-checked": "guaranteed", "IP-species-dilution-info": "", "IP-species-notes": "<p></p>", "WB-species-checked": "predicted", "WB-species-dilution-info": "", "WB-species-notes": "", "IHCP-species-checked": "guaranteed", "IHCP-species-dilution-info": "", "IHCP-species-notes": "<p></p>", "ICCIF-species-checked": "guaranteed", "ICCIF-species-dilution-info": "", "ICCIF-species-notes": "<p></p>", "IHCFr-species-checked": "guaranteed", "IHCFr-species-dilution-info": "", "IHCFr-species-notes": "<p></p>", "ELISA-species-checked": "guaranteed", "ELISA-species-dilution-info": "", "ELISA-species-notes": "<p></p>" } } }

出荷温度及び保存条件

製品の状態
Liquid
精製方法
Affinity purification Protein A
バッファー組成
pH: 6.5 Preservative: 0.1% Sodium azide Constituents: PBS
出荷温度
Blue Ice
短期保存期間
1-2 weeks
短期保存温度
+4°C
長期保存温度
-20°C
分注に関する情報
Upon delivery aliquot
保管に関する情報
Avoid freeze / thaw cycle

補足情報

This supplementary information is collated from multiple sources and compiled automatically.

Macrophage migration inhibitory factor (MIF) also known as glycosylation-inhibiting factor is a protein with a molecular mass of approximately 12.5 kDa. It plays a mechanistic role as a cytokine that regulates immune responses specifically influencing macrophage behavior. MIF expresses in various cell types including immune and epithelial cells. It gets secreted by activated lymphocytes and macrophages pointing to its involvement in the inflammatory process.
Biological function summary

MIF acts as an upstream regulator of innate immunity and exerts broad influence on cytokine release. MIF elevates pro-inflammatory cytokines like TNF-alpha and IL-1beta promoting an immune response. It does not typically form part of a complex but interacts with cell surface receptors like CD74 triggering intracellular signaling pathways. These interactions illustrate MIF as a regulator of immune cell recruitment and activation.

Pathways

MIF participates in the glucocorticoid receptor regulatory pathway and MAP kinase pathway. It shows interaction with JNK and ERK1/2 proteins which further map into important cellular reactions like stress response and cell proliferation. By integrating into these pathways MIF influences cell survival proliferation and inflammatory cascades emphasizing its role in immune regulation.

MIF links to inflammatory diseases such as rheumatoid arthritis and sepsis. It influences disease progression by interacting with proteins like TNF-alpha and IL-6 contributing to inflammatory damage. Elevated MIF levels often correlate with disease severity in rheumatoid arthritis acting as a potential target for therapy. Furthermore sepsis demonstrates a similar pattern where MIF modulation can impact patient outcomes underlining its relevance in clinical investigations.

製品プロトコール

For this product, it's our understanding that no specific protocols are required. You can visit:

ターゲットの情報

Pro-inflammatory cytokine involved in the innate immune response to bacterial pathogens (By similarity). The expression of MIF at sites of inflammation suggests a role as mediator in regulating the function of macrophages in host defense (By similarity). Counteracts the anti-inflammatory activity of glucocorticoids (By similarity). Has phenylpyruvate tautomerase and dopachrome tautomerase activity (in vitro), but the physiological substrate is not known (PubMed : 10933783, PubMed : 16780921, PubMed : 19188446). It is not clear whether the tautomerase activity has any physiological relevance, and whether it is important for cytokine activity (PubMed : 10933783, PubMed : 16780921, PubMed : 19188446).
See full target information Mif

文献 (38)

Recent publications for all applications. Explore the full list and refine your search

Journal of periodontology 93:1940-1950 PubMed35100435

2022

Macrophage migration inhibitory factor regulates specific innate immune sensor responses in gingival epithelial cells.

Applications

Unspecified application

Species

Unspecified reactive species

Nutthapong Kantrong,Ana M Chang,Shatha Bamashmous,Adeline M Hajjar,Richard J Bucala,Richard P Darveau

Frontiers in cell and developmental biology 9:791187 PubMed35036405

2021

Exosomal MIF Derived From Nasopharyngeal Carcinoma Promotes Metastasis by Repressing Ferroptosis of Macrophages.

Applications

Unspecified application

Species

Unspecified reactive species

Wenhui Chen,Fan Zuo,Kaiwen Zhang,Tian Xia,Wei Lei,Zixiang Zhang,Lili Bao,Yiwen You

Aging and disease 12:2125-2139 PubMed34881090

2021

A Unique Type of Highly-Activated Microglia Evoking Brain Inflammation via Mif/Cd74 Signaling Axis in Aged Mice.

Applications

Unspecified application

Species

Unspecified reactive species

Chenghao Jin,Yijie Shao,Xiaotao Zhang,Jiani Xiang,Ruize Zhang,Zeyu Sun,Shuhao Mei,Jingyi Zhou,Jianmin Zhang,Ligen Shi

Avicenna journal of phytomedicine 11:120-133 PubMed33907671

2021

Topical formulations containing Dwyer oleoresin improve cutaneous wound healing.

Applications

Unspecified application

Species

Unspecified reactive species

Fernanda Gosuen Gonçalves Dias,Lucas de Freitas Pereira,Ricardo Andrade Furtado,Geórgia Modé Magalhães,Marina Pacheco Miguel,Luis Gustavo Gosuen Gonçalves Dias,Adriana Torrecilhas Jorge,Cristiane Dos Santos Honsho,Sérgio Ricardo Ambrósio,Jairo Kenupp Bastos,Micaela Silva Carrijo,Denise Crispim Tavares

Biology of reproduction 105:217-231 PubMed33774655

2021

Kisspeptin/Kiss1r system and angiogenic and immunological mediators at the maternal-fetal interface of domestic cats.

Applications

Unspecified application

Species

Unspecified reactive species

Luciano Cardoso Santos,Jeane Martinha Dos Anjos Cordeiro,Larissa da Silva Santana,Bianca Reis Santos,Erikles Macêdo Barbosa,Thayná Queiroz Menezes da Silva,Janaina Maria Xavier Corrêa,Raquel Viera Niella,Mário Sergio Lima Lavor,Elisângela Barboza da Silva,Natália de Melo Ocarino,Rogéria Serakides,Juneo Freitas Silva

eLife 9: PubMed33164744

2020

Distinct insulin granule subpopulations implicated in the secretory pathology of diabetes types 1 and 2.

Applications

Unspecified application

Species

Unspecified reactive species

Alex J B Kreutzberger,Volker Kiessling,Catherine A Doyle,Noah Schenk,Clint M Upchurch,Margaret Elmer-Dixon,Amanda E Ward,Julia Preobraschenski,Syed S Hussein,Weronika Tomaka,Patrick Seelheim,Iman Kattan,Megan Harris,Binyong Liang,Anne K Kenworthy,Bimal N Desai,Norbert Leitinger,Arun Anantharam,J David Castle,Lukas K Tamm

Cells 9: PubMed32244540

2020

Structural Similarity with Cholesterol Reveals Crucial Insights into Mechanisms Sustaining the Immunomodulatory Activity of the Mycotoxin Alternariol.

Applications

Unspecified application

Species

Unspecified reactive species

Giorgia Del Favero,Raphaela M Mayer,Luca Dellafiora,Lukas Janker,Laura Niederstaetter,Chiara Dall'Asta,Christopher Gerner,Doris Marko

Neural regeneration research 15:1483-1489 PubMed31997812

2020

Brain-derived neurotrophic factor mediates macrophage migration inhibitory factor to protect neurons against oxygen-glucose deprivation.

Applications

Unspecified application

Species

Unspecified reactive species

Su Hwan Bae,Mi Ran Yoo,Ye Yeong Kim,In Kyung Hong,Mi Hee Kim,Seung Hak Lee,Dae Yul Kim

International immunopharmacology 76:105874 PubMed31499270

2019

The small molecule macrophage migration inhibitory factor antagonist MIF098, inhibits pulmonary hypertension associated with murine SLE.

Applications

Unspecified application

Species

Unspecified reactive species

Huijing Huang,Dandan Chen,Jun Pu,Ancai Yuan,Qiong Fu,Jia Li,Lin Leng,Richard Bucala,Shuang Ye,Liangjing Lu

International urogynecology journal 31:1435-1441 PubMed31243497

2019

Age-associated impairments in tissue strength and immune response in a rat vaginal injury model.

Applications

Unspecified application

Species

Unspecified reactive species

David Shveiky,Cheryl B Iglesia,Srilekha Sarkar Das,Ofra Ben Menachem-Zidon,Henry H Chill,Hong Ji,Kathryn Sandberg
View all publications

Abcam product promise

当社は、高品質な試薬を通じてお客様の研究を力強くサポートすることをお約束いたします。ご使用いただく各段階で、常にお客様をサポートできる体制を整えております。万が一、製品が期待通りに機能しない場合は、「Abcam Product Promise」による当社保証制度に基づき、安心してご利用いただけます。
保証に関する詳細については利用規約をご確認ください。

Please note: All products are 'FOR RESEARCH USE ONLY. NOT FOR USE IN DIAGNOSTIC OR THERAPEUTIC PROCEDURES'.

For licensing inquiries, please contact partnerships@abcam.com