JavaScript is disabled in your browser. Please enable JavaScript to view this website.
AB320645

Anti-MICU2 抗体 [EPR28910-9] - BSA and Azide free

Anti-MICU2 antibody [EPR28910-9] - BSA and Azide free

Be the first to review this product! Submit a review

|

(0 Publication)

Rabbit Recombinant Monoclonal MICU2 antibody. Carrier free. Suitable for WB, IHC-P and reacts with Recombinant fragment - Human, Human, Mouse samples.

別名を表示する

EFHA1, MICU2, hMICU3, EF-hand domain-containing family member A1

9 Images
Immunohistochemistry (Formalin/PFA-fixed paraffin-embedded sections) - Anti-MICU2 antibody [EPR28910-9] - BSA and Azide free (AB320645)
  • IHC-P

Supplier Data

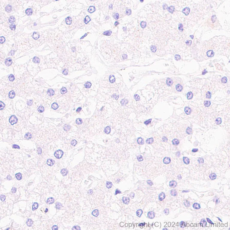
Immunohistochemistry (Formalin/PFA-fixed paraffin-embedded sections) - Anti-MICU2 antibody [EPR28910-9] - BSA and Azide free (AB320645)

This data was developed using ab320644, the same antibody clone in a different buffer formulation. Immunohistochemical analysis of paraffin-embedded Human liver tissue labeling MICU2 with ab320644 at 1/500 (0.998 ug/ml) dilution, followed by a ready to use LeicaDS9800 (Bond™ Polymer Refine Detection). Low expression tissue : No staining in human liver (PMID : 33114428). The section was incubated with ab320644 for 30 mins at room temperature. The immunostaining was performed on a Leica Biosystems BOND® RX instrument Counterstained with Hematoxylin. Secondary antibody only control : Secondary antibody is a ready to use LeicaDS9800 (Bond™ Polymer Refine Detection). Heat mediated antigen retrieval was performed with Tris-EDTA buffer (pH 9.0, Epitope Retrieval Solution2) for 20 mins

Immunohistochemistry (Formalin/PFA-fixed paraffin-embedded sections) - Anti-MICU2 antibody [EPR28910-9] - BSA and Azide free (AB320645)
  • IHC-P

Supplier Data

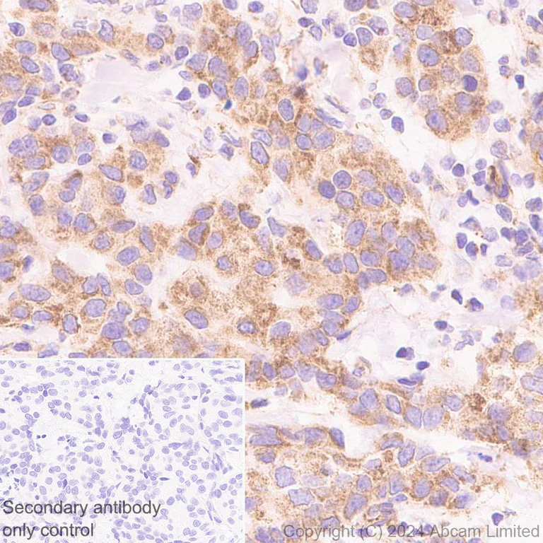
Immunohistochemistry (Formalin/PFA-fixed paraffin-embedded sections) - Anti-MICU2 antibody [EPR28910-9] - BSA and Azide free (AB320645)

This data was developed using ab320644, the same antibody clone in a different buffer formulation. Immunohistochemical analysis of paraffin-embedded Human breast cancer tissue labeling MICU2 with ab320644 at 1/500 (0.998 ug/ml) dilution, followed by a ready to use LeicaDS9800 (Bond™ Polymer Refine Detection). Positive staining in human breast cancer. The section was incubated with ab320644 for 30 mins at room temperature. The immunostaining was performed on a Leica Biosystems BOND® RX instrument Counterstained with Hematoxylin. Secondary antibody only control : Secondary antibody is a ready to use LeicaDS9800 (Bond™ Polymer Refine Detection). Heat mediated antigen retrieval was performed with Tris-EDTA buffer (pH 9.0, Epitope Retrieval Solution2) for 20 mins

Immunohistochemistry (Formalin/PFA-fixed paraffin-embedded sections) - Anti-MICU2 antibody [EPR28910-9] - BSA and Azide free (AB320645)
  • IHC-P

Supplier Data

Immunohistochemistry (Formalin/PFA-fixed paraffin-embedded sections) - Anti-MICU2 antibody [EPR28910-9] - BSA and Azide free (AB320645)

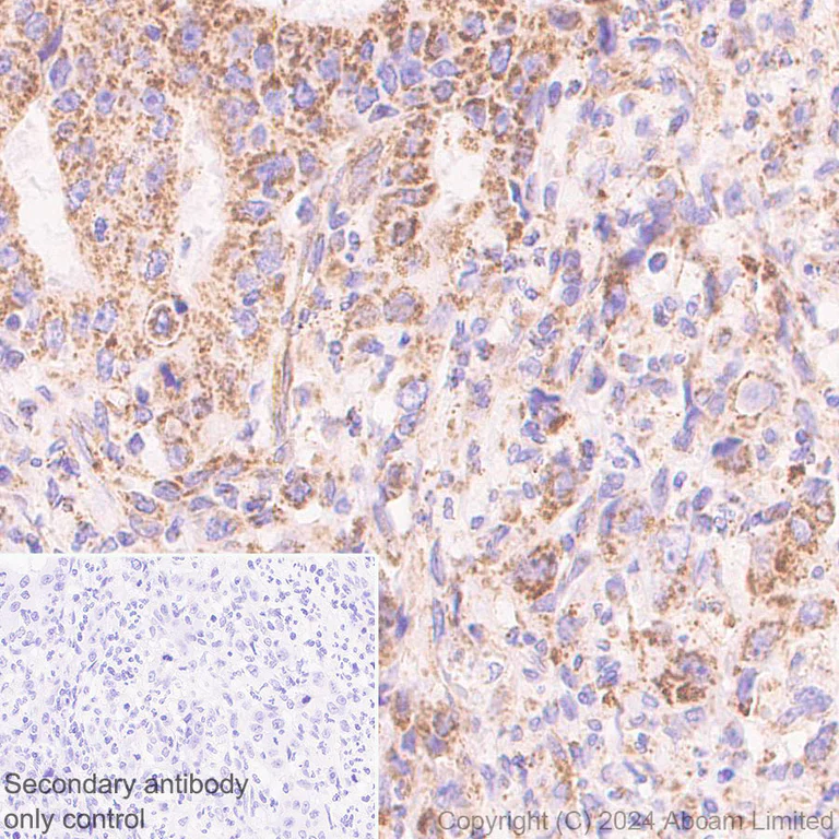
This data was developed using ab320644, the same antibody clone in a different buffer formulation. Immunohistochemical analysis of paraffin-embedded Human gastric cancer tissue labeling MICU2 with ab320644 at 1/500 (0.998 ug/ml) dilution, followed by a ready to use LeicaDS9800 (Bond™ Polymer Refine Detection). Positive staining in human gastric cancer. The section was incubated with ab320644 for 30 mins at room temperature. The immunostaining was performed on a Leica Biosystems BOND® RX instrument Counterstained with Hematoxylin. Secondary antibody only control : Secondary antibody is a ready to use LeicaDS9800 (Bond™ Polymer Refine Detection). Heat mediated antigen retrieval was performed with Tris-EDTA buffer (pH 9.0, Epitope Retrieval Solution2) for 20 mins

Immunohistochemistry (Formalin/PFA-fixed paraffin-embedded sections) - Anti-MICU2 antibody [EPR28910-9] - BSA and Azide free (AB320645)
  • IHC-P

Supplier Data

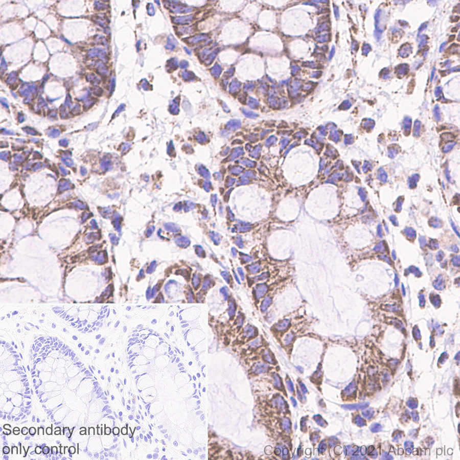
Immunohistochemistry (Formalin/PFA-fixed paraffin-embedded sections) - Anti-MICU2 antibody [EPR28910-9] - BSA and Azide free (AB320645)

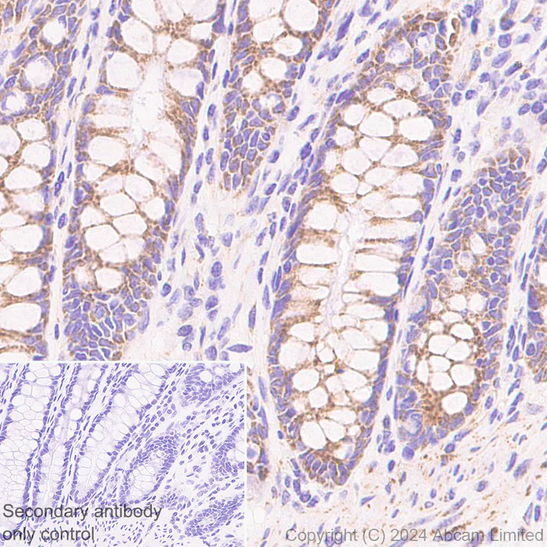
This data was developed using ab320644, the same antibody clone in a different buffer formulation. Immunohistochemical analysis of paraffin-embedded Human colon tissue labeling MICU2 with ab320644 at 1/500 (0.998 ug/ml) dilution, followed by a ready to use LeicaDS9800 (Bond™ Polymer Refine Detection). Positive staining in human colon. The section was incubated with ab320644 for 30 mins at room temperature. The immunostaining was performed on a Leica Biosystems BOND® RX instrument Counterstained with Hematoxylin. Secondary antibody only control : Secondary antibody is a ready to use LeicaDS9800 (Bond™ Polymer Refine Detection). Heat mediated antigen retrieval was performed with Tris-EDTA buffer (pH 9.0, Epitope Retrieval Solution2) for 20 mins

Western blot - Anti-MICU2 antibody [EPR28910-9] - BSA and Azide free (AB320645)
  • WB

Supplier Data

Western blot - Anti-MICU2 antibody [EPR28910-9] - BSA and Azide free (AB320645)

This data was developed using ab320644, the same antibody clone in a different buffer formulation. Blocking and diluting buffer and concentration : 5% NFDM/TBST. The identity of the higher MW bands at approximately 250 kDa are unknown. In Western blot, Anti-GAPDH antibody [EPR16891] - Loading Control  (ab181602) staining at 1/200000 dilution.

All lanes:

Western blot - Anti-MICU2 antibody [EPR28910-9] (<a href='/products/primary-antibodies/micu2-antibody-epr28910-9-ab320644'>ab320644</a>) at 1/1000 dilution

Lane 1:

HeLa (human cervical adenocarcinoma epithelial cell) transfected with scrambled siRNA control whole cell lysate at 20 µg

Lane 2:

HeLa transfected with siRNA specifically targeting MICU whole cell lysate at 20 µg

Secondary

All lanes:

Western blot - Goat Anti-Rabbit IgG H&L (HRP) (<a href='/products/secondary-antibodies/goat-rabbit-igg-h-l-hrp-ab97051'>ab97051</a>) at 1/20000 dilution

Observed band size: 40 kDa,36 kDa

false

Exposure time: 26s

Western blot - Anti-MICU2 antibody [EPR28910-9] - BSA and Azide free (AB320645)
  • WB

Lab

Western blot - Anti-MICU2 antibody [EPR28910-9] - BSA and Azide free (AB320645)

This data was developed using ab320644, the same antibody clone in a different buffer formulation. Western blot : Anti-MICU2 antibody [EPR28910-9] ab320644 staining at 1/1000 dilution, shown in green; Mouse anti GAPDH (ab8245) loading control staining at 1/20,000 dilution, shown in magenta.

A band was observed at 40 kDa in Wild-type HCT 116 cell lysates with no signal observed at this size in MICU2 knockout HCT 116 cell line.

To generate this image, samples were run on an SDS-PAGE gel then transferred onto a nitrocellulose membrane. Membranes were blocked in 5pc Milk in TBS-0.1 % Tween® 20 (TBS-T) before incubation with primary antibodies overnight at 4 °C. Blots were washed four times in TBS-T, incubated with secondary antibodies for 1 h at room temperature, washed again four times then imaged.

Secondary antibodies used were Goat anti-Rabbit 800CW & Goat anti-Mouse 680RD at 1/20,000 dilution.

All lanes:

Western blot - Anti-MICU2 antibody [EPR28910-9] (<a href='/products/primary-antibodies/micu2-antibody-epr28910-9-ab320644'>ab320644</a>) at 1/1000 dilution

Lane 1:

Wild-type HCT 116 at 20 µg

Lane 2:

MICU2 knockout HCT 116 at 20 µg

Lane 3:

SW 480 at 20 µg

Lane 4:

PC-3 at 20 µg

Secondary

All lanes:

Goat anti-Rabbit 800CW & Goat anti-Mouse 680RD at 1/20000 dilution

Predicted band size: 50 kDa

Observed band size: 40 kDa

false

Western blot - Anti-MICU2 antibody [EPR28910-9] - BSA and Azide free (AB320645)
  • WB

Supplier Data

Western blot - Anti-MICU2 antibody [EPR28910-9] - BSA and Azide free (AB320645)

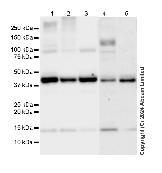
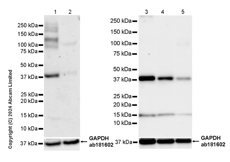
This data was developed using ab320644, the same antibody clone in a different buffer formulation. Blocking and diluting buffer and concentration : 5% NFDM/TBST. Low expression : liver (PMID : 33114428) The identity of the higher MW bands above 75 kDa are unknown. The identity of the lower MW band at approximately 15 kDa is unknown. Lanes 3-5 are applied with Goat Anti-Rabbit IgG, (H+L), Peroxidase conjugated (ab97051) at 1/20000 and lanes 1-2 are applied with Goat Anti-Rabbit IgG (HRP) with minimal cross-reactivity with human IgG at 1/2000. In Western blot, Anti-GAPDH antibody [EPR16891] - Loading Control  (ab181602) staining at 1/200000 dilution. Exposure time : Lanes 1-2 : 180 seconds; Lanes 3-5 : 37 seconds.

All lanes:

Western blot - Anti-MICU2 antibody [EPR28910-9] (<a href='/products/primary-antibodies/micu2-antibody-epr28910-9-ab320644'>ab320644</a>) at 1/1000 dilution

Lane 1:

Human liver cancer tissue lysate at 20 µg

Lane 2:

Human liver tissue lysate at 20 µg

Lane 3:

Mouse heart tissue lysate at 20 µg

Lane 4:

Mouse kidney tissue lysate at 20 µg

Lane 5:

Mouse liver tissue lysate at 20 µg

Secondary

Lanes 1 - 2:

Goat Anti-Rabbit IgG (HRP) with minimal cross-reactivity with human IgG at 1/2000 dilution

Lanes 3 - 5:

Western blot - Goat Anti-Rabbit IgG H&L (HRP) (<a href='/products/secondary-antibodies/goat-rabbit-igg-h-l-hrp-ab97051'>ab97051</a>) at 1/20000 dilution

Observed band size: 40 kDa,36 kDa

false

Western blot - Anti-MICU2 antibody [EPR28910-9] - BSA and Azide free (AB320645)
  • WB

Supplier Data

Western blot - Anti-MICU2 antibody [EPR28910-9] - BSA and Azide free (AB320645)

This data was developed using ab320644, the same antibody clone in a different buffer formulation. Blocking and diluting buffer and concentration : 5% NFDM/TBST. The expression profile/ molecular weight observed is consistent with what has been described in the literature (PMID : 30242232, PMID : 30504268). The identity of the higher MW bands above 75 kDa are unknown. The identity of the lower MW band at approximately 15 kDa is unknown. Exposure time : Lanes 1-3 : 37 seconds; Lanes 4-5 : 136 seconds.

All lanes:

Western blot - Anti-MICU2 antibody [EPR28910-9] (<a href='/products/primary-antibodies/micu2-antibody-epr28910-9-ab320644'>ab320644</a>) at 1/1000 dilution

Lane 1:

293T (human embryonic kidney epithelial cell) whole cell lysate at 20 µg

Lane 2:

U-87 MG (human glioblastoma-astrocytoma epithelial cell) whole cell lysate at 20 µg

Lane 3:

MCF7 (human breast adenocarcinoma epithelial cell) whole cell lysate at 20 µg

Lane 4:

mIMCD3 (mouse inner medullary collecting duct epithelial cell) whole cell lysate at 20 µg

Lane 5:

4T1 (mouse mammary gland carcinoma epithelial cell) whole cell lysate at 20 µg

Secondary

All lanes:

Western blot - Goat Anti-Rabbit IgG H&L (HRP) (<a href='/products/secondary-antibodies/goat-rabbit-igg-h-l-hrp-ab97051'>ab97051</a>) at 1/20000 dilution

Observed band size: 40 kDa

false

Western blot - Anti-MICU2 antibody [EPR28910-9] - BSA and Azide free (AB320645)
  • WB

Supplier Data

Western blot - Anti-MICU2 antibody [EPR28910-9] - BSA and Azide free (AB320645)

This data was developed using ab320644, the same antibody clone in a different buffer formulation. Blocking and diluting buffer and concentration : 5% NFDM/TBST. This antibody doesn't cross-react with human MICU3. In Western blot, Anti-6X His tag® antibody [EPR20547] - ChIP Grade  (ab213204) staining at 1/5000 dilution.

All lanes:

Western blot - Anti-MICU2 antibody [EPR28910-9] (<a href='/products/primary-antibodies/micu2-antibody-epr28910-9-ab320644'>ab320644</a>) at 1/1000 dilution

Lane 1:

His tagged human MICU2 protein at 5 ng

Lane 2:

His tagged human MICU3 protein at 50 ng

Secondary

All lanes:

Western blot - Goat Anti-Rabbit IgG H&L (HRP) (<a href='/products/secondary-antibodies/goat-rabbit-igg-h-l-hrp-ab97051'>ab97051</a>) at 1/20000 dilution

Observed band size: 40 kDa

false

Exposure time: 15s

Key facts

宿主種

Rabbit

クローン性

Monoclonal

クローン番号

EPR28910-9

アイソタイプ

IgG

キャリアフリー

Yes

交差種

Human, Mouse

アプリケーション

IHC-P, WB

applications

免疫原

The exact immunogen used to generate this antibody is proprietary information.

特異性

Not suitable for mouse IHC-P.

Reactivity data

{ "title": "Reactivity Data", "filters": { "stats": ["", "Species", "Dilution Info", "Notes"], "tabs": { "all-applications": {"fullname" : "All Applications", "shortname": "All Applications"}, "WB" : {"fullname" : "Western blot", "shortname":"WB"}, "IHCP" : {"fullname" : "Immunohistochemistry (Formalin/PFA-fixed paraffin-embedded sections)", "shortname":"IHC-P"} }, "product-promise": { "all": "all", "testedAndGuaranteed": "tested", "guaranteed": "expected", "predicted": "predicted", "notRecommended": "not-recommended" } }, "values": { "Human": { "WB-species-checked": "testedAndGuaranteed", "WB-species-dilution-info": "", "WB-species-notes": "<p></p>", "IHCP-species-checked": "testedAndGuaranteed", "IHCP-species-dilution-info": "", "IHCP-species-notes": "<p></p>" }, "Mouse": { "WB-species-checked": "testedAndGuaranteed", "WB-species-dilution-info": "", "WB-species-notes": "<p></p>", "IHCP-species-checked": "notRecommended", "IHCP-species-dilution-info": "", "IHCP-species-notes": "<p></p>" }, "Recombinant fragment - Human": { "WB-species-checked": "testedAndGuaranteed", "WB-species-dilution-info": "", "WB-species-notes": "<p></p>", "IHCP-species-checked": "notRecommended", "IHCP-species-dilution-info": "", "IHCP-species-notes": "" } } }

製品の詳細

ab320645 is the carrier-free version of ab320644.

Patented technology
Our RabMAb® technology is a patented hybridoma-based technology for making rabbit monoclonal antibodies. For details on our patents, please refer to RabMAb® patents.

What are the advantages of a recombinant monoclonal antibody?
This product is a recombinant monoclonal antibody, which offers several advantages including:

  • - High batch-to-batch consistency and reproducibility
  • - Improved sensitivity and specificity
  • - Long-term security of supply
  • - Animal-free batch production

For more information, read more on recombinant antibodies.

Conjugation ready
Our carrier-free antibodies are typically supplied in a PBS-only formulation, purified and free of BSA, sodium azide and glycerol. This conjugation-ready format is designed for use with fluorochromes, metal isotopes, oligonucleotides, and enzymes, which makes them ideal for antibody labelling, functional and cell-based assays, flow-based assays (e.g. mass cytometry) and Multiplex Imaging applications.

Use our conjugation kits for antibody conjugates that are ready-to-use in as little as 20 minutes with 1 minute hands-on-time and 100% antibody recovery: available for fluorescent dyes, HRP, biotin and gold.

Compatibility
This product is compatible with the Maxpar® Antibody Labeling Kit from Fluidigm, without the need for antibody preparation. Maxpar® is a trademark of Fluidigm Canada Inc.

出荷温度及び保存条件

製品の状態
Liquid
精製方法
Affinity purification Protein A
バッファー組成
pH: 7.2 - 7.4 Constituents: PBS
出荷温度
Blue Ice
短期保存温度
+4°C
長期保存温度
+4°C

補足情報

This supplementary information is collated from multiple sources and compiled automatically.

MICU2 also known as mitochondrial calcium uptake 2 is an important regulator of calcium ion influx into mitochondria. It is a 54 kDa protein that resides primarily in the inner mitochondrial membrane where it helps maintain calcium homeostasis. By modulating calcium uptake MICU2 influences various cellular processes and mitochondrial dynamics. Its expression levels vary among the tissues with notable levels observed in muscle and brain tissues.
Biological function summary

MICU2 is a component of the mitochondrial calcium uniporter complex which includes other proteins such as MCU and MICU1. This complex ensures proper calcium ion transfer across the mitochondrial membrane which is essential for ATP production maintenance of mitochondrial membrane potential and regulation of apoptotic signaling. MICU2 works as a gatekeeper preventing calcium overload and facilitating controlled entry of calcium ions.

Pathways

MICU2 is involved in pathways essential for cellular energy metabolism and apoptosis. It participates in the calcium signaling pathway where it functions alongside MCU to control calcium entry impacting processes like oxidative phosphorylation. Another related pathway is the intrinsic apoptotic pathway where MICU2’s regulation of calcium levels can influence mitochondrial-mediated apoptosis. In this context MICU1 acts as a supportive partner by providing threshold control for calcium uptake.

MICU2 is linked to neurodegenerative diseases and mitochondrial dysfunction disorders. Abnormalities in MICU2 expression or function can lead to improper calcium homeostasis contributing to conditions like Alzheimer's disease by affecting neuronal calcium signaling. The interaction of MICU2 with MCU and MICU1 within the uniporter complex is critical for maintaining cellular health and disruptions in these relationships may exacerbate disease progression.

製品プロトコール

For this product, it's our understanding that no specific protocols are required. You can visit:

ターゲットの情報

Calcium sensor of the mitochondrial calcium uniporter (MCU) channel, which senses calcium level via its EF-hand domains (PubMed : 24503055, PubMed : 24560927, PubMed : 26903221, PubMed : 28615291, PubMed : 30699349, PubMed : 31397067, PubMed : 32494073, PubMed : 32667285, PubMed : 32762847, PubMed : 32790952). MICU1 and MICU2 form a disulfide-linked heterodimer that stimulates and inhibits MCU activity, depending on the concentration of calcium (PubMed : 24560927, PubMed : 26903221, PubMed : 28615291, PubMed : 30699349, PubMed : 31397067, PubMed : 32148862, PubMed : 32494073, PubMed : 32667285, PubMed : 32762847, PubMed : 32790952). At low calcium levels, MICU1 occludes the pore of the MCU channel, preventing mitochondrial calcium uptake (PubMed : 32494073, PubMed : 32667285, PubMed : 32762847). At higher calcium levels, calcium-binding to MICU1 and MICU2 induces a conformational change that weakens MCU-MICU1 interactions and moves the MICU1-MICU2 heterodimer away from the pore, allowing calcium permeation through the MCU channel (PubMed : 32494073, PubMed : 32667285, PubMed : 32762847).
See full target information MICU2

Abcam product promise

当社は、高品質な試薬を通じてお客様の研究を力強くサポートすることをお約束いたします。ご使用いただく各段階で、常にお客様をサポートできる体制を整えております。万が一、製品が期待通りに機能しない場合は、「Abcam Product Promise」による当社保証制度に基づき、安心してご利用いただけます。
保証に関する詳細については利用規約をご確認ください。

Please note: All products are 'FOR RESEARCH USE ONLY. NOT FOR USE IN DIAGNOSTIC OR THERAPEUTIC PROCEDURES'.

For licensing inquiries, please contact partnerships@abcam.com